Case report
Intraosseous maxillary mucoepidermoid carcinoma: a rare case report
Carcinoma mucoepidermoide intraósseo maxilar: um raro relato de caso
Intraosseous maxillary mucoepidermoid carcinoma: a rare case report
Jornal Brasileiro de Patologia e Medicina Laboratorial, vol. 55, no. 5, pp. 540-549, 2019
Sociedade Brasileira de Patologia Clínica; Sociedade Brasileira de Patologia; Sociedade Brasileira de Citopatologia
Received: 11 December 2018
Revised document received: 21 February 2019
Accepted: 03 April 2019
Published: 20 October 2019
ABSTRACT: An unusual case of intraosseous mucoepidermoid carcinoma is reported in a 22-year-old female, located in the posterior maxilla region. The article summarizes the main characteristics of the disease, including clinical-pathologic characteristics, treatment and prognosis.
Key words: mucoepidermoid carcinoma, oral diagnosis, immunohistochemistry.
RESUMEN: Reportamos un caso raro de carcinoma epidermoide intraóseo ubicado en región posterior de la maxila en una paciente de 22 años de edad. El artículo resume las principales características del proceso neoplásico, incluyendo las características clínico-patológicas, el tratamiento y el pronóstico.
Palabras clave: carcinoma mucoepidermoide, diagnóstico oral, inmunohistoquímica.
RESUMO: Relatamos um raro caso de carcinoma mucoepidermoide intraósseo localizado em região posterior da maxila em uma paciente de 22 anos de idade. O artigo resume as principais características do processo neoplásico, incluindo as características clinicopatológicas, o tratamento e o prognóstico.
Unitermos: carcinoma mucoepidermoide, diagnóstico oral, imuno-histoquímica.
INTRODUCTION
Mucoepidermoid carcinoma (MEC) is the most frequently diagnosed malignancy in the salivary glands. This tumor is characterized by a variable biological behavior and is mainly found in the major salivary glands, especially the parotid gland. Involvement of the gnathic bones is extremely rare, with a higher incidence in the posterior mandible(1-3). MEC affects patients between their second and seventh decades of life and has a slight female predilection. No racial predisposition has been described(4,5).
Microscopically, MEC is characterized by the proliferation of three main cell types: epidermoid, mucous, and intermediate. Histopathological grading usually considers tumor cell arrangement, degree of differentiation, tumor cell anaplasia and the interrelationship of the three cell types to classify the tumor as low-, intermediate- or high-grade malignancy(1,3,5,6). Treatment ranges from simple surgical excision in the case of low-grade tumors to broad excision associated with cervical lymph node drainage and adjuvant radiotherapy. Factors related to the prognosis of MEC include the size of the primary tumor at the time of diagnosis, histopathological grade, and the presence of metastases(4).
In an attempt to increase our knowledge of the clinical and pathological features of intraosseous MEC, this study reports the case of a young patient with intraosseous MEC in the maxilla.
CASE REPORT
A 22-year-old white female patient was referred to the Oral Pathology Service of Universidade Federal do Rio Grande do Norte (UFRN) with the diagnosis of a dentigerous cyst four years ago. The patient underwent surgery for removal of tooth 28 and associated cystic enucleation.
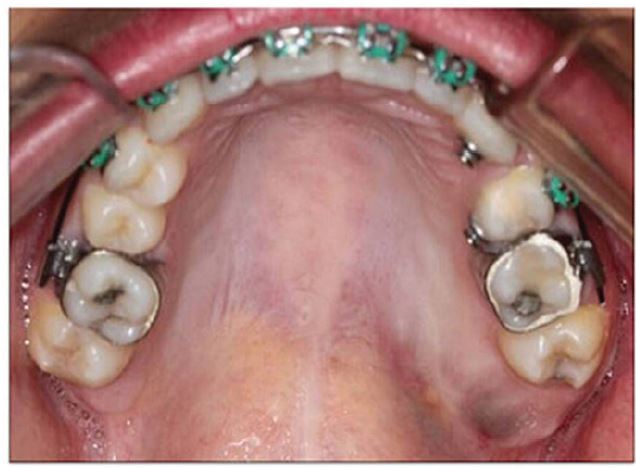
Clinical examination showed the absence of facial alterations and cervical lymphadenopathies. Intraoral examination revealed a swelling in the left posterior maxilla and pain on palpation (Figure 1). Computed tomography (CT) showed the presence of a hypodense lesion in the area of tooth 28 expanding to the maxillary sinus, but no cortical bone destruction (Figure 2).


