ORIGINAL ARTICLE
Tin speciation in the blood plasma of workers occupationally exposed in a cassiterite ore processing industry
Especiação de estanho no plasma sanguíneo de trabalhadores expostos ocupacionalmente em uma indústria de processamento de minério de cassiterita
Tin speciation in the blood plasma of workers occupationally exposed in a cassiterite ore processing industry
Saúde em Debate, vol. 46, no. 133, pp. 459-472, 2022
Centro Brasileiro de Estudos de Saúde
Received: 28 July 2021
Accepted: 23 December 2021
ABSTRACT: Mining is a high-risk activity due to its dangerous processes. Tin (Sn) is obtained from cassiterite ore and mining activities expose workers to the metal. Chronic exposure to Sn may cause pneumoconiosis, gastrointestinal and hematological effects, among others. This work aimed to assess the exposure of workers to tin in a cassiterite ore processing industry, using the speciation analysis in blood plasma. Twelve subjects donated the blood samples; six were occupationally exposed to Sn. Size exclusion chromatography separated proteins in blood plasma; a graphite furnace atomic absorption spectrometer determined total tin in the plasma and eluted fractions, while SDS-PAGE determined molecular masses of proteins. Tin levels in the workers’ plasma were four times higher than in the reference individuals. After fractionation, the metal only appeared in the total inclusion volume, not being possible to confirm the binding of tin to proteins, which certainly modifies their functions and impair workers’ health. Despite that, the work process needs to change since Sn levels in the workers’ plasma pointed to metal exposure. Further works are necessary to clarify whether the metal is free or bound to small proteins in blood plasma and understand the true impact of tin on workers’ health.
KEYWORDS: Tin, Mining, Blood plasma, Speciation, Proteins.
RESUMO: A mineração é uma atividade de alto risco devido aos seus processos perigosos. O estanho (Sn) é obtido do minério de cassiterita e as atividades da mineração expõem os trabalhadores ao metal. A exposição crônica ao Sn pode causar pneumoconiose, gastrointestinal e hematológica entre outros efeitos. Este trabalho avaliou a exposição de trabalhadores ao estanho em uma indústria de processamento de minério de cassiterita, utilizando a análise de especiação no plasma sanguíneo. Doze indivíduos doaram amostras de sangue, sendo seis expostos ocupacionalmente ao Sn. A SEC separou as proteínas do plasma sanguíneo, a GFAAS determinou a concentração total de estanho no plasma sanguíneo e frações eluídas, enquanto o SDS-PAGE determinou as massas moleculares das proteínas. O plasma dos trabalhadores apresentou níveis quatro vezes maiores do que os indivíduos de referência. Após fracionamento, Sn só apareceu no volume de inclusão, não sendo possível confirmar sua ligação às proteínas. Contudo, o processo de trabalho precisa mudar, pois os níveis de Sn no plasma dos trabalhadores apontam para exposição ao metal. Outros trabalhos são necessários para esclarecer se o metal está livre ou ligado a pequenas proteínas do plasma e entender o verdadeiro impacto do estanho na saúde dos trabalhadores.
PALAVRAS-CHAVE: Estanho, Mineração, Plasma sanguíneo, Especiação, Proteínas.
Introduction
The relationship between work and health has been known for a long time. In particular, work can cause illnesses, reduce the working life, and lead to workers’ death when performed without adequate conditions. All work processes involve risk situations, which influence workers directly or indirectly and in different ways, such as physiologically, psychologically, and emotionally. Direct action occurs when chemicals come into contact with the worker by inhalation, for instance1.
Mining is one of the highest risk activities due to extremely dangerous work processes. Among the reasons, there are the risks posed by the work process related to the safety and health of miners, and the high cost of implementing the preventive measures, especially for small and medium-sized companies. Worrying data showed workers have become increasingly ill in mining industries over the years, representing a high number of illnesses, an 82.5% increase, in a short period (3 years)2.
Naturally, the earth’s crust contains small amounts of tin (Sn), mainly in the cassiterite ore (SnO2). However, especially in cassiterite mining and processing activities, anthropogenic actions contribute to raising the natural levels of metallic compounds in the workplace and the human body. Sn attached to dust particles, fumes, and gases can be spread by the wind and removed from the atmosphere by rain3, 4.
Sn compounds are in both inorganic and organic forms in the environment. The metal and its compounds are industrially relevant owing to their low melting point, affinity to form alloys, resistance to corrosion, and oxidation4. Their applications are as anticorrosion plating in food and beverage containers, in the production of modern alloys such as bronzes, brasses, solders, and dental amalgams, ceramic glazes, glass industry, in the textile industry as a mordant, in the cosmetic industry, in the chemical industry as stabilizers, production of biocides, wood and leather preservation, agriculture and antifouling paints in boats5, 6.
Poor absorption, low retention in tissues, and rapid elimination contribute to the low toxicity of inorganic Sn. However, like in occupational exposures, the length of exposure and species generated can lead to toxic effects. The contamination of workers and the population living near such industries can occur through inhalation of Sn dust or fumes, contact with minerals, or ingestion of water and food contaminated by the metal5.
