Original Article
Comparative evaluation of the quality of Papanicolaou staining at different intervals of fixation times using 96% ethyl alcohol
Avaliação comparativa da qualidade da coloração de Papanicolaou em diferentes tempos de fixação em álcool etílico a 96%
Comparative evaluation of the quality of Papanicolaou staining at different intervals of fixation times using 96% ethyl alcohol
Jornal Brasileiro de Patologia e Medicina Laboratorial, vol. 55, no. 1, pp. 44-56, 2019
Sociedade Brasileira de Patologia Clínica; Sociedade Brasileira de Patologia; Sociedade Brasileira de Citopatologia
Received: 24 June 2017
Revised document received: 11 August 2018
Accepted: 30 November 2018
Published: 20 February 2019
ABSTRACT
Introduction: Fixation of cytological smears consists of immediate immersion in appropriate fixative, in order to preserve cellular morphological characteristics, it is essential for the microscopic examination and diagnostic interpretation.
Objective: To evaluate the influence of fixation times on the morphological and staining characteristics of samples fixed in ethanol and stained by the Papanicolaou method.
Method: Experimental, quantitative and qualitative research was carried out on 99 samples of the jugal mucosa scrapings from 33 participants, fixed in 96% ethyl alcohol in three different times. Group A: 15 minutes; group B: 30 minutes; group C: seven days. The quality of staining was categorized in Optimal, Good, Regular and Poor, with subsequent recategorization at optimal and non-optimal. To verify the association among the groups and the categories, Fisher’s exact test was performed, with significance level of 0.05.
Results: From the 99 stained slides, 19 were discarded due to acellularity, remaining 80 slides. From these, 28 in group A, 26 in group B and 26 in group C were evaluated. In Group A, optimal quality was found in 60.7% (n = 17), good in 28.6% (n = 8), regular in 10.7% (n = 3) and poor in 0% (n = 0). In group B optimal was found in 61.5% (n = 16), good in 30.8% (n = 8), regular in 7.7% (n = 2) and poor in 0% (n = 0). In group C, optimal was found in 92.3% (n = 24), good in 7.7% (n = 2), regular in 0% (n = 0) and poor in 0% (n = 0). In the three groups, there was no representation of the Poor category.
Conclusion: The results suggest that there is a significant difference in the staining quality (p-value = 0.01) according to the fixation time.
Key words: quality control+ fixatives+ cell biology.
RESUMEN
Introducción: La fijación de extensiones citológicas consiste en la inmersión inmediata en fijador adecuado para preservar la morfología celular, siendo esencial para el análisis microscópico y la interpretación diagnóstica.
Objetivo: Evaluar la influencia de los tiempos de fijación en las características morfológicasy de tinción de muestras fijadas con metanoly tenidas con el método de Papanicolaou.
Método: Se realizó una investigación experimental, cuantitativa y cualitativa de 99 muestras de raspado de la mucosa yugal de 33 participantes, fijadas con etanol al 96% en tres tiempos distintos. Grupo A: 15 minutos; grupo B: 30 minutos; grupo C: 7 días. La calidad de la tinción fue categorizada en óptima, buena, regular y mala, con posterior reclasificación en óptima y no óptima. Para determinar la asociación entre los grupos y las categorias, se realizó la prueba exacta de Fisher, con un nivel de significación del 0,05.
Resultado: De las 99 muestras tenidas, 19 fueron desechadas por acelularidad, quedando 80 para ser analizadas. De estas muestras, 28 fueron evaluadas en el grupo A, 26 en el grupo B y 26 en el grupo C. En el grupo A, hemos encontrado calidad óptima - 60,7% (n =17); buena - 28,6% (n = 8); regular -10,7% (n = 3) y mala - 0% (n = 0). En el grupo B, óptima - 61,5% (n = 16); buena - 30,8% (n = 8); regular - 7,7% (n = 2); y mala - 0% (n = 0). En el grupo C, óptima - 92,3% (n = 24); buena - 7,7% (n = 2); regular - 0% (n = 0) y mala - 0% (n = 0). En los tres grupos no hubo representación en la categoria mala.
