Artigo
ASSOCIAÇÃO DE MENINGITE E PERICARDITE NA DOENÇA PNEUMOCÓCICA INVASIVA: UM CASO RARO
ASSOCIATION OF MENINGITIS AND PERICARDITIS IN INVASIVE PNEUMOCOCCAL DISEASE: A RARE CASE
ASSOCIAÇÃO DE MENINGITE E PERICARDITE NA DOENÇA PNEUMOCÓCICA INVASIVA: UM CASO RARO
Revista Paulista de Pediatria, vol. 37, núm. 1, pp. 126-129, 2019
Sociedade de Pediatria de São Paulo
Recepção: 25 Julho 2017
Aprovação: 24 Setembro 2017
RESUMO
Objetivo: Relatar um caso raro de uma criança com meningite associada a pericardite na doença pneumocócica invasiva.
Descrição do caso: Este relato descreve uma evolução clínica desfavorável de um lactente feminino de 6 meses de idade, previamente hígido, que apresentou inicialmente sintomas respiratórios e febre. A radiografia de tórax revelou um aumento da área cardíaca sem alterações radiográficas nos pulmões. Após a identificação do derrame pericárdico, o paciente apresentou convulsões e entrou em coma. Pneumonia foi descartada durante a investigação clínica. Contudo, foi identificado Streptococcus pneumoniae nas culturas de líquor e sangue. O exame neurológico inicial foi compatível com morte encefálica, posteriormente confirmada pelo protocolo.
Comentários: A pericardite purulenta tornou-se uma complicação rara da doença pneumocócica invasiva desde o advento da terapia antibiótica. Pacientes com pneumonia extensa são primariamente predispostos e, mesmo com tratamento adequado e precoce, estão sujeitos a altas taxas de mortalidade. A associação de meningite pneumocócica e pericardite é incomum e, portanto, de difícil diagnóstico. Por isso, uma alta suspeição diagnóstica é necessária para instituir o tratamento precoce e aumentar a sobrevida.
Palavras-chave: Pericardite+ Meningite+ Infecções pneumocócicas+ Lactente+ Pediatria.
ABSTRACT
Objective: To report a rare case of a child with invasive pneumococcal disease that presented meningitis associated with pericarditis.
Case description: This report describes the unfavorable clinical course of a previously healthy 6-months-old female infant who initially presented symptoms of fever and respiratory problems. A chest X-ray revealed an increased cardiac area with no radiographic changes in the lungs. After identifying a pericardial effusion, the patient experienced seizures and went into coma. Pneumonia was excluded as a possibility during the clinical investigation. However, Streptococcus pneumoniae was identified in the cerebrospinal fluid and blood cultures. An initial neurological examination showed that the patient was brain dead, which was then later confirmed according to protocol.
Comments: Purulent pericarditis has become a rare complication of invasive pneumococcal disease since the advent of antibiotic therapy. Patients with extensive pneumonia are primarily predisposed and, even with early and adequate treatment, are prone to high mortality rates. The association of pneumococcal meningitis and pericarditis is uncommon, and therefore difficult to diagnose. As such, diagnostic suspicion must be high in order to institute early treatment and increase survival.
Keywords: Pericarditis, Meningitis, Pneumococcal infections, Infant, Pediatrics.
INTRODUÇÃO
O Streptococcus pneumoniae causa uma variedade de enfermidades pediátricas, como a doença pneumocócica invasiva, que inclui pneumonia bacterêmica, meningite e sepse. As taxas de mortalidade variam amplamente, de 11 a 60%, sendo que 90% das mortes ocorrem em países de baixa renda.1,2 Nas infecções bacterianas sistêmicas, o derrame pericárdico purulento pode se desenvolver rapidamente; no entanto, tornou-se uma complicação rara da doença pneumocócica invasiva desde o surgimento dos antibióticos.3,4 A taxa de mortalidade de pericardite purulenta (PP) é de até 30%, apesar da drenagem agressiva e da antibioticoterapia prolongada, principalmente quando o diagnóstico e o tratamento são tardios.5 Portanto, uma alta suspeição clínica para diagnóstico e tratamento precoces é essencial para melhores resultados.
