Artículos originales
Caracterización de tonsilolitos en tomografías computarizadas de haz cónico de pacientes atendidos en el Centro Dental Docente de la Universidad Peruana Cayetano Heredia, Lima-Perú, 2018-2021
Characterization of Tonsilloliths in Cone Beam Computed Tomography Scans of Patients Treated at the Teaching Dental Center of Universidad Peruana Cayetano Heredia, Lima, Peru, 2018-2021
Caracterização de tonsilólitos em exames de tomografia computadorizada de feixe cônico de pacientes tratados no Centro Dental Docente da Universidad Peruana Cayetano Heredia, Lima-Peru, 2018-2021
Caracterización de tonsilolitos en tomografías computarizadas de haz cónico de pacientes atendidos en el Centro Dental Docente de la Universidad Peruana Cayetano Heredia, Lima-Perú, 2018-2021
Revista Estomatológica Herediana, vol. 33, núm. 3, pp. 207-216, 2023
Universidad Peruana Cayetano Heredia

Recepción: 22 Septiembre 2021
Aprobación: 10 Febrero 2023
Financiamiento
Fuente: Autofinanciado
Resumen: El origen de los tonsilolitos está relacionado con antecedentes de amigdalitis en repetidas ocasiones durante la infancia o de abscesos amigdalares. El presente trabajo investigó la frecuencia, el número, la localización, el tamaño, la forma, así como la edad y el sexo de los pacientes, para aportar parámetros de las características y los datos estadísticos que contribuyan a la detección temprana de esta patología. Objetivo: Determinar las características de los tonsilolitos en tomografías computarizadas de haz cónico (TCHC) de pacientes atendidos en el Centro Dental Docente de la Universidad Peruana Cayetano Heredia. Material y métodos: Se realizó un estudio observacional, descriptivo, retrospectivo, transversal, donde se analizaron todas las TCHC del período 2018-2021, de las cuales 200 cumplieron con los criterios de selección. Para relacionar las variables se utilizó la prueba de chi cuadrado con un intervalo de confianza de 95 % y un nivel de significancia de 0,05. Resultados: De las 200 TCHC analizadas, 49 (24,5 %) presentaron tonsilolitos, 39 (19,5 %) pertenecieron al sexo femenino, 32 (16 %) pertenecieron a pacientes mayores de 50 años, 21 (42,86 %) presentaron un solo tonsilolito, y 30 (61,2 %) se localizaron unilateralmente. Se contabilizaron 124 tonsilolitos en total; de los cuales, 64 (51,6 %) se localizaron en el lado derecho, 88 (71,96 %) fueron puntiformes, y su tamaño promedio fue de 1,68 mm. Conclusiones: Los tonsilolitos presentaron una alta frecuencia, principalmente en el sexo femenino, a partir de la quinta década de la vida, con un tamaño menor a 2 mm, predominando los puntiformes y la ubicación unilateral.
Palabras clave: calcificaciones, tonsila palatina, tonsila faríngea, tomografía computarizada de haz cónico, faringitis.
Abstract: The origin of tonsilloliths is related to a history of recurring tonsillitis or tonsillar abscesses during childhood. This study investigates the frequency, number, location, size, shape, as well as the age and sex of the patients, in order to establish parameters for the characteristics and statistical data that contribute to the early detection of this condition. Objective: To determine the characteristics of tonsilloliths in cone beam computed tomography (CBCT) scans of patients treated at the Teaching Dental Center of Universidad Peruana Cayetano Heredia. Material and methods: An observational, descriptive, retrospective, cross-sectional study was conducted, analyzing all CBCT scans from the period 2018-2021. Out of the total scans, 200 met the selection criteria. The chi-square test was used to establish relationships between variables, with a 95% confidence interval and a significance level of 0.05. Results: Among the 200 CBCT scans analyzed, 49 (24.5 %) showed tonsilloliths. Among these, 39 (19.5 %) belonged to female patients, while 32 (16 %) were patients older than 50 years. A total of 21 (42.86 %) scans presented a single tonsillolith, and 30 (61.2%) were located unilaterally. The analysis revealed a total count of 124 tonsilloliths, with 64 (51.6%) located on the right side. Furthermore, 88 (71.96 %) of the tonsilloliths exhibited a punctiform shape, with an average size of 1.68 mm. Conclusions: Tonsilloliths demonstrated a high frequency, primarily among females from the fifth decade of life, with sizes less than 2 mm, predominantly punctiform in shape, and located unilaterally.