People chronically exposed to inorganic Sn, such as SnO2 present in dust and fumes, may develop non-fibrinogen pneumoconiosis, which involves mainly the lower respiratory system3. Inorganic Sn compounds can cause gastrointestinal and hematological effects, as well as kidney, and liver damages6. Based on the few available studies already developed, especially in workers, Sn did not show human development and reproduction effects. Likewise, there was no evidence of neurotoxicity, immunotoxicity, mutagenicity, or carcinogenicity. However, there are few reports as to the genotoxicity of Sn compounds in the literature. Similarly, a limited number of animal studies have failed to clarify the potential toxicity of inorganic Sn. It affects the absorption and retention of essential minerals such as calcium, copper, iron, zinc, and selenium. Therefore, it is not easy to determine the cause of a particular effect due to these interactions7, 8.
Most cassiterite production is in low- and medium-income countries, like Burma, China, and Indonesia9. Brazil has about 7.5% of the world’s tin reserves, the sixth-largest producer globally. The Brazilian reserves are in the Amazon-region, and the states of Rondônia (RO) and Amazonas are responsible for approximately 50% each of the national production of cassiterite10.
Mineral exploration is the main economic activity in RO. Tin, niobium, and tungsten are the main metals products, accounting for 71% of the goods traded, of which 66% are cassiterite. Currently, different activities are related to Sn, such as extraction and processing of Sn ore, and smelting. Its mining attracts large companies and generates jobs. Among the top five companies, three deal with cassiterite extraction, two of which are the first ore producers in the state11. Those work processes pose a risk to the health of workers, generating noise, waste, loads, and repetitive efforts. In addition, workers face extenuating working hours, with long periods of exposure per day to powders, dust, aerosols, particulate matters, and fumes containing different chemical substances, including Sn2, 12, 13.
The identification and quantification of elements are necessary in toxicology. Besides, the toxicological effects of an element depend on its chemical form in the original sample. For example, Cr VI is toxic, while Cr III is essential for humans14. However, the total metal concentration is insufficient to understand the metabolism, mode of entry, distribution in the cell, elucidation of mechanisms, and interaction between metals and proteins, as well as deposition in tissues. The metal speciation is a more complex task than the determination of its total content. Accordingly, speciation is essential for knowing the characteristics dependent on the chemical forms of the element. Toxicity is a species-dependent property, and therefore, the knowledge of concentrations of each species present in a specific matrix is much more relevant for the exposure assessment than its total concentration. The different species of a particular metal can differ significantly in their effects on human health. Knowing about the chemical species of an element provides a better understanding of the chemical and biochemical reactions involving these species and thus providing information on their toxicity or essentiality15. The speciation analysis allows understanding the mechanisms and processes by which trace elements are absorbed, transported, and incorporated into proteins14. However, the lability of species searched is one of the main challenges of the chemical speciation in biological systems since it is necessary to preserve the integrity of such species throughout the analytical procedure. Changes in the conditions of the biological environment studied disturb the existing physical-chemical balance. Thus, in the end, the species measured may not fully represent those existing in the original samples. Besides, after fractionation of the different metal species, too low concentrations will require much more sensitive and selective detectors to perform measurements in real life15. The International Union for Pure and Applied Chemistry (IUPAC) defined speciation as the distribution of an element among particular chemical species in a system, whereas the expression ‘speciation analysis’ refers to analytical activities for identifying and/or measuring the quantity of one or more chemical species in a sample16.
Although speciation analysis can be performed in environmental and biological systems, most published studies involving metal speciation are related to environmental samples17, 18, 19, 20. Research using biological fluids as a matrix for Sn speciation analysis is scarce21, and it is generally limited to the separation and determination of organic Sn compounds22, 23. Nevertheless, neither of these published papers assessed the binding of Sn to biological proteins. Such studies only report the different organotin species (butyl, phenyl, and propyl) present in these biological fluids. This fact explains the actual necessity to carry out studies based on its presence in a protein structure. The blood plasma shows the bioavailable fraction of the analyte, enabling to characterize proteins that bind and carry the metal, eluding the distribution of metals in the body24. Therefore, the present work planned to assess the exposure to Sn in a cassiterite ore processing industry, using the speciation analysis in the blood plasma of workers in the state of Rondonia, Brazil.
Material and methods
The study was conducted with workers occupationally exposed in a Sn processing industry at Ariquemes, one of the main municipalities in the state of Rondonia, with 4,426.571 km² and located 198 km from the capital Porto Velho. It is the third most populous city in the state, with an estimated population of 107,863 inhabitants, the second in demographic density, with 23.9 inhabitants km-2, and one of the highest human development indexes (HDI = 0.702) in the state, but lower than the national HDI (0.765)25, 26.
The research selected the Production area within the cassiterite processing industry. Two population groups participated in the study. One of them consisted of six workers from the production area of the cassiterite processing facility, while the other comprised six adults environmentally exposed to Sn, with similar quality of life to the former group, living near a Sn foundry industry and used as a reference group. Both agreed to participate by signing the Free and Informed Consent Form.
