Artículo original
Bronquiolitis obliterante post-infecciosa: características y seguimiento a mediano plazo de 21 casos en Bogotá-Colombia a 2640 m de altura
Post-infectious bronchiolitis obliterans: characteristics and follow up of 21 cases in Bogotá-Colombia at 2640 m above sea level
Bronquiolitis obliterante post-infecciosa: características y seguimiento a mediano plazo de 21 casos en Bogotá-Colombia a 2640 m de altura
Acta pediátrica de México, vol. 38, núm. 5, pp. 308-316, 2017
Instituto Nacional de Pediatría
Recepción: 07 Noviembre 2016
Aprobación: 27 Abril 2017
Resumen
INTRODUCCIÓN: la bronquiolitis obliterante post-infecciosa es una enfermedad pulmonar crónica de la niñez, secuela de una bronquiolitis aguda, ocurrida en los primeros meses de vida. La bronquiolitis obliterante post-infecciosa se ha reportado en baja altura o a nivel del mar pero no encontramos descripciones en alturas por encima de los 2500 m.
OBJETIVO: evaluar las características y el pronóstico de los niños con diagnóstico de bronquiolitis obliterante post-infecciosa en Bogotá-Colombia a 2640 m de altura.
MÉTODOS: los pacientes fueron derivados de la Clínica de Neumología Pediátrica de Compensar EPS, que recibe niños con patología respiratoria compleja referidos por su pediatra. El estudio fue llevado a cabo entre enero de 2015 y junio de 2016 y se incluyeron todos los casos que cumplieran los requisitos para el diagnóstico de bronquiolitis obliterante post-infecciosa, de acuerdo a las recomendaciones de la literatura médica. La investigación tuvo un componente retrospectivo y otro prospectivo.
RESULTADOS: encontramos 21 casos de bronquiolitis obliterante post-infecciosa en el período referido. El tiempo promedio de seguimiento fue de 5.6 años y la edad promedio del evento inicial de 6.7 meses. El 76% de los casos correspondieron al sexo masculino y el 76% requirieron ventilación mecánica en el cuadro inicial. La evolución fue de regular a mala en el 71% de los casos, el 33% de los pacientes presentaron bronquiectasias y el 43% tenía hipertensión pulmonar en su primera evaluación.
CONCLUSIONES: presentamos el primer estudio de las características y seguimiento de la bronquiolitis obliterante post-infecciosa en alturas superiores a los 2500 m sobre el nivel del mar. Los principales factores asociados al desarrollo de la enfermedad y su pronóstico a mediano plazo fueron similares a lo descrito a baja altura y a nivel del mar.
PALABRAS CLAVE: bronquiolitis+ bronquiolitis obliterante+ altura+ pronóstico.
Abstract
BACKGROUND: Post-infectious bronchiolitis obliterans (PIBO) is a childhood chronic pulmonary disease, sequelae of an acute bronchiolitis during the first months of life. PIBO has been reported at low altitudes and at sea level but there are not follow up reports from altitudes higher than 2,500 m. The aim of this research was the description of the main features and prognosis of children with PIBO in Bogotá-Colombia at 2,640 m above sea level.
METHODS: PIBO cases were derived from a paediatric pulmonology reference clinic. Diagnosis was made according to the medical literature recommendations. The study was carried out from January 2015 to June 2016 and had both a retrospective component and a prospective one.
RESULTS: We found 21 PIBO cases. The mean follow up time was 5.6 years and the mean age for the initial event was 6.7 months; 76% of the patients were male and 76% required mechanical ventilation in the initial episode. The evolution was from medium to poor in 71% of the cases; 33% patients had bronchiectasis and 43% had pulmonary hypertension in their first evaluation.
CONCLUSIONS: This is the first PIBO follow up study published from altitudes above 2,500 m. The main factors associated with PIBO developing and the disease prognosis are in accordance with descriptions at low altitude and sea level.
KEYWORDS: bronchiolitis, bronchiolitis obliterans, altitude, prognosis.