Keywords: calcifications, palatine tonsil, pharyngeal tonsil, cone beam computed tomography, pharyngitis.
Resumo: A origem dos tonsilólitos está relacionada a um histórico de tonsilites repetidas na infância ou abscessos tonsilares. O presente estudo investigou a frequência, o número, a localização, o tamanho, a forma, a idade e o sexo dos pacientes, a fim de fornecer parâmetros característicos e dados estatísticos que contribuam para a detecção precoce dessa patologia. Objetivo: Determinar as características dos tonsilólitos em exames de tomografia computadorizada de feixe cônico (TCHC) de pacientes atendidos no Centro Dental Docente da Universidad Peruana Cayetano Heredia. Material e métodos: Foi realizado um estudo observacional, descritivo, retrospectivo e transversal, no qual foram analisados todos os TCHC do período 2018-2021, dos quais 200 atenderam aos critérios de seleção. O teste qui-quadrado foi usado para relacionar as variáveis, com um intervalo de confiança de 95% e um nível de significância de 0,05. Resultados: Dos 200 TCHC analisados, 49 (24,5%) apresentaram tonsilólitos, dos quais 39 (19,5%) pertenciam ao sexo feminino. Além disso, 32 (16%) pacientes tinham mais de 50 anos de idade, 21 (42,86%) possuíam apenas um tonsilólito, e 30 (61,2%) estavam localizados unilateralmente. Foram contabilizados um total de 124 tonsilólitos; desses, 64 (51,6%) estavam localizados no lado direito, 88 (71,96%) tinham forma puntiforme e um tamanho médio de 1,68 mm. Conclusões: Os tonsilólitos foram altamente prevalentes, principalmente em mulheres a partir da quinta década de vida, com tamanho inferior a 2 mm, predominantemente puntiformes e com localização unilateral.
Palavras-chave: calcificações, tonsila palatina, tonsila faríngea, tomografia computadorizada de feixe cônico, faringite.
INTRODUCCIÓN
La calcificación es un fenómeno bioquímico que se produce en el organismo de manera natural. Se caracteriza por el depósito de sales de calcio. Estas calcificaciones ocurren como resultado de una mineralización fisiológica o patológica (heterópicas). Asimismo, estas calcificaciones heterotópicas se dividen en distróficas, idiopáticas y metastásicas (1-3). La calcificación distrófica se produce cuando hay un nivel de calcio en sangre normal con un insuficiente aporte sanguíneo, formando tejido necrótico, este es el caso de los tonsilolitos (4,5).
Los tonsilolitos están relacionados con antecedentes de amigdalitis repetidas veces en la infancia y/o abscesos amigdalinos. Cuando son pequeños pueden ser asintomáticos; sin embargo, los grandes producen síntomas, como dolor, sensación de cuerpo extraño en la garganta, hinchazón, disfagia, otalgia, absceso periamigdalino y halitosis (6-8). En las tomografías computarizadas de haz cónico (TCHC), los tonsilolitos se localizan en el tejido blando medial a la rama mandibular y junto a la pared lateral del espacio aéreo orofaríngeo y nasofaríngeo (amígdalas palatinas, lingual, nasofaríngea y tubárica) (1). Las amígdalas palatinas se localizan entre el arco palatogloso anterior y el arco palatofaríngeo posterior; las amígdalas linguales, en la base de la lengua; las amígdalas nasofaríngeas, en la porción superior de la nasofaringe; y las amígdalas tubáricas, en la submucosa del orificio faríngeo de la trompa de Eustaquio y en la fosa de Rosenmüller. La apariencia más común de los tonsilolitos es un grupo de múltiples hiperdensidades mal definidas de tamaño pequeño y a veces grande (8-12).
