Caso de sesión anatomo-clínica

Recepción: 23 Abril 2019
Aprobación: 17 Mayo 2019
RESUMEN
Haydée del Pilar Salazar Rosales
Lactante de 6 meses de edad, enviada para valoración al servicio de Trasplante de células progenitoras hematopoyéticas del Instituto Nacional de Pediatría. Entre sus antecedentes personales: la madre de 24 años, primer embarazo, evolución normal, parto eutócico, peso al nacimiento 3 kg, talla 48 cm y Apgar 8/9. Desde el nacimiento se identificó dermatosis maculopapular generalizada, con nódulos subcutáneos infiltrativos violáceos en todo el cuerpo. (Figura 1) Se estableció el diagnóstico presuntivo de síndrome de neonato blueberry-muffin; además, se encontró hepatomegalia y esplenomegalia. La biometría hemática reportó hiperleucocitosis (215,900 leucocitos/mm3), a expensas de 75% de blastos, con inmunofenotipo de expresión: CD45+, MPO+, CD33+, CD13+ y CD14+, compatible con leucemia mieloblástica aguda.
El líquido cefalorraquídeo mostró datos compatibles con infiltración leucémica al sistema nervioso central. Los estudios de hibridación fluorescente in situ (FISH) para AML1/ETO/t(8,21), CBFB/MYH11/inv(16) y t(16;16), bcr/abl/t(9,22), 5q- o -5, 7q, -7, +8, 20q- y fusiones con MLL .KMT2A; 11q23) resultaron negativos.

Se inició tratamiento de inducción a la remisión con quimioterapia, a base de citarabina 100 mg/m2 por vía intravenosa durante 7 días; daunorrubicina 30 mg/m2/día intravenosa en los días 1, 3 y 5 del ciclo y etopósido 100 mg/m2/día en los días 1-5 del ciclo (ADE). En el día 14 de la inducción de la remisión se evaluó la respuesta al tratamiento con aspirado de médula ósea, que reportó más de 5% de blastos, por lo que se consideró “mala reacción al primer bloque de la inducción de la remisión" y se repitió el esquema ADE. Posteriormente se intensificó con dosis altas de citarabina y mitoxantrona, lográndose la remisión hematológica (desaparición de todos los signos y síntomas de la enfermedad, ausencia de enfermedad localizada y en el sistema nervioso central, y sin blastos identificables en sangre periférica, y menos de 5% en el aspirado de médula ósea); por lo que fue enviada para la valoración de trasplante de células progenitoras hematopoyéticas, por tratarse de leucemia mieloblástica aguda de alto riesgo.
Por no contar con donadores (hermanos) ni sangre de cordón umbilical compatible, se optó por efectuar un trasplante haploidéntico paterno. El donador y el receptor tenían el mismo grupo sanguíneo y el estado de citomegalovirus (CMV) para donador-receptor era +/+. Se confirmó la remisión hematológica.
Se inició el tratamiento de acondicionamiento con busulfán 4 mg/kg por vía intravenosa los días -7, -6, -5 y -4, seguido de ciclofosfamida 60 mg/ kg intravenosa los días -3 y -2. Además, profilaxis antimicrobiana el día -1 con cefepime 100 mg/kg, aciclovir 450 mg/m2 y fluconazol 5 mg/kg, todos por vía intravenosa.
Al día -0 se realizó la infusión de células progenitoras hematopoyéticas de sangre periférica, con dosis de CD34+= 4.95x106/kg receptor. La profilaxis para enfermedad de injerto contra huésped consistió en ciclofosfamida 50 mg/kg por vía intravenosa los días +3 y +4, seguido de micofenolato de mofetilo 30 mg/kg y tacrolimus 0.06 mg/kg a partir del día +5, ambos por vía oral. Cada semana se efectuó la determinación de las cargas virales para CMV, virus de Epstein- Barr, poliomavirus (BK) y virus Jonh Cunnigham (JC); adenovirus y antígeno de galactomanano y manano.
