Recepción: 16 Noviembre 2016
Aprobación: 27 Febrero 2018
Publicación: 01 Agosto 2018
DOI: https://doi.org/10.15174/au.2018.1678
Resumen: Durante la última década en el norte de México se ha incrementado el interés por el estudio de las enfermedades zoonóticas como son la anaplasmosis y la ehrlichiosis canina, las cuales son transmitidas por garrapatas tanto a perros como a humanos. La investigación tuvo como objetivo evaluar la presencia de Ehrlichia spp. y A. phagocytophilum en perros y garrapatas de Ciudad Juárez, Chihuahua. Utilizando la técnica de Reacción en Cadena de la Polimerasa (PCR, por sus siglas en inglés) se determinó una prevalencia de 40% y 66% para Ehrlichia spp., del 27% y 13% para A. phagocytophilum en muestras sanguínea de perros y en grupos de Rhipicephalus sanguineus respectivamente. En el 23% de los perros y el 11% de los grupos de garrapatas existió coinfección de ambos patógenos. El valor máximo de la tasa de infección fue de 267.10 considerando ambos patógenos. De acuerdo al análisis de secuenciación Rh. sanguineus fue clasificada como de linaje templado. Los resultados permiten suponer que existe una infestación generalizada de Rh. sanguineus en la población de estudio y que los patógenos asociados a la garrapata están circulando con una prevalencia de moderada a alta, poniendo en riesgo potencial a los habitantes de esta ciudad transfronteriza.
Palabras clave: Ehrlichia spp, Anaplasma phagocytophilum, detección, Rh sanguineus.
Abstract: During the last decade in northern Mexico, the interest in the study of zoonotic diseases such as anaplasmosis and canine ehrlichiosis, which are transmitted by ticks to both dogs and humans, has increased.The objective of this research was to evaluate the presence of Ehrlichia spp. and A. phagocytophilum in dogs and ticks from Ciudad Juarez, Chihuahua. The Polymerase Chain Reaction (PCR) technique determined a prevalence of 40% and 66% for Ehrlichia spp. and 27% and 13% for A. phagocytophilum in blood samples taken from dogs and in pools of Rhipicephalus sanguineus respectively. There was co-infection of both pathogens in 23% of the dogs and in 11% of the tick pools. The maximum value of the infection rate was 267.10, considering both pathogens. Rh. sanguineus was classified as a temperate lineage according to the sequencing analysis. The results suggest that there is a widespread infestation of Rh. sanguineus in the dog’s population. The pathogens associated with this tick species are circulating with a prevalence that goes from moderate to high, putting inhabitants of this border city at potential risk.
Keywords: Ehrlichia spp, Anaplasma phagocytophilum, detection, Rh Sanguineus.
INTRODUCCIÓN
Las infecciones emergentes y enfermedades zoonóticas son en mayoría resultado de enfermedades transmitidas por vectores (McCown, Monterroso & Cardona, 2015). Las garrapatas son vectores potenciales en la transmisión de diversos patógenos tanto en animales como a humanos (Almazán et al., 2016). Un ejemplo de ello son las infecciones por ehrlichiosis y anaplasmosis que son causadas por alfa proteobacterias gram negativas de los géneros Ehrlichia y Anaplasma de la familia Anaplasmataceae, del orden Rickettsiales (Dumler, 2013; Silva et al., 2014). Son parásitos intracitoplasmática estrictos, pleomórficos, capaces de parasitar células sanguíneas como los glóbulos rojos, leucocitos y plaquetas produciendo su destrucción (Ismail, Bloch & McBride, 2010); una característica en común es que ambos géneros producen mórulas dentro de las células infectadas (Dumler, 2013).
Existen diferentes especies del género Ehrlichia que pueden infectar y producir enfermedades en perros y humanos como: E. chaffeensis, E. ewingii, E. muris y E. canis; esta última desde un punto de vista clínico es la de mayor importancia (Demma, Holman, McQuiston, Krebs & Swerdlow, 2005). Las principales células que infecta son los monocitos y algunos tipos de linfocitos y la patogénesis dura aproximadamente entre 8 a 20 días, estas bacterias permanecen y pueden detectarse mediante Reacción en Cadena de la Polimerasa (PCR, por sus siglas en inglés) en órganos hematopoyéticos y medula ósea (Harrus et al., 1998). Los signos clínicos de la fase aguda son alteraciones hematológicas, trombocitopenia, leucopenia y anemia leve a moderada; la fase crónica se caracteriza por trombocitopenia, epistaxis, nefropatía, disnea, hepatomegalia, esplenomegalia o linfoadenopatía, meningitis inflamatoria o hemorrágica, entre otros (Ismail et al., 2010). Las bacterias del género Ehrlichia son transmitidas principalmente por las garrapatas del complejo Rh. sanguineus (Sosa-Gutiérrez, Vargas-Sandoval, Torres & Gordillo-Pérez, 2016), su hábitat es peridoméstico (Demma et al., 2006), aunque también se pueden localizar dentro de casas; en alfombras, cortinas y muebles (Dantas-Torres, Figueredo & Brandão-Filho, 2006), lo cual aumenta el riesgo de exposición a los humanos y con ello la posibilidad de adquirir patógenos transmitidos por estas (Demma et al., 2006).