Los tonsilolitos son calcificaciones muy frecuentes. Por ello, en la práctica profesional, el radiólogo bucal y maxilofacial puede detectarlos en los informes radiológicos; de no hacerlo, por considerarlas inofensivas, podrían propiciar la cronicidad de dichas patologías que serían contraproducentes para la salud del paciente (2,3).
El objetivo del presente artículo fue presentar las características de los tonsilolitos en TCHC de pacientes atendidos en el Centro Dental Docente de la Universidad Peruana Cayetano Heredia (CDD-UPCH).
MATERIAL Y MÉTODOS
El diseño del estudio fue observacional, descriptivo, retrospectivo y transversal. La población constó de todas las TCHC de pacientes atendidos en el CDD-UPCH en el período 2018-2021 en la sede San Isidro; de las cuales, 200 tomografías cumplieron con los criterios de selección. El muestreo fue no probabilístico y por conveniencia.
Los criterios de inclusión fueron que las TCHC tengan campo de visión amplio que permita la correcta visualización de la zona de interés; que pertenezcan a pacientes de ambos sexos atendidos entre los años 2018 y 2021; que cumplan los criterios de calidad, como resolución y nitidez adecuados, evitando errores en su adquisición. Se excluyeron aquellas TCHC que mostraban artefactos en la zona de interés.
Para realizar el presente estudio se obtuvo la autorización del Comité Institucional de Ética de la UPCH. Posteriormente, mediante solicitud, se pidió a las autoridades de posgrado de la misma universidad el permiso para recolectar las TCHC requeridas de la base de datos del Servicio de Radiología Bucomaxilofacial del CDD-UPCH (sede San Isidro). Las tomografías fueron codificadas mediante un número correlativo asignado al ejecutar el análisis, manteniendo así el anonimato de los pacientes. Debido a esto no fue necesario el consentimiento informado de los mismos.
Para el estudio se utilizó la unidad de TCHC (Sirona, Benheim, Alemania), que opera de 10 mA a 42 mA y a 85 kV, tamaño de vóxel isotrópico: 0,3 mm. Para analizar las imágenes se utilizó el software Galileos 1.7.2. La evaluación se realizó durante las tardes, en un promedio de cuatro horas por día. Se visualizaron en una habitación tranquila con una correcta iluminación. Las tomografías se analizaron minuciosamente en una pantalla marca Lenovo de 1600 ´ 900 píxeles de resolución, con un sistema operativo de 32 bits y 21 pulgadas de tamaño.
Antes de que las TCHC sean analizadas, el investigador fue previamente capacitado y calibrado por una especialista en radiología bucal y maxilofacial con más de diez años de experiencia, docente de la Facultad de Estomatología de la UPCH, obteniendo un índice de Kappa de 1 y un coeficiente de correlación interclase (CCI) de 0,960.
El investigador registró en la ficha de recolección de datos el grupo etario y el sexo de los pacientes seleccionados; además, utilizó la reconstrucción multiplanar (MPR) para localizar los tonsilolitos en las amígdalas nasofaríngeas, palatinas y linguales; posteriormente, evaluó sus características tomográficas, como el número, la localización anatómica, la forma y el tamaño.
Los datos obtenidos fueron analizados por medio del programa estadístico SPSS. v. 25. Luego los resultados se presentaron en tablas. Para relacionar las variables se utilizó la prueba de chi cuadrado con un intervalo de confianza de 95 % y un nivel de significancia de 0,05.
