Artículos de revisión
Evaluación anatómica de la articulación temporomandibular mediante resonancia magnética. Artículo de revisión
Anatomic evaluation of temporomandibular joint using magnetic resonance imaging. Review article
Evaluación anatómica de la articulación temporomandibular mediante resonancia magnética. Artículo de revisión
Revista Estomatológica Herediana, vol. 30, núm. 4, pp. 285-293, 2020
Universidad Peruana Cayetano Heredia

Recepción: 12 Agosto 2020
Aprobación: 18 Noviembre 2020
Resumen: Se desarrolló una revisión sistémica y sintética de la anatomía de la articulación temporomandibular en imágenes de resonancia magnética para su evaluación. La articulación temporomandibular es una estructura anatómica compuesta por huesos, músculos, ligamentos y un disco articular que permite realizar importantes movimientos fisiológicos, como es la apertura, cierre, protrusión, retrusión y lateralización mandibular. La resonancia magnética, es una técnica imagenológica que no utiliza radiación ionizante y que es más específica para la evaluación e interpretación de los tejidos blandos, debido a su alta resolución, por lo que tiene un rol importante en el diagnóstico de diversas patologías maxilofaciales, razón por la cual el odontólogo debe tener conocimiento de las estructuras y funciones de la articulación temporomandibular mediante imágenes de resonancia magnética. La revisión demuestra la importancia de la resonancia magnética en el estudio de la anatomía de la articulación temporomandibular, además de mencionar las ventajas que proporciona esta técnica imagenológica como su buen detalle de los tejidos blandos en sus diferentes secuencias y la no utilización de radiación ionizante para la obtención de sus imágenes.
Palabras clave: Articulación temporomandibular, resonancia magnética, anatomía.
Abstract: To develop a systemic and synthetic review of temporomandibular joint anatomy on magnetic resonance images for evaluation. Temporomandibular joint is an anatomical structure made up of bones, muscles, ligaments, and an articular disc that allows important physiological movements to be made, such as opening, closing, protrusion, retrusion, and mandibular lateralization. Magnetic resonance is an imaging technique that does not use ionizing radiation and is more specific for soft tissues evaluation and interpretation, due to its high resolution, which is why it has an important role in various maxillofacial pathologies diagnosis, reason by which dentist must have temporomandibular joint structures and functions knowledge by means of magnetic resonance images. The review demonstrates magnetic resonance imaging importance in the study of temporomandibular joint anatomy study, in addition to mentioning the advantages that this imaging technique provides, such as its good soft tissues detail in their different sequences and the non-use of radiation. ionizing to obtain your images.
Keywords: Temporomandibular joint, magnetic resonance imaging, anatomy.
INTRODUCCIÓN
La Articulación Temporomandibular (ATM) es una estructura anatómica compuesta principalmente por tejido óseo, muscular y ligamentoso que cumplen importantes movimientos como la apertura, cierre, protrusión, retrusión y lateralización de derecha a izquierda o viceversa de la mandíbula. Además, presenta tejido fibrocartilaginoso en forma de disco, que va a dividir a la articulación en dos compartimientos superior e inferior, protegiéndolo del roce y/o fricción de sus movimientos.
La importancia de la Resonancia Magnética (RM) en esta área anatómica es imprescindible a diferencia de otras técnicas imagenológicas como la Tomografía Computarizada (TC), Panorámica y Escanografía que son más específicas para la evaluación e interpretación de sus estructuras óseas, por ello dificulta la evaluación de los tejidos blandos, así como de las patologías que la afectan.
El siguiente estudio tiene como objetivo hacer una revisión de las principales publicaciones científicas que evalúan la anatomía de la ATM mediante imágenes de RM como examen auxiliar en la evaluación de sus tejidos blandos con la finalidad de conocer las estructuras normales y discernir e identificar cuando se presentan anomalías y patologías.
RESONANCIA MAGNÉTICA
La resonancia magnética es un examen auxiliar imagenológico que nos posibilita tener un mejor diagnóstico, pronóstico y compresión de las patologías que intervienen en la ATM, teniendo como principal característica la capacidad de obtener con mayor nitidez imágenes de tejido blando a diferencia de otros métodos imagenológicos. En este sentido, la RM puede contribuir de forma decisiva en la identificación de las características morfológicas de las diversas patologías de la ATM que afectan a todo tipo de paciente (1,2).
