Case report
Ameloblastic carcinoma arising from a preexistent ameloblastoma
Carcinoma ameloblástico decorrente de um ameloblastoma preexistente
Ameloblastic carcinoma arising from a preexistent ameloblastoma
Jornal Brasileiro de Patologia e Medicina Laboratorial, vol. 55, no. 5, pp. 530-539, 2019
Sociedade Brasileira de Patologia Clínica; Sociedade Brasileira de Patologia; Sociedade Brasileira de Citopatologia
Received: 20 January 2019
Revised document received: 03 April 2019
Accepted: 03 April 2019
Published: 20 October 2019
ABSTRACT: Ameloblastic carcinoma (AC) is a rare odontogenic tumor that represents the malignant counterpart of an ameloblastoma. There are few cases of AC in the English-language literature, with only 16 cases arising from preexisting ameloblastomas reported in the last 10 years. Multiple local recurrences of ameloblastomas precede this transformation. In the current report, we describe a case of AC at the posterior maxilla in a 42-year-old female submitted to surgical resection, with three recurrences of ameloblastoma in a period of four years. Imaging exams showed a radiodense mass with cortical bone disruption and maxillary sinus invasion. Histologic analysis demonstrated features of islands and nests of malignant epithelium transformation, atypia, pleomorphic cells, nuclear hyperchromatism, necrosis and desmoplasia. AC represents a rare and challenging histologic diagnosis. Surgical access with adequate hard and soft tissue margins is essential for influencing survival. The description of new cases may reveal, through of treatment and clinical follow-up, characteristics that allow us better understanding of AC behavior.
Key words: odontogenic tumors, ameloblastoma, radiotherapy.
RESUMEN: El carcinoma ameloblástico (CA) es un tumor odontogénico raro que representa el equivalente maligno de un ameloblastoma. Hay pocos casos de CA en la literatura en lengua inglesa: en los últimos 10 años, sólo se reportaron 16 casos originados de ameloblastomas previos. Múltiples recidivas locales de este tumor preceden esa transformación. En este reporte, describimos un caso de CA en región posterior de maxila en una mujer de 42 años de edad, sometida a resección quirúrgica. En un periodo de cuatro años, se produjeron tres recurrencias del ameloblastoma. Exámenes de imagen muestran una masa radiodensa con destrucción cortical e invasión del seno maxilar. El análisis histológico ha revelado islas y nidos característicos de transformación epitelial maligna, atipias, pleomorfismo celular, hipercromatismo nuclear, necrosis y desmoplasia. El diagnóstico histológico del CA representa un raro desafío. El abordaje quirúrgico con ampliación de los márgenes de tejido duro y blando es esencial en la sobrevida del paciente. La descripción de nuevos casos puede revelar, mediante tratamiento y acompañamiento clínico, características que ayuden a comprender mejor el comportamiento del CA.
Palabras clave: tumores odontogénicos, ameloblastoma, radioterapia.
RESUMO: O carcinoma ameloblástico (CA) é um tumor odontogênico raro que representa o equivalente maligno de um ameloblastoma. Existem poucos casos de CA na literatura em inglês: nos últimos 10 anos, foram relatados apenas 16 casos surgidos de ameloblastomas preexistentes. Múltiplas recorrências locais desse tumor precedem essa transformação. Neste relato, descrevemos um caso de CA em região posterior de maxila em uma mulher de 42 anos de idade, submetida à ressecção cirúrgica. Em um período de quatro anos, ocorreram três recidivas do ameloblastoma. Exames de imagem exibiram uma massa radiodensa com destruição da cortical óssea e invasão do seio maxilar. A análise histológica revelou ilhas e ninhos característicos de transformação maligna epitelial, atipias, pleomorfismo celular, hipercromatismo nuclear, necrose e desmoplasia. O CA representa um raro e desafiador diagnóstico histológico. O acesso cirúrgico com ampliação das margens de tecido duro e mole é essencial para o impacto na sobrevida do paciente. A descrição de novos casos pode revelar, por meio do tratamento e do acompanhamento clínico, características que ajudem a entender melhor o comportamento do CA.
Unitermos: tumores odontogênicos, ameloblastoma, radioterapia.
INTRODUCTION
Ameloblastic carcinoma (AC), the malignant counterpart of ameloblastoma, is a rare odontogenic epithelial malignancy(1), which may arise de novo or from a preexisting ameloblastoma. This fact contributes to the difficulty in differentiating AC from a classic benign ameloblastoma, especially in cases in which the biopsied specimen contains limited material suitable for diagnosis(2).
