CASE REPORT
Aggressive osteoblastoma with degeneration to secondary aneurysmal bone cyst
Osteoblastoma agressivo com degeneração secundária para cisto ósseo aneurismático
Aggressive osteoblastoma with degeneration to secondary aneurysmal bone cyst
Jornal Brasileiro de Patologia e Medicina Laboratorial, vol. 55, no. 4, pp. 426-433, 2019
Sociedade Brasileira de Patologia Clínica; Sociedade Brasileira de Patologia; Sociedade Brasileira de Citopatologia
Received: 29 March 2019
Revised document received: 03 April 2019
Accepted: 03 April 2019
Published: 20 August 2019
ABSTRACT: A 4-year-old male patient presented with headaches that started 18 months ago and were associated with progressive loss of balance and difficulty walking. Magnetic resonance imaging (MRI) demonstrated an expansile extra-axial mass lesion in the posterior aspect of the posterior fossa on the left, compressing the adjacent brain, as well as the cerebellar hemispheres; it also distorts the fourth ventricle with severe obstructive hydrocephalus upstream. Histological evaluation diagnosed aggressive osteoblastoma with a secondary aneurysmal bone cyst of the skull. We report a case of aggressive osteoblastoma in which the lesion in the MRI was mimicking brain tumor or intracranial primary tumor rather than primary bone tumor.
Key words: bone cysts, bone neoplasms, magnetic resonance imaging.
RESUMEN: Paciente masculino, de 4 años de edad, con cefalea de 18 meses asociada a pérdida progresiva de equilibrio y dificultad de deambulación. La resonancia magnética (RM) mostró una lesión espansiva extraaxial en la porción posterior de la fosa posterior a la izquierda, comprimiendo el tejido cerebral adyacente, así como los hemisferios cerebelares; aún deforma el cuarto ventrículo con hidrocefalia obstructiva severa. La evaluación histológica diagnosticó osteoblastoma agresivo con quiste óseo aneurismático secundario del cráneo. Reportamos un caso de osteoblastoma agresivo en lo cual la lesión visualizada con la RM estaba mimetizando tumor cerebral o tumor primario intracraniano y no un tumor óseo primario.
Palabras clave: quiste óseo, neoplasias óseas, imagen por resonancia magnética.
RESUMO: Paciente do sexo masculino, 4 anos de idade, com cefaleia há 18 meses associada à perda progressiva do equilíbrio e à dificuldade de deambulação. A ressonância magnética (RM) demonstrou uma lesão expansiva extra-axial na porção posterior da fossa posterior à esquerda, comprimindo o cérebro adjacente, bem como os hemisférios cerebelares; ainda distorce o quarto ventrículo com hidrocefalia obstrutiva grave a montante. A avaliação histológica diagnosticou osteoblastoma agressivo com cisto ósseo aneurismático secundário do crânio. Relatamos um caso de osteoblastoma agressivo em que a lesão na RM estava mimetizando tumor cerebral ou tumor primário intracraniano em vez de tumor ósseo primário.
Unitermos: cisto ósseo, neoplasias ósseas, imagem por ressonância magnética.
INTRODUCTION
Osteoblastoma is a very rare tumor that constitutes 0.5%-1% of all primary bone tumors(1-7) and 3% of all benign bone tumors, affecting more males (3-2:1 male: female ratio) during the second decade of life(3,5,7). It is defined as a vascular, osteoblastic, and non-fibroblastic tumor - also, it is considered a predominately intramedullary process(1).
An aneurysmal bone cyst is a rare(6,8) benign expansile osteolytic lesion with a thin wall, containing blood-filled cystic cavities, but it can be quite destructive locally(2,6, 8). It impinges significant pressure on the surrounding tissues(8) and its malignant transformation has been reported in 3% of patients(6).
Only three cases describing a secondary aneurysmal bone cyst on a calvarial osteoblastoma can be found in the medical literature. In this report we describe a case of aggressive osteoblastoma with secondary aneurysmal bone cyst of the skull.
CASE REPORT
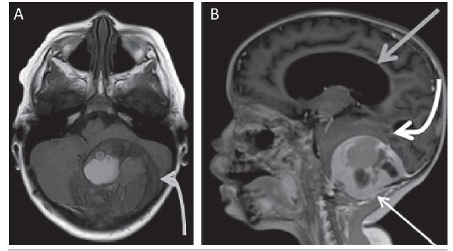
A 4-year-old male patient, with a headache beginning 18 months before, progressively worsening, associated with loss of balance, difficulty walking - short steps - decreased appetite, progressing to vomiting and frequent blackouts, especially during his school activities. Normal electroencephalogram (EEG). A magnetic resonance imaging (MRI) was performed and demonstrated (Figures 1 and 2):

MRI: magnetic resonance imaging; FLAIR: fluid attenuated inversion recovery; SPIR: spectral presaturation with inversion recovery.

