PATHOLOGY
Nasopalatine duct cyst - diagnosis, treatment and postoperative complications: report of two cases
Cisto do ducto nasopalatino - diagnóstico, tratamento e complicações pós-operatórias: relato de dois casos
Nasopalatine duct cyst - diagnosis, treatment and postoperative complications: report of two cases
Jornal Brasileiro de Patologia e Medicina Laboratorial, vol. 53, no. 6, pp. 407-413, 2017
Sociedade Brasileira de Patologia Clínica; Sociedade Brasileira de Patologia; Sociedade Brasileira de Citopatologia
Received: 05 September 2017
Revised document received: 17 November 2017
Accepted: 18 November 2017
Funding
Funding source: Fundação de Amparo à Pesquisa do Estado de Minas Gerais
Contract number: CDS-PPM-00653-16
ABSTRACT: The objectives of this study were to report two cases of nasopalatine duct cyst and to review the relevant literature. In the first case, the lesion was approximately 1.5 cm in size and in the second case 3 cm, both characterized by localized swelling in the hard palate. The two cases presented a radiolucent unilocular image in the region of the incisive foramen. The diagnosis was nasopalatine duct cyst, established by excisional biopsy and anatomopathological examination. The second patient presented a late postoperative infection, four weeks after surgery, and was submitted to antibiotic therapy and drainage. Both patients were followed for more than 30 months, with no signs of recurrence.
Key words: non-odontogenic cysts, jaw cysts, bone cysts.
RESUMO: Os objetivos deste estudo foram relatar dois casos de cisto do ducto nasopalatino e rever a literatura pertinente. No primeiro caso, a lesão media aproximadamente 1,5 cm e, no segundo, 3 cm, ambas caracterizadas por tumefação localizada no palato duro. Os dois casos apresentaram imagem radiolúcida unilocular na região do forame incisivo. O diagnóstico foi cisto do ducto nasopalatino, realizado por meio de biópsia excisional e exame anatomopatológico. O segundo paciente apresentou infecção pós-operatória tardia, quatro semanas após a cirurgia, sendo submetido a antibioticoterapia e drenagem. Os dois pacientes foram acompanhados por mais de 30 meses, sem sinais de recidiva.
Unitermos: cistos não odontogênicos, cistos maxilomandibulares, cistos ósseos.
INTRODUCTION
The nasopalatine duct cyst (NPDC) represents about 1.7%-11.9% of all cysts of the oral and maxillofacial region, it is considered the most common non-odontogenic cyst in this region(1, 2). Its etiology remains uncertain, although its development arising from the proliferation of epithelial remnants of the nasopalatine duct is a likely hypothesis(1, 3). The literature is controversial regarding sex and age predilection, since NPDC may affect individuals of both sexes and a wide age range(3). Clinically, it may present painful symptoms, edema and purulent secretion, although the majority is asymptomatic and usually found in routine clinical and imaging examination(4). On radiography, NPDC presents a well-defined unilocular radiolucent area, located in the midline, with a round, oval or heart-shaped image. The cyst has a close relationship with the apices of the upper anterior teeth, which may generate doubts regarding the possibility of the diagnosis of inflammatory periapical lesions (such as granuloma or radicular cyst), and it is necessary to perform complementary exams such as pulp vitality test, to eliminate these diagnostic hypotheses(5).
The histopathological examination shows cystic capsule covered by epithelium that varies according to the proximity of the lesion to the nasal cavity. Stratified squamous epithelium, pseudostratified ciliary columnar epithelium (respiratory epithelium) and simple or few-layered cuboidal epithelium are the most frequently observed(3, 6). The presence of respiratory epithelium suggests that the cyst is totally or partially located in the upper part of the nasopalatine canal(7).
Surgical removal by palatal flap is the treatment recommended for NPDC, presenting excellent prognosis and low recurrence rates(1, 6).
The objectives of this article were to report two clinical cases of NPDC, addressing the clinical, imaging and histopathological features, as well as diagnostic hypotheses and treatment, and also description and clinical management of postoperative complications in one of the cases.
