CYTOPATHOLOGY
Comparison of cythopathology and frozen section methods in the intraoperative evaluation of breast sentinel lymph node
Comparação dos métodos de citopatologia e de cortes por congelação na avaliação intraoperatória do linfonodo sentinela de mama
Comparison of cythopathology and frozen section methods in the intraoperative evaluation of breast sentinel lymph node
Jornal Brasileiro de Patologia e Medicina Laboratorial, vol. 53, no. 4, pp. 276-280, 2017
Sociedade Brasileira de Patologia Clínica; Sociedade Brasileira de Patologia; Sociedade Brasileira de Citopatologia
Received: 25 April 2017
Accepted: 11 July 2017
ABSTRACT
Introduction: Cytopathologic analysis (CP) and frozen section (FS) are available techniques for intraoperative evaluation of sentinel lymph node in surgeries for breast cancer treatment that will define the need for axillary lymphadenectomy.
Objective: To compare CP and FS of axillary sentinel lymph nodes in metastasis detection of patients with breast cancer.
Materials and methods: The electronic files from January 2010 and December 2014, from the Centro de Patologia de Curitiba, Parana, Brazil were reviewed, and were included all the cases in which the result of intraoperative exams by both methods, CP and FS, were recorded. The results of intraoperative exams were compared to the histopathology by hematoxylin and eosin (HE) staining.
Results: A total of 183 sentinel lymph nodes from 94 patients were included. The mean age was 55 years and mean lymph node size was 11.70 mm. There was one false-positive case in both intraoperative methods and four false-negatives in FS, which were micrometastasis. FS's sensibility, specificity, positive predictive value (PPV) and negative predictive value (NPV) and accuracy were respectively 80%, 99.38%, 94.11%, 96.42% and 97.26%. Regarding CP, there were six false-negative in which four were micrometastasis. CP's sensibility, specificity, PPV and NPV and accuracy were respectively 70%, 99.38%, 93.33%, 96.42% and 97.26%.
Conclusion: The results of the present study shows that both CP and FS are reliable techniques for metastasis detection in breast sentinel lymph nodes, and are equivalent in sensibility, specificity, accuracy, PPV and NPV.
Key words: frozen sections+ sentinel lymph node biopsy+ breast cancer.
RESUMO
Introdução: A análise citopatológica (CP) e o método de corte por congelação (CC) são técnicas disponíveis de avaliação intraoperatória do linfonodo sentinela nas cirurgias para tratamento de câncer de mama que vão definir a necessidade de linfadenectomia axilar.
Objetivo: Comparar a avaliação CP e os CCs de linfonodos sentinela axilares na pesquisa de metástases em pacientes com câncer mamário.
Materiais e método: Foram revisados os arquivos eletrônicos do Centro de Patologia de Curitiba, Paraná, Brasil, de janeiro de 2010 a dezembro de 2014, sendo incluídos os casos em que constavam o resultado do exame intraoperatório por ambos os métodos, CP e CC. Os resultados dos exames intraoperatórios foram comparados com a histopatologia, corada por hematoxilina e eosina (HE).
Resultados: Foram incluídos 183 linfonodos sentinelas de 94 pacientes. A idade média foi de 55 anos, e o tamanho médio dos linfonodos, de 11,70 mm. Houve um caso falso positivo nos dois métodos intraoperatórios e quatro falso negativos na CC, entre os quais todos eram micrometástases. Sensibilidade, especificidade, valor preditivo positivo (VPP), valor preditivo negativo (VPN) e acurácia do CC foram, respectivamente, 80%, 99,38%, 94,11%, 96,42% e 97,26%. Já na CP, houve seis falso negativos, entre esses, quatro eram micrometástases. Sensibilidade, especificidade, VPP, VPN e acurácia da CP foram, respectivamente, 70%, 99,38%, 93,33%, 96,42% e 97,26%.
Conclusão: Os resultados do presente estudo demonstraram que CP e CC são técnicas confiáveis para detecção de metástase em linfonodos sentinela de mama e se equivalem em sensibilidade, especificidade, acurácia, VPP e VPN.
Unitermos: secções congeladas, biópsia de linfonodo sentinela, neoplasias da mama.
INTRODUCTION
Breast cancer is the second most incident cancer worldwide, with 1.4 million cases (10.9%) and ranks fifth in cancer deaths(1).
The main prognostic factor in invasive breast carcinoma is the axillary lymph node involvement. Traditionally, axillary lymph node dissection was considered the main therapeutic factor for local control of the disease, and an important prognostic factor. However, such procedure is associated with high morbidity, resulting in lymph edema and compromised upper limbs. With the advent of sentinel lymph node biopsy, unnecessary axillary lymph node dissection could be reduced(2, 3).