Neste artigo, relatamos um caso de derrame pericárdico precoce em doença pneumocócica invasiva com curso clínico fulminante.
DESCRIÇÃO DO CASO
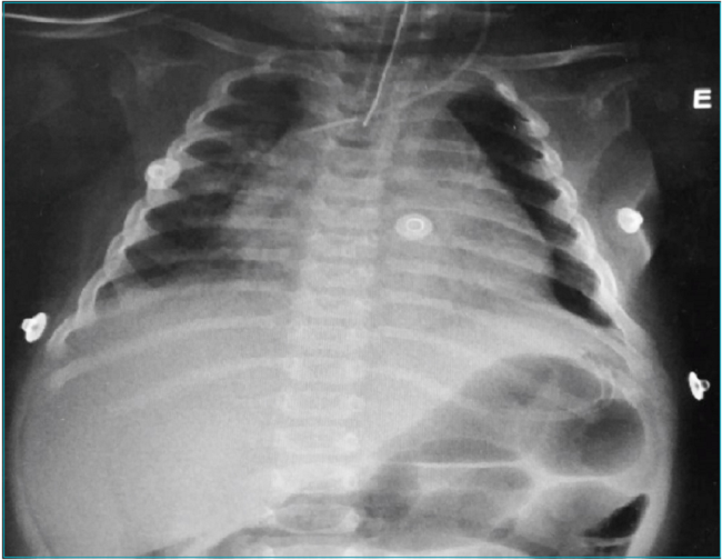
Lactente de seis meses de idade, do sexo feminino, previamente saudável, foi encaminhada à Unidade de Terapia Intensiva Pediátrica do Hospital das Clínicas da Universidade de Campinas (HC-UNICAMP) por coma. Quinze dias antes do coma, a paciente apresentou sintomas respiratórios e recebeu antipiréticos e beta-2 agonistas de curta duração. Quatro dias antes do coma, apresentou desconforto respiratório e febre, sendo então internada em um hospital secundário na região metropolitana de Campinas, São Paulo. No primeiro dia de internação, apresentava febre persistente e taquicardia sinusal. Radiografia do tórax revelou um aumento da área cardíaca sem alterações radiográficas nos pulmões (Figura 1). No dia seguinte, um ecocardiograma mostrou espessamento pericárdico com derrame volumoso e sinais de tamponamento cardíaco. Foi relatado que a paciente estava em bom estado geral. No terceiro dia de internação apresentou crises convulsivas. Foram administrados diazepam, fenobarbital e fenitoína, e solicitou-se transferência urgente para a unidade de terapia intensiva. Durante o transporte, a paciente foi intubada e recebeu dobutamina. Ao chegar ao HC-UNICAMP, evoluiu com choque hipotensivo, e apresentava 3 pontos na escala de coma de Glasgow.

