CARTA CIENTÍFICA
Received: 27 April 2023
Accepted: 21 February 2024
Published: 24 April 2024
Estimados Editores:
Las granulaciones aracnoideas (GA), también conocidas como granulaciones de Pacchioni1, son protrusiones macroscópicas de la membrana aracnoidea hacia los senos durales, a través de las cuales se efectúa la filtración y reabsorción del líquido cefalorraquídeo (LCR)1,2,3,4,5,6. El rango de tamaño de las GA puede variar, denominándose granulaciones aracnoideas gigantes (GAG) cuando tienen un tamaño superior a un centímetro2,3.
Las GA no suelen cursar con síntomas clínicos y se describen como hallazgos incidentales en los estudios radiológicos. Sin embargo, las GAG pueden ocupar la luz de los senos venosos durales llegando a producir una hipertensión venosa secundaria. Es frecuente que las GA se asocien a defectos óseos en la tabla interna del cráneo, sobre todo las de mayor tamaño2,6. Asimismo, la existencia de GAG también se ha descrito como causa de herniación de tejido cerebral de forma espontánea o por aumento de la presión intracraneal1,2,4,5.
Las GA pueden ser confundidas con múltiples entidades patológicas, ya que al proyectarse hacia la luz de los senos venosos pueden ser consideradas como una trombosis venosa2,3,4, o si producen deformación de la tabla interna del cráneo pueden confundirse con lesiones osteolíticas de origen tumoral2,4,6.
Los hallazgos radiológicos típicos de una GA son1,2,3,6:
- En la radiografía de cráneo pueden aparecer como lesiones radiolúcidas bien definidas en la calota craneal.
- En la tomografía computada (TC) craneal se muestran como lesiones osteolíticas de bordes lisos que afectan predominantemente la tabla interna, con densidad similar a la del LCR. Tras la administración de contraste yodado se identifican como defectos de repleción focales de morfología redondeada.
En la resonancia magnética (RM) cerebral presentan intensidad de señal similar al LCR: hipointensas en T1, hiperintensas en T2, con supresión de señal en la secuencia de recuperación de la inversión atenuada de fluido (FLAIR), y no muestran realce tras la administración de gadolinio.
En la fase venosa de los estudios angiográficos, si la GA ocupa la luz del seno venoso, puede mostrarse como un defecto de repleción ovoideo en el seno venoso2.
Por otro lado, a la hora de valorar los hallazgos de imagen en una GAG hay que tener en cuenta que:
Puede existir herniación del tejido cerebral1,4,5:
En ocasiones el parénquima cerebral herniado puede mostrar cambios estructurales y de señal en los estudios de RM: atrofia cerebral focal y/o hiperintensidad de señal potenciada en T2 en relación con gliosis, sin restricción en la difusión, ni alteraciones de señal en la secuencia de susceptibilidad magnética (SWI)1.
Si la RM se realiza con contraste paramagnético, otro hallazgo excepcionalmente descrito es la ausencia de realce del tejido cerebral herniado. Esto puede observarse cuando existe infarto del parénquima cerebral secundario a la herniación a través de un cuello óseo estrecho1,2,5.
Han sido descritos hallazgos radiológicos atípicos en la RM: el líquido intra-GAG puede no mostrar un comportamiento similar al LCR, pudiéndose observar una mayor intensidad en T1 y T2, y una supresión de señal incompleta en FLAIR3.
