Abstract: Although various methods have been used in the treatment of bovine cutaneous papillomatosis (BCP), no definite treatment has yet been established. There are no studies regarding the efficacy of azithromycin (AZ) and of any combination of trypsin, chymotrypsin, and papain proteolytic enzymes (PEC) in the treatment of BCP. The objective of this study was to investigate the efficacy of AZ and PEC in the treatment of BCP. A total of 24 female Holstein cattle of 6-17 months of age with spontaneous BCP were used for this study. In addition to the clinical findings, the diagnosis was confirmed with histo-pathological examinations. The animals were divided at random into three groups (n = 8). The AZ group received 10 mg/kg/day PO for 10 days. In the PEC group, an injectable suspension of proteolytic enzymes was applied IM at 0.4 mL/10 kg dose, 3 times with 8-10 days interval and the spray was used topically once a day for 10 days. The control group (CO) was not treated. The mean in papilloma warts decreased 92.4 % in the AZ group, 83.38 % in the PEC group, and 59.48 % in the CO. There were statistically significant differences in warts presence decreases between the three groups (P < 0.05). Both AZ and PEC were considered successful for the BCP treatment. However, AZ was found more effective than PEC.
Keywords: Cattle, herd, papillomavirus, skin, wart.
Original research articles
Comparison of azithromycin and a combination of trypsin, chymotrypsin and papain proteolytic enzymes for the treatment of bovine cutaneous papillomatosis
Received: 30 June 2020
Accepted: 30 November 2021
Published: 16 June 2022
As a contagious viral disease with a significant incidence in cattle, bovine cutaneous papillomatosis is an important problem in livestock production, which causes stress and yield losses in animals, and cost and labor losses to the farm. Although various methods have been used in the treatment, no definite treatment has yet been established to effectively reducethe economic losses associated with the disease. There are no studies regarding the efficacy of azithromycin and of any combination of trypsin, chymotrypsin, and papain proteolytic enzymes for bovine cutaneous papillomatosis treatment. In this study, both azithromycin and a combination of proteolytic enzymes were shown to be effective in the treatment. Additionally, based on this study, the use of azithromycin was found to be more effective than the combination of the mentioned proteolytic enzymes.
Bovine cutaneous papillomatosis (BCP) is a viral infection with a significant incidence in cattle.1-3 The lesions are located mainly in the head, neck and other body areas.1, 4 BCP cases cause stress and yield losses in animals and cost and labor losses to the farm. Another disadvantage is that it is contagious. For these reasons, it is an important problem in livestock production.5, 6 Finding more effective results in treatment, the labor and yield losses and thus economic losses may be reduced. In this context, the research continues in order to find more effective treatment strategies in the treatment of BCP cases.
Various methods have been used in the treatment of papillomatosis. Total or partial excision, ligature, and the autovaccination are common methods. Also, autohemotherapy, high-dose injection of local anesthetics in the bottom of the mass or intravenously, cauterization with certain substances (such as silver nitrate), cryotherapy, nonspecific immune system stimulants, drug applications such as anthiomalin, ivermectin, levamisole, tarantula cubensis, alkirom have been used as the method of treatment.7-16 Although various applications are currently in use, no single definite method or agent has yet been established for treatment.5, 7, 17, 18
Azithromycin is an antibiotic in the macrolides group. It is an effective and well-tolerated drug of the azalide subclass and is used as an option in the treatment of human papillomatosis19, 20 Moreover, azithromycin has been reported to be successful in the treatment of papillomatosis in dogs.20 Since there is no research about it in cattle, the use of azithromycin was included in the hypothesis of this study.
Trypsin, chymotrypsin, and papain are proteolytic enzymes. Proteolytic enzymes are hydrolase enzymes that can be used for therapeutic purposes. They are used in the veterinary field for holistic or complementary treatment. Recently, studies with proteolytic enzymes in veterinary medicine are mostly directed to the treatment of mastitis and endometritis in ruminants.21 As a result of these studies; homeostasis control and regulation, local immunostimulation, necrotic and infected tissue residues and exudates elimination effects are indicated. It also has the ability to change the virulence of bacteria and viruses and has an immunomodulatory effect. Therefore, another essential element of the study is PEC (containing trypsin, chymotrypsin and papain). Although many agents or methods have been investigated in BCP treatment, the research on the effects of PEC (trypsin, chymotrypsin, and papain) and azithromycin treatments was planned because of the lack of studies with these agents.
