Abstract: The present study was carried out to investigate the potential ameliorative effect of two commercial anti-mycotoxins, containing Saccharomyces cerevisiae cell wall as prebiotic (T-Nil Plus®) and Bacillus subtilis as probiotic (Synertox®) on performance and some biochemical parameters of broilers. One hundred and twenty chicks one day old chicks were divided into 3 equal groups. 1st group was served as control, 2nd group was given T-Nil Plus®. The 3rd group was given Synertox®. Chicken’s performance was estimated. Serum samples obtained from each group for biochemical analysis. Tissues samples were collected for histopathological examination. The obtained results revealed that, T-Nil plus® induced a marked reduction in body weight gain and an elevation in Feed consumption, moreover, a marked elevation in, alanine aminotransferase (ALT), creatinine and malondialdehyde (MDA) and a marked reduction in aspartate aminotransferase (AST) was detected. While Synertox® caused a significant decrease in body weight, body weight gain and no change in feed conversion rate (FCR) and a marked elevation in ALT, creatinine and a marked reduction in AST and nitric oxide (NO) and it caused a significant reduction in serum glucose level of the birds. In conclusion, Synertox® induced a powerful effect comparing to T-Nil Plus®, as it induces a good FCR and increases the response of the birds against oxidative stress.
Keywords: Broiler, Synertox®, T-Nil Plus®, Performance, Oxidative stress.
Original research articles
Pharmacological effect of T-NilPlus® and Synertox®, commercial anti-mycotoxins, on broiler chickens in Egypt
Received: 04 October 2021
Accepted: 11 February 2022
Published: 07 December 2022
The extensive uses of antimycotoxins in Egyptian poultry farms necessitate more investigations on their adverse effects; if any; on treated poultry. This work evaluates the impact of two commercial products of anti-mycotoxins; (T-Nil Plus®) and (Synertox®); which widely used in Egypt on performance, some biochemical parameters and histopathological changes in treated broilers. This study shows the benefits of using (Synertox®) to the bird performance, so it is recommended as anti-mycotoxin product for using as it induces a good feed conversion ratio and increases the response of the birds against oxidative stress.
Poultry industry is one of the most important food suppliers in the world. Chicken meat is considered as a healthy animal food for human consumption because it represents an important source of animal proteins with high biological value and fats.1 Many problems are facing poultry production such as mycotoxins, which are of great economic loss. Fungi are organisms which distributed widely on earth with high environmental and medical importance. Many fungi produce biologically active metabolites called mycotoxins including aflatoxins that induce hepatotoxic and carcinogenic effects to human and animals especially the poultry as they naturally contaminate several grains; the constituents of usual poultry nutrition.2
In Egypt, many biological products are used to control mycotoxins in poultry farms, as well as feed additives3 and immune stimulants.4,5 Among the biological control of mycotoxins are T-Nil Plus® (contains S. cerevisiae cell wall extract) and Synertox® (contains Bacillus subtilis extract). These products are containing other components as enzymes, organic acids, salts and some micronutrients.6 T-Nil plus® preparation composed of neutralizing fermentation yeast extract, Saccharomyces cerevisiae, selected organic acids (citric acid, phosphoric acid, lactic acid, formic acid), propylenglycol, beneficial bacterial count, amino acids, selected vitamins and minerals, all of these ingredient are physically adsorbs the polar mycotoxins.7 Synertox® is a commercial product, that considered a probiotic containing some valuable compounds (enzymes, organic acids, their salts, essential micronutrients and the extract of microorganisms), micronutrients giving the product superiority over other adsorbents because the chicks continue to drink water.6
Most of the studies used Synertox® as detoxifying agent in poultry feeds and reported the ability of it to compensate and supply the suffered chicks from aflatoxin with essential nutrients.8 Probiotics are live microbial feed additives that beneficially improve the intestinal microbial balance of animal.9 A wide range of microalgae, yeasts (Debaryomyces, Phaffia, and Saccharomyces), gram-positive bacteria (Bacillus, Carnobacterium, Enterococcus, Lactobacillus, Lactococcus, Micrococcus, Streptococcus, and Weissella) and gram-negative bacteria (Aeromonas, Alteromonas, Photorbodobacterium, Pseudomonas and Vibrio) have been applied as probiotics.10 Some lactic acid bacteria (Lactobacillus johnsonii and Lactobacillus reuteri) and few non-lactic acid bacteria (Bacillus subtilis and Bacillus licheniformis) were considered as probiotics.11
Probiotics as live microbes are used to improve the microbial population in the intestine of treated animals. They are live microbial feed supplement, which improve immune response, feed utilization, growth rate and control intestinal infections.12 Some of the prebiotics that currently used in animal feed are Saccharomyces cerevisiae fermentation products. An extract from the cell wall of Saccharomyces cerevisiae (Mannan oligosaccharide) has shown broad-spectrum efficacy against most of the mycotoxins. Prebiotics have beneficial effect on poultry during mycotoxicosis.13
All animal experiments were performed with the recommendations of the ‘Guide for the Care and Use of Laboratory Animals’ approved by the Ethics Committee of the Faculty of Veterinary Medicine, Mansoura University (No.R/129).
