Case Report
Peripheral odontogenic fibroma in the mandibular gingiva: case report
Fibroma odontogênico periférico em gengiva mandibular: relato de caso
Peripheral odontogenic fibroma in the mandibular gingiva: case report
Jornal Brasileiro de Patologia e Medicina Laboratorial, vol. 55, no. 2, pp. 192-201, 2019
Sociedade Brasileira de Patologia Clínica; Sociedade Brasileira de Patologia; Sociedade Brasileira de Citopatologia
Received: 02 November 2018
Revised document received: 02 November 2018
Accepted: 05 December 2018
Published: 20 April 2019
ABSTRACT: Peripheral odontogenic fibroma (POF) is a rare benign neoplasm of odontogenic mesenchymal origin that accounts for approximately 4.7% of all odontogenic tumors. This article reports the case of a 29-year-old woman who presented with a painless, reddish mass in the right vestibular mandibular gingiva between the second premolar and the first molar. Radiographic examination revealed small crestal bone loss in the region. Microscopic analysis revealed a tumor composed of cellular fibroblastic connective tissue intermingled with conspicuous islands and strands of apparently inactive odontogenic epithelium. The final diagnosis was POF. No clinical signs of recurrence were observed 22 months after surgical excision. POF may be clinically mistaken for other common gingival lesions, such as pyogenic granuloma, peripheral giant cell lesion, and peripheral ossifying fibroma. Conservative local excision has been suggested as the treatment of choice for POF. However, in view of the paucity of information on the biological behavior and recurrence rate of this tumor, long-term follow-up of patients is mandatory.
Key words: odontogenic tumors, gingiva, mandible, differential diagnosis.
RESUMEN: El fibroma odontogénico periférico (FOP) es una neoplasia benigna rara de origen mesenquimatosa dental, que representa aproximadamente el 4,7% de todos los tumores odontogénicos. Este reporte describe el caso de una mujer de 29 años de edad que se presentó con un nódulo rojizo indoloro en la encía mandibular vestibular derecha, entre el segundo premolar y el primer molar. El examen radiográfico reveló una pequeña pérdida de tejido óseo en la región de la cresta alveolar. El análisis microscópico mostró un tumor compuesto de tejido conjuntivo fibroso celular entremezclado con visibles islotes y filamentos de epitelio odontógeno aparentemente inactivo. El diagnóstico final fue FOP. No se observó recurrencia de la lesión después de 22 meses de la cirugía. El FOP puede ser clínicamente confundido con otras lesiones gingivales comunes, como granuloma piogénico, lesión periférica de células gigantes y fibroma osificante periférico. Escisión local conservadora ha sido recomendada como tratamiento de elección para FOP. Sin embargo, teniendo en cuenta la escasez de informaciones sobre el comportamiento biológico y la tasa de recidiva de este tumor, el seguimiento a largo plazo de los pacientes es fundamental.
Palabras clave: tumores odontogénicos, encía, mandíbula, diagnóstico diferencial.
RESUMO: Fibroma odontogênico periférico (FOP) é uma neoplasia benigna rara, de origem mesenquimal odontogênica, representando aproximadamente 4,7% de todos os tumores odontogênicos. Este artigo relata o caso de uma mulher de 29 anos de idade que se apresentou com um nódulo avermelhado, indolor, na gengiva mandibular vestibular direita, entre o segundo pré-molar e o primeiro molar. O exame radiográfico revelou uma pequena perda óssea na região da crista alveolar. A análise microscópica evidenciou um tumor composto de tecido conjuntivo fibroso celularizado, entremeado por conspícuas ilhas e cordões de epitélio odontogênico aparentemente inativo. O diagnóstico final foi de FOP. Nenhum sinal clínico de recorrência foi observado 22 meses após a excisão cirúrgica. O FOP pode ser clinicamente confundido com outras lesões gengivais comuns, como granuloma piogênico, lesão periférica de células gigantes e fibroma ossificante periférico. A excisão local conservadora tem sido sugerida como tratamento de escolha para o FOP. No entanto, tendo em vista a escassez de informações sobre o comportamento biológico e a taxa de recorrência desse tumor, o acompanhamento dos pacientes a longo prazo é mandatório.
Unitermos: tumores odontogênicos, gengiva, mandíbula, diagnóstico diferencial.
INTRODUCTION
Peripheral odontogenic fibroma (POF) is a rare benign neoplasm of odontogenic mesenchymal origin(1-3). This extraosseous analogue of central odontogenic fibroma(1-3) accounts for 1.2% to 4.7% of all odontogenic tumors(4-6).
