Resumen: La agranulocitosis es el recuento bajo de glóbulos blancos (neutrófilos), que puede ser inducida por tratamientos con algunos medicamentos como los antitiroideos, que ocasionan manifestaciones orales como úlceras o necrosis gingival difusa. Se presenta el caso de una paciente mujer de 26 años, con antecedente de hipertiroidismo, quien acude a emergencia del Hospital Nacional Alberto Sabogal Sologuren por presentar tumefacción en la hemicara izquierda, asociada a disfagia, múltiples lesiones ulceradas en mucosa oral, con compromiso de tejido óseo, fiebre y malestar general. Luego de los exámenes auxiliares, se categoriza como una infección oral y cervicofacial por agranulocitosis debido al tratamiento con el metimazol. La literatura mundial reporta casos de agranulocitosis como efecto adverso del consumo de drogas antitiroideas, con reporte de manifestaciones orales; sin embargo, pocos casos evidencian compromiso cervical. Por lo cual se presenta este caso poco usual desde su diagnóstico hasta el tratamiento.
Palabras clave: agranulocitosis, hipertiroidismo, úlcera necrotizante, metimazol.
Abstract: Agranulocytosis refers to a low white blood cell count, specifically neutrophils, which can be caused by certain medications such as antithyroid drugs (ATD). This condition can result in oral manifestations, including diffuse gingival ulceration or necrosis. We present the case of a 26-year-old female patient with a history of hyperthyroidism who came to the emergency department of Alberto Sabogal Sologuren National Hospital with swelling on the left side of her face, accompanied by dysphagia, multiple ulcerated lesions in the oral mucosa involving bone tissue, as well as fever and general malaise. After conducting additional tests, the patient was diagnosed with oral and cervicofacial infection secondary to agranulocytosis caused by methimazole treatment. While the global literature reports cases of agranulocytosis as an adverse effect of antithyroid medication, with documented oral manifestations, only a few cases demonstrate cervical involvement. Therefore, we present this uncommon case from diagnosis to treatment.
Keywords: agranulocytosis, hyperthyroidism, necrotizing ulcer, methimazole.
Reportes de caso
Infección oral y cervicofacial por agranulocitosis secundario debido al tratamiento con medicación antitiroidea: Reporte de Caso
Oral and Cervicofacial Infection Secondary to Agranulocytosis Caused by Antithyroid Medication: A Case Report

Recepción: 18 Agosto 2022
Aprobación: 10 Enero 2023
La enfermedad de Graves (EG) es una condición autoinmune caracterizada por la presencia de autoanticuerpos que estimulan el receptor de la hormona estimulante de la tiroides (TSHR), que deriva en la secreción incontrolada de exceso de hormona tiroidea. En la gran mayoría de los casos, una serología de hormona estimulante de tiroides (TSH) oportuna y positiva, con un hallazgo ecográfico típico, ofrece un diagnóstico definitivo fiable, rápido y más que suficiente de EG. Las opciones terapéuticas disponibles para los pacientes con esta enfermedad implican la administración de fármacos antitiroideos que bloquean la síntesis de hormonas tiroideas o, alternativamente, la destrucción o extirpación de la tiroides mediante yodo radioactivo o cirugía (1, 2). La remisión a largo plazo puede lograrse en alrededor del 50 % de los pacientes con EG tratada con antitiroideos (ATD). Estos fármacos incluyen propiltiouracilo, carbimazol y su metabolito activo metimazol (3).
Los eventos adversos más comunes atribuidos a los ATD se manifiestan con reacciones alérgicas cutáneas menores, que incluyen erupción (3-6 %), prurito (2-3 %) y urticaria (1-2 %), así como dispepsia (3-4 %), náuseas/malestar gástrico (2,4 %) y artralgia (1,6 %). Los principales eventos adversos incluyen agranulocitosis, hepatotoxicidad, vasculitis, entre otros.