The aim of this study; a comparative study of the effect of PEC (containing trypsin, chymotrypsin and papain) and azithromycin, a macrolide antibiotic, in the treatment of spontaneous or idiopathic BCP cases.
The field study plan was approved by the Ethics Committee of Animals Experiments in the Hatay Mustafa Kemal University (decision no: E.1072).
A total of 24 female Holstein breed cattle with BCP spontaneously developed were used in the study. The animals weighed 220-340 kg (mean 291.67 kg) and have between 6-17 months of age. After the diagnosis was made by clinical examination, the definitive diagnosis was confirmed by histopathological examination.
The animals were randomly and evenly distributed (n = 8) as a negative control (CO) group, azithromycin treatment (AZ) group, and proteolytic enzyme combination treatment (PEC) group. No treatment was applied to the group CO and the patient's status and spontaneous changes were monitored. The azithromycin drug (Azeltin® Biofarma) in tablets was administered orally at a dose of 10 mg/kg for 10 days with 24-hour intervals to group AZ. The injectable suspension of the proteolytic enzyme combination (containing trypsin, chymotrypsin and papain) (NekroVeyxym® Ekomed) was administered intramuscularly to group PEC, three times at a dose of 0.4 mL/10 kg with 10-days intervals. The spray (SanditamPanazym-Zinc Spray® Veyx-Pharma), which also contains a combination of (trypsin, chymotrypsin, and papain) proteolytic enzymes, was applied locally once a day.
The anamnesis of the animals and the age, gender and the breed information was obtained. The presence of lesions and warts was determined and monitored before and after treatment. Appetite, water intake and general clinical findings were also monitored.
For hematological examination, blood samples were taken for complete blood count before treatment, as well as 1 and 3 months after treatment. Blood samples were taken into EDTA tubes and complete blood counts were analyzed to evaluate WBC (White Blood Cell Count), RBC (Red Blood Cell Count), HGB (Hemoglobin), HCT (Hematocrit), MCV (Mean Cell Volume), MCH (Mean Corpuscular Hemoglobin), MCHC (Mean Corpuscular Hemoglobin Concentration) and RDW (Red Cell Distribution Width) values.
