REVISIÓN DE TEMA
La ecografía Doppler en el diagnóstico de las complicaciones de las fístulas arteriovenosas de hemodiálisis
Doppler ultrasound in the diagnosis of the complications of arteriovenous fistula
La ecografía Doppler en el diagnóstico de las complicaciones de las fístulas arteriovenosas de hemodiálisis
Revista Argentina de Radiología / Argentinian Journal of Radiology, vol. 89, no. 1, pp. 19-24, 2025
Sociedad Argentina de Radiología (SAR) y Federación Argentina de Diagnóstico por Imágenes y Terapia Radiante (FAARDIT)
Received: 21 July 2023
Accepted: 07 April 2024
Published: 21 November 2024
Resumen: Las fístulas arteriovenosas (FAV) son conexiones quirúrgicas entre una arteria y una vena creadas para suministrar un acceso vascular adecuado para hemodiálisis en pacientes con insuficiencia renal terminal. La ecografía Doppler constituye el método de elección para la evaluación de las FAV y sus complicaciones, por su gran disponibilidad, bajo costo y capacidad para evaluar el sistema vascular con precisión. Los objetivos de esta revisión son repasar las complicaciones más frecuentes de los accesos venosos para hemodiálisis, describir los hallazgos ecográficos típicos y resaltar el rol de la ecografía Doppler en su detección temprana, que permite tomar medidas para preservar este importante acceso vascular. El fallo de las FAV suele ocurrir por estenosis del flujo de entrada o de salida que induce la posterior trombosis. Con menor frecuencia, las complicaciones derivan del manejo incorrecto del acceso (hematoma, pseudoaneurisma, infección), de patologías de la pared (aneurisma) o de modificaciones en la resistencia que pueden disminuir la perfusión arterial distal del miembro (robo). En conclusión, la ecografía Doppler es una herramienta no invasiva y efectiva para el diagnóstico de complicaciones de las FAV. Su aplicación sistemática en el seguimiento y ante la presencia de signos de fallo puede mejorar significativamente los resultados clínicos y la calidad de vida de los pacientes.
Palabras clave: Hemodiálisis, Fístula arteriovenosa, Complicaciones, Ecografía Doppler.
Abstract: Arteriovenous fistulas (AVF) are surgical connections between an artery and a vein created to provide adequate vascular access for hemodialysis in patients with end-stage renal disease. Doppler ultrasound has become the choice method for the evaluation of AVF and their complications due to its wide availability, its low cost, and its ability to accurately evaluate the vascular system without the need for contrast or radiation. The objectives of this review are to review the most frequent complications of peripheral vascular access for hemodialysis, to describe the typical ultrasound findings to identify them, and to highlight the role of Doppler ultrasound in their early detection that allows actions to be taken in order to preserve this important vascular access. AVF failure usually occurs due to inflow or outflow stenosis that induces subsequent thrombosis. Less frequently, in mature AVF, complications derive from incorrect access management (hematoma, pseudoaneurysm, infection), from pathologies of the wall (aneurysm) or from changes in resistance that can decrease distal limb arterial perfusion (steal). In conclusion, Doppler ultrasound is a non-invasive and effective tool for the diagnosis of AVF for hemodialysis complications. Its systematic application in follow-up and in the presence of signs of failure can significantly improve clinical results and the quality of life of patients.
Keywords: Hemodialysis, Arteriovenous fistula, Complications, Doppler ultrasonography.
Introducción
La insuficiencia renal terminal constituye una pérdida de la función glomerular causada por una enfermedad del parénquima renal en la que los riñones nativos del paciente fracasan como órgano metabólico regulador del medio interno. El tratamiento es la terapia renal sustitutiva o diálisis.
La diálisis es una técnica en la cual se utiliza un equipo artificial para eliminar el exceso de líquidos, solutos y productos del metabolismo, y asegurar el mantenimiento de la homeostasis. Existen dos tipos: diálisis peritoneal y hemodiálisis.
Las fistulas arteriovenosas (FAV) son el método de elección de acceso vascular para pacientes que requieren hemodiálisis. Proporcionan en la vena eferente (acceso vascular) un alto flujo, con aumento de su diámetro y “arterialización” de las paredes, permitiendo la punción repetida y un alto volumen de flujo que posibilita la diálisis.
La ecografía Doppler constituye la técnica de elección para la evaluación de las FAV y sus complicaciones, siendo el objetivo de esta revisión repasar las más frecuentes, describir los hallazgos ecográficos típicos para identificarlas y resaltar el rol de la ecografía Doppler en su detección temprana que permita tomar conductas con el fin de conservar este importante acceso vascular.
Desarrollo
La hemodiálisis tiene un importante papel en el tratamiento de los pacientes con enfermedad renal en etapa terminal y requiere un acceso vascular quirúrgico para su realización a largo plazo. Dicho acceso debería proporcionar un flujo sanguíneo suficiente, ser un acceso seguro y repetido sobre el sistema vascular del paciente, y tener la mayor permeabilidad en el tiempo y la menor tasa de complicaciones posibles1.
Las FAV son el método de elección de acceso vascular para pacientes que requieren hemodiálisis. En función del material empleado pueden clasificarse en autólogas, cuando se emplea una vena del propio paciente para la realización de la fístula, o protésicas si se emplea material ajeno al paciente2. Las FAV nativas presentan menos complicaciones que los demás accesos, en especial en cuanto a infecciones y trombosis, por lo que se recomienda su realización como primer acceso vascular en la extremidad superior no dominante y lo más distal posible1,3. En caso de no poder utilizar el acceso vascular radiocefálico a lo largo del antebrazo, se considerará la FAV humerocefálica o radiocefálica proximal como primera alternativa3.
En las FAV protésicas, la conexión entre arteria y vena se hace a través de una prótesis sintética de politetrafluoroetileno (PTFE). Se suelen utilizar cuando se han agotado las posibilidades de FAV nativas2.
Las complicaciones más frecuentes se describen a continuación.
Estenosis
Ocurren por hiperplasia intimal generada por la fricción del flujo sanguíneo en las zonas de disminución del calibre. Las más frecuentes son yuxtaanastomóticas y venosas (80%), pudiendo encontrarse también en la arteria nutricia o en los tejidos periféricos4.
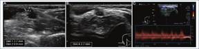
Los hallazgos en la ecografía Doppler (Fig. 1) son:
Directos: reducción del diámetro de la luz > 50% (área transversal del sitio de estenosis comparada con el área transversal de un segmento normal cercano a la estenosis), velocidad pico sistólica (VPS) en el sitio de estenosis > 400 cm/s, ratio VPS estenótica/VPS preestenótica > 3,5, luz permeable < 2 mm1,4,5.
Indirectos: flujo de alta resistencia, reducción en el volumen de flujo del acceso, artefacto de aliasing en la evaluación con Doppler color4,5.

