ENSAYO ICONOGRÁFICO
Utilidad de la resonancia magnética de alta resolución de la pelvis en la estadificación del cáncer de recto
Usefulness of high-resolution magnetic resonance of the pelvis in the staging of rectal cancer
Utilidad de la resonancia magnética de alta resolución de la pelvis en la estadificación del cáncer de recto
Revista Argentina de Radiología / Argentinian Journal of Radiology, vol. 89, no. 1, pp. 29-41, 2025
Sociedad Argentina de Radiología (SAR) y Federación Argentina de Diagnóstico por Imágenes y Terapia Radiante (FAARDIT)
Received: 20 July 2023
Accepted: 04 January 2024
Published: 21 November 2024
Resumen: El uso de resonancia magnética (RM) de recto ha reducido la mortalidad en los pacientes mayores de 50 años, debido a su capacidad para caracterizar a la lesión y guiar hacia el tratamiento más apropiado. El pronóstico del cáncer rectal está vinculado a la infiltración tumoral del mesorrecto y la escisión total de este se considera el tratamiento curativo. Por dicha razón, la capacidad para identificar patología localmente limitada o avanzada que tiene la RM de recto la convierte en una herramienta fundamental para una correcta estadificación y definición de tratamientos posteriores. Para alcanzar esta capacidad diagnóstica, estos estudios deben ser realizados en resonadores de alto campo magnético (1.5/3T) y siguiendo parámetros preestablecidos de adquisición de imágenes para lograr imágenes de alta resolución espacial.
Palabras clave: Resonancia magnética de alta resolución, Cáncer rectal, Estadificación, Recto.
Abstract: The use of rectal magnetic resonance imaging (MRI) has reduced mortality in patients over 50 years old, due to its ability to characterize the lesion and guide towards the most appropriate treatment. The prognosis of rectal cancer is linked to tumor infiltration of the mesorectum, and total excision of it is considered the curative treatment. For this reason, the capability of rectal MRI to identify locally limited or advanced pathology becomes a fundamental tool for accurate staging and definition of subsequent treatments. To achieve this diagnostic capability, these studies must be conducted on high-field magnetic resonance systems (1.5/3T) and following predefined parameters for image acquisition in order to achieve high spatial resolution images.
Keywords: High-resolution magnetic resonance imaging, Rectal cancer, Staging, Rectum.
Introducción
La resonancia magnética (RM) de alta resolución de la pelvis nos brinda la capacidad de reconocer la anatomía del recto y las estructuras vecinas, permitiendo identificar a aquellos componentes comprometidos por el tumor y de ese modo lograr una correcta estadificación local, diferenciando entre patología localmente limitada y localmente avanzada.
Nuestro trabajo tiene por objetivos mostrar mediante ejemplos iconográficos la anatomía topográfica del recto y demostrar la utilidad de la RM de alta resolución en la estadificación del cáncer rectal y en la identificación de los factores de mal pronóstico.
Protocolo de resonancia magnética de recto
Nuestro protocolo de estudio incluye secuencias de alta resolución potenciadas en T2 con un field of view (FOV) pequeño (200 mm), cortes de 3 mm de espesor, factor de distancia de 0, un TE de 109 y un TR en un rango de 4.500-7.000, dependiendo de la cantidad de cortes realizados. Estas imágenes son obtenidas en los planos sagital estricto, axial oblicuo y coronal oblicuo.
Primero, se realizó el plano sagital estricto para poder identificar la lesión; una vez visualizada esta, se planificó el plano axial oblicuo, perpendicular al eje tumoral, permitiéndonos visualizar su correcta relación con las estructuras anatómicas vecinas.
Con respecto al plano coronal oblicuo, en los casos en donde hubo compromiso únicamente del recto medio y/o superior se realizó siguiendo el eje longitudinal tumoral, mientras que cuando existía compromiso del recto inferior se planificó siguiendo el eje longitudinal del canal anal, permitiéndonos definir en forma adecuada el compromiso del complejo esfinteriano. En aquellos casos en que el tumor comprometía al recto inferior y medio, optamos por adquirir dos planos coronales, uno siguiendo al canal anal y otro al eje longitudinal tumoral en recto medio.
Además, se obtuvieron imágenes en el plano axial estricto potenciadas en T1 y T2 con un FOV mayor, de toda la pelvis, lo cual permitió la visualización de cadenas linfáticas distantes. También incluimos en nuestro protocolo la secuencia de difusión (DWI) con tres valores de b (b = 800, b = 1.000, b = 1.500).
Por último, aunque algunos autores consideran opcional el uso de espasmolíticos1,2, en nuestra experiencia la administración de butilbromuro de hioscina endovenoso antes de comenzar la exploración ha dado buenos resultados, inhibiendo el peristaltismo intestinal y por ende artefactos cinéticos en las imágenes obtenidas. Por otro lado, si bien está descripto en algunos artículos como uso opcional, no utilizamos en nuestros estudios gel endorrectal.
Anatomía del recto
Histológicamente, el recto está compuesto por tres capas concéntricas, siendo de interno a externo: la mucosa, la submucosa y la muscular propia. Por fuera de esta última se encuentra un componente adiposo: el mesorrecto, el cual está limitado externamente por la fascia mesorrectal (FMR), que se evidencia como una delgada línea hipointensa en secuencias potenciadas en T23 (Fig. 1).

