Caso clínico de interés especial
Enfermedad de Pott infantil. Reporte de caso
Pott’s Disease in Children. Case Report
Enfermedad de Pott infantil. Reporte de caso
Acta Pediátrica de México, vol. 40, núm. 3, pp. 133-142, 2019
Instituto Nacional de Pediatría

Recepción: 17 Septiembre 2015
Aprobación: 08 Abril 2019
Resumen:
ANTECEDENTES: La tuberculosis extrapulmonar representa un problema de salud pública en México y la población pediátrica es un grupo especialmente susceptible. Establecer el diagnóstico y el tratamiento es un proceso complejo en este grupo de edad porque solo 5% de los estudios microscópicos son positivos.
CASO CLÍNICO: Paciente de 2 años 3 meses con diagnóstico de tuberculosis espinal a nivel torácico (T7a T9). La evolución fue tórpida debido a las características clínicas de la enfermedad y la baja respuesta a los diversos tratamientos. Como opciones diagnósticas se consideraron múltiples padecimientos pero, finalmente, el tratamiento fue médico-quirúrgico, con esquema de quimioterapia y resección quirúrgica de la lesión, por medio de corporectomía anterior, colocación de una malla injerto e instrumentación posterior con barra de Luque y alambrado sublaminar.
CONCLUSIÓN: El déficit neurológico y la importante evolución de la cifosis hacen que el tratamiento quirúrgico agregado a la quimioterapia sea la mejor opción. El tratamiento quirúrgico con doble acceso permitió frenar la evolución del déficit neurológico, requisito indispensable para obtener resultados favorables. En la actualidad, el paciente evoluciona satisfactoriamente sin evidencia, clínica o radiográfica, de infección, permanece neurológicamente íntegro, con adecuado desarrollo de acuerdo con su edad.
Palabras clave: Tuberculosis espinal, enfermedad de Pott, espinal, cifosis, prótesis e implantes.
Abstract:
BACKGROUND: Extrapulmonary tuberculosis represents a public health problem in Mexico and the pediatric population is a particularly susceptible group. Establishing diagnosis and treatment is a complex process in this age group because only 5% of microscopic studies are positive.
CLINICAL CASE: Patient 2 years 3 months with diagnosis of spinal tuberculosis at thoracic level (T7-T9). The evolution was torpid due to the clinical characteristics of the disease and the low response to the different treatments. As diagnostic options, multiple conditions were considered but, finally, the treatment was medical-surgical, with chemotherapy and surgical resection of the lesion, by means of anterior corpectomy, placement of a graft mesh and posterior instrumentation with Luque bar and sub-wiring laminate.
CONCLUSION: The neurological deficit and the important evolution of kyphosis make surgical treatment added to chemotherapy the best option. The surgical treatment with double access allowed to stop the evolution of the neurological deficit, indispensable requirement to obtain favorable results. At present, the patient evolves satisfactorily without clinical or radiographic evidence of infection, remains neurologically intact, with adequate development according to their age.
Keywords: Spinal tuberculosis, Pott’s Disease, spinal, Kyphosis, Protheses and implants.
ANTECEDENTES
La tuberculosis, descrita en el año 7000 aC,1 fue referida por Hipócrates como Phtisis consunido y mencionada por Sir Percival Pott en su tratado Remarks on that kind of palsy of the lower limbs, donde la señala como una enfermedad espinal y habla por primera vez de su relación con el microorganismo2.
Hoy en día, la tuberculosis sigue siendo un problema de salud pública en todo el mundo. En niños menores de 15 años se estima una prevalencia de 490,000 casos nuevos y 64,000 muertes al año. Establecer el diagnóstico definitivo representa un reto porque la clínica es muy inespecífica. Esta enfermedad se considera “la gran simuladora” y solo 5% de los estudios microscópicos son positivos. A esta complejidad se agrega la poca atención que se les da a los programas de salud pública para la tuberculosis infantil, diferentes a la vacunación y tratamiento pulmonar, que es lo que hace que la incidencia se incremente con los años3.
