Reportes de caso
Lesión central de células gigantes de tipo agresivo. Manejo con interferon ALFA 2ª perfilado. Reporte de un caso
Aggressive type giant cells central tumor. Treated with interferon alpha 2ª profiled. Report of a case
Lesión central de células gigantes de tipo agresivo. Manejo con interferon ALFA 2ª perfilado. Reporte de un caso
Revista Estomatológica Herediana, vol. 31, núm. 3, pp. 216-220, 2021
Universidad Peruana Cayetano Heredia

Recepción: 01 Junio 2020
Aprobación: 02 Julio 2021
Resumen: La lesión central de células gigantes es una proliferación tumoral maxilar de tipo osteolítico, benigna y localizada, pero a veces muy agresiva. La mayoría de los casos son asintomáticos, sin embargo, algunos pueden presentar parestesia, dolor, sangrado, pérdida de órganos dentarios y en ocasiones obstrucción nasal. Las variantes agresivas o malignas pueden crecer con mayor rapidez y causar dolor o parestesia. Presentamos un paciente femenino de 8 años de edad con una lesión central de células gigantes de comportamiento agresivo. Se realiza una terapia antiangiogénica con interferón alfa 2ª, tras la intervención quirúrgica, obteniendo resultados satisfactorios. Esta terapia nos permite evitar cirugías radicales que podrían producir un mal pronóstico funcional y estético.
Palabras clave: Lesión central de células gigantes, terapia antiangiogénica, interferón alfa 2ª.
Abstract: The central giant cell lesion is a benign, localized, but sometimes very aggressive, osteolytic-type maxillary tumor proliferation. Most of the cases are asymptomatic, however, some may present paresthesia, pain, bleeding, loss of dental organs and sometimes nasal obstruction. Aggressive or malignant variants can grow faster and cause pain or paresthesia. We present an 8-year-old female patient with an aggressive central giant cell lesion. Antiangiogenic therapy with interferon alpha 2 was performed after surgery, obtaining satisfactory results. This therapy allows us to avoid radical surgeries that could produce a poor functional and aesthetic prognosis.
Keywords: Central giant cells lesion, antiangiogenic therapy, interferon alpha 2a.
INTRODUCCIÓN
La lesión central de células gigantes es una proliferación de tipo osteolítico, benigna y localizada, pero a veces agresiva. La mayoría de los casos son asintomáticos y las variantes agresivas o malignas pueden crecer con mayor rapidez y causar dolor o parestesia. Radiográficamente se muestran como lesiones radiolúcidas, expansivas, multiloculares, raramente mixtas, sin bordes definidos (1). Es más común en pacientes por debajo de los 30 años con una incidencia de 1.1/millón/año. Las mujeres se afectan más, con una razón de 1.5-2:1. Es más común el área molar y premolar mandibular (2).
Debido a que el tumor pardo del hiperparatiroidismo es morfológicamente indistinguible de la lesión central de células gigantes, es importante determinar siempre los niveles de la paratohormona, de calcio, de fosforo y de vitamina D.
El tumor central de células gigantes, representa alrededor del 5% de todos los tumores óseos primarios, y varía de tumores inactivos a tumores agresivos con extensión local, que destruyen la corteza y afectan las partes blandas circundantes (4).
Las lesiones centrales de células gigantes agresivas son mayores de 5 cm, recurrentes o cumplen tres de los siguientes cinco criterios: crecimiento rápido, resorción radicular, desplazamiento dental, adelgazamiento del hueso cortical y / o perforación. Se clasifican según el sistema de clasificación de Enneking (3), por comportamiento clínico y radiográfico. Etapa 1 (latente), se refiere a lesiones estáticas o que sanan espontáneamente. Etapa 2, tumores activos que presentan crecimiento progresivo, pero limitados por barreras naturales (corticales). Etapa 3, lesiones localmente agresivas, con destrucción de barreras naturales (3). También son agresivas, aquellas con características clínicas de tamaño mayor a 5 cm, crecimiento rápido o recurrencia después del legrado. Las tasas de recurrencia son altas, llegando hasta el 70% después de la enucleación o legrado. En caso de recidiva la cirugía más extensiva es válida (6,7).
El interferón puede estimular osteoblastos y preosteoblastos, mejorando la formación de hueso. Los efectos nos están completamente fundamentados, sin embargo, la explicación convencional requiere la presencia de periostio y mantenimiento de la brecha ósea, para que ocurra la regeneración. Esta terapia antiangiogénica en combinación con el legrado, es una estrategia prometedora, que da como resultado una alta tasa de control tumoral, y una disminución de la morbilidad operatoria, en comparación con el tratamiento convencional (8).