Se debe determinar con certeza si la lesión se encuentra a nivel rectal o en el colon sigmoides, ya que en ambos casos existe un abordaje quirúrgico distinto3. Uno de los métodos más utilizados por las guías internacionales para la definición de tumor de recto es la medición de la distancia entre la porción distal de este y el margen anal, considerando a todos aquellos tumores ubicados a una distancia ≤ 15 cm del margen anal como tumor rectal. A su vez, se los subclasifica en tumores de recto superior, medio y/o inferior (Fig. 2)3),(4),(5. El recto es un órgano con una porción intraperitoneal y otra extraperitoneal, que pueden ser diferenciadas mediante la identificación de una fina membrana hipointensa en T2 correspondiente a la reflexión peritoneal anterior. Esta suele visualizarse en el plano sagital y une las vesículas seminales en el hombre y el fondo de saco de Douglas en la mujer, con la cara anterior del recto medio (Fig. 3)3,6. Por encima de esta, el peritoneo recubre las caras anterior y lateral del recto superior y la cara anterior del recto medio, mientras que el recto inferior es completamente extraperitoneal6. A su vez, la FMR rodea completamente al mesorrecto por debajo de la reflexión peritoneal y por su caras laterales y posteriores por encima de esta3 (Fig. 4).



En sentido caudal, debemos identificar la unión ano-rectal y el margen anal, para de esa forma identificar el canal anal. Esta unión ano-rectal se encuentra en íntima relación con el anillo puborrectal y la porción proximal del esfínter anal externo, para identificar esta se toma como punto de referencia una línea imaginaria que une la cara inferior del pubis y el sacro3 (Fig. 5).

Otra estructura que el radiólogo debe reconocer es el esfínter anal. Este está compuesto por una capa interna, el esfínter anal interno, que es continuación de la capa muscular interna del recto; rodeado por una capa externa de músculo estriado, el esfínter anal externo, el cual se encuentra en relación con los músculos elevadores del ano y del anillo puborrectal. Ambas capas se encuentran separadas por un espacio de tejido adiposo de grosor variable: el espacio interesfin teriano7 (Fig. 6).

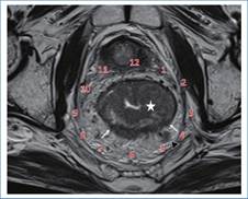
Por otro lado, no solo debemos describir la ubicación topográfica de las lesiones, sino también describir su patrón de crecimiento (endofítico y/o exofítico), si generan compromiso completo o no de la circunferencia rectal o si generan estenosis de su luz. En este aspecto, nos es útil ubicar las lesiones en el plano circunferencial siguiendo el eje de las agujas del reloj (Fig. 7).

Estadio T
Teniendo en cuenta la clasificación TNM del cáncer rectal (Tabla 1), el estadio T queda definido por el grado de compromiso mural, la extensión extramural del tumor y el compromiso de estructuras adyacentes (Fig. 8).


