Resumen:
El siguiente articulo describe dos casos clínicos de ulceras traumáticas pos-anestesia en niños, luego de un tratamiento odontológico, en el cual se utilizó la infiltración de anestesia local, como parte del tratamiento terapéutico para la perdida de la sensibilidad del sector a tratar. Los efectos del anestésico continuaron al terminar el tratamiento, lo que estimuló por la falta de sensibilidad la curiosidad en los niños que se succionen o se muerdan el tejido blando, esto provocó lesiones graves en la mucosa oral. La importancia de estas lesiones pos-anestésicas radica en la prevención, es decir que el profesional que atienda pacientes pediátricos, debe prevenir y evitar estas lesiones graves autoinflingidas por el niño, dándole las recomendaciones verbalmente y por escrito a los padres.
Palabras clave: Ulcera, mordedura, niños.
Abstract: The following article describes two clinical cases of post-anesthesia traumatic ulcers in children, after dental treatment, in which infiltration of local anesthesia was used as part of the therapeutic treatment for the loss of sensitivity of the sector to be treated. The effects of the anesthetic continued at the end of the treatment, which stimulated curiosity in children to suck or bite the soft tissue due to lack of sensitivity, this caused serious lesions in the oral mucosa. The importance of these post-anesthetic injuries lies in prevention, that is, the professional who attends pediatric patients, must prevent and avoid these serious injuries self-inflicted by the child, giving the recommendations verbally and in writing to the parents.
Keywords: Ulcer, bites, children.
Reportes de caso
Ulceras post anestésicas en niños: Dos casos clínicos
Post anesthesia ulcers in children: Two clinical cases

Recepción: 23 Septiembre 2021
Aprobación: 25 Noviembre 2021
Es importante que el profesional que atiende niños tome los recaudos necesarios al momento de llevar a cabo un tratamiento que implique la realización de una técnica anestésica infiltrativa local, para la perdida de sensibilidad del sector que se quiere trabajar por un lapso relativamente corto de tiempo. Se debe seleccionar adecuadamente el tipo de anestésico, la concentración del agente activo, la técnica anestésica y un control estricto de la dosis administrada conforme a la edad y el peso del niño y al tratamiento odontológico a realizar.
Se debe conversar después determinar el tratamiento, con el niño se debe usar palabras sencillas acorde a la edad, explicando que parte de su boca está dormida, que no debe morderse ya qué puede lastimarse y que pronto pasará el efecto del anestésico. A los padres se les indica el cuidado y el control de los niños para evitar lesiones auto-infringidas, recalcando la duración estimada del anestésico y las diferentes situaciones con las que se podrían encontrar (1). Además, se debe recomendar evitar la ingesta de alimentos duros o muy calientes el tiempo que dure el efecto de la anestesia, ya que podría sufrir mordeduras o quemaduras accidentales por la falta de sensibilidad. En caso de que ocurrieran algunas de las complicaciones mencionadas deberán concurrir inmediatamente al consultorio odontológico para que el profesional realice el tratamiento indicado para cada caso.
Las ulceras traumáticas post anestesia pueden ocurrir en pacientes de cualquier edad, pero se observan lesiones más graves en niños, ya que no tienen conciencia de lo que pueden provocarse ellos mismos. La información a los padres es indispensable en pacientes pediátricos, ya que estas se pueden prevenir fácilmente siguiendo las indicaciones de los cuidados que deben tener y de las consecuencias graves que trae el no cumplimiento de las mismas.
Las lesiones más frecuentes que pueden ocurrir tras una anestesia troncular al nervio dentario inferior y lingual, son a nivel del labio, mejillas y lengua, debido que toda la zona está insensibilizada (2).
El objetivo de este artículo es la presentación de dos casos clínicos de ulceras traumáticas pos-anestesia en niños, luego de un tratamiento odontológico, en el cual el profesional que atienda niños esté capacitado para prevenir y diagnosticar los diferentes lesiones a nivel de la cavidad oral del paciente pediátrico.
Se presentan a la consulta dos pacientes pediátricos, que acuden de urgencia tras 24 horas de haber sido sometidos a tratamiento dental bajo anestesia local infiltrativa para el bloqueo del nervio dentario inferior, durante el transcurso del año 2020 al 2021. El primer paciente reside en la Capital de Corrientes y el segundo en un pueblo aledaño.