The frozen sections (FS) and cytopathologic analysis (CP) are intraoperative techniques that evaluate the presence of metastases in sentinel lymph nodes during mastectomy. The result of these techniques prevents the patient to return for a new surgery, immediately assessing the need for further axillary clearance(4, 5). In cases where the intraoperative examination shows false-negative results, there may be a need for axillary lymph node dissection in a second surgical time(6). However, the histopathological evaluation of the paraffin-embedded material remains the gold standard for the identification of sentinel lymph node metastases. Therefore, after confirmation by biopsy, the efficacy of intraoperative techniques can be evaluated.
OBJECTIVE
To compare the CP and FS techniques in the intraoperative assessment of sentinel lymph nodes in patients with breast cancer.
MATERIALS AND METHODS
This is an observational, descriptive, retrospective study, approved by the Research Ethics Committee of the Health Sciences Sector of the Universidade Federal do Paraná (UFPR), under the opinion number 1.070.833.
The material studied was obtained from the anatomopathological reports of the Centro de Patologia de Curitiba (CPC) of the Hospital Nossa Senhora das Graças, during the period between January 2010 and December 2014. We analyzed the electronic records of patients with breast cancer that underwent both mastectomy and conservative surgery, with intraoperative examination of the sentinel lymph node, which had the samples evaluated by both FS and CP examination. We excluded the cases in which the intraoperative examination result did not specify the findings in both methods concomitantly. The results of intraoperative examinations were compared with the respective definitive examinations of the paraffin-embedded material.
We collected data regarding gender, age, histological type of breast cancer, primary tumor, lymph node and metastasis size, and whether or not metastases were detected in FS and CP analysis.
The histological types were categorized according to the classification of breast tumors of the World Health Organization (WHO)(7), and were divided into invasive breast carcinoma of no special and special type.
The size of the metastasis was classified according to the tumor-node-metastasis (TNM staging system) classification of malignant tumors(8), which considers micrometastasis the infiltrations between 0.2 mm and 2 mm, and as macrometastases those greater than 2 mm.
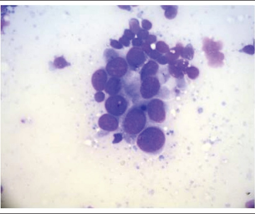
The CP technique employed was by imprint (transfer) or by scraping the cut surface of the lymph node on its longest axis. The slides were fixed in 70% alcohol and stained by toluidine blue (Figure 1).

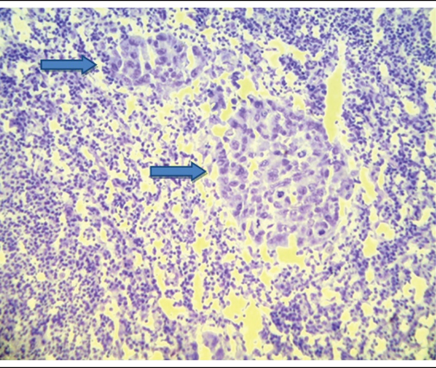
FS were performed in the Shandon® cryostat, in 10 to 15 micron slides and stained with toluidine blue (Figure 2).

The intraoperative examinations were performed by six different CPC pathologists according to daily scale, and the definitive paraffin examination by a pathologist with specialization in breast pathology.
We calculated the values of sensitivity, specificity, positive predictive value (PPV) and negative predictive value (NPV), percentage of false-positives and false-negatives, and accuracy of the intraoperative examination by CP technique and by FS in cryostat using the definitive histopathological examination as the standard-gold.
RESULTS
We selected 94 cases, all of which were female patients. The mean age was 55 years, ranging from 27 to 86 years.
From these patients, we analyzed 183 sentinel lymph nodes considered as independent samples. The mean lymph node size was 11.70 mm and the mean primary tumor size was 20.52 mm. We found 69 cases of tumors of the no special histological type, 25 of the special type.
CP (Figure 1) was positive in 15 lymph nodes and negative in 168. There was one false-positive case (6.67%) and six false-negative cases (3.57%). The sensitivity of the test was 70% and the specificity was 99.38%. PPV and NPV were, respectively, 93.33% and 96.42%. The accuracy found in this test was 96.17%.
