CASE REPORT
The Rarity of Penetrating Ulcer with Intramural Hematoma of the Ascending Aorta
The Rarity of Penetrating Ulcer with Intramural Hematoma of the Ascending Aorta
Brazilian Journal of Cardiovascular Surgery, vol. 37, no. 4, pp. 599-601, 2022
Sociedade Brasileira de Cirurgia Cardiovascular
Received: 17 September 2020
Accepted: 14 January 2021
ABSTRACT: We report a case of a 58-year-old man with multiple symptomatic penetrating atherosclerotic ulcers and concomitant intramural hematoma of the ascending aorta. The patient was successfully treated using a 24-mm Gelweave graft in the ascending aorta. He was discharged four days post operation and remains asymptomatic 14 months postoperatively. This case uniquely illustrates the rare entity of penetrating atherosclerotic ulcer with intramural hematoma, which presents in only 0.28% of all acute aortic syndrome cases.
Keywords: Aorta, Hematoma, Atherosclerosis, Ulcer, Patient Discharge.

INTRODUCTION
Penetrating atherosclerotic ulcer (PAU) ulcerates through the internal elastic lamina of the aorta, resulting in intramural hematoma (IMH)[1]. PAU and IMH are both types of acute aortic syndrome (AAS), accounting for 2-7% and 10-25% of all AAS, respectively[2]. Several studies have characterized the aggressive nature of PAU and IMH, with high rupture rates (25-40%) for symptomatic cases[3,4]. Type A PAU with associated IMH represents 0.28% of all AAS cases[5]. We present this rarity in a 58-year-old man with AAS managed emergently with surgery.
CASE PRESENTATION
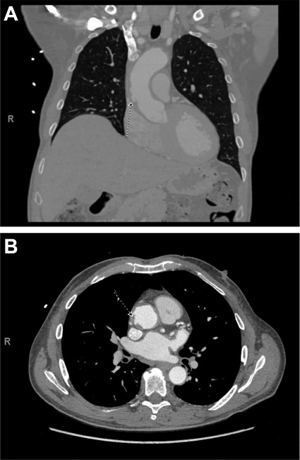
The patient was hypertensive at presentation, with acute, left-sided, chest pain unresolved with intravenous esmolol and nicardipine. Computed tomography (CT) angiograms revealed thickening and irregularity of the ascending aorta with multiple intimal ulcerations and an IMH (Figure 1) requiring urgent surgery.

Following median sternotomy, significant outpouching of ascending aorta was visualized (Figure 2). Heparin administration and cardiopulmonary bypass were initiated, and systemic temperature was cooled to 32°C. Cardioplegic arrest was achieved utilizing 1800 mL of cold blood cardioplegia and an intramyocardial temperature of 15°C. During aortic cross-clamping, retrograde blood cardioplegia was administered every 10-15 minutes.