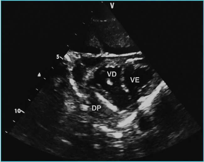
Após estabilização hemodinâmica, foram realizadas tomografia computadorizada (TC), punção lombar, radiografia, hemoculturas e exames laboratoriais. O hemograma inicial foi: Hb 6,1 g/dL; Ht 19,8%; contagem de glóbulos vermelhos 3.320.000/mm3; contagem de glóbulos brancos 4.290/mm3 (15,3% de neutrófilos; 12,2% de células em banda; 70,4% de linfócitos; 2,1% de monócitos); contagem de plaquetas 166.000/mm3. Análise do líquido cefalorraquidiano (LCR) revelou: proteínas 1.291 mg/dL; hemácias 730/mm3; glicose 0 mg/dL; leucócitos 51 células/mm3 (86% de neutrófilos). Numerosos cocos gram-positivos foram encontrados na bacterioscopia do LCR. Foi administrado ceftriaxona à paciente na dose de 100 mg/kg. Para estabilização hemodinâmica, foi necessária infusão de epinefrina na taxa de 0,3 mcg/kg/min. TC revelou edema cerebral difuso e radiografia de tórax mostrou discreta opacidade heterogênea peribrônquica no hemitórax direito e cardiomegalia. Ultrassonografia à beira do leito revelou derrame pericárdico septado (Figura 2), sem consolidação pulmonar. O exame neurológico foi compatível com morte encefálica e não foi realizada pericardiocentese. Streptococcus pneumoniae foi identificado no sangue e nas culturas de LCR. As bactérias eram suscetíveis aos seguintes antibióticos: sulfametoxazol trimetoprim, benzilpenicilina, eritromicina, ceftriaxona, vancomicina e levofloxacina. A morte cerebral foi confirmada de acordo com o protocolo.6

DISCUSSÃO
Na década de 1950, mais de 50% dos casos de pericardite eram purulentos. Atualmente, aproximadamente 1 a 3% dos casos de pericardite são purulentos7,8. Essa diminuição pode ser atribuída à disponibilidade da antibioticoterapia, particularmente a penicilina. Embora o Streptococcus pneumoniae ainda seja um dos principais agentes infecciosos causadores de pneumonia, meningite e sepse em crianças em todo o mundo, um pequeno número de pacientes com pericardite pneumocócica tem sido registrado desde 1995.9 Atualmente, o agente etiológico mais comum dessa doença é o Staphylococcus aureus. Também são relatados casos de infecção por Haemophilus influenzae e meningococos.10
A pericardite purulenta é diagnosticada quando o conteúdo purulento é drenado do espaço pericárdico ou quando há cultura positiva de bactérias a partir do líquido pericárdico.11 A tríade clássica de sintomas, descrita por Claude Beck em 1935 (hipotensão, distensão jugular e abafamento de bulhas cardíacas) é observada em até 40% dos casos.12 A elevação do segmento ST é uma característica eletrocardiográfica clássica da pericardite, mas raramente encontrada no tipo purulento.10 A maioria dos casos descritos teve diminuição da amplitude ou ausência de alterações no segmento ST. Ecocardiografia e TC também podem ajudar no diagnóstico. A ecocardiografia pode ser realizada à beira do leito, sem radiação ionizante, e com baixo custo, além de ser capaz de revelar múltiplos sinais de tamponamento cardíaco e identificar o local mais adequado para pericardiocentese. Embora não tenha sido realizada análise do líquido pericárdico no caso relatado, bandas e loculações foram visualizadas no mesmo por meio da ecocardiografia. Tais achados ultrassonográficos são sugestivos de pericardite purulenta no paciente séptico.13
O fator predisponente para a pericardite purulenta mais comum é a pneumonia, seguida da osteomielite e da artrite séptica.10,14,15 Pericardite causada por pneumococo é frequentemente associada a pneumonia e empiema.10,14 A fisiopatologia desses casos ainda é controversa. Não está claro se as bactérias migram para o saco pericárdico diretamente do foco infeccioso intratorácico, ou se a invasão ocorre por disseminação hematogênica.9,10,11,14,16 No caso relatado, os sintomas iniciais eram compatíveis com pneumonia, mas esse diagnóstico não ficou evidente na radiografia de tórax. A ultrassonografia de tórax descartou a presença de derrames ou consolidações pleurais.17 Nossa hipótese é que os sintomas iniciais de febre, tosse e sibilância podem ter resultado do comprometimento miocárdico ou infecção respiratória viral com subsequente invasão pneumocócica, e que a invasão bacteriana do pericárdio provavelmente ocorreu por disseminação hematogênica.
