CASE REPORT
Choroid plexus papilloma: case report
Papiloma do plexo coroide: relato de caso
Choroid plexus papilloma: case report
Jornal Brasileiro de Patologia e Medicina Laboratorial, vol. 55, no. 6, pp. 673-680, 2019
Sociedade Brasileira de Patologia Clínica; Sociedade Brasileira de Patologia; Sociedade Brasileira de Citopatologia
Received: 15 December 2018
Revised document received: 13 January 2019
Accepted: 02 May 2019
Published: 20 December 2019
ABSTRACT: Choroid plexus papillomas (CPP) are a rare oncological condition. They affect mostly the pediatric population, and the diagnosis is associated with clinical findings, imaging and anatomopathological methods. We report the case of a 49-year-old woman who underwent neurosurgical evaluation for chronic headache and emotional stress. CPP is a rare central nervous system tumor in the adult population. We present, therefore, a case in an adult female, whose diagnosis was confirmed by histopathology methods. Surgical treatment is the gold standard, showing full resolution in almost all cases.
Key words: choroid plexus papillomas, hydrocephalus, brain tumors.
RESUMEN: Los papilomas de los plexos coroideos (PPC) son una condición oncológica bastante rara. Acometen mayormente la población pediátrica; su diagnóstico implica un análisis clínico asociado a los métodos de imagen y anatomopatológico. Reportamos el caso de una mujer de 49 anos atendida para evaluación neuroquirúrgica con cefalea crónica y estrés emocional. El PPC es un tumor delsistema nervioso central sumamente raro en la población adulta. Así, presentamos un caso raro en una mujer adulta, cuyo diagnóstico fue confirmado por métodos histopatológicos. El tratamiento quirúrgico es el estándar de oro, ya que muestra resolución completa en casi todos los casos.
Palabras clave: papiloma del plexo coroideo, hidrocefalia, tumores del cerebro.
RESUMO: Os papilomas do plexo coroide (PPC) são uma condição oncológica bastante rara. Acometem majoritariamente a população pediátrica; seu diagnóstico envolve uma análise clínica associada aos métodos de imagem e anatomopatológico. Relatamos o caso de uma mulher de 49 anos atendida no Hospital das Clínicas da Universidade Federal de Goiás (UFG) para avaliação neurocirúrgica com clínica de cefaleia crônica e estresse emocional. O PPC é um tumor do sistema nervoso central extremamente raro na população adulta. Apresentamos, portanto, um caso raro em uma mulher adulta, cujo diagnóstico foi confirmado por métodos histopatológicos. O tratamento cirúrgico é o padrão-ouro, pois mostra resolução completa em quase todos os casos.
Unitermos: papiloma do plexo coroide, hidrocefalia, tumores cerebrais.
INTRODUCTION
Choroid plexus papillomas (CPP) are rare tumors of the nervous system, of neuroectodermal origin, responsible for less than 1% of all brain tumors(1). They are mostly located in the lateral ventricles; other possible localizations are the third and fourth ventricles, but the involvement of both can occur, as well as of the cerebellopontine angle(2). In adults, they locate preferably in the infratentorial region, while in children they are supratentorial tumors (70% manifest themselves before the 2 years of age)(3). They are characterized by great production of cerebrospinal fluid (CSF), what leads them to evolve to a typical clinical presentation of hydrocephalus(4). Its diagnosis requires clinical analysis associated with imaging and anatomopathological methods. Surgical removal is the treatment of choice, with positive prognosis to patients(5).
OBJECTIVE
Our aim is to report a case of CPP at an adult patient, addressing its clinical specificities, methods used in the diagnostic conclusion, and therapeutic approach.
METHOD
This is a study based on the collection of primary data by means of anamnesis, physical examination, complementary and diagnostic tests of the patient in question, besides analysis by means of bibliographical review.
CASE REPORT
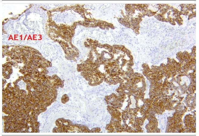
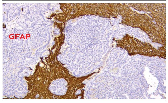
A 49-year-old female patient was admitted to a public hospital in Goiânia, Goiás, Brazil, with history of emotional stress, severe headache that began four months ago, and hypoesthesia in the lower right limb. She denied seizures, syncope and other manifestations. The physical examination revealed Glasgow scale score of 15; pupils equal and reactive to light; tactile, thermal, painful and proprioceptive hypoesthesia in lower right limb. A magnetic resonance imaging (MRI) of the brain was conducted, which identified two lesions: a hyperdense, oval, lobulated mass measuring 6.1 x 3.3 x 4.3 cm; another with a hyperdense center, lobulated contours, measuring 2 x 7.9 cm, with edema and left occipitoparietal focal mass effect (Figure 1). Both compressed the atrium and the posterior portion of lateral left ventricle. The anatomopathological study of the lesion revealed structures similar to the normal choroid plexus, with increased cellularity, presence of vascular bundles and formation of papillary structures of cubic and elongated cells (Figure 2). The general aspect of the lesion is homogeneous, revealing the benign character of the neoplasia. The immunohistochemistry (IHC) demonstrated negative cells for AE1/AE3 (Figure 3) and glial fibrillary acidic protein (GFAP) (Figure 4) and diffusely positive for epithelial membrane antigen (EMA) (Figure 5). Those results confirm the diagnosis of CPP

MRI: magnetic resonance imaging.




Resection with complete surgical excision was chosen. The patient presented favorable evolution.
DISCUSSION
Choroid plexus tumors are neoplasms of neuroectodermal origin that can be classified into three groups according to histological analysis: CPP [grade I, according to the World Health Organization (WHO)]; atypical CPP (grade II, WHO), when there are more than two mitoses per 10 fields; and carcinoma (grade III, WHO), when there are more than two mitoses per 10 fields associated to necrosis, atypia, and architectural alterations(6).