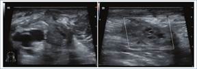
Trombosis
Es la complicación principal y suele ocurrir por la presencia de estenosis venosa (sitio más frecuente de trombosis, en un 80-90%) o por falta de maduración4,6.
Los hallazgos ecográficos pueden ser:
Directos: ausencia de flujo en la evaluación Doppler color y espectral, falta de compresibilidad de la vena, visualización de material ecogénico endoluminal (según el estadio de evolución) (Fig. 2)3,4.
Indirectos: flujo de alta resistencia (tri- o bifásico) previo al sitio de trombosis y baja VPS posterior al sitio de trombosis3. Estos hallazgos pueden ser similares a los de una estenosis (Fig. 3)4.


Robo arterial
Se produce por un descenso de la perfusión distal arterial debido a una preferencia de salida del flujo arterial a través de la vena del acceso vascular, de menor resistencia que el lecho arterial distal1. Es más frecuente en fístulas nativas proximales o injertos protésicos, aumentando el riesgo en pacientes ancianos o con múltiple comorbilidad4. En general, el fenómeno de robo es clínicamente silente; los síntomas aparecen cuando claudican los mecanismos compensatorios para mantener la irrigación arterial periférica4.
En el Doppler color se evidencia flujo invertido completo o parcial (solo durante la diástole) en la arteria distal, y mediante la compresión momentánea de la FAV se reestablece el sentido anterógrado normal del flujo (Fig. 4)4,5.