RESULTADOS
Se revisaron TCHC de pacientes que acudieron al Servicio de Radiología Oral y Maxilofacial del CDD-UPCH entre los años 2018 y 2021; de las cuales, 200 TCHC cumplieron los criterios de selección. Se encontró que el 24,5 % (n = 49) presentaron tonsilolitos en las criptas amigdalianas. El 5 % (n = 10) del total de TCHC corresponden a pacientes del sexo masculino que presentaron tonsilolitos; y el 19,5 % (n = 39) del total, a pacientes de sexo femenino que presentaron tonsilolitos. Asimismo, se encontró una asociación significativa entre el sexo y los tonsilolitos, con predominio del sexo femenino (p < 0,05) (tabla 1).
| Sexo | Tonsilolitos | Total | ||||
| Presentes | Ausentes | |||||
| n | % | n | % | n | % | |
| Masculino | 10 | 5 | 57 | 28,5 | 67 | 33,5 |
| Femenino | 39 | 19,5 | 94 | 47 | 133 | 66,5 |
| Total | 49 | 24,5 | 151 | 75,5 | 200 | 100,00 |
Las décadas de vida con mayor frecuencia de tonsilolitos fueron la de 51 a 60 años, con 6 % (n = 12), y la de 61 a 70 años, con 7,5 % (n = 15); y las de menor frecuencia fueron la primera vida (0 a 10 años) y la de 81 a 90 años, ambas con 0 % (n = 0) (tabla 2).
| Edad en décadas | Tonsilolitos | Total | ||||
| Presentes | Ausentes | |||||
| n | % | n | % | n | % | |
| 0 a 10 años | 0 | 0,00 | 3 | 1,5 | 3 | 1,5 |
| 11 a 20 años | 3 | 1,5 | 27 | 13,5 | 30 | 15,0 |
| 21 a 30 años | 3 | 1,5 | 14 | 7 | 17 | 8,5 |
| 31 a 40 años | 4 | 2,0 | 18 | 9 | 22 | 11,0 |
| 41 a 50 años | 7 | 3,5 | 18 | 9 | 25 | 12,5 |
| 51 a 60 años | 12 | 6 | 32 | 16 | 44 | 22,0 |
| 61 a 70 años | 15 | 7,5 | 29 | 14,5 | 44 | 22,0 |
| 71 a 80 años | 5 | 2,5 | 7 | 3,5 | 12 | 6,0 |
| 81 a 90 años | 0 | 0,00 | 3 | 1,5 | 3 | 1,5 |
| Total | 49 | 24,5 | 151 | 75,5 | 200 | 100,00 |
Presentaron tonsilolitos el 8,5 % (n = 17) de TCHC de pacientes menores de 50 años y el 16 % (n = 32) de TCHC de pacientes mayores de 50 años. Por tanto, se encontró una asociación significativa entre el grupo etario mayor a 50 años y los tonsilolitos (p < 0,05) (tabla 3).
| Edad | Tonsilolitos | Total | ||||
| Presentan | No presentan | |||||
| n | % | n | % | n | % | |
| 0-50 años | 17 | 8,5 | 80 | 40,0 | 97 | 48,5 |
| 51-83 años | 32 | 16,0 | 71 | 35,5 | 103 | 51,5 |
| Total | 49 | 24,5% | 151 | 75,5 | 200 | 100,00% |
| Nota: Pearson chi2 (1) = 4,953; p = 0,026 | ||||||
La edad promedio de los pacientes con tonsilolitos en las TCHC, según sexo, fue de 50,83 años para los hombres y 57,43 años para las mujeres. La paciente de menor edad registrada fue de 11 años y la mayor fue de 80 años (tabla 4).
| Sexo | n | | d. e. | Valor mínimo | Valor máximo |
| Masculino | 23 | 50,83 | 13,803 | 29 | 69 |
| Femenino | 101 | 57,43 | 14,688 | 11 | 80 |
| Total | 124 | 56,20 | 14,700 | 11 | 80 |
En las 49 TCHC con presencia de tonsilolitos se encontraron 124 tonsilolitos en total. De dichas TCHC, el 42,86 % (n = 21) presentaron un solo tonsilolito; y el 57,14 % (n = 28), más de uno por TCHC. La mayor cantidad de tonsilolitos encontrados en una sola TCHC fue 11 (tabla 5).
