Case report
Dermatoscopy in polypoid basal-cell carcinoma: a rare histopathological variation
Dermatoscopia em carcinoma basocelular polipoide: uma variante histopatológica rara
Dermatoscopy in polypoid basal-cell carcinoma: a rare histopathological variation
Jornal Brasileiro de Patologia e Medicina Laboratorial, vol. 55, no. 5, pp. 516-521, 2019
Sociedade Brasileira de Patologia Clínica; Sociedade Brasileira de Patologia; Sociedade Brasileira de Citopatologia
Received: 09 February 2019
Revised document received: 03 April 2019
Accepted: 03 April 2019
Published: 20 October 2019
ABSTRACT: Polypoid basal-cell carcinoma (BCC) is a rare tumor, considered a clinical and histopathological variant of the nodular BCC, presenting broad exophytic or pedunculated base that connects to the surface of the skin and histopathologically displays the neoplastic aggregations restricted to the polypoid zone. We report a clinical case of BCC, with a bibliographical review, highlighting the clinical similarity of such malignant tumor with other benign and malignant tumors of the skin, besides the importance of dermoscopy for the diagnostic aid.
Key words: dermoscopy, basal-cell carcinoma, pathology.
RESUMEN: El carcinoma basocelular (CBC) polipoide es un tumor raro, considerado como una variante clínica e histopatológica del CBC nodular. Presenta amplia base exofítica o pedunculada que se une a la superficie de la piel y exhibe, histopatológicamente, las agregaciones neoplásicas restrictas a la zona polipoide. Reportamos un caso clínico de CBC con revisión de literatura. Destacamos la semejanza clínica de este tumor maligno con otros tumores benignos y malignos de la piel, allende la importancia de la dermoscopía para ayuda al diagnóstico.
Palabras clave: dermoscopía, carcinoma basocelular, patologia.
RESUMO: O carcinoma basocelular (CBC) polipoide é um tumor raro, considerado uma variante clínica e histopatológica do CBC nodular. Apresenta ampla base exofítica ou pedunculada que se conecta à superfície da pele e exibe, histopatologicamente, as agregações neoplásicas restritas à zona polipoide. Relatamos um caso clínico de CBC com revisão da literatura. Destacamos a similaridade clínica desse tumor maligno com outros tumores benignos e malignos da pele, além da importância da dermatoscopia para o auxílio diagnóstico.
Unitermos: dermatoscopia, carcinoma basocelular, patologia.
CASE REPORT
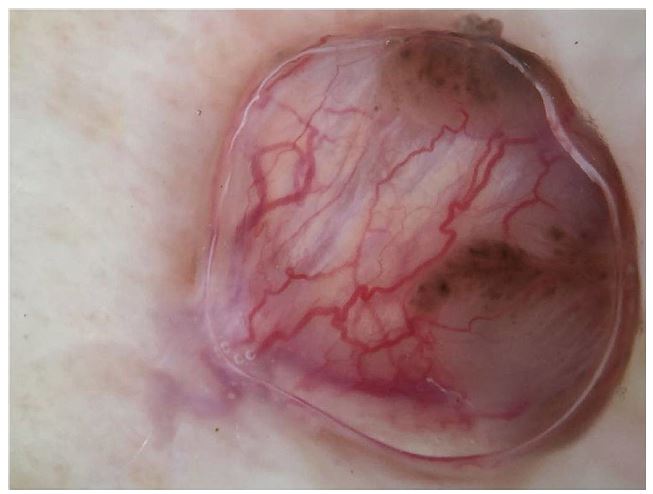
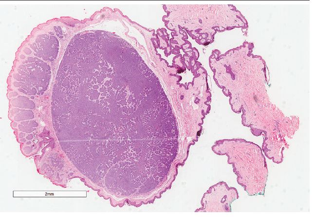
A 67-year-old female patient presented with a pedunculated normochromic lesion in the abdomen (Figure 1) of unknown evolution together with multiple benign lesions such as intradermal nevi, rubi angiomas and soft fibromas. Dermoscopy with polarized light surprisingly evidenced the presence of ovoid nests, focused arboriform vessels and chrysalis (Figure 2), findings highly suggestive of basal-cell carcinoma (BCC), and the lesion was excised. Histopathology revealed an asymmetric polypoid tumor containing aggregations of atypical basaloid cells present in a palisade restricted to the polypoid area, incorporated into the fibrinoid stroma and separated by focal fissures (Figure 3).