Clinically, POF manifests as a non-ulcerated nodular, sessile, slow-growing mass(1-3). A slight mandibular preference of this tumor has been reported(7), especially in the anterior gingival region(3). Involvement of the underlying bone is uncommon and radiographic changes are, therefore, not commonly observed(7). Nonetheless, areas of calcification, superficial bone depression, and horizontal bone loss can be observed in some cases(7-9). In view of its clinical presentation, POF is usually misdiagnosed as other common reactive inflammatory lesions that occur in the gingiva, such as pyogenic granuloma, peripheral ossifying fibroma, and peripheral giant cell lesion(8,10).
POF is a non-encapsulated tumor characterized histologically by moderately cellular or collagenous connective tissue containing varying amounts of inactive appearing odontogenic epithelium(3,10). Hard tissue exhibiting features of dentinoid or cementum-like calcifications may be present in some cases(3,6,11). The current treatment of choice for POF is conservative surgical excision(7,8,10). Local recurrence rates and the biological behavior of POF are still controversial(7,12). Thus, long-term follow-up has been recommended(6,13).
This article reports a case of POF located in the mandibular gingiva of a 29-year-old woman and reviews the pertinent literature regarding pathogenesis, clinicopathological features, differential diagnosis, and therapeutic management of POF.
CASE REPORT
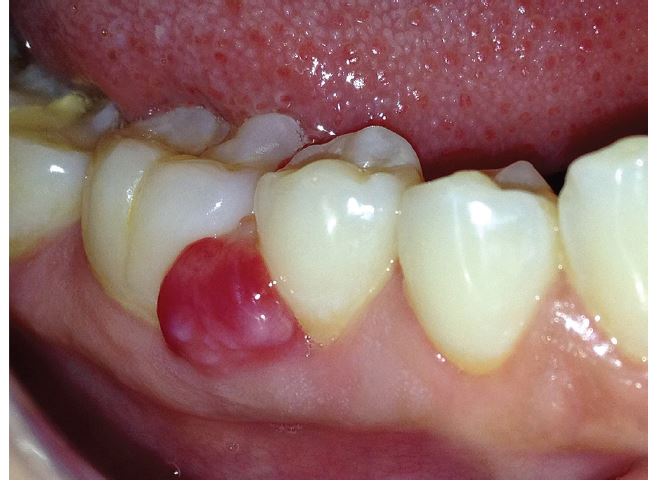
In July 2016, a 29-year-old white woman was referred to our department for evaluation of a painless, slow-growing swelling in the gingiva that had been identified two years earlier. Her medical history was unremarkable. Intraoral examination showed a reddish, painless, sessile nodule of soft consistency in the right vestibular mandibular gingiva between the second premolar and the first molar (Figure 1), which measured approximately 1.5 × 0.8 cm. Radiographic examination revealed small crestal bone loss in the region (Figure 2). An excisional biopsy was performed based on the initial clinical diagnosis of pyogenic granuloma or peripheral giant cell lesion.


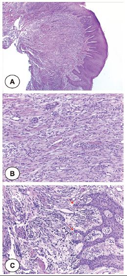
Histopathologic examination revealed a non-encapsulated lesion covered with hyperplastic squamous epithelium, which exhibited transition to a tumor composed of cellular fibroblastic connective tissue intermingled with conspicuous islands and strands of inactive appearing odontogenic epithelium (Figure 3A and 3B). Budding from the basal layer of the surface epithelium was also observed (Figure 3C). On the other hand, hyalinization and foci of calcified material were not detected. The final diagnosis was POF. No clinical signs of recurrence were observed 22 months after surgical excision (Figure 4).

HE: hematoxylin and eosin.

DISCUSSION
POF is a rare benign neoplasm of odontogenic mesenchymal origin(2,3) that accounts for only 1.2% to 4.7% of all odontogenic tumors(4-6). Despite its low frequency, POF is the most common neoplasm among peripheral odontogenic tumors, accounting for approximately 51.1% to 63.6% of all cases(5,14). This lesion is widely accepted to be an odontogenic tumor of mesenchymal origin, but its histogenesis has not been established yet(7). Within this context, it has been speculated that POF may arise from ectomesenchyme, periodontal ligament, remnants of the dental lamina, or surface epithelium(7,10). According to Farman (1975)(15), the ectomesenchyme in the gingiva may induce secondary proliferation of dental lamina remnants and also of the basal layer of the gingival epithelium.
