Case reports
Chorda tympani schwannoma: one new case revealed during malignant otitis externa and review of the literature☆
Chorda tympani schwannoma: one new case revealed during malignant otitis externa and review of the literature☆
Brazilian Journal of Otorhinolaryngology, vol. 84, no. 2, pp. 252-256, 2018
Associação Brasileira de Otorrinolaringologia e Cirurgia Cervicofacial
Received: 2 September 2015
Accepted: 9 November 2015
Introduction
Facial nerve schwannomas (FNS) are a rare entity that are poorly reported in literature. Although the estimated prevalence is extremely low, FNS are the most common primary tumor of the facial nerve. FNS occur throughout the course of the facial nerve and its branches, and chorda tympani schwannomas are quite rare. In 2010, Huoh and Cheung reported that seven additional chorda tympani schwannoma had appeared in literature since the first report by Nager in 1969. 1,2 Most of the cases were isolated, with only two cases reporting multiple neuromas in patients with neurofibromatosis. 1,2 The presenting symptoms of isolated chorda tympani schwannoma were conductive hearing loss, tinnitus, and facial palsy.2 Interestingly, taste disturbance was not documented in any previous case.2 All of the cases showed a mass obstructing the external auditory canal (EAC) or behind an intact tympanic membrane, thereby confirming a common clinical history of this rare entity.
This report relates the case of an 89-year-old male patient who presented a chorda tympani schwannoma disclosed during the management of malignant otitis externa (MOE). To the best of the authors' knowledge, this is the first case in literature with incidental radiological finding of asymptomatic chorda tympani schwannoma.
Case report
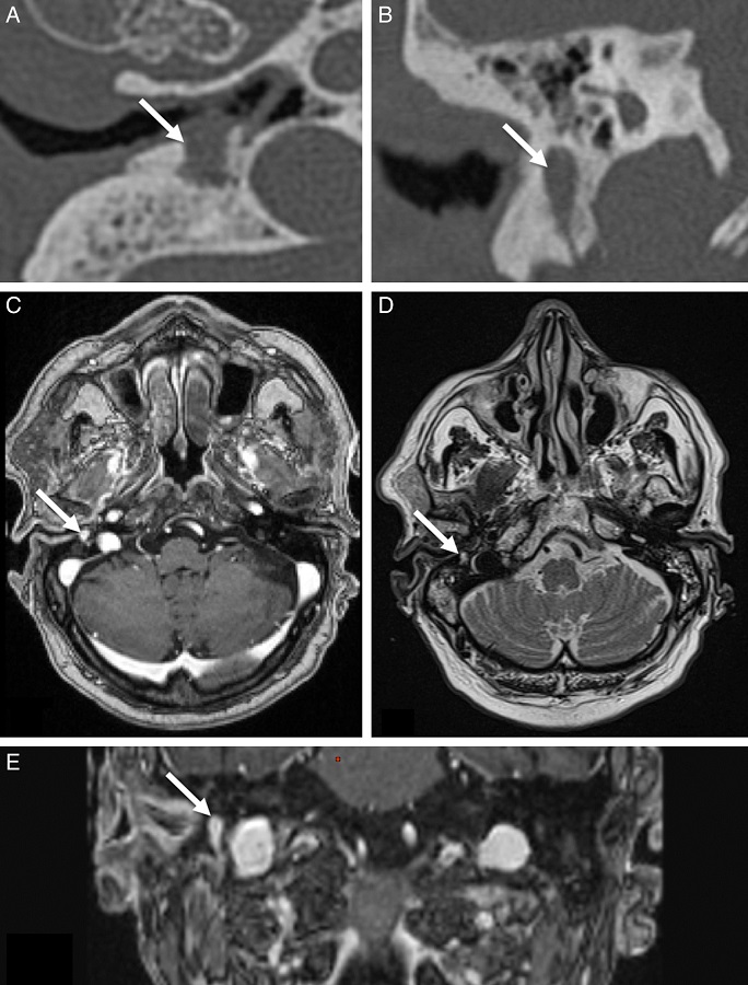
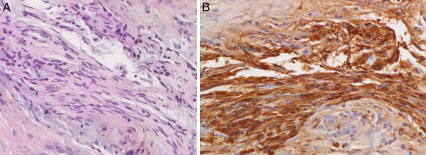
An 89-year-old male patient, who had had hypertension and type 2 diabetes mellitus for an extended period, presented to this tertiary care center with a six-month history of right earache, otorrhoea, and hearing loss. He had received oral antibiotics (amoxicillin-clavulanate) and local antibiotic eardrops during this interval. He denied tinnitus and vertigo. Otoscopic examination of the right ear revealed otorrhoea and inflammation of the EAC. The tympanic membrane was thickened and somewhat hemorrhagic in appearance but was otherwise intact. Cranial nerve examination revealed normal facial function. The patient reported no complaint of taste disturbance. Pure tone audiogram showed a right mixed hearing loss with air bone gap at 15 dB and symmetric bone curve by presbycusis. Laboratory signs of inflammation or infection were absent (no elevation of blood cell count, C-reactive protein [CRP], or erythrocyte sedimentation