It was purchased from Nutriad Company, Belgium. Ingredients (per 1000 mL): Yeast cell wall (Sacchromyces cervisiae) 100 g, citric acid 100 % 60 g, phosphoric acid 100 % 50 g, lactic acid 100 % 31 g, monopropylene glycol 187 g, water up to a liter.
Dose: From 0.25 mL per liter according to Mahmoud14 to a milliliter per liter according to Moursi et al.7 for 5 days.
It is a blend of biological substances produced by Agrarian Marketing Corporation, USA. Ingredients (per 1000 mL): citric acid 80 mL, phosphorus acid 60 mL, malic acid 5 mL, tartaric acid 5 mL, disodium EDTA 15 mL, propylene glycol 100 mL, lactic acid 80 mL, calcium lactate 25 mL, dried bacillus subtilis fermentation extract 260 mL, sodium citrate 40 g, papain 40 g, distilled water (180 mL) up to 1000 mL.
Dose: 0.5 mL per liter were administered according to Shareef and Omar8 for 5 days.
A total of 120 chicks (Cobb of 1 day old) were purchased from a poultry farm. They have an average body weight of 43.3 g. They were kept in cages which were well-ventilated through natural ventilation ensuring a balanced environment and optimal conditions for the birds. During the study period, all hygienic requirements and biosecurity measures (including sanitization, disinfection, temperature and lighting programs) were followed. They were fed with a balanced ration (free from any drugs). The ingredient composition of the basal diet is based on National Research Council15 presented in Table 1. The ration and water were supplied ad-libitum throughout the experimental period.

Birds were divided into three equal groups each of 40 chicks on the 1st day of age. The first group (G1) received ration free from any additives and left as control. The second group (G2) chickens were given T-Nil Plus® (0.5 mL per liter for 5 days) in the drinking water from 1st day of age. The third group (G3) Chickens were administered Synertox® (0.5 mL per liter for 5 days) in the drinking water from 1st day of age.
Live body weight, body weight gain, feed consumption, and FCR were calculated at the end of 1st, 2nd, 3rd, 4th, 5th weeks post-treatment.16
Blood samples were taken from wing vain of five chickens from each group on 1st, 7th and 14th days post treatment in non-heparinized clean sterile Eppendorf tubes. Samples were centrifuged (at 3 000 rpm for 5 minutes) then sera were separated and were frozen at -20 until assayed. The serum samples were used to measure the levels of serum AST, ALT and ALP (aspartate aminotransferase, alanine aminotransferase and alkaline phosphatase), protein profile (total protein, albumin, globulin, and A/G ratio), kidney function parameters (creatinine and uric acid), glucose, the oxidative stress markers NO and MDA and antioxidative stress para- meters (reduced glutathione, superoxide dismutase and catalase), and lipid profile (Cholesterol, triglyceride, high density lipoprotein (HDL), low density lipoprotein(LDL) and very low density lipoprotein (VLDL) were also assayed.
At the end of the experiment, the second week post treatment, five birds from each group were slaughtered by a method of neck dislocation, then specimens from liver, kidneys and duodenum were collected , washed with normal saline then fixed in 10 % neutral formalin for histopathological studies.17
Serum aminotransferases activity, ALT and AST, were determined calorimetrically using spectrophotometer.18 The serum level of ALP was measured according to Walter et al.19
Colorimetric determination of total protein level in the serum of chickens was carried out using spectrophotometer.20
The serum albumin levels were calorimetrically determined by PCG-method using spectrophotometer.21
Serum globulin level was calculated by subtraction of the obtained albumin level from the level of total proteins.22
A/G ratio was determined through dividing albumin to globulin concentration.23
The serum levels of creatinine and uric acids were estimated calorimetrically as mentioned by Bartels et al.,24 and Fossati et al.,25 respectively.
