CASE REPORT
Received: 14 November 2018
Accepted: 07 January 2019
Published: 20 June 2019
DOI: https://doi.org/10.5935/1676-2444.20190028
ABSTRACT: Nodular fasciitis (NF) is a rare fibroblast proliferation of unknown etiology, with benign, rapid clonal growth, from a superficial fascia to the subcutaneous tissue or an adjacent muscular layer. Also known as pseudosarcomatous fasciitis, this clinical syndrome is characterized as a solitary mass of hardened consistency, painless palpation and no gender preference. The definitive diagnosis is made by immunohistochemistry and surgery is the treatment of choice.
Key words: clinical pathology, fasciitis, immunohistochemistry, connective tissue neoplasms.
RESUMEN: La fascitis nodular (FN) es una lesión proliferativa fibroblástica rara, de etiología desconocida, naturaleza benigna, crecimiento rápido y probablemente clonal, que se origina en una fascia superficial hacia el tejido subcutáneo o una camada muscular adyacente. También conocida como fascitis pseudosarcomatosa, este síndrome clínico se caracteriza por un tumor solitario de consistencia endurecida, ligero dolor a la palpación y sin predilección por sexo. Su diagnóstico definitivo se hace por inmunohistoquímica, y el tratamiento de elección es el quirúrgico.
Palabras clave: patologia clínica, fascitis, inmunohistoquímica, neoplasias de tejido conjuntivo.
RESUMO: A fasciíte nodular (FN) é uma lesão proliferativa fibroblástica rara, de etiologia desconhecida, caráter benigno, crescimento rápido e provavelmente clonal, que se origina a partir de uma fáscia superficial para o tecido subcutâneo ou uma camada muscular adjacente. Também conhecida como fasciíte pseudossarcomatosa, esta síndrome clínica caracteriza-se por uma massa solitária de consistência endurecida, pouco dolorosa à palpação e sem predileção por gênero. O diagnóstico definitivo é feito por imuno-histoquímica, e o tratamento de escolha é o cirúrgico.
Unitermos: patologia clínica, fasciíte, imuno-histoquímica, neoplasias de tecido conjuntivo.
INTRODUCTION
First described by Dr. Konwaler in 1995(1), nodular fasciitis (NF) is a benign myofibroblastic growth that may mimic malignant disorders due to its rapid growth. Historically, NF has been described as a post-inflammatory process. However, current evidence showing myosin heavy chain 9 (MYH9) fusion may suggest that NF may actually be a clonal proliferative disorder. Anatomically, NF tends to affect extremities; yet it may happen in any part of the human body(2).
Histologically, NF is a highly cellular tumor with fusiform cells with relatively high mitotic index. Its histopathological features may lead to misdiagnosis as a low-grade sarcoma(3, 4). In these cases, imunohistochemical (IH) analysis may provide a definitive diagnosis with staining for muscle-specific actin (MSA) and no staining for S100, desmin, β-catenin, ALK, keratin, MyoD1 and myogenin.
NF requires a high index of suspicion from both the clinician and the pathologist. The definite diagnosis is important as the differential diagnoses include disorders with more aggressive and different approaches and NF is cured with excision alone(5). The main objective of this report is to provide information about clinical and pathological features from a patient diagnosed with NF, as well as briefly describe current literature about this topic.
CASE REPORT
Our patient was a 54-year-old female who reported the appearance of a lump on her right arm. There was no surgical history. The mass was painful under palpation, with no signs of acute inflammation, with a rubbery touch, measuring approximately 2.5 cm in its major axis. Clinical findings were not conclusive, so we arranged for a surgical consultation concerning a biopsy.
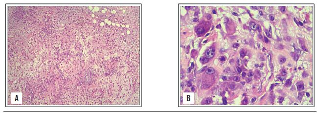
The patient underwent an excision biopsy. Gross pathology revealed a yellowish-gray mass adherent to the muscular fascia. We excised all the tissues compromised by the mass with a safety border. Under the microscope, there was an atypical cell proliferation with varied atypia, a myxoid matrix and a high mitotic index (Figure 1). The specimen underwent further immunohistochemical analysis, and there was positive staining for smooth-muscle actin (SMA) and vimentin (Figure 2). There was negative staining for S100, CD34, epithelial membrane antigen (EMA), myogenin, desmin and AE1/AE3. These features were diagnostic for NF. The excisional biopsy provided definitive cure, and after follow-up there were no signs of recurrence.

A) low magnification image; B) higher magnification shows markedly proliferative cellular atypia with a myxoid matrix and a high mitotic index.
HE: hematoxylin and eosin.

A) shows staining for vimentin; B) shows staining for SMA.
IH: immunohistochemistry; SMA: smooth-muscle actin.
DISCUSSION
NF is a benign pseudosarcomatous myofibroblastic proliferative disorder(6). Even if this lesion has been well described in the literature, its etiology remains unkown(7). Trauma has been suggested as one of the causes, but this has not been widely accepted(5, 8). NF is typically found on upper extremities in young adults, with no gender preference(9). The upper extremities account for 39%-54% of the cases; whereas the trunk exhibits 15%-20%; and the lower extremities, 16%-18%. Head and neck also comprise some cases (7%-20%)(10). In our case, the patient was slightly older than most of the patients with this disorder, and the lesion was located in the typical site.