rate). Diabetes was considered to be well controlled (HbA1c = 5.6%). Cultures of otorrhoea were positive for Pseudomonas aeruginosa. P. aeruginosa was sensitive to ciprofloxacin and ceftazidime, and these systemic antibiotics were prescribed. Computed tomography (CT) and magnetic resonance imaging (MRI) of the temporal bone were performed. CT showed partial opacification of the right mastoid air cells and middle ear cavity, and thickening of the right tympanic membrane and skin of the right EAC. CT also revealed an osteolytic lesion of the mastoid along the vertical segment of the facial nerve, involving the floor of EAC, with bone destruction, decreased bone density, and the lake of continuity and wormy appearance of the cortical bone (Fig. 1). On MRI, multiple soft tissue signals were observed in the middle ear and mastoid region, displaying equal T1 and long T2 signals, with gadolinium contrast enhancement. MRI revealed EAC inflammation and infiltration of retrocondylar fat. Although, a soft tissue lesion of 6 mm equal T1 and long T2 signals with a homogenous hyper-enhancement after intravenous contrast injection, involved the floor of EAC, and caused an osteolytic erosion of the mastoid along the vertical segment of the facial nerve (Fig. 1). Under general anesthesia, with facial nerve neuromonitoring, the mass was accessed by the transmastoid approach to exclude a malignant tumor. A malignant tumor was first suspected, and the surgery aim was diagnostic before the therapeutic decision. Only a biopsy was performed, and the nerve was preserved during surgery. The biopsy revealed a tumor arising from the Schwann's cells (Fig. 2). Histological examination revealed a lesion composed of spindle cells with wavy appearing nuclei. The nuclei were arranged in a palisading fashion. Mitotic activity was not present. Moreover, in this particular case, inflammatory cells were associated. Spindle cells were diffusely and strongly positive for S100 protein. The postoperative period was uneventful, with well-preserved facial nerve function and no taste disturbance. Systemic antibiotics (ciprofloxacin and ceftazidime) were prescribed during six weeks for malignant external otitis, and periodic follow-ups were recommended for chorda tympani schwannoma. No attempt was made to resect the represented chorda tympani tumor because the patient was symptom-free. Follow-up at six months showed the patient in good health, without recurrent disease. Pure tone audiogram showed a stable bilateral sensorineural hearing loss.


Discussion
This report presents an additional case of chorda tympani schwannoma. To the best of the authors' knowledge, this is the first case in literature with incidental radiological finding of asymptomatic chorda tympani schwannoma.