MRI: magnetic resonance imaging.
extra-axial mass lesion in the posterior aspect of the posterior fossa on the left, measuring 7.5 × 5.8 × 5.2 cm, crossing occipital bone posterior and inferior aspects, with projection to the adjacent soft tissues, well-defined and extensive hemorrhage inside;
intense contrast enhancement at the periphery of the lesion;
compression of cerebellar hemispheres and distorts the fourth ventricle with severe hydrocephalus upstream.
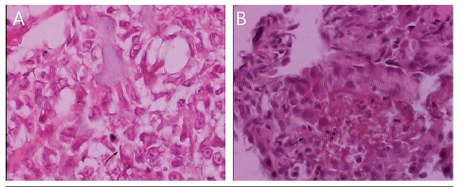
Four months after the MRI, surgical removal of the entire tumor was performed - a procedure during which an occipital fracture was visualized. Histological evaluation, performed after the surgery, diagnosed aggressive osteoblastoma with a secondary aneurysmal bone cyst of the skull (Figure 3).

HE: hematoxylin and eosin.
One month after surgery, the patient presents improvement in symptoms, including feeding and gait. He is still under treatment, referring only occasional headache.
DISCUSSION
Osteoblastoma
Osteoblastomas tend to involve long bones and the vertebral column(1,4,5) - one-third of osteoblastomas arise from the spine(3). Due to their relative rarity, the incidence and distribution are currently unknown(5). Reports of skull base aggressive osteoblastoma are exceptionally rare and tend to affect people in the third or fourth decade(5).
The radiographic appearance of aggressive osteoblastoma consists of a circumscribed lytic defect sometimes surrounded by a sclerotic rim, sometimes with a more aggressive appearance, including significant cortical erosion and destruction(1, 5).
Computed tomography (CT) scan can demonstrate a mixed sclerotic and lytic intraosseous lesion with a well-circumscribed sclerotic border and bony destruction with a variable contrast enhancement(1). Aggressive form shows evidence of bony destruction, invasion of surrounding tissues, and disorganized calcifications(7).
MRI signal characteristics are highly variable, ranging from hypointensity on T1-weighted images with hyperintensity on T2-weighted images to hypointensity on both T1- and T2-weighted images(1). MRI roles are determining and describing the extension of the tumor and the involvement of the adjacent soft tissues(1). The gadolinium contrast enhancement is variable(1).
Vascular supply and involvement of the adjacent soft tissues are important factors in osteoblastoma treatment(1). These tumors are highly vascular, so secondary aneurysmal bone cyst-like changes may occur and cause diagnostic dilemma(5).
Aggressive osteoblastomas have these histopathological markers(5,7):
presence of large epithelioid osteoblasts lining the bony trabeculae;
presence of a moderate number of mitotic figures;
invasion into the surrounding bone and soft-tissue.
Total excision reduces the chances of recurrence and decreases the probability of malignant conversion(1, 2,5). Unresectable tumors, incomplete excisions, tumor with aggressive histologies and recurrent tumors can have adjuvant therapy(5). The recurrence rate in osteoblastoma, in general, is around 10% after treatment(2,5). With aggressive osteoblastomas, it is as high as 50%(2,5).
Aneurysmal bone cyst
Aneurysmal bone cyst has a high propensity for recurrence, developing fractures, with true etiology and pathophysiology not yet clear(2,6). It is a blood-filled tumor-like fibrous cyst that expands the bone and can emerge in any bone, with vertebrae and knee being the most common sites of occurrence(9,10).
Occiput location is very rare - only 16 cases of occipital aneurysmal bone cysts were described in the literature(6). It usually presents as scalp mass, but can present as an intracranial space-occupying lesion or cerebral hemorrhage(8).
In only one-third of cases, the original lesion is identified(8). Giant cell tumor is the most common precursor lesion (19%-39%), followed by osteoblastoma, angioma, and chondroblastoma(8, 9).
Radiographic characteristics of the aneurysmal bone cyst(8,9):
cortex is eroded to a thin margin;
expansile nature of the lesion is often reflected by a “blowout” or “soap bubble” appearance;
located eccentrically in the metaphysis;
osteolytic appearance;
periosteum is elevated.