In the third edition of the Head and Neck Tumor Classification from the World Health Organization (WHO), an attempt was made to subclassify AC into three types: the primary type, intraosseous secondary type (undifferentiated) and peripheral secondary type (undifferentiated). This subclassification was considered unnecessary for such a rare lesion and had no justification for behavioral reasons. Thus, in 2017, the WHO classifies AC as a single entity, although the text recognizes its varied histological characteristics(3).
AC is a tumor exhibiting malignant cytological features and invasive growth, along with the conventional histological pattern of an ameloblastoma(4).
In the literature, ACs arising from preexisting ameloblastomas are very rare. In addition, it is difficult to attribute patient prognosis, due to the rarity of well-documented follow-up information(5). Thus, no consensus on the treatment for this lesion is available(6). This report describes an AC case that developed from a preexisting ameloblastoma in the maxillary region and provides a survey of cases detailed between 2008 and 2017.
CASE REPORT
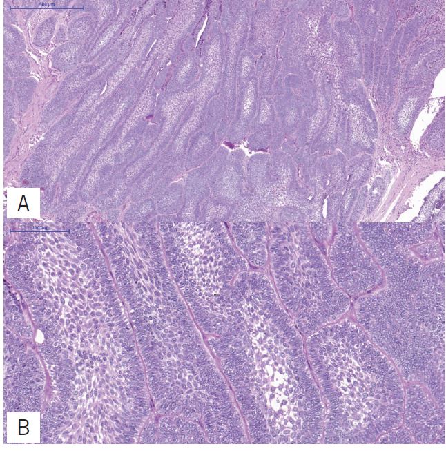
In November 2013, a female leukoderma patient, 42 years old, sought the service of Oral and Maxillofacial Surgery and Traumatology of the Department of Dentistry at Universidade Federal do Rio Grande do Norte, complaining of discomfort in a tooth near a previously operated area. During anamnesis, the patient reported a surgical resection of a left maxillary lesion in December 2011, presenting a histopathological diagnosis of ameloblastoma (Figure 1).

HE: hematoxylin and eosin.
During an intraoral examination, a lesion was seen in the left maxilla, with an erythematous, tumoral aspect and a sessile insertion, approximately 1 cm long, with a non-delimited irregular surface, displaying ulcerated areas. The imaging tests revealed radiolucency and radiodensity in a panoramic radiograph and computed tomography, respectively, where rupture of the cortical bone and invasion of the maxillary sinus were observed. Therefore, the patient underwent an incisional biopsy, presenting a histopathological report of ameloblastoma (Figure 2).

CT: computed tomography; HE: hematoxylin and eosin.
The patient returned for follow-up three and six months after the removal of the lesion, showing no clinical or imaging changes. However, after one year, the patient sought the service with a second recurrence, clinically presenting as an erythematous, tumoral, sessile insertion, approximately 2 cm in length, with an irregular, non-delimited surface and ulceration area. The imaging studies did not reveal any bone involvement, characterizing a peripheral ameloblastoma.
Patient postoperative follow-up occurred at one, three and four weeks after surgery. Only one year after the surgical procedure, the patient returned presenting with a third recurrence. During the clinical examination, an erythematous, tumoral lesion of sessile insertion was observed, covering the entire left hemi-arch, with an irregular, non-delimited surface, ulceration areas and a tumor-like appearance. Histopathologically, fragments of malignant neoplasm of odontogenic epithelial origin, showing cellular atypia and pleomorphism, nuclear hyperchromatism, cystic degeneration foci and necrosis were revealed. The supporting stroma was of a dense fibrovascular connective tissue with slight mononuclear inflammatory infiltrated areas. Focal areas of desmoplasia were also observed (Figure 3).

CT: computed tomography; HE: hematoxylin and eosin.
In view of the diagnosis, the patient was referred to the cancer treatment referral service in the state, where a surgical resection of the alveolar process of the left maxilla was performed and radiotherapy was carried out in weekly 70 Gy doses for two months. No post-surgical complications or recurrences have been reported to date.
DISCUSSION
Ameloblastic carcinoma is a term introduced by Shafer et al.(1974)(7), used to describe a tumor derived from the malignant transformation of ameloblastoma epithelial cells. According to the WHO, AC is defined as a rare primary odontogenic epithelial malignancy and classified as a single diagnostic entity(3).