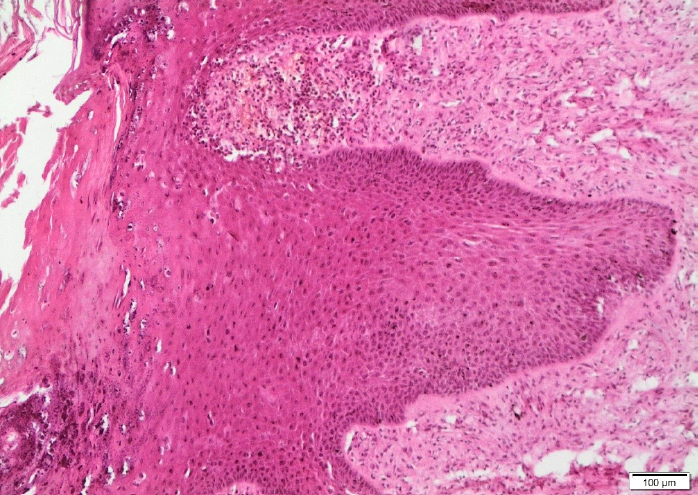
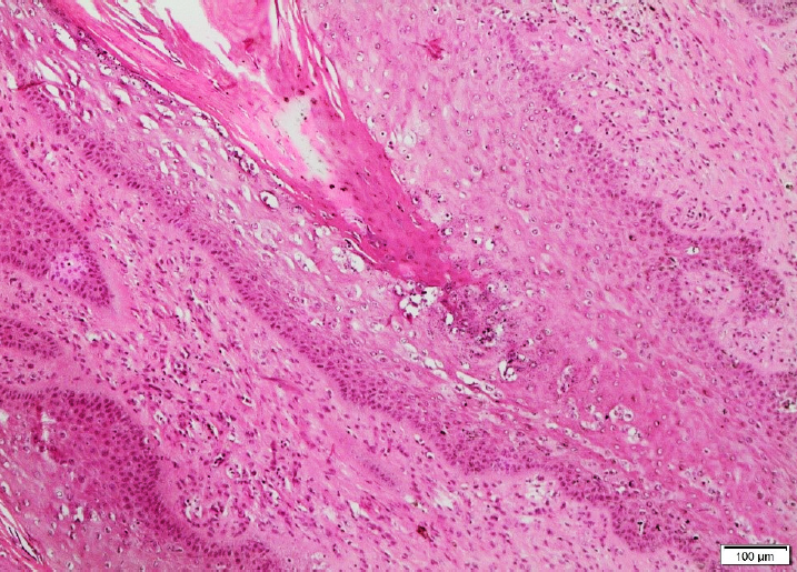
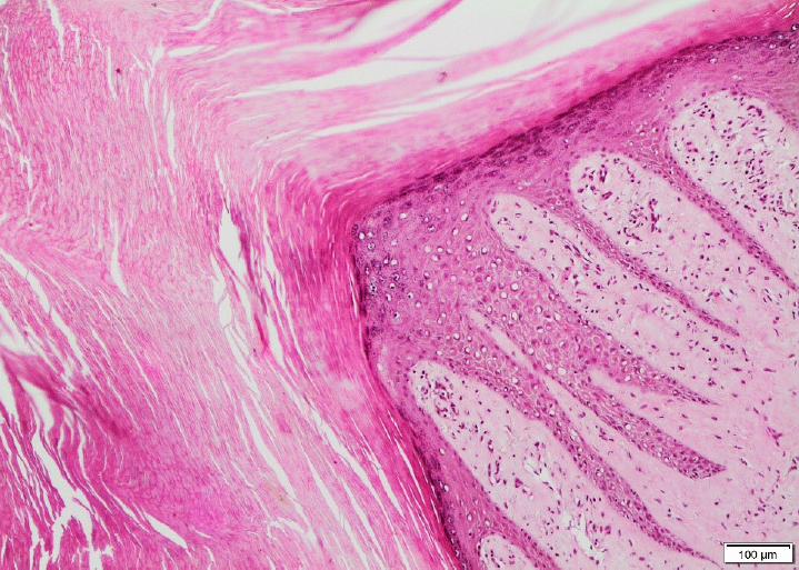
Excisional biopsy samples were taken for histopathological examination to confirm the definitive diagnosis. A blinded histopathological examination of the tissues was performed by a pathologist. After the tissue samples were fixed in 10 % neutral formaldehyde, routine tissue follow-up was performed. We took 5 μm-thick sections from paraffin blocks and stained with hematoxylin and eosin (H&E). Microscopic examination and microphotography were taken. The evaluations were done by taking into account the severity and extension of epidermal hyperplasia, acanthosis, degenerative changes, hyperkeratosis, inflammatory infiltration and vascular congestion. Thus, the diagnosis of BCP was confirmed by histopathological examination.
Differences in the number and the decrease ratios of warts were assessed using a Chi-square test. Significance was defined as P < 0.05.
Papilloma warts of varying numbers and diameters between 2-65 mm were determined in the neck, head, and eyes of the animals. Macroscopic examination revealed that the masses were almost black in color, hard, dry, rough and irregular, cauliflower-shaped, with or without stem. Only one animal had a pinkish color at the base of the papilloma warts. The number and proportions of BCP warts by location are given in Table 1.

Changes in the number of wart counts and the decrease ratios of cases individually, before and after treatment are shown in Table 2. Due to heterogeneous distribution, in the evaluation of the wart numbers, reduction rates (%) were calculated. The mean, standard deviation, median and range values in the numbers and in the decrease ratios of warts per treatment group are shown in Table 3, before and after treatment. When the clinical findings after three months of follow up were compared, it was observed that warts completely disappeared in 75 % of animals in AZ group, 50 % in PEC group and 25 % in CO group. In the BCP-infected cattle, the general examination revealed normal appetite and no abnormality except the warts.


