PATHOLOGY
Pancreatic adenosquamous carcinoma, a rare entity: report of four cases
Carcinoma adenoescamoso do pâncreas, uma entidade rara: relato de quatro casos
Pancreatic adenosquamous carcinoma, a rare entity: report of four cases
Jornal Brasileiro de Patologia e Medicina Laboratorial, vol. 53, no. 5, pp. 325-329, 2017
Sociedade Brasileira de Patologia Clínica; Sociedade Brasileira de Patologia; Sociedade Brasileira de Citopatologia
Received: 10 April 2017
Accepted: 07 September 2017
ABSTRACT: Adenosquamous carcinoma of the pancreas (ASCP) is a rare variant of the pancreatic ductal adenocarcinoma (PDAC). Between 2004 and 2016, four cases of ASCP were resected at our institution; clinicopathological data were collected. All of our patients were males, aged 55-80 years. Three cases were cephalic tumors; and one, pancreatic tail tumor, measuring between 2.3 and 5.5 cm. All had neurovascular invasion and lymphatic metastasis. Two had retroperitoneal positive margins. The overall survival (OS) after surgery was three weeks-42 months. Prognosis of ASCP is dark and OS appears to be more closely related to surgical margins status than to other clinicopathological factors.
Key words: pancreas, adenosquamous carcinoma.
RESUMO: O carcinoma adenoescamoso pancreático (ASCP) é uma variante rara do adenocarcinoma ductal (PDAC). Entre 2004 e 2016, foram ressecados quatro casos de ASCP em nossa instituição, com registro dos dados clínicos e patológicos. Os pacientes eram homens entre 55 e 80 anos. Três tumores eram cefálicos; e um, caudal, com dimensões variáveis entre 2,3 e 5,5 cm. Todos tinham invasão neurovascular e metástases linfáticas; dois, margens cirúrgicas retroperitoneais positivas. A sobrevida global (SG) pós-cirurgia foi de três semanas a 42 meses. O prognóstico do ASCP é sombrio, com SG aparentemente mais relacionada com o status das margens cirúrgicas do que com outro fator clinicopatológico.
Unitermos: pâncreas, carcinoma adenoescamoso.
INTRODUCTION
Pancreatic cancer (PC) is the fourth most fatal cancer in Europe, in both men and women(1). With continuous rising of deaths, and incidence rates almost matching its mortality rate, it is a form of malignancy that causes great concern. It mainly affects patients between 60 and 80 years of age, however it shows a wide age range, and it is more common in males, with a male-female ratio of 1.5:1(2,3).
The World Health Organization (WHO) considers seven variants of pancreatic ductal adenocarcinoma (PDAC), being the adenosquamous carcinoma of the pancreas (ASCP) one of rarest, first described by Herxheimer, in 1907, using the term "adenocancroid"(3,4).
ASCP is also referred to in the literature as adenoacanthoma, mixed squamous and adenocarcinoma, and mucoepidermoid carcinoma; it accounts for 1%-4% of all exocrine pancreatic tumors, being defined as a malignant epithelial neoplasm with both ductal and squamous differentiation, the latter accounting for at least 30% of tumor volume(3).
Adenosquamous carcinomas are also seen in other organs: lung, esophagus, colon, stomach, salivary glands, and the female reproductive tract(5).
In physiological conditions there are no squamous cells in the pancreas, but it is not uncommon to identify squamous metaplasia of the ductal cells, associated with chronic pancreatitis, and related to pancreatic or biliary duct stents. It has been thought that the squamous cell carcinoma of the pancreas may arise from ducts that have undergone squamous metaplasia secondary to chronic inflammation(6,7).
Peter Bailey et al. (2016)(8), in their work about the genomic analyses of PC, defined four subtypes of PC. One is the squamous subtype, which includes ASCP. This subtype included gene networks involved in inflammation, hypoxia, metabolic reprogramming, transforming growth factor beta (TGF-ß) signalling, myelocytomatosis viral oncogene homolog (MYC) pathway activation, autophagy and upregulated expression of TP63∆N. As other types of squamous cancer, it is associated with mutations in TP53, as suggested by immunohistochemical studies.
Regarding ASCP histogenesis, there are three main proposed mechanisms: one considers the differentiation from adenocarcinoma into squamous cell carcinoma; another, a neoplastic transformation from heterotopic squamous epithelium; and the last one, the differentiation of stem cells into ASCP(9).
On gross examination, ASCP is described as a yellow-white or grey firm mass with an infiltrative pattern, and areas of softening(10).
In computerized axial tomography scan (CAT-Scan) and magnetic resonance imaging (MRI) the tumor tends to be roundlobulated, with extensive central necrosis, often with thrombus in the portal vein(11).