POFs have been diagnosed in individuals aged 5 months to 84 years(4,5,7,16), with a peak incidence between the third and fourth decades of life(5,7,16-18). Most studies report a female predilection for these tumors, with the female/male ratio ranging from 1.1:1 to 7.5:1(4,5,16,18,19). Regarding the anatomical location, a higher frequency of POF has been reported in the mandible (41.1% to 70%)(4-7,16-18), especially the incisor/canine and premolar areas(5,7,16,19). The case presented here agrees with the profile commonly reported for patients with POF.
Clinically, POF manifests as a non-ulcerated nodular, asymptomatic, slow-growing mass(1,3,18), which diameter usually ranges from 0.3 to 3.4 cm(5,7,16,17,19). In rare cases, POF can present as multiple lesions or exhibit a verrucous appearance of the surface(5,7,16). The color of the tumor is usually normal or pink(17), but some POFs exhibit bleeding on brushing and resemble a vascular lesion(4), as observed in the present case. The clinical presentation is not pathognomonic for POF and the differential diagnosis should, therefore, include pyogenic granuloma, peripheral giant cell lesion, peripheral ossifying fibroma, fibrous hyperplasia, papilloma, and other types of peripheral hyperplastic swelling that occur in the gingiva(5,8,10,16).
In most cases, POF does not involve the underlying bone and radiographic changes are not commonly seen(7). Accordingly, Ritwik & Brannon (2010)(7) reported radiographic features in only 12 (7.9%) of the 151 cases of POF. The most common radiographic features of POF include areas of calcification(7,17), superficial bone depression(7), and horizontal bone loss(9). In rare cases, POF can cause alveolar bone resorption and tooth displacement(19).
Histologically, POF is characterized by varying amounts of inactive-looking odontogenic epithelium embedded in a moderately cellular fibrous stroma(3,10). The connective tissue can range from predominantly fibrous to predominantly myxoid(7), but retrospective studies have reported a higher frequency of a cellular fibroblastic pattern(4,6), as observed in the present case. The odontogenic epithelium can vary from totally absent to abundant and usually presents as small islands and strands(3,4). In rare cases, clear cell differentiation may be found in the epithelial component(4,6). Budding from the basal layer of the surface epithelium, which has been associated with recurrence of POF(7), is observed in 57% to 80.4% of cases(4,7).
Hard tissue exhibiting features of dysplastic dentin, amorphous ovoid cementum-like calcifications or trabeculae of osteoid may be present in up to 77.8% of POFs(6,7,11). In 43% to 52% of cases, the hard tissue is closely associated with the odontogenic epithelium(5,7). According to Ritwik & Brannon (2010)(7), apposition of calcification and odontogenic epithelial rests are associated with a lower recurrence rate for POF. In the present case, hyalinization or foci of calcified material were not observed.
The current treatment of choice for POF is conservative local excision(7,8,10), but recurrence rates and the biological behavior of POF are still controversial(7,12). Some studies have suggested a low recurrence rate of POF, ranging from 3.3% to 5.5%(6,17). However, other retrospective studies indicate a significant potential for local recurrence, which is observed in 17.6% to 50% of cases(7,16,18). Recurrence of POF typically occurs within the first two years of follow-up(6,7,17). Ritwik & Brannon (2010)(7) suggested complete surgical removal to be the most important factor in preventing recurrence of POF. In view of the inconclusive data regarding the prognosis of POF, long-term follow-up of patients is mandatory(6). In the present case, no clinical signs of recurrence were observed 22 months after treatment.
CONCLUSION
POF is a rare benign neoplasm of odontogenic mesenchymal origin, which may be clinically misdiagnosed as other common reactive inflammatory lesions that occur in the gingiva. Conservative local excision has been suggested as the treatment of choice for POF. However, in view of the paucity of information on the biological behavior and recurrence rate of this tumor, long-term follow-up of patients is mandatory.
REFERENCES
Rinaggio J, Cleveland D, Koshy R, Gallante A, Mirani N. Peripheral granular cell odontogenic fibroma. Oral Surg Oral Med Oral Pathol Oral Radiol Endod. 2007; 104(5): 676-9. doi: 10.1016/j.tripleo.2006.09.048.
Reddy SV, Medikonda SK, Konda A, Natta S. A rare benign odontogenic neoplasm: peripheral odontogenic fibroma. BMJ Case Rep. 2014; 2014: bcr2013201065. doi: 10.1136/bcr-2013-201065.
van Heerden WFP, Kusama K, Neville BW. Odontogenic fibroma. In: El-Naggar AK, Chan JKC, Grandis JR, Takata T, Slootweg PJ, editors. WHO classification of head and neck tumours. 4th ed. Lyon, FR: IARC Press; 2017. p. 228.
