CASE REPORT
Juvenile ossifying fibroma: series of seven cases focusing on clinical and pathological aspects
Fibroma ossificante juvenil: série de sete casos com enfoque nos aspectos clinicopatológicos
Juvenile ossifying fibroma: series of seven cases focusing on clinical and pathological aspects
Jornal Brasileiro de Patologia e Medicina Laboratorial, vol. 55, no. 6, pp. 657-666, 2019
Sociedade Brasileira de Patologia Clínica; Sociedade Brasileira de Patologia; Sociedade Brasileira de Citopatologia
Received: 07 April 2019
Revised document received: 11 April 2019
Accepted: 22 April 2019
Published: 20 December 2019
ABSTRACT: Juvenile ossifying fibroma (JOF) is an uncommon benign fibro-osseous lesion that affects young individuals and deserves attention because it presents an aggressive clinical behavior and high rates of recurrence. This paper aims to report seven cases diagnosed as JOF - age ranging from 11 to 39 years - in a referral center, correlating our findings with clinical and pathological aspects in the literature. The mandible was the most common location, and in three cases, painful symptoms were reported. Regarding the histopathological findings, the majority of cases exhibited a cellularized pattern, and the trabecular subtype was the most commonly found. Regarding treatment, three cases relapsed, and, in two of them, conservative treatments were performed. Accordingly, knowing the clinical-pathological aspects of JOF is important for the correct diagnosis and the establishment of an appropriate treatment that decreases the high recurrence rate of this lesion.
Key words: ossifying fibroma, jaw neoplasms, pathology.
RESUMEN: El fibroma osificante juvenil (FOJ) es una lesión fibro-ósea benigna pocofrecuente que acomete personasjóvenesy merece realce, puespresenta comportamiento clínico agresivo y altas tasas de recidivas. Reportamos siete casos diagnosticados como FOJ - con pacientes entre 11 y 39 anos de edad - en un centro de referencia, relacionando nuestros hallazgos con los aspectos clínicos y patológicos existentes en la literatura. La mandíbula fue la ubicación más común; en tres casos se reportaron síntomas dolorosos. En lo que respecta a los hallazgos histopatológicos, la mayor parte de los casos se mostró altamente celularizada, siendo el subtipo trabecular el más común. En cuanto al tratamiento, de los tres casos que presentaran recurrencia, en dos se realizaron tratamientos conservadores. Ante eso, se resalta la importancia de conocer los aspectos clínicos y patológicos del FOJ para hacer el diagnóstico preciso y establecer un tratamiento adecuado que reduzca el alto índice de recidivas de esa lesión.
Palabras clave: fibroma osificante, neoplasias maxilares, patologia.
RESUMO: O fibroma ossificante juvenil (FOJ) é uma lesão fibro-óssea benigna incomum que acomete indivíduos jovens e merece destaque por apresentar um comportamento clínico agressivo e altas taxas de recidivas. Este trabalho tem como objetivo relatar sete casos diagnosticados como FOJ - com variação de idade entre 11 e 39 anos - em um centro de referência, correlacionando nossos achados com os aspectos clinicopatológicos existentes na literatura. A mandíbula foi a localização mais comum; em três casos foi relatada sintomatologia dolorosa. Com relação aos achados histopatológicos, a maioria dos casos exibiu um padrão bem celularizado, sendo o subtipo trabecular o mais encontrado. No que diz respeito ao tratamento, dos três casos que apresentaram recidiva, em dois, foram realizados tratamentos conservadores. Diante disso, ressalta-se a importância do conhecimento dos aspectos clínicos epatológicos do FOJ para a realização de um diagnóstico correto e o estabelecimento de um tratamento adequado que diminua o alto índice de recidivas dessa lesão.
Unitermos: fibroma ossificante, neoplasias maxilares, patologia.
INTRODUCTION
Juvenile ossifying fibroma (JOF) is an uncommon benign tumor; it is considered the aggressive counterpart of a central ossifying fibroma. In 2017, the World Health Organization (WHO) defined this lesion as a benign fibro-osseous lesion, with rapid expansive growth, that affects children and adolescents aged 8 to 12 years(1-3).
Radiographically, JOFs appear as an unilocular lesions with mixed-density, well-circumscribed, showing predilection for the posterior region of the maxilla. They may be associated with cortical bone destruction, causing severe morphological changes and functional defects in the nasal cavity, orbits and, possibly, in the skull(3,4).