Conclusión: Los resultados sugieren que hay diferencia significativa en la calidad de la tinción (p = 0,01) de acuerdo con el tiempo de fijación.
Palabras clave: control de calidad, fijadores, biología celular.
RESUMO
Introdução: A fixação dos esfregaços citológicos consiste na imersão imediata em fixador adequado para preservar as características morfológicas celulares, sendo essencial para a análise microscópica e a interpretação diagnóstica.
Objetivo: Avaliar a influência dos tempos de fixação nas características morfológicas e tintoriais de amostras fixadas em álcool etílico e coradas pelo método de Papanicolaou.
Método: Realizou-se pesquisa experimental, quantitativa e qualitativa de 99 amostras de raspado da mucosa jugal de 33participantes, fixadas em álcool etílico 96% em três tempos diferentes. Grupo A: 15 minutos; grupo B: 30 minutos; grupo C: sete dias. A qualidade da coloração foi categorizada em ótima, boa, regular e ruim, com posterior recategorização em ótimo e não ótimo. Para verificar a associação entre os grupos e as categorias, realizou-se teste exato de Fisher, com nível de significância de 0,05.
Resultado: Das 99 lâminas coradas, 19 foram desprezadas por acelularidade, restando 80 lâminas para serem analisadas. Destas, foram avaliadas 28 no grupo A, 26 no grupo B e 26 no grupo C. No grupo A, foi encontrada qualidade ótima - 60,7% (n = 17); boa - 28,6% (n = 8); regular - 10,7% (n = 3) e ruim - 0% (n = 0). No grupo B, ótima - 61,5% (n = 16); boa - 30,8% (n = 8); regular - 7,7% (n = 2); e ruim - 0% (n = 0). E no Grupo C, ótima - 92,3% (n = 24); boa - 7,7% (n = 2); regular - 0% (n = 0); e ruim - 0% (n = 0). Nos três grupos não houve representação na categoria ruim.
Conclusão: Os resultados sugerem que há diferença significativa na qualidade da coloração (p = 0,01) de acordo com o tempo de fixação.
Unitermos: controle de qualidade, fixadores, biologia celular.
INTRODUCTION
The cytological smear fixation process consists of immediate immersion of the smear in the appropriate fixative to preserve the biochemical and morphological characteristics of the cells; therefore it is essential for the microscopic analysis and the diagnostic interpretation. The recommended ideal fixative for colpocytology is 96% ethyl alcohol (92.8°GL-INPM -Brazilian National Institute of Standards and Technology). According to several authors, the main reasons for air-drying artefact are delay in fixation of the material and improper fixative for preservation of the samples(1-3).
Proper fixation is a key step in the preparation of cervical smears because it ensures that the cells can be well stained and clearly visible for immediate microscopic analysis or for future reevaluations. According to the Quality Management Manual for Cytopathology Laboratories of the Brazilian National Cancer Institute [Instituto Nacional de Câncer José Alencar Gomes da Silva (INCA)](4), it is common to exchange ethanol for other products commonly used in health services for other purposes. Mistakenly, in the absence of the indicated ethanol, 70% ethyl alcohol is used, which is useful for disinfecting workbench, but totally inappropriate as a fixative for the cytopathological tests.
According to Koss and Gompel (2006)(5), fifteen minutes is enough time to fix the material in ethanol. The sample may remain in the solution for a few days, or even weeks. It is important that the smears are fully immersed in a closed tube containing the solution, avoiding evaporation. However, some authors state that in special situations and to facilitate transportation, ethanol can be discarded and the slide kept inside the tube closed to send to the laboratory(4,6).
An alternative is using fixative spray, composed of an alcohol base and 2.5% carboxymethyl cellulose (Carbowax), which provides a thin protective layer on the slide. Carbowax should be removed after immersion of the slide in alcohol before staining. Smears that are fixed with this method should reach the cytopathology laboratory up to a maximum of 15 days(4).