Al día +9 la paciente inició con fiebre sostenida de 38.5°C y dermatosis diseminada a todos los segmentos corporales, con predominio en el tronco y la porción proximal de las extremidades, sin afectación de las mucosas, constituida por múltiples placas eritemato-edematosas, de forma y tamaño irregular, algunas confluían formando placas más grandes, además de edema en los sitios de declive e incremento en los valores de las pruebas de funcionamiento hepático: bilirrubina total [BT] 2.55 mg/dL, aspartato amino transferasa [AST] 679 UI/mL, alanino aminotransferasa [ALT] 627 UI/mL y gama-glutamiltransferasa [GGT] 510 UI/mL. Se estableció el diagnóstico de síndrome de pre-injerto, e inició tratamiento con metilprednisolona 1 mg/kg por vía intravenosa (Figura 2). Tuvo injerto mieloide sostenido a partir del día +11 postrasplante, con reporte de quimerismo, 100% de quimera del donador.
El día +12 la dermatosis evolucionó y manifestó eritrodermia generalizada, con vesículas y descamación (Figura 3), e incremento en los valores de las pruebas de funcionamiento hepático: BT 8.05 mg/dL, AST 770 UI/mL, ALT 945 UI/mL, GGT 669 UI/mL); además, se agregaron evacuaciones líquidas con sangre >30 mL/kg; los reportes de las cargas virales y cultivos resultaron negativos. Con estos datos se estableció el diagnóstico de enfermedad injerto contra huésped aguda en la piel ++++, hígado +++ y tubo digestivo +++, estadio clínico global grado IV. Se incrementó la dosis de metilprednisolona a 2 mg/kg, se suspendió el tacrolimus e inició el protocolo con ciclosporina por vía intravenosa 3 mg/kg; budesonida 9 mg/día, colestiramina 80 mg/kg y mesalazina 50 mg/kg por vía oral.

En el día +19 disminuyeron los valores de las pruebas de funcionamiento hepático; sin embargo, se incrementó el gasto fecal, incluso en 80 mL/kg, con panel viral en heces, coprocultivo y prueba para Clostridium difficile negativos, por lo que se administraron 4 dosis de globulina antilinfocitos humanos de conejo 3.75 mg/kg/día por intravenosa, además de ayuno y medidas de soporte. Al día +24 tuvo distención abdominal e íleo; se decidió cambiar de profilaxis antimicrobiana por meropenem 120 mg/kg, vancomicina 60 mg/kg y voriconazol 4 mg/kg.
En el día +28 manifestó un evento súbito de bradicardia, que resultó en paro cardiorrespiratorio, ameritó intubación orotraqueal y medidas avanzadas de reanimación. Durante la reanimación tuvo hemorragia pulmonar a través de la cánula orotraqueal. La paciente no reaccionó a las medidas implementadas, por lo que se declaró su fallecimiento.

COMENTARIO CLÍNICO
Gerardo López Hernández
La leucemia es el padecimiento oncológico más común en niños. En México la leucemia aguda es la neoplasia maligna más frecuente, pues supone 34.4% del total de los casos,1 con incidencia de 78.1 casos por 1 millón de habitantes.2 A pesar de la frecuencia de la leucemia aguda en pacientes de edad pediátrica, la leucemia congénita y neonatal son extremadamente raras (menos de 1% de las leucemias agudas), con una incidencia de 4.7 nacidos vivos por 1 millón de habitantes.3 Es la segunda causa de enfermedad oncológica neonatal y la primera de mortalidad relacionada con neoplasias en este período. Según su origen, se clasifica en congénita cuando se diagnostica en los primeros 28 días del nacimiento y neonatal cuando se manifiesta entre la cuarta y sexta semana de la vida.4
Las características biológicas y clínicas de la leucemia congénita y neonatal difieren significativamente de la leucemia en niños mayores, caracterizándose por alta frecuencia de anomalías en el cromosoma 11q23, que afecta al gen de la leucemia de linaje mixto KMT2A (antes MLL), lo que resulta en sobreexpresión de oncogenes, activación de la transcripción e inmortalización celular, además de mal pronóstico. De acuerdo con el método de detección, la incidencia de anomalías del cromosoma 11q23 en lactantes con leucemia varía de 60-80%;5 por tanto, en la paciente de este estudio puede explicar el resultado negativo.