La agranulocitosis ocurre en el 0,2 % a 0,5 % de los pacientes que toman ATD, principalmente dentro de los 3 meses posteriores al inicio de la terapia. El primer caso de agranulocitosis inducida por ATD fue descrito en 1952 por Bartels y Sjogren en su serie de 250 casos de pacientes tratados (3, 4). Aunque el recuento reducido de granulocitos es reversible después de suspender los ATD, todavía afecta el uso de este fármaco en la práctica clínica (5). Sin embargo, en raras ocasiones, la agranulocitosis puede desarrollarse un año o más después del inicio del primer curso de tratamiento (6). Las reacciones menores pueden resolverse con terapia antihistamínica o después de sustituir un ATD alternativo (7). Los pacientes deben ser instruidos de suspender la medicación y ponerse en contacto con su médico en caso de fiebre o infección, especialmente de la orofaringe. Las infecciones tienden a agravarse con bastante rapidez y los agentes más comunes son los Gram negativos. La identificación de agranulocitosis mediante un resultado de hemograma completo requiere manejo médico con antibióticos de amplio espectro, especialmente contra las Pseudomonas aeruginosa, así como terapia de apoyo (8, 9).
Se reporta como parte del tratamiento al factor estimulante de colonias de granulocitos (G-CSF-filgrastim), que se puede utilizar por vía subcutánea en el segundo y tercer día de hospitalización, con el fin de aumentar el recuento de neutrófilos y reducir el tiempo de recuperación (10, 11).
Las principales manifestaciones intraorales de la neutropenia o agranulocitosis incluyen: ulceración, dolor oral severo y necrosis gingival difusa; motivo por el cual el paciente busca de manera inicial la evaluación de un odontólogo (12). Es necesario diferenciar estos signos clínicos de la enfermedad periodontal local o una asociada a un proceso inmunológico o medicamentoso (13). Las enfermedades periodontales necrosantes, cuyo fenotipo clínico principal incluye características típicas (necrosis de la papila, sangrado y dolor) y se asocian con el huésped por alteraciones de la respuesta inmune, son una categoría distinta de periodontitis (14,15).
Los tratamientos de las lesiones en cavidad oral van desde el uso de colutorios hasta lavados con antisépticos, como peróxido de hidrógeno y/o clorhexidina, para la irrigación subgingival y supragingival. La importancia del uso de enjuague bucal con gluconato de clorhexidina (0,12 %) dos a tres veces al día ayuda a mantener la higiene bucal. Las áreas necróticas deben ser retiradas, así como los secuestros del hueso alveolar (9).
El tratamiento para las lesiones orales y cervicofaciales consiste en un manejo médico-quirúrgico, como drenaje de heridas, lavados diarios con aplicación de antisépticos como la clorhexidina 0,12 % en colutorio y gel, que tiene un poder bactericida, fungicida y virucida (16,17), los cuales se complementan con desfocalización y corticotomías en tejido óseo expuesto para su cicatrización por segunda intención.
Se presenta un caso poco usual de infección oral y cervicofacial por agranulocitosis secundario como consecuencia del tratamiento con medicación antitiroidea, desde su diagnóstico hasta su tratamiento. El objetivo de este relato de caso es que el profesional de salud se familiarice con las lesiones y complicaciones que pueden causar estos medicamentos.
Se presenta el caso de una paciente mujer de 26 años que acude a emergencia del Hospital Nacional Alberto Sabogal Sologuren (HNASS), Callao-Perú, quien refiere el antecedente de hipertiroidismo en tratamiento con metimazol de 20 mg, 1 comprimido en la mañana y 1/2 comprimido en la noche. Refiere evolución de la enfermedad de tres días, caracterizado por sensación de alza térmica (SAT), dolor en encías y orofaringe de moderada intensidad. Luego del examen físico extraoral, se aprecia tumefacción inflamatoria de la hemicara izquierda que se extiende a la región submandibular ipsilateral, con bordes parcialmente definidos, dolorosa a la palpación y asociada a la adenopatía cervical. Luego del examen intraoral, se evidencia limitación de la apertura bucal, mal olor, lesiones ulceradas en fondo de surco vestibular y lingual de ambos maxilares, asociado a la exposición de tejido óseo con secreción purulenta, doloroso a la palpación (figura 1).