CASE REPORT 1
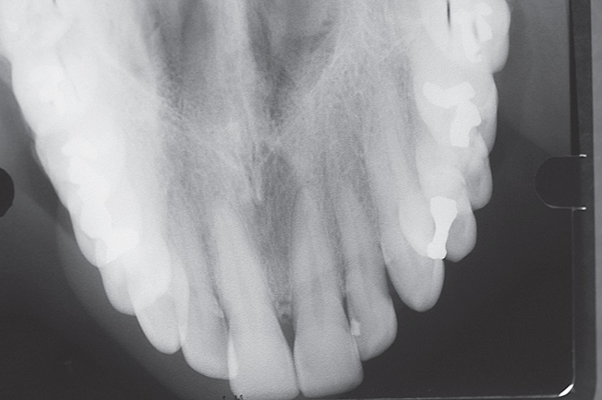
A 62-year-old male patient, Caucasian, sought the Stomatology Clinic of the Department of Dentistry of the Pontifícia Universidade Católica de Minas Gerais (PUC Minas) complaining of swelling in the anterior region of the palate. He reported realizing the condition 40 days before, which was continuously growing and painful to touch and when chewing. The anamnesis did not reveal systemic alterations. At extraoral examination, no alterations were observed. The intraoral examination showed a soft texture swelling, slightly purplish in color, with increased in translucency, suggestive of fluid content, covered by an intact mucosa, located on the anterior hard palate in the midline, close to the incisive papilla, measuring approximately 1.5 cm in diameter (Figure 1). Periapical and occlusal maxillary radiographs showed a well-defined unilocular radiolucent area in the incisive foramen region (Figure 2). Cone Beam computed tomography (CT) examination was requested to better evaluate the limits of the lesion, which showed a well-defined hypodense area, in continuity with the incisor canal, measuring 15 × 13 mm, in transversal and axial sections (Figure 3). Pulp vitality tests were performed on upper incisor teeth with a positive result for all of them. Based on the clinical and imaging characteristics, the diagnostic hypothesis of nasopalatine duct cyst was