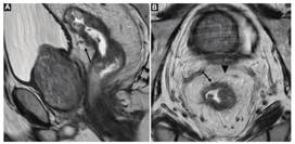
Los estadios T1 y T2 (Fig. 9) incluyen aquellos tumores limitados a la pared intestinal, siendo diferenciados según se limiten a la submucosa o alcancen la muscular propia. Aquellos tumores con estadio T1 generan una caída en la intensidad de la señal de la submucosa respecto a aquella respetada, mientras que los estadios T2 contactan con la muscular propia, la cual se puede visualizar engrosada2,8),(9),(10. Cuando la invasión tumoral alcanza el mesorrecto, sin comprometer a órganos adyacentes, estamos ante un estadio T3. Estos tumores presentan cuatro subcategorías según la distancia entre la muscular propia y el margen distal de invasión tumoral, el cual se mide desde el punto comprometido de la muscular propia hasta el punto de mayor extensión tumoral: T3a, < 1 mm; T3b, 1-5 mm; T3c, 5,1-15 mm y T3d, ≥ 15 mm2,8),(9),(10 (Fig. 10).


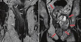
Por último, la clasificación TNM subdivide al estadio T4 en aquel que compromete solo a esta reflexión peritoneal (T4a) (Fig. 11) y aquel que invade órganos vecinos (T4b)2,3,10) (Fig. 12).


Margen circunferencial de resección
Si bien existen procedimientos mínimamente invasivos para el tratamiento de los estadios T1 y algunos T2, la cirugía de escisión total del mesorrecto (ETM) es en general el tratamiento de elección con vistas a la curación. Dicha cirugía toma como margen de resección a la FMR, con el fin de realizar la escisión completa del recto afectado y el mesorrecto circundante, el cual incluye todas las estructuras vasculares y linfáticas que lo atraviesan3. Por dicha razón, cobra importancia la capacidad de identificar a la FMR que nos otorga la RM de alta resolución, así como también la posibilidad de evaluar su compromiso por parte del tumor11. En la tabla 2 se exponen las circunstancias en las que la FMR se considera comprometida, tomando esos casos como margen circunferencial de resección (MCR) positivo (Fig. 13) y contraindicando por ende al tratamiento quirúrgico, a la vez que por sí mismo es un factor pronóstico de recurrencia local, metástasis a distancia y mal pronóstico8,12,13.


Estadificación del cáncer de recto inferior
Poder describir el compromiso de las diferentes partes del esfínter anal es determinante para la elección de tratamiento quirúrgico por parte del cirujano. Aquellos tumores de recto inferior sin compromiso esfinteriano son factibles de cirugía de ETM con conservación del esfínter, mientras que el compromiso de cualquiera de los elementos que lo conforman es determinante de cirugía con resección total o parcial del esfínter. Por dicha razón, debe analizarse la extensión lateral tumoral determinando: a) la relación de la lesión con los músculos elevadores del ano; b) la presencia/ausencia de componente tumoral en el espacio interesfinteriano; c) la presencia/ausencia de invasión del esfínter anal externo, y d) determinar la existencia de invasión a órganos vecinos. Teniendo como base esta información, se desarrolló una estadificación que complementa el TNM en los casos de compromiso del recto inferior 8,14 (Figs. 14 y 15).


Estadificación N
El estadio N está determinado por la cantidad de nódulos linfáticos regionales comprometidos, considerándose: N1 el compromiso de uno a tres nódulos y N2 el de cuatro o más. En la tabla 3 se observan los criterios de sospecha de malignidad de los nódulos linfáticos1),(2),(3. Los nódulos linfáticos regionales son aquellos que se ubican a nivel de la FMR (incluyen presacros, mesentéricos inferiores y mesentéricos sigmoides), ilíaco interno y obturadores2,3. Por su parte, son considerados nódulos no regionales los ilíacos externos, ilíacos comunes e inguinales (M1) (Fig. 16). No obstante, los inguinales son considerados regionales en los casos de compromiso distal del canal anal (Fig. 17)3.



Invasión vascular extramural
La invasión vascular extramural (IVEM) hace referencia a la presencia de células tumorales dentro de estructuras vasculares más allá de la muscular propia rectal3, siendo la RM el único método por imágenes comprobado con la capacidad de detectarla (Figs. 18 y 19)8,15. Se estima que está presente en hasta la mitad de los casos de cáncer rectal y es un factor de riesgo independiente de recurrencia local y a distancia, y un indicador de mal pronóstico9,16,17. La figura 18 expone la diferente clasificación de IVEM y en la figura 19 se exponen algunos ejemplos.


