RESUMO
Objetivo: Apresentar um caso de dermatite perioral granulomatosa (DPG) com acometimento extrafacial e resposta terapêutica satisfatória ao uso de macrolídeo oral por curto período.
Descrição do caso: Escolar de nove anos, sexo feminino, com quadro exuberante de DPG com acometimento extrafacial. Durante o período de evolução, submeteu-se a múltiplas terapêuticas ineficazes, apresentando melhora significativa das lesões após o uso de azitromicina por cinco dias.
Comentários: A DPG é uma afecção dermatológica inflamatória representada por erupções papuloeritematosas em região perioral, nasal e periorbitária, mais comum em crianças e adolescentes. Raramente estende-se à região genital, ao tronco e às extremidades, caracterizando o comprometimento extrafacial. De etiologia ainda desconhecida, parece apresentar correlação com uso de corticosteroides tópicos e outros agentes.
Palavras-chave: Criança, Dermatite perioral, Azitromicina.
Abstract
Objective: To present a case of granulomatous perioral dermatitis (GPD) with extra-facial involvement and good response to shortterm treatment with oral macrolide.
Case description: A 9-year-old girl presented with exuberant GPD with extra-facial involvement. During follow‑up, she received multiple ineffective therapies, but showed significant improvement of the lesions after the use of azithromycin for five days.
Comments: GPD is an inflammatory dermatological condition represented by papulo-erythematous eruptions on perioral, nasal and periorbital regions, more prevalent in children and adolescents. It rarely extends to the genital region, trunk, and extremities, which characterizes its extra-facial manifestation. Its etiology is unknown, but it seems to have a correlation with the use of topical corticosteroids and other agents.
Keywords: Child, Perioral dermatitis, Azithromycin.
Articles
DERMATITE PERIORAL GRANULOMATOSA COM ACOMETIMENTO EXTRAFACIAL NA INFÂNCIA: BOA RESPOSTA TERAPÊUTICA COM USO DE AZITROMICINA ORAL
Granulomatous perioral dermatitis with extra-facial involvement in childhood: good therapeutic response with oral azithromycin
Recepção: 08 Maio 2017
Aprovação: 27 Agosto 2017
A dermatite perioral granulomatosa (DPG), variante da dermatite perioral clássica, é uma doença inflamatória benigna que acomete crianças em idade pré-púbere. Clinicamente, caracteriza-se pela presença de micropápulas eritematosas monomórficas, geralmente assintomáticas, que afetam a região central da face com predileção pelas áreas ao redor das cavidades oral, nasal e orbitária.1,2 O acometimento extrafacial é raro, com poucos casos relatados na literatura com envolvimento de área genital, tronco superior, nuca e membros superiores.1,3,4
De etiologia ainda controversa, possui curso limitado, porém, devido ao comprometimento facial e estético importante, na maioria dos casos opta-se pelo tratamento.
Assim, o objetivo deste estudo foi apresentar um caso de DPG com acometimento extrafacial e resposta terapêutica satisfatória ao uso de macrolídeo oral por curto período.
Paciente do sexo feminino, nove anos de idade, melanodérmica, apresentou há um ano pápulas monomórficas e eritêmatodescamativas agrupadas em região perioral e periorbitária, com evolução tardia para acometimento de região genital (Figuras 1A e 1B), sem outros comemorativos.

Devido à exuberância das lesões, a paciente apresentava importante limitação social, demonstrada por seu afastamento de grupos de recreação infantil, festas e ambiente escolar. Ao longo da evolução do quadro, múltiplos tratamentos foram instituídos, tais como corticosteroides, imidazólicos e imunomoduladores tópicos e antibioticoterapia sistêmica com cefalosporinas; no entanto, não houve remissão daslesões.
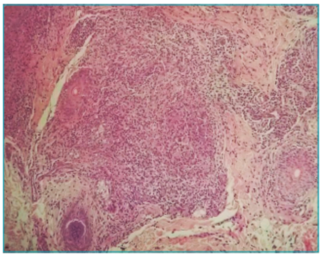
O exame histopatológico de fragmento cutâneo submentoniano revelou aspectos compatíveis com processo crônico granulomatoso. A derme apresentava-se edematosa com vasos congestos e com infiltrado linfohistiocitário ao redor de folículos sebáceos, esboçando pequenos granulomas, com ocasionais neutrófilos de permeio (Figura 2).