A. phagocytophilum es transmitida por garrapatas del género Ixodes (Ismail et al., 2010), pero también se ha aislado de Rh. sanguineus (Rubio, Salas & Gómez, 2011). Esta bacteria se replica principalmente en leucocitos y plaquetas (Sosa-Gutiérrez et al., 2016). La patogenia de la anaplasmosis suele presentarse de manera similar a la de ehrlichiosis y puede constar de dos fases: aguda y crónica. La primera se caracteriza por presentar fiebre, depresión, anorexia, anemia, vómito, diarrea, letargia y cojera; y la segunda se caracteriza por presentar trombocitopenia y leucopenia severa, y hemorragias internas (Santos et al., 2011). Este patógeno además de perros puede infectar caballos, humanos y algunos animales de vida silvestre (De la Fuente et al., 2010).
La distribución de las garrapatas y las enfermedades que transmiten han incrementado en los últimos años, debido a los cambios climáticos y a la adaptación del vector (Almazán et al., 2016). En Yucatán fue reportado el primer diagnóstico molecular de E. canis en perros capturados por personal del centro de control animal con una prevalencia del 45% (Nah, Rodriguez-Vivas, Bolio-Gonzalez, Villegas-Perez & Reyes-Novelo, 2015). Así mismo, en un estudio realizado en los estados de Coahuila y Durango se detectaron mediante la técnica de PCR un 31% de perros positivos a Anaplasma platys y un 10% a Ehrlichia spp. (Almazán et al., 2016). Por su parte, en Sinaloa a partir de 152 muestras colectadas en clínicas veterinarias se encontró una seroprevalencia de E. canis del 74.3% (Sosa-Gutiérrez et al., 2013).
Rh. sanguineus se encuentra ampliamente distribuida en México con mayor afinidad en zonas tropicales y subtropicales (Sosa-Gutiérrez et al., 2016). Estudios llevados a cabo en Baja California, Nuevo León, Coahuila y Ciudad de México, indican que la prevalencia e incidencia de Ehrlichia spp. y A. phagocytophilum en el vector ha ido aumentando gradualmente (Sosa-Gutiérrez et al., 2016).
Con la finalidad de obtener información que permitiera dimensionar la problemática en salud pública por los patógenos transmitidos por garrapata, la presente investigación se enfocó a evaluar la prevalencia de Ehrlichia spp. y A. phagocytophilum en perros de Ciudad Juárez, Chihuahua, México.
MATERIALES Y MÉTODOS
El estudio cumplió con la normativa del comité de Ética de la Universidad Autónoma de Ciudad Juárez.
La obtención de muestras de sangre y de garrapatas se realizó en la clínica veterinaria de la Asociación Pro Defensa Animal A.C. (Aprodea). En el presente estudio se analizó una muestra de 30 perros los cuales se encontraban infestados por al menos cinco garrapatas hembras repletas, para formar parte del estudio los dueños firmaron una autorización de consentimiento informado. De manera individual se obtuvieron 10 ml de sangre por punción venosa utilizando tubos vacutainer con EDTA como anticoagulante. Así mismo se hizo una toma de cinco garrapatas por individuo, las cuales fueron colocadas en un vial identificado conteniendo 10 ml con alcohol al 90% para ser transportadas al laboratorio, donde fueron identificadas taxonómicamente siguiendo las claves descritas por Estrada-Peña, Bouattour, Camicas & Walker (2004). Ambas muestras fueron transportadas bajo una cadena de frío al laboratorio de Biotecnología de la Universidad Autónoma de Ciudad Juárez para su procesamiento.
Se aplicó un cuestionario a los dueños de los perros con el fin de obtener información para establecer los factores de riesgo asociados a la probable infección. Se censaron los datos del animal como edad, sexo, domicilio, raza, historial de enfermedades, tratamientos contra garrapatas y de desparasitación, uso de antibióticos, frecuencia y condiciones de actividades fuera del hogar.
