Original Article
Cytomorphological analysis of cervical cytological smears of women aged over 60 years
Análise citomorfológica de esfregaços citológicos cervicais de mulheres com idade superior a 60 anos
Cytomorphological analysis of cervical cytological smears of women aged over 60 years
Jornal Brasileiro de Patologia e Medicina Laboratorial, vol. 55, no. 2, pp. 136-147, 2019
Sociedade Brasileira de Patologia Clínica; Sociedade Brasileira de Patologia; Sociedade Brasileira de Citopatologia
Received: 15 September 2018
Revised document received: 15 September 2018
Accepted: 05 December 2018
Published: 20 April 2019
ABSTRACT
Introduction: Cervicovaginal atrophy is a condition that can affect women after menopause, and cytology is a diagnostic tool useful in such cases.
Objective: To evaluate the cytomorphological profile of cervical smears in patients over 60 years old.
Methods: Cytopathological examinations of 500 patients over 60 years old were selected consecutively in this cross-sectional, quantitative, retrospective study.
Results: Only 114 (22.8%) presented the squamocolumnar junction (SCJ) sampled, and their presence decreased progressively with advancing age (p < 0.001). Most smears (95.6%) were classified as atrophic. Microbiological analysis showed that from the 22 non-atrophic smears, most presented lactobacillus flora. Among the atrophic swabs, the predominant flora was cocci, with 47.2%. Only 4% presented cytological changes: atypical squamous cells of undetermined significance [(ASC-US) - eight cases/40%], atypical squamous cells - cannot exclude high-grade squamous intraepithelial lesion [(ASC-H) - five cases/25%], high-grade squamous intraepithelial lesion [(HSIL) - three/15%], low-grade squamous intraepithelial lesion [(LSIL) - two cases/10%] and adenocarcinoma in situ [(ACI) - two cases/10%]. Among the modified smears, four (20%) presented SCJ cells, and four patients (20%) took hormones (from these, two cases of ASC-H (10%) and two cases ASC-US (10%), showing a relationship between the onset of the lesion and the use of hormones (p < 0.05).
Conclusion: The absence of SCJ indicates a diagnostic limitation of sample collection. Although the frequency of lesions has been similar to other studies, and the recommended age range for the examination is between 25 and 60 years, it is important to note that many women older than this range should perform the collection of oncology cytology due to existence of elderly women with risk profile for the disease.
Key words: atrophy+ cervical dysplasia+ vaginal smears+ menopause.
RESUMEN
Introducción: La atrofia cervicovaginal es una condición que puede afectar a las mujeres después de la menopausia, y la citología es una herramienta diagnóstica útil en esos casos.
Objetivo: Evaluar el perfil citomorfológico de frotis citopatológicos cervicales en pacientes mayores de 60 años.
Métodos: Un estudio transversal, cuantitativo y retrospectivo, en el que se eligieron consecutivamente pruebas citopatológicas de 500 pacientes con edad superior a 60 años.
Resultados: Solo 114 mujeres (22,8%) tuvieron la unión escamo-columnar (UEC) representada; su presencia ha bajado progresivamente con el adelanto de la edad (p < 0,001). Los frotis (95,6%), en su mayoría, fueron clasificados como atróficos. El análisis microbiológico mostró que de los 22 frotis no atróficos, la mayoría tuvo flora lactobacilar. Entre los frotis atróficos, la flora predominante fue cocoide (47,2%). Solamente 4% presentó alteraciones citológicas: células escamosas atípicas de importancia no determinada [(ASC-US) - ocho casos/40%]; células escamosas atípicas, no se descarta una lesión de alto grado [(ASC-H) - cinco casos/25%]; lesión intraepitelial de alto grado [(HSIL) - três casos/15%]; lesión intraepitelial escamosa de bajo grado [(LSIL) - dos casos/10%] y adenocarcinoma in situ [(ACI) - dos casos/10%]. Entre los frotis alterados, cuatro (20%) contenían células de la UEC y cuatro pacientes (20%) estaban recibiendo hormonas [entre ellos, dos casos de ASC-H (10%) y dos casos de ASC-US (10%)].
