ARTÍCULO ORIGINAL
Correlación clínico-radiológica de loops vasculares en el conducto auditivo interno con síntomas vestibulares
Clinical-radiological correlation of vascular loops in the internal auditory conduct with vestibular symptoms
Correlación clínico-radiológica de loops vasculares en el conducto auditivo interno con síntomas vestibulares
Revista Argentina de Radiología / Argentinian Journal of Radiology, vol. 89, no. 1, pp. 3-10, 2025
Sociedad Argentina de Radiología (SAR) y Federación Argentina de Diagnóstico por Imágenes y Terapia Radiante (FAARDIT)
Received: 21 July 2023
Accepted: 29 December 2023
Published: 21 November 2024
Resumen
Introducción: Los síntomas vestibulares comunes, como tinnitus, hipoacusia y vértigo, pueden estar vinculados a loops vasculares en el tallo cerebral. Se detallan tres complejos neurovasculares y su interacción con los nervios craneales VII y VIII. Además, se destaca la dificultad de correlacionar hallazgos radiológicos con síntomas clínicos y la importancia de la resonancia magnética (RM) para guiar el tratamiento.
Objetivos: Determinar la correlación de hallazgos imagenológicos de loops vasculares en el conducto auditivo interno (CAI), en pacientes con síntomas vestibulares mediante evaluación por resonancia de alto campo.
Método: Se realizó un estudio retrospectivo y descriptivo. Se incluyeron todos los pacientes evaluados entre 2021 y 2023 con presencia de loop vascular en el ángulo pontocerebeloso y síntomas vestibulares.
Resultados: En total se seleccionaron 135 pacientes con síntomas vestibulares y presencia de loops vasculares (100 mujeres y 35 hombres) con estudios de resonancia magnética (RM) del CAI. Se halló loop vascular unilateral en 109 pacientes (oído derecho 45,2%, oído izquierdo 35,6%) y loop bilateral en 26 pacientes (19,3%). El tipo de loop vascular más frecuente fue el tipo I (oído derecho 52,6%, oído izquierdo 33,3%) y bilateral (14,1%), evidenciándose una asociación entre loops vasculares y síntomas vestibulares.
Conclusiones: De acuerdo con la clasificación de Chavda, comparando los oídos que presentaban loops vasculares y síntomas vestibulares, encontramos asociación con vértigo, tinnitus, acúfenos e hipoacusia, en discrepancia con la bibliografía.
Palabras clave: Imagen por resonancia magnética+ Loops+ Compresión nerviosa+ Acúfeno.
Abstract
Introduction: Common vestibular symptoms such as tinnitus, hearing loss, and vertigo may be associated with vascular loops in the brainstem. The text details three neurovascular complexes and their interaction with cranial nerves VII and VIII. It also emphasizes the difficulty of correlating radiological findings with clinical symptoms and the importance of MRI in guiding treatment.
Objectives: To determine the correlation of imaging findings of vascular loops in the internal auditory conduct, in patients with vestibular symptoms by means of high-field-strength magnetic resonance.
Method: We did a retrospective and descriptive study, including each patient evaluated between 2021 and 2023 with vestibular symptoms and a cerebellopontine angle vascular loop.
Results: In total there were 135 selected patients with vestibular symptoms and presence of vascular loops (100 women and 35 men) with magnetic resonance studies of the internal auditory canal. Unilateral vascular loop was found in 109 patients (right ear 45.2%, left ear 35.6%) and bilateral loop in 26 patients (19.3%). The most frequent type of vascular loop was type I (right ear 52.6%; left ear 33.3%) and bilateral (14.1%), evidencing an association between vascular loops and vestibular symptoms.
Conclusions: According to the Chavda classification, comparing the ears that presented vascular loops and vestibular symptoms, we found an association with vertigo, tinnitus, and hearing loss, in discrepancy with the bibliography.
Keywords: Magnetic resonance imaging, Loops, Nerve compression, Tinnitus.