Glucose level in serum was determined by GOD-PAP method without deproteinization.26
NO is determined by colorimetric determination of nitrite method.27) Lipid peroxidase (malondialdehyde) was determined by colorimetric method.28
Specimens from liver, kidneys and duodenum were embedded in paraffin then sectioned at five µm thickness and stained with hematoxylin and eosin for histopathological studies.35
Statistical package for social science (SPSS) used for statistically analyzing of the obtained data for recording the mean SE. Variance was analyzed by one-way (ANOVA) for analyzing total variation. Duncan test was used for determining significance.36) Probability levels of less than 0.05 were considered statistical significance. Different letters were significantly different and the highest value was represented with the letter a.
The effect of administration of T-Nil Plus® and Synertox® on performance of medicated chickens was illustrated in Table 2. Chickens treated with T-Nil Plus® showed non-significant changes in body weight, meanwhile, a marked decrease (P < 0.05) in body weight gain, feed consumption was recorded at the end of 1st week of experiment comparing the control group with no alterations in feed conversion ratio. While Synertox® treated birds revealed a significant reduction (P < 0.05) in body weight and body weight gain at the end of 1st week of experiment and no alterations in feed conversion ratio.

The effect of T-Nil Plus® and Synertox® on liver function (ALT, AST and ALP), protein profile (TP, albumin, globulin, A/G ratio), kidney function (creatinine, uric acid), glucose, NO, MDA, GSH, superoxide dismutase, catalase, and lipid profile (cholesterol, triglycerides, HDL, LDL and VLDL) of treated chicks were recorded in Tables 3 through 8. Serum of birds treated with T-Nil Plus® evoked non-marked alterations in serum levels of ALT, AST, ALP, TP, albumin, globulin, A/G ratio, uric acid, glucose, NO, MDA, GSH, serum superoxide dismutase (SOD), catalase (CAT), cholesterol, triglycerides, HDL, LDL and VLDL of treated group at 1st day post treatment, while an increase (P < 0.05) in ALT, A/G ratio at 7th and 14th day after dosing and a marked reduction (P < 0.05) in AST, globulin levels at 7th and 14th after dosing.






The recorded results revealed that Synertox® evoked non-marked alterations in ALT, ALP, TP, globulin and A/G ratio, creatinine, uric acid, glucose, NO, GSH, SOD, CAT, cholesterol, triglycerides, HDL and LDL at 1st day post-treatment. On the other hand, it induced a marked elevation in serum levels of and TP, globulin, A/G ratio at 7th day post-treatment, and a significant increase (P < 0.05) in ALT, creatinine, GSH at 7th day post-treatment, A/G ratio, SOD and CAT levels at 14th day after dosing, also it revealed a marked reduction (P < 0.05) in AST at 1st and 7th day post-treatment, glucose and VLDL at 7th and 14th day post-treatment, TP and globulin at 14th day post-treatment.
