Articles
IMPORTÂNCIA DA BIÓPSIA HEPÁTICA NO DIAGNÓSTICO DA DEFICIÊNCIA DE LIPASE ÁCIDA LISOSSOMAL: RELATO DE CASO
IMPORTÂNCIA DA BIÓPSIA HEPÁTICA NO DIAGNÓSTICO DA DEFICIÊNCIA DE LIPASE ÁCIDA LISOSSOMAL: RELATO DE CASO
Revista Paulista de Pediatria, vol. 36, núm. 1, pp. 17-24, 2018
Sociedade de Pediatria de São Paulo
Recepção: 22 Janeiro 2017
Aprovação: 27 Março 2017
RESUMO
Objetivo: Descrever a doença de depósito de ésteres de colesterol (DDEC) e a importância da biópsia hepática na realização do diagnóstico.
Descrição do caso: Paciente feminina, dois anos e dez meses de idade, com queixa de aumento do volume abdominal secundário à hepatomegalia há quatro meses. Ultrassonografia abdominal demonstrou hepatomegalia e esteatose hepática. Exames laboratoriais mostraram aumento de enzimas hepáticas e dislipidemia. A biópsia hepática foi compatível com DDEC.
Comentários: Embora a medida da atividade enzimática seja o padrão-ouro para o diagnóstico de DDEC, a biópsia hepática é muito útil na investigação de casos suspeitos, particularmente quando há outros diagnósticos diferenciais a serem considerados.
Palavras-chave: Biópsia+ Doença do armazenamento de éster de colesterol+ Fígado gorduroso+ Dislipidemias+ Esterol esterase.
INTRODUÇÃO
A Doença de Wolman e a Doença de Depósito de Ésteres de Colesterol (DDEC) são raras e causadas pela deficiência parcial ou total da lipase ácida lisossomal (LAL), codificada pelo gene LIPA, localizado em 10q23.31. A enzima media a hidrólise intracelular dos ésteres de colesterol e triglicérides.1,2
Na Doença de Wolman, há total deficiência da enzima, caracterizada por distensão abdominal, hepatoesplenomegalia, ascite, má absorção intestinal com diarreia, calcificação adrenal e atraso do crescimento. A doença progride rapidamente, levando à morte antes do primeiro ano de vida. Na DDEC, a deficiência enzimática é parcial, e os sinais e sintomas variam muito. Hepatoesplenomegalia, baixos níveis de lipoproteína de alta densidade (HDL), vômito, diarreia, problemas de crescimento e esteatose hepática podem ocorrer.1,3
A gordura no fígado aparece infância por vários motivos,4 e a DDEC tem um amplo perfil clínico e laboratorial.1,3,5 O objetivo deste estudo é descrever o primeiro caso de DDEC identificado no hospital da UNICAMP e a importância da biópsia hepática para o diagnóstico.
RELATO DE CASO
Paciente do sexo feminino, com 2 anos e 10 meses de idade, apresentou queixas de aumento no volume abdominal por quatro meses. No exame físico, seu peso era 12,3 kg (P3-P10), a altura era de 86 cm (P25), com índice de massa corporal (IMC) de 16,8. O fígado estava palpável, aproximadamente 6 cm abaixo da margem costal direita, sem esplenomegalia. O ultrassom abdominal demonstrou hepatomegalia e esteatose hepática. Os testes laboratoriais mostraram: ALT=57 U/L (valor normal: até 39); AST=65 U/L (valor normal: até 56); colesterol=373 mg/dL (valor normal: até 170); HDL=19 mg/dL (valor normal >40); e triglicérides=217 mg/dL (valor normal: até 100). Glicose, albumina, valores de INR e CBC complete estavam normais.
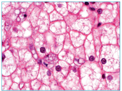
A hipótese clínica era a Doença do Armazenamento de Glicogênio (DAG) com boa tolerância ao jejum. A biópsia hepática foi indicada e mostrou o aumento difuso no volume dos hepatócitos, com intensa esteatose microvesicular e balonização, assim como depósitos de triglicérides nas células Kupffer e macrófagos portais, associados ao ocasional depósito de cristais de colesterol (Figura 1). Os achados histológicos sugeriram a presença de Doença de Wolman/DDEC. A calcificação adrenal não esteve presente. A função hepática foi preservada e o estado de saúde geral da paciente era boa. Então, se a deficiência de LAL existisse, a apresentação clínica estaria condizente com a DDEC.