| Número de tonsilolitos presentes | Sexo | Total | ||||
| Masculino | Femenino | |||||
| n | % | n | % | n | % | |
| 1 | 3 | 6,12 | 18 | 36,73 | 21 | 42,86 |
| 2 | 2 | 4,08 | 6 | 12,24 | 8 | 16,33 |
| 3 | 4 | 8,16 | 7 | 14,29 | 11 | 22,45 |
| 4 | 1 | 2,04 | 3 | 6,12 | 4 | 8,16 |
| 6 | 0 | 0,00 | 2 | 4,08 | 2 | 4,08 |
| 7 | 0 | 0,00 | 1 | 2,04 | 1 | 2,04 |
| 8 | 0 | 0,00 | 1 | 2,04 | 1 | 2,04 |
| 11 | 0 | 0,00 | 1 | 2,04 | 1 | 2,04 |
| Total | 10 | 20,41 | 39 | 79,59 | 49 | 100,00 |
Del total de 49 TCHC con tonsilolitos, el 61,2 % (n = 30) fueron unilaterales y el 38,8 % (n = 19) fueron bilaterales (tabla 6).
| Localización | Sexo | Total | ||||
| Masculino | Femenino | |||||
| n | % | n | % | n | % | |
| Unilateral | 3 | 6,12 | 27 | 55,10 | 30 | 61,22 |
| Bilateral | 9 | 18,36 | 10 | 20,40 | 19 | 38,77 |
| Total | 12 | 24,48 | 37 | 75,51 | 49 | 100,00 |
Del total de 124 tonsilolitos evaluados, el lado de mayor frecuencia fue el lado derecho con un 51,6 % (n = 64); asimismo, el lado izquierdo presentó un 48,4% (n = 60). No se encontró una asociación significativa entre la localización derecha o izquierda y los tonsilolitos (p > 0,05) (tabla 7).
| Localización | Sexo | Total | ||||
| Masculino | Femenino | |||||
| n | % | n | % | n | % | |
| Derecha | 10 | 8,06 | 54 | 43,55 | 64 | 51,61 |
| Izquierda | 13 | 10,48 | 47 | 37,90 | 60 | 48,39 |
| Total | 23 | 18,55 | 101 | 81,45 | 124 | 100,00 |
El tamaño promedio de los 124 tonsilolitos evaluados fue de 1,68 mm de diámetro. El de mayor tamaño fue de 5,23 mm y el de menor tamaño fue de 0,45 mm (tabla 8).
| Sexo | n | | d.e. | Valor mínimo | Valor máximo |
| Masculino | 23 | 2,03 | 0,867 | 0,93 | 3,43 |
| Femenino | 101 | 1,59 | 0,954 | 0,45 | 5,23 |
| Total | 124 | 1,68 | 0,951 | 0,45 | 5,23 |
De los 124 tonsilolitos encontrados, la forma más frecuente fue la puntiforme con 71,96 % (n = 88); seguida de la irregular con 21,96% (n = 26); y, finalmente, la ovalada con 8,06 % (n = 10) (tabla 9).
| Forma | Sexo | Total | ||||
| Masculino | Femenino | |||||
| n | % | n | % | n | % | |
| Puntiforme | 14 | 11,29 | 74 | 59,67 | 88 | 70,97 |
| Ovalado | 2 | 1,61 | 8 | 6,45 | 10 | 8,06 |
| Irregular | 7 | 5,64 | 19 | 15,32 | 26 | 20,97 |
| Total | 23 | 11,5 | 101 | 40,32 | 124 | 100,00 |
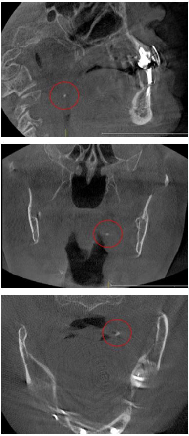
Los tonsilolitos encontrados afectaron, principalmente, a las amígdalas palatinas (figura 1), con un 96,8 % (n = 120); a las amígdalas linguales (figura 2), con un 2,4 % (n = 3); y, finalmente, a las amígdalas nasofaríngeas (figura 3), con un 0,8 % (n = 1) (tabla 10).
| Tipo de amígdala afectada | Sexo | Total | ||||
| Masculino | Femenino | |||||
| n | % | n | % | n | % | |
| Palatina | 23 | 18,55 | 97 | 78,23 | 120 | 96,77 |
| Lingual | 0 | 0,00 | 3 | 2,42 | 3 | 2,42 |
| Nasofaríngea | 0 | 0,00 | 1 | 0,81 | 1 | 0,81 |
| Total | 23 | 18,55 | 101 | 81,45 | 124 | 100,00 |

Imágenes tomadas del archivo del Servicio de Radiología Bucal y Maxilofacial del CDD-UPCH

Imágenes tomadas del archivo del Servicio de Radiología Bucal y Maxilofacial del CDD-UPCH (sede San Isidro).