Obtención de muestras y Aislamiento de Ácido Desoxirribonucleico (DNA, por sus siglas en inglés)
La extracción de DNA a partir de muestras de sangre se llevó a cabo mediante lisis alcalina utilizando proteinasa K, seguida de lavados fenol cloroformo alcohol Isoamílico y precipitación con etanol absoluto. La muestra fue resuspendida en 30 μL de agua estéril de acuerdo al protocolo descrito por Sambrook & Russell (2001). Para la extracción de DNA de los grupos de garrapatas fue utilizada la metodología descrita anteriormente, modificando la lisis con la adición de Tritón X-100. La evaluación DNA fue realizada mediante análisis espectrofotométrico y electroforético.
Amplificación por Reacción en Cadena de la Polimerasa
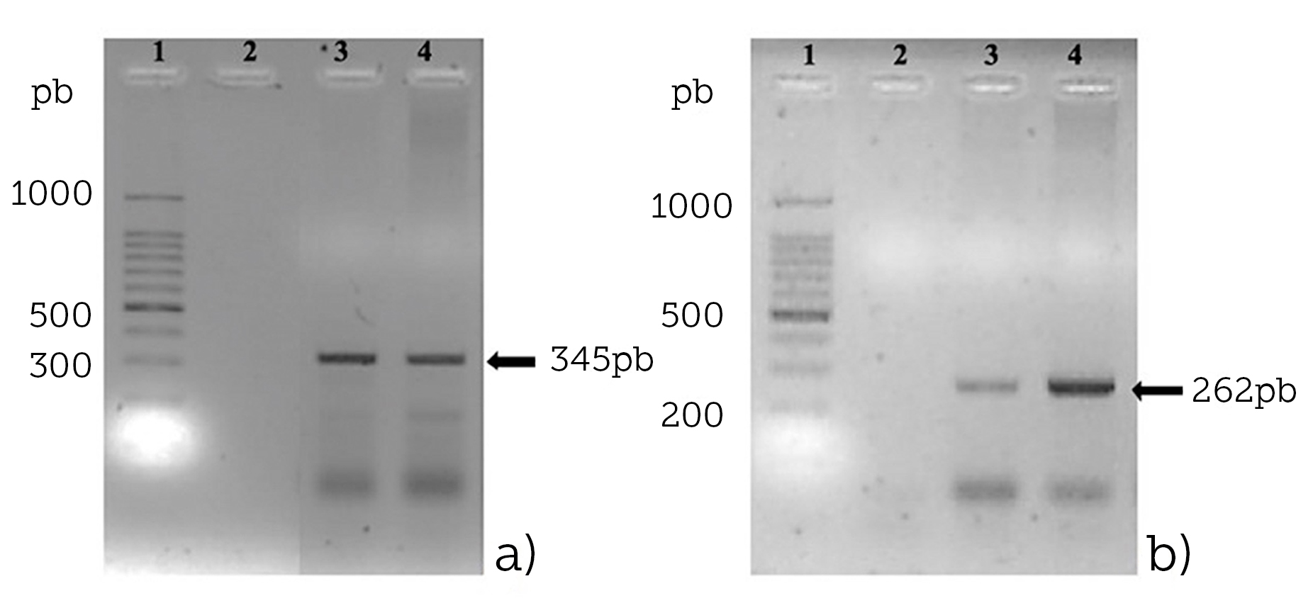
Para la amplificación se utilizó 200 ng de DNA, a cada mezcla de reacción se le adicionó 1 μL de cebador sentido (20 mM) y 1 μL de cebador antisentido (20 mM); 12.5 μL de mezcla maestra 2X, la cual contenía buffer de reacción (pH 8.5), 400 uM dNTP’s, 3 mM, MgCl2 y la enzima Go Taq DNA polimerasa; así como la cantidad necesaria de agua destilada estéril para obtener una reacción con un volumen total de 25 μL. Para la detección molecular de Ehrlichia spp. se amplificó la región del gen 16S rRNA utilizando los iniciadores EHR16SD (5’-GGTACCYACAGAAGAAGTCC-3’) y EHR16SR (5’-TAGCACTCATCGTTTACAG C-3’) y para. A. phagocytophilum se utilizaron los iniciadores E1 (5’GGCATGTAGGCGGTTCGGTAAGTT-3’) y E2 (5’-CCCCACATTCAGCACTCATCGTTTA-3’) siguiendo lo establecido por Inokuma, Raoult & Brouqui (2000) y Ghafar & Amer (2012). Los productos de amplificación de 345 pb para Ehrlichia spp. y 262 pb para A. phagocytophilum fueron analizados por electroforesis en gel de agarosa al 1.8% y visualizados utilizando luz ultravioleta.
Secuenciación
Para la identificación y relación filogenética de los especímenes colectados (garrapatas), se realizó una amplificación de un fragmento del gen mitocondrial 12S rRNA (Beati & Keirans, 2001). Los productos fueron limpiados utilizando el Kit PCR Clean-up Gel extraction siguiendo las instrucciones del fabricante y enviados para secuenciación al Centro de Genética de la Universidad de Arizona utilizando el método de secuenciación automatizada en un analizador Applied biosystems 3730XL.