Malignancy associated with hypercalcemia has been described in ASCP, a rare event in exocrine carcinomas of the pancreas. A case was reported with elevated levels of parathyroid hormone-related protein (PTH-rP) as a causative factor(12).
Studies revealed positive KRAS mutations in 100% of ASCP, along with other molecular anomalies, being the overexpression in MRP1, MGMT and TOP2A some of the most common(5).
The median survival of ASCP has been often reported as low, between six months after radical surgical resection and, very uncommonly, rising to two years(13).
MATERIALS AND METHODS
Between 2004 and 2016, four ASCP were resected and diagnosed on surgical specimens, at Centro Hospitalar e Universitário de Coimbra (CHUC), a tertiary and teaching hospital, actually a reference in hepatopancreatobiliary diseases, with a total of 98 PDAC resected over the same period.
Hematoxylin and eosin (HE) and immunohistochemistry slides were observed under a light microscope Nikon Eclipse 50i, and images were obtained using a Nikon-Digital Sight DS-Fi1 camera.
Immunohistochemistry studies were performed on one representative block of the lesion, resorting to avidin-biotinperoxidase complex detection system and performed on Ventana BenchMark ULTRA IHC/ISH Platform, using the following antibodies: cytokeratin 7 (CK7, SP52, Ventana, AZ-USA), cytokeratin 5/6 (CK5/6, D5/16B4, Ventana, AZ-USA) and p63 (4A4, Ventana, AZ-USA).
Tumours were staged according to the tumor-node-metastasis classification (TNM 8th edition) and the American Joint Committee on Cancer (AJCC)(14).
CASE REPORTS
Clinical data
The four male patients had median age of 66.5 years (range 55-80 years) at the time of diagnosis, three with cephalic tumor and one with cancer at the pancreatic tail.
The patients with head neoplasia had similar clinical presentations: abdominal discomfort, anorexia, weight loss and vomiting. One patient had also jaundice, acholia and choluria and medical history of diabetes. One patient had pathological background of anaplastic large B-cell lymphoma and spina bifida.
The patient with tumor at the tail was asymptomatic; the presentation was an incidental ultrasonography finding of nodule, adjacent to the lower third of spleen, later characterized by computed tomography (CT) scan.
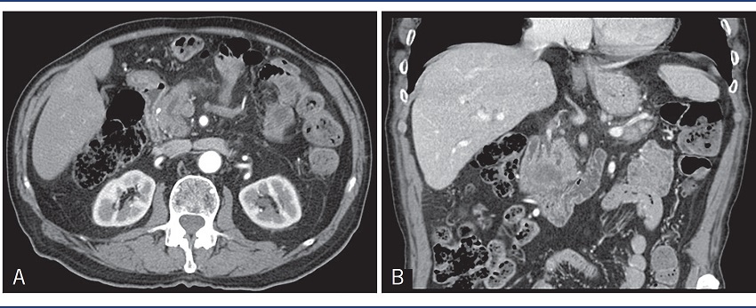
All our patients had evaluation by CT scan for better surgical approach (Figure 1). None of our patients had elevation of serum calcium levels along their clinical course.

A) axial cut: Wirsung dilation due to a cephalic pancreatic mass; B) coronal cut: cephalic pancreatic mass.
CT: computed tomography.
All patients were submitted to surgery between two weeks and a month after diagnosis - three cephalic duodenopancreatectomies and one caudal pancreatectomy.
Two patients received adjuvant radio- and chemotherapy, one refused and the other had no adequate clinical status.
Gross examination
Examination of the cephalic pancreatoduodenectomy specimens showed pancreatic masses in the head of the pancreas, with median size of 3.4 cm (range 2.3-5.5 cm), one widely coincident with the surgical margins of the uncinate process and posterior pancreas (Figure 2). Two tumors revealed infiltration of the duodenum with mucosal ulceration.
The tail surgical specimen revealed a 4-cm white firm mass, with extension to the peripancreatic adipose tissue and splenic hilum.

A) pancreatic sections, perpendicular to the bile duct (from superior to inferior);
B) contralateral view of the section, showing a yellow-white lesion, coincident with the uncus surgical margin; C) following section, presenting the continuity of the same lesion, involving the bile duct, touching the uncus surgical margin.
Microscopic evaluation
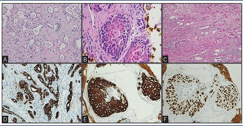
The tumors were formed by a double component, glandular and squamous, intermixed in a desmoplastic stroma. The first was represented by glands in a cribriform or isolated pattern, with slightly pleomorphic cells and grumpy chromatin (Figure 3A); the latter presented trabecular/solid architecture with polygonal and pleomorphic cells, with eosinophil cytoplasm, loss of nuclear polarity and visible nucleoli, dyskeratotic cells and keratin pearls (Figure 3B). The tumors had high mitotic activity, including atypical forms. All had neural and vascular invasion (Figure 3C), as well as lymph node metastasis. In one patient there was also lymph node involvement by diffuse large B-cell lymphoma, previously diagnosed.