OBJECTIYE
To evaluate the influence of different fixation times on the morphological and staining characteristics of samples fixed with ethanol and stained by the Papanicolaou method.
METHOD
This was an experimental study, which was carried out in three phases from April to May 2015, in which 99 samples of the jugal mucosa scraping obtained with the aid of a wooden spatula were analyzed quantitatively and qualitatively in a population of 33 employees and students of the cytopathology technical course at INCA.
Three samples of each participant were collected, fixed in 96% ethyl alcohol, forming three groups:
group A - 33 samples with 15 minute fixation;
group B - 33 samples with 30 minute fixation;
group C - 33 samples with seven days fixation.
Phase 1 - Obtaining samples of the jugal mucosa scraping (collection and fixation)
In this first phase the study was based on the invitation for 33 employees and/or students of the middle level course in the Integrated Section of Technology in Cytopathology [Seção Integrada de Tecnologia em Citopatologia (SITEC)] to participate in the experiment. The selection criterion of professionals and/or students interviewed was the agreement to sign the informed consent form (ICF).
Each participant had access to the ICF, with the instructions and clarifications written by the professional managing the research, filled out the document and signed it. Then they received a wooden spatula and collected the material from their own jugal mucosa in a rubbing way (scraping), delivering it immediately to the responsible professionals. These were laid out in a thin, uniform and homogeneous layer on three separate glass slides with previously identified matte strip edges by black pencil, such as group A (15 minutes), group B (30 minutes) and group C (seven days), promptly packaged in three vials (tube) containing 96% ethyl alcohol.
For each group the material was fixed at different times. In group A, after 15 minutes of fixation, the alcohol was discarded and the slide wrapped in the vial without alcohol until the moment of staining. In group B, after 30 minutes of fixation, alcohol was also discarded and the slide followed the same procedure as group A; and the slides from group C were immersed in alcohol for seven days. After this period, all the slides of groups A, B and C were stained at the same day and in the same staining cart. Pap staining was performed using the Leica ST5020-CV5030 integrated workstation (automated stainer attached to the automatic assembler). Entellan® resin and coverslip were used.
The evaluators who participated in the research are professionals highly qualified, trained and experienced in cytopathology, belonging to the INCA staff. This project is part of the quality program submitted to the Standing Committee for Research Ethics [Comitê Permanente de Ética em Pesquisa (COPEP)] of the INCA, approved under no. 040628/2016. All the participants of the research signed the ICF.
Phase 2 - Analytical evaluation: staining quality
In this phase five evaluators who observed all the slides in a multi headed binocular microscope (capacity for five observers) carried out the evaluation of the staining quality; after analysis, they reached a consensus. The slides of A, B and C groups were properly compared and analyzed, assigning the concepts optimum, good, regular and poor according to the quality of the staining, the dyeing affinity and the morphological changes. The results of the sample evaluations were recorded in a spreadsheet. The details of nuclear and cytoplasmic staining of epithelial and non-epithelial cells (red blood cells, leukocytes), mucus and microbiota were evaluated.
For the sample to be classified as optimal, greater clarity was found in the cytoplasmic details, such as cyanophilia, orangeophilia, eosinophilia, membrane contour and cytoplasmic granulation (keratohyalin, nucleoproteins) and nuclear granulation (chromatin, nuclear membrane contour). For the sample classified as good, low opaque chromatin and less clarity of cyanophilia, eosinophilia or orangeophilia (lower density), were found, and difficulties in visualizing cytoplasmic granules (keratohyalin, nucleoproteins). For sample classified as regular, absence of details of cytoplasmic granules (keratohyalin, nucleoproteins), opaque chromatin, absence in the definition of the nuclear membrane contour and almost absence of cyanophilia and/or orangeophilia were observed. Although it was not found, the sample to be classified as poor should have a lack of nuclear and cytoplasmic differentiation, with intense cyanophilic cytoplasmic clarity loss, as well as presence of strongly opaque chromatin, with no definition of membrane contour, and absence of clarity in nuclear staining of neutrophils and cytoplasmic granules.