La RM se fundamenta en la absorción de energía por un núcleo magnéticamente activo, que debe tener dos características fundamentales: un número impar de protones y un espín; el núcleo más utilizado es el hidrógeno, por su presencia abundante en el cuerpo humano (3). En RM todas las imágenes obtenidas son producidas usando una secuencia de pulso las cuales son almacenadas en el scanner de la computadora. Las secuencias más utilizadas son T1 y T2 (tiempos de relajación). La secuencia en T1 se emplea para evaluar la anatomía normal, mientras que la secuencia en T2 permite detectar la presencia de alguna patología (4).
T1 o tiempo de magnetización longitudinal
Es el intervalo de tiempo en el cual la magnetización longitudinal recupera el 63% de su estado de equilibrio. La grasa presenta un T1 corto y es hiperintensa (brillante) en las imágenes de RM ponderadas en T1 (5).
T2 o tiempo de magnetización transversal
Es el intervalo de tiempo en el cual la magnetización transversal desciende en un 63% de su fuerza máxima. El agua pura y otros líquidos son hiperintensos (brillantes) mientras que la grasa se muestra hipointensa en las imágenes ponderadas en T2 (5).
ARTICULACIÓN TEMPOROMANDIBULAR
La ATM es una articulación de tipo diartrosica bicondilea, con movimientos en los tres ejes del espacio, solo siendo superada por la articulación de la cadera y el hombro; la cual está constituida por una cavidad sinovial, cartílago articular y una cápsula que cubre la misma articulación, adentro encontramos liquido sinovial y varios ligamentos, uniendo la cavidad ósea temporal con la cabeza del cóndilo mandibular (6,7).
Estructuras óseas
La superficie craneal está compuesta por la parte escamosa del hueso temporal que toma por nombre fosa glenoidea, que recibe al cóndilo mandibular. La parte anterior está conformada por la eminencia articular, siendo una prominencia ósea posterior del hueso cigomático y la parte inferior está compuesta por la cabeza del cóndilo mandibular, que a su vez está cubierta totalmente por la cápsula articular (8-10) (figura 1).
Estructuras fibrocartilaginosas avasculares
La cápsula articular está formado por fibras externas o temporomaxilares, y fibras internas como las temporomeniscales (las más importantes, ya que componen el freno meniscal posterior, así como la zona bilaminar) y las meniscomaxilares (7,11,12).
El disco articular es bicóncavo y se encuentra dentro de la cápsula articular entre el cóndilo mandibular y la fosa glenoidea, dividiendo la cavidad sinovial en dos compartimientos, superior e inferior. Su parte anterior entra en contacto con la capsula articular, eminencia articular, parte superior del músculo pterigoideo externo y el cóndilo, y su parte posterior se relaciona con el tejido retrodiscal, fosa glenoidea, hueso temporal y cóndilo. El disco está compuesto de tres segmentos: banda anterior, zona intermedia y banda posterior. Las bandas anterior y posterior tienen forma triangular y están conectadas por una delgada zona intermedia. La banda anterior está unida a la cápsula articular, la cabeza del cóndilo y el vientre superior del músculo pterigoideo externo, mientras que la banda posterior se une a la zona bilaminar o al tejido retrodiscal (7,13-16) (figura 1).
Estructuras ligamentosas
El ligamento temporomandibular es un ligamento intrínseco que se inserta en la superficie externa del tubérculo cigomático y cara posterior del cuello del cóndilo. Los ligamentos extrínsecos son el ligamento esfenomandibular que se origina desde la espina del esfenoides y se inserta en la pared medial de la capsula articular, pasa a través de la fisura petrotimpatica y continua su descenso hasta la língula de la mandíbula (esfenoides, oído medio y mandíbula) y el ligamento estilomandibular surge del proceso estiloides del hueso temporal hasta el ángulo mandibular (7,16-19) (figura 2).

Sinovial articular
Liquido de solución salina algo más viscosa que en las articulaciones del hombro y la cadera, producida por la mucosa sinovial que se encuentra dentro de la cápsula excepto en los revestimientos fibrocartilaginosos de la cavidad glenoidea, cóndilo mandibular ni del disco articular (20-22).