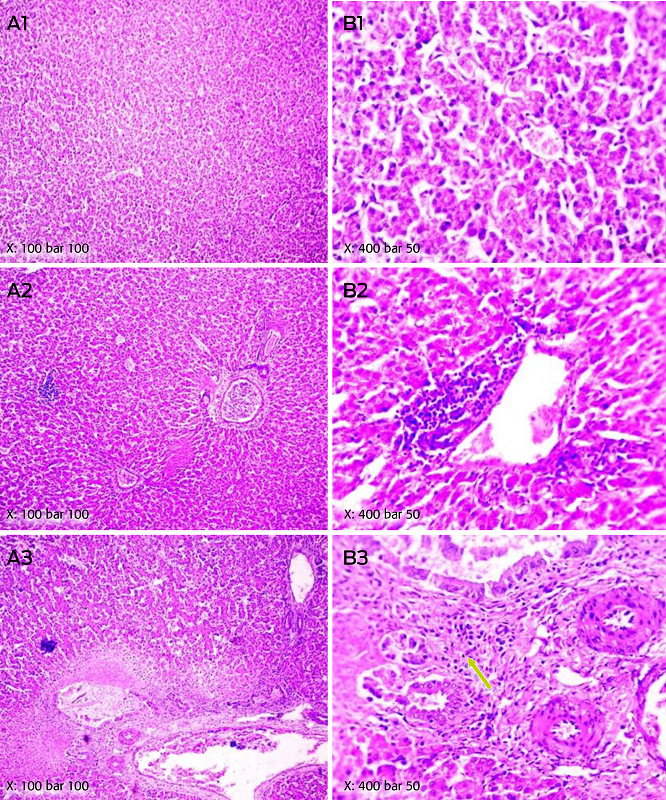
Microscopic pictures of hematoxylin and eosin stained hepatic sections showed normal arrangement of hepatic cords, central vein (CV), and sinusoids in control broiler group (Figure 1: A1-A2). Likewise, liver of chickens treated with T-Nil Plus® showed marked congestion (red arrow), lymphocytic follicular aggregation (yellow arrow) and small focal periportal areas of coagulative necrosis (black arrow) (Figure 1: B1-B2). Moreover, liver cobb broiler chickens treated with Synertox® showed expansion of portal areas with congested portal veins (red arrow), biliary hyperplasia (green arrow) accompanied with multifocal periportal areas of coagulative necrosis (black arrows) and fibrous tissue proliferation infiltrated with mixed leukocytes (yellow arrows) (Figure 1: C1-C2).

Microscopic pictures of hematoxylin and eosin stained renal sections showed normal arrangement of glomeruli (G), tubules (T) and interstitial tissue in control broiler group (Figure 2: A1-A2). Likewise, kidneys of cobb broiler chickens treated with T-Nil Plus® showed lymphocytic follicular aggregation (yellow arrow), mild interstitial edema (black arrow), small shrunken glomeruli (black arrowheads), red blood cells casts (green arrows) and desquamated and separated renal epithelium (blue arrows) (Figure 2: B1-B2). Moreover, kidneys of cobb broiler chickens treated with Synertox® showed small shrunken glomeruli (black arrowheads), mild interstitial edema (black arrow), congested interstitial blood vessels (red arrows) (Figure 2: C1-C2).

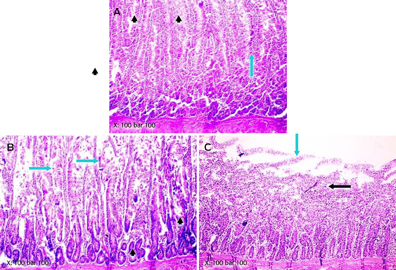
Histopathological examination of hematoxylin and eosin stained duodenal sections obtained from control group showed normal villi and crypts (Figure 3A). Meanwhile, broiler given T-Nil plus® showed desquamated villous epithelium (blue arrows) (Figure 3B), while group on Synertox® showed fused villi (black arrow) with desquamated epithelial covering (blue arrow) (Figure 3C).

The present study was carried out to investigate the possible potentiating effect of two commercial anti-mycotoxin products, T-Nil plus® and Synertox® on chicken through evaluation of body performance, some biochemical parameters and histopathological examinations. The obtained results showed that birds treated with T-Nil Plus® revealed no marked alterations in weight of the body, body weight gain as well as FCR from 2nd week to the end of the experiment. These data are in agreement with Moursi et al.7 who reported that birds received Toxynil-plus® preparation revealed non-significant changes in chicken’s performance including feed intake and body weight gain and general health condition. Similarly, Mahmoud14 stated that administration of T-Nil plus® (0.25 mL/L from 1-28 days old) markedLy improved the body performance like body weight, and body weight gain compared with fusarium toxin received birds.