The microscopic examination revealed a well-delimited JOF, showing areas of calcified tissue, such as bone and/or cementum. It may present two distinct histological patterns: juvenile trabecular ossifying fibroma (JTOF) - often diagnosed in the maxilla from 8 to 12 years-old individuals - and juvenile psammomatoid ossifying fibroma (JPOF) - usually affecting the nasal and orbital bones of patients aged 16 to 33 years(1,3).
The JTOF and JPOF subtypes exhibit a relatively significant proliferation of round to spindle shaped cells; they are in the midst of a stroma with deposition of mineralized material predominantly immature and osteoid in nature. Some cases may exhibit alterations in the fibroblastic background, such as myxoid changes, microcystic degeneration, occasional spaces filled with hemorrhage surrounded by osteoclast-like multinucleated giant cells, and the presence of aneurysmal bone cyst (ABC). Several reports show that the association of JOF with ABC is more common in JTOF(3,5).
Regarding the treatment of JOF, surgical method is the most suitable, ranging from conservative to radical. According to Goulart-Filho et al. (2018)(3), block resection would be the most recommended surgical method, since JOF has high potential for local recurrence (range between 20% and 90% of cases). Such a procedure would guarantee tumor-free margins, as well as a reduction in the recurrence rate.
The aim of the present study is to report a series of cases diagnosed as JOF in a referral center, correlating the findings with the clinical and pathological aspects in the literature.
CASE SERIES
Seven cases of JOF were found in the Pathological Anatomy Service of the School of Dentistry of the Federal University of Rio Grande do Norte (UFRN). From these, four cases were female and three male. The age ranged from 11 to 39 years, and the most frequent anatomic location was the mandible (four cases).
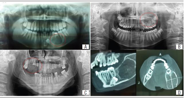
Regarding the radiographic aspect, the most common pattern was well-defined radiolucency, which showed radiopaque foci (Figure 1). Painful symptomatology was reported in three cases. Regarding treatment and relapses, more conservative surgical treatment presented higher recurrence rate, as shown in cases 4 and 6 (Table 1).


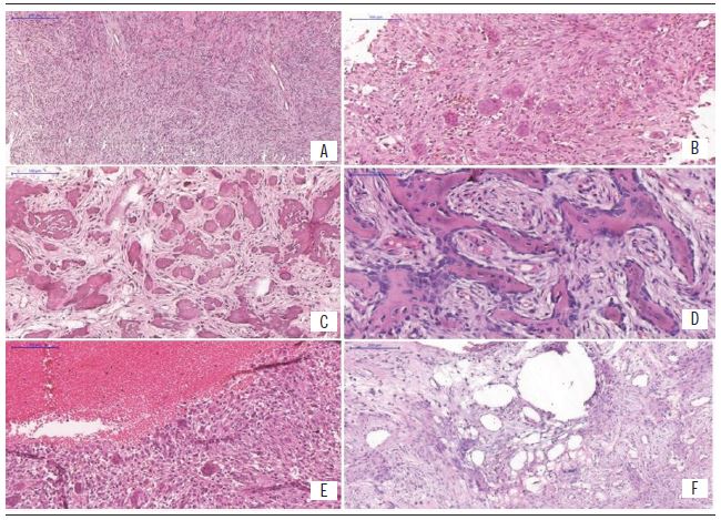
Regarding the morphological aspects (Figure 2), a well-cellularized pattern, with cells ranging shapes from fusiform to ovoid, whose stroma exhibited varying density, was observed in six cases. In five cases, trabecular pattern was observed and, in two, psammomatoid pattern. Multinucleated giant cells were present in five cases; mitotic figures and pseudocystic degeneration in just one. The presence of hemorrhage was observed in five cases analyzed (Table 2).


DISCUSSION
Ossifying fibroma was first reported by Montgomery in 1927, as a benign fibro-osseous lesion. Subsequently, the term JOF was used by Johnson, in 1952, when describing aggressive forms of ossifying fibromas in children’s craniofacial bones(6).
JOF is a benign fibro-osseous neoplasm of mesenchymal origin consisting of a richly cellularized fibrous stroma, which exhibits osteoblasts lining osteoid tissue along with typical bone tissue trabeculae. The etiology of this fibro-osseous lesion is still uncertain. However, it is believed to originate as a result of the differentiation of multipotential features of precursor cells or periodontal ligament mesenchymal cells, which are capable of forming a combination of cementum, osteoid or fibrous tissue(7-9).