Músculo pterigoideo externo
También denominado musculo pterigoideo lateral, se compone de dos partes o vientres, el vientre superior y el vientre inferior. El par de vientres inferiores son los principales responsables de mover la mandíbula hacia adelante, abriendo así la boca y tirando de la mandíbula hacia un lado. El vientre inferior está predominantemente unido a la parte superior de la mandíbula inferior (cóndilo mandibular). Las fibras ventrales superiores pasan a través de la cápsula articular y se conectan con la parte frontal del disco articular. El vientre superior se encarga del movimiento adecuado del disco en coordinación con el movimiento de la mandíbula inferior, especialmente al cerrar la boca, justo lo opuesto al vientre inferior. Luego ejerce presión hacia adelante tanto en el cóndilo como en el disco, estabilizando su relación entre ellos y asegurando la última posición efectiva posible cuando las fuertes fuerzas de masticación mueven el cóndilo hacia atrás y hacia adelante (23-27) (figura 1).

Densidades imagenológicas en RM de las principales estructuras anatómicas de la ATM
Se presenta a continuación un diagrama donde se muestra la intensidad de señal de varios tejidos en T1 y T2 de la ATM, debemos notar que, la señal del tejido varía de acuerdo a la variedad proteica del contenido; los tejidos con alta concentración de proteína deben tener una señal alta en T1 y una señal baja en T2 (28-33). En T1W1 las imágenes hiperintensas son el líquido sinovial y tejido graso, las imágenes isointensas tenuemente hiperintensas son tejidos ligamentosos y fibrocartilaginosos como los ligamentos temporomandibular, esfenomandibular y estilomandibular y el disco y capsula articular. Por otro lado, las imágenes hipointensas son las estructuras óseas como el hueso temporal (fosa glenoidea), cóndilo mandibular y el cigomático (eminencia articular) y las imágenes isointensas tenuemente hipointensas son las estructuras musculares y vasculo nerviosas como la arteria maxilar interna y los nervios auriculotemporales, y el músculo pterigoideo externo. En T2W1 sucede básicamente lo mismo que en T1W1, pero en las imágenes hiperintensas además del líquido sinovial se puede apreciar efusión articular (evidenciado solo en patología articular, signo de contenido inflamatorio intracapsular) (figura 3).
Para un mejor entendimiento de la anatomía de la ATM mediante RM y la detección de posibles patologías que puedan afectar a esta región en especial, se necesita además de una experiencia importante, de puntos de referencia anatómicos y dependiendo del corte que se realice se podrá apreciar una estructura en mejor detalle y de forma específica. A continuación, se describe algunos de estos cortes.
En la figura 4 presentamos cortes sagitales a nivel de la parte media del disco articular con tres imágenes diferentes, a la derecha un esquema anatómico, al medio un esquema de espécimen, y a la izquierda la respectiva imagen de RM al mismo nivel de corte; en estas tres imágenes podemos observar estructuras anatómicas de relevancia como: el músculo temporal (TM), el cual se inserta en la apófisis coronoides (la cual se evidencia como un área hipointensa por ser muy inorgánica – corticalizada –), el vientre inferior del músculo pterigoideo externo (IPLM) él se inserta en la fosa pterigoidea (cuello del cóndilo mandibular), así como la eminencia articular (banda hipointensa en forma de media luna convexa hacia abajo), el cóndilo mandibular donde podemos evidenciar su cortical (banda hipointensa que la circunde), y dentro de la cortical sobre el espacio medular (región isodensa del cortical hipointensa). Por último, se evidencia la banda anterior (AB) y posterior (PB) del disco, configurando los extremos de la misma (figura 4)
En la figura 5 presentamos imágenes a un nivel de corte parasagital medial con respecto a las imágenes de la Figura 4, donde además de evidenciarse las estructuras anteriormente mencionadas en la figura anterior, también podemos evidenciar al vientre superior del músculo pterigoideo externo (SPLM), el cual se inserta en el borde anterior de la capsula y disco articular (figura 5).

A: RM en T1 corte parasagital (TM) Músculotemporal, (IPLM) Vientre inferior del músculo pterigoideo externo, (E) Eminencia articular, (Co) Cóndilo mandibular, (AB) Banda anterior, (PB) Bando posterior. Tomado de: Alomar et al., (15). B:Espécimen en parasagital. Tomado de: Alomar et al., (15). C: Ilustración en plano sagital. Modificado de: Gray’s Anatomy The Anatomical Basis of Clinical Practice., (14).