A) coronal section; B) axial section; C) sagital section.
An incisional biopsy was performed and histopathological examination revealed a neoplasm mainly formed by solid islands of cells with epidermoid, intermediate and clear morphology, which exhibited different degrees of pleomorphism (Figure 3).

Histochemical staining with Alcian blue-periodic acid Schiff (PAS) and mucicarmine was positive, confirming the mucoid nature of the examined tissue (Figure 4). Immunohistochemical staining was positive for pan-cytokeratin (AE1/AE3) and cytokeratin (CK) 7 and 19 (Figure 5) and negative for alpha-smooth muscle actin (α-SMA). Based on those results, the final diagnosis was MEC located in the left maxilla.

A) alcian blue-PAS; B) mucicarmin.
PAS: periodic acid Schiff.

A) AE1/AE3; B) CK7; C) CK19.
CK: cytokeratin.
Complete surgical resection of the tumor was performed and maxillary provisional obturator prosthesis was placed for rehabilitation (Figure 6). The patient is under clinical and radiographic follow-up and has been disease free for four years.

A) complete surgical resection of the tumor was performed; B) maxillary provisional obturator prosthesis was placed for rehabilitation.
DISCUSSION
MEC is the most common malignancy of the salivary glands, accounting for 12% to 30% of all malignant salivary gland tumors, and mainly affects the parotid gland(7,8). Although the clinical and histopathological features of MEC are well known, a differential diagnosis with cysts and benign or malignant tumors, especially those of odontogenic origin, is necessary when these tumors occur in gnathic bones. In this respect, histochemical and immunohistochemical markers are fundamental for an accurate diagnosis(4,9-11). In the present case, the initial diagnosis was a dentigerous cyst. Despite the clinical and radiographic suspicion of an odontogenic tumor, the morphological findings and the immunoexpression of pan-cytokeratin (AE1/AE3) and CKs 7 and 19, in addition to positive staining for Alcian blue-PAS and mucicarmine, confirmed the glandular nature of the tumor.
In view of the rarity of intraosseous MEC, few reports are available in the literature. The first case was described in the mandible of a female patient older than 60 years(12). Intraosseous MEC shows a female predilection and mainly afflicts the posterior mandible. The tumor has been shown to affect different age groups, with most cases occurring between the fourth and fifth decades of life(4,10).
As shown in the Table, 10 cases of intraosseous MEC in the maxilla have been reported over the last 13 years(11,13-23). The tumor affected predominantly male patients and symptoms might be present, in agreement with the characteristics of the present case. Patients were, on average, in the fourth decade of life. However, the present case was uncommonly diagnosed in a younger patient (22 years), which agrees with some of the studies reported in the Table, while most cases were diagnosed in older patients.

The main symptoms of intraosseous MEC are swelling, pain, trismus and paresthesia, depending on the size of the tumor(10,20). In the present study, the patient had a painful swelling in the posterior maxilla. Computed tomography detected a hypodense, unilocular lesion expanding to the cortical bones of the maxillary sinus, but no bone destruction was observed. These imaging findings led to the clinical diagnosis of odontogenic lesions, considering their higher incidence in this region(1,4,24,25). However, an incisional biopsy is important in the case of osteolytic lesions for histopathological, histological and immunohistochemical analyses that will establish the correct diagnosis.