Introducción
Los síntomas vestibulares más frecuentes incluyen tinnitus, hipoacusia y vértigo. En la población argentina, actualmente no existen datos de incidencia debido a limitaciones en la disponibilidad de información sobre las características clínicas asociadas a los hallazgos radiológicos de los complejos neurovasculares1,2.
Desde el punto de vista anatómico, se han descrito tres complejos neurovasculares localizados a lo largo del tallo cerebral:
Arteria cerebelosa superior (ACS): se localiza en el mesencéfalo (Fig. 1 A).
Arteria cerebelosa anteroinferior (AICA): se localiza en la protuberancia (Figs. 1 B, D y F).
Arteria cerebelosa posteroinferior (ACPI): se localiza en el bulbo raquídeo, relacionada con la arteria vertebral (Figs. 1C y E)3.
El paquete facio-acústico está compuesto por los nervios facial u VII nervio craneal y vestibulococlear o VIII nervio craneal. Estos nervios tienen su origen aparente en la unión bulbo-protuberancial, en su trayecto cisternal pasan por el ángulo pontocerebeloso e ingresan al conducto auditivo interno (CAI). Una de las estructuras vasculares que mantiene relación con estos es la AICA4.
En el CAI existe un espacio anatómico para el nervio facial, el nervio vestibulococlear y la ACPI. Esta configuración anatómica puede llevar a la alteración de dichos nervios craneales y generar una susceptibilidad a síndromes de compresión vascular, especialmente por el espasmo hemifacial, siendo el acúfeno el principal síntoma percibido por los pacientes con loops vasculares (Fig. 1)4.
Los loops vasculares son una condición que se manifiesta desde el nacimiento y pueden permanecer asintomáticos o presentarse clínicamente con el envejecimiento, particularmente debido a la aterosclerosis. En este proceso, el engrosamiento y la rigidez de las paredes arteriales pueden ocasionar compresión sobre el nervio. Se consideran completos cuando realizan un recorrido de 360o (Fig. 1 B y C) e incompletos si llevan a cabo un recorrido parcial de 180o (Fig. 1 D y E) o tangenciales (Fig. 1 F y G)5,6.
En 1975, Janetta introdujo el concepto de loops vasculares, los cuales podrían interferir con el nervio vestibulococlear (VIII nervio craneal), dando lugar a síntomas otológicos mencionados. Sin embargo, encontrar una relación entre los hallazgos radiológicos y los aspectos clínico-patológicos puede representar un desafío en los estudios actuales realizados en nuestro medio7.
Por este motivo, nuestro estudio se basa en la evaluación y análisis del comportamiento epidemiológico de los hallazgos mediante resonancia magnética (RM). El objetivo es proporcionar orientación a los clínicos en la consideración de intervenciones adicionales, ya sean médicas o quirúrgicas, para el manejo de pacientes que presentan síntomas vestibulares asociados a loops vasculares.

Método
Se realizó un estudio retrospectivo y descriptivo donde se incluyeron a todos los pacientes de nuestra institución con edades comprendidas entre los 10 y 89 años, que fueron evaluados entre 2021 y 2023 debido a síntomas vestibulares que se realizaron RM de CAI. Los estudios se realizaron en seis equipos de resonadores Philips Ingenia® V5 de 1,5T y un resonador Philips Ingenia® V5 de 3T (Philips Healthcare). En total, se evaluaron 135 pacientes que presentaban variantes anatómicas de loops vasculares junto con síntomas vestibulares.
El resumen de hallazgos se expone en la figura 2.

En una primera instancia, se realizó una revisión sistemática de las imágenes obtenidas de la institución, centrándose en la selección de informes radiológicos que concluyeran con la presencia de loops vasculares en el CAI. Durante este proceso, se recopilaron las variables clínicas, especialmente los síntomas vestibulares presentes y las imágenes fueron recopiladas, seleccionadas y revisadas por el equipo de residentes y médicos radiólogos de la institución.