Venous blood samples were collected in vacuum tubes, 7ml, specific for the determination of trace metals, containing heparin as an anticoagulant. After the collection procedure, samples were kept refrigerated, transported to the Laboratory, and centrifuged at 3500 rpm for 15 min to obtain the blood plasma. Then, the supernatant was removed and frozen at –20°C until analysis. Only the workers’ blood plasma was divided into two. The determination of the total Sn concentration required part of it, while the metal speciation analysis used the other portion. Fractionation only occurred in the six plasma samples from workers, and two aliquots were prepared for each sample.
All glass and plasticware used underwent rigorous decontamination, reagents were of analytical grade, and the water was ultrapure. Merck supplied all reagents used. Blood plasma samples were diluted 1 + 4 in 0.1% (v/v) Triton X-100 for the determination of the total Sn concentration, while the eluted fractions needed no dilution.
Sn concentration in blood plasma samples and chromatographic fractions were performed using an AAnalyst 800 atomic absorption spectrometer equipped with a transversely heated electrothermal atomizer, a Zeeman longitudinal background corrector, an AS-800 automatic sampler, and end cap tubes, all Perkin-Elmer. Table 1 shows the operating conditions of the graphite furnace for tin in blood plasma samples and fractions collected from the chromatographic system.

A serum reference sample (Contox I Serum, lot TM144-1097, Kaulson Laboratories, USA), with a tin concentration of 3 ± 2 µg L-1, checked the accuracy of the procedure. The limit of quantification (LOQ) was 0.26 μg Sn L-1.
Size-exclusion chromatography (SEC) was carried out in a GradiFrac System (Amersham Pharmacia Biotech), using an XK 16/100 column (Amersham Pharmacia Biotech), filled with Sepharose CL 4B (Amersham Pharmacia Biotech). The mobile phase was a 50 mM Tris-HCl/30 mM NaHCO3 buffer (pH 7.4). The column was calibrated using 0.05% (w/v) sodium azide (Merck) and 1% (w/v) Blue Dextran (Sigma) to determine the inclusion and exclusion total volumes, respectively. Blood plasma samples were diluted 1+1 with the mobile phase, and an aliquot of 2 mL was injected into the chromatographic system, using 0.7 mL min-1 as the flow rate. Fractions (2 mL) were collected and analyzed in a UV-Visible Spectrophotometer, model UV-1601 (Shimadzu Corporation), at 280 nm to monitor protein signal of all fractions.
The graphite furnace atomic absorption spectrometry (GF AAS) determined Sn in the chromatographic fractions with high UV signal without dilution. The LOQ achieved for Sn in the fraction was 0.34 µg L-1 . Blood plasma samples with no detectable Sn levels provided laboratory reference materials in the absence of certified materials. The average recovery of the total amount of Sn spiked to the samples was 90 ± 2.3%. Fractions presenting levels of Sn above the quantification limit were selected for electrophoresis.
The Bio-Rad Mini-Protean II system (Bio-Rad) performed SDS-PAGE to evaluate protein fractions homogeneity according to Laemmli27. The PAGE concentration was 12%, and the molecular weight determination applied low range Bio-Rad standards. The SpeedVac (Thermo Scientific) concentrated the samples collected, and a sample-reducing buffer was added (10 µL). Gels were stained with silver nitrate and digitized on a GS-800™ calibrated densitometer using the Quantity One® 1-D analysis software (Bio-Rad).
The statistical software SPSS (Statistical Package for Social Science) for Windows version 21.0 calculated mean and standard deviation, and the Mann-Whitney test compared Sn concentrations in the blood plasma of exposed and unexposed groups. The statistical significance level was 5% (p=0.05) and 95% confidence interval.
The research followed the recommendations of Resolution No. 466/2012 of the National Health Council regarding human beings, and the Ethics Committee in Research from the National School of Public Health approved the study (CAAE nº 0201.0.031.000-05).
Results and discussion
Speciation analysis
Different analytical procedures were necessary for the development of the speciation analysis. They mainly consisted of a separation system, chromatography, and another to determine the metal concentration, graphite furnace. Thus, SEC separated the blood plasma, and gel electrophoresis fractionated the proteins by bands, while the GF AAS determined the total concentration of Sn in blood plasma and chromatographic fractions.
Gel Filtration Chromatography (GFC) performs a physical separation of proteins under native conditions, avoiding their denaturation. These are suitable conditions for speciation as no interference occurs in the metal-protein interaction. However, GFC has a poor resolution, and proteins are not entirely separated. Therefore, this technique is generally used for pre-analysis, followed by other methods with a higher resolution, allowing better identification of these proteins28. Nevertheless, the use of SEC was a conservative option due to the lability of the species since the pressure applied in the high performance liquid chromatography could not guarantee the preservation of the original species.
The findings of two studies28, 29 corroborated our results (figure 1) since the gel filtration chromatography for the separation of blood plasma proteins was not satisfactory due to the lack of selectivity (separation based on molecular mass) and ability to resolve the albumin and transferrin profiles appropriately, the most important among several other proteins in blood plasma. Thus, SDS-PAGE electrophoresis performed the identification of the proteins.

