PATHOLOGY
Received: 31 August 2016
Revised document received: 18 November 2016
Accepted: 28 November 2016
DOI: 10.5935/1676-2444.20170010
ABSTRACT: Primary bone manifestation associated with hypercalcemia is an infrequent presentation of acute lymphoblastic leukemia (ALL) in children. An 8-year-old girl was admitted with bone and abdomen pain, vomiting, fever, headache, anemia, elevated serum calcium and normal parathyroid hormone levels. Bone radiographs: osteolytic lesions. Bone marrow biopsy showed an infiltration by ALL with immunohistochemical positivity for CD45, CD20, CD79a, TdT and CD10, clinically characterized by hypercalcemia, multifocal osteolytic lesions and single cytopenia. Bone marrow biopsy was a relevant aid in establishing the diagnosis of multifocal osteolytic lesions, associated with hypercalcemia.
Key words: precursor B-cell lymphoblastic leukemia-lymphoma, bone marrow, hypercalcemia.
RESUMO: Apresentação óssea primária associada à hipercalcemia é manifestação clinicolaboratorial infrequente de leucemia linfoblástica aguda (LLA) em crianças. Relatamos o caso de uma criança do sexo feminino, 8 anos, admitida com dores ósseas e no abdômen associadas a vômitos, febre, cefaleia, anemia, hipercalcemia e níveis de paratormônio normais. Radiografias ósseas apresentaram lesões osteolíticas. Biópsia de medula óssea demonstrou infiltração por LLA com positividade imuno-histoquímica para CD45, CD79a, TdT e CD10, clinicamente caracterizada por hipercalcemia, lesões osteolíticas multifocais e citopenia única. A biópsia de medula óssea é importante ferramenta no estabelecimento do diagnóstico de lesões osteolíticas multifocais associada à hipercalcemia.
Unitermos: leucemia-linfoma linfoblástico de células precursoras B, medula óssea, hipercalcemia.
INTRODUCTION
Acute lymphoblastic leukemia (ALL) is the most common hematologic malignancy of the childhood, occurring under six years of age in 75% of the cases. The clinical and laboratory presentation without leukocytosis is infrequent(1). Bone lesions in patients with ALL are described in the context of initial manifestations or during its evolution and/or treatment. The association with hypercalcemia, a metabolic emergency, is observed between 0.6% and 4.8% of children with this cancer(2-4). We reported an unusual case of a child with lytic lesions, hypercalcemia and peripheral blood single cytopenia, whose diagnosis of ALL was established by the bone marrow biopsy.
CASE REPORT
An 8-year-old girl was admitted to the pediatric emergency with bone and abdominal pain associated with vomiting, fever, and headache. Initial laboratory tests showed anemia and hypercalcemia (calcium determination of 17.8 mg/dl, reference value: 8.4-10.2 mg/dl), with average levels of parathyroid hormone. Bone radiographs showed osteolytic lesions in upper limbs, lower limbs, skull and vertebrae (Figure 1). Bone marrow aspirates, biopsies of lytic bone lesions and assessments by flow cytometry were not representative for diagnostic analysis.