established, and the proposed treatment was surgical removal of the lesion. Under local anesthesia, aspiration of the lesion fluid was performed, which revealed the presence of translucent fluid. Subsequently, an intrasulcular incision and detachment of the palatal mucosa were performed in the region between the maxillary right and left first premolars (Figure 4). After exposure of the lesion, we performed dissection between the cystic capsule and the mucosa, which were adhered, followed by cyst enucleation and cleaning the surgical cavity (Figure 5). The mucoperiosteal flap was then repositioned and sutured.





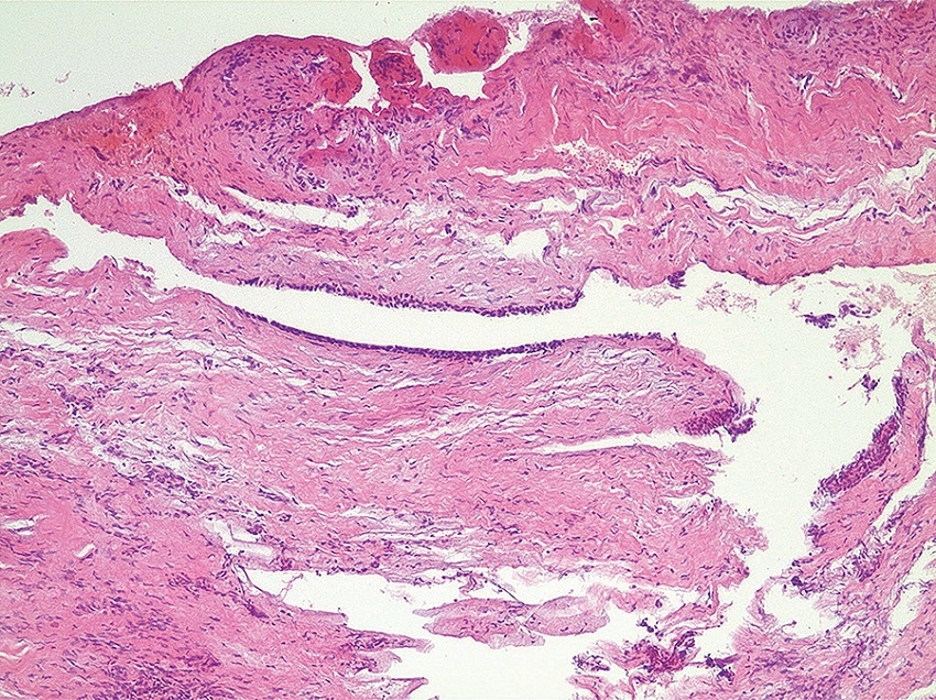
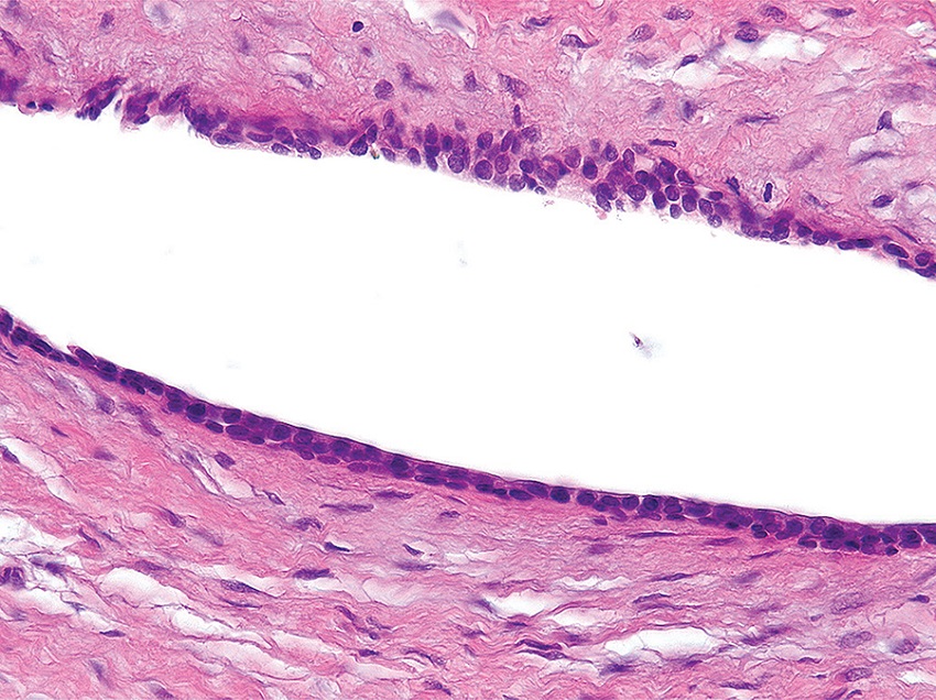
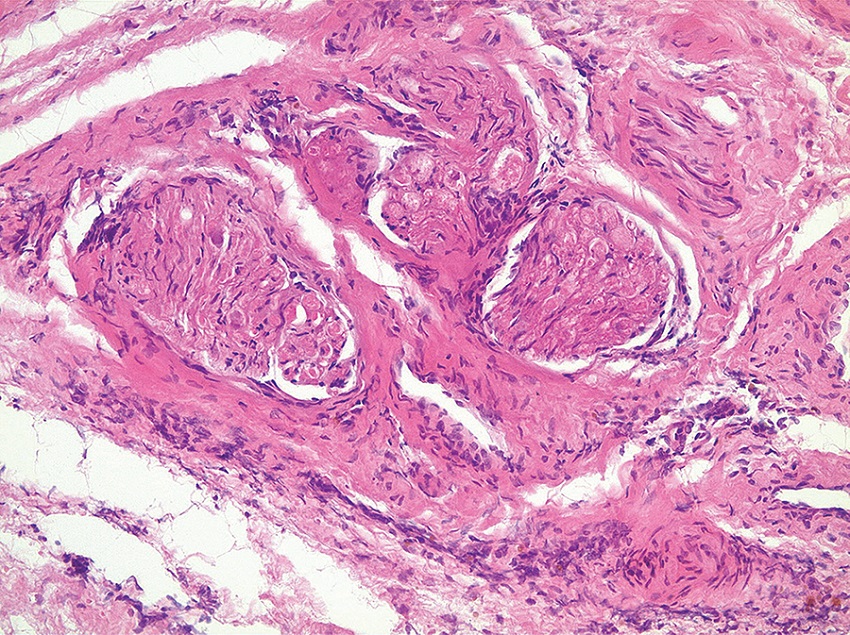
The lesion was fixed in 10% formaldehyde solution and sent to the Oral Pathology Laboratory of the PUC Minas for anatomopathological examination (Figure 6). Histological sections stained with hematoxylin and eosin (HE) showed a cystic capsule composed of cellular fibrous connective tissue, with numerous neurovascular bundles, and partially covered by nonkeratinized stratified squamous epithelium and cuboidal epithelium with few layers (Figures 7, 8 and 9). Histopathological examination established the diagnosis of nasopalatine duct cyst. The region of the biopsy showed proper healing and the patient is in clinical and radiographic follow-up for 30 months, with no signs of recurrence.