Análisis estadístico y bioinformático
Se llevó a cabo un análisis estadístico descriptivo sobre la población de estudio, cálculos de prevalencia, regresión logística binaria para identificar factores de riesgo a la infección, para esto fueron incluidas las siguientes variables: edad (< 5 años/≥ 5 años), sexo (hembra/macho), raza (criollo/raza pura), diagnóstico positivo a otras enfermedades (si/no), haber recibido en los últimos 6 meses tratamientos contra garrapatas (si/no) y desparasitaciones orales (si/no), uso de antibióticos (si/no), frecuencia de actividades fuera del hogar (nunca/más de dos veces por semana) y condiciones de estas (uso de correa/no usa correa), la convivencia con otros perros (si/no) y por último, el tipo de patío de la casa (cemento/cemento y tierra). El análisis de concordancia para identificar la coinfección perro-garrapata mediante el paquete computacional SPSSv19.
La tasa mínima de infección en el vector se calculó por el estimador de máxima verosimilitud (MLE, por sus siglas en inglés) mediante el macro para Excel PooledInfRate diseñado por el Centro de Control de Enfermedades (CDC, por sus siglas en inglés) de los Estados Unidos de América.
El análisis bioinformático de las secuencias se realizó utilizando los algoritmos BLASTx y BLASTn de la base de datos del Centro Nacional de Información Biotecnológica (NCBI, por sus siglas en inglés) y Clustal W (Larkin et al., 2007), así mismo fue realizado el análisis de filogenia utilizando el Software MegAlign (Burland, 2000).
RESULTADOS
Del análisis molecular en muestra sanguínea de los perros se obtuvo una prevalencia total a rickettsiosis del 43.3%, de manera diferenciada de 40% para Ehrlichia spp. y un 27% para A. phagocytophilum. La figura 1 ilustra los geles de amplificación para determinar la presencia de los ADN de los patógenos de interés.

Productos de amplificación por PCR del gen 16S rRNA para Ehrlichia spp. a) y A. phagocytophilum b): 1) Marcador de peso molecular de 100 pb, 2) control negativo, 3) control positivo, 4) muestra problema DNA de un grupo de garrapatas.
Fuente: Elaboración propiaCon relación a los perros de este estudio, el 57% eran hembras y la edad osciló entre uno y 10 años, con un promedio de 3.7. Aspectos en común (más del 70%) es que comparten espacio con otros perros, habitan en el exterior en patios mixtos de cemento y tierra y realizan paseos frecuentes a parques públicos. No obstante, el 75% de esa población había recibido anteriormente tratamiento contra garrapatas.
El análisis de regresión logística implicando las variables colectadas mediante el cuestionario para identificar algún factor de riesgo asociado a la infección, no mostró diferencia significativa (p > 0.05) en ninguna de ellas.
En relación al análisis molecular de grupos de garrapatas Rh. sanguineus, se obtuvo una prevalencia general del 63.3% (presencia de uno y/o ambos patógenos). Para Ehrlichia spp. se describe un 66% y 13% para A. phagocytophilum.
Respecto a la coinfección en garrapatas, en solamente 3 grupos de garrapatas (11%) de los 27, se detectaron ambos patógenos (Ehrlichia spp. y/o A. phagocytophilum).
Como se aprecia en la tabla 1 donde se expresan los valores obtenidos tanto con el método clásico (MIR) como con el de máxima similitud (MLE), el valor más alto correspondió a 267.10 para ambos patógenos.

Método Clásico (MIR, por sus siglas en inglés).
Fuente: Elaboración propiaCon la intención de predecir la infección de la garrapata al perro, o viceversa, se calculó el coeficiente Kappa de concordancia, el cual fue de 0.18 para Ehrlichia spp. y de 0.04 para A. phagocytophilum. Sin embargo, se pudo constatar que en dos perros evaluados se obtuvieron resultados positivos a ambos patógenos, tanto en la muestra sanguínea como en el pool de garrapatas. El resultado hace suponer que el proceso de infección es iterativo y que la presencia de los patógenos en el perro o en la garrapata no implica necesariamente una transmisión.