A) HE 200x, glandular component; B) HE 400x, squamous component; C) HE 100x, neural invasion; D) CK7 immunostaining 200x, highlighting the glandular component; E) CK5/6 400x, immunolabeling in the squamous component; F) P63 400x, nuclei staining in the squamous component cells.
HE: hematoxylin and eosin.
The glandular component was positive for CK7 (Figure 3D) and the squamous component was reactive for CK5/6 (Figure 3E) and p63 (Figure 3F).
Three surgical specimens had evidences of chronic pancreatitis, two had pancreatic intraepithelial neoplasia (PanIN), two showed epidermoid ductal metaplasia, and one patient had an associated intraductal papillary mucinous neoplasm.
Regarding surgical margins, two of the cephalic specimens were compromised, one confirming the gross positive margins and the other with microscopic involvement of the uncinate process margins.
Diagnosis
All cases were diagnosed as ASCP and staged IIB; three as T2N1 and one as T3N1.
Follow-up
Among the patients with cephalic tumors, one went back to emergency room one month after surgery, with fever and generalized malaise, diagnosed with pancreatic fistula; he was hospitalized for 20 days, with antibiotic therapy, until clinical resolution. Until the moment of the article submission, eleven months after surgery, he was receiving adjuvant chemotherapy, without known relapse of malignancy.
Another patient had a residual pancreatic mass, discovered in a six-month follow-up positron emission tomography (PET)/CT scan. The patient missed his follow-up appointment and died nine months after surgery.
The last patient with cephalic tumor was hospitalized until his death, three weeks after surgery, with multidrug-resistant respiratory infection and kidney failure. No adjuvant radio- or chemotherapy was administered.
Regarding the patient with tail tumor, he died three and half years after surgery, with bone and hepatic secondary lesions.
The clinical and pathological characteristics are detailed in the Table.
| Age (years) | 55 | 66 | 67 | 80 |
|---|---|---|---|---|
| Gender | Male | Male | Male | Male |
| Presentation | Incidental ultrasonographic nodule | Weight loss, jaundice, pruritus, acholia and choluria | Dyspepsia, weight loss and vomits | Abdominal discomfort, anorexia, constipation and vomiting |
| Hypercalcemia | No | No | No | No |
| Surgical procedure | Caudal pancreatectomy and splenectomy | Cephalic duodenopancreatectomy | Cephalic duodenopancreatectomy | Cephalic duodenopancreatectomy |
| Chemotherapy/radiotherapy | Yes | Yes | No (refused) | No |
| Tumor size (cm) | 4 | 2.3 | 2.5 | 5.5 |
| Margin status | 0 | 1 | 0 | 2 |
| Other pancreatic findings | PanIN1 | Chronic pancreatitis | Chronic pancreatitis | |
| Intraductal papillary mucinous neoplasm | Chronic pancreatitis | Epidermoid ductal metaplasia | ||
| Epidermoid metaplasia of the Wirsung duct | Ductal hyperplasia | PanIN1 | ||
| Limph node metastasis (n) | 3/14 | 1/23 | 2/17 | 3/19 |
| Stage (TNM/AJCC) | T2N1/IIB | T2N1/IIB | T2N1/IIB | T3N1/IIB |
| Overall survival (months) | 42 | 7 | 11 | < 1 |
DISCUSSION
PC accounts for 2.7% of all new cancer cases in the US and about 4% of cancer deaths worldwide(15).
Over a 12-year period 98 PDAC were resected at our institution, four of them ASCP - 4%, in line with statistics from WHO (1%-4%).
ASCP prognosis is very ominous. Patients with PDAC submitted to surgical resection with curative intent after neoadjuvant multiagent chemotherapy, and consolidative radiation, have a median survival of 2-4 years, compared with ASCP, with a worst median survival of 7-11 months. This supports the theory that confers the squamous component a worse prognosis(3,16).
All of our patients were male, with ages between 55 and 80 years, with three pancreatic cephalic tumors and one tumor in the tail. The median tumor size was 3.6 cm (2.3-5.5 cm), all patients with vascular, neural invasion and lymph node metastasis (one to three metastatic nodes); two had residual tumor, one microscopic and the other macroscopic; all had vascular and neural invasion.
Morphology is typical, and usually the definitive diagnosis is straightforward, regarding ancillary studies; immunohistochemistry consistently reveals positivity for CK7 in the glandular component and for CK5/6 in the squamous component(3), as in our case.
