Linfoma difuso de células grandes B y la importancia de la terapia de soporte en pacientes oncológicos
Diffuse Large B Cell Lymphoma and the importance of supportive therapy in pediatric oncology.
Linfoma difuso de células grandes B y la importancia de la terapia de soporte en pacientes oncológicos
Acta Pediátrica de México, vol. 37, núm. 4, pp. 222-227, 2016
Instituto Nacional de Pediatría
Recepción: 12 Mayo 2016
Aprobación: 25 Mayo 2016
PRESENTACIÓN DEL CASO
Niño de 7 años 6 meses de edad, con historia de cuatro meses de evolución caracterizada por constipación nasal, epistaxis y rinorrea amarillenta bilateral; fiebre no cuantificada de predominio nocturno y pérdida de peso no cuantificada. Estos síntomas se presentaban al menos una vez por semana de manera continua. Examen físico: aumento de volumen de la región malar derecha y el párpado inferior ipsi-lateral, con dolor a la palpación; adenomegalias bilaterales cervicales y sub-mandibulares con diámetro de 0.5 a 1 cm de consistencia blanda. Una radiografía posteroanterior de tórax no mostró masa mediastinal. La biometría hemática reportó 12.9 g/dL de hemoglobina, 8,600/mm3 leucocitos, 6,600/mm3 neutrófilos, 1,900/mm3 linfocitos, 100/ mm3 monocitos y 44,6000/mm3 de plaquetas. La tomografía de emisión de positrones con flúor 18 unido a fluordeoxiglucosa, en combinación con la tomografía simple (18F-FDG PET/CT), mostró una lesión lítica que ocupaba el etmoides anterior y posterior, el seno maxilar en forma bilateral y extensión al piso de la órbita; sin afectar el nervio óptico; el tumor ocupa la fosa nasal derecha e izquierda y la nasofaringe con SUVmax de 16.31 denotando un proceso de hiper-metabolismo celular, altamente sugestivo de malignidad-neoplasia.
El diagnóstico se realizó en una biopsia-incisional: se trataba de una tumoración de aspecto friable, por lo que se colocó un taponamiento anterior del lado derecho. Tres días después del evento quirúrgico, aún sin informe histopatológico, el paciente mostró incremento de la sintomatología obstructiva debido a infla- mación y al crecimiento del tumor. Por tratarse de una urgencia obstructiva de la vía aérea superior se inició citorreducción con quimioterapia: ciclofosfamida 200 mg/m2/día por dos días y dexametasona 10 mg/m2/día durante 5 días. La respuesta clínica inicial fue adecuada.
El informe histopatológico fue linfoma no Hodgkin difuso de células grandes B; por lo que se inició tratamiento con protocolo técnico para linfoma no Hodgkin B; se administró Curso A: ciclofosfamida, doxorrubicina, vincristina y te- rapia intratecal con metotrexate/citarabina, sin complicaciones.
Como parte del manejo inicial, durante la fase de citorreducción y el inicio de la quimioterapia, el tratamiento fue hiper-hidratación e inhibidor de xantina-oxidasa, además de vigilancia estrecha de los parámetros de síndrome de lisis tumoral con determinaciones frecuentes de ácido úrico, fósforo y potasio (Cuadro 1), debido al alto riesgo de presentar síndrome de lisis tumoral por la biología misma de esta neoplasia.
El paciente tuvo buena evolución de manera inicial, gracias al tratamiento y la prevención oportuna a las urgencias oncológicas que acompañan a esta patología. Al tercer día de iniciada la quimioterapia (Curso A) el paciente tuvo fiebre: 38.8ºC, sin evidencia de un foco infeccioso. Se hicieron estudios de laboratorio y cultivos: hemoglobina 12.6 g/dL, leucocitos en 4,600/ mm3, neutrófilos 2,500/mm3, linfocitos 1,900/ mm3, monocitos 140/mm3 y plaquetas 31,6000/ mm3, examen general de orina sin alteraciones y proteína C reactiva en 3 mg/dL. Se inició la administración de antibióticos: cefuroxima y clindamicina por sospecha de proceso infeccioso en vías respiratorias superiores, debido al taponamiento nasal temporal. La evolución posterior fue tórpida: fiebre elevada y mucositis oral grado N. El hemocultivo inicial reveló Enterobacter aerogenes; el urocultivo mostró Pseudomonas aeruginosa. Tuvo mala evolución del proceso infeccioso y agravamiento de las lesiones en cavidad oral que requirieron aporte nutricional por vía parenteral. Debido a la evolución clínica se agregaron al esquema antibióticos: vancomicina y meropenem, además de cobertura antifúngica con fluconazol; sin embargo, los datos de sepsis progresaron hasta la falla hemodinámica, por lo que fue tratado en la unidad de terapia intensiva. Posteriormente presentó choque séptico y falleció.

