Resumen: La restauración de grandes preparaciones cavitarias clases II MOD es un escenario clínico de alta complejidad. Elegir correctamente una resina compuesta y planificar la secuencia de estratificación permitirá mejorar la adaptación de las masas de resina y controlar el estrés de contracción de polimerización. En el siguiente reporte de caso clínico, se expone el protocolo paso a paso para el uso combinado de una resina compuesta para estratificación de esmalte de alto índice de refracción para la restauración de los rebordes marginales perdidos y la superficie oclusal, junto a una resina compuesta bulk-fill de baja viscosidad para la reconstrucción dentinaria en un diente posterior con gran destrucción coronaria.
Palabras clave: Resina compuesta, restauración dental, resina compuesta bulk-fill.
Abstract: The restoration of large class II MOD cavity preparations is a highly complex clinical scenario. Selecting correctly a composite resin and planning the stratification sequence will improve the adaptation of the composite resin masses and will control the polymerization shrinkage stress. In the following clinical case report, the step- by-step protocol of the combined use of an high-refractive-index enamel-like composite resin is shown for the restoration of lost marginal ridges and the occlusal surface, together with a low viscosity Bulk-Fill composite resin for dentine reconstruction in a highly damaged posterior tooth.
Keywords: Composite resins, dental restoration, bulk-fill resin composite.
Reportes de caso
Restauración clase II MOD mediante uso de resina bulk-fill fluida y resina de estratificación natural: combinando fortalezas en una preparación extensa
Class II MOD restoration using bulk-fill flowable and natural layering resin composites: combining strengths in an extensive preparation

Recepción: 01 Junio 2020
Aprobación: 15 Noviembre 2021
La odontología restauradora actual se sustenta en un nuevo paradigma consolidado por la evolución de los materiales adhesivos; hoy en día, el desarrollo de nuevos monómeros y fotoiniciadores, así como de unidades de fotopolimerización capaces de generar luz de mayor densidad de potencia, ha permitido la aparición de un nuevo grupo de materiales restauradores resinosos para dientes posteriores, con una capacidad de ser incorporada en espesores de 4 a 5 mm.; este nuevo tipo de materiales se conoce como resinas compuestas bulk-fill (1).
Existen diversos tipos de resinas compuestas Bulk-Fill, las que pueden ser identificadas según su viscosidad en: a) resina compuesta bulk-fill de baja viscosidad (fluidas), b) resina compuesta bulk-fill de alta viscosidad (también llamadas convencionales), c) resina compuesta bulk-fill de viscosidad modificada por activación sónica y d) resina compuesta bulk-fill de media viscosidad de polimerización dual.
La primera resina compuesta bulk-fill disponible para el uso clínico fue Surefil SDR® (Dentsply, Germany), de consistencia fluida e indicada principalmente como base cavitaria. En términos generales, las resinas compuestas bulk-fill fluidas tienen mejores propiedades mecánicas que las resinas compuestas fluidas convencionales, pero menores que aquellas convencionales de restauración (2). No pueden ser utilizadas como la última capa en una restauración en contacto oclusal, debido a sus bajas propiedades mecánicas, ni menos en puntos de contacto proximal, es por esto que se recomienda ser cubiertas por resinas compuestas convencionales o en su defecto, por resinas compuestas bulk-fill de alta viscosidad (3).
Las resinas compuestas bulk-fill de alta viscosidad o convencionales, están indicadas como material restaurador. Éstas pueden entrar en contacto oclusal y proximal, ya que tienen propiedades mecánicas aceptables que permiten funcionar adecuadamente en esta situación, mecánicamente son inferiores a las resinas compuestas convencionales y superiores a las resinas compuestas bulk-fill de baja viscosidad; pueden ser utilizadas como único material, o en combinación con resinas compuestas bulk-fill fluidas o resinas compuestas convencionales (4,5).
Otro tipo de resinas compuestas bulk-fill que son utilizadas como material restaurador es SonicFillTM (Kerr, USA). Corresponde a una resina de alta densidad, la que bajo activación sónica reduce significativamente su viscosidad, permitiendo mayor escurrimiento y adaptación a través de las paredes cavitarias. Una vez terminada la activación sónica, esta resina tiene la capacidad de volver a su viscosidad inicial. La evidencia a corto plazo ha mostrado éxito clínico similar de este tipo de resina sónicamente activada en comparación a restauraciones posteriores con técnica incremental (6,7).
Finalmente, un último grupo de resinas compuestas bulk-fill corresponde a aquellas de media viscosidad de polimerización dual. Son indicadas principalmente como reconstructores dentinarios y como material restaurador directo (8). Algunos productos reportan profundidad de curado de hasta 10 mm con grado de conversión aceptable, lo que se debe principalmente a la presencia de monómeros de activación química (9).
Ante los diferentes tipos de resinas compuestas bulk-fill presentes en el comercio para el uso en dientes posteriores, y ante la diversidad de escenarios clínicos posibles en la práctica profesional diaria, es posible que el clínico presente dificultades a la hora de decidir si utilizarlas de manera única, en combinación entre ellas o en combinación con resinas compuestas convencionales. Es por lo anterior, que el objetivo del siguiente reporte de caso clínico, es mostrar un protocolo paso a paso de la restauración de un diente posterior con una preparación cavitaria mesio ocluso distal, utilizando resinas compuestas convencionales para esmalte de alto índice de refracción y resinas compuestas bulk-fill de baja viscosidad como sustituto dentinario.
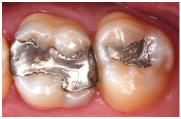
Se presenta a la clínica privada de uno de los autores un paciente de género masculino de 35 años de edad que presenta una amalgama mesio-ocluso-distal en el diente 26 con claros signos de microfiltración, creep, corrosión y pérdida de morfología oclusal en estado “Charlie” de acuerdo a los criterios clínicos de Ryge/USPHS modificados del Servicio de Salud Pública de los Estados Unidos (figura 1).
Luego de un exhaustivo examen clínico, se decide realizar el cambio de la restauración. Una vez finalizada la remoción de la restauración defectuosa se midió la profundidad de la preparación biológica, siendo ésta de 4 mm.