Conclusión
La RM de pelvis de alta resolución es el mejor método para la caracterización de la anatomía rectal y, por ende, para la identificación de patología orgánica a este nivel. Asimismo, dicha capacidad nos permite la correcta identificación de las estructuras comprometidas para la consiguiente estadificación tumoral y para determinar los factores de buen o mal pronóstico.
Agradecimientos
Los autores agradecen a la Dra. María Inés Wulf, de Fundación Científica del Sur, por su colaboración en el presente trabajo.
Bibliografía
Beets-Tan RGH, Lambregts DMJ, Maas M, Bipat S, Barbaro B, Curvo-Semedo L, et al. Magnetic resonance imaging for clinical management of rectal cancer: Updated recommendations from the 2016 European Society of Gastrointestinal and Abdominal Radiology (ESGAR) consensus meeting. Eur Radiol. 2018;28:1465-75.
Horvat N, Tavares Rocha CC, Oliveira BC, Petkovska I, Gollub MJ. MRI of rectal cancer: tumor staging, imaging techniques, and management. RadioGraphics. 2019;39:367-87.
Bogveradze N, Snaebjornsson P, Grotenhuis BA, van Triest B, Lahaye MJ, Maas M, et al. MRI anatomy of the rectum: key concepts important for rectal cancer staging and treatment planning. Insights Imaging. 2023;14:13.
Glynne-Jones R, Wyrwicz L, Tiret E, Brown G, Rödel C, Cervantes A, et al. Rectal cancer: ESMO Clinical Practice Guidelinesfor diagnosis, treatment and follow-up. Ann Oncol. 2017;28(4):22-40.
D'Souza N, Balyasnikova S, Tudkya V, Lord A, Shaw A, Abulafi M, et al. Variation in landmarks for the rectum: an MRI study. Colorectal Dis. 2018; 20(10):304-9.
Gollub MJ, Maas M, Weiser M, Beets GL, Goodman K, Berkers L, et al. Recognition of the anterior peritoneal reflection at rectal MRI. AJR. 2013;200:97-101.
Jaap S. Anorectal and pelvic floor anatomy. Best Pract Res Clin Gastroenterol. 2009;23:463-75.
Nougare S, Reinhold C, Mikhael HW, Rouanet P, Bibeau F, Brown G. The use of MR imaging in treatment planning for patients with rectal carcinoma: have you checked the "DISTANCE"? Radiology. 2013;268:330-44.
Costa-Silva L, Brown G. Magnetic resonance imaging of rectal cancer. Magn Reson Imaging Clin N Am. 2013;21:385-408.
Furey E, Jhaveri KS. Magnetic resonance imaging in rectal cancer. Magn Reson Imaging Clin N Am. 2014;22:165-90.
Al-Sukhni E, Milot L, Fruitman M, Beyene J, Victor JC, Schmocker S, et al. Diagnostic accuracy of MRI for assessment of T category, lymph node metastases, and circumferential resection margin involvement in patients with rectal cancer: a systematic review and meta-analysis. Ann Surg Oncol. 2012;19:2212-23.
Wibe A, Rendedal PR, Svensson E, Norstein J, Eide TJ, Myrvold HE, et al. Prognostic significance of the circumferential resection margin following total mesorectal excision for rectal cancer. Br J Surg. 2002;89:327-34.
Hermanek P, Junginger T. The circumferential resection margin in rectal carcinoma surgery. Tech Coloproctol. 2005;9:193-200.
Shihab OC, How P, West N, George C, Patel U, Quirke P, et al. Can a novel MRI staging system for low rectal cancer aid surgical planning? Dis Colon Rectum. 2011;54:1260-4.
Brown G, Radcliffe AG, Newcombe RG, Dallimore NS, Bourne MW, Williams GT. Preoperative assessment of prognostic factors in rectal cancerusing high-resolution magnetic resonance imaging. Br J Surg. 2003;90:355-64.
Smith NJ, Barbachano Y, Norman AR, Swift RI, Abulafi AM, Brown G. Prognostic significance of magnetic resonanceimaging-detected extramural vascular invasion in rectal cancer. Br J Surg. 2008;95:229-36.
Betge J, Pollheimer MJ, Lindtner RA, Kornprat P, Schlemmer A, Rehak P, et al. Intramural and extramural vascular invasion in colorectal cancer: prognostic significance and quality of pathology reporting. Cancer. 2012;118(3):628-38.
Financiamiento
Consideraciones éticas
Author notes
*Correspondencia: Nicolas Pablovich E-mail: dr.pablovich@gmail.com
Conflict of interest declaration