Radiological image shows multiple lytic bone lesions in the right upper limb.
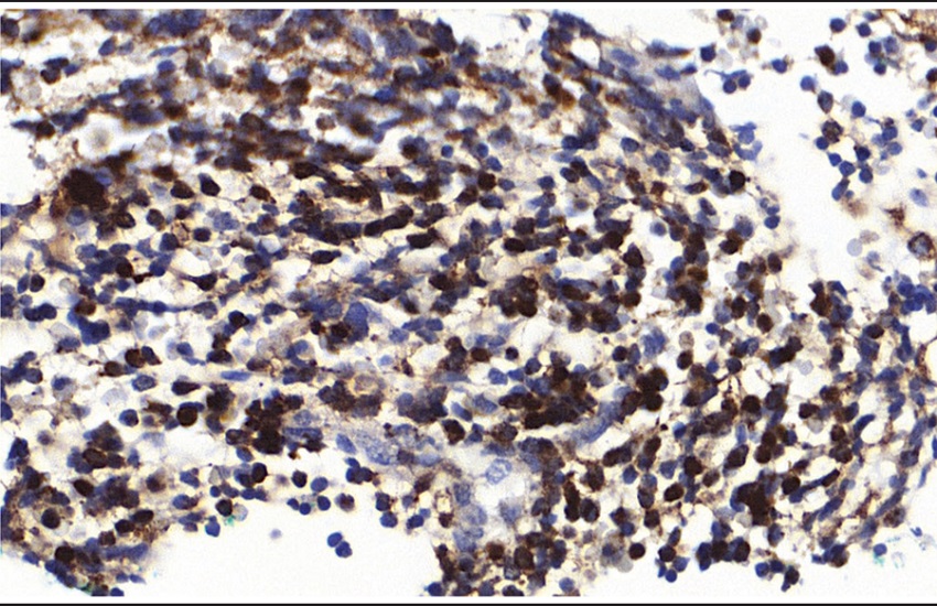
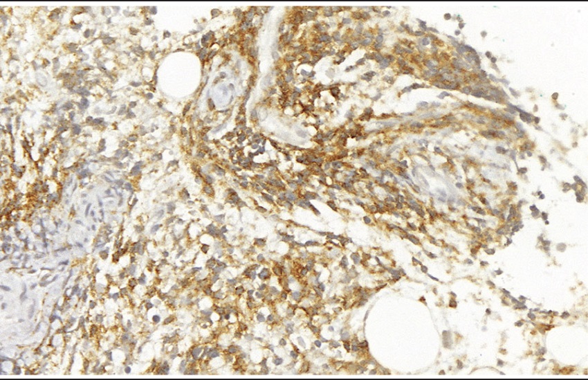
The iliac crest bone marrow biopsy exhibited marked hypercellularity due to an interstitial infiltration by malignant neoplasm with small round cells (Figure 2). There were foci of fibrosis and increased bone marrow reticulin (Figure 3). Immunohistochemical study shows positivity for CD45 (2B11 + PD7/26, Dako, ready for use), CD20 (clone L26, dilution 1:250, Cell Marque), CD79a (JCB117, Dako, ready for use, Figure 4), TdT (polyclonal, Dako, ready for use, Figure 5) and CD10 (56C6, Dako, ready for use, Figure 6), negativity for CD99 (12E7, Dako, ready for use), desmin (D33, Dako, ready for use), CD3 (polyclonal, Cell Marque, dilution 1:150), CD163 (MRQ-26, Cell Marque, ready for use) and CD1a (010, Dako, ready for use). Immunohistochemistry demonstrates positivity for CD45 (Figure 4), CD79a (Figure 5), CD20, TdT and CD10. Morphological and immunohistochemical findings were consistent with the diagnosis of acute lymphoblastic leukemia, immunophenotype B (B-ALL), with a bone primary multifocal presentation, clinically characterized by hypercalcemia, multifocal osteolytic lesions and single cytopenia. The patient received the chemotherapic protocol called BFM-2002 (Berlin-Frankfurt Munster European Group for ALL treatment) but had several clinical complications secondary to treatment and ultimately died after ten months of treatment.

Malignant neoplasm characterized by small round cell pattern.
HE hematoxilin and eosin.

Increased bone marrow reticulin with fibrosis foci.

Positivity for CD79a indicates the immunophenotype B of the neoplasm.

Nuclear positivity for TdT indicates the diagnosis of ALL.
ALL acute lymphoblastic leukemia.