This is a very rare benign tumor for all authors, and Huoh and Cheung in 2010 reported only seven other cases in the English literature.1 However, a new review of the literature showed that 14 cases of chorda tympani schwannoma have been published in the English literature. 1-9Table 1 reports these cases, as well as this report's new case of chorda tympani schwannoma. Of the 15 patients, predominance among women was noted; six patients were males (40%) and nine were females (60%), a sex ratio of 0.6. The mean age at diagnosis was 38.5 years (range: 12-89 years). The tumor was located on the right side in nine cases (60%), the left side in four cases (27%), and this information was not reported in two cases (13%). Most of the cases were isolated chorda tympani schwannomas (87%), with only two cases reporting multiple schwannomas (13%): one patient with neurofibromatosis Type 1 reported by Nager in 1969,2 and one patient with neurofibromatosis Type 2 reported by Huoh and Cheung in 2010.1 Presenting symptoms at diagnosis were conductive or mixed hearing loss (60%), tinnitus (27%), earache (20%), vertigo (13%), facial palsy (13%), and fullness (7%). In one case, vertigo may have been unrelated and suggested benign paroxysmal vertigo.8 In another case, right facial weakness was present early in childhood, possibly from birth trauma.8 In the present case, MOE may have caused right earache and mixed hearing loss. In all cases except the present study, otoscopic examination found a retrotympanic mass or a mass in the EAC. From the evolution of medical imaging techniques, all cases presented a soft tissue lesion along the chorda tympani. Preoperative diagnoses included cholesteatoma, 5,8,9 glomus, 2,9 rhabdomyosarcoma,2 facial nerve schwannoma, 1,4,9 and malignant tumor in the present case. Diagnosis is usually made by biopsy and treatment is surgical, with preservation of facial and auditory function. Two patients did not have surgical resection (13%): one patient with neurofibromatosis,1 and one post-mortem case.3 Of the 12 patients operated on, postoperative clinical evaluation reported two cases of facial palsy (17%), one case of mixed hearing loss (8%), and one case of temporary taste disturbance (8%). The number of previous chorda tympani schwannoma cited by authors was wrong in all articles when these data were present. Review of the literature showed that 14 cases of chorda tympani schwannoma had been published in the English literature before the present case.
| Authors | Age/sex | Side | Clinical presentation | Otoscopic examination | Imaging examination | Postoperative clinical evaluation | Previous cases described |
|---|---|---|---|---|---|---|---|
| Undabetia et al.9 | 45/F | Right | Mixed HL, vertigo | Retrotympanic mass in the posterior quadrant | Mass in the tympanic cavity | FP HBII, mixed HL | NR |
| Huoh and Cheung1 | 24/F | Right | HL, tinnitus, FP | Retrotympanic mass | Chorda tympani tumor | No surgery | 7 |
| Hopkins et al.8 | 53/M | Right | Vertigo, mixed HL | Retrotympanic mass in the posterosuperior quadrant | Mass in the tympanic cavity, extending into the attic | Temporary taste disturbance | 5 |
| Biggs and Fagan7 | 26/F | Right | Life-long ear disease | Mass retrotympanic | Tumors in the hypotympanum | Normal | 4 |
| Magliulo et al.2 | 58/F | Left | Conductive HL, tinnitus | Mass in the EAC | Lesion in the EAC extending into the lower tympanic cavity, with osteolytic erosion along the vertical segment of the facial nerve | Normal, no recurrence (two-year postop) | 5 |
| Chai et al.6 | 60/F | Left | Conductive HL | Mass retrotympanic | Lesion medial to the malleus, extending into the attic | Normal | 5 |
| Browning et al.5 | 51/F | Right | HL, earache | Mass in the posterosuperior EAC and retrotympanic in the posterosuperior quadrant | Normal | Normal | 5 |
| Saleh et al.2 | 62/F | Left | Tinnitus | Mass in the posterosuperior EAC | NR | Normal, no recurrence (seven-year postop) | NR |
| Lopes Filho et al.4 | 25/M | Right | Fullness, earache | Tumor in the posterior EAC | Normal | Normal | 2 |
| Sanna et al.2 | 14/F | Right | Progressive FP | NR | Normal | FP HBII (two-year postop) | NR |
| Wiet et al.2 | 12/M | Left | Conductive HL | Mass in the posteroinferior EAC | Mass in the EAC with erosive changes of the posterior wall | Normal | NR |
| Babin et al.3 | 18/M | NR | Asymptomatic | NR | NR | No surgery; post-mortem study | NR |
| Pou and Chambers2 | 18/F | Right | Conductive HL, tinnitus | Mass in the EAC | Normal | Normal, no recurrence (six-month postop) | 0 |
| Nager2 | 22/M | NR | NR | NR | NR | NR | NR |
Taste disturbance was not documented in any previous case, which is in accordance with this patient. The slow growing nature of the neuroma is likely to allow compensatory mechanisms to occur without the patient experiencing dysgeusia.8 Moreover, resection of the chorda tympani often causes no subjective change in overall taste sensation. The nerve is often sacrificed in middle-ear surgery; one study noted a 31% incidence of permanent taste alteration in cases of complete nerve resection.10
To the best of the authors' knowledge, this is the first case in literature with incidental radiological finding of asymptomatic chorda tympani schwannoma. In this case, MOE may have caused right earache and mixed hearing loss. The schwannoma might be asymptomatic because the lesion was small. Otoscopic examination showed clinical presentation of MOE and lesion was not apparent. All of the previous cases showed a mass in the EAC or behind an intact tympanic membrane. Thus, this case is the first case in literature of asymptomatic chorda tympani schwannoma with no tumorous lesion at otoscopic examination. Babin described one post mortem study of asymptomatic chorda tympani, but otoscopic and imaging examination was not reported.3 Schwannomas are easily diagnosed by imaging, which, generally speaking, is very good at delineating the extension of the lesion and orienting the surgical procedures. However, in this study, the lesion measured 6 mm and MRI analysis was more difficult for the small lesion.