HE: hematoxylin and eosin.

HE: hematoxylin and eosin.

HE: hematoxylin and eosin.
CASE REPORT 2
A 25-year-old male patient attended the Stomatology Clinic of the Department of Dentistry of the PUC Minas complaining of a painful swelling in the central region of the hard palate, with three weeks of evolution time. The patient did not present noteworthy systemic alterations. The extraoral examination showed no alterations. In the intraoral examination, we observed the presence of a nodule in the central region of the hard palate, with a soft texture, covered by preserved mucosa and normal coloring (Figure 10). The maxillary occlusal radiograph showed a unilocular radiolucent well-defined lesion, in the anterior region of the maxilla, measuring about 3 cm (Figure 11). Tests of pulp vitality of the teeth close to the lesion were performed to rule out the possibility of inflammatory lesions of endodontic origin. The results were positive, and the diagnostic hypothesis was nasopalatine duct cyst. Under local anesthesia, aspiration of the lesion fluid (positive for translucent fluid) and excisional biopsy were performed, following a surgical protocol similar to the previously reported case (Figures 12 and 13). The material was sent for anatomopathological examination (Figure 14). The histological sections, stained with HE, showed cystic cavity covered by non-keratinized stratified squamous epithelia and fibrous connective tissue capsule with neurovascular bundles, confirming the diagnosis of NPDC.





After 28 days of the surgical procedure, the patient returned to the clinic complaining of painful symptoms and foul taste in the mouth. Extra oral examination showed swollen upper lip (Figure 15) and middle third of the face. The intraoral examination showed swelling in the upper incisor palatal region with soft texture. Aspiration of the lesion fluid showed purulent bloodstream fluid content (Figure 16). Thus the aspiration drainage route was surgically enlarged and warm water mouthwashes and antibiotic therapy for seven days was prescribed. After this period, he returned with no signs or symptoms of infection. The patient is still in clinical followup, with no signs of infection or recurrence of the lesion after 36 months (Figure 17). However, he reports hyposensitivity to sensory stimuli in the anterior palatal region and in the anterior upper teeth gingiva.



DISCUSSION
Although the etiology of NPDC is unclear, there are hypotheses that stimuli resulting from trauma and infection or the occurrence of spontaneous degeneration of the epithelial remains may trigger the development of the lesion(1, 3). In both cases presented in this article, patients reported no previous infection or trauma.
The literature is contradictory regarding sex predilection and whether the lesion may appear at any age, although it occurs mainly between the fourth and sixth decades of life(8, 9). In a retrospective study that evaluated 334 cases of NPDC, an average of 42.5 years of age was found(3). The two patients reported here present quite different ages with each other (25 and 62 years of age), as well as the average in which the lesion is most commonly described.
Due to the region in which NPDC is found, the presence of inflammatory periapical cystic lesions or a large incisive foramen should be considered before the diagnosis is complete(10). Periapical, panoramic and occlusal radiographic examinations should be ordered. For a more accurate location and better visualization of the relation of the cyst to adjacent structures, radiographs with different horizontal angulations should be performed (Clark technique) or CT that provide more detail of the region(8, 11). However, the close relationship of the lesion to the periapical region of the maxillary anterior teeth may lead to doubts about the likely odontogenic etiology of the lesion, as occurred in the first case presented here. Therefore, in order to eliminate differential diagnoses and to prevent unnecessary endodontic treatments, pulp vitality tests on the related teeth are needed, especially in case of doubt about imaging tests(10). In both cases, vitality tests were performed, which showed positive results for all teeth involved.
The recommended treatment for NPDC is the surgical removal, which, when performed properly, has an excellent prognosis and low recurrence rates. However, postoperative complications may occur, for this reason there is a need for a clinical and radiographic follow-up(6, 12).
A study evaluating 68 patients submitted to surgical procedures for the removal of NPDC showed that 17% of cases presented some type of postoperative complication, such as hemorrhage (6%), postoperative infection (9%) and, less frequently, transient paresthesia and pain of nervous origin(6). In the present study, excisional biopsy was performed in both reported cases, and the procedures evolved without intercurrences. The first case evolved without postoperative complications; however, in the latter case, the patient presented postoperative infection four weeks after surgery, with swelling and pain, which regressed after drainage and antibiotic treatment. Another persistent complication reported by the patient, even after 30 months of follow-up, was sensorial hyposensitivity in the anterior region of the hard palate. Although NPDC presents a low recurrence rate, ranging from 0% to 11%(3), long-term follow-up of patients should be performed(13). Both patients have been under follow-up for more than 30 months, with no signs of recurrence.