Para confirmar el linaje de las garrapatas identificadas en el presente trabajo, fragmentos del gen mitocondrial 12S rRNA fueron amplificados y secuenciados, las secuencias obtenidas en la zona de muestreo (Ciudad Juárez, México) fueron comparadas con otras reportadas y descritas en GenBank procedentes de: Mexicali, BC (HM_012572.1), así como los reportados en otros países: Israel (KF_958359.1), Argentina (KU_498300.1), Brasil (EU_346675.1), Egipto (KU_255852.1), Estados Unidos; Atlanta (HM_014443.1) y Arizona (HM_138903.1). Los resultados de secuenciación mostraron por Basic Local Alignment Search Tool nucleotide (BLASTn) una similitud del 90% y 95% con las secuencias ya reportadas, al realizar el análisis taxonómico se pude apreciar que todas corresponden al mismo linaje dado que comparten el mismo clado (figura 2).

Nota. Tipificación genética de la garrapata Rh. sanguineus de Ciudad Juárez basadas en el gen mitocondrial rRNA 12S
Fuente: Elaboración propia.DISCUSIÓN
La técnica de PCR utilizada en el presente trabajo dio resultados favorables al identificar la presencia de Ehrlichia spp. y A. phagocytophilum en muestra sanguínea y en grupos de garrapatas colectadas de perros. Esta técnica ha sido validada en otros trabajos similares como es el caso de Romero et al. (2011), quienes identificaron la presencia de E. canis en muestras sanguíneas de 310 perros en Costa Rica; también con el trabajo de Castillo-Martínez et al. (2015), quienes detectaron Rickettsia spp. en una muestra de 270 ejemplares de Rh. sanguineus colectados de 72 perros domésticos en Coahuila, México; y con Almazán et al. (2016), quienes usaron en la región de la Comarca Lagunera en México para identificar A. platys y E. canis en muestra sanguínea y en grupos de cinco garrapatas en una población de 100 perros.
Estudios similares al presente reporte muestran porcentajes variados en cuanto a la prevalencia, como ejemplo los de Almazan et al. (2016) en México, los cuales reportaron 31% para Anaplasma y 10% para Ehrlichia; y el de Bezerra et al. (2016) realizado en Cuba, quienes reportaron un 16% para A. platys. En países del viejo mundo se citan los reportes de Cetinkaya et al. (2016) en Turquía, con prevalencia de 11.75% en E. canis y de un 4.0% para A. phagocytophilum y los de Maazi et al. (2014) en Irán con prevalencia para E. canis de un 22.50%. En el presente estudio, 7 (23%) de los perros evaluados fueron positivos a la presencia de ambos patógenos, fenómeno también descrito por Cetinkaya et al. (2016), quienes demostraron la coinfección en el 25.53% de perros con dos o tres de las especies de patógenos evaluadas (E. canis, A. phagocytophilum y A. platys). Las diferencias en prevalencia pueden explicarse por múltiples razones como serían variaciones eco climáticas o factores intrínsecos de los perros evaluados (raza, edad, nivel de infestación, entre otras) no obstante, a pesar de las variaciones porcentuales, se confirma la presencia de los patógenos en perros y el consecuente riesgo a la salud pública en la zona de estudio.
De manera coincidente con este estudio, en el trabajo descrito por Bezerra et al. (2016), quienes utilizaron una población de 100 perros, no se logró identificar estadísticamente factores de riesgo con las variables que ellos utilizaron como aspectos propios del animal (género, edad, raza, nivel de infestación), lugar de residencia (tipo de propiedad) y hábitat (peridoméstico, extra-domicilio) y, si bien Maazi et al. (2014) encontraron que la prevalencia de E. canis tendía a ser ligeramente mayor en perros machos con edades de entre uno y tres años, de raza pura y que habitaban en zonas rurales, no lo confirmaron de manera estadísticamente significativa aun considerando una muestra representativa de 240 perros.
Con la finalidad de comparar los resultados obtenidos en este trabajo con relación al porcentaje de infección en grupos de garrapatas que fue del 66% para Erlichia spp. y 13% para A. phagocytophilum se tiene el reporte de Bezerra et al. (2016) en Cuba de una prevalencia del 10.22% para A. platys; en Costa Rica, Campos-Calderón et al. (2016) describen un 26% de infecciones por E. canis y 1.30% por A. phagocytophilum; en Turquía, Cetinkaya et al. (2016) reportan un 21.25% de prevalencia para E. canis; en Egipto, Ghafar & Amer (2012) determinaron una tasa del 13.72% para A. phagocytophilum y en México Sosa-Gutiérrez et al. (2016) determinaron una infección del 12.82% de E. canis seguida de un 11% de A. phagocytophilum. Las diferencias tan notables pueden ser explicadas por el número de grupos de garrapatas, el número de ejemplares por pool, la especie de garrapata y las condiciones de los perros evaluados en cada estudio.