A: RM en T1 cortesagital (TM) Músculo temporal, (SPLM) Vientre superior del músculo pterigoideo externo, (IPLM)Vientre inferior del músculo pterigoideo externo, (E) Eminencia articular, (AB) Banda anterior, (PB) Banda posterior (Co) Cóndilo mandibular. Tomado de: Alomar et al., (15). B: Espécimen en parasagital. Tomado de: Alomar et al., (15). C: Ilustración en plano sagital. Modificado de: Moore Clinically Oriented Anatomy., (10).

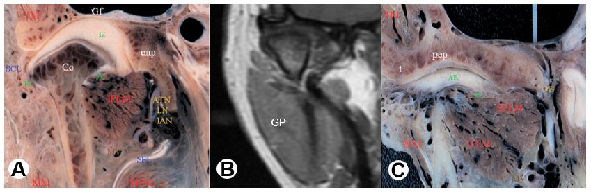
A: RM en T1 corte coronal (MT) Músculotemporal, (MM) Músculo masetero, (IPLM) Vientre inferior del músculo pterigoideo externo, (SFL) Ligamento esfenomandibular, (SCL) Ligamento colateral lateral, (Co) Cóndilo mandibular, (MPM) Músculo pterigoideointerno, [(IAN) Nervio dentario inferior, (LN) Nervio lingual, (ATN) Nervio auriculo temporal, en la RM nose evidencia los nervios solo señala el lugar donde estarían]. Tomado de: Alomar et al., (15). B: Espécimenen coronal. Tomado de: Alomar et al., (15). C: Ilustración en plano coronal. Modificado de: Moore Clinically Oriented Anatomy., (10).
En la figura 6 presentamos cortes coronales a nivel del eje medio - lateral del cóndilo mandibular donde podemos observar estructuras anatómicas de relevancia como: el músculo temporal (TM) evidenciándose por arriba y por fuera del tubérculo articular y hueso temporal respectivamente (banda hipointensa adyacente), la banda posterior del disco (PB), tenuemente isointensa debido a su contenido heterogéneo (contenido vascular y adiposo), también observamos al ligamento capsular interno y al ligamento esfenomandibular (SFL) (isointensos) (figura 6).
En la figura 7 presentamos tres imágenes en un corte paracoronales anterior a las imágenes de la figura 6 nivel de la parte biconvexa del disco, a los extremos esquemas tipo espécimen y en el medio una imagen en resonancia magnética, donde podemos observar estructuras anatómicas de relevancia como: la glándula parótida (GP), volumen isointenso por detrás y por fuera del borde posterior de la rama, vientre inferior del músculo pterigoideo externo (IPLM), evidenciado por medial del cuello del cóndilo, vientre superior del músculo pterigoideo externo (SPLM) y el disco articular proyectada medialmente (se evidencia isointenso a ligeramente hipointenso por su contenido fibroso) (figura 7).
En la figura 8 presentamos cortes axiales a nivel subcondilar donde podemos observar: el músculo temporal (TM), triangulo isointenso medial al área hipointensa (apófisis coronoides), el vientre inferior del pterigoideo externo (IPLM) insertándose a nivel del cuello del cóndilo, la vena maxilar interna y el ligamento esfenomandibular (SFL), más hipointensa que isointensa que la primera que la segunda respectivamente, ambos medial al IPLM (figura 8).
En la figura 9 presentamos imágenes a un nivel paraaxial inferior con respecto a la figura 8 donde se observa mejor: la inserción del músculo temporal (TM), músculo masetero (MM) (entre el hueso cigomático y la apófisis coronoides, músculo isointenso entre dos corticales hipointensas) y también se sigue evidenciando el vientre inferior del pterigoideo externo (IPLM). (figura 9).

A: Espécimen en coronal (TM) Músculo temporal, (MM) Músculo masetero, (IPLM) Vientre inferior del músculo pterigoideo externo, (SFL) Ligamento esfenomandibular, (SCL) Ligamento colateral lateral, (Co) Cóndilo mandibular, [(IAN) Nervio dentario inferior, (LN) Nervio lingual, (ATN) Nervio auriculo temporal, en la RM no se evidencia los nervios solo señala el lugar donde estarían], (MPM) Músculo pterigoideo interno. Tomado de: Alomar et al., (15).B: RM en corte coronal (GP) Glándula parótida. C: Espécimen en coronal (SPLM) Vientre superior del músculo pterigoideo externo. Tomado de: Alomar et al., (15).