As complicações mais sérias da pericardite purulenta são septicemia, tamponamento cardíaco e pericardite constritiva. Antibioticoterapia precoce e drenagem pericárdica são, portanto, essenciais. Os antibióticos devem ser administrados empiricamente até que os resultados microbiológicos sejam disponibilizados. No entanto, nem sempre é possível fazer a cultura do agente causador.10,14 Em casos com derrames loculados, pode-se considerar a terapia fibrinolítica intrapericárdica para drenagem adequada antes de se recorrer a cirurgia.8,10,14,18 A pericardiotomia deve ser considerada em casos de adesões densas, derrame purulento denso ou loculado, recorrência de tamponamento, infecção persistente e progressão para constrição.8,18 Se não tratada a tempo, a pericardite purulenta tem taxa de mortalidade de quase 100%.19 No entanto, quando os tratamentos médicos e cirúrgicos são combinados, essa porcentagem cai para 20% ou menos.20
Encontramos apenas um caso de pericardite purulenta causada por pneumococo publicado na literatura, envolvendo uma paciente feminina de 17 anos com meningite.21 A incidência de pericardite na doença meningocócica (3-19%) é maior do que na doença pneumocócica invasiva.3,15 Sagristà-Sauleda et al. identificaram 33 casos de pericardite purulenta em uma população de 593.601 pessoas hospitalizadas ao longo de 20 anos.15 Apenas um caso ocorreu em um paciente com meningite, e foi identificado a partir de um exame post-mortem. Não houve identificação microbiológica. Não foram encontrados casos de pericardite purulenta em 896 pacientes pediátricos alemães, nem entre 361 indianos com doença pneumocócica invasiva.4,22
Concluindo, este artigo descreve o curso clínico desfavorável de uma criança que apresentou febre e sintomas respiratórios, posteriormente diagnosticada com pericardite associada à meningite. Essa associação é incomum e, portanto, difícil de diagnosticar. Assim, a identificação de sinais de sepse e o tratamento imediato é fundamental para melhores resultados. Deve-se ressaltar, ainda, que as manifestações clínicas da meningite bacteriana em lactentes são inespecíficas e seu diagnóstico deve ser sempre considerado em pacientes febris.
Apesar de sua raridade desde o advento dos antibióticos, a pericardite purulenta pediátrica é uma doença grave com curso fulminante. Seu diagnóstico deve ser sempre considerado quando há derrame pericárdico em pacientes com doença infecciosa, principalmente pneumonia. Os sinais e sintomas variam e podem ser mascarados por outras comorbidades conhecidas. Alto índice de suspeita diagnóstica é necessário para instituir o tratamento precoce e aumentar a sobrevida. Além disso, pacientes com esses sintomas devem ser transferidos a ambiente de terapia intensiva para intervenções agressivas e monitoramento rigoroso.
REFERÊNCIAS
1. Johnson HL, Deloria-Knoll M, Levine OS, Stoszek SK, Freimanis Hance L, Reithinger R, et al. Systematic evaluation of serotypes causing invasive pneumococcal disease among children under five: the pneumococcal global serotype project. PLoS Med. 2010;7:e1000348.
2. O'Brien KL, Wolfson LJ, Watt JP, Henkle E, Deloria-Knoll M, McCall N, et al. Burden of disease caused by Streptococcus pneumoniae in children younger than 5 years: global estimates. Lancet. 2009;374:893-902.
3. El Bashir H, Klaber R, Mukasa T, Booy R. Pericarditis after meningococcal infection: case report of a child with two distinct episodes. Pediatr Infect Dis J. 2004;23:279-81.
4. Kries R, Siedler A, Schmitt HJ, Reinert RR. Proportion of Invasive pneumococcal infections in German children preventable by pneumococcal conjugate vaccines. Clin Infect Dis. 2000;31:482-7.