CT scan and MRI show multiloculation of the cyst(8) - the content is partly cystic and partly solid (which enhances with contrast) with the presence of fluid levels - in most cases(8,9). The non-homogeneity of the lesion can be confirmed by MRI, as it demonstrates the septa and variability in a breakdown of blood products(8,9). The blood-fluid level is the hallmark of the aneurysmal bone cyst; although this is not a specific finding, as it has been reported in other tumours(10).
The primary lesion identified determines the treatment plan(10) being curettage/bone grafting the most common, having a 20%-40% recurrence rate(8) - reported recurrence rates vary from 20%-70% with incomplete resection(6).
Osteoblastoma with secondary aneurysmal bone cyst
Osteoblastoma and aneurysmal bone cyst association is quite rare in the general population(6). Secondary changes consistent with aneurysmal bone cyst occur in 10% of all osteoblastomas(7). Several cases of this association with anomalous sites of occurrence, such as the posterior cranial fossa, skull, ethmoid sinus, mandibular ramus and condyle, sacrum, were reported(3,6).
Aggressive osteoblastoma with degeneration to secondary aneurysmal bone cyst
Incomplete resection has a high rate of recurrence. The best chance of cure and a low rate of recurrence is the complete excision of the tumor, and a long-time follow-up is a necessary precaution against tumor recurrence(6). CT scan is most effective at identifying lesion location, extent of bony destruction, and involvement of surrounding complex anatomy, but MRI allows visualization of the impact on surrounding soft tissues(7).
Only three cases describing a secondary aneurysmal bone cyst on a calvarial osteoblastoma can be found in the medical literature(4).
CONCLUSION
We report a case of aggressive osteoblastoma of the skull whose lesion in the MRI was mimicking brain tumor or intracranial primary tumor rather than primary bone tumor. In this kind of finding, although very rare, the radiologist must warn of the necessity for tumor resection, because this lesion can involve structures around, getting worse until it is unresectable. In this lesion, the radiologist must orient the resection due to the involvement of the surrounding structures.
REFERENCES
Alli A, Johnson P, Reeves A. Imaging characteristics of occipital bone osteoblastoma. Case Rep Radiol. 2013; 2013: 930623.
Han X, Dong Y, Sun K, Lu Y. A huge occipital osteoblastoma accompanied with aneurysmal bone cyst in the posterior cranial fossa. Clin Neurol Neurosurg. 2008; 110(3): 282-5.
Tarantino R, Piccirilli M, Anichini G, Delfini R. Benign osteoblastoma of the odontoid process of the axis with secondary aneurysmal bone cyst component: a case report. Neurosurg Rev. 2008; 31: 111-5.
Kubota Y, Mitsukawa N, Arikawa R, Akita S, Satoh K. Fronto-parietal osteoblastoma with secondary aneurysmal bone cyst: a case report. J Plast Reconstr Aesthet Surg. 2013; 66: 270e273.
Singh DK, Das KK, Mehrotra A, et al. Aggressive osteoblastoma involving the craniovertebral junction: a case report and review of literature. J Craniovertebr Junction Spine. 2013 Jul-Dec; 4(2): 69-72.
Hu H, Wu J, Ren L, Sun X, Li F, Ye X. Destructive osteoblastoma with secondary aneurysmal bone cyst of cervical vertebra in an 11-year-old boy: case report. Int J Clin Exp Med 2014; 7(1): 290-5.
Ramme AJ, Smucker JD. Balancing spinal stability and future mobility in the cervical spine: surgical treatment of a case of osteoblastoma with secondary aneurysmal bone cyst. Spine J. 2011; 11(5) e5-12.
Mehboob J, Aleem U, Asghar AG. Aneurysmal bone cyst of the occipital bone. J Coll Physic Surg Pakistan, 2011; 21(10): 628-30.
Genizi J, Srugo I, Attias D, et al. Giant pediatric aneurysmal bone cysts of the occipital bone: case report and review of the literature. Pediatr Neurol. 2011 Jul; 45(1): 42-4.
Modkovski R, Elliott R, Rubin B, Zagzag D, Jafar J, Mikolaenko I. Giant cell tumor of the occipital bone and secondary aneurysmal bone cyst: case report and review of literature. Internet J Neurosurg. 2009; 7(2).
Author notes
CORRESPONDING AUTHOR: Marcio Luís Duarte, 0000-0002-7874-9332. e-mail: marcioluisduarte@gmail.com