On aortotomy, multiple PAUs and an IMH were seen extending into the aortic wall. Following this, the diseased portion of the ascending aorta was resected. The aorta was then sized to a 24-mm Gelweave graft anastomosed using 4/0 Prolene (Ethicon; Somerville, New Jersey, United States of America) suture. The patient was rewarmed, weaned from bypass, and closed in a standard manner.
Twenty-four hours postoperatively, the patient developed cardiac tamponade. Mediastinal exploration was performed, and a large thrombus was evacuated. All surgical sites were hemostatic on inspection, and the patient was transferred back to the intensive care unit. He had an uneventful postoperative course and was discharged four days later.
DISCUSSION
Extensive investigation of PAU was done by Shennan in 1934 and later established within the spectrum of AAS by Stanson et al.[1,6]. AAS constitutes variations of potentially life-threatening aortic conditions, including PAU, IMH, and classic dissection. These conditions present similarly with acute, intense chest pain described as tearing, ripping, or pulsating. However, these variants of AAS differ in their pathophysiology, natural history, and prognosis.
This case illustrates two important aspects of this disease process. First, the rarity of combined IMH and penetrating aorta in AAS, and second, the photographic depiction of an advanced case of an exfoliating penetrating ulcer with imminent rupture. This case also highlights the emergent nature of this relatively rare subset of AAS that is often underappreciated and undertreated.
PAU comprises 2-7% of all cases of AAS[2] and is more commonly localized in the descending aorta than the ascending aorta or arch[2,3]. Patients are typically older with extensive atherosclerotic disease and hypertension. Symptomatic patients present with anterior chest or mid-scapular back pain. Imaging modalities include magnetic resonance imaging (MRI), contrast-CT scan, or transesophageal echo, revealing a focal irregular outpouching of the aortic wall[3]. PAU develops as an aortic ulcer penetrating through the internal elastic lamina and blood enters the media, resulting in a subadventitial IMH without intimal flap. The hematoma may extend further between the medial and adventitia layers, resulting in dissection[7]. If the adventitia is perforated, transmural aortic rupture occurs. The rupture rate of symptomatic PAU has been estimated as high as 40%[2]. Due to the high risk of aortic rupture with symptomatic PAU, medical therapy is aimed to reduce aortic sheering forces by decreasing cardiac contractility and blood pressure. Intravenous β-blockers and vasodilators are used to achieve a systolic blood pressure of 100-120 mmHg and heart rate of < 60 bpm. It was reported that medically managed symptomatic PAU patients progressed to rupture (38%), required surgical intervention (65%), or died during their hospital admission (15%)[4]. Surgery is therefore indicated to prevent or treat aortic rupture if pain persists despite medical therapy[2]. The current consensus is for surgical therapy with symptomatic Type A PAU and medical therapy and clinical/CTA surveillance for Type B PAU[2]. Surgical therapy involves either endovascular or open repair, although randomized controlled trials have yet to be performed to determine the optimal management of symptomatic PAU[3].
Aortic IMH, described by Krukenberg in 1920, comprises 5-25% of AAS cases[2]. Similar to PAU, IMH is commonly found in the descending rather than ascending aorta[1,5]. Patients with symptomatic IMH have similar symptoms as those with PAU but are typically much older. The diagnostic imaging for IMH include CT and MRI, which reveal circular or crescentic thickening > 5 mm of the aortic wall with no evidence of blood flow[3]. Secondary to PAU formation, the pathogenesis of IMH is characterized by hemorrhage through the media without the presence of an intimal flap. Similar to PAU, symptomatic IMH has a significant risk of progression to classic aortic dissection (28-47%) or aortic rupture (20-45%)[3]. As there is a high mortality (40%) with symptomatic Type A IMH, emergent surgery is indicated[3]. Conversely, IMH of the descending aorta can be initially managed medically[2].
CONCLUSION
The case presented demonstrates the rare variant of AAS due to PAU with associated IMH and advocates an aggressive surgical approach for patients with symptomatic Type A PAU or IMH.

REFERENCES
Stanson AW, Kazmier FJ, Hollier LH, Edwards WD, Pairolero PC, Sheedy PF, et al. Penetrating atherosclerotic ulcers of the thoracic aorta: natural history and clinicopathologic correlations. Ann Vasc Surg. 1986;1(1):15-23. doi:10.1016/S0890-5096(06)60697-3.
Erbel R, Aboyans V, Boileau C, Bossone E, Bartolomeo RD, Eggebrecht H, et al. 2014 ESC guidelines on the diagnosis and treatment of aortic diseases: document covering acute and chronic aortic diseases of the thoracic and abdominal aorta of the adult. The task force for the diagnosis and treatment of aortic diseases of the European society of cardiology (ESC). Eur Heart J. 2014;35(41):2873-926. Erratum in: Eur Heart J. 2015;36(41):2779. doi:10.1093/eurheartj/ehu281.
Bossone E, LaBounty TM, Eagle KA. Acute aortic syndromes: diagnosis and management, an update. Eur Heart J. 2018;39(9):739-49d. doi:10.1093/eurheartj/ehx319.
Tittle SL, Lynch RJ, Cole PE, Singh HS, Rizzo JA, Kopf GS, et al. Midterm follow-up of penetrating ulcer and intramural hematoma of the aorta. J Thorac Cardiovasc Surg. 2002;123(6):1051-9. doi:10.1067/mtc.2002.121681.
Ganaha F, Miller DC, Sugimoto K, Do YS, Minamiguchi H, Saito H, et al. Prognosis of aortic intramural hematoma with and without penetrating atherosclerotic ulcer: a clinical and radiological analysis. Circulation. 2002;106(3):342-8. doi:10.1161/01.cir.0000022164.26075.5a.
Shennan T. Dissecting Aneurysms. Special Report Series n. 193. Med res Council. 1935;86:1933-34.
Coady MA, Rizzo JA, Hammond GL, Pierce JG, Kopf GS, Elefteriades JA. Penetrating ulcer of the thoracic aorta: what is it? How do we recognize it? How do we manage it? J Vasc Surg. 1998;27(6):1006-15; discussion 1015-6. doi:10.1016/s0741-5214(98)70003-5.
Notes
Author notes
Correspondence Address: Patrick T. Roughneenhttps://orcid.org/0000-0001-9713-3368, Division of Cardiothoracic Surgery; University of Texas Medical Branch, 301 University Blvd., Galveston, Texas, United States of America, Zip Code: 77555-0528, E-mail: ptroughn@utmb.edu
Conflict of interest declaration