CPP is a benign tumor of the central nervous system that corresponds to less than 0.4%-0.6% of brain tumors; they are rare in adults (less than 0.5%)(7). They are located preferably in the lateral ventricles (50% of the cases; it is the most common region in children), in the third ventricle (5%) and in the fourth ventricle (40%) - the most frequently affected site in adults(4). From an analysis of 44 cases of brain tumors in the first two years of life, we observed that a third of the supratentorial lesions are tumors of the choroid plexus, of which the CPP is the main representative.
This inversion in the usual topography also occurs in the adult age group: CPP presents preferably in the infratentorial location, while most brain tumors in adults are supratentorial(8). The clinical presentation of the cases is atypical, varies according to location and extension of the lesion. Hydrocephalus is present in 80% of the of CPP cases(9), due to mass effect, blockage of CSF and the increased secretion of CSF. Tumors confined to lateral ventricles produce symptoms such as altered mental status, seizures, hemiparesis, and papilledema (this is a symptom present in tumors that can occur together with hydrocephalus)(7). Neoplasms situated in the fourth ventricle present with headache, ataxia, vision loss and diplopia(7). Some classical signs that can be present are: Macewen’s sign, setting sun sign, and Parinauds syndrome(10). The computed tomography (CT) of the brain and the RMI are able to identify the location and the hypodense aspect of the lesion, besides findings such as calcifications and vascular pedicles(11). Immunophenotyping indicates positivity for cytokeratins (CK), especially CK7, vimentin, transthyretin (associated to the best prognosis), KIR7.1 and S100(12).
The markers GFAP and AE1/AE3 present negative immunoreactivity, while EMA is diffusely present in certain areas of the lesion(6). Other used markers are the exchanger regulatory factor Na+/H+1 (NHERF1), and neurofibromin 2 (NF2)(13), because they reveal higher sensitivity and specificity in the diagnosis of papillary tumors of the nervous system. The differential diagnoses of the case include metastatic carcinoma and the papillary variant of ependymoma. Treatment is based upon total surgical excision, with a five-year survival of practically 100%(5). The main surgical complication is intraoperative bleeding(2).
CONCLUSION
CPP can present as an extraventricular mass in rare cases, making a differential diagnosis with malignant tumors of the central nervous system. In the reported case, the atypical symptoms, of headache and emotional stress, associated to imaging exams indicative of brain lesion do not provide enough information for diagnostic conclusion. Therefore, histopathology with identification of the papillary pattern associated to immunophenotyping was a decisive diagnostic strategy for the conduction of the case. With the identification of the disease, the recommended treatment is surgery, associated to good prognosis, as presented by the patient.
REFERENCES
Mishra A, Ojha BK, Chandra A, Singh SK, Chandra N, Srivastava C. Choroid plexus papilloma of posterior third ventricle: a case report and review of literature. Asian J Neurosurg. 2014; 9(4): 238. doi:10.4103/1793-5482.146637.
Kumar R, Achari G, Benerji D, Jain V K, Chhabra D K. Choroid plexus papillomas of the cerebellopontine angle. Neurol India [serial online] 2002 [cited on 19 Aug 2019]; 50: 352. Available at: http://www.neurologyindia.com/text.asp?2002/50/3/352/1425
Baksh BS, Sinha N, Salehi A, et al. Widely metastatic choroid plexus carcinoma associated with novel TP53 somatic mutation. World Neurosurg. 2018; 119: 233-6.
Costa FAO, Silva SHF, Neto OMF, Alves PF, Costa FP. Papiloma do plexo coroide. J Bras Neurocirurg. 1994; 5(2): 75-8.
Paulus W, Brandner S. Choroid plexus tumours. In: Louis DN, Ohgaki H, Wiestler OD, Cavenee WK, editors. WHO Classification of Tumours of the Central Nervous System. 4th ed. Lyon: International Agency for Research on Cancer; 2007. p. 82-5.
Del Río-Pérez CM, Suñol-Capella M, Cruz-Martinez O, Garcia-Fructuoso G. Choroid plexus tumours in childhood: experience in Sant Joan de Déu hospital. Neurocirugia (Astur). 2016; 27(2): 58-66.
Sethi D, Arora R, Garg K, Tanwar P. Choroid plexus papilloma. Asian J Neurosurg. 2017; 12(1): 139-141. doi:10.4103/1793-5482.153501
Gurney JG, Kadan-Lottick N. Brain and other central nervous system tumors: rates, trends, and epidemiology. Curr Opin Oncol. 2001; 13(3): 160-6. case report and review of literature. Asian J Neurosurg. 2014; 9(4): 238.
Kornienko VN, Pronin IN. Diagnostic neuroradiology. Springer Verlag. 2009. ISBN:3540756523.
Melo ELA, Garcia MRT, Fernandes RY, Barros NG, Cerri GG, Leite CC. Lesões expansivas do plexo coroide. Radiologia Brasileira. 2003; 36(6): 379-384. Available at: https://dx.doi.org/10.1590/S010039842003000600010.
Khade S, Shenoy A. Ectopic choroid plexus papilloma. Asian J Neurosurg. 2018; 13: 191-4.
Louis DN, Ohgaki H, Wiestler OD, Cavenee WK. WHO Classification of Tumours of the Central Nervous System. 4 ed. Updated. ISBN: 9789283244929.
Georgescu MM, Mobley BC, Orr BA, et al. NHERF1/EBP50 and NF2 as diagnostic markers for choroid plexus tumors. Acta Neuropathol Commun. 2016; 4: 55.
Author notes
CORRESPONDING AUTHOR Wilker Dias Martins, 0000-0003-1423-8776 e-mail: wdm1998@gmail.com