Note: The bars show tin contents (µg L-1) as measured in each fraction collected from the LC column. The lines represent the proteins profiles measured at 280 nm.
Source: Own elaboration.Tin determination in blood plasma
Table 2 shows the concentration of Sn in the blood plasma of workers and environmentally exposed individuals. The Sn concentration ranged from 3.44 to 4.38 μg L-1 in the blood plasma of workers. As expected, such results were fourfold higher than the range found in the reference population (≤ 0.26 to 1.87 μg L-1). Data presented a statistically significant difference between Sn concentrations in blood plasma samples of both groups (p < 0.05).

Note: Standard deviation in parentheses. Limit of quantification = 0.26 µg L-1.
Inorganic Sn concentration in blood plasma is scarce in the literature since absorption and toxicity of the metal have been considered low. According to the Toxicological Profile for Tin, little information has been published regarding inorganic tin on human health6. As there is little research on such a matter, the Sn levels of an environmentally exposed group, composed of six individuals from the same region and similar socioeconomic levels and habits, allowed comparing the results found in the occupationally exposed population.
The Brazilian Regulatory Standard (NR 7)30 does not establish reference values or maximum permissible biological indexes for Sn in biological matrices. Likewise, other international agencies, such as The American Conference of Governmental Industrial Hygienists (ACGIH)31, and The German Permanent Senate Commission (known as the MAK Commission) for the Investigation of Health Hazards of Chemical Compounds in the Work Area32 have not established biological exposure indicators for Sn. Such indexes provide the level of exposure in the body of workers through the measure of a chemical, its product of decomposition or biochemical changes resulting from exposure31.
A study evaluated the blood plasma of a population with no known exposure to Sn as control. The concentration range found was <0.09 – 2.4 μg L-1 , similar to the non-occupationally exposed population in this work33. Another research reported usual Sn concentrations of 1.4 ± 0.5 μg L-1 (mean ± SD) in blood plasma of 12 adults (8 women, 4 men, mean age 77.8 years)4. Reports on the determination of Sn concentration in the blood plasma of occupationally exposed workers and Sn speciation analysis were not found in the literature.
Blood plasma fractionation
The environmentally exposed population obtained an overall mean concentration of Sn fourfold lower than that of workers. Thus, after separating the species, the detector used would not have sufficient sensitivity to determine the metal concentrations in the different species. All of them would be below the limit of quantification. Therefore, only the blood plasmas of exposed workers underwent fractionation. Figure 1 shows Sn contents measured in each fraction collected from the gel filtration column. Such concentrations in blood plasma fractions of the exposed workers ranged from ≤ 0.34 to 2.57 μg L-1 . The metal only appeared in the total inclusion volume (fractions 87-95) in all six samples. The highest UV signals (280 nm) were in fractions 45 to 86, showing the position of most plasma proteins. A little peak also arose between fractions 87 and 95, where the Sn signal appeared (see figure 1 above).
Two different approaches for the appearance of Sn in the total inclusion volume could explain those results. In the first one, the metal is not bound to proteins but as free ions like lead, a toxic metal chemically similar to Sn14, available for the transport to tissues, and it migrates through the column with other low molecular weight species. Such availability would allow Sn to reach different organs and tissues and impair their proper functioning. The second possibility is that Sn could be bound to minor proteins present in fractions such as 84 to 89. Among them, low molecular weight bands could be associated with metallothioneins (MTs).
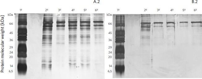
SDS-PAGE evaluated proteins presented in the fractions with Sn concentrations above the LOQ. The prominent peak had 66 kDa in all fractions corresponding to human serum albumin (HSA). In addition to albumin, a 57 kDa band likely related to the immunoglobulin chain occurred. Minor proteins are also present in the total inclusion fractions and could be associated with metallothioneins (MTs) (figure 2).

(A.2): Protein standard in 1st pool; fractions 84 to 88 from 2nd to 6th pool; (b.2): Protein standard in the 1st pool; fractions 89 to 95 from 2nd to 6th pool.
Source: Own elaboration.A group of abundant proteins including albumin and immunoglobulin dominates the protein profile of plasma. In human plasma, albumin accounts for 57–71% w/w and immunoglobulin for 8–26% w/w of the total protein34.
HSA contains four metal-binding sites of different structures, metal ion specificities, and binding affinities35, 36. Among numerous functions in the body, HSA plays an essential role in the transport and distribution of essential metals, as Cu2+ and Zn2+. Nonetheless, it also binds to relevant toxic metals, like Ni2+, Co2+, Pb2+, or Cd2+35, 36, 37. However, Sn was not present in the fractions with high concentrations of HSA (45-86), indicating that no important interaction with such a protein occurred.