BCC: basal-cell carcinoma; HE: hematoxylin and eosin.
DISCUSSION
The polypoid BCC was described in 1999 by Megahed(1), considered a clinicopathological variant of nodular BCC, with a broad pedunculated base that connects to the surface of the skin and histologically exhibits pedunculated exophytic appearance and restriction of tumor aggregations to the polypoid zone. More prevalent in adult women, Japanese, located in the head; it is usually of large size, but not aggressive and non-infiltrative(2-4). The Table shows cases of polypoid BCC reported in the English literature. This tumor is considered in the differential clinical diagnosis of benign and malignant adnexal tumors, intradermal melanocytic nevus, fibromas, Pinkus fibroepithelioma and amelanotic melanoma(5-8). Although BCC is the most common skin cancer with a wide clinical and histological variation, not universally agreed, the polypoid BCC is a rare variant, with few published cases. Some studies have not provided its histological description and none has described its dermoscopy(1,5,9-11). We emphasize the importance of dermoscopy to differentiate such tumor from other benign lesions that can clinically lead to errors in diagnosis and therapeutic management. The correct histopathological classification is necessary, provided that it alone allows such a diagnosis, as well as new dermatoscopic descriptions, for better elucidation of the tumor features.

References
Megahed M. Polypoid basal cell carcinoma: a new clinicopathological variant. Br J Dermatol. 1999 Apr; 140(4): 701-3.
Misago N, Narisawa Y. Polypoid basal cell carcinoma on the perianal region: a case report and review of the literature. J Dermatol. 2004 Jan; 31(1): 51-5.
Choi JE, Ko NY, Seo SH, Kin SN, Kye YC, Ahn HH. Polypoid basal cell carcinoma as a new variant of basal cell carcinoma: three Korean cases. Acta Derm Venereol. 2007; 87(3): 282-3.
Pfaff S, Megahed M. [Polypoid basal cell carcinoma]. Hautarzt. 2013 May; 64(5): 332-3. doi: 10.1007/s00105-013-2552-y.
Yadav S, Thami GP, Bhatnagar A, Gill S. Polypoid basal cell carcinoma masquerading as pyogenic granuloma. Indian J Dermatol. 2010 Jul-Sep; 55(3): 296-7. doi: 10.4103/0019-5154.70681.
Ouchi T, Sugiura M. Polypoid basal cell carcinoma on the scrotum. J Dermatol. 2008; 35(12): 804-5.
Sakai N, Kurihara K, Kawana S. Polypoid basal cell carcinoma on the face. J Dermatol. 2007 Aug; 34(8): 588-9.
Love GL, Sarma DP. Giant polypoid basal cell carcinoma. J Surg Oncol. 1985 Mar; 28(3): 230-1.
McElroy J, Knight TE, Chang-Stroman L. Giant polypoid basal cell carcinoma. Cutis. 1996 Oct; 58(4): 289-92.
Handjani F, Shahbaz S, Sari-Aslani F, Aghaei S, Ali-Zadeh AA. A giant polypoid basal cell carcinoma of the lower extremity. Arch Iran Med. 2010 Mar; 13(2): 153-5.
Misago N, Suzuki Y, Miura Y, Narisawa Y. Giant polypoid basal cell carcinoma with features of fibroepithelioma of Pinkus and extensive cornification. Eur J Dermatol. 2004 Jul-Aug; 14(4): 272-5.
Author notes
CORRESPONDING AUTHOR: Mariana Abdo de Almeida. e-mail: abdomed@bol.com.br