Reporte de Caso
Manejo del sector anterior alterado por impactación de incisivo central y erupción ectópica de canino: reporte de caso
Management of anterior sector altered by impacted central incisor and ectopic eruption of canine: Case report
Tratamento do setor anterior alterado por incisivo central impactado e erupção ectópica de canino: relato de caso
Manejo del sector anterior alterado por impactación de incisivo central y erupción ectópica de canino: reporte de caso
Revista Estomatológica Herediana, vol. 34, núm. 2, pp. 177-189, 2024
Universidad Peruana Cayetano Heredia. Facultad de Estomatología
Recepção: 22 Setembro 2023
Aprovação: 19 Abril 2024
RESUMEN: Las pérdidas dentales son comunes durante la infancia, posteriores a traumatismos bucodentales. El manejo de los espacios es un tema importante que debe planificarse desde edades tempranas. No intervenir oportunamente puede desencadenar impactación de dientes permanentes, apiñamientos, alteraciones en la erupción dentaria de dientes vecinos o maloclusiones. El presente reporte de caso describe el manejo odontológico realizado por un equipo multidisciplinario que comprendió odontopediatría, ortodoncia, cirugía maxilofacial y periodoncia después de una avulsión dentaria y la posterior impactación dental y erupción ectópica. El tratamiento aplicado consistió en exodoncia de canino primario, distalización de la unidad dentaria 23 para una correcta ubicación y posterior tracción de la unidad dentaria 21, mediante aparatología fija. Si hay una pérdida prematura de dientes primarios en el sector anterior, el paciente debe ser referido a un especialista para evitar posibles consecuencias. La terapéutica indicada dependerá de cada caso en particular, individualizando necesidades, costos y beneficios. La intervención de estos casos debe ser oportuna por el equipo tratante, sobre todo cuando el niño está en una etapa de desarrollo importante, tanto física como psicológicamente. La resolución de complicaciones en el sector anterior debe ser manejada por un grupo multidisciplinario.
Palabras clave: Práctica odontológica, diente impactado, mantenimiento de espacio, reporte de caso.
ABSTRACT: Tooth loss is common during childhood following bucco-dental trauma. Space management is an important issue that should be planned from an early age. Failure to intervene in a timely manner can lead to impacted permanent teeth, crowding, alterations in the eruption of neighboring teeth or malocclusions. This case report describes the dental management performed by a multidisciplinary team that included pediatric dentistry, orthodontics, maxillofacial surgery and periodontics after dental avulsion and subsequent dental impaction and ectopic eruption. The treatment applied consisted of exodontia of the primary canine, distalization of tooth number 23 for correct placement and subsequent traction of tooth number 21, using fixed appliances. If there is premature loss of primary teeth in the anterior sector, the patient should be referred to a specialist to avoid possible consequences. The indicated therapy will depend on each particular case, individualizing needs, costs and benefits. The intervention in these cases should be timely by the treating team, especially when the child is in an important stage of development, both physically and psychologically. The resolution of complications in the anterior sector should be managed by a multidisciplinary group.
Keywords: Odontological practice, impacted tooth, space maintenance, case report.
RESUMO: A perda de dentes é comum durante a infância após um trauma bucodental. O gerenciamento do espaço é uma questão importante que deve ser planejada desde tenra idade. A falta de intervenção oportuna pode levar a dentes permanentes impactados, apinhamento, alterações na erupção dos dentes vizinhos ou maloclusões. Este relato de caso descreve o tratamento odontológico realizado por uma equipe multidisciplinar composta por odontopediatria, ortodontia, cirurgia maxilofacial e periodontia após avulsão dentária e subsequente impactação dentária e erupção ectópica. O tratamento aplicado consistiu na exodontia do canino primário, distalização da unidade dentária 23 para o posicionamento correto e posterior tração da unidade dentária 21, usando aparelhos fixos. Se houver perda prematura de dentes primários no setor anterior, o paciente deve ser encaminhado a um especialista para evitar possíveis consequências. A terapia indicada dependerá de cada caso em particular, individualizando necessidades, custos e benefícios. A intervenção nesses casos deve ser oportuna por parte da equipe de tratamento, especialmente quando a criança está em um estágio importante de desenvolvimento, tanto físico quanto psicológico. A resolução de complicações no setor anterior deve ser administrada por uma equipe multidisciplinar.