The appearance of AC from a preexisting ameloblastoma is extremely rare, and only 16 cases in 13 scientific articles in the English language were found in the researched literature in the last 10 years (Table). This fact justifies the reclassification of this neoplasia, carried out in the last (fourth) edition of the WHO Head and Neck Tumor Classification, considering that the clinical, radiographic and histopathological characteristics of the lesions, regardless of the type of appearance, are similar. Few case series are available: the data on AC clinical-pathological features derive, mainly, from single case reports. Therefore, descriptions of new cases may allow us better understanding of the biological characteristics of this rare odontogenic malignancy. The proposed mechanisms for cytological changes that transform a classic benign ameloblastoma into an AC are controversial. The exact mechanism for the malignant transformation of ameloblastoma is currently unknown. One of the hypotheses is the possibility that a repetitive inflammatory stimulus after surgical treatment of recurrent ameloblastomas is associated with the potential for malignant transformation(8).

The diagnostic dilemma is even more complicated in specimens whose biopsy contains relatively limited material. The identification of invasive ameloblastomatous tumor growth (in the form of perineural, endoneural, muscular and/or vascular invasion) provides definitive evidence for AC diagnosis(2). Gunaratne et al. (2015)(6), however, reported no histological consensus regarding AC. Some parameters are described as aiding the diagnosis, including the presence of ameloblastomatous epithelium sheets or islands and the absence of areas similar to the star reticulum of the enamel organ. In addition to these characteristics, AC may include hyperchromatism, prominent nucleoli, cellular atypia, necrosis, calcification and vascular and neural invasion(8,9). All histopathological features were observed in the case reported herein, with the exception of vascular and neural invasion. Some authors report a variant of spindle cells(10-12).
Makiguchi et al. (2013)(13) report that the recurrence rate of this lesion is of 28.3% in patients treated with surgical AC resection, whereas the recurrence rate in cases treated with conservative therapy, such as enucleation or curettage, is of 92.3%.
Because AC is extremely rare, a therapeutic protocol has not been well defined yet. According to our review, therapeutic protocols involving a wide surgical resection with a safety margin for both soft and hard tissues seems to be the most successful treatment(6,8,10,14,15). For Gunaratne et al. (2015)(6), adjuvant radiotherapy for narrow or positive margins or in cases presenting lymph node metastases may be beneficial, but chemotherapy regimens show no evidence of benefits. The present case reports the resection of the alveolar process of the left maxilla associated with radiation therapy at weekly 70 Gy doses for two months, without post-surgical complications or recurrences to date.
If no intervention is performed, AC presents an aggressive course, with extensive local destruction and metastatic spread(6). The lung is the most common site of diffusion, although metastases to the liver have also been described(9,15-17).
This report described an AC case that arose from a recurrent ameloblastoma, culminating in the presentation of several components resulting in a malignancy diagnosis. Thus, the potential for malignant transformation should be considered for recurrent ameloblastomas, emphasizing the importance of surveillance of ameloblastoma, which is the most common benign epithelial tumor of the maxilla.
CONCLUSION
AC is a rare entity and the description of new cases may reveal, mainly by means of clinical follow-up and treatment, characteristics that allow us better understanding of AC behavior. In addition, the clinical and histopathological knowledge of this malignancy is essential to avoid possible confusions in its diagnosis and treatment plan.
REFERENCES
Speight PM, Takata T. New tumour entities in the 4th edition of the World Health Organization Classification of Head and Neck tumours: odontogenic and maxillofacial bone Tumours. Virchows Arch. 2017; 1-9. doi:10.1007/s00428-017-2182-3.
Cabay RJ. A discussion of some advancements and some persistent difficulties in the recognition and understanding of the histopathologic and molecular features of selected odontogenic tumors and tumor-like malformations. Adv Anat Pathol. 2015; 22: 213-6. doi:10.1097/PAP.0000000000000063.
El-Naggar AK, Chan JKC, Grandis JR, Takata T, Slootweg PJ. World Health Organization Classification of Head and Neck Tumours. Lyon, France: IARC Press; 2017. 343p.
Sciubba JJ, Eversole LR, Slootweg PJ. Odontogenic/ameloblastic carcinomas. In: Barnes L, Eveson JW, Reichart P, et al., editors. World Health Organization Classification of Tumours Pathology and Genetics of Head and Neck Tumours. Lyon, France: IARC Press; 2005. p. 287-9.