A apresentação inicial foi desprovida de sintomatologia, porém, com a utilização prévia de múltiplos agentes tópicos, advieram irritação local e queixas de queimação e pinicação. Foi prescrito tacrolimus tópico a 0,03%, sob monoterapia, com melhora significativa do eritema após um mês de uso. O surgimento de novas lesões no tronco superior e no membro superior esquerdo, a despeito da resposta facial satisfatória à terapia instituída, levou à associação de azitromicina via oral, 320mg/dia por cincodias, culminando com a remissão do quadro (Figura 1C).
Descrita inicialmente em 1970 por Gianott,5 quando este encontrou lesões granulomatosas em dermatite perioral de crianças, a DPG possui várias sinonímias: dermatite perioral de Gianott, erupção facial infantil afro-caribenha e dermatite periorificial granulomatosa da infância.1,6
Uma erupção cutânea acneiforme, micropapular, monomórfica, eritematosa de coloração avermelhada, podendo apresentar-se amarelo-amarronzada com descamação superficial fina, é descrita na DPG. As lesões são distribuídas ao redor da boca e donariz e raramente afetam outras partes do corpo, como pescoço, tronco superior, região genital ou de forma generalizada.7 Atingem crianças em idade pré-puberal, e há predomínio de relatos em pacientes da raça negra.8 A maioria dos casos apresenta resolução espontânea, sem deixar cicatrizes.9
A etiologia ainda é controversa, porém tem-se proposto alguns fatores que se relacionariam ao início dos sintomas, tais como agentes infecciosos (Candida spp, demodex), creme dental com flúor, gomas de mascar, amálgamas, mercúrio, radiação UVB e corticosteroides orais, tópicos e/ou inalatórios.9,10 No caso relatado, não há conhecimento do agente precipitador, porém acredita-se em piora do quadro inicial após utilização de corticoterapia tópica.
O diagnóstico é clínico, e não há relatos de acometimento sistêmico.9 A histopatologia é semelhante à encontrada nos casos de rosácea. São vistos infiltrados linfo-histiocitários perivasculares e perifoliculares com ectasia vascular. Quando aparecem granulomas, estes são descritos como estruturas tuberculoides dérmicas perifoliculares, sem necrose central, idênticas às da rosácea granulomatosa, uma variante rara de rosácea.8,9
Apesar da semelhança histopatológica, os casos de rosácea granulomatosa diferem da DPG por possuírem curso evolutivo crônico, acometerem mulheres em meia-idade, não evoluíremclinicamente com pústulas eas pápulas se localizarem na região lateral da face, pescoço e submandibular, além de poderem apresentar telangiectasias. Outro diagnóstico diferencial importante com a DPG é o lúpus miliar disseminado da face. Esse, entretanto, acomete adolescentes e adultos jovens, com pápulas distribuídas simetricamente na face, granuloma caseoso ao exame histopatológico e cura com formação de cicatrizes.1 Ainda, outros diagnósticos diferenciais com a DPG devem ser considerados, tais como:dermatite de contato, acne, dermatite seborreica esarcoidose.11
O tratamento inicial consiste na retirada do agente precipitador, quando este for identificado. O uso de antibióticos tópicos, principalmente a loção ou o gel de metronidazol a 0,75-1,00%, tem sido a eleição na maioria dos casos.9 O uso de imunomoduladores, como tacrolimus ou pimecrolimus tópicos, também tem sido sugerido por alguns autores.9,10 Na paciente apresentada, optou-se pelo uso de tracolimus tópico, devido à extensa descamação da lesão.
O imunomodulador apresenta veículo mais hidratante quando comparado ao metronidazol tópico, e devido à sua atividade imunomoduladora dispensa o uso de corticosteroides. Casos mais extensos podem necessitar de antibioticoterapia sistêmica, sendo propostas, em primeira linha, a tetraciclina, assim como as tetraciclinas de segunda geração (minociclina, limeciclina e doxiciclina associadas a agentes tópicos). Em casos de contraindicação ao uso das tetraciclinas, como crianças menores de nove anos devido à descoloração do esmalte dentário e à má-formação óssea, o uso de macrolídeos como a eritromicina e a azitromicina tem apresentado bons resultados.9 A utilização de tais classes de antibióticos na DPG é justificadapor suaação anti-inflamatória, com modificações da quimiotaxia dos neutrófilos e da produção de citocinas pró-inflamatórias.12 No caso em questão, optou-se pelo uso da azitromicina, pela idade da paciente e por sua farmacocinética, que permite dosagem menos frequente e menor duração da terapia, o que foi observado, uma vez que a remisssão das lesões ocorreu em um ciclo de curto período.
*Autor correspondente. E-mail: carol_milagre@hotmail.com (A.C.X. Milagre).