In 1981, Babin described three neuromas occurring in the presence of chronic inflammatory middle ear disease.3 Histologically all three resembled traumatic (reparative) neuromas. The authors suggested that occasionally, long-term exposure of the facial nerve to chronic inflammation results in proliferation of neurofibrils, leading to neuroma formation. The present case occurred in the presence of chronic inflammatory external ear disease with a six-month history of otitis externa.
MOE, also known as necrotizing otitis externa, corresponds to osteomyelitis of the skull base, typically due to P. aeruginosa, initially arising in the EAC. The presence of systemic predisposing factors (diabetes), otoscopic signs, and especially resistance to topical treatment should raise the suspicion of MOE. An early clinical diagnosis confirmed by imaging and microbiology allows initiation of appropriate antibiotic therapy, which very likely will limit the extent of necrosis and the development of central nervous system complications. The clinical presentation as well as the particular diagnostic and therapeutic problem encountered. No consensus diagnostic flow diagram has been published in the literature, which frequently results in delayed diagnosis and inappropriate primary care management. In the present case, biopsy of an atypical tumorous lesion was rapidly performed because diagnosis is frequently difficult and malignant tumor must be excluded, leading to the diagnosis of this novel case of chorda tympani schwannoma.
Conclusion
An osteolytic lesion along the chorda tympani must evoke a schwannoma. Although rare, this diagnosis should be considered in the same manner as a malignant tumor.
References
Huoh KC, Cheung SW. Chorda tympani neuroma. Otol Neurotol. 2010;31:1172-3.
Magliulo G, D'Amico R, Varacalli S, Ciniglio-Appiani G. Chorda tympani neuroma: diagnosis and management. Am J Otolaryngol. 2000;21:65-8.
Babin RW, Fratkin J, Harker LA. Traumatic neuromas of the facial nerve. Arch Otolaryngol. 1981;107:55-8.
Lopes Filho O, Bussoloti Filho I, Betti ET, Burlamachi JC, Eckley CA. Neuroma of the chorda tympani nerve. Ear Nose Throat J. 1993;72:730-2.
Browning ST, Phillipps JJ, Williams N. Schwannoma of the chorda tympani nerve. J Laryngol Otol. 2000;114:81-2.
Chai F, Vanopulos K, McManus T. Chorda tympani schwannoma. Aust N Z J Surg. 2000;70:827-8.
Biggs ND, Fagan PA. Schwannoma of the chorda tympani. J Laryngol Otol. 2001;115:50-2.
Hopkins C, Chau H, McGilligan JA. Chorda tympani neuroma masquerading as cholesteatoma. J Laryngol Otol. 2003;117:987-8.
Undabeitia JI, Undabeitia J, Padilla L, Municio A. Chorda tympani neuroma. Acta Otorrinolaringol Esp. 2014;65:263-5.
Yeo SB, Loy AH. Chorda tympani trauma - how much does it affect taste?. Singapore Med J. 1997;38:329-31.
Notes
Author notes
* Corresponding author. E-mail:marion.montava@ap-hm.fr (M. Montava).
Conflict of interest declaration
The authors declare no conflicts of interest.