Reportes de caso
Manejo endodóntico guiado por obliteración severa de un incisivo mandibular: reporte de un caso
Endodontic management of a mandibular incisor with severe canal obliteration: a case report
Tratamento endodôntico guiado de obliteração severa de um incisivo mandibular: relato de caso
Manejo endodóntico guiado por obliteración severa de un incisivo mandibular: reporte de un caso
Revista Estomatológica Herediana, vol. 35, núm. 1, pp. 59-64, 2025
Universidad Peruana Cayetano Heredia

Recepción: 02 Mayo 2024
Aprobación: 17 Diciembre 2024
Resumen: Uno de los procedimientos fisiológicos asociados a las injurias provocadas a la pulpa dental es la obliteración del conducto radicular, en donde se observa el estrechamiento parcial o total del mismo, dificultando su acceso o localización. Con la tecnología actual, la planificación digital de la cavidad de acceso, de forma mínimamente invasiva mediante TCHC y un escaneo intraoral de la boca del paciente, mejora esta compleja situación clínica. Se tiene el caso de un paciente de 66 años que presentaba una discromía del incisivo central inferior, con antecedentes de traumatismo dental y una respuesta positiva a las pruebas de percusión, con necrosis pulpar y periodontitis apical sintomática. Se elaboró una impresión tridimensional de una guía de acceso endodóntico. Luego se permeabilizó el conducto radicular de forma controlada y se localizó el conducto mediante un abordaje mínimamente invasivo. El conducto radicular se trató de forma convencional. Finalmente, se demostró la eficiencia del uso de la guía estática para el tratamiento endodóntico de obliteración severa con un seguimiento clínico y radiográfico después de un año.
Palabras clave: calcificación dental, preparación de la cavidad de acceso, tomografía computarizada de haz cónico, impresión tridimensional, traumatismo dental.
Abstract: One of the physiological procedures associated with injuries to the dental pulp is root canal obliteration, characterized by partial or total narrowing of the canal, making its access or localization challenging. With today’s technology, digital planning of the access cavity, using minimally invasive techniques through CBCT and intraoral scanning of the patient’s mouth, improves this complex clinical situation. This case involves a 66-year-old patient with dyschromia of the lower central incisor, a history of dental trauma, and a positive response to percussion testing, with pulp necrosis and symptomatic apical periodontitis. A three-dimensional impression of an endodontic access guide was made. The root canal was then permeabilized in a controlled manner and the canal was located using a minimally invasive approach. The root canal was treated conventionally. Clinical and radiographic follow-up after one year demonstrated the effectiveness of using a static guide for endodontic treatment in cases of severe obliteration.
Keywords: dental calcification, access cavity preparation, cone beam computed tomography, three-dimensional impression, dental trauma.
Resumo: Um dos procedimentos fisiológicos associados a lesões na polpa dentária é a obliteração do canal radicular, onde se observa o estreitamento parcial ou total do canal, dificultando o acesso ou a localização. Com a tecnologia atual, o planejamento digital da cavidade de acesso, de forma minimamente invasiva, usando a CBCT e uma varredura intraoral da boca do paciente, melhora essa situação clínica complexa. Apresentamos um paciente de 66 anos com discromia do incisivo central inferior, histórico de trauma dentário e resposta positiva aos testes de percussão, com necrose pulpar e periodontite apical sintomática. Foi feita uma moldagem tridimensional de um guia de acesso endodôntico. O canal radicular foi então permeabilizado de forma controlada e o canal foi localizado por meio de uma abordagem minimamente invasiva. O canal radicular foi tratado de forma convencional. Por fim, a eficiência do uso do guia estático para o tratamento endodôntico de obliteração grave foi demonstrada com acompanhamento clínico e radiográfico após um ano.
Palavras-chave: calcificação dentária, preparo da cavidade de acesso, tomografia computadorizada de feixe cônico, moldagem tridimensional, trauma dentário.
INTRODUCCIÓN
Uno de los procedimientos fisiológicos asociados a las injurias provocadas a la pulpa dental es la obliteración del conducto radicular, donde se observa el estrechamiento parcial o total del mismo, lo que dificulta su acceso o localización (1, 2). Muchos de estos casos son asintomáticos y se detectan mediante imágenes auxiliares rutinarias, como radiografías periapicales, radiografías panorámicas y tomografía computarizada de haz cónico (TCHC) (3).