Imágenes tomadas del archivo del Servicio de Radiología Bucal y Maxilofacial del CDD-UPCH (sede San Isidro)
DISCUSIÓN
La prevalencia de los tonsilolitos oscila entre un 16 y 46,1 % en TCHC. Este intervalo puede deberse a diferentes características demográficas de los pacientes estudiados. Además, los resultados pueden variar según las condiciones de salud, como la mala higiene bucal y los hábitos de los individuos examinados. Este amplio rango de prevalencia podría explicarse, al menos en parte, por el tamaño de vóxel de la TCHC (9).
En el presente estudio, de las 200 TCHC que cumplieron los criterios de selección, se encontró una prevalencia de 24,5 % (n = 49) con tonsilolitos en las criptas amigdalianas, lo cual coincide con lo reportado por Fauroux et al. (13). Esta prevalencia indica que los tonsilolitos son uno de los hallazgos más comunes entre las calcificaciones patológicas y fisiológicas en la región de la cabeza y el cuello debido a que la faringitis es muy frecuente en la población; y, con el pasar de los años, este tipo de proceso infeccioso, sumado a restos de alimentos, ocasiona calcificaciones distróficas en las criptas amigdalianas (13,14).
Del total de TCHC que presentaron tonsilolitos (n = 49), estos fueron más prevalentes en el sexo femenino con 19,60 % (n = 39) (p < 0,05). Ello no concuerda con lo reportado por Kim et al. (14), quienes encontraron una prevalencia de tonsilolitos significativamente mayor en el sexo masculino que en el femenino. Esta diferencia puede deberse a que la mayor cantidad de TCHC analizadas en nuestro estudio perteneció al sexo femenino: 66,5 % (n = 133).
El grupo etario de los pacientes mayores de 50 años guardó relación significativa (p < 0,05) con la prevalencia de tonsilolitos. Esta condición fue creciendo conforme aumentó la edad de los pacientes, lo que comenzó a notarse ligeramente a partir de los 41 años, y haciéndose más notoria entre los 51 a 70 años. Por el contrario, en pacientes jóvenes menores de 30 años fue muy escasa la presencia de tonsilolitos. Resultados similares reportaron Oda et al. (7). En nuestro estudio, la edad promedio de los pacientes con tonsilolitos en TCHC según sexo fue de 50,83 años para los hombres y 57,43 años para las mujeres. Es probable que la inflamación crónica en la orofaringe persista en los pacientes mayores, debido a que ellos también tienden a presentar una tasa más alta de tabaquismo e higiene oral deficiente (7).
En las 49 TCHC con presencia de tonsilolitos se encontraron 124 tonsilolitos. De estas tomografías, 21 presentaron 1 solo tonsilolito y 28 TCHC presentaron más de 1 tonsilolito por TCHC. Ello coincide con lo reportado por Ozdede et al. (6). Además, los tonsilolitos fueron predominantemente unilaterales: 61,22 % (n = 30 TCHC), sin mostrar diferencia significativa entre los lados afectados derecho e izquierdo; ello coincide con los resultados de Takahashi et al. (9). Aunque se requieren más estudios, se deduce que los múltiples tonsilolitos pequeños agrupados unilateralmente próximos están predispuestos a crecer más cerca unos de otros y finalmente formar un tonsilolito grande; es por ello que predominan los tonsilolitos unilaterales y en varias ocasiones cerca uno del otro.