Conclusión: La ausencia de UEC indica la limitación diagnóstica de la recolección. Aunque la frecuencia de las lesiones haya sido semejante a la de otros trabajos y la franja etaria recomendada para la realización de la prueba sea 25-60 años, es importante señalar que mujeres con edad superior a esa franja deben realizar la recolección citológica debido al perfil de riesgo para la enfermedad.
Palabras clave: atrofia, displasia del cuello del útero, frotis vaginal, menopausia.
RESUMO
Introdução: A atrofia cervicovaginal é uma condição que pode afetar mulheres após a menopausa, e a citologia é a ferramenta diagnóstica útil nesses casos.
Objetivo: Avaliar o perfil citomorfológico de esfregaços citopatológicos cervicais de pacientes com idade superior a 60 anos.
Métodos: Trata-se de estudo transversal, quantitativo e retrospectivo, no qual foram selecionados consecutivamente exames citopatológicos de 500 pacientes com idade superior a 60 anos.
Resultados: Apenas 114 mulheres (22,8%) tiveram a junção escamocolunar (JEC) representada e sua presença diminuiu progressivamente com o avanço da idade (p < 0,001). Os esfregaços (95,6%), em sua maioria, foram classificados como atróficos. A análise microbiológica mostrou que dos 22 esfregaços não atróficos, a maioria teve flora lactobacilar. Entre os esfregaços atróficos, a flora predominante foi cocoide (47,2%). Somente 4% apresentou alterações citológicas: células escamosas atípicas de significado indeterminado [(ASC-US) - oito casos/40%], células escamosas atípicas, não podendo excluir lesão intraepitelial de alto grau [(ASC-H) - cinco casos/25%], lesão intraepitelial escamosa de alto grau [(HSIL) - três casos/15%], lesão intraepitelial escamosa de baixo grau [(LSIL) - dois casos/10%] e adenocarcinoma in situ [(ACI) - dois casos/10%]. Entre os esfregaços alterados, quatro (20%) continham células da JEC e quatro pacientes (20%) faziam uso de hormônios [destes, dois casos de ASC-H (10%) e dois casos ASC-US (10%)], o que demonstra a relação entre o aparecimento de lesão e o uso de hormônios (p < 0,05).
Conclusão: A ausência da JEC indica a limitação diagnóstica da coleta. Embora a frequência das lesões tenha sido semelhante à de outros trabalhos e a faixa etária recomendada para a realização do exame seja entre 25 e 60 anos, é importante ressaltar que mulheres com idade superior a essa faixa devem realizar a coleta de citologia oncológica devido ao perfil de risco para a doença.
Unitermos: atrofia, displasia do colo do útero, esfregaço vaginal, menopausa.
INTRODUCTION
Historically, screening for cervical cancer is based on cervical smear cytology, also known as a Pap smear, has been used for more than 50 years as a preventive method for this disease(1,2). In countries where there are effective screening programs, the identification of precancerous lesions through this test has been shown to reduce its incidence and prevent cancer in the more aggressive stages(3).
Despite the existing screening programs, cervical cancer is still the third most common neoplasm among women, followed by breast cancer and non-melanoma skin cancer. About 80% of new cases of this cancer occur in developing countries(4). In Brazil, in 2015, there was a 14% increase in the incidence of cervical cancer and 16% increase in deaths rates from this cancer, with 5,727 deaths being reported. According to data from the Brazilian National Cancer Institute [Instituto Nacional do Câncer (INCA)], the estimate for 2018 was 16,370 new cases(5). Therefore, the evaluation of cervical cytopathology is an important diagnostic tool for preventing cervical cancer, since this test may detect preneoplastic lesions prior to the onset on carcinoma(2,6).
Cervicovaginal atrophy, a condition that affects postmenopausal women(7,8), occurs due to the decrease in circulating levels of estrogen - associated with the natural aging process and the transition to menopause -, that causes disruption of vaginal collagen and elastin fibers of the vagina. Consequently, the epithelium becomes pale and thin(9). The clinical syndrome associated with this condition includes symptoms such as vaginal dryness, loss of elasticity and irritation, dyspareunia, and recurrent urinary tract infections. Vasomotor symptoms, irritability, memory impairment and fatigue are the main clinical manifestations and affect about 60% of elderly women(7,8,10,11). Furthermore, the cervical smear often shows signs of decreased cell maturation with increased numbers of parabasal cells and reduction of intermediate and superficial cells and karyopyknosis(12).