La tuberculosis extrapulmonar es más común en niños que en adultos, incluso en 25% en menores de 4 años. En cualquiera de sus presentaciones la linfadenitis superficial, seguida de la afectación al sistema nervioso central y al músculo esquelética, afecta a los huesos y las articulaciones de carga: cuerpos vertebrales, sobre todo la región torácica y toracolumbar3.
CASO CLÍNICO
Paciente masculino de 2 años 3 meses, sin antecedentes heredo familiares ni patológicos de interés. El padecimiento se inició en septiembre de 2011 caracterizado por dolor de tipo mecánico en la región torácica posterior, de intensidad leve, pero con aumento con la actividad física, fiebre de 38 ºC, que se controló con acetaminofén. Cuatro semanas después tuvo irradiación de dolor hacia la cintura escapular derecha, con lateralización del cuello hacia el mismo lado. Refirió múltiples caídas desde un plano de sustentación ocasionadas por la disminución de la fuerza en las extremidades inferiores; además experimentó aumento de la cifosis torácica y falla de medro4.
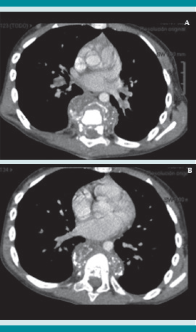
A su ingreso al Instituto Nacional de Pediatría se llevó a cabo el protocolo multidisciplinario hospitalario, que incluye la revisión por parte de los especialistas en oncología, radiología, ortopedia e infectología. En los estudios de imagen se evidenció una lesión anterior a los cuerpos vertebrales de T7-T8 de características líquidas y reforzamiento en la periferia, con destrucción de los cuerpos vertebrales de T7 y T8 a expensas del colapso vertebral que desplaza la médula espinal, con primera posibilidad diagnóstica de tipo infecciosa (espondilodiscitis). Se inició el protocolo de estudio.
Pruebas de laboratorio
Se realizó la prueba cutánea de derivado proteico purificado (PPD), que no fue concluyente; los estudios de sangre reportaron aumento en la velocidad de sedimentación globular (VSG) y proteína C reactiva (PCR), el resto sin alteraciones.
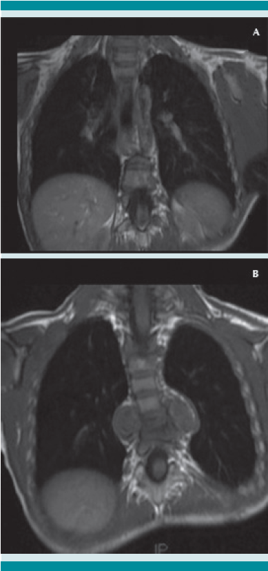
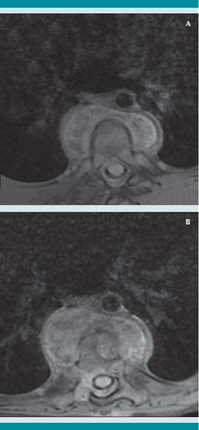
Estudios de imagen







Patología
Se tomó una biopsia transpedicular mediante acceso posterior. El reporte histopatológico fue compatible con osteomielitis vertebral de probable origen piógeno, causa a determinar debido a una muestra insuficiente.
Debido a las condiciones del paciente y dificultades para establecer un diagnóstico de certeza, se le prescribieron: clindamicina, ceftriaxona y esquema cuádruple de antifímicos. La evolución fue tórpida, sin mejoría o disminución de lesión espinal. Se efectuaron tinciones de Ziehl-Neelsen, rosa de Bengala, BAAR y cultivo para hongos, que resultaron negativas.