BCP diagnosis was confirmed by histopathological examination in all cases. One of the animals in the AZ group had transient cough and hyperthermia for a short period of time (1 d) during treatment, but this was thought to be due to non-treatment reasons. AZ and PEC groups showed no side effects during and after treatment. Pre- and post-treatment clinical appearance of AZ and PEC groups are presented in Figures 1 and 2.


There was no significant difference between the groups for the complete blood count analyses, whichwere within normal ranges: WBC (5 500-13 700 cells/μL), RBC (4.8-7.3 x106 μL), HGB (8.3-12.3 g/dL), HCT (22-35 %), MCV (37-51 fl), MCH (13-19 pg), MCHC (35-41 g/dL), and RDW (15-21 %).
Histopathological examination revealed various rates of hyperkeratosis, squamous epidermal cell thickening (hyperplasia) and papillary increase of stratum spinosum layer (acanthosis) in all tissue samples. There were degenerative changes in the epidermis, especially in granular cells, ranging from diffuse spongiosis and parenchyma to severe balloon degeneration. In addition, a large number of keratohyaline granules of various sizes were observed in the cytoplasm of keratinocytes.
Numerous open cytoplasmic vacuoles and cells with irregular, eccentric and hyperchromatic nuclei were noted in the stratum granulosum and spinosum layers. Significantly increased connective tissue (fibroblasts) was observed in the dermis as nested bundles and there were islets consisting of stratum spinosum cells between these enlarged connective tissue cells. In the dermis, hemorrhage and vascular hyperemia, mononuclear inflammatory cell infiltration that mostly consisted of lymphocytes, were observed.
The severe proliferation of connective tissue in the dermis was observed in some cases. Papillomatosis was confirmed by histopathological examination in all cases. In addition, 18 (75 %) of these masses were in characteristics of papillomas and 6 (25 %) of fibropapillomas. Three examples of histopathological images are presented in Figures 3, 4, and 5.



Although not very common in sheep, goats, and pigs, skin tumors are the most common tumors in cattle. It is mostly caused by papillomaviruses. Other tumor types of cutaneous and subcutaneous tissues are less common. BCP cases in cattle causes significant stress and thus loss of yield.5, 14, 16, 22 Although it is a self-limiting and untreated disease, because of the ability of warts to appear on or near the functional organs and the formation of infected wounds due to wart trauma or other reasons, it has to be treated. If leftuntreated, the permanent lesions can lead to significant loss of yield in animals due to malignant transformation to SCC or bladder transitional cells papilloma.
Hence, treatment practices are becoming more important because of all of these reasons.5-7, 16, 23-26 Although there have been studies on treatment, there is still a quest for a clear consensus about the final solution.9, 17, 27 The use of azithromycin (AZ) and a combination of trypsin, chymotrypsin, and papain proteolytic enzymes (PEC) in the treatment of BCP were not found in the scientific sources and databases. The results are important because no adverse effects of these drugs are expected, they are minimal or nule, so less labor is required in comparison with other treatment methods, and are predicted to provide faster treatment.
The aim of the study is to determine the method that can minimize this problem in the field or provide the most rapid and significant recovery without the need for surgical procedure. Medical treatment may be compulsory in some cases, especially in the case where surgical treatment is not possible due to mass localization and spread. The importance of the studies that will be applied for the treatment of patients with spontaneous BCP in the field starts here.17, 22 In this context, with this study, we investigated the efficacy of PEC and AZ medical treatments in spontaneous BCP cases.
Many of the studies for BCP treatment included a negative control group of 5-8 animals without any treatment to compare results.1, 4, 9, 10, 23 In some studies, treatment groups of 6-9 animals were compared without a control group. 8, 13, 16, 17, 28 In this study, a negative control group (n = 8) was used and comparisons were made between both control and treatment groups.
