Reportes de caso
Resorción intracoronal preeruptiva: reportes radiográficos y tomográficos de cuatro casos
Preeruptive Intracoronal Resorption: X-Ray and Tomographic Reports of Four Cases
Resorción intracoronal preeruptiva: reportes radiográficos y tomográficos de cuatro casos
Revista Estomatológica Herediana, vol. 33, núm. 2, pp. 169-175, 2023
Universidad Peruana Cayetano Heredia

Recepción: 19 Septiembre 2022
Aprobación: 03 Febrero 2023
Financiamiento
Fuente: Autofinanciado por el autor del estudio.
Resumen: La resorción intracoronal preeruptiva (RIPE) se presenta como un defecto ubicado en la dentina coronal próxima a la unión amelodentinaria en la corona de un germen dentario. Este defecto de profundidad y ubicación anteroposterior variables solo puede ser diagnosticado mediante radiografías extraorales, intraorales y tomografías dentales. La etiología no ha sido determinada, pero los estudios de histopatología sugieren que este defecto sería una secuela de resorción dentaria. En el presente manuscrito, se presentan radiografías panorámicas y tomografías de haz cónico (THC) de cuatro pacientes con dicha afección, en las que encontramos los defectos dentinarios y discontinuidades en el esmalte adyacente, por lo que se discutirá la utilidad de la THC en el diagnóstico y la planificación de tratamiento de los casos con RIPE.
Palabras clave: radiografía panorámica, tomografía computarizada de haz cónico, dentina.
Abstract: Preeruptive Intracoronal Resorption (PIR) manifests as a defect located in the dentin of a dental germ, adjacent to the amelodentinal junction in the crown. This defect, which varies in depth and anteroposterior location, can only be diagnosed through extraoral and intraoral x-rays, as well as dental tomography. The etiology of PIR remains undetermined, although histopathological studies suggest it could be a consequence of dental resorption. In this paper, panoramic x-rays and cone beam computed tomography (CBCT) scans of four patients with PIR are presented. The dental defects and enamel discontinuities adjacent to them are identified, highlighting the usefulness of CBCT in diagnosing and planning treatment for PIR cases.
Keywords: intracoronal resorption, panoramic x-ray, computed tomography.
INTRODUCCIÓN
La resorción intracoronal preeruptiva (RIPE) es un hallazgo radiográfico que consiste en una imagen radiolúcida semicircular, bien circunscrita, ubicada en la dentina coronal adyacente a la unión amelodentinaria; tiene localización anteroposterior y profundidad variables y solo es observable en las radiografías de piezas no erupcionadas (1). La frecuencia de aparición de la RIPE reportada varía entre 2 y 8 % (2), siendo los defectos singulares entre el 74 y 88 % de los casos (3). Los primeros premolares inferiores, los segundos y terceros molares son las piezas más frecuentemente afectadas (2). Si bien no se ha encontrado asociación de esta afección con respecto al sexo o la raza (4), sí se ha reportado una asociación significativa con respecto a la posición ectópica de la pieza afectada (5).
La patogénesis de la RIPE no ha sido determinada; sin embargo, en reportes de caso, se han encontrado evidencias histológicas de resorción dental: presencia de células de resorción (osteoclastos, macrófagos y células gigantes multinucleadas) y lagunas de resorción en la dentina afectada (2, 5). Se ha hipotetizado que las células de resorción atraviesan el epitelio reducido del órgano del esmalte para luego, a través de microperforaciones del esmalte (6), llegar a la dentina (1); y aunque los mecanismos de activación no han sido determinados, se ha especulado que podrían estar relacionados a la pérdida de integridad del epitelio reducido del órgano del esmalte (1).
Los defectos de la RIPE solo pueden ser detectados mediante radiografías dentales. Las características radiográficas han sido descritas por Seow et al. (7): localización anteroposterior (mesial, oclusal y distal) y profundidad/altura (grados I, II y III); tales características han sido estudiadas en radiografías panorámicas y/o bitewings (figura 1).