The obtained results showed that birds treated with Synertox® revealed no marked alterations in body weight and body weight gain also there were non-significant changes in feed conversion ratio FCR and higher feed consumption from 2nd week to the end of the experiment. These results are in accordance with Shareef and Omar,8 who reported that addition of Synertox® in the drinking water showed a marked elevation in feed consumption with non-significant changes in FCR compared with non-treated group. Moreover, Abdelnaser et al.37 found that the use of anti-mycotoxin product in drinking water showed non-significant difference in FCR of treated birds compared with the non-treated birds. Similarly, K mentioned that there were no marked alterations of body weight, body weight gain and FCR while there was a marked elevation in feed intake of the chickens treated with product similar to Synertox® compared with the non-treated birds. These findings might be due to the high active protease, amylase and lipase enzymes which are secreted by Bacillus subtilis as they induce feed decomposition and facilitate the absorption of more nutrients.39
In addition, the obtained results showed that birds received T-Nil Plus® revealed non-significant changes in ALT and AST levels at 1st day post-treatment. These data are in the line with Moursi et al.,7 who mentioned that there was non-significant effect of T-Nil plus® on the activities of serum ALT and AST in treated chickens. While at 7th and 14th day after dosing Saccharomyces cerevisiae wall induced an increase in serum levels of ALT and a significant decrease in serum AST. These results are agree with these of El-Olemy40 and Elkatcha et al.,41 who found that Saccharomyces cerevisiae wall caused a marked elevation in serum level of ALT and a significant decrease in serum level of AST at 7th and 14th day post- treatment. In the current study, the addition of dietary T-Nil Plus® has no side effect on ALP. These findings are in agreement with Abdalhakim et al.,42 and SeyİDoĞLu et al.43 who found that the serum ALP activity was insignificantly changed in rabbit fed diet supplied with Saccharomyces cerevisiae.
The recorded results showed that birds treated with Synertox® showed non-significant alterations in serum ALT and AST activities at 1st day post- treatment. These findings are relatively similar with Sherif et al.,44 who reported that fish treated with Synertox® revealed no marked alterations in ALT and AST levels compared with the control group. On the other hand, Synertox® revealed a marked elevation in the levels of serum AST and ALT at 7th day post-treatment. These data are similar to the result obtained by Ashour et al.,45 who noticed that addition of Synertox® also markedLy increase serum AST and ALT compared with control group. This finding was recorded by Li et al.,46 and Abdel-Moneim et al.,47 who reported that serum AST level were markedLy increased in Japanese quails after administration of Bacillus subtilis spores in the diet when compared with non- treated group. The addition of Synertox® evoked non-significant changes in the serum levels of ALP in broiler chickens. These findings are in agreement with Abdel-Moneim et al.,47 who reported that serum levels of ALP were not affected by dietary levels of Bacillus subtilis.
Moreover, chickens treated with T-Nil Plus® revealed non-significant changes in total protein, globulin and A/G ratio at 1st day post-treatment. These data are in harmoney with those obtained by Moursi et al.,7 who reported that there was non-significant effect observed by T-Nil-plus® in levels of total protein, albumin, globulin and A/G ratio. The obtained results showed that birds treated with Synertox® showed non-significant alterations in serum total protein, globulin and A/G ratio at 1st and 7th day post-treatment. These findings are in the line with Sherif et al.,44 who mentioned that fish treated with Synertox® showed no marked alterations in total protein, albumin and globulin compared with group was fed with low level of AFB1.
In addition, the obtained results showed that chickens treated with T-Nil Plus® induced a marked elevation in serum creatinine level. These results are relatively similar to Czech et al.,48 who clarified that addition of Saccharomyces cerevisiae, the main active principle of T-Nil Plus®, increased levels of creatinine. Administration of T-Nil Plus® not alters the level of serum uric acid in broiler chicken. These results are in accordance with Mahmoud14; Al-Afifi et al.,49 and Hasan et al.50 who said that administration of Saccharomyces cerevisiae wall not change the serum level of uric acid in chickens. Our results showed that birds treated with Synertox® revealed non-significant changes of serum creatinine level at 1st day post-treatment. These data are in harmoney with Sherif et al.,44 who reported that fish treated with Synertox® showed non-significant changes in serum creatinine compared with group fed with low level of AFB1. On the other hand, Synertox® showed a marked elevation of serum creatinine at 7th and 14th day post-treatment. This finding was recorded by Ashour et al.,45 who found that administration of Synertox® to rabbit was markedLy increase serum creatinine level comparing with control group. While administration of Synertox® not alters the serum level of uric acid of treated group. This finding is supported by Abdel-Moneim et al.,47 who reported that no significant changes in serum level of uric acid treated with Bacillus subtilis to the diet of quails.