Uma amostra enviada para análise laboratorial da atividade da lipase ácida nos leucócitos gerou o resultado de 2,8 nmol/h/mg (valor de referência: 112-378), que consiste com o diagnóstico bioquímico de deficiência de LAL. A atividade da LAL foi medida de acordo com os critérios sugeridos por Civallero et al.6 no Laboratório de Erros Inatos do Metabolismo, Genética, Hospital das Clínicas de Porto Alegre - principal centro de referência para o diagnóstico de doenças lisossômicas no Brasil.
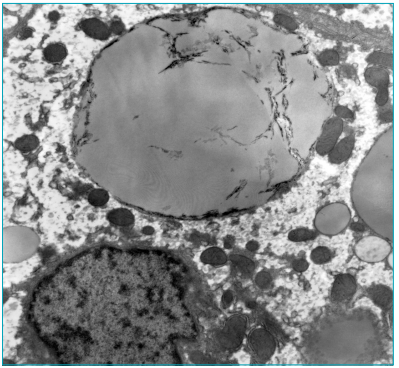
No microscópio eletrônico, observamos hepatócitos muito distendidos devido a grande quantidade de depósito de triglicérides, variando em tamanho e lisossomos, ou pairando livremente no citoplasma. Essas células às vezes se fragmentavam e criavam estrias irregulares, provavelmente correspondentes à remoção de ésteres de colesterol.
Espaços em formato de agulha se sobrepunham aos vacúolos de triglicérides (aspecto da “maçã mordida”). Também havia depósitos de triglicérides no citoplasma dos macrófagos (células portais e Kupffer). Os achados ultraestruturais estiveram de acordo com a hipótese morfológica anterior da Doença de Wolman/DDEC (Figura 2). Os pais da paciente assinaram um termo de consentimento autorizando a publicação deste caso.

DISCUSSÃO
O diagnóstico da DDEC é desafiador, já que compartilha das mesmas características clínicas e laboratoriais que outras condições, como a doença hepática gordurosa não alcoólica, hiperlipidemia familiar combinada e outros problemas metabólicos.4,5,7 No nosso caso, a hipótese inicial era a GSD hepática (incidência de aproximadamente 1/30.000), condição mais comum que a DDEC (~1/130.000).8,9 Em ambas as condições, a hepatomegalia e a hiperlipidemia podem progredir sem causar mudanças significativas no desenvolvimento neuromotor, ou sem serem notadas no exame físico. Porém, um exame histológico de rotina foi importante para fazer a diferenciação. No GSD, os hepatócitos tornam-se túrgidos devido ao acúmulo de glicogênio, como demonstrado pelo ácido periódico Schiff, ou coloração PAS, e pelos grandes vacúolos de lipídios encontrados no citoplasma. O glicogênio desloca a mitocôndria e outras organelas citoplasmáticas em direção à membrana da célula, o que gera a aparência de uma membrana do hepatócito pseudogrossa, em formato de planta.10
Os seguintes sinais histológicos foram descritos na DDEC: esteatose microvesicular predominante envolvendo hepatócitos, células Kupffer e macrófagos portais, progredindo para fibrose e cirrose micronodular.11 Hůlková e Elleder12 avaliaram amostras da biópsia hepática de 19 pacientes com DDEC para determinar os critérios histopatológicos que distinguissem esta condição de outras formas de esteatose microvesicular, como doença hepática gordurosa não alcoólica e outras condições metabólicas não lisossomais. Eles reportaram um teste histoquímico com catepsina D, pronto para identificar o acúmulo de lipídios nos lisossomos, facilitando o diagnóstico de DDEC. Depois, cristais de colesterol patognomônicos e birrefringentes foram vistos no tecido sob luz polarizada.
Neste relato de caso, os claros espaços com formato de agulha observados nas células Kupffer e macrófagos portais no microscópio ótico, correspondendo aos cristais de colesterol que foram eliminados durante o processo histológico, guiaram o diagnóstico. No microscópio eletrônico, depósitos de lipídios na forma de triglicérides nas células Kupffer e macrófagos portais, associados ao armazenamento de cristais de colesterol nos hepatócitos, foram considerados suficientes para o diagnóstico da Doença de Wolman/DDEC.