Considering the scarcity of reports on this topic in the scientific field, the objective of this study was to discuss some aspects related to the cervical cytopathological profile of women older than 60 years old, in order to assist the cytologists in reducing false-positive results in women among this age group, as well as to emphasize the importance of screening these women, especially those who are at risk for cervical disease.
METHODS
A cross-sectional, retrospective and observational study was carried out, in which the results of cytopathological examinations of 500 patients aged over 60 years old were consecutively selected at a health center in the state of Rio Grande do Sul, located in the North region, which cares patients from public and private service.
Cervical smears were routinely collected using an Ayre spatula and an endocervical brush, fixed on a glass slide and stained by the Papanicolaou method(1). The results were classified according to the Bethesda system(13).
Inclusion criteria were patients older than 60 years old, attending routinely for cervical cytopathologic screening with smears classified as satisfactory. Patients with unsatisfactory slides for evaluation according to the Bethesda criteria were excluded from the study(13).
The clinical data on the patient records, such as site of material collection, age, hormone therapy, history of lesions and cancer, radiotherapy and use of hormone replacement therapy (HRT) were evaluated.
This research was approved by the Research Ethics Committee [Comitê de Ética e Pesquisa (CEP)] of the Universidade Regional Integrada do Alto Uruguai e das Missões (URI), in Erechim, Rio Grande do Sul, Brazil, under protocol 053/PGH/11 and was carried out according to the Declaration of Helsinki. Statistical analysis was performed using SPSS 18.0 software (IBM Company, Chicago, IL, USA). Significance levels were determined by the Pearson Chisquare test, with significant indices less than p ≤ 0.05.
RESULTS
The patients included were stratified into three age groups: 302 women (60.4%) aged 60-70 years; 179 (35.8%) aged 70-80 years; and 19 (3.8%) aged over 80 years old. The mean age of patients was 69.6 ± 7.27 (mean ± standard deviation). Among the analyzed smears, 95.6% (n = 478) presented atrophy characteristics, with cytology showing predominance of parabasal cells. There was a statistically significant relationship between atrophy and patients age, with p = 0.045. The squamocolumnar junction (SCJ) was sampled in 114 (22.8%) patients and 41 (8.2%) were taking HRT at the time of collection. The presence of SCJ decreased progressively with age (p < 0.001): 64% (n = 73) were between 60 and 70 years; 24.6% (n = 26), between 70 and 80 years; and 4.4% (n = 5), older than 80 years. The presence of metaplastic cells was observed in 17 cases (3.4%).
The predominant flora was cocci, but other agents were found whose frequencies are described in Table 1. From the 22 non-atrophic patients, the majority presented lactobacillus flora (p < 0.01) and only in four (18%) the flora was cocci and bacilli.

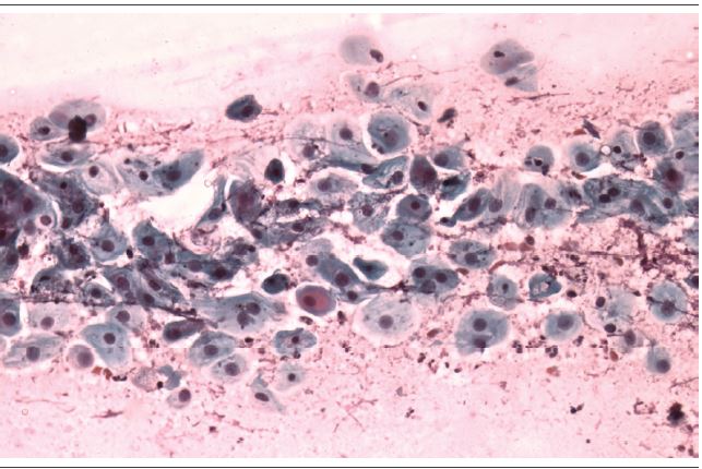
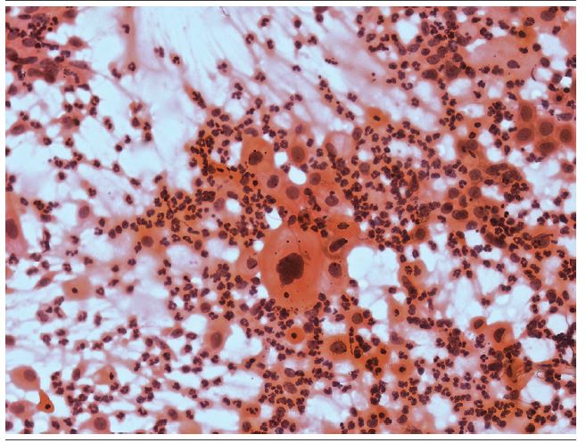
From the total of 20 abnormal cases (4%) of samples evaluated (Figures 1 and 2), four (20%) took hormones: two cases were classified as atypical squamous cells - cannot exclude high-grade squamous intraepithelial lesion [(ASC-H) - 10%], and two as atypical squamous cells of undetermined significance [(ASC-US) - 10%]. There was no statistically significant difference between the lesion degrees and the age of the patients (Table 2).