The immunoglobulin chain is the second largest fraction of plasma proteins. Immunoglobulins play a vital role in adaptive immune responses34, 38. A review of the literature on human exposure to non-essential metals and its relationship with immunotoxicity concluded that toxic metals could change cellular functions, induce cell proliferation and activation, as well as contact dermatitis. Also, those elements could modify cell structures, compete with essential molecules to physiological processes, causing autoimmune diseases. However, mechanisms for immunotoxicity development have not been elucidated39. Similar to HSA, Sn did not appear in the fractions with higher immunoglobulin concentration, showing no relevant binding to this protein.
Metallothioneins are a family of low molecular weight proteins with a unique capacity to bind seven metal ions through twenty sulfhydryl groups5. They have many functions, and the main one is to keep essential elements in balance. These proteins protect against free radicals and toxic effects of metals, homeostasis, oxidant damages, metabolic regulation, sequestration, and redox control. MTs are essential proteins to metal homeostasis40.
The presence of Sn in such fractions is in agreement with the literature, in which Sn (IV) is bound to important biological ligands of low molecular weight41. The suggested mechanism for protein-tin interaction is through covalent bonds between the Sn (IV) atom and thiols groups present in proteins. The monothiols are responsible for mediating the biochemical effects of organotin compounds42, 43.
Interactions between amino acids and metals play decisive roles in the structure and functions of natural metalloproteins and metal activating proteins. The binding of toxic metals, such as lead, cadmium, or mercury, with proteins results in unrepairable damage to protein functions44.
Although the literature shows that essential and toxic metals bind to plasma low molecular weight proteins, such as albumin, immunoglobulins, and MTs, it is not possible to state that Sn was bound to such proteins with the procedure applied in this study. It would be necessary to use a more sensitive and specific technique such as mass spectrometry. Nevertheless, it is mandatory to hold a discussion about exposure to Sn and its possible consequences on human health.
Albeit Sn is a naturally occurring element in the environment and classified as potentially toxic by the WHO, studies associating exposure to the metal with adverse effects on human health are scarce or non-existent45. In particular, occupational exposure is not even considered. Most reports about effects of tin on the human health, except for studies in volunteers, are generally deficient in the exposure characterization. On the other hand, numerous studies have been conducted on the effects of tin in animal species, mainly rodents, by the oral route. However, insufficient information has been published regarding the effects of inhaled tin and its compounds on human health. Research on occupational exposures often lack details on actual exposure concentrations and condition since they assess numerous substances6.
According to the scarce literature, Sn affects the metabolism of some essential minerals such as iron, copper, zinc, calcium, and selenium by mechanisms that are not fully clear but could involve absorption and/or retention. Thus, Sn would play an important role concerning the effects on human health since it may alter the metabolism of essential minerals6.
Studies investigating a link between chronic, low level exposures to inorganic Sn and adverse human health outcomes are limited. A cross-sectional study reported a positive but non-significant association between urinary Sn concentration and diabetes46. In coke oven workers in China, urinary Sn levels were associated with elevated fasting plasma glucose levels47. The National Health and Nutrition Examination Survey (NHANES) 2011-2014 analyzed demographic, socioeconomic, and lifestyle factors associated with total urinary Sn levels in adults and concluded that exposure to the element was ubiquitous to the general population, and its levels were associated with gender, race, income, and/or physical activity. The study still suggested that environmental exposures to Sn are linked to adverse health outcomes in humans45.
A work evaluated the possible genotoxic effects of a series of eight Sn (II) and Sn (IV) inorganic compounds for the detection of micronuclei (MN) in human blood lymphocytes in the absence of metabolic activation. Such inorganic compounds did not induce MN formation but increased cytotoxicity in several concentrations for all tested Sn compounds7.
The metallic Sn has an adjuvant-like property of increasing the levels of natural antibodies, inducing hemagglutinins, and enhancing the induction of allergic encephalomyelitis in rats. However, a study found that the metal was an adjuvant for a different immunologic process, the anaphylactic sensitization. The authors concluded that metallic Sn could enhance immunologic reactions as a result of polyclonal B cell activation with the proliferation of plasma cells48.
Human exposure to Sn is almost ubiquitous. However, little is known about factors affecting human health in Sn exposure. In this decade, the development of some studies started to occur45, 46, 47. Before, Sn was not recognized as possibly toxic, and little attention was paid to exposures, especially the occupational ones. Therefore, further research is needed to assess if low level, chronic exposures to inorganic forms of Sn are associated with adverse outcomes in humans.
Furthermore, tin and lead belong to the same group in the periodic table. Therefore, they are very similar physically and chemically, with equivalent radii and the same oxidation state49. Regarding their toxicity, both mimic calcium and are stored in bones6, 50. Lead is recognized worldwide as extremely toxic to human health, whereas it interferes with all organs and systems in the body, mainly bound to proteins, impairing their functions50. Additionally, blood plasma contains the free lead fraction, like Sn, available to cross cell membranes and cause its toxic effects14, 50. The great difference between such elements is that lead has been studied for a long time, while there are practically no studies about tin in humans. Thus, inorganic Sn is an element that needs more attention from researchers concerning its effects on human health, especially workers.