Cuando existe patología pulpar o periapical en dientes con obliteración del conducto radicular, el grado de complejidad aumenta hasta el punto de convertirse en un reto para el clínico. Por lo tanto, existe un alto riesgo de cometer un error de procedimiento, en el afán de localizar el conducto radicular (4). Con la tecnología actual, lo ideal es realizar una planificación digital a través de un escaneo intraoral de la boca del paciente y de la TCHC, con el fin de realizar un acceso conservador, localizando el conducto radicular de forma mínimamente invasiva (5). Este procedimiento se denomina endodoncia guiada y se presenta como una alternativa de tratamiento para dientes obliterados, que reduce el tiempo de tratamiento y disminuye significativamente los errores de procedimiento (6, 7).
Hoy en día, la impresión 3D en odontología se utiliza ampliamente en endodoncia para la producción de guías estáticas, guías quirúrgicas y la replicación tridimensional de dientes para procedimientos de autotrasplante dental, proporcionando una alternativa rápida, precisa, segura y cada vez más barata en el proceso de fabricación (8).
Este reporte de caso presenta un tratamiento endodóntico guiado de un incisivo central inferior severamente obliterado y con presencia de patología periapical.
PRESENTACIÓN DEL CASO
Paciente masculino de 66 años que acudió a consulta de endodoncia, debido a que presentaba dolor constante durante la masticación y la palpación en un incisivo central inferior con discromía dental. Dentro de sus antecedentes médicos, el paciente presenta hipertensión arterial controlada y, en sus antecedentes odontológicos, refiere un traumatismo dental desde hace más de 3 años.
El incisivo central mandibular mostró una respuesta positiva tanto a las pruebas de percusión vertical como a las de percusión horizontal, y ninguna respuesta a la prueba de vitalidad pulpar térmica. La radiografía periapical inicial (figura 1A) demostró la presencia de obliteración severa del conducto radicular a nivel de la pulpa cameral y radicular, en comparación con los incisivos central y lateral adyacentes. El diente 41 presentaba evidencia radiográfica de periodontitis apical. Se realizó una TCHC de maxilares con un FOV 16×18 cm en un tomógrafo (GIANO HR, NewTom®, Imola, Italia). Las imágenes tomográficas confirmaron la presencia de una calcificación severa del conducto y patología periapical (figura 2).

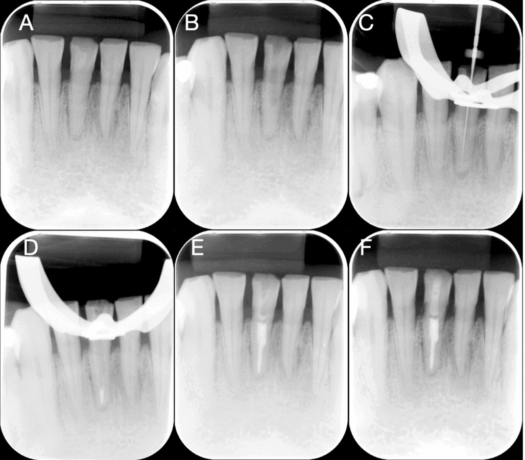
Figura 1. Control radiográfico: A) Radiografía periapical inicial en donde se observa obliteración completa del conducto; B) Radiografía de control de acceso endodóntico con fresa ATEC hasta tercio medio; C) Radiografía de control de conductometría con lima K10; D) Radiografía de control de conometría técnica de onda continua de calor; E) Radiografía de control de obturación del conducto radicular; F) Radiografía periapical de control de un año después del tratamiento.

Figura 2. Observación de obliteración severa y patología periapical en TCHC: A) Observación de obliteración severa en el corte sagital; B) Observación de obliteración severa en el corte axial; C) Observación de obliteración severa en el corte transaxial y presencia de patología periapical.
El diagnóstico pulpar definitivo fue necrosis pulpar y el diagnóstico periapical fue periodontitis apical sintomática. Se propuso un tratamiento de conducto con el uso de una guía endodóntica estática para reducir el riesgo de cometer un error de procedimiento. Como tratamiento alternativo de contingencia, se informó al paciente sobre la posibilidad de la extracción del diente. El paciente optó por la primera propuesta para la conservación de su diente permanente.