Previous accomplishment of radiotherapy and hysterectomy was also evaluated. Twenty-one patients had already undergone radiotherapy treatment and from these, only one presented a lesion classified as ASC-US. There were 40 hysterectomized patients (0.8%), of which 32 (6.45%) with total hysterectomy and seven (1.4%) with partial hysterectomy; none of them presented lesion at the time of collection.
DISCUSSION
Variations in hormone levels that occur with aging in women are associated with epithelial and vaginal microbial flora changes. Epithelial atrophy occurs due to the hormonal profile transition, common after 60 years old, especially in those that were not taking hormone replacement. In premenopausal women, estrogens stimulate the proliferation of vaginal epithelial cells, which produce high levels of glycogen, which is metabolized by lactobacilli, resulting in an increase in lactic acid and other organic acids that maintain vaginal pH between 4.0 to 4.5(8,10,14,15).
After menopause, urogenital atrophy is accompanied by a decline in estrogen levels, leading to depletion of lactobacilli and increased colonization by pathogenic microorganisms and urinary tract infections(11). With the progressive reduction of estrogen levels, maturation of the superficial squamous epithelium decreases, the epithelium ceases to produce superficial and intermediate epithelial cells, leaving only a thin layer of parabasal and basal cells(14).
In the present study, SCJ was found in only 22.8% of the patients studied. This may be justified by the SCJ position, which varies according to the cervical anatomy. During the postmenopause, due to the hormonal deficit and the narrowing of the endocervical canal, collection of Pap smears become difficult and, in many cases, the SCJ cells may not be obtained. These facts explain the progressive decrease of SCJ elements presence with aging, as found in our study. A study by Nai et al. (2011)(16) demonstrated a high percentage of SCJ non-representative samples in atrophic patients, which corroborates the data obtained in our research.
Studies have shown that smears with the presence of endocervical cells have a significantly higher frequency of detected abnormalities compared to those with a lack of such cells, since it is in SCJ that most of the precursor lesions of cervical cancer originate. The presence of an endocervical component, therefore, guarantees an appropriate sample of this region, increasing the probability of detecting cervical abnormalities(17-19). The presence of endocervical cells in the sample is important mainly for the detection of endocervical adenocarcinomas cases, which, although less frequent, may also occur, especially in women older than 50 years(17,20). Our results confirm these studies, since the two cases of adenocarcinoma in situ (ACI) reported in the present study could not be identified if no SCJ cells were present.
Cocci flora, found more frequently in the patients evaluated, is a characteristic of this age group. Despite infections by agents such as Candida spp. and Gardnerella vaginalis are present, the prevalence of this condition varies according to the population studied and is not related to the age group, since previous studies show that there is no significant difference in the prevalence of infection by these agents, when compared with women of other age groups(21,22).
These data corroborate those found by Cardoso et al. (2000)(23), in which patients in this age group also presented susceptibility to non-specific vaginitis and Candida spp. The authors argue that this susceptibility probably occurs because of the decline of estrogenic concentration due to ovarian deficiency, which culminates in reduced defense of the stratified squamous epithelium.