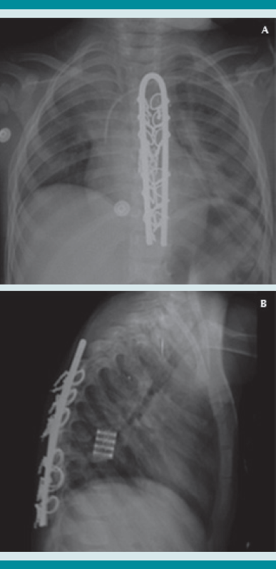
En la sesión multidisciplinaria hospitalaria se decidió que la mejor opción sería el tratamiento quirúrgico radical, que incluyó: toracotomía anterior, corporectomía (T7-T8), resección y toma de cultivo de granuloma (Figura 8), aplicación de una malla de titanio con injerto autólogo y matriz ósea (Figura 9), instrumentación posterior con barra de Luque y alambrado sublaminar de T4 a T11 (Figura 10 a-b), que se llevó a cabo sin complicaciones transoperatorias, posoperatorias inmediatas ni mediatas.
El paciente continúa con tratamiento supervisado para tuberculosis porque el estudio histopatológico reportó tuberculosis inactiva.



A manera de protección se utilizó un corsé de Jewett a permanencia. La evolución a los cuatro meses de la instrumentación por doble acceso fue satisfactoria. El paciente se encuentra actualmente con marcha independiente, bipodálica, no claudicante y neurológicamente íntegro. Se iniciaron las sesiones de rehabilitación con restricción absoluta de actividades de contacto o alto impacto.
DISCUSIÓN
La Organización Mundial de la Salud, en su reporte global de tuberculosis de 2016,5 informó que, aproximadamente, un tercio de la población mundial está infectada, y para 2015 estimó 10.4 millones de nuevos casos; límites 8.7-12.2 millones, 5.9 (56%) hombres, 3.5 (34%) mujeres, 1.0 (10%) niños. El 60% de los casos en el mundo ocurren en seis países: China, India, Indonesia, Nigeria, Pakistán y Sudáfrica, con 1.8 millones de muertes. En cuanto al sitio de afectación 10% es en los huesos o articulaciones y de estos 50-60% en la columna vertebral6.
En el mundo se reportan 580,000 casos de TB MDR, responsable de 250,000 muertes y 9.5% de los casos sucedieron en TB XDRVIH (resistencia extendida). En México se tiene una prevalencia anual de cerca de 15 mil casos nuevos y cerca de 2000 defunciones, tasa de incidencia 17 x 100,000 habitantes, el promedio de edad de muerte por tuberculosis es de 54 años. La frecuencia de presentación razón hombre:mujer es 1.6:1, y en la edad pediátrica prácticamente no existe diferencia. Solo 1 de cada 10 casos sucede en menores de 19 años y las tasas más altas se ubican en los grupos de 60 años y más. En 2015 la tasa de mortalidad por tuberculosis fue de 1.9 por cada 100 mil habitantes7.
Los factores de riesgo asociados con la población mexicana son: enfermedades concomitantes (diabetes mellitus 18%), desnutrición (11.6% de los que 24% es en niños), hacinamiento, inmunosupresión (VIH-SIDA 4%), adicciones (alcoholismo 6.8%), resistencia a fármacos y estado sociocultural bajo.7,8
La presentación clínica e historia natural de la tuberculosis se divide, clásicamente, en infección y enfermedad. Durante la exposición inicial en un individuo infectado se inhalan partículas contaminadas con el bacilo tuberculoso, lo que da lugar a una primo infección pulmonar que desencadena una serie de eventos inmunológicos que resultan en la formación de un granuloma subpleural o nódulo de Gohn. En la mayoría de los pacientes este granuloma desaparece espontáneamente; siempre dependiendo de las particularidades de cada paciente. Si no desaparece el nódulo continúa con linfadenopatía y se disemina, por contigüidad, hacia el mediastino, pulmón, o a los vasos intratorácicos. En ocasiones puede diseminarse por vía hematógena y dar manifestaciones de tuberculosis miliar, o tuberculosis extrapulmonar. La persistencia de tuberculosis como infección latente y la subsecuente activación ocurre en 3 a 5% de los casos, en los que causará una infiltración pulmonar y cavitación, especialmente en el lóbulo superior pulmonar.3,4,5
Al aparecer la primo infección con diseminación hematógena y llegar al plexo de Batson (que carece de válvulas) posee un flujo dependiente de presiones abdominal y torácica. Es un sistema colateral al sistema ácigos que funciona como amortiguador hidráulico que propicia la metástasis e infecciones a través de este plexo por estasis, lo que facilita la reproducción de microorganismo. Mycobacterium tuberculosis es un aerobio estricto porque las estructuras de los discos intervertebrales son avasculares; es decir, que no pueden ser infectadas. Así, la diseminación sucede por arriba y por debajo del ligamento longitudinal anterior, como en el caso expuesto9.