In addition to being exhaustive, work in the mining of cassiterite and the processing industry of Sn ore mainly exposes workers to SnO2 (Sn IV) powders and dust, while metallic fumes are the primary way of exposure to those workers in Sn casting industries. All those occupations are considered as high-level tin exposure according to their production amount. Research carried out in the mining sector of Bahia concluded that the working conditions described by workers and the risks to which they were submitted demonstrated conditions that could lead to the development of particular occupational diseases as it was already perceptible in some of them. Changes are mandatory in the work process to lessen the deterioration and, consequently, improve the health conditions of the mining worker51. Although the activities carried out in the mining chain are relevant, it is necessary to preserve the worker’s health due to the risks present throughout the work process.
Conclusions
Although the number of participants has been small, the levels observed for Sn in the blood plasma of workers were much higher than those in the reference group. On the other hand, the procedure used could not establish the Sn binding to proteins. A technique such as mass spectrometry could probably confirm those ligands. However, there are no similar studies published in the literature to corroborate the results found. If confirmed, the binding of Sn to some proteins modifies their functions and impairs health. Our findings can represent a breakthrough for the health of workers exposed to Sn since ‘poor absorption and low toxicity’ of the metal were always considered a kind of protection against impairment to health. Notwithstanding, damage can occur if Sn interferes with the physiology of its ligands.
We cannot infer that Sn levels in workers were high, but they were significantly different from non-occupationally exposed people. Further studies are needed to evaluate workers' health, verify any possible Sn effect in their bodies, and reduce human exposure to total Sn and different forms of the metal. As cassiterite production occurs in an impoverished region with low economic opportunities for the population, it was challenging to recruit people for this study, probably due to their fear of losing jobs in the mining industry.
The mining chain is significant to the socio-economic development. However, modifications in the work process are mandatory to improve the health conditions of the mining workers. It is a complex challenge due to the risks present throughout the work process. Thus, it is necessary to know the work process in mining and its relationship with the worker’s health-illness process from the perspective of health surveillance.
Referências
Agostini M. Saúde do Trabalhador. In: Andrade A, Pinto SC, Oliveira RS, organizadores. Animais de Laboratório: criação e experimentação. Rio de Janeiro: Editora FIOCRUZ; 2002. p. 375-379. [access in 2020 May 8]. Available at: http://books.scielo.org/id/sfwtj/pdf/andrade-9788575413869-46.pdf.
Silva DA, Hong O. Análise do cenário de saúde e segurança dos trabalhadores atuantes na atividade de mineração brasileira. Rev. Enferm. Atenção Saúde. 2017 [access in 2020 May 12]; 6(2):134-143. Available at: http://seer.uftm.edu.br/revistaeletronica/in-dex.php/enfer/article/view/1819.
Cima F. Tin: Environmental pollution and health effects. In: Encyclopedia of Environmental Health. 2. ed. London: Elsevier; 2019. p. 65-75. [access in 2021 Jul 14]. Available at: https://www.sciencedirect.com/science/article/pii/B9780124095489111984?via%3Dihub.
World Health Organization (WHO). Tin and inorganic tin compounds - Concise International Chemical Assessment (CICAD) Document 65. Geneva: WHO; 2005 [access in 2020 Jun 9]. Available at: https://www.who.int/ipcs/publications/cicad/cicad_65_web_version.pdf?ua=1.
Ostrakhovitch EA, Cherian MG. Tin. In: Nordberg GF, Fowler BA, Nordberg M, Friberg LT, editors. Handbook on the Toxicology of Metals. 3. ed. California: Academic Press — Elsevier; 2007. p. 839-859.
United States of America. U.S. Department of Health and Human Services. Agency for Toxic Substances and Disease Registry. Toxicological Profile for Tin and Tin Compounds. U.S. Government Printing Office: Public Health Service; 2005. [access in 2021 May 22]. Available at: https://www.atsdr.cdc.gov/ToxProfiles/tp55.pdf.
Damati A, Vlastos D, Philippopoulos AI, et al. Inorganic tin compounds do not induce micronuclei in human lymphocytes in the absence of metabolic activation. Drug Chem. Toxicol. 2014; 37(2): 213-220.
Azevedo SV, Sobral A, Moreira MFR. Spatial pattern of the environmental exposure to tin in the vicinity of an alloy industry in Volta Redonda, Rio de Janeiro State, Brazil. Cad. Saúde Pública. 2019; 35(10):e00079818.
United States of America. U.S. Department of the Interior. U.S. Geological Survey. Tin Data Sheet - Mineral Commodity Summaries 2020. U.S. Geological Survey. 2020 [access in 2021 Jul 9]; 172-173. Available at: https://pubs.usgs.gov/periodicals/mcs2020/mcs2020.pdf.
Governo do Estado de Rondônia. Superintendência Estadual de Comunicação. Minério de Estanho - É de Rondônia quase a metade da cassiterita do País. Governo do Estado de Rondônia. 2015. [access in 2020 May 25]. Available at: http://www.rondonia.ro.gov.br/rondonia-produz-quase-a-metade-da-cassiterita-do-pais/.