5. Klacsmann PG, Bulkley BH, Hutchins GM. The changed spectrum of purulent pericarditis: an 86 year autopsy experience in 200 patients. Am J Med. 1977;63:666-73.
6. Conselho Federal de Medicina. Resolução CFM nº 1.480/97 [cited 2017 Aug 15]. Available from: http://www.portalmedico.org.br/resolucoes/cfm/1997/1480_1997.htm.
7. Go C, Asnis DS, Saltzman H. Pneumococcal pericarditis since 1980. Clin Infect Dis. 1998;27:1338-40.
8. Imazio M, Gaita F, LeWinter M. Evaluation and Treatment of Pericarditis: a Systematic Review. JAMA. 2015;314:1498-506.
9. Kan B, Ries J, Normark BH, Chang FY, Feldman C, Ko WC, et al. Endocarditis and pericarditis complicating pneumococcal bacteraemia, with special reference to the adhesive abilities of pneumococci: results from a prospective study. Clin Microbiol Infect. 2006;12:338-44.
10. Cakir O, Gurkan F, Balci AE, Eren N, Dikici B. Purulent pericarditis in childhood: ten years of experience. J Pediatr Surg. 2002;37:1404-8.
11. Rubin RH, Moellering RC Jr. Clinical, microbiologic, and therapeutic aspects of purulent pericarditis. Am J Med. 1975;59:68-78.
12. Jacob S, Sebastian JC, Cherian PK, Abraham A, John SK. Pericardial effusion impending tamponade: A look beyond Beck's triad. Am J Emerg Med. 2009;27:216-19.
13. Martin RP, Bowden R, Filly K, Popp RL. Intrapericardial abnormalities in patients with pericardial effusion. Findings by two-dimensional echocardiography. Circulation. 1980;61:568-72.
14. Majid AA, Omar A. Diagnosis and management of purulent pericarditis. Experience with pericardiectomy. J Thorac Cardiovasc Surg. 1991;102:413-7.
15. Sagristà-Sauleda J, Barrabés JA, Permanyer-Miralda G, Soler-Soler J. Purulent pericarditis: review of a 20-year experience in a general hospital. J Am Coll Cardiol. 1993;22:1661-5.
16. Tatli E, Buyuklu M, Altun A. An unusual complication of pneumococcal pneumonia: acute tamponade due to purulent pericarditis. Int J Cardiol. 2007;119:e1-3.
17. Pereda MA, Chavez MA, Hooper-Miele CC, Gilman RH, Steinhoff MC, Ellington LE, et al. Lung ultrasound for the diagnosis of pneumonia in children: a meta-analysis. Pediatrics. 2015;135:714-22.
18. Adler Y, Charron P, Imazio M, Badano L, Baro´n-Esquivias G, Bogaert J, et al. 2015 ESC Guidelines on the diagnosis and management of pericardial diseases. Eur Heart J. 2015;36:2873-4.
19. Ott CL, Hodge S. Gas-forming purulent pericardial effusion. Can J Cardiol. 2009;25:e337.
20. Cheatham JE, Grantham RN, Peyton MD, Thompson WM, Luckstead EF, Razook JD, et al. Hemophilius influenzae purulent pericarditis in children: Diagnosis and therapeutic considerations. J Thorac Cardiovasc Surg. 1980;79:933-6.
21. Blohm ME, Schroten H, Heusch A, Christaras A, Micek M, Wintgens J, et al. Acute purulent pericarditis in pneumococcal meningitis. Intensive Care Med. 2005;31:1142.
22. Manoharan A, Manchanda V, Balasubramanian S, Lalwani S, Modak M, Bai S, et al. Invasive pneumococcal disease in children aged younger than 5 years in India: a surveillance study. Lancet Infect Dis. 2017;17:305-12.
Notas
Autor notes
*Autor correspondente. E-mail: tiago.souza@hc.unicamp.br (T.H. de Souza).
Declaração de interesses