Con el uso de un escáner intraoral (Helios 600, Eighteeth®, Changzhou, China), se creó un modelo digital de la arcada del paciente, el cual se exportó en un archivo STL. Los dos archivos (TCHC y STL) se procesaron con un software (Romexis® 3D implantology, Planmeca, Helsinki, Finlandia), luego se alinearon y se planificó el acceso con una fresa ATEC de 1,0 mm de diámetro y 21 mm de longitud (Endoseal®, Steco, Hamburgo, Alemania). La fresa se superpuso hacia el tercio medio de la raíz. La guía se diseñó con un orificio para introducir un casquillo de titanio de 5 mm y un diámetro de orificio de entrada de 1 mm (Casquillo Endo, Steco®, Hamburgo, Alemania) y se exportó como archivo STL para su reproducción en una impresora 3D (figura 3A).

Figura 3. Imágenes clínicas del procedimiento y guía endodóntica: A) Guía endodóntica estática con casquillo de titanio instalado; B) Localización del conducto radicular; C) Fresa ATEC 28 mm y casquillo de titanio 5 mm; D) Obturación tridimensional del conducto radicular.
Se obtuvo el consentimiento informado del paciente y se procedió a realizar la prueba de la guía para verificar el ajuste correcto sobre las superficies incisales de los dientes anteriores mandibulares. Se administró anestesia local infiltrativa con vasoconstrictor y se realizó una marca a través de la guía para identificar el punto de acceso con una mina de lápiz. Se eliminó el esmalte de forma mínimamente invasiva hasta exponer la dentina, utilizando una fresa de diamante redonda (1014, Microdont®, Sao Paulo, Brasil). A continuación, la fresa ATEC (figura 3C) se ajustó en un motor endodóntico con una velocidad de rotación de 1000 rpm y 2,5 Ncm de torque; y se accedió hasta el tercio medio radicular, con abundante irrigación y con movimientos hacia dentro y hacia fuera, hasta alcanzar el punto de referencia marcado en la fresa ATEC. Se realizó una radiografía de control del acceso (figura 1B).
La preparación del acceso duró aproximadamente 10 minutos. A continuación, se aisló completamente el diente para el tratamiento endodóntico convencional (figura 3B). Con la magnificación de 1,6x del microscopio quirúrgico (RM-2000 Plus, Rogin Dental®, Shenzhen, China), se localizó el conducto con un explorador endodóntico DG16 y unas limas de preserie de 25 mm (K08 y K10, Maillefer®, Ballaigues, Suiza). Se tomó una radiografía periapical de conductometría para verificar el acceso al conducto radicular (figura 1C). Posteriormente, se irrigó con hipoclorito sódico al 5,25 % y se instrumentó con un sistema reciprocante hasta una R40 (Reciproc, VDW®, Múnich, Alemania). Se realizó una activación sónica final con la punta (Eddy, VDW, Múnich, Alemania) con 5 intervalos de un minuto de hipoclorito de sodio al 5,25 %, irrigación con 5 mL de solución salina y un intervalo de un minuto de solución de ácido etilendiaminotetraacético (EDTA 18 %, Ultradent®, South Jordan, EE. UU.).
A continuación, se realizó una irrigación final con 5 mL de solución salina. El procedimiento se completó con el uso de conos estériles (Reciproc, VDW®, Múnich, Alemania) para el secado. La obturación se realizó con un cono maestro 40/04 (puntas de gutapercha; Coltene®, Langenau, Alemania) utilizando cemento de sellado de conductos a base de resina epoxi amino (AH Plus, Dentsply®, Erlangen, Alemania). Se realizó una radiografía de control de obturación a nivel del tercio apical (figura 1D) y, con la técnica de onda continua de calor (Beefill 2 en 1; VDW®, Múnich, Alemania), se completó la obturación hasta el tercio cameral del conducto radicular. La cavidad de acceso se limpió con un algodón humedecido en etanol y se selló la endodoncia con resina fluida (figura 3D).
Se realizaron controles radiográficos durante todas las fases del tratamiento, llevados a cabo en una única sesión, observándose una adecuada obturación tridimensional hasta la longitud de trabajo (figura 1E). El control a distancia se efectuó un año después del tratamiento endodóntico, tomando como resultado la ausencia de sintomatología y la neoformación ósea a nivel periapical (figura 1F).
DISCUSIÓN
El diagnóstico y la individualización de los tratamientos endodónticos son fundamentales para conseguir la curación y prevención de las patologías pulpares y periapicales (9). Aunque la mayoría de los incisivos mandibulares suelen presentar simetrías morfológicas internas y pocas variantes anatómicas, siguen representando un reto para la realización del tratamiento del conducto radicular (10).