Situación inicial en que se observa una restauración MOD de amalgama en diente 26 con claros signos de creep y desajuste marginal.
Bajo aislamiento absoluto con goma dique, utilizando un sistema de banda matriz metálica pre- contorneada sujetas con cuñas de madera y anillos metálicos de sección circular (Quickmat DELUXE, Polydentia, Switzerland), se procedió a realizar protección pulpo-dentinaria con ionómero de vidrio modificado por resina (Riva light cure HV, SDI, Australia) solamente en la caja distal en la cual se observaba mayor profundidad y cercanía al complejo pulpar.
A continuación, se procedió a realizar la técnica adhesiva. Para este caso en particular, se optó por utilizar un adhesivo de autograbado de 2 pasos (Clearfill SE BOND, Kuraray, Japan). Previamente se grabó la superficie del esmalte con ácido fosfórico al 35% por 15 segundos (Ultra-Etch, Ultradent Products Inc., USA), se lavó la superficie con agua por el mismo tiempo de aplicación del ácido, se secó suavemente procurando mantener la dentina húmeda y el esmalte seco. Una fina capa de primer autograbante se aplicó suavemente en la superficie del esmalte y en la dentina frotando la superficie por 20 segundos, luego, se aplicó aire para eliminar los solventes contenidos en el primer. Seguidamente se colocó una capa de bonding o adhesivo aplicándolo sobre la superficie del esmalte y la dentina sin frotar, para posteriormente polimerizar por 20 segundos.
Una vez asegurada la técnica adhesiva, una capa de aproximadamente 1 mm de espesor de resina compuesta bulk-fill de baja viscosidad (Surefil SDR flow, Dentsply, Germany) fue aplicada con el fin de homogeneizar el piso cavitario y así, optimizar la adaptación de las masas de resina siguientes (figura 2). La restauración de los rebordes marginales fue realizada con una resina compuesta para esmalte de alto índice de refracción (UE1, ENA Hri, Micerium SPA, Italy) en un solo incremento, de un espesor no superior a 1 mm para el reborde mesial y distal (figura 3); cada incremento fue polimerizado por un tiempo de 20 segundos (Bluephase, Ivoclar Vivadent, Liechtenstein).
El cuerpo dentinario fue restaurado utilizando nuevamente una resina compuesta bulk-fill fluida (Surefil SDR flow, Dentsply, Germany), esta vez, en un solo incremento cubriendo completamente la dentina y dejando un espacio de aproximadamente 1-1,2 mm para el esmalte (figura 4). La polimerización se realizó por 20 segundos (BluePhase N, Ivoclar Vivandent, Schaan, Liechtenstein).