Palavras-chave: Prática odontológica, dente impactado, manutenção de espaço, relato de caso.
INTRODUCCIÓN
Los dientes primarios son de suma importancia para el crecimiento y el desarrollo de un paciente pediátrico. Tienen un rol en la fonética, la estética y la masticación. Su otro papel es mantener el espacio para la unidad dentaria (UD) permanente hasta que emerja a la cavidad bucal. Posterior a la pérdida prematura de un diente, los mantenedores de espacio no solo amparan la función y preservan la longitud del arco, sino que también resguardan la estética y eliminan cualquier daño psicológico potencial que un niño podría enfrentar como resultado de la pérdida prematura de los dientes. Asimismo, los mantenedores de espacio proveen un espacio para que la alineación se logre adecuadamente 1.
Mantener una longitud del arco en la dentición primaria, mixta y permanente temprana es importante para el desarrollo normal de la oclusión. La pérdida prematura de los dientes primarios puede limitar la longitud del arco y desarrollar una maloclusión. Influyen en la falta de espacio aspectos como la edad del paciente, etapa de desarrollo, pérdidas dentarias, relaciones molares, apiñamiento o diastemas 2; y en dentición primaria es una de las causas de maloclusiones en permanentes 3.
No obstante, mantener el espacio puede disminuir la necesidad de una terapéutica de ortodoncia prolongada. Se hace más complicada la elección cuando no ha habido erupción del primer molar permanente 4. No existe evidencia científica sólida acerca de las consecuencias tras pérdida prematura de dientes anteriores primarios. Se reportan aspectos negativos, como alteraciones de impactación y erupción de permanentes, inclinaciones de dientes vecinos y antagonistas, respectivamente, desviación de la línea media y apiñamiento. Es posible encontrar problemas funcionales, como trastornos del habla, problemas estéticos, desarrollo de hábitos no nutritivos, lo que conlleva implicaciones psicosociales, incluida una disminución de la autoestima e incluso ser objeto de acoso 5.
La pérdida prematura de los dientes primarios puede ser posterior a un traumatismo bucal, exodoncias, caries de la infancia temprana, alteraciones periodontales, o ser una manifestación de una enfermedad sistémica 6. La erupción dentaria comprende un desplazamiento axial dentario desde el lugar de formación en el hueso alveolar hasta su posición funcional en la cavidad bucal. Por tal razón, el retraso en la erupción dental puede tener un impacto significativo en la atención adecuada del paciente 7.
La impactación de los dientes permanentes es un reto para el profesional a la hora de hacer diagnóstico, diseñar un plan de tratamiento y establecer un pronóstico. Hay una conexión entre dientes primarios y el germen de los dientes permanentes, y cualquier lesión en la dentición primaria podrá influir en la erupción de los dientes permanentes. La magnitud del daño causado al germen de los dientes permanentes dependerá de la edad del paciente en el momento de la lesión, el tipo de traumatismo, la gravedad y la dirección del impacto 8.
Cada año, muchos niños sufren lesiones bucodentales y acarrean sus consecuencias. Entre las causas, se destacan traumatismos directos a objetos, caídas o impactos faciales y bucales. Las secuelas en dentición permanente a la larga son poco difundidas, aun cuando la región bucal es la segunda parte del cuerpo que se hiere con mayor regularidad en menores de 6 años. Durante esta etapa, los dientes permanentes que se están desarrollando pueden alterarse posterior a un traumatismo, ocasionando hipoplasia dental leve o grave, desplazamiento, injuria al germen dentario, dientes impactados, retenidos o alteraciones morfofuncionales. En ocasiones, las consecuencias se verán cuando erupcionen los incisivos permanentes, encontrándose erupciones ectópicas o sin alineación. Por ende, el acompañamiento del paciente es crucial para diagnosticar y atender las complicaciones asociadas. Se debe destacar también la derivación temprana a un odontopediatra para el diagnóstico y la planificación del tratamiento 9.