The recorded results showed that chickens treated with T-Nil Plus® revealed non-significant changes in serum glucose level. These data are similar to the result obtained by Czech et al.,48 who mentioned that a non-significant change in the plasma content of glucose in turkeys received Saccharomyces cerevisiae. The recorded data showed that birds treated with Synertox® revealed non-significant alterations in serum glucose level at 1st day post-treatment. This result was in harmoney with Mahmoudzadeh et al.,51 who reported that high dose of Bacillus subtilis in fish diet was not significantly altered the serum glucose level. On the other hand, our results showed that birds treated with Synertox® revealed a marked reduction in serum glucose level at 7th and 14th day post treatment. These results are in the line with Abdel-Moneim et al.47 who stated that serum glucose level were markedLy decreased in Japanese quail birds after addition of Bacillus subtilis spores in the diet.
The recorded data showed that chickens treated with T-Nil-Plus® revealed non-significant change in serum nitric oxide level at 1st, 7th and 14th day after dosing. These findings are relatively similar to Awaad et al.,52 who found that the use of mannan-oligosaccharides with β-glucans (extracted from the cell wall of a specific strain of Saccharomyces cerevisiae) induced non-significant change in serum nitric oxide in broiler. Our results revealed that birds treated with Synertox® showed non-significant changes in serum nitric oxide level at 1st, 7th day after treatment. Meanwhile, there was a marked reduction in serum nitric oxide level at 14th day post-treatment. This finding was recorded by Lee et al.53 who reported that using some Bacillus subtilis strains revealed a marked reduction in serum nitric oxide level. The obtained data showed that chickens treated with T-Nil Plus® from revealed non-significant changes in serum MDA level at 1st, 7th and 14th day post dosing. These results are in the line with Deters et al.54 who mentioned that plasma MDA concentrations remained relatively constant in newly weaned beef steers after receiving diet containing Saccharomyces cerevisiae fermentation product.
The recorded data showed that birds treated with Synertox® showed non- significant changes in serum MDA level at 1st, 7th and 14th day post-treatment. These findings are in harmony with Fan et al.,55 who reported that supplementation of Bacillus subtilis to broilers showed non-significant changes on serum MDA when compared with control group. Our results showed that chickens treated with T-Nil Plus® revealed non-significant changes in serum GSH level at 1st, 7th and 14th day post-treatment. These data are in accordance with the result obtained by Rageb et al.,56 who reported that non-significant alterations of GSH level in Ross broiler chickens administered mannan-oligosaccharide and β-glucan prebiotic. Our results showed that chickens treated with Synertox® showed a marked elevation in serum GSH level at 1st day and 7th day post-treatment. These findings are in harmoney with Zhang et al.,57 who reported that the effects of Bacillus subtilis in the diet of broilers showed a significant increase of serum GSH when compared with control group. Similarly, Bai et al.58 stated that the serum glutathione (GSH) were increased significantly by adding Bacillus subtilis into the broiler diets comparing with control group.
Also Abdel-Moneim et al.,47 reported that serum GSH level were significantly increased in Japanese quail birds after administration of Bacillus subtilis spores in the diet when compared with control group. T-Nil Plus® not alters the SOD and CAT levels of treated chicks at 1 and 14 days post-treatment. These results are in harmony with those recorded by Abdalhakim et al.42 who reported that SOD and CAT activities were insignificantly changed post treatment with Saccharomyces cerevisiae in rabbits. In the same line Abdalla et al.59 stated that the serum levels of SOD and CAT was not altered post treatment with Saccharomyces cerevisiae in calves. The obtained result showed that chickens treated with Synertox® showed a significant increase in serum SOD and CAT at 7 and 14 days after dosing. These results was in accordance with Zhang et al.,57 who reported that there are a significant increase in the levels of serum SOD and CAT of broiler chicken after dietary supplementation of Bacillus subtilis comparing with control group. Similarly, Chen et al.60 found that Bacillus subtilis increased the activities of SOD and CAT which had a positive response on antioxidant activity in serum of chickens. These findings revealed that probiotic bacteria enhance anti-oxidant defense mechanism of poultry. This effect might be due to the potency of probiotic bacteria to induce chelate free radicals, capturing reactive oxygen species and inhibiting their cytotoxic activity Lin and Yen,61 or due to the components that Synertox® contains, that help in protein digestion.8
The recorded data showed that chickens given T-Nil Plus® evoked nonmarked alterations in serum levels of cholesterol, triglycerides, HDL and LDL. These results are in accordance with Zamanizadeh et al.62; Jazi et al.,63 and Sohail et al.,64 who reported that serum levels of cholesterol, triglycerides, HDL and LDL were not affected by Saccharomyces cerevisiae supplementation. Similar results were recorded by He et al.,65 who reported that there are no-marked alterations in serum levels of cholesterol, triglycerides and LDL at day 21 in broiler chickens supplemented with Saccharomyces cerevisiae also, administration of Saccharomyces cerevisiae wall not alter serum levels of VLDL of broilers. This finding was supported by Elkatcha et al.,41 who reported that there is no significant changes were observed in serum VLDL of broiler chickens supplemented with Saccharomyces cerevisiae. Also, similar results were observed by El-Mahmoudy et al.66 administration of Saccharomyces cerevisiae wall not alter serum cholesterol, triglycerides, HDL, LDL and VLDL in rats.