Con respecto al cálculo de la tasa de infección mínima en garrapatas, no existen muchos ejemplos en la literatura científica. Moncayo et al. (2010) muestran lo obtenido en 327 ejemplares de A. americanum agrupados en 30 conjuntos y evaluados por PCR para la detección de R. rickettsii con un MIR que varió de 35.09 hasta 153.85 con un valor general de 85.63 valor muy por debajo del estimado en el presente trabajo.
Los valores bajos de concordancia calculados mediante el coeficiente Kappa en el presente trabajo coinciden con los resultados obtenidos por Almazan et al. (2016), donde se obtuvieron valores de infección en garrapatas muy por debajo de los determinados en las muestras sanguíneas de los perros. De acuerdo a estos resultados, estos autores mencionan que el tener garrapatas negativas al patógeno en perros clínicamente sanos puede deberse a la densidad baja del microorganismo circulante en el hospedero.
Se sabe que no todas las especies de garrapatas son vectores de patógenos y que solo del 1% al 5% están infectadas por rickettsias (Demma et al., 2005), por lo que es importante realizar la determinación taxonómica precisa. Debido a la controversia que ha originado la identificación correcta del vector se ha sugerido utilizar el término de “complejo Rh. sanguineus” en lugar de Rh. sanguineussensu stricto (ss) (Sánchez et al., 2016), lo que tiene implicaciones en su importancia como vector de enfermedades rickesttsiales. Dolz et al. (2013) ponen en duda que Rh. sanguineus sea un vector competente para Anaplasma mientras que Moraes-Filho, Marcili, Nieri-Bastos, Richtzenhain & Labruna (2011) sugieren que la capacidad vectorial esté determinada por el linaje de la garrapata. Un estudio llevado a cabo por Moraes-Filho, Krawczak, Costa, Soares & Labruna (2015) demostró que el linaje denominado “tropical” del vector posee una mayor competencia por E. canis que aquellas subpoblaciones de linaje templado. Se sabe que ambos linajes se encuentran en México, pero no se conocen su distribución, sin embargo, en este estudio se demuestra que las garrapatas encontradas en Ciudad Juárez tienen una alta capacidad vectorial para la transmisión de Ehrlichia spp. y contrario a lo antes expuesto la Rh. sanguineus muestra alta similitud a las del linaje templado.
CONCLUSIONES
No fue posible determinar de manera estadísticamente significativa ningún factor de riesgo asociado a la infección en las muestras sanguíneas de perros provenientes de diferentes puntos de la ciudad y de entornos socioeconómicos diversos.
Se comprobó que Rh. sanguineus de la localidad de Ciudad Juárez es de un haplotipo similar al descrito en otras ciudades de linaje templado.
Los patógenos evaluados (Ehrlichia spp. y A. phagocytophilum) asociados a la garrapata (Rh. sanguineus) y muestras sanguíneas en perros están circulando con una prevalencia de moderada a alta, lo que pudiera ser motivo de un riesgo potencial a la salud pública en esta región transfronteriza.
Agradecimientos
Se agradece al MCSP. Juan José Martínez por las facilidades proporcionadas para la colecta y toma de las muestras, así mismo a la M en C. Alejandra Romero Bejarano por los análisis bioinformáticos realizados
REFERENCIAS
Almazán, C., González-Álvarez, V. H., de Mera, I. G., Cabezas-Cruz, A., Rodríguez-Martínez, R., & de la Fuente, J. (2016). Molecular identification and characterization of Anaplasma platys and Ehrlichia canis in dogs in Mexico. Ticks and Tick-borne Diseases, 7(2), 276-283.
Beati, L., & Keirans, J. E. (2001). Analysis of the systematic relationships among ticks of the genera Rhipicephalus and Boophilus (Acari: Ixodidae) based on mitochondrial 12S ribosomal DNA gene sequences and morphological characters. Journal of Parasitology, 87(1), 32-48.
Bezerra-da Silva, C., Azevedo-Santos H., González-Navarrete, M., Dias-Uzedo-Ribeiroa, C. C., Corona-Gonzalez, B., Fuentes-Zaldivar M., Sandes-Pires M., Peckle, M., Lins-da Costa, R., Lopes-Vivas-Vitaria, G., & Massard C. L. (2016). Molecular detection and characterization of Anaplasma platys in dogs and ticks in Cuba. Ticks and Tick-borne Diseases, 7(5), 938-944.
Burland, T. G. (2000) DNASTAR's Lasergene sequence analysis software. Methods Molecular Biology, 132, 71-91.
Campos-Calderón, L., Ábrego-Sánchez, L., Solórzano-Morales, A., Alberti, A., Tore, G., Zobba, R., Jiménez-Rocha, A. E., & Dolz, G. (2016). Molecular detection and identification of Rickettsiales pathogens in dog ticks from Costa Rica. Ticks and Tick-borne Diseases, 7(6), 1198-1202.