A: RM en T1 corte axial (TM) Músculo temporal,(MM) Músculo masetero, (IPLM) Vientre inferior del músculo pterigoideo externo, (SFL) Ligamento esfenomandibular, (Co) Cóndilo mandibular, (MV) Vena maxilar. Tomado de: Alomar et al., (15). B:Espécimen en axial. Tomado de: Alomar et al., (15). C: Ilustración en plano axial. Modificado de: Testut Anatomía Topográfica., (23).

A: RM en T1 corte axial. B: Espécimenen axial (TM) Músculo temporal, (IPLM) Vientre inferior del músculo pterigoideo externo, (SPLM) Vientre superior del músculo pterigoideo externo, (Co) Cóndilo, (SCL) Ligamento colateral lateral. Tomado de:Alomar et al., (15). C: Ilustración en plano axial. Modificado de: Netter’s Correlative Imaging Neuroanatomy.,(25).
CONCLUSIONES
La articulación temporomandibular es una estructura anatómica compleja, que comprende un rol importante en la fisiología del ser humano. Por ello este artículo de revisión muestra la importancia que tiene el conocer adecuadamente su anatomía y la de sus estructuras adyacentes para su posterior análisis y compresión en las imágenes por resonancia magnética.
La resonancia magnética es una técnica ideal para el estudio de la articulación temporomandibular, ya que nos permite estudiar sus estructuras óseas y blandas con la posición y morfología del disco articular, siendo esta última estructura la que más alteraciones presenta, teniendo como la más común el desplazamiento anterior sin recaptura.
La clave para una interpretación correcta de las imágenes por resonancia magnética de la articulación temporomandibular se basa en un conocimiento profundo de su anatomía y la comprensión desde su aspecto fisiológico además de la adecuada interpretación de su estructura, esto suma al desafío que tiene ahora para los especialistas dedicados a esta área, debido a que tendrán que ahondar más en la forma de como afianzar estos conceptos de ciencias básicas muy necesarios para el adecuado manejo cuando se nos presentan las patologías.
REFERENCIAS BIBLIOGRÁFICAS
1. López J, Chimenos E, Blanco A, Reselló X, Jané E. Diagnóstico por la imagen de los trastornos de la articulación craneomandibular. Av. Odontoestomatol. 2005; 21-2: 71-88
2. Bender M, Lipin R, Goudy S. Development of the Pediatric Temporomandibular Joint. Oral Maxillofac Surg Clin North Am. 2018; 30(1):19
3. N. Godoy y M. Montoya. Escuela de Ingeniería de Antioquia - Instituto de ciencias de la salud, Resonancia magnética nuclear y resonancia magnética funcional. 2009
4. Chavhan G, Babyn P, Thomas B, Shroff M, Haacke E. Principles, techniques, and applications of T2*-based MR imaging and its special applications. Radiographics 2009; 29(5):1433-49
5. Han MC, Kim CW. Cortes anatómicos correlacionados con TC y RM. Tercera edición. Madrid, España: Editorial Marban. 1998
6. Bitar R, Leung G, Perng R, et al. MR pulse sequences: What every radiologist wants to know but is afraid to ask. Radiographics. 2006; 26(2):513-37
7. Bordoni B, Varacallo M. Anatomy, Head and Neck, Temporomandibular Joint. StatPearls. 2020
8. Neumann DA. Kinesiology of the musculoskeletal system-foundations for physical rehabilitation. St Louis: Mosby; 2002
9. Rao M, Bacelar T. MR imaging of the temporomandibular joint. Neuroimaging Clin N Am. 2004; 14(4):761-75
10. Moore K, Dalley A, Agur HA. Clinically Oriented Anatomy. Philadelphia: Wolters Kluwer; 2018
11. Schellhas KP, Wilkes CH, Fritts HM, et al. Temporomandibular joint: MR imaging of internal derangements and postoperative changes. AJR Am J Roentgenol 1988; 150(2):381–9
12. Aiken A, Bouloux G, Hudgins P. MR imaging of the Temporomandibular Joint. Magn Reson Imaging Clin N Am. 2012; 397–412
13. Yang Z, Wang M, Ma Y, et al. Magnetic Resonance Imaging (MRI) Evaluation for Anterior Disc Displacement of the Temporomandibular Joint. Med Sci Monit. 2017; 23:712-718
14. Standring S. Gray's Anatomy The Anatomical Basis of Clinical Practice. 39va edición. Elsevier Churchill Livingstone: 2005
15. Alomar X, Medrano J, Cabratosa J, Clavero J, Lorente M, Serra I, Monill J, Salvador A. Anatomy of the temporomandibular joint. Semin Ultrasound CT MR. 2007; 28(3):170-83.