En el caso de un diente con el conducto obliterado, su eje longitudinal sirve de referencia para acceder al conducto radicular (6). Se ha intentado llevar a cabo este tipo de procedimiento de forma convencional utilizando ultrasonidos y el microscopio quirúrgico dental (11). En este tipo de abordaje terapéutico, debido al alto riesgo de errores de procedimiento y a la complejidad anatómica interna de los conductos obliterados, se justifica el uso de la TCHC durante la planificación del tratamiento endodóntico, con más beneficios que riesgos en cuanto al aumento de la exposición del paciente a la radiación, en comparación con las radiografías periapicales (12-15).
La endodoncia guiada minimiza el desgaste de la dentina y reduce el riesgo potencial de errores de procedimiento, al mismo tiempo que preserva la mayor cantidad posible de tejido dental sano (16). En el presente reporte de caso, existían limitaciones debido a la severa obliteración del conducto; por lo tanto, se realizó un desgaste hacia la pared mesial del conducto radicular durante la ejecución del procedimiento debido a la falta de una referencia precisa para determinar dónde se podría situar el conducto a nivel del tercio apical radicular durante la planificación digital de la guía estática. Sin embargo, esta limitación se superó con la ayuda de la magnificación lograda con el microscopio, que permitió observar la entrada del conducto previo a la eliminación del barrillo dentinario con soluciones irrigantes. Con limas de preserie, se accedió al tercio apical del conducto radicular. Por tanto, se recomienda utilizar fresas de endodoncia guiada y casquillo de titanio introducido en la impresión tridimensional de la guía para evitar movimientos no deseados durante la ejecución del tratamiento (17).
Cuando el diente a tratar no tiene dientes adyacentes, se recomienda estabilizar la guía con anclajes óseos (15, 17, 18); sin embargo, en este caso, no fue necesario porque se observó una buena estabilidad a nivel de los dientes adyacentes, lo que redujo la probabilidad de movimientos no deseados durante el procedimiento. Por tanto, la endodoncia guiada es un procedimiento novedoso para el tratamiento de dientes obliterados. Es necesario seguir investigando e innovando las fresas de acceso, disminuyendo sus diámetros y resistencia durante la preparación, ya que una limitación puede provocar alteraciones en la forma original del conducto radicular (19).
CONCLUSIÓN
En este reporte de caso, se demostró la eficiencia del uso de una guía estática para el tratamiento endodóntico de un conducto con obliteración severa.
REFERENCIAS
1. Yang X, Zhang Y, Chen X, Huang L, Qiu X. Limitations and management of dynamic navigation system for locating calcified canals failure. J Endod [Internet]. 2024; 50(1): 96-105. Disponible en: https://doi.org/10.1016/j.joen.2023.10.010
2. Jiandong B, Yunxiao Z, Zuhua W, Yan H, Shuangshuang G, Junke L, et al. Generalized pulp canal obliteration in a patient on long-term glucocorticoids: a case report and literature review. BMC Oral Health [Internet]. 2022; 22: 352. Disponible en: https://doi.org/10.1186/s12903-022-02387-9
3. Chan F, Brown LF, Parashos P. CBCT in contemporary endodontics. Aust Dent J [Internet]. 2023; 68(S1): S39-S55. Disponible en: https://doi.org/10.1111/adj.12995
4. Connert T, Weiger R, Krastl G. Present status and future directions - Guided endodontics. Int Endod J [Internet]. 2022; 55(S4): 995-1002. Disponible en: https://doi.org/10.1111/iej.13687
5. Tavares WL, Pedrosa NO, Moreira RA, Braga T, Machado VC, Sobrinho AP, et al. Limitations and management of static-guided endodontics failure. J Endod [Internet]. 2022; 48(2): 273-279. Disponible en: https://doi.org/10.1016/j.joen.2021.11.004
6. Krastl G, Zehnder MS, Connert T, Weiger R, Kühl S. Guided endodontics: a novel treatment approach for teeth with pulp canal calcification and apical pathology. Dent Traumatol [Internet]. 2016; 32(3): 240-246. Disponible en: https://doi.org/10.1111/edt.12235