Los signos clínicos de leucemia congénita y neonatal varían entre los pacientes; sin embargo, predominan la hepatoesplenomegalia (85% de los pacientes), hiperleucocitosis (80% de los pacientes) y leucemia cutis, que se ha relacionado con la mitad de los casos congénitos, principalmente los de leucemia mieloblástica aguda. Las lesiones cutáneas suelen consistir en nódulos dérmicos azulados o púrpuras, con distribución generalizada; esta manifestación otorga la apariencia de panqué de arándano (en inglés, blueberry muffin).
El síndrome de “blueberry muffin” es un término morfológico utilizado para describir la aparición de máculas de color rojo-azulado o pápulas firmes y nódulos en lactantes pequeños. La dermatosis suele ser generalizada, con predominio en el tronco, la cabeza y el cuello. Se ha relacionado con eritropoyesis dérmica o infiltración neoplásica. Entre las neoplasias en neonatos y lactantes con síndrome de Blueberry muffin se ha encontrado relación con leucemia mieloblástica aguda, neuroblastoma, rabdomiosarcoma e histiocitosis de células de Langerhans.6 En nuestra paciente, los hallazgos en la biometría hemática descartaron otros diagnósticos diferenciales, pues la hiperleucocitosis con coexistencia de blastos en la sangre periférica no aparecen en la enfermedades mencionadas.
La mayoría de los casos de leucemia neonatal y congénita son de origen mieloide, comparado con el resto de las leucemias en edad pediátrica, donde predomina la estirpe linfoide.7,8El protocolo incluye quimioterapia intensiva multiagente y tratamiento de soporte. El trasplante de progenitores hematopoyéticos es una opción adicional en pacientes de alto riesgo;9 en la paciente de este estudio la carga tumoral al diagnóstico (más de 50,000 leucocitos/mm3), edad a la manifestación, ausencia de traslocaciones de pronóstico favorable [t(8;21), inv(16) o t(16;16)] y reacción deficiente al primer ciclo de quimioterapia10 se asociaron con factores de alto riesgo de falla al tratamiento o recidiva hematológica; por tanto, en estos casos debe mejorarse el enfoque del trasplante, pues provocaría un desenlace sombrío después de haber recibido quimioterapia convencional de inducción y consolidación.
La manifestación de fiebre o eritema previos a la recuperación de la cuenta absoluta de neutrófilos (que se define como injerto) es una alteración denominada síndrome de pre-injerto.11 La incidencia reportada varía de 20-77% de quienes reciben trasplante de progenitores hematopoyéticos, principalmente alogénico, aunque existen reportes esporádicos de trasplante de progenitores hematopoyéticos de tipo autólogo. Los factores de riesgo para su aparición y fisiopatología son poco claros; no obstante, la mayoría de los investigadores señala que es más común después de recibir el acondicionamiento mieloablativo, además de su relación con elevado riesgo de enfermedad injerto contra huésped aguda.12 El diagnóstico de la enfermedad se establece por los hallazgos clínicos, mediante los criterios de Spitzer, incluso no debe haber recuperación en la cifra de neutrófilos al momento de la aparición de los síntomas.13 Deben considerarse tres criterios mayores, o dos criterios mayores y uno o más de los criterios menores, sin características clínicas ni patológicas de síntomas y signos de enfermedad injerto contra huésped, infección y, en caso de afectación de la piel, farmacodermia.13 Por lo anterior, la utilidad del estudio histopatológico radica en establecer el diagnóstico diferencial con estas últimas alteraciones. Cuadro 1