In our study, BCP warts were determined in the head and neck regions consistent with different studies.9, 16, 17, 29 The age range of the animals was 6-17 months in our study and was also consistent with other studies.9, 16-17, 29-30 When the clinical findings after three months of follow up were compared assessing the complete regression of warts, the use of azithromycin appears to be more successful. When the changes in the wart numbers are examined, significant decrease was observed in the PEC group after the first month.
In group AZ, this decrease occurred at the second month. It was determined that there was a decrease in wart sizes in the controls in all animals in AZ, PEC, and CO groups. Although there was an increase in the number of warts in three animals in AZ group, two animals in CO group and an animal in PEC group, a decrease was observed later in the follow-up. These changes in 1-3 animals in each group did not create a statistically significant difference (P > 0.05). Cam et al.10 scored warts for the assessment of the treatment.
However, in our study, as in the study of Apaydin et al.,23 it was preferred to calculate the decrease rates of wart counts due to heterogeneous distribution. Based on these decrease rates, treatment was found successful in both the AZ and PEC groups. Statistically significant differences between the three groups were also stated (P<0.05). When AZ and PEC groups were compared, it was found that AZ group was more successful with the decrease in wart numbers. A statistically significant difference also supports this result (P < 0.05).
In this study, the potential therapeutic anti-inflammatory activity of azithromycin was consistent with studies in humans and dogs.20 It has been reported that the success rates of BCP treatments with autovaccination and autohemotherapy are about 78-100 % in some studies.6, 8, 12, 16, 17, 31 In spite of these effects, the fact that the preparation of the autogenous vaccine is not always possible under field conditions it increases the importance of treatment with drugs. Two other studies have reported that the use of Newcastle disease virus (NDV) vaccine and paraimmunity inducing agents provide more rapid and successful results.28, 32
However, the NDV vaccine also has the disadvantage of on-site access. The paraimmunity-inducing agent was only used in two animals so there is not enough evidence of its efficacy.28 The success rate of using ivermectin in BCP treatment was reported as 78-89,9 87.5,4 and 100 %,33 respectively. In other similar studies, treatment success rates were reported as 70 % for Tarantula cubensis and 90 % for levamisole,10 and 93-99 % for Paronychia kurdica.23 In the present study, according to the decrease in wart counts, the mean success rate was 92.4 % in the AZ group and 83.4 % in the PEC group. Thus, consistent results have been achieved when compared to previous medical treatment protocols that were found successful.
In this study, both azithromycin and a combination of proteolytic enzymes (trypsin, chymotrypsin, and papain) were shown to be effective in the treatment of bovine cutaneous papillomatosis. Moreover, these two treatment protocols were not found to have any undesirable or side effects. In addition, based on this study, the use of azithromycin in BCP treatment was found to be more effective than the combination of the proteolytic enzyme that includes trypsin, chymotrypsin, and papain. In future studies, it may be suggested to investigate the effects of these two protocols which can be used in the treatment of BCP cases in different doses in order to achieve faster treatment success. Studies on the mechanisms of action of these drugs in BCP may also be recommended.
The authors thank Saban Guven for his important help in the field work and to Tuncer Kutlu for his kind help with the histopathology work.The results of this study were presented (oral) at the 2nd International Congress on Biological and HealthSciences.
All relevant data are within the manuscript and the datasets generated and/or analyzed during this study are available from the corresponding author on reasonable request.
This work was supported by the Coordinatorship of Scientific Research Projects of Hatay Mustafa Kemal University, (Project number: 17.YL.002).
The authors have no conflict of interest to declare.
Author contributions
Conceptualization: MZY Deveci, ME Altug.
Data curation: MZY Deveci, H Alakus.
Formal analysis: MZY Deveci, H Alakus, SY Ozsoy.
Investigation: MZY Deveci, H Alakus, SY Ozsoy.
Methodology: MZY Deveci, ME Altug, SY Ozsoy.
Project administration: MZY Deveci, ME Altug.
Visualization: ME Altug.
Writing - original draft: MZY Deveci.
Writing- review and editing: MZY Deveci, ME Altug.
* Corresponding authors: Mehmet Zeki Yılmaz Deveci. Email address: zekideveci@gmail.com