REPORTE DE CASO
Paciente masculino de 9 años que acude a consulta con su madre. Al preguntarle el motivo de consulta, respondió: «Vengo porque no tengo un diente». La madre indica que el paciente es producto de un embarazo gemelar, sano, sin complicaciones sistémicas. Con relación a los datos sociodemográficos, comenta que son procedentes de Valencia, Estado Carabobo, Venezuela, estudiante de secundaria y habitan en casa propia con su madre, es decir, la abuela materna; además, niega cualquier tipo de alergias, consumo de medicamentos o intervenciones quirúrgicas. Se le interroga con respecto a la presencia de hábitos bucales, a lo que refiere no haber presencia. Se identifica un traumatismo dento-facial a los 18 meses con posterior avulsión dentaria, específicamente del incisivo primario superior izquierdo (UD 61). Entre los antecedentes familiares, la madre solo refiere que el padre murió por COVID-19 en el año 2020. Es importante mencionar que la madre firmó un consentimiento informado al inicio de la consulta.
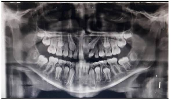
Al examen clínico inicial (Figura 1), se aprecia ausencia de unidad dentaria superior; y al examen radiográfico inicial (Figura 2), la radiografía panorámica muestra una falta de erupción del incisivo central superior izquierdo permanente (UD 21), con desviación hacia el mesial de canino superior izquierdo permanente (UD 23) sin erupcionar, en íntimo contacto con la raíz del incisivo lateral izquierdo permanente (UD 22). Se puede apreciar presencia de zona radiolúcida en tercio incisal de la UD 21, presuntamente asociada a un defecto del desarrollo del esmalte, específicamente hipoplasia de esmalte. Presenta un patrón de exfoliación dental acorde a la edad en el sector inferior, etapa 8 de Nolla.


No se evidencia presencia de dientes supernumerarios ni agenesias dentales. En las imágenes axiales y frontales de la tomografía axial computarizada, puede observarse la falta de erupción de la UD 21 y su estrecha proximidad con la UD 23, así como la dilaceración radicular de la UD 22 (Figura 3). Al examen extraoral, se observa perfil facial ligeramente convexo; y al examen bucal intraoral, se aprecia overjet y overbite normales, sin apiñamiento, líneas medias dentales coincidentes con la línea media facial, clase I molar.

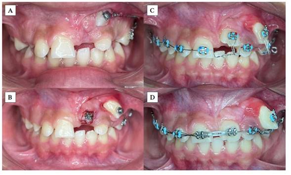
Acerca del plan de tratamiento, se hizo una propuesta multidisciplinaria conformada por un odontopediatra, un ortodoncista, un cirujano maxilofacial y un periodoncista. Las alternativas de tratamiento fueron las siguientes: 1) extracción de las UD 23 y 63, cerrar espacios con ortodoncia, sacrificando la UD 23 y haciendo tracción de la UD 21; 2) extraer el canino primario (UD 63), distalizar la UD 23 para una correcta ubicación y posterior tracción de la UD 21. Se escogió la última opción por la posibilidad de distalizar el canino y ubicarlo en posición sin eliminar otra unidad dentaria.
Inicialmente, se realizó la exodoncia del canino primario superior izquierdo para mejorar el corredor de erupción del incisivo central superior permanente. En la fase de ortodoncia inicial se coloca la aparatología fija con prescripción de Roth slot 0,22, exclusivamente en las UD 24, 25 y 26, además de un minitornillo como anclaje absoluto en la zona molar izquierda para tracción distal del canino superior (UD 23) y evitar así mesializaciones no deseadas al consolidar dicho sector. Al ubicar la UD 23 en su posición correcta, la UD 21 erupcionó posterior a destrabar ese espacio. Después de observar que dicha unidad dentaria iba erupcionando, se realizó un ojal quirúrgico y se cementó un bracket en la UD 21 y en el resto de la arcada superior para continuar con los pasos de alineación y nivelación, siguiendo la secuencia de arcos con normalidad en la ortodoncia correctiva (Figuras 4 y 5).