JOF presents a higher incidence in children and young adults, however, there are reports of occurrence at older ages, with a predilection for males(10). Among the seven cases described four affected females, and only three, males. Slootweg et al. (1994)(1) classified JOF into two distinct groups based on age of involvement: 1. JTOF - mean age of involvement 11.8 years; 2. JPOF - mean age of occurrence 22.6 years. The trabecular variant often arises in the gnathic bones, while the psammomatoid variant is related to the paranasal sinuses and the orbital region. Regarding the involvement of the gnathic bones, upon the variants, the maxilla is the most affected site(12,13). From the seven cases reported in this study, there was a slight predilection for the mandible, affecting four cases.
The clinical behavior of JOF has been reported as aggressive, fast and progressive growing, which may cause facial deformation, with suspicion for malignancy. The lesion grows to a significant size, with cortical thinning and perforation(2,14). Paresthesia is not commonly reported, and expansive growth usually causes tooth displacement(15). Despite this aggressive behavior and expansive growth, the lesion is usually painless. In the present study, painful symptoms were observed in three cases.
Radiographically, a well-defined lesion with areas of radiolucency and/or radiopacity is evidenced. The variation of these degrees is observed by the amount of mineralized tissue deposited in the lesion(16-18). In addition, root displacement and resorption may occur(19). In the reported cases, the well-defined radiolucent pattern with radiopaque foci was the most frequently observed pattern; areas of root resorption or divergence were not found.
JOF exhibits heterogeneous morphology in the histopathological findings, with areas of marked cellularity in a fibrous stroma, alternating amid areas of poorly cellularized myxomatous stroma. The distribution of bone trabeculae and ossicles is unequal, and giant cell clusters are frequently observed(20). El-Mofty’s most recent classification (2002)(18) identified two patterns based on histological criteria: JTOF and JPOF. The trabecular variant reveals irregular osteoid cords, containing irregular osteocytes; the psammomatoid variant reveals the presence of spherical structures named psammas, which usually present a central basophilic area and a peripheral eosinophilic fringe, which are scattered in a fibrous stroma consisting of large spindle-shaped cells(19,21,22).
Regarding the histopathological variants, there are no reports in the literature that a certain variant influences the clinical behavior of the tumor. Correlating the variant and location, the JPOF mainly involves the orbital bones and paranasal sinuses, while the trabecular type, commonly involve the gnathic bones(23,24). In the present study, the cases with psammomatoid pattern involved only the mandible, while the cases with trabecular pattern involved the maxilla and the mandible.
Among the lesions that make a differential diagnosis with JOF, fibrous dysplasia stands out, since their histopathological aspects are very similar. Although these lesions are part of the same group of benign fibro-osseous lesions, they have a distinct biological behavior: JOF is more aggressive, so the importance of a correct diagnosis for planning the specific and appropriate treatment for each lesion(25).
The recurrence rate for JOF varies between 20% and 90%, and occurs after a period of six months to 19 years, when conservative treatments are performed. Accordingly, in the present study, recurrence was observed in two cases that undergone conservative surgical treatment (it was noted that curettage reflects a high recurrence rate). Thus, due to the aggressive behavior and the high recurrence rate of this lesion, a more radical treatment with broader resection approach is required, seeking to preserve the vital structures. In addition, the importance of an extended follow-up period to assess possible relapses is stressed(26).
CONCLUSION
Knowledge of the histopathological aspects, as well as the clinical and radiographic aspects of JOF, and its subtypes, may assist in the correct diagnosis of the neoplasm, since the JOF resembles both, radiographically and microscopically, with other benign fibro-osseous lesions. In addition, it can guide the clinician in choosing an appropriate treatment that provides a lower rate of relapse.
REFERENCES
Han J, Hu L, Zhang C, et al. Juvenile ossifying fibroma of the jaw: a retrospective study of 15 cases. Int J Oral Maxillofac Surg. 2016; 45(3):368-76.
El-naggar AK, Chan JKC, Grandis JR, Takata T, Slootweg PJ. WHO classification of head and neck tumours. 4 ed. Lyon; 2017. p. 235.
Goulart-filho JAV, Montalli VAM, Santos FP, Soares AB, Araújo NS, Araújo VC. Microvessel density and cell proliferation in juvenile ossifying fibroma: a comparative study with central ossifying fibroma. Ann Diagn Pathol. 2018; 36: 44-9.
Sarode SC, Sarode GS, Ingale Y, et al. Recurrent juvenile psammomatoid ossifying fibroma with secondary aneurysmal bone cyst of the maxilla: a case report and review of literature. Clin Pract. 2018; 8(3): 1-4.