Interestingly, we observed a weak and heterogeneous staining for CK7 in the squamous component that may support the differentiation from adenocarcinoma to squamous cell carcinoma theory(6).
The mean survival, after surgery, was 18 months, between three weeks and 42 months; however it must be noticed that one patient also had lymph nodes with involvement by a diffuse large B-cell lymphoma, and developed multidrug-resistant respiratory infection with kidney failure.
All tumors were in advanced stage - TNM: T2N1 and T3N1, stage IIB, with lymphovascular invasion, so prognosis and survival appear to be more closely related to surgical margins status, and less to localization or size.
Owing to the pancreas anatomy, and its retroperitoneal location, pancreatic margins are not easily accessed, requiring an experienced surgical team in order to obtain the best possible resection and eventually a better prognosis.
ASCP is a rare and aggressive tumor. More studies are needed in order to identify clinicopathological predictors.
REFERENCES
Ducreux M, Cuhna AS, Caramella C, et al. Cancer of the pancreas: ESMO clinical practice guidelines for diagnosis, treatment and follow-up. Ann Oncol. 2015; 26(suppl 5): 56-68.
Lampropoulos P, Filippou G, Skafida E, et al. Adenosquamous carcinoma of the pancreas, a rare tumor entity: a case report. Cases J. 2010; 2: 9129.
Bosman FT, World Health Organization, The International Agency for Research on Cancer. WHO classification of tumours of the digestive system. vol 3. 4 ed. Lyon: International Agency for Research on Cancer; 2010.
Boyd C, Benarroch-Gampel J, Sheffield K, et al. 415 patients with adenosquamous carcinoma of the pancreas: a population-based analysis of prognosis and survival. J Surg Res. 2011; 174(1): 12-9.
Borazanci E, Millis S, Korn R, et al. Adenosquamous carcinoma of the pancreas: molecular characterization of 23 patients along with a literature review. World J Gastrointest Oncol. 2015; 7(9): 132-40.
Al-Shehri A, Silverman S, King K. Squamous cell carcinoma of the pancreas: case report. Current Oncol. 2008; 15(6).
Layfield L, Cramer H, Madden J, et al. Atypical squamous epithelium in cytologic specimens from the pancreas: cytological differential diagnosis and clinical implications. Diagn Cytopathol. 2001; 25(1): 38-42.
Bailey P, Chang D, Nones K, et al. Genomic analyses identify molecular subtypes of pancreatic cancer. Nature. 2016; 531(7592): 47-52.
Kurdi Y, Peck J, Roth R, et al. A case of pancreatic adenosquamous carcinoma obstructing the common bile and pancreatic ducts, duodenum, and gastric outlet. Pancreas. 2016; 45(3).
Kardon D, Thompson L, Przygodzki R, et al. Adenosquamous carcinoma of the pancreas: a clinicopathologic series of 25 cases. Mod Pathol. 2001; 14(5): 443-51.
Toshima F, Inoue D, Yoshida K, et al. Adenosquamous carcinoma of pancreas: CT and MR imaging features in eight patients, with pathologic correlations and comparison with adenocarcinoma of pancreas. Abdom Radiol (NY). 2016; 41(3): 508-20.
Kobayashi N, Higurashi T, Iida H, et al. Adenosquamous carcinoma of the pancreas associated with humoral hypercalcemia of malignancy (HHM). J Hepatobiliary Pancreat Surg. 2008; 15(5): 531-5.
Katz M, Taylor T, Al-Refaie W, et al. Adenosquamous versus adenocarcinoma of the pancreas: a population-based outcomes analysis. J Gastrointest Surg. 2010; 15(1): 165-74.
Amin-Mahul B. AJCC Cancer Staging Manual. 8 ed. New York: Springer; 2017.
Yeo T. Demographics, epidemiology, and inheritance of pancreatic ductal adenocarcinoma. Semin Oncol. 2015; 42(1): 8-18.
Shubert C, Bergquist J, Groeschl R, et al. Overall survival is increased among stage III pancreatic adenocarcinoma patients receiving neoadjuvant chemotherapy compared to surgery first and adjuvant chemotherapy: an intention to treat analysis of the National Cancer Database. Surgery. 2016; 160(4): 1080-96.
Author notes
All authors contributed to the paper by gathering and supplying the data necessary for its elaboration. RA and RCO wrote the paper; HD, BF and PGO collected clinical data; and MAC reviewed the paper and approved the final version.
CORRESPONDING AUTHOR: Rui Jorge Gonçalinho de Almeida, Urbanização Quinta da Vista Alegre, bloco 19, 2º andar direito; CEP: 5100-007; Lamego, Portugal; e-mail: ruigoncalinhoalmeida@gmail.com.
Conflict of interest declaration
The authors have no conflict of interests to disclose.