CONCLUSION
The present article reported two cases of NPDC, one of them presenting postoperative complications which might occur in any patient. The use of imaging tests that allow the visualization of lesion boundaries and the performance of pulp vitality tests that eliminate the possibility of inflammatory periapical lesions of endodontic origin are important for the proper diagnosis and treatment of the lesion. Surgical excision is the most recommended treatment and, even with low recurrence rates, postoperative follow-up is imperative for the evaluation and treatment of possible postoperative complications.
ACKNOWLEDGEMENTS
To the Minas Gerais Research Support Foundation [Fundação de Amparo à Pesquisa do Estado de Minas Gerais (FAPEMIG) CDS-PPM-00653-16], the Coordination for the Improvement of Higher Education Personnel [Coordenação de Aperfeiçoamento de Pessoal de Nível Superior (CAPES)] and the Brazilian National Council for Scientific and Technological Development [Conselho Nacional de Desenvolvimento Científico e Tecnológico (CNPq)].
REFERENCES
Allard RHB, van der Kwast WA, van der Waal I. Nasopalatine duct cyst: review of the literature and report of 22 cases. Int J Oral Surg. 1981; 10: 447-61.
Daley TD, Wysocki GP, Pringle GA. Relative incidence of odontogenic tumors and oral and jaw cysts in a Canadian population. Oral Surg Oral Med Oral Pathol. 1994; 77: 276-80.
Swanson KS, Kaugars GE, Gunsolley JC. Nasopalatine duct cyst: an analysis of 334 cases. J Oral Maxillofac Surg. 1991; 49: 268-71.
Anneroth G, Hall G, Sturge U. Nasopalatine duct cyst. J Oral Maxillofac Surg. 1986; 15: 527-80.
Hilfer PB, Bergeron BE, Ozgul ES, Wong DK. Misdiagnosis of a nasopalatine duct cyst: a case report. J Endod. 2013; 39: 1185-8.
Bodin I, Isacsson G, Julin P. Cysts of the nasopalatine duct. Int J Oral Maxillofac Surg. 1986; 15: 696-706.
Hedin M, Klämfeldt A, Persson G. Surgical treatment of nasopalatine duct cysts. A follow-up study. Int J Oral Surg. 1978; 7: 427-33.
Escoda Francolí J, Almendros Marqués N, Berini Aytés L, Gay Escoda C. Nasopalatine duct cyst: report of 22 cases and review of the literature. Med Oral Patol Oral Cir Bucal. 2008; 1: 438-43.
Herráez Vilas JM, Gay Escoda C, Berini Aytés L. Quiste del conducto nasopalatino. Revisión de la literatura y aportación de 14 casos. Rev Eur Odonto-Estomatol. 1994; 6: 231-6.
Gnanasekhar JD, Walvekar SV, al-Kandari AM, al-Duwairi Y. Misdiagnosis and mismanagement of a nasopalatine duct cyst and its corrective therapy. A case report. Oral Surg Oral Med Oral Pathol Oral Radiol Endod. 1995; 80: 465-70.
Aldelaimi TN, Khalil AA. Diagnosis and surgical management of nasopalatine duct cysts. J Craniofac Surg. 2012; 23: 472-4.
Cecchetti F, Ottria L, Bartuli F, Bramanti NE, Arcuri C. Prevalence, distribution, and differential diagnosis of nasopalatine duct cysts. Oral Implantol (Rome). 2012; 5: 47-53.
Tanaka S, Iida S, Murakami S, Kishino M, Yamada C, Okura M. Extensive nasopalatine duct cyst causing nasolabial protrusion. Oral Surg Oral Med Oral Pathol Oral Radiol Endod. 2008; 106: 46-50.
Author notes
CORRESPONDING AUTHOR Leandro Junqueira de Oliveira, Pontifícia Universidade Católica de Minas Gerais; Avenida Dom José Gaspar, 500, prédio 46, sala 101; Coração Eucarístico; CEP: 30535-901; Belo Horizonte-MG, Brasil; Phone: +55 (31) 3447-1018; e-mail: leojunq@hotmail.com.