INTRODUCCIÓN
La bronquiolitis obliterante post-infecciosa es una enfermedad pulmonar crónica caracterizada por compromiso de la pequeña vía aérea con obstrucción u obliteración de la misma.1 Esta patología es una secuela de infecciones causadas por el adenovirus y el virus sincitial respiratorio principalmente y en forma más esporádica por otros agentes.1
Las recomendaciones de la literatura indican que debe pensarse en bronquiolitis obliterante post-infecciosa cuando después de una bronquiolitis aguda persisten síntomas respiratorios que no responden adecuadamente al tratamiento y en quienes la tomografía de tórax muestra un patrón en mosaico. Para hacer el diagnóstico de bronquiolitis obliterante post-infecciosa deben excluirse otras enfermedades como la fibrosis quística, inmunodeficiencias y aspiración crónica.1-6
La frecuencia de esta patología tiene importantes variaciones regionales en el mundo; se ha reportado principalmente en Argentina, Chile y Brasil,1-6 y en menor proporción en Malasia,7 China,8 Turquía9 y Europa.10,11 Todos los estudios de seguimiento de bronquiolitis obliterante post-infecciosa se han hecho a nivel del mar o en baja altura. No encontramos en la literatura publicaciones previas de seguimiento de casos de esta patología en alturas por encima de los 2500 metros.
OBJETIVO
Describir las características y el pronóstico a mediano plazo de la bronquiolitis obliterante post-infecciosa en Bogotá-Colombia a 2640 m de altura y analizar si su comportamiento está acorde con lo previamente descrito a baja altura.
METODOLOGÍA
Los pacientes fueron referidos por sus pediatras a la Clínica de Neumología Pediátrica de Compensar-EPS. Compensar tiene a su cargo el cuidado de la salud de alrededor de 400,000 menores de 15 años en la ciudad de Bogotá. Cuando un caso respiratorio es de alta complejidad es referido a nuestra clínica, que realiza 600 consultas de la especialidad al mes.
El estudio fue llevado a cabo entre enero de 2015 y junio de 2016 y se incluyeron todos los pacientes que cumplieran los requisitos para el diagnóstico de bronquiolitis obliterante post-infecciosa de acuerdo a las recomendaciones de la literatura médica.1-6 Se consideraban casos posibles aquellos niños quienes, después de una bronquiolitis aguda moderada a grave, persistían con síntomas de obstrucción bronquial e infecciones broncopulmonares a repetición, sin respuesta adecuada a pesar de tratamientos que incluían broncodilatadores, corticoides inhalados, antileucotrienos y antibióticos. En estos casos se descartaban, con base en la historia clínica y estudios paraclínicos: fibrosis quística, inmunodeficiencias, displasia broncopulmonar y síndrome de aspiración crónica.
Todos los pacientes tuvieron al menos un estudio negativo de electrolitos en sudor y en forma individualizada se realizaron radiografías de vías digestivas altas, estudio de deglución e inmunoglobulinas séricas. Si había prueba o sospecha de alguna patología alterna el niño se excluía del estudio.
Como criterio obligatorio de inclusión el paciente debía tener al menos una tomografía de tórax con franco patrón en mosaico. La recolección de la información en cada caso tuvo un componente retrospectivo basado en la historia clínica y uno prospectivo a partir del momento en que el paciente ingresó al estudio.
Una vez incluido el caso se registraron las siguientes variables:
-Edad del evento inicial.
-Edad actual.
-Tiempo de seguimiento.
-Presencia de bronquiectasias en la tomografía de tórax.
-Función pulmonar (último registro).
-Reversibilidad de la obstrucción de la vía aérea (último registro). Se consideró reversibilidad la mejoría del volumen espiratorio forzado en el primer segundo (VEF1) en un 12% o más de acuerdo a la normatividad internacional.12
-Presión de la arteria pulmonar estimada por ecocardiograma (último registro). Se definió como hipertensión pulmonar una cifra de 40 mmHg o mayor teniendo en cuenta la altura de Bogotá.13
-Evolución general: la evolución se calificó como buena, regular o mala teniendo en cuenta parámetros clínicos, de las imágenes diagnósticas y de las pruebas de función pulmonar en los casos en los que la edad permitió realizarlas (Cuadro 1).

ASPECTOS ÉTICOS
Este estudio sigue los lineamientos de la Declaración de Helsinki de la Asociación Médica Mundial y de la resolución 8430 de 1993 del Ministerio de Salud de Colombia, sobre investigación con seres humanos. De acuerdo a esta resolución, esta investigación se considera de riesgo inferior al mínimo, ya que no implica ninguna intervención sobre los pacientes.
