PATHOLOGY
Conservative therapy for central giant cell lesion: case report
Terapia conservadora para lesão central de células gigantes: relato de caso
Conservative therapy for central giant cell lesion: case report
Jornal Brasileiro de Patologia e Medicina Laboratorial, vol. 53, no. 6, pp. 403-406, 2017
Sociedade Brasileira de Patologia Clínica; Sociedade Brasileira de Patologia; Sociedade Brasileira de Citopatologia
Received: 09 August 2017
Revised document received: 12 November 2017
Accepted: 13 November 2017
ABSTRACT: Case report of central giant cell lesion (CGCL) in a 32-year-old female patient, who exhibited asymptomatic increase in mandible volume and integrity of the adjacent alveolar mucosa, she was submitted to conservative treatment. The imaging exams showed radiolucent and multilocular lesion with displacement and discrete root resorption of the teeth 34 and 35. An incisional biopsy was performed and the final diagnosis of CGCL was established. The patient was submitted to biweekly applications of triamcinolone hexacetonide, showing no recurrence and exhibiting bone reintegration. Treatment of extensive lesions with intralesional corticosteroid injections has shown satisfactory effects.
Key words: mandible, oral pathology, triamcinolone.
RESUMO: Relato de caso de lesão central de células gigantes (LCCG) em uma paciente do sexo feminino, 32 anos de idade, que exibiu aumento de volume assintomático em região mandibular e apresentou integridade da mucosa alveolar adjacente, sendo submetida a tratamento conservador. Os exames de imagem evidenciaram lesão radiolúcida e multilocular com deslocamento e discreta reabsorção radicular do 34 e 35. Foi realizada biópsia incisional com diagnóstico final de LCCG. A paciente foi submetida a aplicações quinzenais de hexacetonido de triancinolona, não apresentando recidiva e exibindo reintegração óssea. O tratamento de lesões extensas com injeções intralesionais de corticoides tem mostrado efeitos satisfatórios.
Unitermos: mandíbula, patologia bucal, triancinolona.
INTRODUCTION
The central giant cell lesion (CGCL) was first described by Jaffe (1953)(1) as a "maxillary giant cell reparative granuloma". It is an intraosseous lesion, whose etiopathogenesis remains uncertain, and is considered reactive or neoplastic. It mainly affects patients in the younger age group, between 10 and 25 years, with incidence of 2:1 in the mandible when compared to the maxilla(2-4).
The biological behavior of CGCL can vary from a non-aggressive lesion - in which there is no symptoms, slow growth, no cortical bone resorption or perforation - to an aggressive pathological process, exhibiting pain, paresthesia, rapid growth, root resorption and cortical perforation(5). In radiographic analysis, CGCL can range from small unilocular apical lesions to large multilocular radiolucencies, involving the gnathic bones(4).
Histopathologically, CGCL is characterized by the proliferation of mononuclear mesenchymal cells in a matrix of fibrous connective tissue associated with the presence of numerous multinucleated giant cells(2, 3). Although surgical treatment is the most common, however, in aggressive lesions it may cause large bone defects, impairment of fine structures and significant facial disfigurement(6). Thus, intralesional injections of corticosteroids has been increasingly used(4, 6). The objective of this study is to report a case of CGCL, emphasizing a conservative therapy.