In addition to the usual histopathological features, the definitive diagnosis of intraosseous MEC is made based on positive staining for mucicarmine, Alcian blue-PAS and cytokeratins (which confirm glandular differentiation), as well as the absence of cortical bone destruction and clinical and histopathological exclusion of metastases and/or odontogenic lesions(4,19). In the present case, the final diagnosis was established based on these criteria.
Clinical staging of the tumor is performed according to the tumor-lymph node-metastasis (TNM) system to guide adequate treatment in each case(20-24). In the present study, the patient was classified as stage II, showing no regional metastases. The treatment of choice was surgical resection of the posterior part of the maxilla and left maxillary sinus. According to the literature, the recurrence rate of stage I and II tumors ranges from 13% to 15%(25-27). The present patient has been disease-free for two years, a fact confirming the good prognosis of low-grade, early-stage tumors.
The main goal of palatal obturator prostheses is the rehabilitation of patients with oronasal or oro-sinusal communications(26). The objectives of prosthetic rehabilitation in patients with oro-sinusal communications after surgical resection include the remodeling and reconstruction of the palatine contour and the restoration of esthetics, mastication, deglutition, respiration and phonation. In the present case, rehabilitation consisted of the placement of a palatine obturator prosthesis. If no tumor recurrence occurs after five years of follow-up, reconstruction using bone and soft tissue grafts will be performed(26,27).
Within the context of cancer therapy, surgical resection is without doubt the main objective of treatment. However, the rehabilitation of mutilated patients is a matter of concern since the concept of health includes the physical, psychological and social well-being of an individual. Thus, oral-maxillofacial mutilation after antineoplastic treatment needs to be minimized to restore patients' health and to permit their dignified integration into society after treatment.
CONCLUSION
Although rare, intraosseous MEC should be included in the differential diagnosis of proliferative and osteolytic lesions of the gnathic bones even when the clinical or radiological findings do not suggest malignancy. Early diagnosis, adequate treatment and systematic follow-up by a multiprofessional team are important for a favorable prognosis.
REFERENCES
Barnes L, Eveson JW, Reichart P, et al. Tumours of the nasal cavity and paranasal sinuses. In: Barnes L, Eveson JW, Reichart P, et al. editors. World Health Organization classification of tumours. Pathology and genetics head and neck tumours. Lyon: IARC Press; 2005; pp. 10-80.
Bansal A, Shetty DC, Rai HC, et al. Primary intraosseous mucoepidermoid carcinoma of maxilla. E-J Dentistry. 2011; 1: 14-7.
Kechagias N, Ntomouchtsis A, Mavrodi A, et al. Central mucoepidermoid carcinoma of the anterior region of the mandible: report of an unusual case and review of the literature. Oral Maxillofac Surg. 2015; 19: 309-13.
Silva LP, Serpa MS, Silva LA, et al. Central mucoepidermoid carcinoma radiographically mimicking an odontogenic tumor: a case report and literature review. J Oral Maxillofac Pathol. 2016; 20: 518-22.
Johnson B, Velez I. Central mucoepidermoid carcinoma with an atypical radiographic appearance. Oral Surg Oral Med Oral Pathol Oral Radiol Endod. 2008; 106: 51-3.
Moghadam SA, Moghadam FA. Intraosseous mucoepidermoid carcinoma: report of two cases. J Dent. 2014; 15: 86-90.
Zhou CX, Chen XM, Li TJ. Central mucoepidermoid carcinoma: a clinicopathologic and immunohistochemical study of 39 Chinese patients. Am J Surg Pathol. 2012; 36: 18-26.
Varma S, Shameena P, Sudha S, et al. Clear cell variant of intraosseous mucoepidermoid carcinoma: report of a rare entity. J Oral Maxillofac Pathol. 2012; 16: 141-4.
Seyedmajidi M, Foroughi R. Central mucoepidermoid carcinoma - a case report and review of the literature. J Clin Exp Oncol. 2013; 2: 1-3.