Phase 3 - Analysis of results
The procedure of this phase was based on the statistical analysis of the comparative results among the three groups of the fixed material, using software R version 3.2.2 software(7).
To assess whether there were significant associations among groups and classifications, Fisher’s exact test was used(8) and the level of significance was set at 0.05.
RESULTS
From the 99 stained slides, 19 were discarded due to the absence of material (acellular smear), making impossible any type of evaluation, remaining only 80 slides to be analyzed. From these, 28 were evaluated in group A, 26 in group B and 26 in group C. Figure 1 shows the percentages distribution of the classifications in each group. Group C presented the highest percentage of samples with optimal classification (92.3%). Adding the categories good, regular and poor (due to low frequency) to the “not optimal” category, Fisher’s exact test indicates that there is an association among classifications and groups (p = 0.01).

The findings of this study show that the smears fixed at seven days presented greater clarity in the cytoplasmic and nuclear staining, but did not show a regular classification, unlike those with 15 and 30 minutes, which presented 10.7% and 7.7% respectively, suggesting that the shorter fixation time influenced the sample evaluation.
The samples fixed at 15 and 30 minutes had close results in the evaluation of optimal staining (60.7% and 61.5% respectively), far below the samples fixed at seven days (92.3%).
In our study we observed that cellular orangeophilia was not significantly influenced by fixation time, while cyanophilia and metachromasia were influenced by the reduction of fixation time. In seven days greater clarity was noticed, with reduction of its density as the fixation time decreased.
From the three stains used in Pap staining, hematoxylin was the most affected by the fixation time, and was also the one that most influenced the classification of the samples.
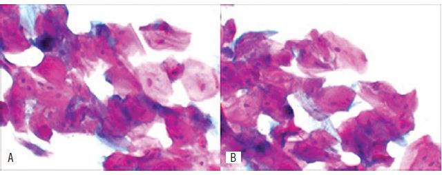
Samples classified as optimal presented greater clarity in the nuclear and cytoplasmic membranes contour and better definition of chromatin and granulations, as well as neutrophil nuclear staining, as shown in Figure 2.

Samples classified as good showed cyanophilic cytoplasmic clarity decrease and presence of chromatin a little more opaque in relation to the optimal classification. The definition of membrane contour was kept, but there was a reduction in nuclear staining of neutrophils and cytoplasmic granules, according to Figure 3.

Samples classified as regular showed loss of cyanophilic cytoplasmic clarity, and presence of opaque chromatin, with no definition of membrane contour, as well as lack of clarity in nuclear staining of neutrophils and cytoplasmic granules, as shown in Figure 4.

In the three groups there was no representation for the poor category.
DISCUSSION
This study evaluates the influence of diferent 96% ethylene alcohol fixation times on the quality of the cytological samples.
In the literature, studies on the sample fixation time are rare. Koss and Gompel (2006)(5) report that the minimum cytological specimen fixation time is 15 minutes. In our study, we identified that the fixation time at 15 and/or 30 minutes influenced the cytomorphological and staining characteristics of the cells. We also identified that samples fixed for seven days presented better results in the quality of the staining, when compared with those fixation at 15 and 30 minutes.
In view of the large number of samples with air-drying artefact received by the laboratories and the procedure, from the collection to the delivery of the result to the patient - a long path that involves many steps, professionals and procedures -, the appropriate fixation of the smear has the function of preservation of cellular structure and preservation of details. Such a role avoids cell distortion, the appearance of artifacts and the loss of staining affinity, besides allowing a satisfactory staining and the evaluation of the cytomorphological criteria, which guarantees the quality of the results(4).