Uno de los principales obstáculos para alcanzar el éxito del trasplante de progenitores hematopoyéticos es la enfermedad injerto contra huésped, que provoca un estado inflamatorio, con subsiguiente lesión y destrucción de los tejidos sanos en el receptor; además, la evolución y tratamiento pueden indicarse de por vida. Esta complicación, asociada con el trasplante de progenitores hematopoyéticos, puede afectar a 60% de los casos con trasplante alogénico, cuando se indica un régimen de acondicionamiento mieloablativo.14 La gravedad de la enfermedad injerto contra huésped se determina por el grado (o estadio) de afectación de los órganos blanco (piel, hígado y tracto gastrointestinal superior o inferior), de acuerdo con los criterios aceptados, que principalmente incluyen la extensión del eritema, magnitud de la hiperbilirrubinemia y volumen de la diarrea. De esta forma, la afectación de la piel, el hígado y tubo digestivo se utilizan para determinar la gravedad de la enfermedad injerto contra huésped, según los criterios de Glucksberg. Cuadro 2
El factor de riesgo más importante para padecer la enfermedad injerto contra huésped es la compatibilidad con HLA; sin embargo, también pueden influir el origen de las células progenitoras hematopoyéticas (sangre periférica, médula ósea, unidad de sangre de cordón umbilical), tipo de enfermedad que requiere trasplante (sobre todo en enfermedades donde el receptor haya recibido quimioterapia), indicación de algún esquema mieloablativo previo al trasplante, género del donador en relación con el receptor (es más común cuando una mujer es la donadora y un hombre el receptor), incluso si la donadora ha tenido dos o más embarazos.15

Los factores pronóstico asociados con un des- enlace mortal en pacientes con enfermedad injerto contra huésped en los primeros 100 días postransplante de células progenitoras hematopoyéticas son: deficiente respuesta en los primeros tres a siete a partir del inicio del tratamiento, bilirrubina total igual o menor de 5 mg/dL, estadio clínico global avanzado (III-IV) y puntuación igual o menor de 50 en la escala de estado general de Karnofsky-Lansky.16,17
COMENTARIO ANATOMOPATOLÓGICO
Luis Roberto Olivas Román y Celso Tomás Corcuera Delgado
Se realizó la autopsia completa. En el examen externo se observó: abdomen distendido a expensas de 100 mL de líquido hemorrágico; ictericia y petequias que afectaban la piel y las mucosas. Debido al antecedente de quimioterapia mieloablativa la médula ósea mostró celularidad aproximada de 30%, con relación mieloide-eritroide de 6:1, por detención en la maduración de la serie mieloide. El resto de la celularidad estaba representada por macrófagos, incluso algunos contenían eritrocitos intracitoplasmáticos (Figura 4). También se evidenció hipoplasia linfoide grave generalizada en el bazo, los ganglios linfáticos y el timo. En el páncreas se encontraron dos nódulos de células acinares (nódulos de células acinares atípicas, transformación acinar focal, degeneración eosinofílica, displasia focal de células acinares) asociadas con la quimioterapia en diferentes neoplasias.17

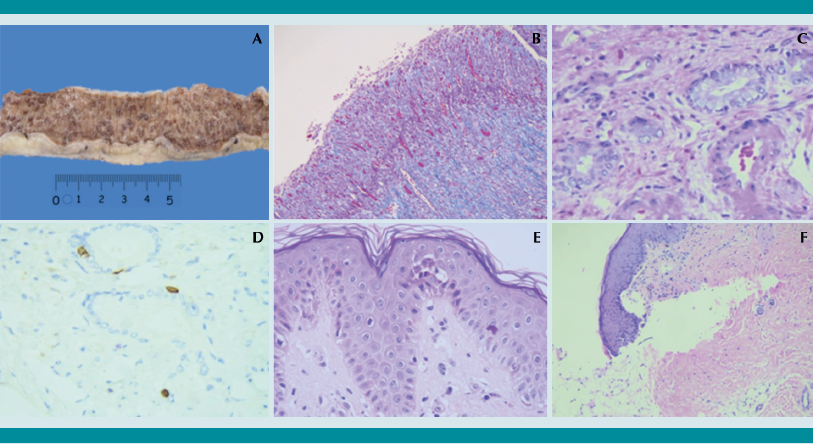
La paciente tuvo enfermedad de injerto contra huésped en fase aguda grado histológico IV, que afectó la piel, esófago, hígado e intestino delgado.18-20 Las alteraciones en la piel estaban representadas por erupción roja maculopapular generalizada; la biopsia mostró células disqueratósicas en la epidermis y en las muestras postmortem de la piel del tórax se observaron ampollas subepidérmicas (grado histológico IV, según la clasificación de Lerner).21 En el hígado, los cambios estuvieron representados por hepatomegalia congestiva (410 vs 277 g), con tinte verdoso difuso puntiforme. Las vías biliares extrahepáticas conservaron su anatomía.