Aneurisma
Es una dilatación del diámetro del vaso de al menos 1,5 a 2 veces por arriba de lo normal, de aspecto sacular o fusiforme, que involucra todas las capas de su pared3. Se localizan sobre la vena y son secundarios al adelgazamiento de la pared por punciones repetidas, hipertensión por estenosis proximal o por hiperflujo con gran distensibilidad del vaso4,6. Los aneurismas con estenosis proximales suelen evidenciar en la ecografía Doppler una imagen de “doble color”, con flujo invertido en la región periférica por un enlentecimiento del flujo que facilita la formación de trombos murales (Fig. 5). Estos dificultan la punción y al progresar provocan la trombosis del acceso1.

Pseudoaneurisma
Es una cavidad situada por fuera de las estructuras vasculares, sin pared propia, que en su mayoría se producen en FAV protésicas como consecuencia de punciones repetidas que lesionan las paredes de la prótesis1,3,4.
La ecografía permite diferenciarlo del hematoma al presentar flujo interno en la evaluación Doppler color, que se puede presentar de tipo turbulento (Fig. 6) o con un patrón típico en yin-yang. Adicionalmente se observa el signo del vaivén o de entrada-salida en el cuello del pseudoaneurisma en la evaluación espectral, caracterizada por el retorno de la sangre del saco aneurismático a la luz del vaso durante la diástole3,5.

Con menor frecuencia puede presentarse en fístulas nativas en relación con los sitios de punción, pudiendo afectar a la arteria aferente, la anastomosis o la vena eferente. La ecografía Doppler resulta de utilidad para su diagnóstico y además permite identificar la presencia de trombosis parcial o total (Fig. 7), así como reconocer estenosis proximales a los pseudoaneurismas que faciliten su formación.

Hematoma
Representa una complicación frecuente tras la punción. La ecografía Doppler permite definir su tamaño y su grado de compresión sobre la vena eferente, y diferenciarlo de un pseudoaneurisma por la ausencia de flujo (Fig. 8)3,5,6

Conclusiones
Resulta fundamental conocer las características de la ecografía Doppler en las posibles complicaciones de las FAV, dado que su diagnóstico temprano y preciso permite tomar conductas preventivas y terapéuticas oportunas con el fin de mantener dicho acceso vascular, mejorando la calidad de vida de los pacientes.
Agradecimientos
Los autores agradecen a la Dra. J. Mariano por su estímulo y colaboración permanente.
Bibliografía
Ayala Strub MA, Manzano Grossi MS, Ligero Ramos JM. Fístulas arterio-venosas para hemodiálisis. En: Lorenzo V, López Gómez JM, editores. Nefrología al día. Sociedad Española de Nefrología; 2020. Disponible en: https://www.nefrologiaaldia.org/es-articulo-fistulas-arterio-venosas-hemodialisis-332.
Estallo Laliena L. Ponencias: Accesos vasculares para hemodiálisis. Técnica quirúrgica. Dial Traspl. 2008;29:207-10.
Meola M, Marciello A, Di Salle G, Petrucci I. Ultrasound evaluation of access complications: thrombosis, aneurysms, pseudoaneurysms and infections. J Vasc Access. 2021;22:71-83.
Martínez Carapeto E, Sánchez Guerrero A, Plá Romero A, Terán Pareja VS, Navarro Cutillas V. Ecografía Doppler en las complicaciones de los accesos vasculares periféricos: más útil de lo que creías. Seram; 2018. (Consultado el 01-07-2023.) Disponible en: https://piper. espacio-seram.com/index.php/seram/article/view/2801.
Alonso Rodríguez L. Evaluación, mediante Doppler color, de las fístulas arteriovenosas para hemodiálisis. An Radiol Mex. 2017;16:320-8.
Hassan MH, Abdelrazek GM, Hashim AA. The clinical importance of color Doppler ultrasonography in puncture related complications of hemodialysis vascular access. Egypt J Radiol Nucl Med. 2019;50:89-94.
Financiamiento
Consideraciones éticas
Author notes
*Correspondencia: Laura Querini E-mail: querinilaura@gmail.com
Conflict of interest declaration