FS (Figure 2) was positive in 17 lymph nodes and negative in 166. Among the positive ones, there was one false-positive (5.88%) and, among the negative ones, four false-negative (2.4%). The sensitivity of the test found was 80% and the specificity was 99.38%. PPV and NPV were, respectively, 94.11% and 96.42%. The accuracy found in this test was 97.26%.
The gold standard diagnosis by histopathology showed that 19 lymph nodes were affected by metastases, of which seven were micrometastasis, one was suspect, and 163 were negative. In the suspected case, the immunohistochemical evaluation confirmed the presence of metastasis. In this case, considered positive in the definitive examination, both FS and CP were false-negatives (Table 1).
| Method | Sensitivity (%) | CI (95%) | Specificity (%) | CI (95%) |
|---|---|---|---|---|
| CP | 70 | 45.7-88.1 | 99.4 | 99.2-99.9 |
| FS | 80 | 56.3-94.3 | 99.4 | 99.2-99.9 |
| FS + CP | 85 | 62.1-96.8 | 99.4 | 99.2-99.9 |
DISCUSSION
CP and FS are the intraoperative methods most commonly used for breast metastasis screening in breast sentinel lymph node. Cytopathology is a fast and low-cost method whose performance does not cause loss of material for evaluation in the subsequent permanent cutting(9). The FS method, although more expensive than other techniques and having a possible loss of material, would have the potential advantage of preserving tissue architecture, including the size of the metastasis(10).
In the present study, the accuracy of both methods was high and very close, 96.17% (CP) and 97.26% (FS). In the literature, the sensitivity of these techniques varies from 33%-96% for CP and 44%-100% for FS, while specificity almost does not vary, and is always close to 100% for both techniques(11). However, although many studies analyze the efficacy of CP and FS, only a few compare the two methods. The sensitivity and specificity in this study were, respectively, 70% and 99.36% for CP, 80% and 99.38% for FS. These values separately correspond to the range of variation of each technique. In a meta-analysis from 2005, Tew et al. calculated the sensitivity and group specificity of four studies comparing CP and FS with sensitivity and specificity values, respectively, of 62% and 99% for CP, 76% and 99% for FS(11). In our study, although FS has a greater sensitivity, there was no statistically significant difference when compared to CP. The same occurs in most other studies that compared CP and FS, which can be observed in Table 2.
| Studies | CP sensitivity (%) | CP specificity (%) | FS sensitivity (%) | FS specificity (%) |
|---|---|---|---|---|
| Arlicot (2013)(12) | 33.3 | - | 59.3 | - |
| Azarpina (2012)(6) | 90 | 100 | 90 | 100 |
| Wang (2012)(13) | 76.2 | 97.3 | 69 | 99.5 |
| Lumachi (2012)(14) | 70.3 | 98.6 | 75.7 | 100 |
| Francz (2011)(5) | 69.44 | 97.8 | 58.3 | 100 |
| Memar (2010)(15) | 80 | 100 | 91 | 100 |
| Krishnamurthy (2009)(16) | 50 | 100 | 72.2 | 97.5 |
| Vanderveen (2008)(17) | 66 | 99.5 | 67 | 99.5 |
| Calebioglu (2006)(18) | 51 | - | 73.5 | - |
| Brogi (2005)(19) | 57 | - | 59 | - |
| Tew (2005)(11) | 62 | 99 | 76 | 99 |
| Aihara (2004)(20) | 86 | - | 89 | - |
| Authors (2017) | 70 | 99.4 | 80 | 99.4 |
The variation of sensitivity and specificity results of the two methods in the studies is mainly related to the different techniques used(21). In CP, the preparation technique and the staining used differ from study to study. In FS, the reduction of sections thickness guarantees a greater diagnostic sensitivity(22). However, intraoperative examination is not always within the reach of all centers, since it depends on the technical ability and experience of the pathologist to perform the procedure within the adequate surgical time.
Our study also detected the presence of four false-negatives in FS and six in CP. One of these cases of cytology occurred due to an error in the interpretation of metastatic lobular carcinoma. In this type of neoplasia, metastatic cells present scarce cytoplasm and low atypia, making this error relatively frequent(5, 16, 22). All other cases were associated with micrometastasis. In one of the micrometastasis cases, neither detected by CP nor FS, the diagnosis in histology was only suspect and confirmed by immunohistochemistry, which highlights the diagnostic challenge imposed by micrometastasis. Both techniques demonstrated in other studies lower sensitivity in the detection of micrometastasis(22-24). Our study determined sensitivity for FS of 100% for macrometastasis and 42.8% for micrometastasis. For CP, the same occurred: sensitivity for macrometastasis was 92.3% and 28% for micrometastasis. However, the role of micrometastasis diagnosis is not defined in the literature(25).