De acuerdo a una revisión sistemática (2), la RIPE ha sido más frecuentemente estudiada en radiografías panorámicas (48,3 %), seguido de radiografías periapicales (27,6 %) y radiografías bitewings (24,1 %). Hasta el momento existen pocos reportes que incluyen la evaluación por tomografía de haz cónico (THC); por lo que el objetivo del presente reporte es exponer las características radiográficas y tomográficas de cuatro casos de pacientes con defectos de RIPE.
REPORTE DE CASOS
Las radiografías panorámicas digitales fueron adquiridas en un equipo panorámico-cefalométrico Planmeca Promax SCARA 2 (Planmeca, Helsinki, Finlandia); y las THC fueron adquiridas en un equipo de tomografía Planmeca Promax Classic SCARA 3 (Planmeca, Helsinki, Finlandia). Las tomografías fueron adquiridas con tamaños de vóxeles de 0,2 o 0,15. Las radiografías panorámicas y las THC fueron evaluadas por el software Romexis versión 4.6.2.R (Planmeca, Helsinki, Finlandia).
Caso 1
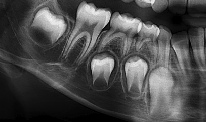
Se presenta la radiografía panorámica (2016) de una paciente femenina de 7 años de edad con un defecto de RIPE en el germen de la pieza 44, de localización distal y profundidad menor a ⅓ de la altura dentinaria (grado I) (figura 2). En la THC adquirida en 2022, con un tamaño de vóxel de 0,15 mm, se observó un defecto hipodenso en forma de fosa, localizado en el esmalte y la dentina (grado I) del tercio medio de la superficie distolingual (figura 3).
Caso 2
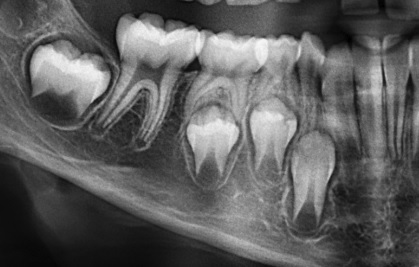
Se muestra la radiografía panorámica de una paciente femenina de 8 años de edad. Se observa la presencia de un defecto de RIPE en el germen dentario de la pieza 44, localización mesial y profundidad dentinal de grado I (figura 4). En la THC adquirida, con un tamaño de vóxel de 0,15 mm, se observó un defecto hipodenso de esmalte y dentina (grado I) ubicado en la vertiente mesial de la cúspide lingual (figura 5).
Caso 3
Se muestra la radiografía panorámica de una paciente femenina de 15 años de edad, en la que se observa la presencia de un defecto de RIPE de forma triangular bajo el esmalte de la cúspide distal de la pieza 38, de localización central y profundidad dentinal grado I (figura 6). En la THC adquirida, con un tamaño de vóxel de 0,2 mm, se observó un defecto dentinal de forma triangular y de grado I de profundidad, localizado en la cúspide distobucal, además de un defecto hipodenso del esmalte adyacente al defecto (figura 7).







Caso 4
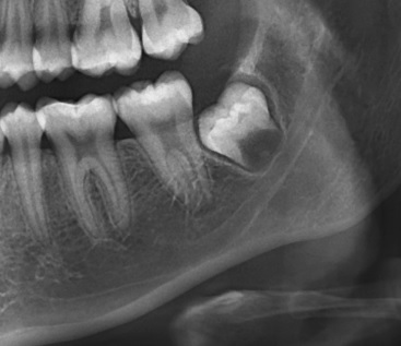
Se tiene la radiografía panorámica de una paciente femenina de 45 años de edad, en la que se observa un defecto de RIPE en la pieza impactada 48, de localización mesial y profundidad dentinal de grado I, y, además, un segundo defecto ubicado en el centro de la corona y de forma alargada, que sería consistente con una fosa vestibular (figura 8). En la THC adquirida, con un tamaño de vóxel de 0,2 mm, se observó que el aparente defecto de RIPE mesial era, en realidad, la fosa mesiobucal y, además, se encontró un defecto de RIPE, grado I, en la cúspide distolingual asociada a un defecto hipodenso del esmalte adyacente al defecto (figuras 9, 10 y 11).