16. Sommer O, Aigner F, Rudisch A, et al.. Cross-sectional and functional imaging of the temporomandibular joint: radiology, pathology, and basic biomechanics of the jaw. Radiographics. 2003; 23:14
17. Drake R, Wayne-Vogl A, Mitchell A. Gray's anatomy for students. Londres: Churchill Livingstone; 2009
18. Bravetti P, Membre H, El Haddioui A, Gérard H, Fyard P, Mahler P, Gaudy F. Histological study of the human temporomandibular joint and its surrounding muscles. Surg Radiol Anat. 2004; 26(5):3718
19. Mérida R, de la Cuadra C, Pozo J, Mérida J. Histological study of the extratympanic portion of the discomallear ligament in adult humans: a functional hypothesis. J Anat. 2012; 220(1):8691
20. Leonardi R, Perrotta RE, Almeida LE, Loreto C, Musumeci G. Lubricin in synovial fluid of mild and severe temporomandibular joint internal derangements. Med Oral Patol Oral Cir Bucal. 2016;21(6):e793-e799
21. Bouloux GF. Temporomandibular Joint Pain and Synovial Fluid Analysis: A Review of the literatura. Journal of Oral and Maxillofacial Surgery. 2009;67(11):2497-2504
22. Okeson JP, de Leeuw R. Differential diagnosis of temporomandibular disorders and other orofacial pain disorders. Dent Clin North Am. 2011;55(1):105-20
23. Testut L, Jacob O. Anatomia Topografica. Buenos Aires: Salvat Editores; 1979
24. Scrivani S, Keith D, Kaban L. Temporomandibular disorders. N Engl J Med. 2008; 359:2693-705
25. Lee T, Mukundan S. Netter's Correlative Imaging Neuroanatomy. Philadelphia: Elsevier Saunders: 2014
26. Cuccia M, Caradonna C, Caradonna D, Anastasi G, Milardi D, Favaloro A, De Pietro A, Angileri M, Caradonna L, Cutroneo G. The arterial blood supply of the temporomandibular joint: an anatomical study and clinical implications. Imaging Sci Dent. 2013; 43(1):3744
27. Bedran L, Santos A. Changes in temporomandibular joint anatomy, changes in condylar translation, and their relationship with disc displacement: magnetic resonance imaging study. Radiol Bras. 2019; 52(2):85–91
28. Bag A, Gaddikeri S, Singhal A, et al.. Imaging of the temporomandibular joint: An update. World J Radiol. 2014; 6(8): 567-582
29. Bitar R, Leung G, Perng R, et al. MR pulse sequences: What every radiologist wants to know but is afraid to ask. Radiographics. 2006; 26(2):513-37
30. Kellenberger C, Junhasavasdikul T, Tolend M, Doria A. Temporomandibular joint atlas for detection and grading of juvenile idiopathic arthritis involvement by magnetic resonance imaging. Pediatr Radiol. 2018; 48:411-426
31. Tomas X, Pomes J, Berenguer J, et al. MR Imaging of Temporomandibular Joint Dysfunction: A Pictorial Review. RadioGraphics. 2006; 26:765-781
32. Suenaga S, Nagayama K, Nagasawa T, Indo H, Majima H. The usefulness of diagnostic imaging for the assessment of pain symptoms in temporomandibular disorders. Japanese Dental Science Review. 2016; 52: 93-106
33. Sano T, Yajima A, Otonari-Yamamoto M, Wakoh M, Katakura A. Interpretation of images and discrepancy between osteoarthritic findings and symptomatology in temporomandibular Joint. Japanese Dental Science Review. 2008; 44: 83-89
Notas de autor
Sandro Lévano Loayza. Correo electrónico: sandro.levano.l@gmail.com
Enlace alternativo
https://revistas.upch.edu.pe/index.php/REH/article/view/3882/4402 (pdf)