Comentario radiológico



Hallazgos anatomopatológicos
Autopsia del paciente de edad aparente igual a la cronológica. Existían úlceras en labios y lengua, con lesiones ovoides de color blanquecino en esta última (Figura 4). El colon tenía la mucosa material de aspecto membranoso de coloración blanco-amarilla (Figura 5). El hígado era de coloración amarillo claro, con disminución importante de la consistencia.


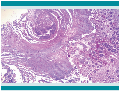
Microscopía. Médula ósea con hipoplasia moderada, así como depleción linfocítica en ganglios. El epitelio esofágico y de la lengua mostraron inclusiones virales de citomegalovirus y de herpes virus (Figura 6). El colon mostraba necrosis focal de la mucosa, con presencia de membranas adherentes y colonias bacterianas Gram negativas (Figura 7).


El tejido hepático mostró necrosis extensa de hepatocitos, sin evidenciarse datos de infección viral o microorganismos debido a lo dañado del tejido.
Los hallazgos: hipoplasia de médula ósea y depleción linfocítica son complicaciones secundarias al tratamiento del proceso linfopro- liferativo del paciente. Dichas complicaciones favorecieron la infección por citomegalovirus y herpes virus en boca y esófago, así como la infección bacteriana en colon, lo que llevó al paciente a la muerte. La necrosis hepática sub masiva pudo haber sido ocasionada por un agente viral de los arriba mencionados; sin embargo, debido al daño hepático observado no se pudo demostrar el mismo. El resto de los hallazgos se enlistan en el Cuadro 2.
DISCUSIÓN
En la mayoría de las ocasiones las urgencias oncológicas acompañan a los pacientes recientemente diagnosticados con cáncer, por lo que el equipo involucrado en la atención de éstos debe estar capacitado para la prevención, detección y manejo oportuno de las mismas en su práctica diaria1.

