CASE REPORT
Management of Iatrogenic Aortic Dissections During Percutaneous Right Coronary Artery Interventions
Management of Iatrogenic Aortic Dissections During Percutaneous Right Coronary Artery Interventions
Brazilian Journal of Cardiovascular Surgery, vol. 37, no. 4, pp. 595-598, 2022
Sociedade Brasileira de Cirurgia Cardiovascular
Received: 20 October 2020
Accepted: 01 February 2021
ABSTRACT: Iatrogenic acute aortic dissections during percutaneous coronary interventions are an extremely rare but potentially life-threatening complication, occurring in less than 0.02% of transcatheter procedures. We report three patients with different characteristics suffering from iatrogenic aortic dissection during percutaneous coronary intervention successfully treated with an emergency open-heart surgery. A conservative strategy should be pursuit only in small, localized lesions.
Keywords: Coronary Angiography, Iatrogenic Aortic Dissection, Ascending Aorta Replacement, Coronary Artery Bypass.

INTRODUCTION
Iatrogenic acute aortic dissection (IAAD) during percutaneous coronary interventions (PCI) is an extremely rare but potentially life-threatening complication, occurring in < 0,02% of the procedures. Patients with a limited aortic wall involvement have been successfully treated by sealing the entry tear with a coronary stent. Dissections extending up to the aorta > 40 mm from the coronary ostia more often require an emergency surgical intervention[1].
We report three different cases of IAAD successfully treated with ascending aorta replacement.
CASE PRESENTATION
The first case was a 65-year-old Caucasian female with a past medical history of non-ST elevation myocardial infarction who was referred to our center for a new onset of inferior ST-elevation myocardial infarction (STEMI). She was promptly submitted to percutaneous transluminal coronary angioplasty (PTCA) with implantation of four drug-eluting stents (DES) to the right coronary artery (RCA).
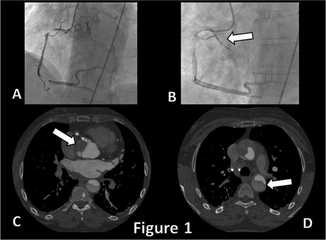
During the procedure, a dissection of the RCA with the subsequent development of an aortic wall hematoma was detected at fluoroscopy; such hematoma quickly extended in a retrograde fashion (Video 1) from the right sinus of Valsalva up to the ascending aorta (Figure 1). An attempt to occlude the intimal entry orifice was made by delivering a right ostial stent, but, unfortunately, the dissection progressed towards the aortic arch, so an emergency surgery was required.


We performed an ascending aorta replacement with a #28 straight Dacron tube and a single coronary artery bypass grafting (CABG) on the RCA using a saphenous vein graft with a femoro-femoral institution of cardiopulmonary bypass (CPB).
Since the weaning from CPB was unachievable due to hemodynamic instability, an extracorporeal membrane oxygenation (ECMO) implantation was necessary[2].
The patient was finally weaned from ECMO after four days in the intensive care unit. The postoperative course was favorable, and the patient was transferred to a rehabilitation facility.
The second case was a 66-year-old male with a history of STEMI and out-of-hospital cardiac arrest treated with PTCA + DES on the left coronary artery, complicated by the dissection of left anterior descending itself, treated with re-apposition of the stent. During the following years, he was subjected to multiple PTCAs and DES implantations for intra-stent restenosis and de novo ongoing severe lesions on the RCA.
During the last procedure, the patient developed a dissection of the proximal part of the RCA (Video 2) that rapidly extended upward to the ascending aorta (Figure 2). An emergency computed tomography (CT) scan showed the progression of the dissection to the innominate and the left common carotid arteries. At the end, he underwent emergency ascending aorta replacement surgery with a #24 Dacron tube prosthesis. The postoperative course was characterized by a minor stroke on the right parietal territory with no clinical remarks at the discharge, on the 7th postoperative day.


The last case was a 78-year-old male patient with a history of double emergency CABG for severe instable main stem-related chest pain. During the planned transcatheter complementary revascularization which occurred nearly four months later, an intimal flap of the inner aortic wall near the right coronary ostium was detected after the contrast medium injection (Video 3). The CT scan showed an aortic dissection from the right coronary ostium to the proximal saphenous vein graft anastomosis. The patient underwent an emergency redo surgery (Figure 3) with replacement of ascending aorta with a #28 straight Dacron prosthesis via a femoro-femoral CPB. The patient required the intra-aortic balloon pump and, after weaning, was finally discharged to a rehabilitation center on the 11th postoperative day.