A terapia de reposição enzimática foi usada com eficiência em ensaios clínicos,13 e já foi aprovada na União Europeia e nos Estados Unidos desde 2015, embora ainda não tenha passado no Brasil. Então, o diagnóstico precoce desta condição mórbida é crítico. As mudanças histopatológicas podem sugerir esta doença e levar a testes conclusivos. Embora a mensuração da atividade enzimática seja o método de escolha para diagnosticar a DDEC, a biópsia hepática é essencial em sua suspeita, especialmente quando outros diagnósticos diferenciais forem considerados.
Agradecimentos
Os autores gostariam de agradecer ao Laboratório de Erros Inatos do Metabolismo, do Serviço de Genética do Hospital das Clínicas de Porto Alegre, principalmente aos bioquímicos Jurema de Mari, Gabriel Civallero, Kristiane Michelin, e Maira Burin, pelo ensaio sobre a atividade da lipase ácida lisossomal nos leucócitos.
REFERÊNCIAS
1. Bernstein DL, Hülkova H, Bialer MG, Desnick RJ. Cholesteryl ester storage disease: review of the findings in 135 reported patients with an underdiagnosed disease. J Hepatol. 2013;58:1230-43.
2. Anderson RA, Rao N, Byrum RS, Rothschild CB, Bowden DW, Hayworth R, et al. In situ localization of the genetic locus encoding the lysosomal acid lipase/cholesterol esterase (LIPA) deficient in Wolman disease to chromosome 10q23. 2-q23.3. Genomics. 1993;15:245-7.
3. Zhang B, Porto AF. Cholesterol ester storage disease: protean presentations of lysosomal acid lipase deficiency. J Pediatr Gastroenterol Nutr. 2013;56:682-5.
4. Vajro P, Lenta S, Socha P, Dhawan A, McKiernan P, Baumann U, et al. Diagnosis of nonalcoholic fatty liver disease in children and adolescents: position paper of the ESPGHAN Hepatology Committee. J Pediatr Gastroenterol Nutr. 2012;54:700-13.
5. Freudenberg F, Bufler P, Ensenauer R, Lohse P, Koletzko S. Cholesterol ester storage disease: an easily missed diagnosis in oligosymptomatic children. Z Gastroenterol. 2013;51:1184-7.
6. Civallero G, De Mari J, Bittar C, Burin M, Giugliani R. Extended use of a selective inhibitor of acid lipase for the diagnosis of Wolman disease and cholesteryl ester storage disease. Gene. 2014:539:154-6.
7. Reiner Z, Guardamagna O, Nair D, Soran H, Hovingh K, Bertolini S, et al. Lysosomal acid lipase deficiency--an under-recognized cause of dyslipidaemia and liver dysfunction. Atherosclerosis. 2014;235:21-30.
8. Alagille D. Inborn errors of metabolism. In: Roy CC, Silverman A, Alagille D, editors. Pediatric Clinical Gastroenterology. USA: Mosby; 1995. p. 812-76.
9. Scott SA, Liu B, Nazarenko I, Martis S, Kozlitina J, Yang Y, et al. Frequency of the cholesterol ester storage disease common LIPA E8SJM mutation (c.894G>A) in various racial and ethnic groups. Hepatology. 2013;58:958-65.
10. Ovchinsky N, Moreira RK, Lefkowitch JH, Lavine JE. Liver biopsy in modern clinical practice: a pediatric point-of-view. Adv Anat Pathol. 2012;19:250-62.
11. Boldrini R, Devito R, Biselli R, Filocamo M, Bosman C. Wolman disease and cholesterol ester storage disease diagnosed by histological and ultrastructural examination of intestinal and liver biopsy. Pathol Res Pract. 2004;200:231-40.
12. Hulková H, Elleder M. Distinctive histopathological features that support a diagnosis of cholesterol ester storage disease in liver biopsy specimens. Histopathology. 2012;60:1107-13.
13. Valayannopoulos V, Malinova V, Honzík T, Balwani M, Breen C, Deegan PB, et al. Sebelipase alfa over 52 weeks reduces serum transaminases, liver volume and improves serum lipids in patients with lysosomal acid lipase deficiency. J Hepatol. 2014;61:1135-42.
Notas
Autor notes
*Autor correspondente. E-mail: amdetommaso@gmail.com (A.M.A. Tommaso).
Declaração de interesses