PATHOLOGY
Received: 19 June 2016
Accepted: 02 November 2016
DOI: 10.5935/1676-2444.20160066
ABSTRACT: Langerhans cell histiocytosis is the designated name for a spectrum of rare diseases that affects children from one- to three-years-old, which name refers to the proliferation of cells morphologically and immunophenotypically similar to the specialized dendritic cells of the skin and mucosa (Langerhans cells). This article reports a case of multisystemic Langerhans cell histiocytosis diagnosed by autopsy of a four-day newborn with confirmation by immunohistochemistry and secondary systemic infection associated.
Key words: Langerhans-cell histiocytosis, Langerhans cells, sepsis.
RESUMO: Histiocitose de células de Langerhans é a nomenclatura designada para um espectro de doenças raras que acomete preferencialmente crianças de 1 a 3 anos, cujo nome refere-se à proliferação de células morfológica e imunofenotipicamente similares às células dendríticas especializadas da pele e da mucosa (células de Langerhans). Este artigo relata um caso de histiocitose de células de Langerhans multissistêmica, diagnosticado por meio de autópsia de um recém-nascido de 4 dias, com confirmação pela imuno-histoquímica e presença de infecção generalizada secundária associada.
Unitermos: histiocitose de células de Langerhans, células de Langerhans, sepse.
INTRODUCTION
Langerhans cell histiocytosis (LCH) is the designated name for a spectrum of rare diseases1, which name refers to the proliferation of cells morphologically and immunophenotypically similar to the specialized dendritic cells of the skin and mucosa (Langerhans cells). It is considered a rare disease, and its real incidence is unknown, due to the diagnostic difficulty in the general population, and the diagnosis is more frequently concluded only in the reference centers2,3.
The condition can be found in any age group and is more common in children from 1-3 years old2,3.
The multisystemic form, also called Letterer-Siwe disease, is the disseminated form of LCH affecting many organs4.
We report in this article a case of multisystemic LCH diagnosed by the autopsy of a four-day newborn who died at the Instituto de Medicina Integral Professor Fernando Figueira (IMIP), Pernambuco, Brazil.
OBJECTIVES
To report the case of a neonatal death due to multisystemic LCH diagnosed after an autopsy at the Serviço de Verificação de Óbitos (SVO) (Hospital Postmortem Examination) from Pernambuco, as well as to perform the microscopic analysis of the material collected in the service of Pathological Anatomy of IMIP.
CASE REPORT
Newborn, 4 days following birth, male, prenatal with no particularities, normal delivery at 38 weeks of gestation, weighing 3.3 kg at birth and Apgar score 8/9, with reddish plaques diffusely distributed throughout the body from the birth (Figure 1). He was admitted in IMIP at the fifth hour of life with reddish, multiform, raised skin lesions on the face, trunk, limbs and palate. Some lesions have evolved with desquamation, becoming friable, with formation of crusts. Complete blood count (CBC) and coagulation profile were normal; chest X-ray showed bilateral diffuse infiltrate with normal heart area. The patient evolved to death, still under investigation, without diagnosis definition, was referred to the SVO for autopsy.

In gross examination of the autopsy, brown or friable crusted skin lesions were found externally, diffusely throughout the body (Figure 2). The internal organs exhibited congestion, showing a gallbladder with thick, yellowish, purulent-looking contents, dilated intrahepatic bile ducts - filled by the same material found in the gallbladder -, inflated and wine-colored lungs with bilateral hepatization and enlarged mediastinal lymph nodes with yellowish nodule.

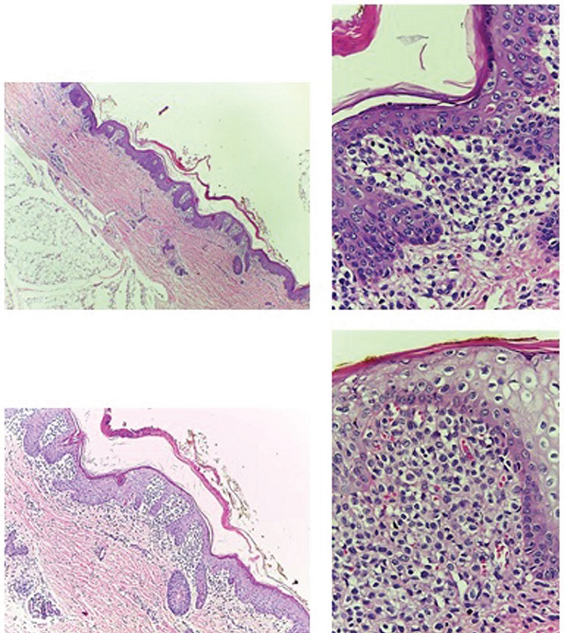
In the microscopic examination of the collected material were observed aggregates of histiocyte with reniform nuclei, sometimes showing cleft, and abundant cytoplasm in the dermis (Figure 3). These aggregates were also found in the lung, spleen, liver, mediastinal lymph nodes, and gallbladder (Figure 4). There were areas of ulceration and bacterial colonies in the epidermis. In the analysis of the other organs, lymphadenopathy, bilateral pneumonia, bilateral acute pyelonephritis, acute transinfectious hepatitis with cholestasis and acute cholecystitis were observed, with bacterial colonies (Figure 4) diffusely present in the internal organs, thus characterizing a generalized infection condition.