The occurrence of false-positive is an extremely undesirable fact in the intraoperative examinations as it leads to unnecessary treatment, which occurred only once in our study. In this case, both CP and FS demonstrated an atypical pattern, which could be related to the neoadjuvant chemotherapy to which the patient was submitted. This treatment induces changes in the cells and lymph node architecture, and may have contributed to the diagnostic misunderstanding; however, a study with a greater number of cases would demonstrate this relationship.
The association of the two methods is a routine in CPC, however, it was demonstrated that the sensitivity gain with FS was not relevant. Although the association embodies a greater sensitivity (85%), it is also not statistically superior to the methods isolated.
CONCLUSION
The results of the present study demonstrated that CP and FS are reliable techniques for the detection of macrometastasis in sentinel lymph nodes of the breast. There was no superiority of one method over the other in diagnostic performance, and the association of the two techniques did not prove to be superior to any of them alone.
SUPPORT
Scientific Initiation Research Project of the Universidade Federal do Paraná (UFPR) and Fundação Araucária.
REFERENCES
Câncer no Brasil: dados dos registros de base populacional. v. 4. Instituto Nacional de Câncer. Coordenação de Prevenção e Vigilância. Rio de Janeiro: INCA; 2010.
Lu Q, Tan EY, Ho B, et al. Achieving breast cancer surgery in a single setting with intraoperative frozen section analysis of the sentinel lymph node. Clin Breast Cancer [Internet]. 2013; 13(2): 140-5. Available at: http://linkinghub.elsevier.com/retrieve/pii/S1526820912002613.
Barakat FH, Sulaiman I, Sughayer MA. Reliability of frozen section in breast sentinel lymph node examination. Breast Cancer [Internet]. 2014; 21(5): 576-82. Available at: http://link.springer.com/10.1007/s12282-012-0431-5.
Quadros LGA, Gebrim LH. A pesquisa do linfonodo sentinela para o câncer de mama na prática clínica do ginecologista brasileiro. Rev Bras Ginecol e Obs [Internet]. 2007; 29(3). Available at: http://www.scielo.br/scielo.php?script=sci_arttext&pid=S0100-72032007000300008&lng=pt&nrm=iso&tlng=pt.
Francz M, Egervari K, Szollosi Z. Intraoperative evaluation of sentinel lymph nodes in breast cancer: comparison of frozen sections, imprint cytology and immunocytochemistry. Cytopathology [Internet]. 2011; 22(1): 36-42. Available at: http://www.ncbi.nlm.nih.gov/pubmed/20977506.
Azarpira N, Talei A, Safai A, Razeghi A, Monabati A. Comparing touch imprint cytology, frozen section analysis, and cytokeratin immunostaining for intraoperative evaluation of axillary sentinel lymph nodes in breast cancer. Indian J Pathol Microbiol [Internet]. Medknow Publications and Media Pvt. Ltd.; 2012; 55(2): 183. Available at: http://www.ijpmonline.org/article.asp?issn=0377-4929;year=2012;volume=55;issue=2;spage=183;epage=186;aulast=.
Lakhani S, Ellis I, Schnitt S, et al. WHO classification of tumours of the breast. 4th ed. Lyon: IARC Press; 2012.
UICC. TNM classification of malignant tumours. 7th ed. Geneva: Wiley- Liss; 2009.
Clarke D, Leung E, Chachlani N, et al. Intraoperative assessment of sentinel node using imprint cytology. World J Surg [Internet]. 2010; 34(1): 55-61. Available at: http://www.ncbi.nlm.nih.gov/pubmed/19953249.
Poling JS, Tsangaris TN, Argani P, Cimino-Mathews A. Frozen section evaluation of breast carcinoma sentinel lymph nodes: a retrospective review of 1,940 cases. Breast Cancer Res Treat [Internet]. 2014; 148(2): 355-61. Available at: http://link.springer.com/10.1007/s10549-014-3161-x.
Tew K, Irwig L, Matthews A, Crowe P, Macaskill P. Meta-analysis of sentinel node imprint cytology in breast cancer. Br J Surg [Internet]. 2005; 92(9): 1068-80. Available at: http://doi.wiley.com/10.1002/bjs.5139.
Arlicot C, Louarn ALE, Arbion F, et al. Evaluation of the two intraoperative examination methods for sentinel lymph node assessment: a multicentric and retrospective study on more than 2,000 nodes. Anticancer Res [Internet]. 2013; 33(3): 1045-52. Available at: http://ar.iiarjournals.org/content/33/3/1045.abstract.