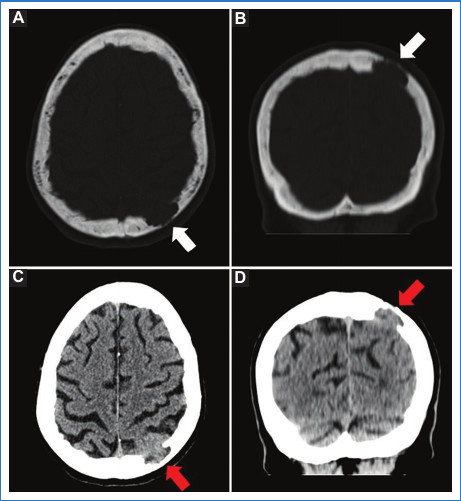
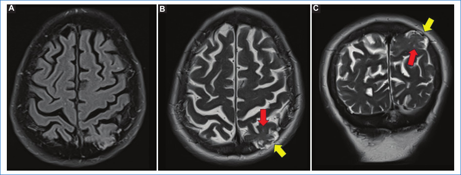
A continuación, presentamos el caso de un paciente de 75 años que consulta por inestabilidad de dos años de evolución, sin presencia de alteraciones cognitivas, cefalea, náuseas, vómitos ni fiebre. La exploración neurológica y analítica no mostró alteraciones significativas. La TC craneal reveló una lesión lítica de bordes bien definidos de aproximadamente dos cm, que causaba lisis total de la tabla interna y en menor medida de la tabla externa del hueso parietal izquierdo (Fig. 1). Dicha lesión se encontraba ocupada por contenido de densidad intermedia en continuidad con el parénquima cerebral subyacente, siendo sugestivo de herniación encefálica (Fig. 1). Se decidió complementar los estudios con la realización de una RM cerebral y una gammagrafía ósea con 99mTc-metil-difosfonato. En la RM se objetivó la ocupación del área lítica por LCR, meninges y herniación del parénquima cerebral, que en la secuencia potenciada en T2 mostraba pequeñas hiperintensidades de señal secundarias a gliosis (Fig. 2). En la gammagrafía no se identificó depósito patológico de radiofármaco en la lesión parietal izquierda ni a ningún otro nivel óseo. Ante la falta de signos de malignidad de la lesión, se determinó como una GAG con herniación del tejido cerebral. La realización de una punción lumbar descartó la existencia de hipertensión secundaria a una posible obstrucción del drenaje venoso, estableciéndose el diagnóstico de GAG como un hallazgo incidental y sin relación con la clínica de inestabilidad referida por el paciente.


En conclusión, las GAG son una entidad poco frecuente que requiere una adecuada orientación radiológica para establecer un diagnóstico correcto y que no suponga una fuente de confusión con otras patologías entre las que se incluyen la trombosis de los senos venosos durales, masas extradurales, lesiones óseas líticas (metástasis, mieloma, plasmocitomas, etc.), y el quiste epidermoide intradiploico3,6.
Bibliografía
Malekzadehlashkariani S, Wanke I, Rüfenacht DA, et al. Brain herniations into arachnoid granulations: about 68 cases in 38 patients and review of the literature. Neuroradiology. 2016;58(5):443-57.
Rodrigues JR, Santos GR. Brain herniation into giant arachnoid granulation: An unusual case. Case Rep Radiol. 2017;2017:8532074.
Trimble CR, Harnsberger HR, Castillo M, Brant-Zawadzki M, Osborn AG. "Giant" arachnoid granulations just like CSF?: NOT! AJNR Am J Neuroradiol. 2010;31(9):1724-8.
Ciochon UM, Sehested PC, Skejø HPB, et al. The controversial entity of brain herniations into arachnoid granulations: A report of three cases with literature review. Radiol Case Rep. 2021;16(9):2768-73.
Liebo GB, Lane JJ, van Gompel JJ, et al. Brain herniation into arachnoid granulations: Clinical and neuroimaging features. J Neuroimaging. 2016;26(6):592-8.
Lu CX, Du Y, Xu XX, et al. Multiple occipital defects caused by arachnoid granulations: Emphasis on T2 mapping. World J Radiol. 2012; 4(7):341-4.
Notes
Author notes
*Correspondencia: Héctor Lajusticia. E-mail: hectorlajusticiaandres@gmail.com
Conflict of interest declaration