En este trabajo presentamos un caso clínico tratado de este modo, que ha mostrado una excelente respuesta, sin necesidad de recurrir a cirugías agresivas, que involucren la estética y función facial.
PRESENTACION DE CASO
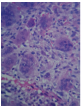
Paciente femenina de 8 años de edad, recibida en el mes de octubre de 2016, asintomática, sin antecedentes patológicos, alérgicos y quirúrgicos. Intraoralmente, presenta una masa tumoral de aproximadamente 6 x 6 cm a expensas de maxilar, que desplaza el primer molar y los molares temporales superiores izquierdos, no álgica a la manipulación (figura 1). En TAC contrastada se observa una lesión mixta de características osteolíticas, que involucra el seno maxilar, el reborde infraorbitario izquierdo y las celdillas etmoidales anteriores (figura 2, figura 3 y figura 4). Se realiza una biopsia incisional, obteniendo un diagnóstico de lesión central de células gigantes (figura 5). Se solicita estudio de niveles séricos de paratohormona y calcitonina, obteniéndose valores de laboratorios normales. Se inicia terapia esclerosante con triamcinolona, con aplicaciones semanales de 5ml de triamcinolona de 10mg con lidocaína 2% con epinefrina 1:100 000 UI (7). En enero de 2017, se presenta con dolor espontaneo e incremento exponencial de la lesión, causando deformidad hemifacial izquierda, obstruyendo en un 50 % la luz de la cavidad oral. Se interviene para escisión de lesión tumoral y curetaje, retirándose al 90% y se realiza además derivación de conducto parotídeo izquierdo. En marzo de 2017, acude a control con aumento de volumen intraoral nuevamente. Se informa a sus familiares sobre la existencia de otra terapéutica sustentada por diferentes publicaciones, para estas lesiones que no responden a los tratamientos con esteroides y a los quirúrgicos. Tras su aceptación se programa terapia antiangiogénica con interferón alfa 2ª vía subcutánea de 3 a 6 millones de UI semanales por 4 a 8 meses, iniciándolo a las 48h tras la cirugía (5). En abril, es reintervenida, sin complicaciones, para escisión quirúrgica de lesión central de células gigantes recidivante agresiva, y se inicia terapia con interferón alfa 2ª para reducción y esclerosis de tumor. Se solicita interconsulta a Servicio de Psicología a fin de mes, por datos de depresión. Se enfatiza esta relación con el medicamento, así como malestar general, astenia, somnolencia y afectación del estado general. El Servicio de Psicología diagnostica un estado depresivo leve, que no se considera indicativo para detener tratamiento con interferón alfa 2ª. En junio de 2017, se corrobora la esclerosis de la lesión a través de exploración con TAC de macizo facial, simple y contrastada. La paciente se encuentra sin datos de actividad tumoral, estado físico y psicológico en buenas condiciones, transcurridos 36 meses al día de hoy (figura 6 y figura 7).







DISCUSIÓN
En los estadios iniciales de esta patología observamos un patrón agresivo, por lo que se manejó realizando una terapia coadyuvante con triamcinolona, con la finalidad de disminuir su tamaño. Sin embargo, solo se obtuvo una evolución tórpida, con un crecimiento rápido y agresivo involucrando estructuras de vital importancia, como la vía aérea o de difícil acceso como las celdillas etmoidales y los senos esfenoidales, donde un abordaje para curetaje quirúrgico del 100% de la lesión sería imposible. Por ello, posteriormente se optó por la terapia antiangiogénica con interferón alfa 2ª, obteniendo unos resultados satisfactorios.
A partir de 1980, se demostró que el interferón alfa-2ª inhibía la angiogénesis. En 1989, se informó sobre su uso en hemangiomas potencialmente mortales y en otros tumores vasculares de varios órganos, para tratar pacientes con lesiones de células gigantes metastásicas o localmente avanzados e irresecables, de huesos largos y recurrentes después de una cirugía previa o de radioterapia (5). Debido a su acción antiangiogénica y de promover la diferenciación de células mesénquimales en osteoblastos, mejora la formación ósea (9). Así mismo, previene con éxito la recurrencia de lesiones de células gigantes agresivos, haciendo posible reemplazar las disecciones radicales en bloque por enucleación simple. También puede reducir la necesidad de radiación ionizante en lesiones recurrentes, e incluso disminuir o evitar complicaciones desfigurantes en niños. El primer uso del interferón para inhibir la angiogénesis en un ser humano, debe comenzar con una dosis muy baja, 3 millones de U/m2, seguida de una lenta escalada de la dosis si es necesario. Su actividad es óptima a bajas dosis, pero disminuye a dosis más altas, además produce menos efectos secundarios con dosis bajas (10).