In histology, NF is a proliferation of fusiform cells arranged in short S-shaped fascicles within a myxoid matrix, with many small vessels and some erythrocytes. Even if this has a high mitotic index, cellular atypia is uncommon. Histologically, NF may be classified in three subtypes: myxoid or reactive (type I), cellular (type 2) and fibrous (type 3). There may be an overlap between subtypes within a lesion(11). Our suspicion was a type 1 myxoid or reactive NF, however the high index of atypical cells we found in our case was not the expected histological finding for this subtype.
The diagnosis of NF always relies on IH analysis. This is basically for ruling out related malignancies that may require more invasive approaches. Staining is typically positive for MSA, vimentin, and typically negative for S100, desmin, trypsin, factor VIII, a macrophage-specific antigen, and HLA-DR1. Negative expression of CD34 is useful for ruling out sarcomatous malignancy. NF may stain positive for Cd-68 and KP-1(12). The features of our case on IH analysis were exactly those described in the literature.
NF may resemble many of the multiple connective tissue proliferative disorders and should be considered on the differential diagnosis of benign or malignant disorders as rhabdomyosarcoma, leiomyosarcoma, fibrosarcoma, reactive inflammatory reactions such as pyogenic granuloma, and even hematologic malignancies with myxoid deposition(7). In our case, histology alone was not able to rule out malignant conditions, and IH staining was fundamental for our diagnosis.
Other than excisional biopsy, treatment may include watchful waiting for regression, intralesional high potency steroid injections or partial resection(7, 12, 13). Recurrence rates are really low with excisional surgery, which is mostly considered curative(5, 6) and the gold standard procedure(12, 14).
CONCLUSION
NF is a fast growing benign tumor with features of a malignant tumor on histology that may have a broad range of differentials. IH staining almost always provides definite diagnosis, especially for ruling out malignancies from the connective tissue that may require a more aggressive and stepwise approach.
REFERENCES
Konwaler BE, Keasbery L, Kaplan L. Subcutaneous pseudosarcomatous fibromatosis (fasciitis). Am J Clin Pathol. 1955; 25(3): 241-52.
Montgomery EA, Meis JM. Nodular fasciitis: its morphologic spectrum and immunohistochemical profile. Am J Surg Pathol. 1991; 15: 942-8.
Borumandi F, Cascarini L, Mallawaarachchi RS. The chameleon in the neck: nodular fasciitis mimicking malignant neck mass of unknown primary. Int J of Surg Case R ep. 2012; 3(10): 501-3.
Pandian T, Zeidan M, Ibrahim K, Moir C, Ishitani M, Zarroug A. Nodular fasciitis in the pediatric population: a single center experience. J Pediatr Surg. 2013; 48: 1486-9.
Hseu A, Watters K, Perez-Atayde A, Silvera M, Rahbar R. Pediatric nodular fasciitis in the head and neck evaluation and management. JAMA Otolaryngol Head Neck Surg. 2015; 141(1): 54-9.
Shimzu S, Hashimoto H, Enjoji M. Nodular fasciitis: an analysis of 250 patients. Pathology. 1984; 16: 161-6.
Hino S, Masuda I, Fukai S, Kaneko, Horie N, Shimoyama T. A case of nodular fasciitis involving the tongue. J Oral Maxillofac Surg Med Pathol. 2015; 27: 377-9.
Xie S, Liu W, Xiang Y, Dai Y, Ren J. A huge nodular fasciitis in the parapharyngeal space in a 7-year-old girl: a case report and review of literature. Int J Clin Exp Pathol. 2014; 12: 9023-7.
Goldblum JR. Soft tissues. 7 ed. vol. 41. Rosai and Ackerman's Surgical Pathology; 2018. pp. 1810-1914.
Vyas T, Bullock MJ, Hart RD, Jonathan TR, Taylor SM. Nodular fasciitis of the zygoma: a case report. Can J Plast Surg. 2008; 16: 241-3.
Gibson TC, Bishop JA, Thompson LD. Parotid gland nodular fasciitis: a clinicopathologic series of 12 cases with a review of 18 cases from the literature. Head Neck Pathol. 2015; 9: 334-44.
Oh BH, Kim J, Zheng Z, Roh MR, Chung KY. Treatment of nodular fasciitis occurring on the face. Ann Dermatol. 2015; 27: 694-701.
Celentano A, Mascolo M, de Rosa G, Mignogna M. Nodular fasciitis of the tongue. Head Neck. 2016; 38(1): E29-31.
Souza e Souza ID, Rochael MC, Farias RE, Vieira RB, Vieira JS, Schimidt NC. Nodular fasciitis on the zygomatic region: a rare presentation. An Bras Dermatol. 2013; 6(Suppl 1): 89-92.
Author notes
CORRESPONDING AUTHOR: Hugo Guilherme de Moraes Jurema, 0000-0003-3103-3588. e-mail: hugogmj@gmail.com