El examen microscópico reportó daño en los conductos biliares por linfocitos T citotóxicos, con fenómenos secundarios acentuados de vacuolización citoplásmica, pleomorfismo nuclear, pérdida de núcleos y desprendimiento-necrosis de células epiteliales; las células epiteliales residuales estaban atenuadas y de aspecto escamoide; los hepatocitos exhibían necrosis, colestasis y esteatosis en la zona 3 (grado histológico II, de acuerdo con la escala de Banff).22 En el tubo digestivo se observó ulceración del tercio inferior del esófago, con disqueratosis de la mucosa adyacente; el intestino delgado tenía dilatación global, con ulceración difusa y desprendimiento de la mucosa relacionado con tejido de granulación prominente; se clasificó en grado IV, de acuerdo con la clasificación modificada de Lerner.23Figura 5
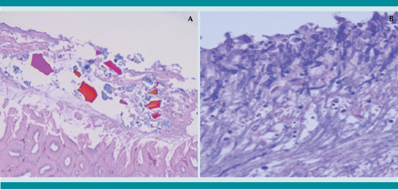
Entre las complicaciones secundarias al tratamiento con colestiramina (secuestradora de ácidos biliares) se encontraron depósitos de cristales similares a los de kayexalato y gastropatía reactiva (química).24 Otras complicaciones relacionadas con inmunodeficiencia adquirida fueron: infección pulmonar por Aspergillus que ocasionó vasculitis, infarto en el lóbulo inferior del pulmón derecho y septicemia por Stenotrophomonas maltophilia, sustentada por la colonización de bacterias gramnegativas en las úlceras esofágicas e intestinales y corroborada en los cultivos postmortem de líquido cefalorraquídeo, pulmón, hígado y bazo. Figura 6
La causa de muerte fue por choque mixto (séptico e hipovolémico) representado en el examen microscópico por encefalopatía hipóxica y hepática, necrosis hepática centrolobulillar con esteatosis micro y macrovesicular grado 2, necrosis tubular aguda multifocal y miopatía hipóxico-isquémica multivisceral; además, coagulación intravascular diseminada, representada fundamentalmente por trombos de fibrina en la microcirculación pulmonar.


DIAGNÓSTICOS FINALES
Historia clínica de leucemia aguda congénita “mieloide” de alto riesgo por falla al primer bloque de inducción a la remisión, en remisión desde enero de 2018.
Estatus postrasplante de médula ósea (en una ocasión) con quimioterapia mieloablativa:
Médula ósea con precursores mieloides sin maduración.
Hipoplasia linfoide grave generalizada secundaria en bazo y ganglios linfáticos.
Hipotrofia extrema del timo (3 vs 20-22g).
Páncreas con nódulos de células acinares.
Enfermedad injerto contra huésped en fase aguda que afecta la piel (grado histológico IV), hígado (grado histológico II), esófago e intestino delgado (grado histológico IV).
Historia clínica de erupción roja maculopapular en todo el cuerpo (generalizada).
Biopsia previa (B18-1743) con células disqueratósicas en la epidermis y muestra postmortem de piel de tórax con separación de la epidermis de la dermis.
Ictericia generalizada.
Historia clínica de altas concentraciones de enzimas hepáticas (fosfatasa alcalina, bilirrubinas y aminotransferasas).
Colestasis hepática.
Daño en los conductos biliares por linfocitos T citotóxicos.
Hepatomegalia congestiva (410 vs 277 g).
Ulceración del tercio inferior del esófago, con disqueratosis de la mucosa adyacente.
Dilatación global del intestino delgado con ulceración difusa y desprendimiento de la mucosa, relacionado con tejido de granulación prominente.
Tubo digestivo con depósitos de cristales de colestiramina, similares a cristales de kayexalato
Historia clínica de consumo de colestiramina (secuestradora de ácidos biliares).
Gastropatía reactiva (química) secundaria.
Infección pulmonar por Aspergillus, vasculitis e infarto secundario en la base del lóbulo pulmonar inferior izquierdo.
Septicemia por Stenotrophomonas maltophila
Colonización de bacterias gramnegativas en úlceras esofágicas.
Cultivos postmortem con desarrollo de Stenotrophomonas maltophilia en líquido cefalorraquídeo, pulmón, hígado y bazo.