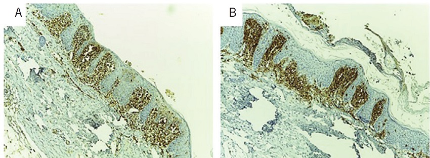
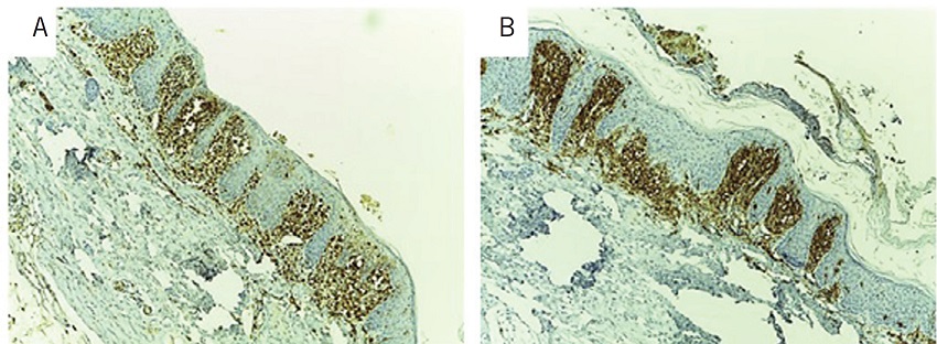
An immunohistochemical study was performed with the markers for the Langerhans cells (CD1a and S100), with positive labeling on dermis suspected cells (Figure 5) and on other organs previously mentioned (Figure 6), confirming the diagnosis of multisystemic LCH - Letterer-Siwe disease.


DISCUSSION
LCH has been described with different nomenclatures according to the clinical presentation, systemic and prognostic involvement. Oliveira et al . (2012) emphasize that LCH division should be avoided, and it is more appropriate to consider it as a single disease with a broad spectrum of clinical presentations, since one form may evolve to another and the same patient may present characteristics of more than one variant5. It is extremely important to identify the involvement of multiple organs that requires systemic treatment, and localized presentations that benefit only from topical treatment and observation6.
Skin lesions have shown great variability, and are more commonly found in multisystemic presentation, with the presence of multiple pink-yellowish papules on the trunk, face and scalp, simulating seborrheic dermatitis6. Histologically, the infiltrate is composed of dense aggregates of histiocytes with reniform or indented nucleus and eosinophilic cytoplasm, some cells containing Birbeck granules (observed under the electron microscope), permeated by eosinophils. In the skin, histiocytes can infiltrate the epidermis, developing a pagetoid pattern. The cells express immunophenotyping of Langerhans cells, positively labeled for S100 and CD1a antigens7.
The case presented characterizes the multisystemic form of LCH, also called Letterer-Siwe disease, which is the acute and disseminated form, most present in the first year of life, usually with rapid evolution and poor prognosis. In the case reported, generalized secondary infection worsened and contributed to death before diagnosis, preventing treatment of the underlying cause.
REFERENCES
Weedon D. Weedon's Skin Pathology. 3rd ed. Churchill Livingstone Elsevier; 2010.
Carstensen H, Ornvold K. The epidemiology of LCH in children in Denmark, 1975-89. Med Pediatr Oncol. 1993; 21: 387.
Baumgartner I, von Hochstetter A, Baumert B, Luetolf U, Follath F. Langerhans'-cell histiocytosis in adults. Med Pediatr Oncol. 1997; 28(1): 9. PubMed PMID: 8950330.
Geissmann F, Lepelletier Y, Fraitag S, et al. Differentiation of Langerhans cells in Langerhans cell histiocytosis. Blood. 2001; 97(5): 1241-8. PubMed PMID: 11222366.
Oliveira A, Pinto de Almeida T, Lobo I, Machado S, Selores M. Langerhans cell histiocytosis: two clinical presentations in the same patient. Dermatol Online J [Internet]. 2012;18(1): 8. Available at: http://escholarship.org/uc/item/543311pg
Rubio-González B, García-Bracamonte B, Ortiz-Romero PL, Postigo-Llorente C, Vanaclocha-Sebastián F. Multisystemic Langerhans cell histiocytosis mimicking diffuse neonatal hemangiomatosis. Pediatric Dermatol. 2014 mai/jun; 31(3): e87-9. PubMed PMID: 24588084.
Rakesh SV, Thappa DM. Quiz. Indian J Dermatol Venereol Leprol [Internet]. 2003; 69: 241-2. Available at: http://www.ijdvl.com/text.asp?2003/69/3/241/1012
Author notes
Corresponding author: Larissa Albuquerque Paiva, Laboratório de Anatomia Patológica do IMIP, Rua dos Coelhos, 300; Boa Vista, CEP: 50070-550; Recife-PE, Brasil. e-mail: lali_paiva@yahoo.com.br