Castillo-Martínez, A., Cueto-Medina, S. M., Hernández-Rodríguez, S., Gallegos-Robles, M. A., Valdes-Perezgasga, M. T., Sánchez-Ramos, F. J., & Ortega-Morales, A. I. (2015). Detección de Rickettsia spp. en la garrapata café del perro Rhipicephalus sanguineus (Acari: Ixodidae) en Matamoros, Coahuila, México. Acta Zoológica Mexicana, 31(1), 80-83.
Çetinkaya, H., Matur, E., Akyazi, İ., Ekiz, E. E., Aydin, L., & Toparlak, M. (2016). Serological and molecular investigation of Ehrlichia spp. and Anaplasma spp. in ticks and blood of dogs, in the Thrace Region of Turkey. Ticks and Tick-borne Diseases, 7(5), 706-714.
Dantas-Torres, F., Figueredo, L. A., & Brandão-Filho, S. P. (2006). Rhipicephalus sanguineus (Acari: Ixodidae), the brown dog tick, parasitizing humans in Brazil. Revista da Sociedade Brasileira de Medicina Tropical Brasileira de Medicina Tropical, 39(1), 64-67.
De la Fuente, J., Kocan, K. M., Blouin, E. F., Zivkovic, Z., Naranjo, V., Almazán, C., Esteves, E., Jongejan, F., Daffre S., & Mangold, A. J. (2010). Functional genomics and evolution of tick-Anaplasma interactions and vaccine development. Veterinary Parasitology, 167(2-4), 175-186.
Demma, L. J., Holman, R. C., McQuiston, J. H., Krebs, J. W., & Swerdlow, D. L. (2005). Epidemiology of human ehrlichiosis and anaplasmosis in the United States, 2001-2002. The American Journal of Tropical Medicine and Hygiene, 73(2), 400-409.
Demma, L. J., Eremeeva, Nicholson, W. L., Traeger, M., Blau, D., Paddock, C., Levin, M., Dasch, G., Cheek, J., Swerdlow, D., & McQuiston, J. (2006). An outbreak of Rocky Mountain Spotted Fever associated with a novel tick vector, Rhipicephalus sanguineus, in Arizona, 2004: preliminary report. Ann N Y Acad Sci, 1078, 342-343.
Dolz, G., Ábrego, L., Romero, L. E., Campos-Calderón, L., Bouza, L., & Jiménez, A. E. (2013). Ehrlichiosis y anaplasmosis en Costa Rica. IV Congreso latinoamericano de enfermedades rickettsiales. Acta Médica Costarricense, 5(suppl. 1), 34-40.
Dumler, S. (2013). Ehrlichiosis y anaplasmosis humanas en América. Acta Médica Costarricense, 55(suppl. 1), 29-33.
Estrada-Peña, A., Bouattour, A., Camicas, J. L., & Walker, A. R., (2004). Ticks of Domestic Animals in the Mediterranean Region. A Guide to Identification of Species (1st Ed.) Spain: University of Zaragoza, Spain.
Ghafar, M. W., & Amer S. A. (2012). Prevalence and first molecular characterization of Anaplasma phagocytophilum, the agent of human granulocytic anaplasmosis, in Rhipicephalus sanguineus ticks attached to dogs from Egypt. Journal of Advanced Research, 3(2), 189-194.
Harrus, S., Waner, T., Aizenberg, I., Foley, J., Poland, A., & Bark, H. (1998). Amplification of Ehrlichial DNA from dogs 34 months after infection with Ehrlichia canis. Journal of Clinical Microbiology, 56(6), 73-76.
Inokuma, H., Raoult, D., & Brouqui, P. (2000). Detection of Ehrlichia platys DNA in brown dog ticks (Rhipicephalus sanguineus) in Okinawa Island, Japan. Journal of Clinical Microbiology, 38(11), 4219-4221.
Ismail, N., Bloch, K. C., & McBride, J. W. (2010). Human ehrlichiosis and anaplasmosis. Clinics in Laboratory Medicine, 30(1), 261-292.
Larkin, M. A., Blackshields, G., Brown, N. P., Chenna. R., McGettigan, P. A., McWilliam, H., Valentin, F., Wallace, I. M., Wilm, A., Lopez, R., Thompson, J. D., Gibson, T. J., & Higgins, D. G. (2007) Clustal W and Clustal X version 2.0. Bioinformatics, 23(21), 2947-2948.
Maazi, N., Malmasi, A., Shayan, P., Nassiri, S. M., Salehi, T. Z., & Fard, M. S. (2014). Molecular and serological detection of Ehrlichia canis in naturally exposed dogs in Iran: an analysis on associated risk factors. Revista Brasileira de Parasitologia Veterinária, 23(1), 16-22.