El caso presentado es un ejemplo de la importancia del diagnóstico y la atención oportuna de las mismas:
En este caso, las complicaciones infecciosas causaron la muerte del paciente. La fiebre en los pacientes oncológicos es un dato de alarma, ya que por lo general precede a un proceso infeccioso que puede poner en riesgo la vida,9 y a menudo es el único signo de infección potencialmente fatal (la tasa de sepsis en niños entre 1 a 9 años es de 12.8% y entre 10 a 19 años es de 17.4%).10
Se identifican tres momentos de alto riesgo para la aparición de fiebre:
La instauración temprana de antibióticos de amplio espectro puede ir en contra de los cánones de brindar la terapia antibiótica más específica y de menor espectro posible para evitar resistencia a los antibióticos; sinembargo, en pacientes en fases iníciales de tratamiento para el cáncer13 se debe considerar una terapia dirigida de acuerdo con el riesgo de aplasia medular, así como individualizar la selección de antibióticos de acuerdo con cada hospital y con la epidemiología del mismo.
Una peculiaridad importante de este caso es la evolución de la mucositis; cuando esta complicación es de larga evolución (de 8 hasta 12 días vs. 1 a 2.5 días del promedio en la mayoría de los casos) o no presenta buena respuesta al tratamiento antibiótico se ha relacionado con infección por Herpes Simple Virus corroborado con hisopado buco-faríngeo a pesar de serología negativa para este virus.14 Se han descrito distintas estrategias preventivas como detección y manejo oportuno de gingivitis o infecciones orales, crioterapia, aseos bucales protocolizados, suplementos sistémicos de zinc y factor de crecimiento de queratinocitos (palifermin), cuyas recomendaciones deben ser individualizadas para cada paciente, así como tratamiento opor- tuno (indicado desde que se presenta mucositis grado II) con aseos bucales (tratamiento tópico) con morfina por su efecto analgésico potente y doxepina como antihistamínico, y analgésicos sistémicos.15
Estas medidas junto con la vigilancia en unidades de terapia intensiva al iniciar el tratamiento anti-neoplásico son medidas que se deben instaurar de manera temprana. El caso presentado nos obliga a analizar las estrategias de manejo y la importancia de la individualización y especial monitorización en pacientes con mala evolución o con respuesta atípica a la terapéutica empleada. Las complicaciones presentadas en el paciente del caso son frecuentes durante el tratamiento antineoplásico; sin embargo, la evolución no fue la esperada. Se deben plantear estrategias para detectar pacientes de alto riesgo a desarrollar complicaciones como mucositis exacerbada por infecciones virales e insistir en cobertura antibiótica de amplio espectro inicial. Hoy en día los avances en las estrategias terapéuticas contra el cáncer permiten una alta supervivencia que no debemos permitir se vea mermada por limitar su manejo de soporte.
REFERENCIAS
1. Fisher MJ, Rheingold SR. Oncologic Emergencies. In: Principles and Practice of Pediatric Oncology, 6th, Pizzo PA, Poplack DG (Eds), Lippincott Williams and Wilkins, Philadelphia 2011. p.1125.
2. Walji N, Chan AK, Peake DR. Common acute oncological emergencies: diagnosis, investigation and management. Postgrad Med J. 2008;84:418–427.
3. Wilson LD, Detterbeck FC, Yahalom J. Superior vena cava syndrome with malignant causes. N Engl JMed. 2007;356:1862–1869.
4. Ben-Ari J, Schonfeld T, Harlev E, Steinberg R, Yaniv I, Katz J, Schwartz M, Freud E. Life threatenin gairway obstruction secondary to mass in children – a preventable event? Pediatric Emergency Care. 2005;21(7):427–430.
5. Cairo, M.S., Coiffier, B., Reiter, A. and Younes, A. Recom- mendations for the evaluation ofrisk and prophylaxis of tumor lysis syndrome (TLS) in adults and children with malignant disease: an expert TLS panel consensus. British Journal of Hematology. 2010;149; 578–586.
6. Coiffier B, Altman A, Pui C-H.and Cairo MS. Guidelines for the management of pediatric and adult tumor lysis syndrome: an evidence-based review. Journal of Clinical Oncology. 2008;26(16):2767–2778.
7. Sonis ST. A biological approach to mucositis. J Support Oncol. 2004; 2:21–32.
8. Lalla RV, Sonis ST, Peterson DE Management of oral mu- cositis in patients who have cancer. Dent Clin North Am. 2008:52;61–77.
9. Castagnola E, Fontana V, Caviglia I, et al. A prospective study on the epidemiology of febrile episodes during chemotherapy-induced neutropenia in children with cancer or after hemopoietic stem cell transplantation. Clin Infect Dis. 2007;45:1296.
10. Mendes A, Sapolnik R, Mendonca N. New guidelines for the clinical management of febrile neutropenia and sepsis in pediatric oncology patients. Jornal de Pediatria. 2007;83(2):S54.
11. Lehrnbecher T, Foster C, Vazquez N et al. Therapy induced alterations in host defense in children receiving therapy for cancer. J Pediatr Hematol Onco. 1997;l19:399–417.
12. Phillips RS, Wade R, Lehrnbecher T et al. Systematic review and meta-analysis of the value of initial biomarkers in predicting adverse outcome in febrile neutropenic episodes in children and young people with cancer. BMC Med. 2012;10:6.
13. Hughes W, Armstrong D, Bodey G, Bow E, Brown A, et al. Guide lines for the Use of Antimicrobial Agents in Neutropenic Patients with Cancer. CID. 2002;34:730–751.
14. Ramphal R, Grant RM, Dzolganovski B, et al. Herpes simplex virus in febrile neutropenic children undergoing chemothe- rapy for cancer: a prospective cohort study. Pediatr Infect Dis J. 2007;26:700.
15. Lalla RV, Bowen J, Barasch A, et al. MASCC/ISOO clinical practice guide lines for the management of mucositis secondary to cancer therapy. Cancer. 2014;120:1453.
Notas de autor
Información adicional
Como citar este artículo: Galván-Díaz CA, Cárdenas-Cardós R, Rojas-Maruri CM, Palma-Rosillo
RM, Aguilar-Ortiz MR. Linfoma difuso de células
grandes B y la importancia de la terapia de soporte en pacientes oncológicos. Acta Pediatr Mex. 2016;37(4):222-227.