La paciente pasa a cargo del servicio de Medicina Interna y de Cirugía Bucal y Maxilofacial (CBMF) para el manejo multidisciplinario.
Se le solicitó un hemograma automatizado, obteniéndose un valor de leucocitos de 0,15 ´ 103/ul, hemoglobina de 11,2 g/ dl, plaquetas de 227 ´ 103/ul, neutrófilos de 6,6 %, linfocitos de 86,7 % y proteína C reactiva (PCR) con un valor de 40,68 mg/dl.
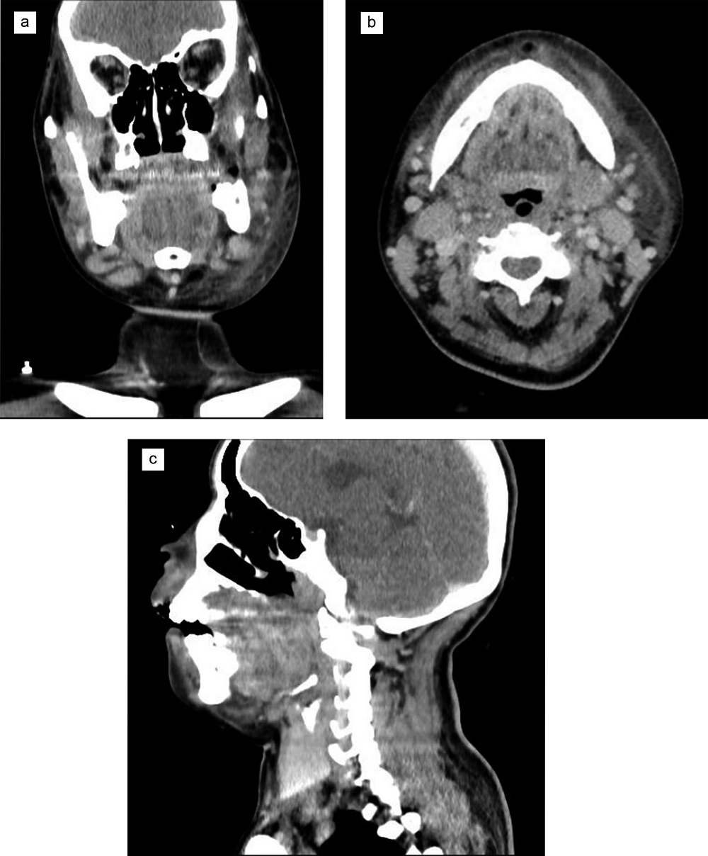
Se le realiza una tomografía espiral multicorte (TEM) de cuello y macizo facial con contraste, apreciándose un aumento de volumen de las partes blandas del espacio submandibular izquierdo, edema y colección adyacente en cuerpo mandibular izquierdo con un volumen aproximado de 20 cc, que muestra realce periférico tras el contraste, extendiéndose al espacio masticador, que da la impresión diagnóstica de colección abscedada en región submandibular izquierda (figura 2).

Durante su estancia hospitalaria se le recetó doble esquema de antibióticos, que consistió en meropenem 2 gr EV cada 8 horas y vancomicina 1 gr EV cada 12 horas y tratamiento analgésico. Una vez realizados los exámenes auxiliares, se categoriza como una infección oral y cervicofacial por agranulocitosis debido al tratamiento con el metimazol.