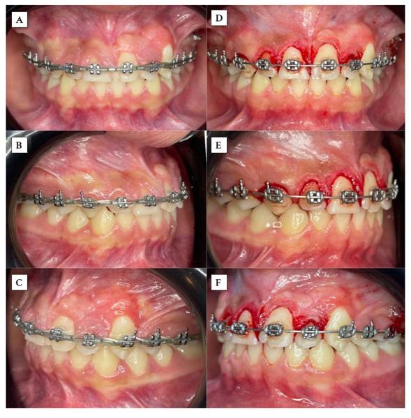
Al tener los dientes en su correcta disposición, se apreció que el paciente presentaba una topografía gingival asimétrica, por lo que se procedió a realizar gingivectomía y gingivoplastia del sector anterosuperior para obtener un contorno más estético y fisiológico del tejido blando (Figura 6). Siguiendo un orden, se observa un exceso de encía queratinizada en algunas unidades dentarias; por ejemplo, en la UD 23 se identifica una banda muy estrecha. Además, es necesario realizar ajustes en la estética dental para armonizar la anatomía dentaria, lo cual también repercute en la evaluación de los parámetros estéticos.

El caso no está terminado, aún se aprecia asimetría a nivel del contorno gingival, pero se espera la evolución del tratamiento ortodóntico para realizar un solo procedimiento gingival acorde a la necesidad de cada zona. El próximo paso es culminar con ortodoncia correctiva convencional, haciendo cementado de aparatología inferior, con secuencia de arcos hasta finalizar con retiro y retención. Por motivos económicos, el paciente no ha concluido todas las fases del tratamiento. El problema estético fue el que hizo que la madre buscara ayuda. Se plantea la finalización superior exclusivamente debido a que los parámetros oclusales primordiales están presentes: clase I molares y caninas, líneas medias, contactos interdentales firmes, sin espacios e inclinaciones dentarias aceptables.
DISCUSIÓN
Las pérdidas dentales en dientes del sector anterior deben ser manejadas desde edades tempranas. El manejo del espacio es primordial en la etapa inicial para evitar consecuencias a futuro. La prevalencia de traumatismos dentales en pacientes masculinos es mayor que en pacientes femeninos, así como también la frecuencia de dientes impactados 10. El presente reporte de caso es de un paciente masculino cuyo traumatismo dental inicial fue a los 18 meses de edad, que trajo como consecuencia avulsión dental y posterior impactación de diente permanente sucesor. La impactación de incisivos centrales superiores es un fenómeno raro que afecta la apariencia facial de un paciente pediátrico o adolescente con implicación estética y funcional, siendo los incisivos centrales de vital importancia para la sonrisa, el soporte del labio y la incisión de alimentos 11.
En el presente caso, el paciente era un preadolescente que difícilmente podía expresarse y sonreír por la ausencia de un incisivo central. Los dientes incisivos superiores generalmente erupcionan en la dentición mixta temprana, pero puede ocurrir alteraciones en la erupción y a menudo son atribuibles a factores locales. Una falla en la erupción afectará el desarrollo de la oclusión y tendrá una influencia en aspectos psicológicos del niño. Lo principal es proveer espacio en los arcos dentarios y evitar cualquier impedimento que obstaculice que el diente erupcione correctamente. La terapéutica debe abarcar una evaluación clínica cuidadosa, y para optimizar el resultado del tratamiento se recomienda un enfoque especializado multidisciplinario 12.