Datos anatómicos de choque mixto (séptico e hipovolémico):
Encefalopatía hipóxica.
Necrosis hepática centrolobulillar con esteatosis micro y macrovesicular grado 2
Necrosis tubular aguda.
Miopatía visceral hipóxica-isquémica (corazón, tubo digestivo y vejiga).
Hemorragia reciente y antigua multivisceral (tubo digestivo, tráquea, pulmones, médula ósea).
Tromboembolia pulmonar.
DISCUSIÓN
El pediatra debe estar alerta a los datos sugerentes de leucemia congénita como: polihidroamnios o hepatoesplenomegalia, que pueden reportarse en el ultrasonido prenatal, incluso al nacimiento, cuando el neonato manifiesta dichas organomegalias o lesiones infiltrativas en la piel, con la intención de iniciar el tratamiento inmediato y considerar los posibles diagnósticos diferenciales. En el estudio de laboratorio inicial, si la biometría hemática reporta hiperleucocitosis, debe sospecharse el diagnóstico de leucemia congénita y confirmarse con el estudio de médula ósea e inmunofenotipificación, así como biología molecular, sobre todo cuando no padece síndrome de Down; por tanto, estos pacientes requieren la valoración y seguimiento simultáneos de un especialista en genética. Sin embargo, la hiperleucocitosis superior de 100,000/mm3, sin relación con leucemia, es excepcional.
Después de establecer el diagnóstico de la enfermedad, la pronta intervención del servicio de hemato-oncología es indispensable, para iniciar el tratamiento conveniente, de acuerdo con los factores de riesgo identificados y el rápido envío a la unidad hospitalaria para el trasplante de células progenitoras hematopoyéticas.
Si bien el trasplante de progenitores hematopoyéticos produce una alta tasa de curación, también se asocia con morbilidad y mortalidad. El riesgo y la gravedad de la morbilidad y mortalidad relacionadas con el trasplante se incrementan con el requerimiento de un donador alternativo, en ausencia de un donante hermano HLA compatible. Con la disminución en la tasa de natalidad y el envejecimiento de la población, la cantidad de pacientes con un donador emparentado compatible está disminuyendo y los trasplantes de donantes alternativos, incluido el método de ciclofosfamida postrasplante que utiliza donantes haploidénticos, están aumentando. A pesar de lo anterior, el trasplante de progenitores hematopoyéticos sigue siendo el tratamiento de primera línea para pacientes con enfermedades de pronóstico desfavorable.
La enfermedad injerto contra huésped representa uno de los más grandes retos a corto y largo plazo a los que se enfrenta el médico, en lo concerniente a la terapia de sostén de pacientes que reciben un trasplante de progenitores hematopoyéticos, y esta misma resulta ser la principal causa de riesgo, que incluso puede ser una limitante para la decisión de realizar dicho procedimiento, particularmente en quienes no cuentan con un donador compatible emparentado. El tratamiento exitoso y la terapia de sostén de estos pacientes ameritan un vasto entendimiento de la fisiopatología, con la finalidad de identificar las complicaciones antes de que resulten en una limitante de las funciones o pongan en riesgo la vida del receptor.
REFERENCIAS
1. Fajardo-Gutiérrez A, et al. Frecuencia de neoplasias malignas en niños atendidos en hospitales del Distrito Federal. Estudio multicéntrico. Bol Med Hosp Infant Mex 1996;53 (2):58-66.
2. Rivera-Luna R, et al. El niño de población abierta con cáncer en México. Consideraciones epidemiológicas. An Med (Mex) 2015;60(2):91-97.
3. Palman J, et al. Neonatal acute lymphocytic leukaemia: an unusual presentation of a rare disease. BMJ Case Rep 2015. http://doi.org/10.1136/bcr-2015-210606.
4. González-García NE, et al. Leucemia congénita aguda. Rev Cuba Pediatr 2011;83(1):193-199.
5. Raimondi SC. 11q23 rearrangements in childhood acute lymphoblastic leukemia. Atlas Genet Cytogenet Oncol Haematol 2004;8(2):97-102.