Gotmare SS, Tamgadge A, Tamgadge S, Kesarkar KS. Recurrent psammomatoid juvenile ossifying fibroma with aneurysmal bone cyst: an unusual case presentation. Iran J Med Sci. 2017; 42(6): 603-6.
Abuzinada S, Alyamani A. Management of juvenile ossifying fibroma in the maxilla and mandible. J Maxillofac Oral Surg. 2010; 9(1): 91-5.
Rai S, Kaur M, Goel S, Prabhat M. Trabeculae type of juvenile aggressive ossifying fibroma of the maxilla: report of two cases. Contemp Clin Dent. 2013; 3(5): 45-50.
Babaji HV, Bharathi CS, Pal PK, Singh G, Anuradha M, Chaurasia VR. Juvenile aggressive ossifying fibroma of the maxilla: a case report. J Int Oral Health. 2014; 6(5): 108-10.
Khanna J, Ramaswami R. Juvenile ossifying fibroma in the mandible. Case report. Tumors. 2018; 8(1): 147-50.
Rathore AS, Ahuja P, Chhina S. Juvenile ossifying fibroma - WHO type. J Case Rep Studies. 2014; 2(2): 1-4.
Slootweg PJ, Panders AK, Koopmans R, Nikkels PG. Juvenile ossifying fibroma: an analysis of 33 cases with emphasis on histopathological aspects. J Oral Pathol Med. 1994; 23: 385-8.
Ranganath KK, Sulata MM, Sejal K, Nandini HV. Juvenile psammomatoid ossifying fibroma of maxillary sinus: case report with review of literature. J Maxillofac Oral Surg. 2014; 13(2): 109-14.
Bhuyan L, Panda A, Dash KC, Gouse MS, Misra K. Conglomeration of trabecular and psammomatoid variants of juvenile ossifying fibroma - a rare case report. Clin Case Rep. 2017; 5(6): 816-21.
Singh AK, Kumar N, Singh S, Pandey A, Verma V. Juvenile ossifying fibroma of the mandible: a case report and review. J Dent Allied Sci. 2018; 7(1): 34-7.
Kadam R, Patel S, Pathak J, Swain N, Kumar S. Trabecular juvenile ossifying fibroma of the craniofacial skeleton: etiopathogenesis and a case report of the rare entity. J Contemporary Dentistry. 2014; 4(1): 51-5.
Bhatt P, Kaushik A, Vinod VC, et al. Ossifying fibroma of the maxilla: a rare case. Int J Radiol Radiat Ther. 2017; 3(2): 198-201.
Sun G, Chen EY, Tang ZLJ. Juvenile ossifying fibroma of the maxilla. Int J Oral Maxillofac Surg. 2007; 36(1): 82-5.
El-Mofty S. Psammomatoid and trabecular juvenile ossifying fibroma of the craniofacial skeleton: two distinct clinicopathologic entities. Oral Surg Oral Med Oral Pathol Oral Radiol Endod. 2002; 93: 296-304.
Patil RS, Chakravarthy C, Sunder S, Shekar R. Psammomatoid variant of juvenile ossifying fibroma. Ann Maxillofac Surg. 2013; 3: 100-3.
Guruprasad Y, Giraddi G. Juvenile ossifying fibroma of maxilla. J Maxillofac Oral Surg. 2010; 9(1): 96-8.
Aboujaoude S, Georges A. Juvenile trabecular ossifying fibroma of the maxilla: a case report. Med Arch. 2016; 70(6): 470-2.
Chandolia B, Bajpai M. Psammomatoid juvenile ossifying fibroma of mandiblein a 41-year male patient. J Coll Physicians Surg Pak. 2017; 27(1): 49-50.
Gupta S, Goel S, Ghosh S, Singh A. Psammomatoid type juvenile ossifying fibroma of mandible. Case Rep Reviews. 2014; 1(7): 18-21.
§ereflican M, Yurttaç V, Ozan F, Akka§ I, Dagli M. International journal of otorhinolaryngology and head and neck surgery. Int J Otorhinolaryngol Head Neck Surg. 2016; 2(2): 85-7.
Burke A, Collins MT, Boyce AM. Fibrous dysplasia of bone: craniofacial and dental implications. Oral Dis. 2017; 23(6): 697-708.
Ollfa BG, Romdhane N, Nefzaoui S, et al. Juvenile ossifying fibroma of the maxilla. Egyptian J Ear Nose Throat Allied Sci. 2017; 18(2): 145-9.
Author notes
CORRESPONDING AUTHOR Katianne Soares Rodrigues 0000-000S-241S-2414 e-mail: katianne_soares@hotmail.com