A pesar de que el paciente tuvo la indicación de mantenedor de espacio posterior a la avulsión dentaria, la falta de uso en el tiempo trajo como consecuencia la impactación del incisivo central superior. Los beneficios potenciales del uso de aparatos constituyen la reducción de erupciones ectópicas, maloclusiones como mordidas cruzadas, impactaciones dentarias y alteraciones en las relaciones molares. También puede haber una reducción de costos en tratamientos ortodónticos. Duward 2 considera que se requiere una cuidadosa consideración de muchos factores al decidir si está indicado el mantenedor de espacio. En este caso, hubo un plan de tratamiento para la instalación de un mantenedor de espacio fijo; sin embargo, ante el constante desalojo del aparato, los padres decidieron no seguir con el tratamiento. Ahmad et al. 13, en su revisión, no encontraron evidencia sólida a favor de un método particular de mantenimiento del espacio. Asimismo, demostraron que la evidencia para evaluar el logro de los objetivos clínicos, la preferencia de los pacientes y los costos del aparato fueron deficientes y no se puede hacer recomendaciones basadas en estos resultados. Al evaluar el mejor método de mantenimiento del espacio, se depende en gran medida de los resultados en longevidad y eficacia. Las tasas de fracaso variaron mucho entre los estudios. Con esta estadística se puede observar que no siempre este tipo de intervención da resultados satisfactorios; sin embargo, también hay que destacar que hacen falta más estudios para soportar estos datos.
Un estudio retrospectivo realizado en Arabia Saudita determinó la prevalencia de erupciones tardías de los incisivos centrales superiores permanentes, usando radiografías panorámicas de sujetos entre 6 y 10 años que asistieron a hospitales universitarios, entre 2014 y 2020. Se analizaron las radiografías con la finalidad de determinar la erupción retardada de los incisivos centrales superiores permanentes. Las mismas identificaron incisivos centrales superiores permanentes con erupción tardía según las etapas de desarrollo del diente y la secuencia de erupción. La retención de dientes primarios fue el principal factor causante de retardo en la erupción, siguiendo la pérdida precoz de dientes primarios y la falta de espacio en el arco 7. Es relevante señalar que, en el presente reporte de caso, no se trató de una permanencia de diente primario, sino de avulsión dentaria, que fue una pérdida prematura antes de los 2 años y que además no se usó correctamente el mantenedor de espacio en el tiempo. A diferencia de este reporte de caso, Yordanova y Gurgurova 14 destacaron que la causa más frecuente de impactación del incisivo central superior fue la presencia de dientes supernumerarios, específicamente mesiodents, consecuente a la presencia de quistes foliculares y odontoma o una suma de ambos 14.
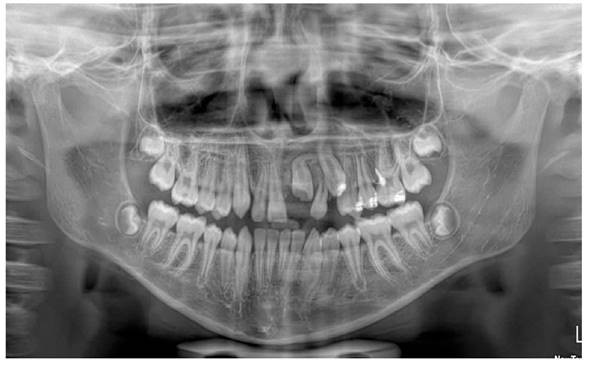
En un estudio realizado en pacientes con dientes traumatizados, se detectaron anomalías dentales en los dientes permanentes sucesores en 21 pacientes, en 26 dientes y 28 anomalías. Lo más frecuentemente encontrado fueron anomalías del proceso eruptivo, después la hipoplasia del esmalte y las manchas blancas. Si el traumatismo era en menores de 36 meses, se encontró que el porcentaje de anomalías era más frecuente. Las luxaciones intrusivas y extrusivas se vincularon con alteraciones clínicas en los dientes permanentes sucesores. Se señala en esta investigación el riesgo de anomalías dentarias posterior a un trauma en dentición primaria 15. En el presente caso reportado, al analizar la radiografía panorámica, se observó una imagen en la zona del tercio incisal del incisivo central superior izquierdo permanente, que al erupcionar se pudo evidenciar que era una hipoplasia dental. Asimismo, al realizar radiografías posteriores, se apreció una dilaceración radicular en el incisivo lateral del mismo lado (Figura 7). De Amorim et al. 16 encontraron, entre un grupo de 815 dientes primarios traumatizados, que las secuelas más comunes observadas en los dientes sucesores fueron decoloración del esmalte, hipoplasia dental, y dilaceración radicular y de la corona. Todos estos datos coinciden con las manifestaciones bucales encontradas en el presente reporte de caso.