La mayor proporción de los tonsilolitos encontrados tuvieron un diámetro menor a 2 mm, y el tamaño promedio fue de 1,68 mm de diámetro. Ello coincide con lo reportado por Oda et al. (7). Estos tonsilolitos menores de 2 mm fueron puntiformes, mientras que los tonsilolitos de mayor tamaño tuvieron una forma predominantemente irregular, lo que supondría una tendencia de crecimiento que iría desde una forma puntiforme en la etapa inicial hacia una forma más grande e irregular en la etapa más avanzada.
Los tonsilolitos fueron encontrados principalmente en la amígdala palatina, en un 96,77 % (n = 120); seguido de la amígdala lingual, en un 2,42 % (n = 3); de las amígdalas nasofaríngeas, 0,81% (n = 1); y finalmente no se encontraron tonsilolitos en las amígdalas tubáricas. Ello coincide con distintos informes (8,10,11), que muestran que los tonsilolitos palatinos son uno de los hallazgos más comunes entre las calcificaciones patológicas en la región de la cabeza y el cuello, oscilando entre el 16 % y el 46,1 %. La alta prevalencia de tonsilolitos en las amígdalas palatinas podría deberse a que estas presentan criptas más profundas, ramificadas y relativamente apretadas. Las amígdalas linguales presentan criptas poco aplanadas, poco ramificadas, bastante separadas unas de otras. Las amígdalas faríngeas y tubáricas no presentan criptas típicas sino pliegues con recesos irregulares. Además, las amígdalas palatinas suelen estar más expuestas a las infecciones crónicas recurrentes, al tabaquismo, a las bebidas alcohólicas y a la mala higiene en comparación con las amígdalas linguales nasofaríngeas (12,15).
CONCLUSIONES
Los tonsilolitos presentaron una alta frecuencia principalmente en el sexo femenino, a partir de la quinta década de la vida, con un tamaño menor a 2 mm, predominando los puntiformes y la ubicación unilateral.
Por la pandemia de la COVID-19 (2020 y 2021), la cantidad de TCHC en el Servicio de Radiología Oral y Maxilofacial del CDD-UPCH se redujo en comparación con años anteriores, disminuyendo nuestro tamaño de muestra, lo que, a su vez, significó una limitación para el estudio.
Recomendamos continuar con el estudio de los tonsilolitos, para lo cual se debería aumentar el tamaño de la muestra y evaluar su densidad en tomografía espiral multiforme. Ello brindaría mayor información y contribuiría en el diagnóstico diferencial.
Agradecimientos
A nuestros docentes, quienes con su vocación en cada clase son nuestra guía en el camino para ser mejores profesionales.
REFERENCIAS BIBLIOGRÁFICAS
1. Mallya S, Lam E. White and Pharoah's Oral Radiology: principles and interpretation. 7.. ed. St. Louis, Missouri: Mosby/Elsevier; 2009.
2. Yalcin ED, Ararat E. Prevalence of soft tissue calcifications in the head and neck region: a cone-beam computed tomography study. Niger J Clin Pract [Internet]. 2020; 23(6): 759-763. Disponible en: https://journals.lww.com/njcp/Fulltext/2020/23060/Prevalence_of_Soft_Tissue_Calcifications_in_the.3.aspx
3. Meléndez Rojas P, Arancibia Mesas L, Poblete Carrasco C. Prevalence of soft tissue calcifications in CBCT images from the Oral and Maxillofacial Radiology Service at UNAB, Viña del Mar, Chile. J Oral Res [Internet]. 2020; 9(6): 457-465. Disponible en: https://dialnet.unirioja.es/servlet/articulo?codigo=8062997
4. Khojastepour L, Haghnegahdar A, Sayar H. Prevalence of soft tissue calcifications in CBCT images of mandibular region. J Dent (Shiraz) [Internet]. 2017; 18(2): 88-94. Disponible en: https://www.ncbi.nlm.nih.gov/pmc/articles/PMC5463776/