Taking cervical cancer as an example, the most efective screening is performed by the preventive Pap test(4), a rapid, low-cost examination with great effect in the detection of precursor lesions. For this purpose a staining that receives the same name is used and it has been used universally in the exfoliative cytology because it allows to demonstrate the differences between the variations of the epithelial layers, enabling the early identification of cancer and other diseases(5). In Brazil, between 2006 and 2013, about 290 thousand tests were classified as unsatisfactory, with 50% presenting dryness due to poor fixation as the main reason(9), since it makes it difficult for dyes to enter cells, according to the Cervical Cancer Indicators Panel (Painel de Indicadores do Câncer do Colo do Útero)(10). This method consists of multiple stages and has a set of dyes designed to show variations in morphology, degrees of maturity and cellular metabolic activity(11-13).
Harris hematoxylin, the basic dye that reacts with nucleic acids, gives the nucleus a bluish color. EA36 (eosin, light green or bright green and Bismarck’s Brown) is an acid dye that fixes the basic components of the cytoplasm. Eosin stains the cytoplasm of superficial cells, nucleoli, endocervical mucin, and cilia. Light-green stains the cytoplasm of metabolically active cells, intermediate, parabasal, deep cells, columnar cells and histiocytes with cyanophilic (greenish) staining. Orange G6 is a monochromatic acid dye that exhibits affinity for basic components of the cytoplasm, staining anucleated cells (corneal scales), keratinized cells, eosinophil granules, and red cells with an orange color(13,14).
Still in the staining process, the functions of three other elements are essential for a good result. Xylol, an organic solvent, has the function of making the cells translucent and participates in the clarification stage, whose phase promotes cellular transparency. Ethyl alcohol (70%, 96% and absolute) has the function of washing and preparing the material to receive the alcoholic dye. Damar gum and the Canadian or synthetic basam (Entellan) are used to provide the connection between the slide and the coverslip. This connection protects the air-drying artefact smear and gives greater durability in relation to the staining(14).
The Cytopathology Quality Management Manual states that if the sample is fixed with alcohol, it may remain in the solution for a few days or even weeks. It is important that the smear is completely immersed in the tube containing the solution, which must be properly closed, avoiding the evaporation. It also emphasizes that in special situations, alcohol can be neglected for transportation purposes. However, samples require at least 15 minutes fully immersed so that the fixation is appropriate and the material should be sent as soon as possible to the laboratory(4). No studies were found in the literature regarding the maximum time, between sample collection and arrival at the laboratory, capable of preserving the cytological details of the cell.
It is important to emphasize that the biological material must be well fixed, since the fixation preserves the cytomorphological and staining characteristics of the cells(15). The specimen should be fixed immediately after the collection of material to prevent air drying or being drying by any heat source. Oliveira et al. (2010)(16) state that the time to place the slide in the tube containing the fixative should not exceed 15 seconds, however, Mikel (1994)(17), in a study carried out at the American Armed Forces Institute of Pathology, points out that for optimal preservation the fixation should be immediate, while the specimen is still moist because even a minimal air desiccation of a sample will alter the cellular aspects. In addition, the author observes that the absolute ethyl alcohol may be replaced by other alcohols, which give equivalent results, such as 100% methanol, alcohol 95% denatured alcohol, 80% isopropanol, and several commercially available fixatives spray. The ideal fixative cannot be toxic, should not evaporate at room temperature and the cost should be acceptable. For such reasons, alcohol is considered the world’s best fixative for cytological smears(15).
CONCLUSION
This study demonstrated that there is a significant diference in staining quality (p = 0.01) when the sample is fixed at different
times, showing to be better when fixed for more than 30 minutes. This data is important in the practice of cytopathology, and other studies should be carried out in order to standardize technical procedures aiming to obtain better possible results, benefiting patients and facilitating the work process of cytopathology Professional.
ACKNOWLEDGEMENTS
Our thanks to the Practitioner Emerson Pinto de Mesquita for participating in the qualitative evaluation of the smears, as well as the other cytotechnologists from the SITEC/INCA
REFERENCES
Husain OAN, Butler EB, Evans DMD, Macgregor JE, Yule R. Quality control in cervical cytology. J Clin Pathol. 1974 Dec; 27(12): 935-44.