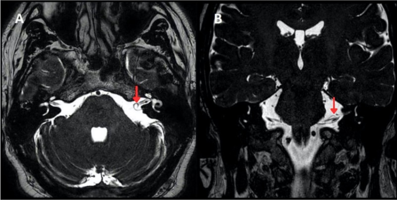
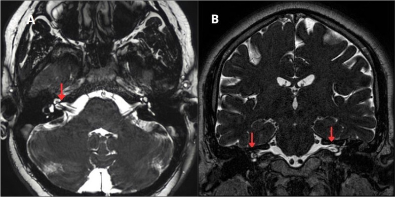
Se utilizó el sistema Chavda para definir la extensión del loop vascular (Fig. 3). La clasificación se compone por tres tipos: el tipo I es un loop vascular situado en el ángulo pontocerebeloso, que no ingresa al CAI
(Fig. 4); el tipo II loop vascular ingresa, pero sin extensión mayor del 50% de la longitud del CAI (Fig. 5), y el tipo III loop vascular con extensión mayor del 50% de la longitud del CAI (Fig. 6)8.
Además, la evaluación se basó en una clasificación según el contacto del loop vascular con el nervio, utilizando las siguientes categorías: categoría A (sin contacto), categoría B (loop con extensión directa al nervio), categoría C (loop entre el VII y VIII nervio) y categoría D (loop que desplaza e inclina el nervio). Esta clasificación proporciona una descripción detallada de la relación espacial entre el loop vascular y el nervio, permitiendo una mejor comprensión de la anatomía9.




Protocolo de adquisición
Resonador magnético de alto campo Philips Ingenia® V5 de 1,5T (Philips Healthcare). Las imágenes en plano axial se obtuvieron con secuencia ponderada en tiempo T2, seteada con los siguientes parámetros: TE/TR/FA (Flip Angle) 90/1500/90, tamaño de vóxel (RL/AP/FH) 0,50 x 0,53 x 1,4 mm, FOV (RL/AP/FH) 150 x 150 x 28 mm, matriz 300 x 281 x 40 cortes.
Resonador magnético de alto campo Philips Ingenia® V5 de 3T (Philips Healthcare). Las imágenes en plano axial se obtuvieron con secuencia ponderada en tiempo T2, seteada con los siguientes parámetros: TE/ TR/FA (Flip Angle) 180/1600/90, tamaño de vóxel (RL/AP/FH) 0,55 x 0,55 x 1,1 mm, FOV (RL/AP/FH) 150 x 150 x 33 mm, matriz 272 x 187 x 40 cortes.
Análisis estadístico
La recopilación de datos se llevó a cabo utilizando una base de datos creada en una hoja de cálculo, específicamente en Google Spreadsheets. Las variables categóricas se expresaron en términos de frecuencias y porcentajes.
Resultados
Entre los años 2021 y 2023 se identificaron 146 pacientes en los informes de RM de CAI con la palabra clave “loop vascular”, junto con la presencia de síntomas vestibulares, como afectación vestíbulo-coclear. Se excluyeron 11 casos que no cumplían con los criterios, los cuales incluían la ausencia de síntomas vestibulares con presencia de loops vasculares en el informe radiológico, así como menores de 15 años, mayores de 85 años y/o estudios con artefactos que comprometieron la calidad de la imagen. Finalmente, 135 pacientes cumplieron con los criterios de inclusión, de los cuales 35 eran hombres y 100 mujeres, con una edad media que oscilaba entre los 40 y 70 años (Figs. 2 y 7).

La frecuencia de los síntomas y las características de la imagen de loops vasculares por oído se resumen en la tabla 1.

En los hallazgos por RM, se halló loop vascular unilateral en 109 pacientes (derecho 45,2%, izquierdo 35,6%) y loop bilateral en 26 pacientes (19,3%) (Fig. 8).

El origen más frecuente fue la AICA, seguida de la ACS y ACPI respectivamente.