Yoon HJ, Hong SP, Lee JI, Lee SS, Hong SD. Ameloblastic carcinoma: an analysis of 6 cases with review of the literature. Oral Surg Oral Med Oral Pathol Oral Radiol Endodontol; 2009; 108: 904-13. doi:10.1016/j.tripleo.2009.06.045.
Gunaratne DA, Coleman HG, Lim L, Morgan GJ. Ameloblastic carcinoma. Am J Case Rep. 2015; 16: 415-9. doi:10.12659/AJCR.893918.
Shafer W, Hine M, Levy B. A textbook of oral pathology. 4th edition. USA: WB Saunders; 1974.
Karakida K, Aoki T, Sakamoto H, et al. Ameloblastic carcinoma, secondary type: a case Report. Oral Surg Oral Med Oral Pathol Oral Radiol Endodontol. 2010; 110: e33-e37. doi:10.1016/j.tripleo.2010.08.018.
Lin Z, Chen F, Wang T, Hu Q, Sun G. The variability and complexity of ameloblastoma: carcinoma ex ameloblastoma or primary ameloblastic carcinoma. J Craniomaxillofacial Surg. 2013; 41: 190-93. doi:10.1016/j.jcms.2012.07.012.
Jindal C, Palaskar S, Kaur H, Shankari M. Low-grade spindle-cell ameloblastic carcinoma: report of an unusual case with immunohistochemical findings and review of the literature. Curr Oncol. 2010; 17: 52-7. doi:10.3747/co.v17i5.580.
Kamath VV, Satelur K, Yerlagudda K. Spindle cell variant of ameloblastic carcinoma arising from an unicystic amelobastoma: report of a rare case. Dent Res J (Isfahan). 2012; 9: 328-33. Available at: http://www.pubmedcentral.nih.gov/articlerender.fcgi?artid=3469901&tool=pmcentrez&renderype=abstract.
Fonseca FP, de Almeida OP, Vargas PA, Gonçalves F, Pontes SCF, Pontes HAR. Ameloblastic carcinoma (secondary type) with extensive squamous differentiation areas and dedifferentiated regions. Oral Surg Oral Med Oral Pathol Oral Radiol. 2016; 121: e154-e161. doi:10.1016/j.oooo.2015.09.021.
Makiguchi T, Yokoo S, Miyazaki H, et al. Treatment strategy of a huge ameloblastic carcinoma. J Craniofac Surg. 2013; 24: 287-90. doi:10.1097/SCS.0b013e3182710311.
Pundir S, Saxena S, Rathod V, Aggrawal P. Ameloblastic carcinoma: secondary dedifferentiated carcinoma of the mandible: report of a rare entity with a brief review. J Oral Maxillofac Pathol. 2011; 15: 201-4. doi:10.4103/0973-029X.84501.
Li J, Du H, Li P, Zhang J, Tian W, Tang W. Ameloblastic carcinoma: an analysis of 12 cases with a review of the literature. Oncol Lett. 2014; 8: 914-20. doi:10.3892/ol.2014.
Yoshioka Y, Toratani S, Ogawa I, Okamoto T. Ameloblastic carcinoma, secondary type, of the mandible: a case report. J Oral Maxillofac Surg. 2013; 71: 58-62.doi:10.1016/j.joms.2012.09.005..2230.
Nobusawa A, Sano T, Yokoo S, Oyama T. Ameloblastic carcinoma developing in preexisting ameloblastoma with a mutation of the p53 gene: a case report. Oral Surg Oral Med Oral Pathol Oral Radiol. 2014; 118: e146-e150. doi:10.1016/j.oooo.2014.03.021.
Fujita S, Anami M, Satoh N, et al. Cytopathologic features of secondary peripheral ameloblastic carcinoma: a case report. Diagn Cytopathol. 2011; 39: 354-8. doi:10.1002/dc.21427.
Tempaku A, Takahashi Y, Ikeda H, et al. Usefulness of 11C-methionine positron emission tomography for detecting intracranial ameloblastic carcinoma: a case report. Oncol Lett. 2014; 8: 1509-12. doi:10.3892/ol.2014.2352.
Author notes
CORRESPONDING AUTHOR: Hugo Costa Neto. e-mail: hugoneto.odonto@gmail.com