PATHOLOGY
Unusual presentation of oral actinomycosis in the tongue: case report
Apresentação incomum de actinomicose em língua: relato de caso
Unusual presentation of oral actinomycosis in the tongue: case report
Jornal Brasileiro de Patologia e Medicina Laboratorial, vol. 53, no. 5, pp. 330-333, 2017
Sociedade Brasileira de Patologia Clínica; Sociedade Brasileira de Patologia; Sociedade Brasileira de Citopatologia
Received: 08 September 2017
Accepted: 08 September 2017
ABSTRACT: Actinomycosis is a rare infection caused by bacteria of Actinomyces genus that can affect both soft and bone tissues; it may be associated with trauma or previous infections. This paper aims to report a clinical case of actinomycosis on the lateral border of the tongue originating from a previous trauma with the use of sclerosing substance for treatment of vascular malformation. The patient underwent debridement of necrotic tissue in the region, and the material was sent for histopathological analysis, which confirmed the diagnosis of actinomycosis. After two years of follow-up, no recurrence was detected.
Key words: actinomycosis, tongue, infection.
RESUMO: A actinomicose é uma infecção rara causada pela bactéria do gênero Actinomyces, que pode acometer tanto tecidos moles como ósseo; pode estar associada a traumas ou infecções prévias. O presente trabalho tem o objetivo de relatar um caso clínico de actinomicose na borda lateral de língua originária de um trauma prévio com o uso de substância esclerosante para tratamento de malformação vascular. A paciente foi submetida ao debridamento de tecido necrótico na região, e o material, encaminhado para análise histopatológica, confirmando o diagnóstico de actinomicose. Após dois anos de acompanhamento, não se detectou recidiva.
Unitermos: actinomicose, língua, infecção.
INTRODUCTION
Actinomycosis is an infection caused by Gram-positive bacteria of the Actinomyces genus. They are commensal microorganisms common in oral, pharyngeal and gastrointestinal microbiota. The sites colonized by these bacteria can be pathways to infection in soft and/or bone tissues, associated with trauma or previous infection(1-3).
The head and neck region accounts for approximately 55% of actinomycosis cases; the mandible is the most common location. This infection is characterized by sulfur granules and suppurative granulomatous inflammation, with the presence of abscess and fistula. The clinical presentation may be either acute or chronic. The acute infection occurs less frequently and may exhibit a floating swelling, pain and fever. On the other hand, the chronic infection is more common and may evince slow progressive volume increase, with or without symptoms, slight temperature elevation and development over a long period of time(4).
Predisposing factors are local and systemic. Poor oral hygiene, traumas, surgical procedures, diabetes, and immunosuppression can influence the development of actinomycosis. Clinical diagnosis is often troublesome, as this condition can mimic fungal infections and malignant tumors. For this reason, the aim of our work is to report an uncommon clinical case of Actinomyces infection in the tongue after use of a sclerosing substance for the treatment of vascular malformation, as well as to discuss aspects related to dental practice.
CASE REPORT
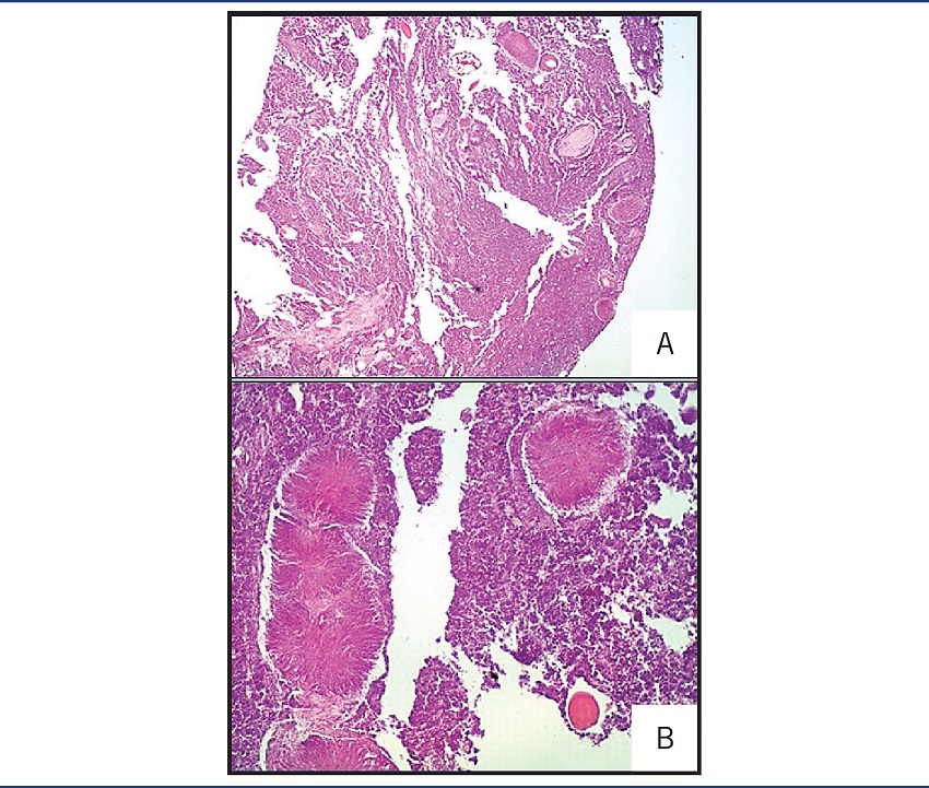
A 44-year-old female sought treatment for a tongue lesion that had enlarged over two months. The patient was immunocompetent, and her medical history was noncontributory. Extraoral examination and head and neck lymph nodes were within normal limits. Intraoral evaluation revealed a 0.7-cm purplish vesicobullous lesion, soft in consistency, situated on the lateral border of the tongue (Figure 1A). After diascopy,a clinical diagnosis of vascular malformation was made. Thus, sclerotherapy with a 1.2 ml solution of monoethanolamine oleate injection 5% (Ethamolin®) was administered around the lesion. After seven days, intraoral exam