Una vez asegurada la técnica adhesiva y considerando la irregularidad del piso pulpar, se procede a la regularización del piso cavitario utilizando una resina Bulk-fill fluida o de baja densidad (Surefil SDR, Dentsply), evitando que ésta cubra la zona del contacto proximal.

Imagen que muestra los rebordes marginales restaurados en un solo incremento con resina compuesta de alto índice de refracción para estratificación natura (ENA Hri, Micerium SPA)
Para restaurar el esmalte, se siguió secuencialmente la estratificación por cúspides una por una, polimerizando cada incremento de manera individual. En este caso, se utilizó la misma resina compuesta para esmalte que en proximal (UE1, ENA Hri, Micerium SPA, Italy) (Figura 5). Una vez terminada la anatomía, se usaron tintes (Brown 2, ENA Stains, Micerium SPA) para dar sensación de naturalidad y profundidad de los surcos de la restauración. Al terminar la incorporación de las masas de resina compuesta y los tintes, una polimerización final de 60 segundos a 1200 mw/cm2 (BluePhase N, Ivoclar Vivandent, Schaan, Liechtenstein) es aplicada por un tiempo de al menos 40 segundos a través de una capa de glicerina, para asegurar la polimerización completa de la restauración y eliminar la capa de inhibición por oxígeno.

Ya reconstruidos los rebordes proximales, la preparación se confina a una caja que se considera una preparación cavitaria clase I, la que se rellenó con resina Bulk-fill de baja densidad dejando el espacio suficiente para la restauración del esmalte.
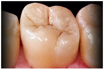
La técnica de pulido fue realizada utilizando pastas de pulido de 3 pasos (ENA Shiny, Micerium SPA, Italy) usando la secuencia indicada por el fabricante. El primer paso incluye el uso de pastas diamantadas de 3 mm con escobillas de pelo de cabra, el segundo paso pastas diamantadas de 1 mm con el mismo tipo de escobillas y finalmente como tercer paso una pasta de óxido de aluminio aplicada con fieltros de algodón. Una imagen del resultado final luego de 1 año se puede observar en la figura 6.
Las resinas compuestas representan una alternativa válida para la restauración de dientes posteriores, existiendo evidencia longitudinal mayor a 10 años que las avala, tanto en longevidad como en tasas de éxito (10,11).

Secuencia de reconstrucción de la morfología oclusal utilizando una resina compuesta para esmalte de alto índice de refracción, siguiendo los surcos primarios acorde al primer molar superior.
Para la reconstrucción del reborde marginal en preparaciones cavitarias clases II, existen al menos 3 posibilidades clínicas para aplicar los incrementos de resina compuesta, con el fin de reducir la potencial formación de “gaps” en la interfaz diente- restauración producto de la contracción de la resina compuesta (12,13). Por un lado, el reborde marginal y la pared proximal pueden reconstruirse mediante la aplicación de un incremento único de material, sin estratificación. Como segunda alternativa, existe la opción de la incorporación, en la caja proximal, de capas horizontales estratificadas en incrementos de no más de 2 mm de resina compuesta. Una tercera alternativa corresponde a la denominada técnica de los tres sitios, la que inicialmente incorpora un incremento en el piso cervical de la preparación proximal, sin unir las paredes vestibular o palatina/lingual, luego un segundo incremento vestibular, sin unir el incremento palatino/lingual, y el tercer incremento que unirá las dos masas de resina anteriormente aplicadas con la pared palatina/lingual. Finalmente, la técnica oblicua, incluye la colocación de una serie de incrementos de forma piramidal o triangular similar a la técnica de los tres sitios, pero con incrementos de menor tamaño y en mayor cantidad. En el presente caso, se utilizó un único incremento en la restauración del reborde proximal mesial y distal. La decisión clínica de realizar esta técnica se basa en un estudio de Tjan et al., quienes reportan no existir diferencias o mejoras entre estas técnicas en relación al gap generado luego de polimerizar una resina compuesta (14).