6. Hsiao YW, et al. Blueberry muffin baby with acute mye- loid leukemia and spontaneous remission. Dermatol Sinica 2011;29(2):47-49. https://doi.org/10.1016/j. dsi.2011.01.005
7. Priyadarshini Shrivastava J, et al. Congenital acute myeloid leukemia: A rare diagnostic enigma case report with review of literature. South Asian J Cancer 2016; 5(4): 212–213. http://doi.org/10.4103/2278-330X.195349
8. Van der Linden MH, et al. Diagnosis and management of neonatal leukaemia. Semin Fetal Neonatal Med 2012;17(4):192-195. https://doi.org/10.1016/j. siny.2012.03.003
9. Pieters R, et al. A treatment protocol for infants younger than 1 year with acute lymphoblastic leukaemia (Interfant-99): an observational study and a multicentre randomised trial. Lancet. 2007;370(9583):240-250. https:// doi.org/10.1016/S0140-6736(07)61126-X
10. Schiller GJ. High-risk acute myelogenous leukemia: treatment today ... and tomorrow. Hematology Am Soc Hematol Educ Program 2013;2013:201-8. https://doi.org/10.1182/ asheducation-2013.1.201
11. Hong KT, et al. Peri-engraftment syndrome in allogeneic hematopoietic SCT. Bone Marrow Transplant 2013;48(4):523-8. https://doi.org/10.1038/bmt.2012.171
12. Lee YH, et al. Pre-engraftment syndrome: clinical signifi- cance and pathophysiology. Blood Res 2016;51(3):152-154. https://doi.org/10.5045/br.2016.51.3.152
13. Spitzer TR. Engraftment syndrome following hematopoi- etic stem cell transplantation. Bone Marrow Transplant 2001;27:893-898. https://doi.org/10.1038/sj.bmt.1703015
14. Takami A. Hematopoietic stem cell transplantation for acute myeloid leukemia. Int J Hematol. 2018;107(5):513-518. https://doi.org/10.1007/s12185-018-2412-8
15. Martin PJ, et al. Increasingly frequent diagnosis of acute graft versus-host disease after allogeneic hematopoietic cell transplantation. Biol Blood Marrow Transplant 2004;10:320-327. https://doi.org/10.1016/j.bbmt.2003.12.304
16. Eapen M, et al. Higher mortality after allogeneic peripheralblood transplantation compared with bone marrow in children and adolescents: The Histocompatibility and Alternate Stem Cell Source Working Committee of the International Bone Marrow Transplant Registry. J Clin Oncol 2004;22:4872- 4880. https://doi.org/10.1200/JCO.2004.02.189
17. Longnecker DS, et al. Relationship of age to prevalence of focal acinar cell dysplasia in the human pancreas. J Natl Cancer Inst 1980;65(1):63-6.
18. Saliba RM, et al. Prognostic value of response after up-front therapy for acute GVHD. Bone Marrow Transplant 2012;47(1): 125–131. https://doi.org/10.1038/bmt.2011.41
19. Myerson D, et al.Graft-versus-Host Disease of the Gut: A Histologic Activity Grading System and Validation. Biol Blood Marrow Transplant. 2017;23:1573-1579. https://doi.org/10.1016/j.bbmt.2017.05.017
20. Narkhede M, et al. The association of histologic grade with acute graftversus-host disease response and outcomes; Am J Hematol. 2017;92:683-688. https://doi.org/10.1002/ ajh.24749
21. Lerner KG, et al. Histopathology of graft-vs.-host reaction (GvHR) in human recipients of marrow from HL-A-matched sibling donors. Transplant Proc 1974; 6:367-371.
22. Banff schema for grading liver allograft rejection: an international consensus document. Hepatology (Baltimore, Md). 1997;25(3):658-63. https://doi.org/10.1002/ hep.510250328
23. Washington K, et al. Pathology of graft-versus-host disease in the gastrointestinal tract. Hum Pathol 2009;40(7):909-17. https://doi.org/10.1016/j.humpath.2009.04.001
24. Gonzalez RSet al. Challenges in diagnosing medication resins in surgical pathology specimens: a crystal-clear review guide. Arch Pathol Lab Med 2017;141(9):1276-1282. https://doi. org/10.5858/arpa.2016-0587-RA