Positivity for CD10 is a prognostic factor in the context of ALL.
ALLacute lymphoblastic leukemia.
DISCUSSION
Hypercalcemia is a metabolic emergency due to its potential risk of causing cardiac arrhythmia, renal injury, acidosis, hypertension, dehydration and coma(2). Malignancies are a major cause of elevated serum calcium levels, designating the phenomenon known as hypercalcemia of malignancy. Between 5%-20% of adults with cancer can present this electrolyte complication(2). In the pediatric population, however, this rate varies from 0.6% to 4.8%(4).
Hypercalcemia may occur in the context of hematological or non-hematological malignancies. Among the former, the plasma cell neoplasms and T-cell lymphomas/leukemia are the most representative(5). Among non-hematological malignancies, the most relevant tumors are renal cell carcinoma, non-small cell lung carcinomas and breast carcinomas. In childhood, rhabdomyosarcoma, hepatoblastoma, lymphomas, neuroblastomas and central nervous system tumors are the most frequent malignancies related to hypercalcemia(5).
ALL is primarily a disease of childhood, and B-ALL is the most common (80%-85%). It is a lymphoblast neoplasm characterized by immature cells of small to medium size, with scant cytoplasm, large nuclei, and inconspicuous nucleoli. The clinical presentation without bone marrow infiltration defines the designation of lymphoblastic lymphoma, while the bone marrow infiltration defines the diagnosis of ALL. Extramedullary involvement is often reported in skin, bone, soft tissues and lymph nodes(1).
The clinical feature of B-ALL is a consequence of bone marrow failure, which may exhibit one or combined cytopenias(1). Hemorrhagic events and fatigue are common and also represent the medullary functional abnormalities(3). Lymphadenopathy, hepatomegaly, splenomegaly, arthralgia and bone pain are signs and symptoms also reported(1,3,6). The white blood cell count varies from decreased to sharply increased(7). Patients with extramedullary presentations, like skin, bone and lymph nodes may present average leukocyte count, even in the presence of bone marrow involvement(1).
Bone pain is relatively common and described in approximately 50% of patients(1,7). Pain may also occur in the course of the disease or during treatment. The presence of these symptoms should raise the possibility of bone infiltration, imposing the differential diagnosis with Ewing's sarcoma/primitive neuroectodermal tumor (PNET), neuroblastoma and rhabdomyosarcoma(3,6,7). The radiographic osteolytic pattern in the metaphyseal and cortical topography is described in leukemic bone infiltration, and the symptom intensity is related to the degree of damage(3). The biopsy of bone lesions can be an important tool for differential diagnosis. However, samples can represent only necrotic tissue, hampering diagnosis. In the case of representative biopsies, the morphological findings set this malignancy in the group of small round blue cell malignant neoplasms, and immunohistochemistry becomes crucial for the specific diagnosis(3,8). In this report, the initial diagnostic approaches were inconclusive. The bone marrow biopsy provided the diagnosis of B-ALL. The presentation of lytic bone lesions, hypercalcemia, and normal white blood cell count represents an atypical case of B-ALL.
Hypercalcemia in the context of hematological malignancies is explained by: 1) the osteolytic activity induced directly by tumor cells, as shown, for example, in multiple myeloma and some cases of lymphoma; and 2) paraneoplastic manifestation: tumor cells induce production of parathyroid hormone (PTH), which would act as stimulating osteoclast by increased bone resorption and changing the tubular renal physiology(5,9). Our patient had hypercalcemia with normal PTH levels. Sukumar et al. (2013)(9) stated the performance of bone marrow biopsy in every child presenting hypercalcemia in which hematological malignancies cannot be ruled out, even in the absence of blood count abnormalities(9). However, patients with ALL and hypercalcemia with lytic bone lesions without leukocytosis or lymphoid blasts in the peripheral blood are scarce.
In conclusion, patients with hypercalcemia and lytic bone lesions may have bone marrow involvement by hematologic malignancy, even without peripheral signaling. In this setting, bone marrow biopsy is essential for diagnosis through morphological and immunohistochemical studies(4,6,10).
REFERENCES
Brunning RD, Borowitz M, Matutes E, Head D. Precursor N lymphoblastic leukaemia/lymphoblastic lymphoma. In: Swerdlow SH, Campo E, Harris NL, et al., editors. WHO Classification of Tumors of Hematopoietic and lymphoid tissues. Vol 2. 4th ed. Lyon: IARC; 2008. p. 111-4.
Mathur M, Sykes JA, Saxena VR, Rao SP, Goldman GM. Treatment of acute lymphoblastic leukemia-induced extreme hypercalcemia with pamidronate and calcitonin. Pediatr Crit Care Med. 2003; 4: 252-55.
Abbas AAH, Husain AH, Abdelaal MA, Albaz NM, Yousef AA, Fryer CJH. Acute lymphoblastic leukemia presenting with extensive skeletal lesions and bone marrow necrosis. Med Pediatr Oncol. 2001; 37: 64-6.
Lee Y, Lim YJ, Bae JJ, Kim JY, Shin JH. Hypercalcemia and extensive osteolytic lesion with increased plasma prostaglandin E2 level in a child with acute lymphoblastic leukemia. Korean J Hematol. 2007; 42(4): 433-8.
Trehan A, Cheetham T, Bailey S. Hypercalcemia in acute lymphoblastic leukemia. An overview. J Pediatr Hematol Oncol. 2009; 32(6): 424-7.
Bahoush G, Miri-Aliabad G. Severe hypercalcemia: a rare and unusual presentation of childhood acute lymphoblastic leukemia. Int J Hematol Oncol Stem Cell Res. 2014; 8(2): 38-40.
Chung SW, Kim S, Choi JR, Yoo TH, Cha IH. Osteolytic mandible presenting as an initial manifestation of an adult acute lymphoblastic leukaemia. Int J Oral Maxillofac Surg. 2011; 40(12): 1438-40.
Shimonodan H, Nagayama J, Nagatoshi Y, et al. Acute lymphocytic leukemia in adolescence with multiple osteolytic lesions and hypercalcemia mediated by lymphoblast-producing parathyroid hormone-related peptide: a case report and review of the literature. Pediatr Blood Cancer. 2005; 45: 333-9.
Sukumar SP, Balachandra K, Sahoo JP, Kamalanathan S. Acute lymphocytic leukaemia presenting as a metabolic bone disease. BMJ Case Rep. 2013; 15: 1-3.
Kolyva S, Efthymiadou A, Gkentzi D, Karana-Cinopoulou A, Varvarigou A. Hypercalcemia and osteolytic lesions as presenting symptoms of acute lymphoblastic leukemia in childhood. The use of zoledronic acid and review of the literature. J Pediatr Endocrinol Metab. 2014; 27(3-4): 349-54.
Author notes
CORRESPONDING AUTHOR: Cristiano Claudino Oliveira Departamento de Patologia; Faculdade de Medicina de Botucatu; Universidade Estadual Paulista; Distrito de Rubião Júnior, s/n; CEP: 18618-030. Botucatu-SP, Brasil; e-mail: cristiano_c_oliveira@hotmail.com