Por parte de la especialidad de CBMF, se indicó realizar drenaje de absceso submandibular izquierdo con exploración y lavado de cavidad oral. Posteriormente, se continuó con lavados diarios a base de hipoclorito de sodio al 0,9 % diluido con agua oxigenada al 3 %, seguido de aplicación de digluconato de clorhexidina al 0,12 % y cloruro de cetilpiridinio al 0,05 % en colutorio y en gel al área de hueso expuesto. Esto se complementó con desfocalización y corticotomías en el hueso de los maxilares expuestos para su cicatrización por segunda intención. Hubo mejoría en su estado general, se observó tumefacción facial en remisión en la hemicara izquierda, cese de secreción seropurulenta, hueso alveolar con cobertura de tejido de granulación con aparente buen proceso de cicatrización (figura 3).
Se le dio de alta a los 34 días de hospitalizada. Su último hemograma automatizado arrojó un valor de leucocitos de 4,84 ´ 103/ul, hemoglobina de 9,1 g/ dl, plaquetas de 202 ´ 103/ul, neutrófilos de 59,3 %, linfocitos de 19,4 % y proteína C reactiva de 0,5 mg/dl.

La causa más frecuente de tirotoxicosis es la EG, responsable del 60 al 90 % de los casos; y se observa en mujeres con una frecuencia del 1,9 %, con un pico entre los 20 y 40 años (3). Nuestro caso tiene concordancia con los resultados de los estudios, ya que se trata de una paciente mujer de 26 años en tratamiento de hipertiroidismo con metimazol, produciéndose el efecto adverso más grave que es la agranulocitosis. El metimazol es el fármaco de elección para el tratamiento del hipertiroidismo. Cuando se administran fármacos ATD, es importante controlar al paciente para detectar cualquier síntoma de neutropenia, como fiebre y dolor de garganta, aunque estos efectos secundarios son poco comunes. La agranulocitosis inducida por metimazol ocurre solo en el 0,2-0,5 % de los pacientes (3,4). Aunque esta frecuencia es bastante baja, la agranulocitosis puede causar complicaciones potencialmente mortales. Hay varios informes de casos de pacientes con agranulocitosis inducida por metimazol en la literatura médica (5). Sin embargo, pocos informes han presentado las manifestaciones orales de la agranulocitosis inducida por metimazol, con tiempo de estancia hospitalaria promedio de 12 días (7,10).
La particularidad de nuestro caso es la manifestación de la vulnerabilidad causada por la neutropenia con lesiones ulceradas en fondo de surco vestibular y lingual de ambos maxilares, asociado a la exposición de tejido óseo con secreción y colección purulenta, que ocasionó una infección oral y cervicofacial moderada, la cual necesitó un tratamiento multidisciplinario a cargo de los servicios de Medicina Interna (cobertura antibiótica de amplio espectro, así como cuidado del medio interno) y Cirugía Bucal y Maxilofacial para el tratamiento quirúrgico (drenaje de absceso, lavados diarios meticulosos, desfocalización y corticotomías), así como los estudios complementarios para su diagnóstico y control (exámenes de laboratorio e imagenológicos).
La literatura mundial reporta pocos casos de agranulocitosis como efecto adverso del consumo de drogas antitiroideas con compromiso oral y/o cervical. Por ello es importante que el personal de salud sea consciente de las complicaciones orales de la neutropenia no inducida por quimioterapia, como las úlceras agudas, el dolor oral severo y la necrosis gingival difusa, diferenciándolos de la enfermedad periodontal local. Saber diagnosticarla con precisión y oportunamente garantiza que los pacientes reciban una intervención médica adecuada.
https://revistas.upch.edu.pe/index.php/REH/article/view/4514/5087 (pdf)
Correspondencia: Autor encargado: Renzo Angel Paredes Vilchez. Dirección: Jr. Colina 1081 Bellavista, Callao-Perú. Número de teléfono: +511986626512. Correo electrónico: renzo.paredes@upch.pe