Los resultados encontrados por Santo Jacomo et al. 17 reportan estadísticas muy parecidas. Las alteraciones del desarrollo más comunes fueron la decoloración del esmalte y/o hipoplasia del esmalte y alteraciones de la erupción debido a la lesión traumática de sus antecesores. No fue posible encontrar asociación entre el tipo de lesión en dientes primarios y los daños en sus sucesores en los grupos de edad estudiados. El estudio concluyó que las opacidades del esmalte y/o hipoplasia del esmalte eran las consecuencias más prevalentes en la dentición permanente y que no había asociación estadística significativa entre la aparición de secuelas en los dientes permanentes y el tipo de lesión traumática en sus dientes.
En el presente caso, se encontró una dilaceración en el incisivo lateral, la cual se define como una anomalía dental caracterizada por una desviación brusca en el eje longitudinal de un diente. Puede ocurrir en la corona, entre la corona y la raíz, o en la raíz. A pesar de no ser tan prevalentes, los incisivos superiores retenidos que presentan dilaceración radicular representan un reto en el diagnóstico y tratamiento para el clínico. La dilaceración se observa como una deformidad dental con una angulación entre la corona y la raíz, que puede interrumpir la erupción del incisivo. En este reporte de caso, no fue el diente impactado (UD 21) el que presentó la dilaceración radicular, sino el diente vecino (UD 22) y el canino superior (UD 23).
Corroborando lo antes expuesto, Tan et al. 19, en su investigación sobre dientes impactados, encontraron que los incisivos centrales superiores permanentes fueron los dientes más comúnmente afectados (70,6 %). Las causas más comunes de incisivos no erupcionados fueron dilaceraciones (n = 83; 36,7 %) de los incisivos centrales superiores; anomalías del desarrollo dental (n = 22; 30,6 %), a la par de desarrollo radicular no favorable (n = 22; 30,6 %) para los incisivos laterales superiores y relación anormal diente/tejido (n = 11, 50,0 %) para los incisivos inferiores. En su mayoría, los incisivos no erupcionados tuvieron secuelas, entre las que destacó la posición ectópica/desplazamiento/rotación de los incisivos no erupcionados (46,6 %), falla de espacio (36,9 %) y desplazamiento de línea media (27,5 %). Estos antecedentes se parecen mucho a los del presente reporte de caso, en el que se encontró falta de espacio, impactación dental, trastorno en la erupción de otras unidades dentarias, presencia de anomalía dentaria tipo hipoplasia dental y dilaceración radicular.
Los conceptos de gingivectomía y gingivoplastia generalmente van de la mano, y se indican en casos de surcos supraóseos, surcos mayores de 3 mm, cuando no hay necesidad de cirugía ósea, topografía asimétrica y antiestética de la encía, alargamientos gingivales. Debido a estas razones, al paciente se le realizaron dichas intervenciones.
No menos importante es destacar que la sonrisa se inicia desde muy temprana edad y es un mecanismo mediante el cual el sujeto se expresa y recibe gratificaciones. Con el tiempo, otros conceptos, como la autoimagen y la autoestima, se fortalecen de acuerdo con lo que el individuo observa o las apreciaciones que recibe de sus padres, familiares y compañeros. La salud bucal abarca un concepto integral donde se deben tomar en consideración estas variables, destacando que es una base fundamental en la calidad de vida de pacientes infanto-juveniles. Los sujetos con alteraciones dentobucales tienen más dificultad en aceptación y socialización que sus homólogos sin alteraciones, y el profesional del campo de la odontología puede ofrecer cambios que ayuden a mejorar la autoimagen y la autoestima 20.