RESULTADOS
Encontramos 21 casos que cumplían con los requisitos para el diagnóstico de bronquiolitis obliterante post-infecciosa. El tiempo promedio de seguimiento fue de 5.6 años (rango de 4 meses a 14 años 8 meses) y la edad promedio del evento inicial de 6.7 meses. De los 21 casos, 16 correspondieron al sexo masculino y 19% se presentaron en la estación pico de bronquiolitis por virus sincitial respiratorio (abril a junio). Una paciente presentaba como co-morbilidad síndrome de Down sin cardiopatía ni otras condiciones asociadas. El 76% de los niños requirió ventilación mecánica en el evento inicial, identificándose la etiología de dicho evento en el 38% de los casos con cifras similares para el virus sincitial respiratorio, el adenovirus y la combinación de los dos.
En los Cuadros 2 y 3 se presentan los datos más importantes de cada uno de los pacientes. La evolución general fue entre regular a mala en el 71% de los niños. En cuanto a las imágenes diagnósticas se evidenciaron bronquiectasias en el 33% de los casos, se hizo tomografía de tórax de seguimiento en ocho pacientes encontrándose algún grado de mejoría en cinco y evolución estable en tres.


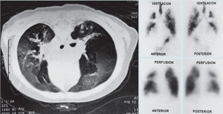
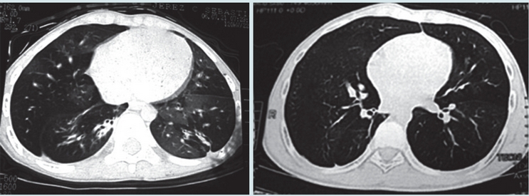
En las Figuras 1 y 2 se observan imágenes diagnósticas de algunos de nuestros pacientes y en la Figura 3 la evolución favorable de la tomografía (en un caso) después de varios años de seguimiento. En nueve casos se realizó exploración funcional respiratoria encontrando obstrucción significativa de la vía aérea en seis, obstrucción leve en dos y ausencia de obstrucción en uno; en 3/8 pacientes se observó reversibilidad del volumen espiratorio forzado en el primer segundo (VEF1). Se hizo seguimiento de la función pulmonar en cuatro pacientes observándose deterioro de la misma en tres (Figura 4). En cuanto a la presión pulmonar se encontró inicialmente elevada en el 43% de los casos, observándose en su seguimiento, disminución en cinco y aumento en uno.




DISCUSIÓN
En este trabajo presentamos las características y el pronóstico a mediano plazo de 21 niños con bronquiolitis obliterante post-infecciosa en Bogotá-Colombia a 2640 m de altura. Hasta donde tenemos información este el primer reporte de este tipo en alturas superiores a los 2500 m sobre el nivel del mar. Por otra parte, solamente encontramos en la literatura la descripción de un caso aislado de bronquiolitis obliterante post-infecciosa en Colombia.14
En nuestra casuística hubo predomino del sexo masculino que representó el 76% de los casos, dato que coincide con lo descrito en la mayoría de los estudios publicados.1-6 La edad promedio del evento inicial fue de 6.7 meses, cifra similar a la de un estudio de 35 casos en Brasil donde fue de 7.5 meses.2 En el 76% de nuestros casos se requirió asistencia ventilatoria en el evento inicial, mientras que en el estudio de Brasil fue del 23%2 y en España solamente de un caso en 22.10 Estas discrepancias nos hacen pensar que en nuestro estudio se incluyeron predominantemente casos severos de bronquiolitis obliterante post-infecciosa.
