CASE REPORT
Received: 23 October 2018
Revised document received: 05 December 2018
Accepted: 13 May 2019
Published: 20 December 2019
DOI: 10.5935/1676-2444.20190061
ABSTRACT: The glandular odontogenic cyst (GOC) is an uncommon developmental cyst that presents glandular differentiation and has potential for recurrence. Clinically, it is asymptomatic and it has slow growing. This report proposes to describe a clinical case of GOC diagnosed at the Service of Pathological Anatomy of a university in the northeast of Brazil, in the posterior region of the mandible, which was treated with mandibular resection and bone graft with iliac crest. One may conclude that clinical, microscopic and radiographic parameters were crucial tools for treatment choice.
Key words: diagnosis, mandibular reconstruction, graft survival.
RESUMEN: El quiste odontogénico glandular (QOG) es un quiste del desarrollo poco frecuente que presenta diferenciación glandular y es propenso a la recurrencia. Clinicamente, es asintomático y de crecimiento lento. El presente trabajo tiene como objetivo describir un caso clinico de QOG diagnosticado en la región posterior de la mandíbula en un paciente masculino de 36 anos de edad, atendido en el servicio de Anatomia Patológica de una universidad en el nordeste de Brasil. Se decidió tratarlo por resección mandibular e injerto óseo de la cresta ilíaca. La conclusión a que podemos llegar es que los parâmetros clínicos, microscópicos y radiográficos fueran herramientas esencialespara la elección del tratamiento.
Palabras clave: diagnóstico, reconstrucción mandibular, bioprótesis.
RESUMO: O cisto odontogênico glandular (COG) é um cisto de desenvolvimento incomum que apresenta diferenciação glandular e tem potencial de recidiva. Clinicamente, é assintomático e de crescimento lento. Este relato propõe-se a descrever um caso clínico de COG diagnosticado em região posterior de mandíbula em um paciente do gênero masculino, 36 anos de idade, atendido no Serviço de Anatomia Patológica de uma universidade no nordeste do Brasil. Como tratamento, optou-se por ressecção mandibular e enxerto ósseo da crista ilíaca. Conclui-se que os parâmetros clínicos, microscópicos e radiográficos foram ferramentas essenciais na escolha do tratamento realizado.
Unitermos: diagnóstico, reconstrução mandibular, bioprótese.
INTRODUCTION
The glandular odontogenic cyst (GOC) is an uncommon developmental cyst with epithelial features of glandular differentiation; it represents less than 0.5% of all odontogenic cysts(1). Its origin is unknown, but some authors suggest it is associated with the remnants of dental lamina(2).
Clinically, the cyst is asymptomatic; it presents increased volume and slow growth(3). The age group it affects most is that between the fifth and sixth decades of life, with slight male predilection(1). The radiographic features include unilocular or multilocular areas with well-defined margins, and approximately 87% of the cases show cortical bone expansion. Root resorption and tooth displacement have also been reported(4,5).
The radiographic features of GOC can mimic those of other types of cysts, such as dentigerous cysts, botryoid odontogenic cysts and mucoepidermoid carcinomas (MEC)(6). Accordingly, it is difficult to reach a definitive diagnosis. The use of major and minor criteria is recommended for the diagnosis of this lesion(7,8). The treatments indicated for GOC vary from conservative surgery to radical resection(5), considering the relapse reports presented in the literature(2,9). However, there are still few cases in the literature addressing, specifically, implant-supported restorations or prostheses after GOC treatment(3).
The present case deals with morphological criteria used in diagnosis, with emphasis on its location, as well as the surgical conduct used for treatment.
CASE REPORT
A 36-year-old mixed-race male patient searched for the service of Oral Maxillofacial Surgery and Traumatology of Universidade Federal do Rio Grande do Norte (UFRN) complaining of pain during masticatory movements in the posterior region of the left mandible. Clinical examination showed accentuated mobility of the second lower left molar and slight volume increase in left mandible region, with no intraoral volumetric changes (Figure 1 A and B). The panoramic imaging examination also considered multilocular radiolucent osteolytic lesion, with cortical basilar expansion, root resorption of the second left lower molar and involvement of body, angle and ramus of the left mandible (Figure 1C).