Imagen final de la restauración luego de 1 año.
La reconstrucción del reborde marginal para este caso en particular considera dos puntos de gran importancia. El primero tiene relación a la selección y uso adecuado del sistema de banda matriz. Según Loomans et al.,(15), y Cho et al.,(16) el sistema que mejor reproduce la morfología proximal corresponde a un sistema de matrices seccionales pre contorneadas junto al uso de anillos de sección circular, las que según Saber et al., tendrían puntos de contacto más apretados y de mejor calidad (17). El uso de bandas matrices rectas podría dejar un área de contacto recta y no representar la morfología adecuada al momento de restaurar con resina compuesta. Como segundo punto, la selección de la resina compuesta convencional a utilizar en la restauración del reborde tiene relación con el comportamiento mecánico y translucidez de la resina. En este caso, la resina compuesta convencional se comporta mecánicamente superior que las resinas compuestas bulk-fill de alta y baja viscosidad, por lo que pueden ser adecuadas en sitios en que la demanda funcional sea mayor como por ejemplo en lugares de puntos de contacto oclusal (5). Por otra parte, las resinas compuestas bulk-fill tienen mayor translucidez, pudiendo tener resultados ópticamente inferiores que una resina compuesta convencional, sobre todo en aquellos sustratos en que exista descoloración, resultando en restauraciones de bajo valor y grisáceas (18).
La restauración del cuerpo dentinario para este caso fue realizado con una resina compuestas bulk- fill de baja viscosidad o fluida (SureFil SDR flow, Dentsply Caulk, USA), la que según estudios como el de Kumagai et al., ha demostrado que la aplicación de este tipo de resina compuesta sobre el piso gingival de grandes preparaciones clase II MOD, podría mejorar la resistencia adhesiva de la restauración, sobre todo si ésta incluye la aplicación de SureFil junto a la estratificación oclusal del esmalte con una resina nanoparticulada (19).
En términos de la restauración oclusal del esmalte en este caso, la estratificación fue realizada con una resina nanohíbrida, cuya ventaja principal estaría en su índice de refracción, el cual permite mimetizar e integrarse al esmalte de forma natural, evitando finalmente, que la interfaz pueda visualizarse y logrando así un óptimo resultado estético final (19,20).
Las restauraciones clases II MOD de gran extensión constituyen un gran desafío para el clínico cuando se trata de planificar las etapas de restauración y el orden de los incrementos de resina compuesta. El uso de resinas para estratificación de esmalte de alto índice de refracción para la restauración de los rebordes marginales y el esmalte oclusal, junto al uso de resinas compuestas bulk-fill fluidas para la reconstrucción dentinaria, es una técnica fiable que permite reducir tiempo clínico y lograr resultados morfológica y estéticamente adecuados.
https://revistas.upch.edu.pe/index.php/REH/article/view/4185/4739 (pdf)
Correspondencia: Gerardo Durán Ojeda. Avenida Arturo Prat 2120 Universidad Arturo Prat, Iquique, Chile. Correo electrónico: gerardo.duran@unap.cl

Situación inicial en que se observa una restauración MOD de amalgama en diente 26 con claros signos de creep y desajuste marginal.

Una vez asegurada la técnica adhesiva y considerando la irregularidad del piso pulpar, se procede a la regularización del piso cavitario utilizando una resina Bulk-fill fluida o de baja densidad (Surefil SDR, Dentsply), evitando que ésta cubra la zona del contacto proximal.

Imagen que muestra los rebordes marginales restaurados en un solo incremento con resina compuesta de alto índice de refracción para estratificación natura (ENA Hri, Micerium SPA)

Ya reconstruidos los rebordes proximales, la preparación se confina a una caja que se considera una preparación cavitaria clase I, la que se rellenó con resina Bulk-fill de baja densidad dejando el espacio suficiente para la restauración del esmalte.

Secuencia de reconstrucción de la morfología oclusal utilizando una resina compuesta para esmalte de alto índice de refracción, siguiendo los surcos primarios acorde al primer molar superior.

Imagen final de la restauración luego de 1 año.