DISCUSSION
One of the most fearsome complications that can occur during PCI is an IAAD that could extend in a retrograde fashion to the ascending aorta. A diseased vessel wall with multiple calcifications and atherosclerotic plaques seems to be the most important predisposing factor. In most cases, coronary dissection is easily diagnosed during the coronary angiography which usually reveals a true and a false lumen, separated by a radiolucent intimal flap and a dye staining persistently localized[3].
The process underlying IAAD is not yet completely clear; in fact, there are different mechanisms involved. Firstly, the dissection may be caused by the high-pressure injection of contrast medium on a pre-existing dissection breach. Secondly, shearing forces during systole and diastole could explain the propagation of the dissection in a retrograde manner. Finally, the entry breach could also be created by direct trauma of the angiographic catheters and wires, and increased by forced injection of contrast medium[4].
The type of treatment is different depending on the type and extension of the dissection. An IAAD that remains localized at the level of the Valsalva sinus during the procedure and that extend retrogradely it is preferable to maintain a conservative attitude, as most tend to spontaneously regress with the collaboration of the anterograde aortic blood flow[5].
If the dissection extends < 40 mm into the ascending aorta from the coronary ostia and progresses in an anterograde fashion, then it is preferable to intervene by stenting the affected coronary artery so as to close the breach and prevent the dissection from spreading[6]. The third type of strategy consists in an emergency ascending aorta replacement, and it is recommended if the dissection extends > 40 mm from the coronary artery ostium, if the patient is hemodynamically unstable, presents with severe aortic insufficiency, develops hemopericardium, or if the guidewire fails to cross the occluded lesion. Coronary stenting can be useful in these cases as a “bridge to the surgery” and can avoid or reduce the progression of the dissection.
CONCLUSION
In conclusion, the goal in the treatment of IAAD should be closing the intimal tear as quickly as possible to prevent the progression of dissection and to avoid damage to neurological system and other end organs. A percutaneous attempt is always recommended if suitable, but if it does not achieve a satisfactory result, a prompt ascending aortic replacement is often mandatory.

REFERENCES
Dunning DW, Kahn JK, Hawkins ET, O'Neill WW. Iatrogenic coronary artery dissections extending into and involving the aortic root. Catheter Cardiovasc Interv. 2000;51(4):387-93. doi:10.1002/1522-726x(200012)51:4<387::aid-ccd3>3.0.co;2-b.
Gennari M, Polvani G, Agrifoglio M. Favorable outcome of mechanical support for iatrogenic aortic dissection. Asian Cardiovasc Thorac Ann. 2019;27(1):55-7. doi:10.1177/0218492318817660.
Iskandrian AS, Bemis CE, Kimbiris D, Mintz GS, Hakki AH. Primary coronary artery dissection. Chest. 1985;87(2):227-8. doi:10.1378/chest.87.2.227.
Yip HK, Wu CJ, Yeh KH, Hang CL, Fang CY, Hsieh KY, et al. Unusual complication of retrograde dissection to the coronary sinus of valsalva during percutaneous revascularization: a single-center experience and literature review. Chest. 2001;119(2):493-501. doi:10.1378/chest.119.2.493.
Pérez-Castellano N, García-Fernández MA, García EJ, Delcán JL. Dissection of the aortic sinus of valsalva complicating coronary catheterization: cause, mechanism, evolution, and management. Cathet Cardiovasc Diagn. 1998;43(3):273-9. doi:10.1002/(sici)1097-0304(199803)43:3<273::aid-ccd7>3.0.co;2-6.
Núñez-Gil IJ, Bautista D, Cerrato E, Salinas P, Varbella F, Omedè P, et al. Incidence, management, and immediate- and long-term outcomes after iatrogenic aortic dissection during diagnostic or interventional coronary procedures. Circulation. 2015;131(24):2114-9. doi:10.1161/CIRCULATIONAHA.115.015334.
Notes
Author notes
Correspondence Address: Marco Gennarihttps://orcid.org/0000-0001-9079-3275, IRCCS Centro Cardiologico Monzino, Via Parea 4, Milan, Italy, Zip Code: 20138, E-mail: marcogennari.md@gmail.com
Conflict of interest declaration