CT: computed tomography.
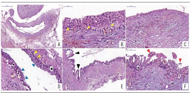
After clinical and radiographic analysis, incisional biopsy was conducted on an outpatient basis. The material was referred to histopathology at the department of Pathology of UFRN. The anatomopathological examination revealed fragments of cystic lesion of odontogenic nature, characterized by multiple cystic compartments lined by epithelium, now exhibiting flat squamous cells, now cuboidal cells of variable thickness. The layer of luminal cells shows low columnar cells, sometimes referred to as hobnail cells. Mucous cells are present, as well as microcystic spaces, tuft-like papillary projections, cells with apocrine secretion and foci of epithelial thickening. The capsule of dense fibrous connective tissue shows congested vessels and areas of hemorrhagic leakage. For the above reasons, the anatomopathological diagnosis of GOC was established (Figure 2).

GOC: glandular odontogenic cyst.
Given these findings, the following were ordered: multislice computed tomography (CT) for a more detailed evaluation of the lesion (Figure 1D), confection of a prototype biomodel for surgical planning, as well as laboratory tests and surgical risk evaluation for the conduction of lesion resection and immediate reconstruction.
Tumor mass excision was performed with a safe margin, anterior and posterior to the lesion margins, measuring 1 cm, followed by the insertion of a mandible reconstruction plate of the 2.4-mm system; this one was pre-molded at a prototyped biomodel. Along with this procedure, the orthopedic team of Hospital Universitário Onofre Lopes removed the graft from the iliac crest region so that after insertion of the reconstruction plate, the graft was prepared, its adaptation and fixation in the resected region, aided by the 2.4-mm screw system and a mechanotherapy was applied with rubber bands (Figure 3). Finally, insertion was concluded with suture of access sites and application of pressure dressings.

GOC: glandular odontogenic cyst; CT: computed tomography.
The surgical specimen was sent to the laboratory of Anatomic Pathology, and the microscopic analysis confirmed the diagnosis, as well as the disease-free margins. In the immediate postoperative period, the patient had no pain, but edema compatible with the performed procedure and limited oral opening. Active mechanotherapy with rubber bands was used since the first day after surgery, both for temporary maxillomandibular fixation and for immediate physiotherapy. The present case has been followed up for six months (Figure 4).

DISCUSSION
literature. The lesion was slightly more prevalent in men in the fifth and sixth decades of life, in the region of anterior mandible, associated with bone expansion (73%) and with the unilocular radiographic aspect (61.5%). GOC presented itself associated with tooth displacement or an unerupted tooth (30.9%), cortical bone perforation (26%), presence of clinical symptoms (24.3%) and resorption (13.9%). Regarding follow-up, 97 cases presented information about recurrences; among these, 21 (21.6%) were about initial treatment (four curettages, 16 enucleations, and one marginal resection). The interval between initial treatment and relapse ranged from six to 96 months(1). In the present report, the lesion caused bone expansion, tooth displacement and resorption; was multilocular and caused painful symptoms.
Several surgical treatments are suggested for this lesion, but they depend exclusively on the surgeon’s preference. Enucleation and curettage are the most common techniques. Marsupialization, marginal or partial mandibular resection and adjuvant therapies -Carnoy’s solution application, filling the cavity with autogenous or allogeneic bone graft and surgery - are different methods to treat this cystic lesion of the mandible. The recurrence rate varies in the literature. Recurrences are more common in larger lesions, with cortical bone perforation, and of multilocular radiographic appearance(10).
The low incidence of this kind of lesion in the population and, principally, the poor follow-up make information on the success rate of different treatment modalities difficult. Some authors advocate these patients must be monitored, at least, for three years, while others believe the time necessary for follow-up is a period of seven years(10,11). In the present case, the patient is on a six-month follow-up. Considering bone formation as a success indicator, our objective is to conduct follow-up for three years(10,12).