Hypoestrogenism promotes atrophy of the vaginal epithelium, decreased elasticity, loss of roughness, decreased vaginal blood flow, and occasionally, loss of lubrication ability in response to sexual stimulation. As a result, local pruritus and irritation become frequent(24,25). The clinical syndrome, which occurs one in every three menopausal women, is associated with vulvovaginal atrophy, whose symptoms are vaginal dryness, irritation, dyspareunia and incidence of urinary infections(11). The use of HRT may be a favorable factor for the vulvovaginal symptoms resulting from this hypoestrogenism, since the clinical manifestations are prevalent and cause discomfort to many women(12,14).
When associated with vaginitis, the identification of alterations in the atrophic epithelium presents diagnostic difficulties, since parabasal cells can degenerate, resulting in a pattern of autolysis, resembling tumor cells. The granular material at the background of the slide resulting from this degeneration may also be mistaken for tumor diathesis(8,12).
Although the role of steroid hormones in the genesis of preneoplastic and neoplastic lesions of the cervix is not yet well defined, the fact that the cytologist has the information about the use of HRT facilitates the analysis of cellular morphological alterations, thus reducing, misdiagnosis in cervicovaginal smears(26).
The incidence of cytologic abnormalities in menopausal women is approximately 3%(14). The present study corroborates the previously published data, since it describes only 4% of atypia in the women evaluated. This small variation can be attributed to the regional differences, to the socioeconomic level of the patients, as well as to the interstudy variation.
In addition, there are studies that describe an association between estrogen deficiency and squamous atypia(10,14). In the present study, a small percentage of women were taking HRT at the time of the examination. Cases of atypia in HRT users must be evaluated in studies with a higher number of samples and post-test follow-up, to verify whether atypical squamous cells (ASC) cases in these patients are accidental findings or are related to the HRT effects.
In this study, only one case of altered cytology was observed in a post-radiotherapy patient. In addition, the previous radiotherapeutic treatment can induce important changes in the cellular morphology that generate bizarre cellular forms, besides persisting for several years. These morphological changes favor the cytological categorization of uncertainty(27).
The increase in life expectancy reflects an increase in the female population among menopausal women. Follow-up of these patients is required because, despite the low frequency of lesions, many women present risk factors, especially for those who remain sexually active. The understanding of the cytological patterns in this age group helps the diagnosis of atrophic vaginitis, especially for the silent lesions, that can significantly impact the quality of life of these patients.
REFERENCES
Papanicolaou GN. A new procedure for staining vaginal smears. Science. 1942; 95: 438-9.
Haider G, Parveen Z, Anjum F, Munir A. Pap smear, an important screening tool to detect precancerous stage of carcinoma of cervix. JAMC. 2013; 25: 26-7.
Smith RA, Andrews KS, Brooks D, et al. Cancer screening in the United States, 2017: a review of current American Cancer Society guidelines and current issues in cancer screening. CA Cancer J Clin. 2017; 67: 100-21.
Lopez MS, Baker ES, Maza M, et al. Cervical cancer prevention and treatment in Latin America. J Surg Oncol. 2017; 115: 615-8.
ABC do Câncer. Abordagens básicas para o controle do câncer. Ministerio da Saúde, Instituto Nacional de Câncer Jose Alencar Gomes da Silva (INCA); organização Mario Jorge Sobreira da Silva. 3 ed. rev. atual. Rio de Janeiro: Inca; 2017. 108 p. Available at: http://www1.inca.gov.br/inca/Arquivos/livro-abc-3ed-8a-prova.pdf.
Nayar R, Wilbur DC. The pap test and Bethesda 2014. Cancer Cytopathol. 2015; 123: 271-81.
Levine KB, Williams RE, Hartmann KE. Vulvovaginal atrophy is strongly associated with female sexual dysfunction among sexually active postmenopausal women. Menopause. 2008; 15: 661-6.
Bachmann GA, Nevadunsky NS. Diagnosis and treatment of atrophic vaginitis. Am Family Physician. 2000; 61: 3090-6.
Stika CS. Atrophic vaginitis. Dermatol Ther. 2010; 23: 514-22.