La tuberculosis espinal es la manifestación más común, ocurre en más de 50% de los casos. De forma típica se manifiesta con infección de la porción anterior del cuerpo vertebral en la región torácica baja y lumbar superior, con subsecuente destrucción del disco intervertebral. Con frecuencia se observan abscesos paraespinales.
La presentación clínica varía en cada paciente; puede tener un inicio insidioso, fiebre, ataque al estado general, dolor y restricción del movimiento, aunque puede afectar cualquier órgano. En este caso nos enfocaremos, principalmente, a la afectación de la columna, que se reflejará con déficit neurológico variable, posiblemente agudo debido a una compresión o crónico y gradual por la formación de granulomas y fibrosis. Esta última presentación es la más frecuente en niños; de estos 20-25% son menores de 4 años3. La tuberculosis en niños generalmente indica contacto con algún tuberculoso no identificado o no tratado. En promedio, cada adulto con tuberculosis pulmonar infectará de 8 a 15 personas antes de ser diagnosticado.
El diagnóstico debe iniciarse con la clínica y confirmarse mediante el reporte de técnicas de tinción, como Ziehl-Neelsen e identificación del bacilo tuberculoso. Por naturaleza Mycobacterium tuberculosis es inespecífico y depende del sitio de toma de la muestra (expectoración, aspiración de ácido gástrico, aspirado bronquial). La sensibilidad es de 59.8% con una muestra, 65.8% con dos muestras y 70.5% con tres muestras y especificidad de 98%. En el caso aquí reportado se trató de un niño, en quien la cantidad de cultivos positivos fue menor de 20%, cultivo positivo en el hueso y líquido sinovial 35-48%, cultivo del exudado de articulaciones menor a 20%, xpert MTB/RH tiene una sensibilidad mayor de 82% en tejido óseo. Su uso en líquido sinovial no se recomienda en comparación con un adulto donde son positivos incluso en 75%.10
La prueba de la tuberculina, disponible en solución derivada de proteínas, es aparente en los niños de tres semanas y hasta tres meses después de la infección inicial y permanece positiva de por vida.11 Tiene bajas especificidad y sensibilidad, la reacción del PPD disminuye con el tiempo posterior a la aplicación de vacuna BCG. Durante el primer año de la vacunación de BCG es más probable que el PPD sea positivo, 8-12 semanas de la aplicación (90%), 9-12 meses (50%), 5 años (20%), puede ser negativo en 10% de los casos, aún en presencia de enfermedad grave.12
El resto de las pruebas de laboratorio son inespecíficas; hay aumento de la velocidad de sedimentación globular y proteína C reactiva y leucocitosis. Los estudios de imagen que se solicitan son: radiografía de tórax, que puede mostrar cambios dependiendo de la fase en la que se encuentre la enfermedad. Los cambios incluyen desde linfadenopatía en la tuberculosis inicial hasta un fino sombreado reticular en la tuberculosis hematógena o miliar. Las lesiones cavitarias son más frecuentes en pacientes adolescentes y adultos como reactivación de la infección latente pulmonar.