The current study showed that chickens given Synertox® exerted non-marked alterations in serum levels of cholesterol, triglycerides. These findings were noted by Devyatkin et al.67; Mohebbifar et al.,68 and Santoso et al.,69 who observed that no significant impact of a probiotic supplement on the level of cholesterol, triglycerides in chicken blood also chickens given Bacillus subtilis extract exerted non-marked alterations in serum levels of HDL and LDL. This result is reported by Al-Baadani et al.,70 who observed that no significant impact of Bacillus subtilis supplement on the level of HDL, LDL and triglycerides of treated broilers. On the other hand, administration of Bacillus subtilis extract evoked a significant decrease in serum level of VLDL of treated broilers. Similar results were observed by Abdel-Moneim et al.,47 and Aliakbarpour et al.,71 who reported that there is a significant decrease in in serum level of VLDL of broilers supplemented with Bacillus subtilis to the diet.
Microscopic examination of hepatic sections from broiler group after receiving T-Nil plus® showed lymphocytic follicular aggregation, leukocytic cell infiltration comparing with control group. These results are in accordance with Abd El Tawab et al.,72) who reported that liver treated with probiotic and prebiotic showed leucocytic cell infiltration in the fibrous connective tissue of the portal area and in hepatic parenchyma. Hepatic sections from broiler group after receiving Synertox® showed fibrous tissue proliferation infiltrated with mixed leukocytes and few leukocytic cells infiltration around central vein. These findings were in the line with kilany et al.38 who reported that liver treated with product similar to Synertox® showed portal and interstitial leucocytic aggregation in hepatic cells.
Renal sections from broiler group after receiving Synertox® showed congested interstitial blood vessels and mild interstitial edema. These results were relatively similar to those of kilany et al.38 who reported that kidney treated with product similar to Synertox® showed acute cell swelling of renal tubules and congestion. Duodenal sections from broiler treated groups (G2, G3) showed desquamated villous epithelium due to the increase in lymphocyte populations due to the anti-inflammatory role of the tested agents in the duodenum, these results were in accordance with those of Awadin et al.73
Synertox® induced a powerful effect comparing to T-Nil Plus®, as it induces a good feed conversion ratio and increases the response of the birds against oxidative stress.
The researchers are very grateful for the faculty of veterinary medicine, Mansoura University, Egypt to provide the suit place to achieve this study.
Amer MS, El-Tokhey IS, Nasreldin N, Eltaysh RA, El-shafei RA. Pharmacological effect of T-Nil-Plus® and Synertox® , commercial anti-mycotoxins, on broiler chickens in Egypt. Veterinaria México OA. 2022;9. doi: 10.22201/fmvz.24486760e.2022.997.
All relevant data are within the manuscript and its supporting information files.
All authors were paid for this publication, there was not any external funding.
The authors have no conflict of interest to declare in regard to this publication
Conceptualization: Magdy S. Amer & Reham A. El-Shafei
Data curation: Iman S. El-Tokhey
Formal analysis: Iman S. El-Tokhey
Funding acquisition: All Authors
Methodology: Iman S. El-Tokhey, Nani Nasreldin
Software: Iman S. El-Tokhey , Reham A. El-Shafei
Supervision: Magdy S. Amer & Reham A. El-Shafei& Rasha A. Eltaysh
Validation: Magdy S. Amer & Reham A. El-Shafei& Rasha A. Eltaysh
Visualization: Magdy S. Amer & Reham A. El-Shafei& Rasha A. Eltaysh
Writing-original draft: Iman S. El-Tokhey& Reham A. El-Shafei
Writing-review and editing: Iman S. El-Tokhey & Magdy S. Amer & Reham A. El-Shafei
*Corresponding author: Email address: dr_reham16@yahoo.com