showed an increased volume of ligneous consistency associated with extensive tissue necrosis and purulent secretion (Figure 1B) in the area previously injected with Ethamolin®. Debridement of the region was performed (Figure 1C), and the histopathological examination revealed granulation tissue with the multiple sulfur granules characteristic of actinomycosis (Figures 2A and 2B). After 21 days, there was complete regression of the lesion (Figure 1D). A chest radiograph was taken, which did not show changes: the infection was restricted to the oral mucosa. On account of the clinical findings (after sclerosing therapy in the vascular lesion) and the histopathological findings (after lesion debridement), the diagnosis of actinomycosis secondary to Ethamolin®-induced trauma was confirmed. After a two-year follow-up, relapse was not observed (Figure 3).

A) vascular lesion on the right lateral border of the tongue; B) swelling exhibiting significant necrosis associated with purulent discharge seven days after injection of Ethamolin®; C) clinical aspect after debridement of the infected area; D) complete regression of the lesion 21 days after sclerotherapy.

A) photomicrograph demonstrating granulation tissue with multiple sulfur granules (HE, 100x); B) morphology detail of round eosinophilic structures with projection of thin basophilic radiating filaments, compatible with sulfur granules (HE, 400x).
HE: hematoxylin and eosin.

DISCUSSION
Actinomycosis most often involves the region of head and neck, and is rare in the oral cavity. Although Actinomyces is naturally present in the oral microbiota, it seldom becomes pathogenic. This disease affects essentially soft tissue and can develop in situations of tissue injury and poor oral hygiene. The case reported here is unusual and occurred on the lateral border of the tongue after a trauma induced by injection of a sclerosing agent to treat vascular malformation(2,3,5). Including the current case, only 19 cases have been reported in the literature so far, based on searches in PubMed and Medline databases, about lesions caused by this bacterium in the tongue, what accounts for less than 3%, in comparison with other sites(6).
The tongue has some histological and physiological features that make it quite resistant to infection, such as the keratinized epithelial lining, the vascular-rich parenchyma, the great mobility and the mechanic cleansing by saliva(6).
Our case happened on the lateral border of the tongue after use of a sclerosing agent for treatment of a vascular malformation, what may have favored the entry of opportunistic microorganisms, such as the Actinomyces. The dose of Ethamolin® usually recommended for cases of vascular malformation is 0.1 ml/cm of lesion according to its largest dimension. Hence, the dose may have been too high for the lesion, and a triggering factor for the infection(7).
Patients predisposed to develop actinomycosis are generally immunosuppressed, diabetic, those on long-term corticosteroid therapy or in the habits of drinking and smoking(1-3,5). Our patient, in her turn, was immunocompetent, and her clinical history was not contributory, resembling some reports found in the literature(6,8).
Clinically, she presented with the acute form of the disease, as also reported by Figueiredo et al. (2012)(4). Although the characteristics of pain and increased temperature were not present in our case, the patient displayed an acute stage, seen that there was swelling associated with a large area of necrosis and purulent discharge just seven days after the first injection.
Pathogens may enter the respiratory tract by inhalation and cause thoracic actinomycosis, mainly involving lungs and mediastinum(9). The importance of an early adequate diagnosis prior to treatment aims to avoid dissemination of the disease. A chest radiograph was performed in the patient and did not show alterations, a fact that indicated the infection was restricted to the lateral border of the tongue.