Brasil. Ministério da Ciência, Tecnologia e Inovações, Centro de Tecnologia Mineral. Extração de cassiterita gera danos socioambientais em Ariquemes (RO). 2013. [access in 2020 May 17]. Available at: http://verbetes.cetem.gov.br/verbetes/ExibeVerbete.aspx?verid=106.
Nery AA, Alves MS. A relação do processo saúde-do-ença e o trabalho na mineração. J. Health Sci. Inst. 2011; 29(4):269-271.
Dallalba P. Lavra e beneficiamento mineral de cassiterita em um garimpo no município de São Felix do Xingu-PA. [monograph]. Palmas: Centro Universitário Luterano de Palmas, Tocantins; 2015. [access in 2021 Mar 20]; 60 p. Available at: https://ulbra-to.br/bibliotecadigital/publico/home/documento/205.
Moreira FR, Moreira JC. The significance of lead speciation analysis in blood plasma for health risk assessment. Quim. Nova. 2004; 27(2):251-260.
Michalke B, Berthele A, Mistriotis P, et al. Manganese species from human serum, cerebrospinal fluid analyzed by size exclusion chromatography-, capillary electrophoresis coupled to inductively coupled plasma mass spectrometry. J. Trace Elem. Biol. 2007; 21(suppl1):4-9.
International Union for Pure and Applied Chemistry (IUPAC). Compendium of chemical terminology. Gold Book.Version 2.3.3. 2014. [access in 2020 May 17]. Available at: https://goldbook.iupac.org/pdf/goldbook.pdf.
Xiao Q, Hu B, He M. Speciation of butyltin compounds in environmental and biological samples using headspace single drop microextraction coupled with gas chromatography-inductively coupled plasma mass spectrometry. J Chromatography A. 2008; 1211(1-2):135-141.
Furdek M, Vahčič M, Ščančar J, et al. Organotin compounds in seawater and Mytilusgallo provincialis mussels along the Croatian Adriatic Coast. Mar. Pollut. Bull. 2012; 64(2):189-199.
Tzollas NM, Zachariadis GA, Rosenberg E. Speciation study of trialkyl-and triphenyl-tin by liquid chromatography using ion trap TOF tandem MS and atmospheric pressure chemical ionization. Curr. Anal. Chem. 2013; 9(2):279-287.
Alasonati E, Fabbri B, Fettig I, et al. Experimental design for TBT quantification by isotope dilution SPE–GC–ICP–MS under the European water framework directive. Talanta. 2015; (134):576-586.
Dressler VL, Goldschmidt F, Moreira CM, et al. As, Hg, I, Sb, Se and Sn speciation in body fluids and biological tissues using hyphenated-ICP-MS techniques: A review. Int. J. Mass Spectrom. 2011; 307(1-3):149-162.
Cui Z, Zhang K, Zhou Q, et al. Determination of methyltin compounds in urine of occupationally exposed and general population by in situ ethylation and headspace SPME coupled with GC-FPD. Talanta. 2011; 85(2):1028-1033.
Levine KE, Young DJ, Afton SE, et al. Development, validation, and application of an ultra-performance liquid chromatography–sector field inductively coupled plasma mass spectrometry method for simultaneous determination of six organotin compounds in human serum. Talanta. 2015; (140):115-121.
Greening DW, Simpson RJ. A centrifugal ultrafiltration strategy for isolating the low-molecular weight (≤25 K) component of human plasma proteome. J. Proteomics. 2010; 73(3):637-648.
Instituto Brasileiro de Geografia e Estatística. Ariquemes. [access in 2021 Mar 20]. Available at: https://cidades.ibge.gov.br/brasil/ro/ariquemes/panorama.
United Nations Development Programme. Human Development Reports. Brazil - Human Development Indicators. UNDP. 2020. [access in 2021 Jul 9]. Available at: http://hdr.undp.org/en/countries/profiles/BRA.
Laemmli UK. Cleavage of structural proteins during the assembly of the head of bacteriophage T 4. Nature. 1970; 227:680.
Pomazal K, Prohaska C, Steffan I, et al. Determination of Cu, Fe, Mn, and Zn in blood fractions by SEC--HPLC-ICP-AES coupling. Analyst. 1999; 124(5):657-663.
Veiga M, Bohrer D, Noremberg S, et al. Evidence for aluminum-binding erythropoietin by size-exclusion chromatography coupled to electrothermal absorption atomic spectrometry. J. Inorg. Biochem. 2011; 105(11):1500-1504.
Brasil. Ministério da Economia, Secretaria Especial de Previdência e Trabalho. Norma Regulamentadora nº 07 - Programa de Controle Médico de Saúde Ocupacional. [access in 2021 Jun 10]. Available at: http://www.in.gov.br/en/web/dou/-/portaria-n-6.734-de-9--de-marco-de-2020-247886194.
American Conference of Industrial Hygienists (AC-GIH). TLVs® e BEIs®. São Paulo: ABHO; 2019.
German Research Foundation. List of MAK and BAT Values - Maximum Concentrations and Biological Tolerance Values at the Workplace. Permanent Senate Commission for the Investigation of Health Hazards of Chemical Compounds in the Work Area. Weinheim: Wiley-VCH Verlag GmbH & Co; 2019.