CASE REPORT
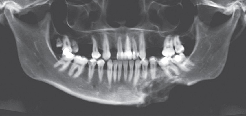
A 32-year-old female patient admitted in the Dental Department at the Hospital Batista Memorial with an slowgrowing increase in the region of left mandibular body volume and no painful symptoms (Figure 1A). Intraoral examination showed an increase in the volume with stony consistency, reduction in the depth of vestibular sulcus, discreet displacement of teeth 35 and 34 and integrity of the adjacent alveolar mucosa (Figures 1B and 1C). The image examination revealed multilocular osteolytic lesion, with cortical bone expansion, as well as discrete root resorption of the involved teeth (Figure 2). The patient underwent an incisional biopsy, which revealed proliferation of mesenchymal cells associated with an exuberant population of multinucleated giant cells and hemorrhagic foci (Figure 3). Tests for evaluating the serum levels of calcium, alkaline-phosphatase and parathyroid hormone were ordered and were within normal limits, ruling out Brown tumor of hyperparathyroidism (BTH), and the final diagnosis was CGCL. The patient underwent six intralesional applications, fortnightly, of 20 mg/ml triamcinolone hexacetonide diluted in anesthetic solution of 2% lidocaine/epinephrine 1:200.000 in a ratio of 1:1; 1 ml of the solution was infiltrated for each cm3 of the lesion. Radiographic follow-up revealed increased radiopacity, associated with a reduction of the lesion when compared to the initial radiographs. However, there was persistence of a bone callus in the region (Figure 4). One year after treatment completion, the patient performed osteoplasty of the mandible to improve the aesthetic and bone contouring. She has been under follow-up for five years, with no signs of recurrence.

A) extraoral photography in which there is evidence of increase in left mandibular volume; frontal (B) and occlusal (C) intraoral photography, showing an increase in the mandibular body volume, reduction in the depth of vestibular sulcus and integrity of the alveolar mucosa.

A) panoramic radiograph showing a multilocular radiolucent image in the left mandibular body region, involving teeth 34, 35 and 36 with discrete root resorption; B) CT, coronal section, showing hypodense lesion expanding the cortical bone.
CT: computed tomography.

Photomicrography highlighting the proliferation of mononuclear mesenchymal cells associated with a population of multinucleated giant cells in a matrix of fibrous connective tissue and extravasated red blood cells (HE, 40×) HE: hematoxylin and eosin.

DISCUSSION
CGCL of maxillary bones is a group of uncommon lesions representing less than 7% of all benign tumor in this region(3). It occurs mainly in children or young adults, and shows predilection for the female sex(6). It affects the jaw frequently and usually does not present symptoms(3, 6). Histopathologically, differential diagnosis with the brown tumor of hyperparathyroidism (BTH) and cherubism is performed(7), however, the patient clinically exhibited a single lesion in the mandible and presented serum levels of parathyroid hormone, calcium and alkaline-phosphatase within the normal range. Thus, in the case reported, the hypotheses of cherubism and BTHs were ruled out.
The management of these lesions has traditionally been performed through surgical removal, which can result in bone and fine structures involvement(6). Thus, alternative therapies are important, especially in cases where there may be impairment of vital structures and facial aesthetics(8). The most commonly used conservative treatments are intralesional injection of corticosteroid, calcitonin, or the combination of both(4, 6).
Another currently used treatment is denosumab, a human monoclonal antibody that has high affinity and specificity for the receptor activator of nuclear factor-kappa B ligand (RANKL). When binding to RANKL, denosumab mimics the inhibitory effect of osteoprotegerin, resulting in decreased osteoclast differentiation, which reduces the bone resorption caused by CGCL(9). O'Connell et al. (2015)(9) and Naidu et al. (2014)(10) reported that denosumab presents a significant clinical response and can, therefore, be used as an alternative or adjuvant therapy in CGCL treatment.
Kurtz et al. (2001)(11) report that intralesional corticosteroid injection is preferable to systemic administration because it reaches a higher concentration of the drug in the tissue. In addition, the corticosteroid approach is advantageous over other drug treatments, especially for children and young adults, who report no significant discomfort during treatment(12).
Nogueira et al. (2010)(12) reported the use of intralesional corticosteroid therapy fortnightly, maintaining the number of six applications previously reported, allowing a better follow-up of the increase in opacification observed in the control radiographs. Similarly, in the case reported here, intralesional injections of triamcinolone hexamethonide, a long-acting corticosteroid, were performed in a protocol of six biweekly applications and, subsequently, the radiopacity increase in the region affected by the lesion was observed radiographically.