Arcuri RA, Cunha KCF, Alves EC, et al. Controle interno da qualidade em citopatologia ginecológica: um estudo de 48.355 casos. J Bras Patol Med Lab. 2002; 38(2): 141-7.
Anderson GH, Flynn KJ, Hickey LA, Leriche JC, Matisic JP, Suen KC. A comprehensive internal quality control system for a large cytology laboratory. Acta Cytol. 1987; 31: 895-9.
Instituto Nacional de Câncer José Alencar Gomes da Silva. INCA. Manual de gestão da qualidade para laboratório de citopatologia. 2 ed. rev. ampl. Rio de Janeiro: Instituto Nacional de Câncer José Alencar Gomes da Silva, Coordenação de Prevenção e Vigilância, Divisão de Detecção Precoce e Apoio a Organização de Rede; 2016.
Koss LG, Gompel C. Introdução à citopatologia ginecológica com correlações histológicas e clínicas. São Paulo: Ed. Roca; 2006.
Arbyn M, Herbert A, Schenck U, et al. European guidelines for quality assurance in cervical cancer screening: recommendations for collecting samples for conventional and liquid-based cytology. Cytopathology. 2007; 18: 133-9.
R Development Core Team. A language and environment for statistical computing. R Foundation for Statistical Computing, Vienna, Austria; 2008. ISBN 3-900051-07-0. Available at: http://www.R-project.org.
Medronho RA, Bloch KV, Luiz RR, Werneck GL. Epidemiologia. 2 ed. São Paulo: Atheneu; 2009.
DATASUS. Informações estatísticas. versão 4.0. Exame citopatológico cérvico-vaginal e microflora. Seleção: Brasil, município residência, adequabilidade do mat.: insatisfatório, período: 2006-2013. Available at: http://tabnet.datasus.gov.br/cgi/tabcgi.exe?siscolo/ver4/DEF/Brasil/BRCCOLO4.def [Access on: April 6, 2017].
Instituto Nacional de Câncer José Alencar Gomes da Silva. INCA. Portal de indicadores, 2015. Available at: http://www2.inca.gov.br/wps/wcm/connect/acoes_programas/site/home/nobrasil/programa_nacional_controle_cancer_colo_utero/indicadores/p3m_percentualde-amostras-insatisfatorias-nos-municipios. [Access on: Sep 29, 2015].
Eleuterio Jr J. Noções básicas de citologia ginecológica. São Paulo: Livraria Santos Editora Ltda; 2003.
Gupta S, Chachra KL, Bhadola P, Sodhani P. Modified Papanicolaou staining protocol with minimum alcohol use: a cost-cutting measure for resource-limited settings. Cytopathology. 2010 Aug; 21(4): 229-33.
Araujo Jr MLC, Santana DA, Almeida LB, et al. Monitoramento da qualidade da coloração de Papanicolaou no Instituto Nacional de Câncer. RBAC. 2016; 48(1): 58-62.
Ministério da Saúde (BR). Caderno de referência 1: citopatologia ginecológica. Barros ALS, Lima DNO, Azevedo MD, Oliveira ML, editores. Rio de Janeiro: CEPESC; 2012.
Brasil. Secretaria de Atenção à Saúde. Departamento de atenção básica. Controle dos cânceres do colo do útero e da mama. Secretaria de Atenção à Saúde, Departamento de Atenção Básica. Brasília: Ministério da Saúde; 2006. xx p. il.
Oliveira NC, Moura ERF, Diogenes MAR. Desempenho de enfermeiras na coleta de material cervicouterino para exame de Papanicolaou. Acta Paul Enferm. 2010; 23(3): 385-91.
Mikel UV, editor. Armed Forces Institute of Pathology. Advanced laboratory methods in histology and pathology. Washington, DC: American Registry of Pathology; 1994.
Author notes
CORRESPONDING AUTHOR Shirley Borges de Souza Quintana © 0000-0001-7684-2026 e-mail: shi.quintana@gmail.com or squintana@inca.gov.br