7. Pujol ML, Vidal C, Mercadé M, Muñoz M, Ortolani-Seltenerich S. Guided endodontics for managing severely calcified canals. J Endod [Internet]. 2021; 47(2): 315-321. Disponible en: https://doi.org/10.1016/j.joen.2020.11.026
8. Strbac GD, Schnappauf A, Giannis K, Bertl MH, Moritz A, Ulm C. Guided autotransplantation of teeth: a novel method using virtually planned 3-dimensional templates. J Endod [Internet]. 2016; 42(12): 1844-1850. Disponible en: https://doi.org/10.1016/j.joen.2016.08.021
9. Wolf TG, Stiebritz M, Boemke N, Elsayed I, Paqué F, Wierichs RJ, et al. 3-dimensional analysis and literature review of the root canal morphology and physiological foramen geometry of 125 mandibular incisors by means of micro-computed tomography in a German population. J Endod [Internet]. 2020; 46(2): 184-191. Disponible en: https://doi.org/10.1016/j.joen.2019.11.006
10. Sevgi U, Johnsen GF, Hussain B, Piasecki L, Nogueira LP, Haugen HJ. Morphometric micro-CT study of contralateral mandibular incisors. Clin Oral Investig [Internet]. 2024; 28: 20. Disponible en: https://doi.org/10.1007/s00784-023-05419-y
11. Karobari MI, Iqbal A, Syed J, Batul R, Adil AH, Khawaji SA, et al. Evaluation of root and canal morphology of mandibular premolar amongst Saudi subpopulation using the new system of classification: a CBCT study. BMC Oral Health [Internet]. 2023; 23: 291. Disponible en: https://doi.org/10.1186/s12903-023-03002-1
12. Alamoudi RA, Alzayer FM, Alotaibi RA, Alghamdi F, Zahran S. Assessment of the correlation between systemic conditions and pulp canal calcification: a case-control study. Cureus [Internet]. 2023; 15(9): e45484. Disponible en: https://doi.org/10.7759/cureus.45484
13. Shaban A, Elsewify TM, Hassanein EE. Multiple endodontic guides for root canal localization and preparation in furcation perforations: a report of two cases. Iran Endod J [Internet]. 2023; 18(1): 65-70. Disponible en: https://doi.org/10.22037/iej.v18i1.39498
14. Kolarkodi SH. The importance of cone-beam computed tomography in endodontic therapy: a review. Saudi Dent J [Internet]. 2023; 35(7): 780-784. Disponible en: https://doi.org/10.1016/j.sdentj.2023.07.005
15. Casadei BA, Lara-Mendes ST, Barbosa CF, Araújo CV, Freitas CA, Machado VC, et al. Access to original canal trajectory after deviation and perforation with guided endodontic assistance. Aust Endod J [Internet]. 2019; 46(1): 101-106. Disponible en: https://doi.org/10.1111/aej.12360
16. Hegde SG, Tawani G, Warhadpande M, Raut A, Dakshindas D, Wankhade S. Guided endodontic therapy: management of pulp canal obliteration in the maxillary central incisor. J Conserv Dent [Internet]. 2019; 22(6): 607-611. Disponible en: https://journals.lww.com/jcde/fulltext/2019/22060/guided_endodontic_therapy__management_of_pulp.21.aspx
17. Lara-Mendes ST, Barbosa CF, Machado VC, Santa-Rosa CC. A new approach for minimally invasive access to severely calcified anterior teeth using the guided endodontics technique. J Endod [Internet]. 2018; 44(10): 1578-1582. Disponible en: https://doi.org/10.1016/j.joen.2018.07.006
18. Lara-Mendes ST, Barbosa CF, Santa-Rosa CC, Machado VC. Guided endodontic access in maxillary molars using cone-beam computed tomography and computer-aided design/computer-aided manufacturing system: a case report. J Endod [Internet]. 2018; 44(5): 875-879. Disponible en: https://doi.org/10.1016/j.joen.2018.02.009
19. Nayak A, Jain PK, Kankar PK, Jain N. Computer-aided design-based guided endodontic: a novel approach for root canal access cavity preparation. Proc Inst Mech Eng H [Internet]. 2018; 232(8): 787-795. Disponible en: https://doi.org/10.1177/0954411918788104
Notas
Notas de autor
Correspondencia: Henry Paul Valverde Haro. Contacto: henry.valverde@upch.pe
Información adicional
redalyc-journal-id: 4215
Enlace alternativo
https://revistas.upch.edu.pe/index.php/REH/article/view/5389/6088 (pdf)