A ambos niños se les realizó, la historia clínica completa, y consentimiento informado, según el comité de bioética del Hospital Universitario de la Facultad de Odontología de la Universidad Nacional del Nordeste. Se pudo recaudar la siguiente información: no presentaban ningún síndrome, ni enfermedad sistémica, y no estaban bajo ningún tratamiento medicamentoso.
Cabe destacar que los pacientes fueron atendidos en una situación de pandemia mundial por Covid-19, motivo por el cual algunas localidades de la Provincia de Corrientes, se encontraban en diferentes fases epidemiológicas, y por consecuencia en algunos lugares el transporte se encontraba suspendido, por lo que en uno de los casos, posterior a la primera atención, decidimos implemente la utilización de una nueva modalidad de atención a distancia denominada Teleodontología, que comprende el uso de nuevas tecnologías de comunicación, registro y almacenamiento de información relativa a la atención dental, mayormente de especialidad, enfocado al mejoramiento del acceso de poblaciones aisladas (3).
Paciente de sexo masculino de 8 años de edad, concurrió a la consulta en agosto del año 2020, acompañado de sus padres para su atención odontológica. Al examen intraoral presentaba varios procesos cariosos, destacando entre ellos la pieza dentaria 8.5, con gran destrucción de la corona y la presencia de un proceso infeccioso periapical, con lesión en la furca. Se tomó la decisión de hacer la extracción de dicha pieza dentaria.
El paciente respondió favorablemente a las técnicas de manejo conductuales, por lo que se llevó a cabo la realización de la técnica anestesia al nervio dentario inferior y al lingual y la extracción de dicha pieza dentaria.
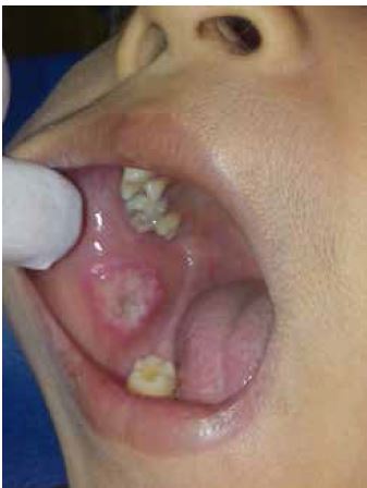
Se indicó a los padres los cuidados que debían tener con el niño, sobre todo haciendo insistencia a que estuvieran pendientes de que el mismo no se mordiera. Aproximadamente a las 24 horas de realizada la exodoncia concurren nuevamente a la consulta por dolor, los padres manifestaban que era por la extracción de la pieza dentaria; A la inspección clínica intraoral del niño se observó en la mucosa yugal del lado derecho, una lesión única, con fondo necrótico, color blanco amarillento, cubierta por un exudado fibrinoso, de forma redondeada, con bordes irregulares y márgenes definidos, rodeada de un halo eritematoso. Sus dimensiones eran aproximadamente 20mm de diámetro. El niño refería sintomatología dolorosa durante la masticación y el cepillado dental.
Al interrogatorio el niño, relata que no sentía nada cuando se mordía, por lo que se estima que provoco curiosidad, este movimiento de mordisqueo provocó en la parte central de la mucosa yugal derecha, una ulcera con la impronta de la pieza dentaria 4.6 (figura 1 y figura 2).


Paciente de sexo femenino de 6 años de edad, Acudió a la consulta de urgencia al Servicio de Odontopediatría del Hospital Universitario de la Facultad de Odontología de la Universidad Nacional del Nordeste, en marzo del año 2021, periodo en el que transcurría la pandemia por Covid-19. Los padres de la paciente relataron que procedían de un pueblo cercano a la Ciudad de Corrientes, refiriendo como motivo de la consulta que se le había hinchado la cara y que tenía una lesión en el labio de abajo, lo que le provocaba dificultad para hablar y alimentarse. Al interrogar acerca del tiempo de evolución la madre relato que hacia 24 horas aproximadamente que noto su aparición, exactamente a las 3hs de su atención odontológica en un consultorio privado, donde se le efectuó un tratamiento pulpar en la pieza dentaria 8.4.