Aun cuando este reporte de caso tuvo limitaciones, como la falta de culminación en el tratamiento de ortodoncia, la evolución observada en la resolución del desequilibrio consecuente con la pérdida dental prematura en sector anteroposterior, llevada a cabo por un equipo multidisciplinario, fue muy satisfactoria (Figura 8). En un período de 18 meses, se han dado soluciones a una lista de problemas que presentó el paciente, como impactación de la UD 21, falta de espacios, ubicación adecuada de las UD 22 y 23, alineación y manejo de tejidos periodontales. Consecuentemente, es un paciente que puede sonreír e interrelacionarse con sus pares sin ningún tipo de complejo como no ocurría antes del tratamiento.

CONCLUSIONES
Posterior a la pérdida prematura de dientes primarios en el sector anterior, el paciente debe ser referido al odontopediatra para mantener el espacio. La terapéutica indicada dependerá de cada caso en particular, individualizando necesidades, costos y beneficios. La resolución de complicaciones posteriores a la falta de manejo de espacios debe ser manejada por el ortodoncista, el cirujano maxilofacial y el periodoncista, de ser necesarios. Al hacer un plan de tratamiento en conjunto con varias especialidades, se le otorga al paciente la posibilidad de solucionar su problema en corto tiempo, canalizado a un éxito que se traduce en estética y función. De este reporte de caso en específico, se puede concluir que la tracción dentaria por medio de tratamiento ortodóntico funciona de manera satisfactoria en la impactación dentaria
REFERENCIAS
Bijoor RR, Kohli K. Contemporary space maintenance for the pediatric patient. N Y State Dent J [Internet]. 2005; 71(2): 32-35. Disponible en: https://pubmed.ncbi.nlm.nih.gov/15887467/
Durward CS. Space maintenance in the primary and mixed dentition. Ann R Australas Coll Dent Surg [Internet]. 2000; 15: 203-205. Disponible en: https://pubmed.ncbi.nlm.nih.gov/11709939/
Simon T, Nwabueze I, Oueis H, Stenger J. Space maintenance in the primary and mixed dentitions. J Mich Dent Assoc [Internet]. 2012; 94(1): 38-40. Disponible en: https://pubmed.ncbi.nlm.nih.gov/22439522/
Barbería E, Lucavechi T, Cárdenas D, Maroto M. Free-end space maintainers: design, utilization and advantages. J Clin Pediatr Dent [Internet]. 2006; 31(1): 5-8. Disponible en: https://doi.org/10.17796/jcpd.31.1.p87112173240x80m
Nadelman P, Magno MB, Pithon MM, de Castro AC, Maia LC. Does the premature loss of primary anterior teeth cause morphological, functional and psychosocial consequences? Braz Oral Res [Internet]. 2021; 35: e092. Disponible en: https://doi.org/10.1590/1807-3107bor-2021.vol35.0092
Spodzieja K, Olczak-Kowalczyk D. Premature loss of deciduous teeth as a symptom of systemic disease: a narrative literature review. Int J Environ Res Public Health [Internet]. 2022; 19(6): 3386. Disponible en: https://doi.org/10.3390/ijerph19063386
Aldowsari M, Alsaif FS, Alhussain MS, AlMeshary BN, Alosaimi NS, Aldhubayb SM, et al. Prevalence of delayed eruption of permanent upper central incisors at a tertiary hospital in Riyadh, Saudi Arabia. Children (Basel) [Internet]. 2022; 9(11): 1781. Disponible en: https://doi.org/10.3390/children9111781
Gurgel CV, Neto N, Kobayashi TY, Garib DG, da Silva SM, Machado MA, et al. Management of a permanent tooth after trauma to deciduous predecessor: an evaluation by cone-beam computed tomography. Dent Traumatol [Internet]. 2011; 27(5): 408-412. Disponible en: https://doi.org/10.1111/j.1600-9657.2011.00991.x