The clinical diagnosis of actinomycosis is difficult due to its capacity to mimic tumors, granulomatous diseases, or fungal infections(6,9), besides its possibility of being associated with traumas and even bisphosphonates-induced osteonecrosis when there is bone exposure. Among the diagnostic methods, culture is the gold standard, although challenging, due to the difficulty of growing bacteria in an anaerobic environment. Other methods have already been reported, such as image examination, cytopathology analysis of tissues and secretions collected from the infection site(4,5,10).
In the current case, the material was collected from the debridement of the lesion, for the presence of necrotic tissue, and sent to histopathological analysis, which revealed a granulation reaction intermingled with multiple colonies of microorganisms, displaying round morphology in a pattern of rosettes. These showed peripheral club-shaped, sometimes eosinophilic, structures compatible with sulfur granules characteristic of infection by Actinomyces, seeming like those identified in several cases in the literature(1-4). In this histopathological analysis, remnants of vascular malformation were not observed in the studied sections, what allows us to conclude that the administration of Ethamolin®, although having been the entry port to the infection, contributed to involution of the vascular malformation. When histopathological examination is not enough to establish the diagnosis, bacterial colonies may also be visualized by the Gram and Grocott-Gomori methods.
The treatment of actinomycosis consists of surgical debridement, drainage and antibiotic use. Surgical intervention is conducted, above all, when a neoplasm is clinically suspected, as well as lesions in which there are necrotic tissues and fistulae(1). In order to decrease relapse rate in some cases, extended antibiotic therapy is necessary, and penicillin is the drug of choice; long-term follow-up is recommended(3). Since the patient was immunocompetent, antibiotic therapy was not provided; besides, the infection was localized, and did not show clinical signs of relapse after debridement. After 21 days, complete regression of the lesion was observed; after two years of follow-up, relapse was not detected.
Regular visits to the dentist are fundamental to evaluate possible recurrences, since actinomycosis can relapse years after contamination by Actinomyces, or years after an inadequate first treatment(1,9).
CONCLUSION
The clinical diagnosis of actinomycosis is difficult to be achieved because of the varied clinical manifestations of the disease and its strong association with traumas and loss of mucosal integrity. Therefore, health professionals must be aware of the existence of infectious mouth ulcers that can mimic malignant conditions. It is extremely important that diagnosis is correctly established so that the adopted treatment is coherent with the condition exhibited by the patient.
REFERENCES
Cho JY. The treatment of actinomycosis mimicking a retained root tip: a confusing case. J Korean Assoc Oral Maxillofac Surg. 2016; 42: 205-8.
Abdullgaffar B, Ghandoor K, Ahli Q. Actinomycotic sinus of the buccal mucosa: a rare complication of cheek dimple creation. Aesthet Surg J. 2014; 34(8): 80-2.
Sun C, Henkin JM, Ririe C, Javadi E. Implant failure associated with actinomycosis in a medically compromised patient. J Oral Implantol. 2013; 39(2): 206-9.
Figueiredo LMG, Trindade SC, Sarmento VA, Oliveira TFL, Muniz WR, Valente ROH. Actinomycotic osteomyelitis of the mandible: an unusual case. Oral Maxillofac Surg. 2012; 17(4): 299-302.
Finley AM, Beeson MS. Actinomycosis osteomyelitis of the mandible. Am J Emerg Med. 2010; 28(118): 118-4.
Kurtaran H, Ugur KS, Ark N, Vuran O, Gunduz M. Tongue abscess with actinomycosis. J Craniofac Surg. 2011; 22(3): 1107-9.
Costa JRS, Torriani MA, Hosni ES, D'Avila OP, Figueiredo PJ. Sclerotherapy for vascular malformations in the oral and maxillofacial region: treatment and follow-up of 66 lesions. J Oral Maxillofac Surg. 2011; 69: 88-92.
Habibi A, Salehinejad J, Saghafi S, Mellati E, Habibi M. Actinomycosis of the tongue. Arch Iranian Med. 2008; 11(5): 566-8.
Vidakovic B, Macan D, Peric B, Manojlovic S. Actinomycosis of the cheek. Srp Arh Celok Lek. 2014; 142 (7-8): 472-5.
Panya S, Fliefel R, Probst F, et al. Role of microbiological culture and polymerase chain reaction (PCR) of actinomyces in medication-related osteonecrosis of the jaw (MRONJ). J Craniomaxillofac Surg. 2017; 30: 1-7.
Author notes
CORRESPONDING AUTHOR: Ondina Karla Mousinho da Silva Rocha, Universidade Federal do Rio Grande do Norte; Departamento de Odontologia; Avenida Senador Salgado Filho, 1.787; Lagoa Nova; CEP: 59056-000; Natal-RN, Brasil; e-mail: ondina_rocha@hotmail.com.