5. Barghan S, Tahmasbi Arashlow M, Nair MK. Incidental findings on cone beam computed tomography studies outside of the maxillofacial skeleton. Int J Dent [Internet]. 2016; 2016: 9196503. Disponible en: https://www.hindawi.com/journals/ijd/2016/9196503/
6. Ozdede M, Akay G, Karadag O, Peker I. Comparison of panoramic radiography and cone-beam computed tomography for the detection of tonsilloliths. Med Princ Pract [Internet]. 2020; 29(3): 279-284. Disponible en: https://karger.com/mpp/article/29/3/279/204514/Comparison-of-Panoramic-Radiography-and-Cone-Beam
7. Oda M, Kito S, Tanaka T, Nishida I, Awano S, Fujita Y, et al. Prevalence and imaging characteristics of detectable tonsilloliths on 482 pairs of consecutive CT and panoramic radiographs. BMC Oral Health [Internet]. 2013; 13: 54. Disponible en: https://bmcoralhealth.biomedcentral.com/articles/10.1186/1472-6831-13-54
8. Takahashi A, Sugawara C, Kudoh T, Uchida D, Tamatani T, Nagai H, et al. Prevalence and imaging characteristics of palatine tonsilloliths detected by CT in 2873 consecutive patients. Sci World J [Internet]. 2014; 2014: 940960. Disponible en: https://www.hindawi.com/journals/tswj/2014/940960/
9. Takahashi A, Sugawara C, Kudoh T, Ohe G, Takamaru N, Tamatani T, et al. Prevalence and imaging characteristics of palatine tonsilloliths evaluated on 2244 pairs of panoramic radiographs and CT images. Clin Oral Investig [Internet]. 2017; 21(1): 85-91. Disponible en: https://link.springer.com/article/10.1007/s00784-016-1752-0
10. Takahashi A, Sugawara C, Akita K, Kamada K, Kudoh K, Tamatani T, et al. Prevalence and imaging characteristics of nasopharyngeal and eustachian tube tonsilloliths in 2244 patients determined using computed tomography. Dentomaxillofac Radiol [Internet]. 2018; 47(7): 20180052. Disponible en: https://www.birpublications.org/doi/10.1259/dmfr.20180052
11. Takahashi A, Sugawara C, Kudoh K, Yamamura Y, Ohe G, Tamatani T, et al. Lingual tonsillolith: prevalence and imaging characteristics evaluated on 2244 pairs of panoramic radiographs and CT images. Dentomaxillofac Radiol [Internet]. 2018; 47(1): 20170251. Disponible en: https://www.birpublications.org/doi/10.1259/dmfr.20170251
12. López M. Adenoides y amígdalas. Rev Chil Pediatr [Internet]. 2001; 72(3): 251-255. Disponible en: http://www.scielo.cl/scielo.php?script=sci_arttext&pid=S0370-41062001000300012&lng=es
13. Fauroux MA, Mas C, Tramini P, Torres JH. Prevalence of palatine tonsilloliths: a retrospective study on 150 consecutive CT examinations. Dentomaxillofac Radiol [Internet]. 2013; 42(7): 20120429. Disponible en: https://www.birpublications.org/doi/10.1259/dmfr.20120429
14. Kim MJ, Kim JE, Huh KH, Yi WJ, Heo MS, Lee SS, et al. Multidetector computed tomography imaging characteristics of asymptomatic palatine tonsilloliths: a retrospective study on 3886 examinations. Oral Surg Oral Med Oral Pathol Oral Radiol [Internet]. 2018; 125(6): 693-698. Disponible en: https://www.oooojournal.net/article/S2212-4403(18)30050-6/fulltext
15. Lee KC, Mandel L. Lingual (not palatine) tonsillolith: case report. J Oral Maxillofac Surg [Internet]. 2019; 77(8): 1650-1654. Disponible en: https://www.joms.org/article/S0278-2391(19)30276-9/fulltext
Notas
Notas de autor
Correspondencia: Autor encargado: Alex Eduardo Cavero Aguirre. Dirección: COOP. de Vivienda San Juanito San Juan de Miraflores. Lima, Perú. Número de teléfono: 948154484 Correo electrónico: alex.cavero@upch.pe
Declaración de intereses
Enlace alternativo
https://revistas.upch.edu.pe/index.php/REH/article/view/4939/5156 (pdf)