Chundru NS, Prasanth T, Nandan SR, et al. Central mucoepidermoid carcinoma. J Cancer Res Ther. 2015; 11: 657.
Nallamilli SM, Tatapudi R, Reddy RS, et al. Primary intraosseous mucoepidermoid carcinoma of the maxilla. Ghana Med J. 2015; 49: 120-3.
Lepp H. Zur Kenntnis des papillar wachsenden schleimigen cystadenokarzinoms der mundhohle. Zieglers Beitrage Z Pathol Anat. 1939; 102: 164-6.
Namin AK, Moshref M, Shahoon H, et al. Intraosseous mucoepidermoid carcinoma of the maxilla in a teenager: a case report and review of literature. Oral Surg Oral Med Oral Pathol Oral Radiol Endod. 2005; 100: 93-6.
Raut D, Khedkar S. Primary intraosseous mucoepidermoid carcinoma of the maxilla: a case report and review of literature. Dentomaxillofac Radiol. 2009; 38: 163-8.
Sherin S, Sherin N, Thomas V, et al. Central mucoepidermoid carcinoma of maxilla with radiographic appearance of mixed radiopaque-radiolucent lesion: a case report. Dentomaxillofac Radiol. 2011; 40: 463-5.
Takano M, Kasahara K, Matsui S, et al. A case of mucoepidermoid carcinoma associated with maxillary cyst. Bull Tokyo Dent Coll. 2012; 53: 119-25.
Lakouichmi M, Touati MM, Zrara I, et al. Primary intraosseous mucoepidermoid carcinoma of the jaws. Rev Stomatol Chir Maxillofac Chir Orale. 2013; 114: 334-7.
Chan KC, Pharoah M, Lee L, et al. Intraosseous mucoepidermoid carcinoma: a review of the diagnostic imaging features of four jaw cases. Dentomaxillofac Radiol. 2013; 42: 20110162.
Rathore AS, Ahuja P, Chhina S, et al. Primary intraosseous mucoepidermoid carcinoma of maxilla. J Oral Maxillofac Pathol. 2014; 18: 428-31.
Suresh D, Raviraj J, Vijaykumar B, et al. Central mucoepidermoid carcinoma of the maxilla with unusual ground glass appearance and calcifications: a case report. Imaging Sci Dent. 2014; 44: 161-4.
Martins TH, Bonardi JP, Stabile GA. Mucoepidermoid carcinoma of the hard palate in a young patient. J Craniofac Surg. 2016; 27: e598-e9.
Purohit S, Manjunatha BS, Dagrus K, et al. Intraosseous mucoepidermoid carcinoma of maxilla: a rare entity. J Exp Ther Oncol. 2016; 11: 207-11.
Razavi SM, Yahyaabadi R, Khalesi S. A case of central mucoepidermoid carcinoma associated with dentigerous cyst. Dent Res J (Isfahan). 2017; 14: 423-6.
Ryan JT, El-Naggar W, Huh EY, et al. Primacy of surgery in the management of mucoepidermoid carcinoma in children. Head Neck. 2011; 33: 1769-73.
Chenevert J, Barnes LE, Chiosea SI, et al. Mucoepidermoid carcinoma: a five-decade. Virchows Arch. 2011; 458: 133-40.
Fong JH, Wu HT, Chio YW, et al. Comprehensive rehabilitation after severe maxillofacial injury in a cleft patient. J Chin Med Assoc. 2010; 73: 543-8.
Hatamleh MM, Haylock C, Watson J, et al. Maxillofacial prosthetic rehabilitation in the UK: a survey of maxillofacial prosthetists' and technologists' attitudes and opinions. Int J Oral Maxillofac Surg. 2010; 39: 1186-92.
Author notes
CORRESPONDING AUTHOR: Lélia Batista de Souza. e-mail: leliabsouza@gmail.com