La tomografía axial computada de alta resolución puede demostrar lesiones de la primoinfección o linfadenopatía, aun cuando la radiografía de tórax se reporte normal.13 La resonancia magnética se utiliza en mayor medida para la tuberculosis músculo esquelética y de tejidos blandos y, como en este caso, para diferenciar una tumoración de un granuloma en la columna vertebral.14 Otros métodos, como la gammagrafía, que con marcadores como Tecnecio 99 tiene una especificidad de 30% y con galio de 70%. El SPECT y PET tienen mejor especificidad que la tomografía o gammagrafía para discernir entre tuberculosis y lesiones cancerosas,15 con un valor predictivo negativo mayor de 90%, a diferencia de pacientes con tuberculosis pulmonar, además de mayor captación e identificación de lesiones óseas se puede utilizar como auxiliar en tuberculosis extrapulmonar. Finalmente, pueden ser de gran ayuda para determinar el grado de actividad de la enfermedad y la respuesta al tratamiento indicado.
Tratamiento
El tratamiento en niños no ha sido tan ampliamente estudiado ni discutido, en especial en niños pequeños. Independientemente de la presentación, el tratamiento es con antifímicos de primera elección (isoniazida, rifampicina, pirazinamina y etambutol) por un periodo de seis meses y, en general, para el tratamiento en niños, es el mismo régimen para enfermedad extrapulmonar y pulmonar. Se recomienda el tratamiento de 6-12 meses, iniciando dos meses con tratamiento intensivo con RHZE), seguido de 4-10 meses de tratamiento con HR). La mayoría de los expertos y guías apoyan el tratamiento de 6-9 meses extendiéndose a 12 meses para casos de enfermedad de Pott. El bacilo tiene cada vez mayor resistencia a los fármacos y el cuadro clínico de cada paciente es determinante para la toma de decisiones.
En el caso de la tuberculosis extrapulmonar, la mayoría de los casos sólo requiere tratamiento farmacológico, en los casos especiales con afectación de órganos o estructuras vitales se buscarán tratamientos más específicos, como en el caso aquí reportado.
El objetivo del tratamiento en pacientes con tuberculosis espinal es la erradicación de la enfermedad, evitar la deformidad y el deterioro neurológico secundario para conservar la función y desarrollo, medidas que permiten la integración al medio lo más pronto posible con las menores secuelas.16,17
El tratamiento médico quirúrgico es un reto para el equipo multidisciplinario y la quimioterapia múltiple es indispensable. El tratamiento conservador con corsé o inmovilizadores no limitan la evolución de la enfermedad y no dan la estabilidad necesaria a la columna vertebral. La bibliografía internacional y los estudios en múltiples centros han convenido en que el mejor tratamiento es la combinación del esquema de quimioterapia y procedimiento de Hong Kong (resección anterior, desbridamiento y fusión con injerto autólogo), de tal manera que se permite realizar un aseo directo de la lesión para evitar la evolución y colapso de la cifosis.17,18 En los casos en los que se ven afectados más de dos cuerpos vertebrales no es posible lograr la adecuada estabilidad mediante el esquema anterior único, por lo que en estos casos, como en el que aquí se comunica, se sugiere agregar el tratamiento posterior, con el fin de conseguir mayor estabilidad.19,20 En estudios efectuados en implantes quirúrgicos, el biofilm y la adhesión que condiciona Mycobacterium tuberculosis es mínima y segura para estabilizar y controlar la infección.21,22 Además, la estabilización posterior ha demostrado que es más efectiva para la corrección de la cifosis y prevención de la evolución cuando son más de dos cuerpos vertebrales los afectados.23
CONCLUSIÓN
En este caso, la edad a la presentación, el déficit neurológico y la evolución importante de la cifosis hacen que el tratamiento quirúrgico agregado al quimioterápico sea la mejor opción, tal como se demuestra en la bibliografía. Se comunicó un caso en donde el tratamiento quirúrgico por doble acceso permitió frenar la evolución del déficit neurológico, que es indispensable para obtener resultados favorables. En la actualidad, el paciente evoluciona satisfactoriamente sin evidencia, clínica o radiográfica, de infección; se mantiene neurológicamente íntegro, con adecuado desarrollo congruente con su edad.