Con relación a la etiología solamente pudimos documentar el dato en el 38% de los casos encontrando en proporciones iguales virus sincitial respiratorio y adenovirus, esta baja cifra de aislamiento se debe a que no existe en nuestro medio un protocolo unificado para la búsqueda de la etiología de la bronquiolitis aguda. A pesar de esta limitación el dato coincide con lo reportado en la literatura, especialmente con relación a la relevancia del adenovirus en la causalidad de la bronquiolitis obliterante post-infecciosa.15,16
En cuanto al pronóstico de la enfermedad y con un seguimiento promedio de 5.6 años, observamos una evolución global desfavorable en el 71% de los casos. Nuestros pacientes tuvieron consultas y hospitalizaciones frecuentes (a veces con necesidad de ventilación mecánica) y requirieron numerosos estudios paraclínicos entre ellos tomografía de tórax, gammagrafías pulmonares, estudios inmunológicos, electrolitos en sudor, ecocardiogramas y polisomnografías. Recibieron además múltiples medicamentos como broncodilatadores, corticoides inhalados y sistémicos, antibióticos y oxígeno por períodos prolongados. En general la literatura coincide en el hecho de que la bronquiolitis obliterante post-infecciosa no tiene un buen pronóstico, de esta manera en Brasil el 68% de 31 pacientes persistían sintomáticos después de 3.5 años4 y en Argentina se observó dependencia de oxígeno prolongada en la mayoría de 48 casos.6 Nuestros resultados coinciden con lo publicado que indica que la bronquiolitis obliterante post-infecciosa es una enfermedad compleja, que implica altos costos y que tiene importantes implicaciones emocionales.1-8,10,11
En el presente estudio encontramos obstrucción significativa de la vía aérea en 7/9 casos con un volumen espiratorio forzado en el primer segundo (VEF1) que osciló entre el 35% al 62% del predicho. Datos similares, indicando un compromiso significativo de la función pulmonar, se encontraron en la mayoría de 77 casos en Brasil,5 de 46 en Argentina17 y de 11 en Italia.11 Hicimos seguimiento de la función pulmonar en cuatro pacientes observando disminución tanto del VEF1 como del FEF25-75 en tres de ellos. Este deterioro con el paso del tiempo también ha sido reportado en varios estudios.5,6,11 En 3/8 de nuestros casos había algún grado de reversibilidad en la obstrucción de la vía aérea, dato similar al del estudio de Porto Alegre en Brasil donde se observó en 3/7 de pacientes;4 en otros reportes de la literatura esta cifra oscila entre el 0% y 38%.3 Uno de nuestros pacientes tuvo pruebas de función pulmonar normales, se trata de un niño de seis años quien tuvo bronquiolitis por adenovirus a los dos meses de edad requiriendo cuidado intensivo por doce días; en sus primeros tres años tuvo doce hospitalizaciones y requirió oxígeno permanente durante un año. Tiene dos tomografías de tórax con patrón en mosaico, una al año y otra a los tres años con importante mejoría respecto a la primera. Con estos datos pensamos que se trata de un caso de bronquiolitis obliterante post-infecciosa que mejoró hasta tener fisiología normal. Un caso similar fue reportado en la serie de Porto Alegre (Brasil).4
Con relación a las imágenes diagnósticas, todos los pacientes tenían patrón de mosaico en la tomografía de tórax, pues era un criterio de inclusión. Encontramos bronquiectasias en el 33% de los casos, hallazgo frecuente en la bronquiolitis obliterante post-infecciosa reportándose en el 60% de los casos en Fortaleza (Brasil),2 en el 36% en el País Vasco (España) 10 y en el 32% en Porto Alegre (Brasil).4 La identificación de las bronquiectasias es importante pues implica la implementación de medidas terapéuticas como la administración de antibióticos y la realización de terapia respiratoria.
En los casos en que se hizo tomografía de control, con un rango de tiempo entre los dos estudios de 31 a 80 meses, observamos mejoría en las imágenes en 6/8 pacientes. No encontramos en la literatura datos sobre seguimiento de imágenes en bronquiolitis obliterante post-infecciosa que nos permitan hacer una comparación al respecto.
En el 48% de nuestros pacientes las cifras iníciales de presión pulmonar estaban elevadas para la altura de Bogotá, con valores que oscilaron entre los 40 mm y los 58 mmHg. En uno de los estudios realizados en Brasil se encontró hipertensión pulmonar en 15/33 casos con presiones pulmonares superiores a 25 mmHg a nivel del mar.2 La hipertensión pulmonar podría ser una complicación adicional de la bronquiolitis obliterante post-infecciosa por encima de los 2500 m dado el incremento que tiene la reactividad vascular pulmonar a partir de esta altura.18 Hicimos seguimiento de la presión pulmonar en seis pacientes observando normalización en cinco de ellos. Hasta donde tenemos información no se ha reportado la relevancia de la hipertensión pulmonar en casos de bronquiolitis obliterante post-infecciosa en la altura.
La mortalidad informada para la bronquiolitis obliterante post-infecciosa oscila entre 3.2 y 16.7%,3 a la fecha nosotros no hemos tenido ningún caso de muerte.
CONCLUSIONES
Presentamos el primer estudio de las características y seguimiento de la bronquiolitis obliterante post-infecciosa en alturas superiores a los 2500 m sobre el nivel del mar. Los principales factores asociados al desarrollo de bronquiolitis obliterante post-infecciosa y su pronóstico a mediano plazo fueron similares a lo descrito a baja altura y a nivel del mar.
REFERENCIAS
1. Castro-Rodriguez JA, Giubergia V Fischer GB, et al. Postinfectious bronchiolitis obliterans in children: The South American contribution. Acta Paediatr. 2014;103(9):913-21.