DISCUSIÓN
Los casos presentados constan de radiografías panorámicas y de THC, las cuales nos permitieron evaluar las superficies afectadas sin la superposición de estructuras anatómicas. Las radiografías panorámicas y bitewings fueron las técnicas radiográficas más utilizadas en el estudio de las características de la RIPE; la radiografía panorámica muestra en una sola toma todas las piezas erupcionadas y sin erupcionar, aunque las piezas anteriores, las premolares y molares maxilares, no se muestran de una manera adecuada; mientras que la THC puede demostrar la extensión real de los defectos (1). En todos los casos presentados, la THC ha demostrado la coexistencia del defecto dentinario y el defecto de esmalte; este signo tomográfico debería ser tomado en cuenta para estudios posteriores y en la planificación del tratamiento.
La presencia de defectos de RIPE junto a defectos de esmalte ha sido reportada por McNamara et al. (8), Kjær et al. (9) y Lenzi et al. (10). La formación de esmalte es inducida por la dentinogénesis e inicia a nivel de las cúspides, siguiendo una dirección cervical (11); la demostración tomográfica de los defectos de esmalte y dentina en las piezas afectadas por RIPE sugieren que los defectos podrían ser el resultado de la ausencia localizada de formación dentinaria, que determinaría la ausencia de formación de esmalte o el resultado de la migración de células de resorción a través de los defectos de esmalte (5, 6).
Al-Batayneh et al. (1) enfatizaron la importancia del diagnóstico tomográfico de los casos de RIPE. En los casos presentados, la discrepancia encontrada entre la radiografía panorámica y la THC podría ser determinante al momento de la planificación del tratamiento; se podría considerar la ampliación de estudio con THC en los casos confirmados de RIPE, para que se pueda determinar la extensión real del defecto y la decisión de intervención o espera.
En el caso 4, se observó la coexistencia de un defecto de RIPE y una fosa vestibular profunda. Hemos notado que las lesiones de RIPE tienen un mayor componente horizontal, mientras que la fosa vestibular profunda tiene un mayor componente vertical; tales diferencias podrían ser de utilidad al momento del diagnóstico diferencial.
La etiología de la RIPE aún no ha sido determinada. Se han encontrado signos histológicos y marcadores inmunológicos de resorción en reportes de casos (1, 5, 6). La presencia de los defectos de esmalte sugiere la posibilidad de que la RIPE sea el resultado de un defecto de desarrollo de la dentina, pero se requiere una mayor evidencia al respecto.
Después de la erupción, los defectos de la RIPE deben ser considerados como lesiones de caries dental (5). La presencia de una cavidad dentinaria, sin dentina reparativa (1) y asociada a un defecto de esmalte, como los casos presentados, representa un factor de riesgo de colonización bacteriana y complicaciones asociadas a lesiones de caries profundas. Es de notar que la detección de los defectos de esmalte es importante para el plan de tratamiento y se debería de considerar la indicación de THC en los pacientes con defectos de RIPE.
CONCLUSIÓN
Las características imaginológicas de los casos presentados demuestran que el diagnóstico y el abordaje de los defectos de RIPE deben ser radiográficos y tomográficos, para así determinar la localización y la extensión exactas de los defectos y planificar adecuadamente el tratamiento de las piezas afectadas.
Agradecimientos
A la Dra. Elizabeth Ruiz por la revisión del manuscrito.