According to Carlos and Sedano (2002)(8), the results obtained with the use of intralesional corticosteroids are due to the inhibition of the extracellular production of lysosomal proteases, as well as of the transcription factors of cell proliferation of osteoclast precursors, since it promotes apoptotic action in osteoclast-like cells. Thus, these three mechanisms stop the process of bone resorption, which results in bone regeneration and in the return of normal functions of the structures involved(6).
CONCLUSION
The patient presented a positive response with the use of corticosteroid, exhibiting a rapid regression of the lesion and good bone repair. Therefore, in this case, this therapeutic method proved to be effective due to its low cost and not causing mutilations, maintaining the esthetics and function of the patient's stomatognathic system.
REFERENCES
Jaffe HL. Giant-cell reparative granuloma, traumatic bone cyst, and fibrous (fibro-oseous) dysplasia of the jawbones. Oral Surg Oral Med Oral Pathol. 1953; 6(1): 159-75.
Aghbali A, Sina M, Pakdel SMV, et al. Correlation of histopathologic features with demographic, gross and radiographic findings in giant cell granulomas of the jaws. J Dent Res Dent Clin Dent Prospect. 2013; 7(4): 225-9.
Varsha VK, Hallikeri K, Girish HC, Murgod S. Expression of CD34 and CD68 in peripheral giant cell granuloma and central giant cell granuloma: an immunohistochemical analysis. J Oral Maxillofac Pathol. 2014; 18(3): 341-8.
Osterne RLV, Araújo PM, Carvalho ACGS, Cavalcante RB, Sant'Ana E, Nogueira RLM. Intralesional corticosteroid injections in the treatment of central giant cell lesions of the jaws: a meta-analytic study. Med Oral Patol Oral Cir Bucal. 2013; 18(2): e226-32.
Aragão MS, Piva MR, Nonaka CFW, Freitas RA, Souza LB, Pinto LP. Central giant cell granuloma of the jaws and giant cell tumor of long bones - an immunohistochemical comparative study. J Appl Oral Sci. 2007; 15(4): 310-6.
Pogrel AM. The diagnosis and management of giant cell lesions of the jaws. Ann Maxillofac Surg. 2012; 2(2): 102-6.
Cardoso CL, Tolentino ES, Marques VR, Ferreira Júnior O, Taveira LAA. Lesão periférica de células gigantes recorrente: relato de caso. Odontol Clin-Cient. 2011; 10(1): 95-8.
Carlos R, Sedano HO. Intralesional corticosteroids as an alternative treatment for central giant cell granuloma. Oral Surg Oral Med Oral Pathol Oral Radiol Endod. 2002; 93(2): 161-6.
O'Connell JE, Bowe C, Murphy C, Toner M, Kearns GJ. Aggressive giant cell lesion of the jaws: a review of management options and report of a mandibular lesion treated with denosumab. Oral Surg Oral Med Oral Pathol Oral Radiol. 2015; 120(5): e191-8.
Naidu A, Malmquist MP, Denham CA, Schow SR. Management of central giant cell granuloma with subcutaneous denosumab therapy. J Oral Maxillofac Surg. 2014; 72(12): 2469-84.
Kurtz M, Mesa M, Alberto P. Treatment of a central giant cell lesion of the mandible with intralesional glucocorticosteroids. Oral Surg Oral Med Oral Pathol Oral Radiol Endod. 2001; 91(6): 636-7.
Nogueira RL, Teixeira RC, Cavalcante RB, Ribeiro RA, Rabenhosrt SH. Intralesional injection of triamcinolone hexacetonide as an alternative treatment for central giant-cell granuloma in 21 cases. Int J Oral Maxillofac Surg. 2010; 39(12): 1204-10.
Author notes
CORRESPONDING AUTHOR Israel Leal Cavalcante, UFRN; Departamento de Odontologia; Programa de Pós-Graduação em Patologia Oral; Av. Senador Salgado Filho, 1787; Lagoa Nova; CEP: 59056-000; Natal-RN, Brasil; Phone/fax: +55 (84) 3215-4138; e-mail: isrraelleal@hotmail.com.