McCown, M., Monterroso, V., & Cardona, W. (2015). Monitoreo de Ehrlichia canis, Anaplasma phagocytophilum, Borrelia burgdorferi, y Dirofilaria immitis en perros de tres ciudades en Colombia. CES Medicina Veterinaria y Zootecnica, 10(2), 224-231.
Moncayo, A. C., Cohen, S. B., Fritzen, C. M., Huang, E., Yabsley, M. J., Freye, J. D., Dunlapt, B. G., Huang, J., Mead, D. G., Jones T. F., & Dunn, J. R. (2010). Absence of Rickettsia rickettsii and occurrence of other spotted fever group rickettsiae in ticks from Tennessee. The American Journal of Tropical Medicine and Hygiene, 83(3), 653-657.
Moraes-Filho, J., Krawczak, F. S., Costa, F. B., Soares, J. F., & Labruna, M. B. (2015) Comparative Evaluation of the Vector Competence of Four SouthAmerican Populations of the Rhipicephalus sanguineus Group for the Bacterium Ehrlichia canis, the Agent of Canine Monocytic Ehrlichiosis. PloS One, 10(9), e0139386.
Moraes-Filho, J., Marcili, A., Nieri-Bastos, F. A., Richtzenhain, L. J., & Labruna, M. B. (2011). Genetic analysis of ticks belonging to the Rhipicephalus sanguineus group in Latino América. Acta Tropical, 117(1), 51-55.
Nah, H., Rodriguez-Vivas, R. I., Bolio-Gonzalez, M. E., Villegas-Perez, S. L., & Reyes-Novelo, E. (2015). Molecular Diagnosis of Ehrlichia canis in dogs and ticks Rhipicephalus sanguineus (Acari: Ixodidae) in Yucatan, México. Journal of Medical Entomology, 52(1), 101-104.
Romero, L. E., Meneses, A. I., Salazar, L., Jiménez, M., Romero, J. J., Aguiar, D. M., Labruna, M. B., & Dolz, G. (2011). First isolation and molecular characterization of Ehrlichia canis in Costa Rica, Central America. Research in Veterinary Science, 91(1), 95-97.
Rubio, A., Salas, E., & Gómez, G. (2011). Presencia de anticuerpos contra Borrelia burgdorferi y Anaplasma spp. en canes de la ciudad de Lima. Revista de Investigaciones Veterinarias del Perú, 22(3), 233-238.
Sambrook, J., & Russell, D. (2001). Molecular Cloning: A Laboratory Manual (3a Ed.) New York: Cold Spring Harbor Laboratory Press.
Sanches, G. S., Évora, P. M., Mangold, A. J., Jittapalapong, S., Rodriguez-Mallon, A., Guzmán, P. E., Becharab G. H., & Camargo-Mathias, M. I. (2016). Molecular, biological, and morphometric comparisons between different geographical populations of Rhipicephalus sanguineus sensu lato (Acari: Ixodidae). Veterinary Parasitology, 215(15), 78-87.
Santos, H. A., Pires, M. S., Vilela, J. A., Santos, T. M., Faccini, J. L., Baldani, C. D., & Massard, C. L. (2011). Detection of Anaplasma phagocytophilum in Brazilian dogs by real-time polymerase chain reaction. Journal of Veterinary Diagnostic Investigation, 23(4), 770-774.
Silva, A., Canseco, S., Gabriel de la Torre, M., Silva, A., Mayoral, M., Perez-Campos, L., Lopez, J., & Perez-Campos, E. (2014). Infección humana asintomática por contacto con perros. Un caso de ehrlichiosis humana. Gaceta Médica de México, 150, 171-174.
Sosa-Gutierrez, C. G., Quintero Martinez, M. T., Gaxiola Camacho, S. M., Cota Guajardo, S., Esteve-Gassent, M. D., & Gordillo-Pérez, M. G. (2013). Frequency and clinical epidemiology of canine monocytic ehrlichiosis in dogs infested with ticks from Sinaloa, Mexico. Journal of Veterinary Medicine, 2013.
Sosa-Gutierrez, C. G., Vargas-Sandoval, M., Torres, J., & Gordillo-Pérez, G. (2016). Tick-borne rickettsial pathogens in questing ticks, removed from humans and animals in Mexico. Journal of Veterinary Science, 17(3), 353-360.
Información adicional
Cómo citar: Escárcega Ávila, A. M., Luna Flores, B. S., de la Mora Covarrubias, A., & Jiménez-Vega, F. (2018). Análisis exploratorio de enfermedades Rickettsiales transmitidas por garrapatas en perros de Ciudad Juárez, Chihuahua, México. Acta Universitaria, 28(3), 72-78. doi: 10.15174/au.2018.1678