REFERENCIAS BIBLIOGRÁFICAS
1. Al-Batayneh OB, AlJamal GA, AlTawashi EK. Pre-eruptive intracoronal dentine radiolucencies in the permanent dentition of Jordanian children. Eur Arch Paediatr Dent [Internet]. 2014; 15(4): 229-236. Disponible en: https://link.springer.com/article/10.1007/s40368-013-0104-x
2. Le VNT, Kim JG, Yang YM, Lee DW. Treatment of pre-eruptive intracoronal resorption: a systematic review and case report. J Dent Sci [Internet]. 2020; 15(3): 373-382. Disponible en: https://www.sciencedirect.com/science/article/pii/S1991790220300192?via%3Dihub
3. Wang Y, Chen J, Liu H. Prevalence of preeruptive intracoronal radiolucency in Chinese children from panoramic radiographs. Chin J Dent Res [Internet]. 2013; 16(2): 153-156. Disponible en: https://www.quintessence-publishing.com/deu/en/article/851733
4. Chouchene F, Hammami W, Ghedira A, Masmoudi F, Baaziz A, Fethi M, et al. Treatment of pre-eruptive intracoronal resorption: a scoping review. Eur J Paediatr Dent [Internet]. 2020; 21(3): 227-234. Disponible en: https://www.ejpd.eu/pdf/EJPD_2020_03_13.pdf
5. Sagar S, Deepà G. Knowledge of pre-eruptive intracoronal resorption among dental practitioners: a questionnaire-based study. Drug Invention Today [Internet]. 2020; 14(7): 1104-1108. Disponible en: https://www.researchgate.net/publication/344738333_Knowledge_of_pre-eruptive_intracoronal_resorption_among_dental_practitioners_-A_questionnaire-based_study
6. Ambriss B, Moukarzel C, Ezzeddine M, Bacho R. Management of maxillary premolar with pre-eruptive intracoronal resorption: a 5-year follow-up case. Int J Clin Pediatr Dent [Internet]. 2021; 14(1): 161-166. Disponible en: https://www.ijcpd.com/doi/pdf/10.5005/jp-journals-10005-1881
7. Seow WK, Wan A, McAllan LH. The prevalence of pre-eruptive dentin radiolucencies in the permanent dentition. Pediatr Dent [Internet]. 1999; 21(1): 26-33. Disponible en: https://europepmc.org/article/med/10029964
8. McNamara CM, Foley T, O'Sullivan VR, Crowley N, McConnell RJ. External resorption presenting as an intracoronal radiolucent lesion in a pre-eruptive tooth. Oral Dis [Internet]. 1997; 3(3): 199-201. Disponible en: https://onlinelibrary.wiley.com/doi/10.1111/j.1601-0825.1997.tb00037.x
9. Kjær I, Steiniche K, Kortegaard U, Pallisgaard C, Bille ML, Seirup T, et al. Preeruptive intracoronal resorption observed in 13 patients. Am J Orthod Dentofacial Orthop [Internet]. 2012; 142(1): 129-132. Disponible en: https://www.ajodo.org/article/S0889-5406(12)00362-9/fulltext
10. Lenzi R, Marceliano-Alves MF, Alves F, Pires FR, Fidel S. Pre-eruptive intracoronal resorption in a third upper molar: clinical, tomographic and histological analysis. Aust Dent J [Internet]. 2017; 62(2): 223-227. Disponible en: https://onlinelibrary.wiley.com/doi/10.1111/adj.12444
11. Zohrabian VM, Poon CS, Abrahams JJ. Embryology and anatomy of the jaw and dentition. Semin Ultrasound CT MR [Internet]. 2015; 36(5): 397-406. Disponible en: https://www.sciencedirect.com/science/article/abs/pii/S0887217115000888?via%3Dihub
Notas
Notas de autor
Correspondencia: Autor encargado: Iván Eduardo Pérez Lip. Dirección: Calle Elías Aguirre 126, oficina 303. Miraflores. Número de teléfono: 992757697. Correo electrónico: ivan.perez@upch.pe
Declaración de intereses
Enlace alternativo
https://revistas.upch.edu.pe/index.php/REH/article/view/4515/5089 (pdf)