Wang Y, Ou-yang T, Wu J, et al. Comparative study of one-step nucleic acid amplification assay, frozen section, and touch imprint cytology for intraoperative assessment of breast sentinel lymph node in Chinese patients. Cancer Sci [Internet]. 2012; 103(11): 1989-93. Available at: http://www.ncbi.nlm.nih.gov/pubmed/22924886.
Lumachi F, Marino F, Zanella S, Chiara GB, Basso SMM. Touch imprint cytology and frozen-section analysis for intraoperative evaluation of sentinel nodes in early breast cancer. Anticancer Res. 2012; 32(8): 3523-6.
Memar B, Sadeghi R, Ayati NK, et al. The value of touch imprint cytology and frozen section for intra-operative evaluation of axillary sentinel lymph nodes. Polish J Pathol [Internet]. 2010; 61(3): 161-5. Available at: http://www.ncbi.nlm.nih.gov/pubmed/21225499.
Krishnamurthy S, Meric-Bernstam F, Lucci A, et al. A prospective study comparing touch imprint cytology, frozen section analysis, and rapid cytokeratin immunostain for intraoperative evaluation of axillary sentinel lymph nodes in breast cancer. Cancer [Internet]. 2009; 115(7): 1555-62. Available at: http://doi.wiley.com/10.1002/cncr.24182.
Vanderveen KA, Ramsamooj R, Bold RJ. A Prospective, blinded trial of touch prep analysis versus frozen section for intraoperative evaluation of sentinel lymph nodes in breast cancer. Ann Surg Oncol [Internet]. 2008; 15(7): 2006-11. Available at: http://www.springerlink.com/index/10.1245/s10434-008-9944-8.
Celebioglu F, Sylvan M, Perbeck L, Bergkvist L, Frisell J. Intraoperative sentinel lymph node examination by frozen section, immunohistochemistry and imprint cytology during breast surgery - a prospective study. Eur J Cancer [Internet]. 2006; 42(5): 617-20. Available at: http://www.sciencedirect.com/science/article/pii/S0959804905010798.
Brogi E, Torres-Matundan E, Tan LK, Cody HS. The results of frozen section, touch preparation, and cytological smear are comparable for intraoperative examination of sentinel lymph nodes: a study in 133 breast cancer patients. Ann Surg Oncol [Internet]. 2005; 12(2): 173-80. Available at: http://www.ncbi.nlm.nih.gov/pubmed/15827799.
Aihara T, Munakata S, Morino H, Takatsuka Y. Comparison of frozen section and touch imprint cytology for evaluation of sentinel lymph node metastasis in breast cancer. Ann Surg Oncol [Internet]. 2004; 11(8): 747-50. Available at: http://www.ncbi.nlm.nih.gov/pubmed/15249334.
Sanguinetti A, Polistena A, Lucchini R, et al. Breast cancer micrometastasis and axillary sentinel lymph nodes frozen section. Our experience and review of literature. Int J Surg. Elsevier Ltd; 2014; 12 Suppl 1: S12-5.
Layfield DM, Agrawal A, Roche H, Cutress RI. Intraoperative assessment of sentinel lymph nodes in breast cancer. Br J Surg. 2011; 98(1): 4-17.
Thomé JA, Mendiburu CF, Palma FMC, Moriel AR, Fett-Conte AC. Intraoperative frozen section assessment in the evaluation of axillary sentinel lymph node in breast cancer. J Bras Patol Med Lab. 2012; 48(5): 369-73.
Bañuelos-Andrío L, Rodríguez-Caravaca G, Argüelles-Pintos M, Mitjavilla-Casanovas M. Validez diagnóstica del análisis intraoperatorio mediante sección en congelación del ganglio centinela en el manejo quirúrgico del cáncer de mama. Rev Esp Med Nucl Imagen Mol [Internet]. 2014; 33(4): 193-8. Available at: http://linkinghub.elsevier.com/retrieve/pii/S2253654X13001571.
Naidoo K, Pinder SE. Micro- and macro-metastasis in the axillary lymph node: a review. Surgeon [Internet]. 2016; 35(11-12): 260-5. Available at: http://www.pubmedcentral.nih.gov/articlerender.fcgi?artid=4321503&tool=pmcentrez&rendertype=abstract.
Author notes
CORRESPONDING AUTHOR: Luiz Martins Collaço, Rua Padre Agostino, 1.477; CEP: 80710-000; Curitiba-PR; e-mail: lmcollaco@uol.com.br.