Según la clasificación anatómica Chavda (Fig. 3), el tipo de loop vascular más frecuente es el tipo I de oído (derecho: 52,6%; izquierdo: 33,3% y bilateral: 14,1%) (Fig. 4 A y B), seguido del tipo II de oído (derecho: 31,3%; izquierdo: 37,5% y bilateral: 31,3%) (Fig. 5 A y B) y el tipo III de oído (derecho: 50,0%; izquierdo: 25,0% y bilateral: 25,0%) (Fig. 6 A y B) (Fig. 9).

Este artículo presenta ciertas limitaciones en la búsqueda de palabras clave, como “registro de loops vasculares en estudios por imágenes”, es posible que algunos términos relevantes no hayan sido incluidos, lo que podría haber afectado a la exhaustividad de la revisión bibliográfica. Además, la presencia de información incompleta en los interrogatorios e historias clínicas proporcionadas por los pacientes, especialmente en aquellos casos donde se registraron loops vasculares sin síntomas vestibulares, podría haber introducido sesgos en el análisis. Es fundamental reconocer estas limitaciones para interpretar los resultados de manera adecuada y considerarlas como áreas potenciales para mejorar en investigaciones futuras.
Discusión y conclusión
Desde 1975, en la descripción de Jannetta et al. se ha mencionado la descompresión nerviosa como un tratamiento quirúrgico para el síndrome vascular, con el objetivo de reducir la presencia de síndromes vestibulares. Aunque esta intervención ha sido parte de la práctica clínica, la evidencia obtenida de la mayoría de los estudios realizados desde la década de 1930 no ha demostrado de manera consistente una relación estadística significativa en esta asociación. La efectividad de la descompresión nerviosa como tratamiento para los síndromes vestibulares sigue siendo un tema de debate y requerirá una evaluación continua a medida que se realicen investigaciones adicionales en esta área7,10.
En la actualidad, la RM se ha consolidado como una herramienta invaluable en la investigación, ofreciendo numerosos beneficios gracias a su carácter no invasivo y la capacidad de proporcionar una visualización anatómica detallada. Los hallazgos radiológicos son esenciales para correlacionar con la sintomatología expresada por los pacientes. Esta correlación resulta crucial al seleccionar tratamientos iniciales, como el uso de vasodilatadores o la descompresión microvascular del VIII nervio craneal en el ángulo pontocerebeloso. La evidencia respalda que estas intervenciones pueden conducir a mejoras significativas en la sintomatología neurológica, subrayando el papel clave de la RM en el diagnóstico y la planificación terapéutica en este contexto11.
Por otro lado, según el estudio de McDermott en el año 2003, que asoció la presencia de síntomas, loop vascular y sus hallazgos radiológicos sin obtener relación estadísticamente significativa entre estos; en nuestra investigación, que evaluó a 135 adultos y 270 oídos, se obtuvieron resultados discordantes. Se encontró una correlación clínico-radiológica significativa entre la presencia de síntomas vestibulares y la identificación del loop vascular. Esta discrepancia podría indicar posibles variaciones en la población estudiada o resaltar la necesidad de futuras investigaciones para comprender mejor esta relación12.
Asimismo, un estudio retrospectivo de series de casos reveló que la pérdida auditiva y los acúfenos, junto con los resultados de los estudios audiométricos, no se correlacionaron con la lateralidad del hallazgo radiológico, coincidiendo con nuestros resultados. En nuestro estudio, se observó que la AICA fue la más afectada, en concordancia con los datos reportados en la literatura global. Sin embargo, se destacó que, según la clasificación de Chavda y McDermott, el tipo de asa vascular más frecuente fue el tipo II, a diferencia de nuestra casuística donde el tipo I fue el predominante. Estas discrepancias pueden sugerir variaciones en las características de la población estudiada o subrayar la importancia de considerar distintas clasificaciones para abordar adecuadamente la variabilidad en la anatomía vascular, así como también podría indicar posibles variaciones en la población estudiada o resaltar la necesidad de futuras investigaciones para comprender mejor esta relación3.