REFERENCIAS
1 Janssens JP, de Haller R. Spinal tuberculosis in a developed country. A review of 26 cases with special emphasis on abscesses and neurologic complications. Clin Orthop Relat Res.1990 Aug;(257):67-75.
2 Johnson J, Pott P. Remarks on that kind of palsy of the lower limbs. London, 1779.
3 Davies PD. Clinical Tuberculosis. 4th ed. London: Hodder Arnold, 2008; 576.
4 Wright C. Identification and management of failure to thrive: a community perspective. Arch Dis Child. 2000;82(1):5-9.
5 World Health Organization. Global Tuberculosis Report. 2012;89.
6 Forrester DM. Diagnosis of bone and joint disorders. 3th ed. Edinburgh: WB Saunders, 1995; 4622.
7 Staheli. Ortopedia pediátrica. 2a ed. Madrid: Marban, 2002; 438.
8 Secretaría de Salud. Programa de acción especifico 20072012. Tuberculosis. México, 2008; 17-166.
9 Frymoyer JW. The Adult & Pediatric Spine. 3th ed. Philadelphia: Lippincott Williams & Wilkins.
10 Strumpf TAI. Reevaluation of sputum staining for the diagnosis of pulmonary tuberculosis. Am Rev Respir Dis.1979;119:599-602.
11 Katharine HK. Tuberculin reaction in children treated with isoniazid. Am J Dis Child. 1983;137:1090-92.
12 Lifschitz M. The value of the tuberculin skin test as a screening test for tuberculosis among BCG-vaccinated children. J. Pediatrics.1965;36:624-27.
13 Andronikou S, et al. CT scanning for the detection of tuberculous mediastinal and hilar lymphadenopathy in children. Pediatr Radiol. 2004;34(3):232-6.
14 De Backer AI, et al. Imaging of extraspinal musculoskeletal tuberculosis. Eur J Radiol. 2006;57(1):119-30.
15 Sathekge M, et al. Nuclear medicine imaging in tuberculosis using commercially available radiopharmaceuticals. Nucl Med Commun. 2012 Jun;33(6):581-90. doi: 10.1097/ MNM.0b013e3283528a7c.
16 H. A. Granulomatous infection of the spine, In State of the art reviews. Spinal infections. 1999;45-78.
17 A 10-year assessment of a controlled trial comparing debridement and anterior spinal fusion in the management of tuberculosis of the spine in patients on standard chemotherapy in Hong Kong. Eighth Report of the Medical Research Council Working Party on Tuberculosis of the Spine. J Bone Joint Surg Br. 1982;64(4):393-8.
18 A 15-year assessment of controlled trials of the management of tuberculosis of the spine in Korea and Hong Kong. Thirteenth Report of the Medical Research Council Working Party on Tuberculosis of the Spine. J Bone Joint Surg Br. 1998 May;80(3):456-62
19 Rajasekaran S, Soundarapandian S. Progression of kyphosis in tuberculosis of the spine treated by anterior arthrodesis. J Bone Joint Surg Am. 1989 Oct;71(9):1314-23.
20 Chen WJ, et al. Combined anterior and posterior surgeries in the treatment of tuberculous spondylitis. Clin Orthop Relat Res. 2002;398:50-59.
21 Hee HT, et al. Better treatment of vertebral osteomyelitis using posterior stabilization and titanium mesh cages. J Spinal Disord Tech. 2002 Apr;15(2):149-56.
22 Liljenqvist U, et al. Titanium cages in the surgical treatment of severe vertebral osteomyelitis. Eur Spine J. 2003;12(6):606-12.
23 Rajasekaran S, Soundarapandian S. Progression of kyphosis in tuberculosis of the spine treated by anterior arthrodesis, J Bone Joint Surg Am. 1989;71(9):1314-23.
Notas de autor
Información adicional
Este artículo debe citarse como: Delgado-Pérez JA, Colín-Martínez O. Enfermedad de Pott infantil. Reporte de caso. Acta Pediatr Méx 2019;40(3): 133-142.