Gerhardsson L, Lundh T, Minthon L, et al. Metal Concentrations in Plasma and Cerebrospinal Fluid in Patients with Alzheimer’s Disease. Dement Geriatr. Cogn. Disord. 2008; 25(6):508-515.
Greenough C, Jenkins RE, Kitteringham NR, et al. A method for the rapid depletion of albumin and immunoglobulin from human plasma. Proteomics. 2004; 4(10):3107-3111.
Al-Harthi S, Lachowicz JI, Nowakowski ME, et al. Towards the functional high-resolution coordination chemistry of blood plasma human serum albumin. J. Inorg. Biochem. 2019 [access in 2020 Jun 22]; (198):110716. Available at: https://reader.elsevier.com/reader/sd/pii/S0162013419301734?token=CB354C9ADC8BC4383195D839A5D7F810C6B2B8DEE4547C80290B5F2D7BD097EF3C1BB684CCA70A3ABE05D69BA6277636.
Saha A, Yakovlev VV. Structural changes of human serum albumin in response to a low concentration of heavy ions. J. Biophotonics. 2010; 3(10-11):670-677.
Bal W, Sokołowska M, Kurowska E, et al. Binding of Transition Metal Ions to Albumin: Sites, Affinities and Rates. Biochim. Biophys. Acta. 2013; 1830(12):5444-5455.
Martínez AC, Mon MA. O sistema imunológico (I): Conceitos gerais, adaptação ao exercício físico e implicações clínicas. Rev. Bras. Med. Esporte. 1999 [access in 2020 Jun 17]; 5(3):120-125. Available at: https://www.scielo.br/pdf/rbme/v5n3/10.pdf.
Mores L, Honório-França AC, França EL, et al. Imunotoxidade decorrente da exposição a metais pesados: breve revisão. Rev. Panorâmica On-Line. 2015 [access in 2020 jun 20]; (19):70-79. Available at: file:///C:/Users/COMPUTADOR/Downloads/636-2015-1-SM.pdf.
Sekovanić A, Jurasović J, Piasek M. Metallothionein 2A gene polymorphisms in relation to diseases and trace element levels in humans. Arh. Hig. Rada Toksikol. 2020; (71):27-47.
Nath M, Pokharia S, Yadav R. Organotin (IV) complexes of amino acids and peptides. Coord. Chem. Rev. 2001; 215(1):99-149.
Pellerito C, Nagy L, Pellerito L, et al. Biological activity studies on organotin (IV)n+ complexes and parent compounds. J. Organomet. Chem. 2006; 691(8):1733-1747.
Wang S, Cao J, Jia W, et al. Single molecule observation of hard–soft-acid–base (HSAB) interaction in engineered Mycobacterium smegmatis porin A (MspA) nanopores. Chem. Sci. 2020 [access in 2020 Jun 12]; (11):879. Available at: https://pubs.rsc.org/en/content/articlepdf/2020/sc/c9sc05260g.
Lehmler HJ, Gadogbe M, Liu B, et al. Environmental Tin Exposure in a Nationally Representative Sample of U.S. Adults and Children: The National Health and Nutrition Examination Survey 2011–2014. Environ. Pollut. 2018 [access in 2021 jun 17]; 240:599-606. Available at: https://www.ncbi.nlm.nih.gov/pmc/articles/PMC6082152/pdf/nihms967664.pdf.
Feng W, Cui X, Liu B, et al. Association of urinary metal profiles with altered glucose levels and diabetes risk: a population-based study in China. PLos One. 2015; 10(4):e0123742.
Liu B, Feng W, Wang J, et al. Association of urinary metals levels with type 2 diabetes risk in coke oven workers. Environ. Pollut. 2016; (210):1-8.
Levine S, Saltzman A. Metallic Tin Is an Adjuvant for Anaphylaxis in Rats. Biol. Trace Elem. Res. 2004; (98):275-277.
Maia DJ, Bianchi JCA. Química Geral – Fundamentos. Reino Unido: Pearson; 2013.
United States of America. U.S. Department of Health and Human Services. Agency for Toxic Substances and Disease Registry. Toxicological Profile for Lead. U.S. Government Printing Office: Public Health Service; 2019. [access in 2020 May 20]. Available at: http://www.atsdr.cdc.gov/toxprofiles/tp13.pdf.
Nery AA, Alves MS. A relação do processo saúde-do-ença e o trabalho na mineração. J. Health Sci. Inst. 2011; 29(4):269-271.
Notes
Author notes
Lima DRS (0000-0001-6916-0545)* worked on the development of the research and writing of the article. Silva FSQ (0000-0003-2236-5687)* worked on data interpretation, article writing, and critical review. Borges RM (0000-0003-3170-3772)* worked on data analysis and interpretation, critical review. Marques RC (0000-0001-6730-7769)* worked in the conception, planning, and critical review of the content. Moreira MFR (0000-0002-4521-1050)* worked on the conception and design of the research, and final writing of the paper.
Conflict of interest declaration