Este estudio retrospectivo y descriptivo sirve como punto de partida para futuras investigaciones que podrían beneficiarse de una mayor casuística y una evaluación más detallada de la relación imagenológica. Un enfoque epidemiológico más exhaustivo en nuestro contexto podría aportar información valiosa.
De acuerdo con nuestros resultados, se observa una relación significativa entre las características del loop vascular en el CAI y la presencia de síntomas auditivos (hipoacusia, vértigo o nistagmo). Estos hallazgos sugieren la relevancia de considerar el loop vascular como un factor potencialmente influyente en los síntomas auditivos, proporcionando una base sólida para investigaciones posteriores y contribuyendo al conocimiento en este ámbito.
Agradecimientos
Los autores agradecen a la Clínica de Diagnóstico DIM por el soporte y acompañamiento de esta investigación.
Bibliografía
Hofmann E, Behr R, Neumann-Haefelin T, Schwager K. Pulsatile. Tinnitus: imaging and differential diagnosis. Dtsch Arztebl. 2013;110(26):451-58.
Würtenberger CJ, Rosahl SF. Vertigo and tinnitus caused by vascular compression of the vestibulocochlear nerve, not intracanalicular vestibular Schwannoma: review and case. Skull Base. 2009;19(6): 417-24.
Gultekin S, Celik H, Akpek S, Oner, Gumus T, Tokgoz N. Vascular loops at the cerebellopontine angle: is there a correlation with tinnitus? AJNR Am J Neuroradiol. 2008;29(9):1746-49.
Chen M, Chen R, Diaz P, Schomer D, Kumar A. Anterior inferior cerebellar artery strokes based on variant vascular anatomy of the posterior circulation: clinical deficits and imaging territories. J Stroke Cerebrovasc. 2018;27(4):59-64.
Markowski J, Gierek T, Kluczewska E, Witkowska M. Assessment of vestibulocochlear organ function in patients meeting radiologic criteria of vascular compression syndrome of vestibulocochlear nerve - diagnosis of disabling positional vertigo. Med Sci Monit Int Med J Exp Clin Res. 2011;17(3):169-72.
Shulman A. Clinical types of tinnitus. En: Shulman A, editor. Tinnitus diagnosis/treatment. San Diego: Singular; 1997. pp. 329-13.
Jannetta PJ. Neurovascular cross-compression in patients with hyperactive dysfunction symptoms of the eighth cranial nerve. Surg Forum. 1975; 26:467-69.
Chadha NK, Weiner GM. Vascular loops causing otological symptoms: a systematic review and meta-analysis. Clin Otolaryngol. 2008;33:5-11.
Grosske FLB, Mendes R de CG, Vosgerau R, Mocellin M, Costa Ramos de Oliveira M, Nardi Koermer H. Achados otoneurológicos em pacientes com diagnóstico de alça vascular de VIII nervo craniano na ressonância magnética. Arquivos Int Otorrinolaringol. 2011;15(4): 418-25.
Gorrie A, Warren III FM, de la Garza AN, Shelton C, Wiggins H. Is there a correlation between vascular loops in the cerebellopontine angle and unexplained unilateral hearing loss? Otol Neurotol. 2010; 31(1):48-52.
Borghei H, Darvish O, Schick U. Disabling vértigo and tinnitus caused by intrameatal compression of the anterior cerebellar artery on the vestibulocochlear nerve: a case report. J Neurol Surg Rep. 2014;75(1): 47-51.
McDermott A-L, Dutt SN, Irving RM, Pahor AL, Chavda SV. Anterior inferior cerebellar artery syndrome: fact or fiction. Clin Otolaryngol Allied Sci. 2003;28:75-80
Financiamiento
Consideraciones éticas
Author notes
*Correspondencia: José F. Rodríguez-Acosta E-mail: nando.rodac@gmail.com
Conflict of interest declaration