Al examen clínico intraoral, se observó en la mucosa y semimucosa del labio inferior en el sector derecho, una lesión de forma irregular con márgenes definidos, elevada, de coloración blanquecina, rodeada por un halo eritematoso en la periferia, sus dimensiones abarcaban más de la mitad de labio inferior, con sintomatología dolorosa urente (figura 3).
Al observar las características de la lesión y mediante el interrogatorio donde la madre expresó que el día anterior se le había realizado un tratamiento pulpar con anestesia infiltrativa, se llegó al diagnóstico de ulcera traumática post anestesia local.

Una vez realizado el diagnostico debido a la etiología de la lesión y por su naturaleza benigna, no se solicitaron exámenes complementarios y se llevó a cabo las indicaciones para el tratamiento a los padres (figura 4, figura 5 y figura 6).


En ambos casos los niños fueron controlados y se realizaron seguimientos de la evolución de las lesiones, en primer caso concurrió a la consulta para los controles y al segundo caso se lo controlo a distancia por medio de la teleodontología3, debido a que no podían asistir debido a la pandemia del covid-19. Debido a que el pueblo de la paciente donde vivía, se encontraba en fase 1 por aumento de casos de Covid- 19, no pudieron asistir a los controles indicados, por lo que se le realizó un seguimiento a distancia usando como recurso a la tecnología móvil, a lo que actualmente se conoce como teleodontologia, medio por el cual, los padres comunicaban la evolución de la lesión, enviaban fotografías y consultaban sobre los pasos a seguir.
En ambos casos se le indico ibuprofeno al 4%, según el peso de los niños cada 8 horas, para aliviar el dolor, enjuagues suaves con clorhexidina al 0,12% y oleo calcáreo para humectar los labios en el segundo caso que presentaba lesiones en el labio. Además, se le aconsejo una correcta hidratación diaria, dieta blanda fría y rica en nutrientes y que eviten alientos muy calientes, salados y cítricos.
En los controles se hallaron lesiones de menor tamaño con diminución de la sintomatología. Los niños podían alimentarse e higienizarse correctamente. Entre los 10 a 15 días de evolución la lesión había desaparecido en su totalidad.
La importancia en estos casos, no solo radica en el tipo de anestésico, la concentración del agente activo, la técnica anestésica, al tratamiento odontológico a realizar, sino también en la prevención de los cuidados post anestesia y en saber diagnosticar correctamente las lesiones estomatológicas en niños.
Yáñez et al., en su investigación afirman que las ulceras traumáticas se encuentra tercero dentro de las 5 cinco lesiones más frecuentes de la mucosa oral en niños, con un porcentaje del 5% en la población infantil de Chile (4).
Martínez et al., afirman en su trabajo de investigación que existe una variedad de alteraciones que se pueden encontrar en la mucosa bucal del niño, los odontólogos deben ser capaces de detectar dichas lesiones, llevar a cabo un correcto diagnóstico y un apropiado tratamiento (5).
Los estudios epidemiológicos realizados estos últimos años en la población infantil referente a lesiones en la mucosa bucal son escasos, mostrado una gran variabilidad en la prevalencia de las diferentes zonas del mundo, Shulman et al., (6).
El profesional de salud debe insistir en la prevención de las lesiones autoinflingidas, recomendar a los padres el monitoreo del niño luego de una anestesia infiltrativa debido, que el adormecimiento del sector anestesiado dura entre 1 a 2 horas después del tratamiento realizado; Ya que estas se pueden evitar fácilmente siguiendo las indicaciones de los cuidados que deben tener y de las consecuencias graves que trae el incumplimiento de las mismas.
El odontólogo debe ser capaz de detectar y diagnosticar las diferentes lesiones que se puede encontrar en la cavidad bucal del niño para llevar a cabo un correcto diagnóstico y el tratamiento oportuno, sobre todo en las ulceras traumáticas post anestesia local, que al ser muchas veces de gran extensión y muy dolorosas, producen gran preocupación en los padres, por lo que para darles tranquilidad, debemos brindarles la información necesaria sobre las causas que las producen, el posible tiempo de evolución y su naturaleza benigna.
https://revistas.upch.edu.pe/index.php/REH/article/view/4219/4773 (pdf)