Flores MT, Onetto JE. How does orofacial trauma in children affect the developing dentition? Long-term treatment and associated complications. Dent Traumatol [Internet]. 2019; 35(6): 312-323. Disponible en: https://doi.org/10.1111/edt.12496
Bartolo A, Camilleri A, Camilleri S. Unerupted incisors-characteristic features and associated anomalies. Eur J Orthod [Internet]. 2010; 32(3): 297-301. Disponible en: https://doi.org/10.1093/ejo/cjp094
Rodríguez JA, Rodríguez H, Topel H, Acosta de Camargo MG, Hirschhaut, M. Tratamiento ortodóncico-quirúrgico de incisivo central superior impactado, asociado a diente supernumerario. Reporte de caso. Ortod Esp [Internet]. 2020; 58(3): 117-130. Disponible en: https://dialnet.unirioja.es/servlet/articulo?codigo=9096846
Seehra J, Yaqoob O, Patel S, O'Neill J, Bryant C, Noar J, et al. National clinical guidelines for the management of unerupted maxillary incisors in children. Br Dent J [Internet]. 2018; 224(10): 779-785. Disponible en: https://doi.org/10.1038/sj.bdj.2018.361
Ahmad AJ, Parekh S, Ashley PF. Methods of space maintenance for premature loss of a primary molar: a review. Eur Arch Paediatr Dent [Internet]. 2018; 19(5): 311-320. Disponible en: https://doi.org/10.1007/s40368-018-0357-5
Yordanova G, Gurgurova G. Impacted upper central incisors - frequency and factors complicating the treatment protocol. Folia Med (Plovdiv) [Internet]. 2021; 63(3): 405-412. Disponible en: https://doi.org/10.3897/folmed.63.e55145
Bardellini E, Amadori F, Pasini S, Majorana A. Dental anomalies in permanent teeth after trauma in primary dentition. J Clin Pediatr Dent [Internet]. 2017; 41(1): 5-9. Disponible en: https://doi.org/10.17796/1053-4628-41.1.5
De Amorim C, Americano G, Moliterno LF, de Marsillac M, Andrade MR, Campos V. Frequency of crown and root dilaceration of permanent incisors after dental trauma to their predecessor teeth. Dent Traumatol [Internet]. 2018; 34(6): 401-405. Disponible en: https://doi.org/10.1111/edt.12433
Santo Jácomo DR, Campos V. Prevalence of sequelae in the permanent anterior teeth after trauma in their predecessors: a longitudinal study of 8 years. Dent Traumatol [Internet]. 2009; 25(3): 300-304. Disponible en: https://doi.org/10.1111/j.1600-9657.2009.00764.x
Singh H, Kapoor P, Sharma P, Dudeja P, Maurya RK, Thakkar S. Interdisciplinary management of an impacted dilacerated maxillary central incisor. Dental Press J Orthod [Internet]. 2018; 23(3): 37-46. Disponible en: https://doi.org/10.1590/2177-6709.23.3.037-046.oar
Tan C, Ekambaram M, Yiu CK. Prevalence, characteristic features, and complications associated with the occurrence of unerupted permanent incisors. PLoS One [Internet]. 2018; 13(6): e0199501. Disponible en: https://doi.org/10.1371/journal.pone.0199501
Tortolero M, Acosta M, Natera A. Sonrisa, autoimagen y autoestima, su impacto positivo en la calidad de vida en pacientes infacto-juveniles. Rodyb [Internet]. 2021; 10(1): 12-19. Disponible en: https://www.rodyb.com/wp-content/uploads/2021/01/3-autoestima.pdf
Notas
Autor notes
Correspondencia: María Gabriela Acosta de Camargo Dirección: Urb. La Trigaleña CC Trigaleña Plaza. Piso 1, consultorio 26. Valencia, Carabobo, Venezuela Código postal: 2001 Teléfono: +58-241-8265132; +58-241-8431232 Contacto: macosta@uc.edu.ve
Declaração de interesses