Siar CH, Ng KH. Clinicopathological study of peripheral odontogenic fibromas (WHO-type) in Malaysians (1967-95). Br J Oral Maxillofac Surg. 2000; 38(1): 19-22. doi: 10.1054/bjom.1999.0199.
Buchner A, Merrell PW, Carpenter WM. Relative frequency of peripheral odontogenic tumors: a study of 45 new cases and comparison with studies from the literature. J Oral Pathol Med. 2006; 35(7): 385-91. doi: 10.1111/j.1600-0714.2006.00437.x.
Alaeddini M, Salehizadeh S, Baghaii F, Etemad-Moghadam S. A retrospective analysis of peripheral odontogenic fibroma in an Iranian population. J Oral Maxillofac Surg. 2010; 68(9): 2099-103. doi: 10.1016/j. joms.2009.09.098.
Ritwik P, Brannon RB. Peripheral odontogenic fibroma: a clinicopathologic study of 151 cases and review of the literature with special emphasis on recurrence. Oral Surg Oral Med Oral Pathol Oral Radiol Endod. 2010; 110(3): 357-63. doi: 10.1016/j.tripleo.2010.04.018.
Baiju CS, Rohatgi S. Peripheral odontogenic fibroma: a case report and review. J Indian Soc Periodontol. 2011; 15(3): 273-5. doi: 10.4103/0972-124X.85674.
Bharathi DR, Sangamithra S, Arun KV, Kumar TS. Isolated lesions of gingiva: a case series and review. Contemp Clin Dent. 2016; 7(2): 246-9. doi: 10.4103/0976-237X.183053.
Khot K, Deshmane S, Bagri-Manjrekar K, Khot P. Peripheral odontogenic fibroma: a rare tumor mimicking a gingival reactive lesion. Int J Clin Pediatr Dent. 2017; 10(1): 103-6. doi: 10.5005/jpjournals-10005-1416.
Curran AE. Peripheral odontogenic tumors. Oral Maxillofac Surg Clin North Am. 2004; 16(3): 399-408. doi: 10.1016/j.coms.2004.03.008.
Armas JM, Hunter KD, Jenkins W. Odontogenic fibroma: an unusual presentation. J Oral Maxillofac Pathol. 2008; 12: 68-71. doi: 10.4103/0973-029X.44581.
Sreeja C, Vezhavendan N, Shabana F, Vijayalakshmi D, Devi M, Arunakiry N. Recurrent peripheral odontogenic fibroma associated with basal cell budding. J Pharm Bioallied Sci. 2014; 6(Suppl 1): S204-7. doi: 10.4103/0975-7406.137470.
Ladeinde AL, Ajayi OF, Ogunlewe MO, et al. Odontogenic tumors: a review of 319 cases in a Nigerian teaching hospital. Oral Surg Oral Med Oral Pathol Oral Radiol Endod. 2005; 99(2): 191-5. doi: 10.1016/j.tripleo.2004.08.031.
Farman AG. The peripheral odontogenic fibroma. Oral Surg Oral Med Oral Pathol. 1975; 40(1): 82-92. doi: 10.1016/0030-4220(75)90350-3.
Daley TD, Wysocki GP. Peripheral odontogenic fibroma. Oral Surg Oral Med Oral Pathol. 1994; 78(3): 329-36. doi: 10.1016/0030-4220(94)90064-7.
de Villiers Slabbert H, Altini M. Peripheral odontogenic fibroma: a clinicopathologic study. Oral Surg Oral Med Oral Pathol. 1991; 72(1): 86-90. doi: 10.1016/0030-4220(91)90195-I.
Garcia BG, Johann AC, da Silveira-Júnior JB, Aguiar MC, Mesquita RA. Retrospective analysis of peripheral odontogenic fibroma (WHO-type) in Brazilians. Minerva Stomatol. 2007; 56(3): 115-9.
Lin CT, Chuang FH, Chen JH, Chen CM, Chen YK. Peripheral odontogenic fibroma in a Taiwan Chinese population: a retrospective analysis. Kaohsiung J Med Sci. 2008; 24(8): 415-21. doi: 10.1016/S1607-551X(08)70165-7.
Author notes
CORRESPONDING AUTHOR Cassiano Francisco Weege Nonaka 0000-0003-2380-109X. e-mail: cfwnonaka@gmail.com