Mac Bride MB, Rhodes DJ, Shuster LT. Vulvovaginal atrophy. Mayo Clin Proc. 2010; 85: 87-94.
Johnston SL, Farrell SA, Bouchard C, et al. The detection and management of vaginal atrophy. J Obstet Gynaecol Can. 2004; 26: 503-15.
Gupta S, Kumar N, Singhal N, Manektala U, Jain S, Sodhani P. Cytohormonal and morphological alterations in cervicovaginal smears of postmenopausal women on hormone replacement therapy. Diagn Cytopathol. 2006; 34: 676-81.
Nayar R, Wilbur DC. The pap test and Bethesda 2014. "The reports of my demise have been greatly exaggerated." (after a quotation from Mark Twain). Acta Cytol. 2015; 59: 121-32.
Weber MA, Limpens J, Roovers JP. Assessment of vaginal atrophy: a review. Int Urogynecol J. 2015; 26: 15-28.
Grings AC, Kühne J, Gomes AP, Jacobsen T, Cascaes AC, Lara GM. Riscos e benefícios da terapia de reposição hormonal (TRH) em mulheres na menopausa. Rev Bras Anal Clin. 2009; 41: 231-4.
Nai GA, Souza KKG, Rodrigues ER, Barbosa RL. Presença de células da junção escamo-colunar em esfregaços cérvico-vaginais de mulheres acima de 40 anos. Rev Bras Ginecol Obstet. 2011; 33: 128-32.
Mody DR, Nayar R, Thrall M. 2001 Bethesda System classification of glandular lesions on cervical cytology. Monogr Clin Cytol. 2011; 20: 5-14.
Wilbur DC, Nayar R. Bethesda 2014: improving on a paradigm shift. Cytopathology. 2015; 26: 339-42.
Selvaggi SM, Guidos BJ. Endocervical component: is it a determinant of specimen adequacy? Diagn Cytopathol. 2002; 26: 53-5.
DiTomasso JP, Ramzy I, Mody DR. Glandular lesions of the cervix. Validity of cytologic criteria used to differentiate reactive changes, glandular intraepithelial lesions and adenocarcinoma. Acta Cytol. 1996; 40: 1127-35.
Gallo GE, Fabião CD. Prevalência de vaginose bacteriana em mulheres sexualmente ativas atendidas em unidade básica de saúde de Pelotas, RS. Ensaios e Ciência: C. Biológicas, Agrárias e da Saúde. 2016; 20: 172-4.
Calil LN, Backes LTH, Koppe M, Manfredini V. Análise comparativa de agentes microbiológicos do colo uterino em regiões do Rio Grande do Sul. Rev Baiana Saúde Pública. 2018; 41. Available at: https://doi.org/10.22278/22318-22660.22017.
Cardoso MSR, Ramos ESN, Castro A, Ramos DKN, Silva DGKC, Cavalcanti Junior GB Prevalência de vaginites específicas e inespecíficas em mulheres na pós-menopausa. Rev Bras Anal Clin. 2000; 32: 275-7.
Rees M, Perez-Lopez FR, Ceasu I, et al. EMAS clinical guide: low-dose vaginal estrogens for postmenopausal vaginal atrophy. Maturitas. 2012; 73: 171-4.
Odabasi AR, Yuksel H, Demircan SS, Kacar DF, Culhaci N, Ozkara EE. A prospective randomized comparative study of the effects of intranasal and transdermal 17 beta-estradiol on postmenopausal symptoms and vaginal cytology. J Postgrad Med. 2007; 53: 221-7.
Nguyen D, Church L. Are biannual Papanicolaou (Pap) tests useful in postmenopausal women? Does hormone replacement therapy (HRT) affect the development of cervical cytology abnormalities? J Fam Pract. 2001; 50: 368.
Stein MD, Fregnani JH, Scapulatempo-Neto C, Longatto-Filho A. Cervicovaginal cytology in patients undergoing pelvic radiotherapy using the Focalpoint system: results from the RODEO study. Diagn Pathol. 2015; 10: 1.
Author notes
CORRESPONDING AUTHOR Luciane N. Calil 0000-0002-6830-4735. luciane1011@gmail.com