Previous studies mentioned which clinical, radiographic and microscopic aspects and therapeutical modalities were more repeated in recurrences. The authors found, in most cases, bone expansion, cortical perforation, multilocular lesions, and treatment with enucleation. Regarding microscopic parameters, apocrine secretion, clear cells, variable thickness, papillary projections, multiple cystic spaces and mucous cells were the most frequent patterns(1). Due to those findings, and thus, for being more susceptible to relapse, the present case was treated in a radical form.
The diagnosis of GOC is difficult and poorly studied due to the low prevalence of the disease. Consequently, it draws attention of researchers. A better histological and behavioral understanding of this lesion can help elucidate diagnosis, based on the criteria established by the World Health Organization (WHO), and elect the efficient treatment according to GOC aggressiveness.
CONCLUSION
Nowadays, there is great concern with the improvement of GOC diagnosis. To that aim, the WHO created major and minor morphological criteria, which aid oral pathologists in the definitive diagnosis of the lesion. The microscopic aspects are believed to present relationship with recurrence. Some features, such as apocrine secretion, clear cells, variable thickness, papillary projections, multiple cystic spaces and mucous cells, were the patterns more associated with relapse. This report shows four of the six presented histological characteristics.
The surgical treatment of the lesion was well planned, for the clinical, microscopic and radiographic parameters were taken into consideration. Given these findings, the best conduct was the radical treatment with bone reconstruction in the same session.
REFERENCES
Chrcanovic BR, Gomez RS. Glandular odontogenic cyst: an updated analysis of 169 cases reported in the literature. Oral Dis. 2017; 00: 1-8.
Siqueira EC, Sousa SF, Franga JA, et al. Targeted next-generation sequencing of glandular odontogenic cyst: a preliminary study. Oral Surg Oral Med Oral Pathol Oral Radiol. 2017; 124(5): 490-4.
Barth C, Chamberlain J, Wessel J. Treatment of a mandibular glandular odontogenic cyst with peripheral ostectomy, bone allograft, and implant reconstruction: a case report. Int J Periodontics Restorative Dent. 2017; 37(4): 210-6.
Chandra S, Reddy ESP, Sah K, Srivastava A. Maxillary glandular odontogenic cyst: an uncommon entity in an unusual site. Arch Iran Med. 2016; 19(3): 221-4.
Gurler G, Al-Ghamian H, Aksakalli N, Delilbasi C. Glandular odontogenic cyst: case series. Contemp Clin Dent. 2017; 8(4): 653-7.
Silva BSF, Yamamoto-Silva FP, Sena-Filho M, et al. 20-year follow-up of recurrent glandular odontogenic cyst mimicking a periapical lesion. J Endod. 2017; 43(11): 1915-20.
El-Naggar AK, Chan JKC, Grandis JR, Takata T, Slootweg PJ. WHO Classification of head and neck tumours. 4 ed. Lyon; 2017. p. 235.
Kaplan I, Anavi Y, Hirshberg A. Glandular odontogenic cyst: a challenge in diagnosis and treatment. Oral Dis. 2008; 14(7): 575-81.
Motooka N, Ohba S, Uehara M, Fujita S, Asahina I. A case of glandular odontogenic cyst in the mandible treated with the dredging method. Odontology. 2015; 103: 112-5.
Roochi MM, Tavakoli I, Ghazi FM, Tavakoli A. Case series and review of glandular odontogenic cyst with emphasis on treatment modalities. J Craniomaxillofac Surg. 2015; 43(6): 746-50.
Thor A, Warfvinge G, Fernandes R. The course of a long-standing glandular odontogenic cyst: marginal resection and reconstruction with particulated bone graft, platelet-rich plasma, and additional vertical alveolar distraction. J Oral Maxillofac Surg. 2006; 64(7): 1121-8.
Morais HHA, Vasconcellos RJH, Santos TS, Queiroz LMG, Silveira EJD. Glandular odontogenic cyst: case report and review of diagnostic criteria. J Craniomaxillofac Surg. 2012; 40(1): 46-50.
Author notes
CORRESPONDING AUTHOR Hébel Cavalcanti Galvão, 0000-0002-1092-1992 e-mail: hebel.galvao@yahoo.com.br