SIGNO RADIOLÓGICO
Signo del menisco pulmonar
Pulmonary meniscus sign
Received: 20 July 2023
Accepted: 14 April 2024
Published: 25 September 2024
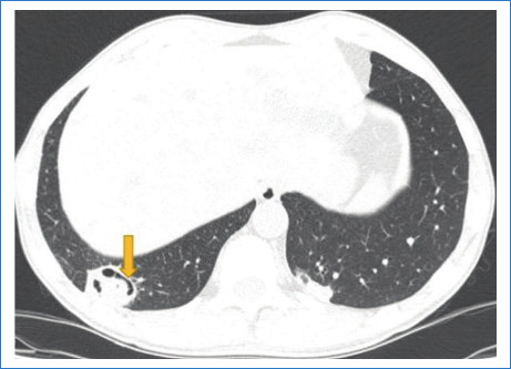
El signo del menisco pulmonar también se ha descrito como el signo del aire creciente o el signo de media luna. Corresponde a una colección de aire en forma de luna creciente que se visualiza en la radiografía y en la tomografía de tórax como una radiolucencia dentro de un área de consolidación o un nódulo; puede variar de forma, de media luna hasta encapsular totalmente la lesión (Fig. 1). Este signo radiológico, que no es patognomónico de aspergilosis, fue descripto en el año 1975 inicialmente por Bard y Hassani, quienes explicaron en un hematoma pulmonar el signo de la media luna, y en 1979 Curtis describió este signo como una forma invasiva de aspergilosis1.

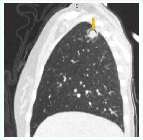
Aspergillus es un hongo filamentoso conformado por cadenas celulares llamadas hifas. Fisiopatológicamente, estas alteran las paredes de los vasos sanguíneos a través de las arterias bronquiales generando oclusión de la luz vascular, lo que lleva a la necrosis y cavitación. Esto se refleja radiológicamente como un área de vidrio esmerilado, consolidación y/o nódulos peribronquiales. En su evolución el centro infartado se retrae y se reabsorbe, resultado de la reacción neutrofílica, dejando un área de tejido desvitalizado que se desprende del resto de la consolidación2. El aire que se encuentra entre el tejido desvitalizado y el parénquima consolidado que lo rodea tiene forma de media luna o del aire creciente (Fig. 2). Este signo es tardío, coincide con una recuperación progresiva de la infección y depende de la función leucocitaria, por lo cual generalmente se observa en pacientes inmunocomprometidos, que en general inician clínicamente con cuadro de hemoptisis3.

Su diagnóstico es radiológico. Se observa en el 50% de los pacientes con aspergilosis. Otras de las causas menos frecuentes son tuberculosis pulmonar, aneurisma de Rasmussen, absceso pulmonar, cáncer de pulmón, hematoma pulmonar y neumonía por Pneumocystis4. Como diagnóstico diferencial podemos mencionar el signo de Monod, que consiste en la presencia de aire alrededor de una masa dentro de una cavidad pulmonar preexistente; pero este se presenta en paciente inmunocompetentes5.
En conclusión, el signo del menisco pulmonar es una colección de aire en forma de media luna que corresponde a un proceso degenerativo mediado por una reacción inmunitaria. Su causa más frecuente es la aspergilosis angioinvasiva, que se presenta habitualmente en pacientes inmunocomprometidos, sin bien no es patognomónico de la enfermedad, este signo coincide con buen pronóstico y recuperación progresiva. Su diagnóstico es radiológico, visualizándose como una radiolucencia en la radiografía y fundamentalmente en la tomografía de tórax.
*Correspondencia: Sandy K. Flórez. E-mail: sandyflorez1121@gmail.com