2. Lino CA, Batista AK, Soares MA, de Freitas AE, Gomes LC, M Filho JH, Gomes VC. Bronquiolitis obliterans: clinical and radiological profile of children follow-up in a reference outpatient clinic. Rev Paul Pediatri. 2013;31:10-16.
3. Champs NS, Lasmar LM, Camargos PA, Marguet C, Fischer GB, Mocelin HT. Post-infectious bronchiolitis obliterans in children. Journal de Pediatría (Rio J). 2011;87:187-198.
4. Zhang L, Camargo JJ, Irion K, da Silva Porto N, Kozakewich H, Reid L, and Abreu e Silva F. Clinical Course of Postinfectious Bronchiolitis Obliterans. Pediatr Pulmonol. 2000;29:341-350.
5. Mattiello R, Mallol J, Fischer GB, Mocelin HT, Rueda B, Sarria EE. Pulmonary function in children and adolescents with postinfectious bronchiolitis obliterans. J Bras Pneumol. 2010;360:453-9.
6. Aguerre V, Castaños C, Pena HG, Grenoville M, Murtagh P. Postinfectious bronchiolitis obliterans in children: clinical and pulmonary function findings. Pediatric Pulmonology. 2010;45:1180-1185.
7. Azizi Haji O, Manan A, Bronchiolitis obliterans in children-A report of six cases. Med J Malasya. 1989;44:204-209.
8. Chih-Yung Chiu, Kin-Sun Wong, Yhu-Chering Huang and Tzou-Yien Lin. Bronquiolitis obliterans in children: Clinical presentation, therapy and long-term follow-up. Journal of Paediatrics and Child Health. 2008;44:129-133.
9. Yüksel H, Yilmaz O, Urk V, Yüksel D, Göktan C, Savaş R, Sayit E. Clinical significance of lung perfusion defects in children with post-infectious bronchiolitis obliterans. Tuberk Toraks. 2009;57:376-82.
10. Sardón O, Pérez-Yarza EG, Aldasoro A, Corcuera P, Mintegui J, Korta J. Bronquiolitis obliterante. Evolución a medioplazo. An Pediatr (Barc). 2012;76:58-64.
11. Cazzato S1, Poletti V, Bernardi F, Loroni L, Bertelli L, Colonna S, Zappulla F, Timoncini G, Cicognani A. Airway inflammation and lung function decline in childhood post-infectious bronchiolitis obliterans. Pediatr Pulmonol. 2008;43:381-390.
12. Pellegrino R, Viegi G, Brusasco V, Crapo RO, Burgos F, Casaburi R, Coates A, van der Grinten CPM, Gustafsson P, Hankinson J, Jensen R, Johnson DC, MacIntyre N, McKay R, Miller MR, Navajas D, Pedersen OF and Wanger J. Series ''ATS/ERS task force: standardisation of lung function testing.'' Interpretative strategies for lung function tests. Eur Respir J. 2005;26:948-968.
13. Pang YL, Ma RY, Qi HY, Sun K. Comparative study of the indexes of pulmonary arterial pressure of healthy children at different altitudes by Doppler echocardiography. Chinese Journal of Pediatrics. 2004;42:595-599.
14. Panqueva O, Jiménez JC. Bronquiolitis obliterante en Pediatría. Revista Colombiana de Neumología. 2012;24:41-44.
15. Lang WR, Howden CW, Laws J, Burton JF.Bronchopneumonia with serious sequelae in children with evidence of adenovirus type 21 infection.Br Med J 1969;1:73-9.
16. Alharbi S, Van Caeseele P, Consunji-Araneta R, Zoubeidi T, Fanella S, Souid AK, Alsuwaidi AR. Epidemiology of severe pediatric adenovirus lower respiratory tract infections in Manitoba, Canada, 1991-2005. BMC Infect Dis. 2012;12:55. doi: 10.1186/1471-2334-12-55.
17. Colom AJ, Maffey A, Garcia Bournissen F, Teper A. Pulmonary function of a paediatric cohort of patients with postinfectious bronchiolitis obliterans. A long term follow-up. Thorax 2015;70:169-74.
18. Díaz GF, Márquez A. Hipertensión pulmonar a moderada altura. En: Hipertensión pulmonar en niños. Ed. Distribuna Colombia 2011. pp. 295-313.
*Correspondencia Santiago Ucrós Rodríguez. santiago_ucros@yahoo.com