Se ha reportado inducción intermitente de complicaciones autoinmunes con el uso de interferón alfa, el desarrollo de lupus eritematoso y de pancreatitis, situación que no se ha informado en el ámbito maxilofacial (11). Por ello, es necesario un total control y manejo del paciente en conjunto con los Servicios como Hematología y Oncología.
Como conclusión podemos señalar que la evolución tórpida de este caso de lesión central de células gigantes, sumado al pobre acceso quirúrgico para la eliminación total de la lesión, hizo necesaria la aplicación de un tratamiento combinado con interferón, con el objetivo de no acudir a cirugías radicales, que podrían producir un resultado funcional y estético deplorable para la paciente.
REFERENCIAS BIBLIOGRAFICAS
1. El-Naggar AK, Chan JK, Grandis JR, Takata T, Slootweg PJ. WHO Classification of Head and Neck Tumours. 4th Edition. Lyon: International Agency for Research on Cancer; 2017.
2. Sapp JP, Eversole LR, Wisocky GP. Patología oral y maxilofacial contemporánea. Madrid, España: Ediciones Harcourt España SA; 1998.
3. Peacock ZS, Schwab JH, Faquin WC, et al. Genetic Analysis of Giant Cell Lesions of the Maxillofacial and Axial/Appendicular Skeletons. Journal of Oral and Maxillofacial Surgery. 2017; 75(2): 298–308.
4. Obada H, Moiz A, Mohammad M, Arif A, Masood U. Treatment and recurrence of giant cell tumors of bone– A retrospective cohort from a developing country. Annals of Medicine and Surgery. 2019; 48: 29-34.
5. Kaban LB, Troulis MJ, Wilkinson MJ, Ebb D, Dodson T B. Adjuvant antiangiogenic therapy for giant cell tumors of the jaws. Journal of Oral and Maxillofacial Surgery. 2007; 65(10): 2018–2024.
6. Rawashdeh MA, Bataineh AB, Al-Khateeb T. Long- term clinical and radiological outcomes of surgical management of central giant cell granuloma of the maxilla. International Journal of Oral and Maxillofacial Surgery. 2006; 35(1): 60–66.
7. El Hadidi YN, Ghanem AA, Helmy I. Injection of steroids intralesional in central giant cell granuloma cases (giant cell tumor): Is it free of systemic complications or not? A case report. International Journal of Surgery Case Reports. 2015; 8: 166–170.
8. kaban lb, troulis mj, ebb d, august m, hornicek fj, dodson tb. antiangiogenic therapy with interferon alpha for giant cell lesions of the jaws. American Association of Oral and Maxillofacial Surgeons J Oral Maxillofac Surg. 2002; 60:1103-1111.
9. Tarsitano A, Del Corso G, Pizzigallo A, Marchetti C. Aggressive Central Giant Cell Granuloma of the Mandible Treated with Conservative Surgical Enucleation and Interferon–α-2a: Complete Remission with Long-Term Follow-Up. Journal of Oral and Maxillofacial Surgery. 2015; 73(11): 2149–2154.
10. Folkman J. Discussion: Antiangiogenic Therapy with interferon alpha for giant cell lesions of the jaws. Journal of Oral and Maxillofacial Surgery. 2002; 60(10): 1111–1113.
11. Goldman K.E, Marshall M.K, Alessandrini E, Bernstein M. L. Complications of alpha-interferon therapy for aggressive central giant cell lesion of the maxilla. Oral Surgery, Oral Medicine, Oral Pathology, Oral Radiology, and Endodontology. 2005; 100(3): 285–291.
Notas de autor
Correspondencia: Carlos Alberto Gómez Rivas. Hospital General de Zona No. 1 de Aguascalientes IMSS. Avenida José María Chávez 1202. Lindavista. CP 20270. Aguascalientes. Aguascalientes, México. Teléfono: 449 913 9050. Correo electrónico: cmf.carlosgomezrivas@gmail.com
Declaración de intereses
Información adicional
Financiamiento: Ninguno.
Contribuciones de los autores: todos los autores contribuyeron a este manuscrito.
Enlace alternativo
https://revistas.upch.edu.pe/index.php/REH/article/view/4052/4605 (pdf)