Caso de sesión anatomo-clínica
Tumor rabdoide extrarrenal de mediastino
Extrarenal Rhabdoid Tumor of Mediastinum
Tumor rabdoide extrarrenal de mediastino
Acta Pediátrica de México, vol. 40, núm. 5, pp. 282-289, 2019
Instituto Nacional de Pediatría

Recepción: 16 Abril 2019
Aprobación: 14 Junio 2019
RESUMEN CLÍNICO
Paciente pediátrica con infección en las vías respiratorias superiores, de tres meses de evolución; además, odinofagia y ronquido al dormir. Recibió tratamiento sintomático sin reacción favorable; posteriormente se agregó disnea de medianos esfuerzos. Una semana previa al ingreso al Instituto Nacional de Pediatría tuvo aumento de volumen en la región anterior del cuello. La ultrasonografía reportó una lesión compleja infratiroidea, de 4.9 x 2.5 cm, sólida, hipoecogénica, por lo que se prescribió tratamiento con antibiótico. Un día antes de su ingreso aumentaron la frecuencia y dificultad respiratorias.
A su ingreso se observó a la paciente alerta, con escala de Glasgow de 15, sin dificultad respiratoria, vía aérea permeable, 24 respiraciones por minuto, saturación de oxígeno de 94%, con estridor inspiratorio, murmullo vesicular bilateral, frecuencia cardiaca de 108 latidos por minuto, tensión arterial de 101-46 mmHg, temperatura 36.5 ºC y aumento de volumen en la región cervical anterior, indurada, fija en los planos profundos, no dolorosa a la palpación, sin cambios en la temperatura ni coloración de la piel.
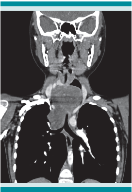
Las radiografías postero-anterior y lateral de tórax evidenciaron ensanchamiento mediastinal, de predominio superior hacia la derecha y desplazamiento con compresión anterior de la luz de la tráquea, secundario al ensanchamiento del espacio retro-traqueal, respectivamente. (Figura 1) La tomografía computada de cuello y mediastino simple, con contraste, reportó una lesión neoformativa del espacio prevertebral (mediastinal posterior y superior) que comprimía y desplazaba anteriormente la tráquea y el esófago, con calcificaciones lineales escasas y estructuras vasculares del cuello desplazadas lateralmente. Figuras 2 y 3

Se estableció el diagnóstico de masa mediastinal posterior y superior, valorada por los cirujanos oncológicos, quienes decidieron obtener una biopsia guiada por estudio de imagen para su evaluación.
El procedimiento quirúrgico se inició con la administración de anestesia inhalada con sevofluranoe, lidocaína y fentanilo, observando respiración paradójica con disminución de la expansión torácica, sin lograr la ventilación adecuada, incluso con datos de presión positiva, presentó desaturación de oxígeno y paro cardiorrespiratorio. Se iniciaron maniobras de reanimación durante dos minutos. Se colocó una cánula armada del 5, fija en el 15, por lo que se decidió ingresarla al área de terapia intensiva (reporte de biopsia transquirúrgica: linfoma versus rabdomiosarcoma).
El servicio de patología reportó que la muestra no fue concluyente, por lo que se obtuvo otra biopsia con aspirado de médula ósea, durante la primera semana de su ingreso al INP.
En la segunda semana de estancia hospitalaria, esta vez en el área de terapia intensiva, tuvo dificultad para la ventilación y datos clínico- radiológicos de atrapamiento aéreo secundario, en el sitio en que la masa producía un efecto de válvula, sin evidencia de síndrome de vena cava superior, por lo que se inició quimioterapia citorreductora (dexametasona, ciclofosfamida y vincristina) para el tumor mediastínico, sin diagnóstico histopatológico (alfa-fetoproteína y fracción beta de GCH negativas, pruebas de función tiroidea normales). La paciente tuvo disminución de la masa luego de 72 horas de haber iniciado la quimioterapia, con mejoría clínica.


Por inestabilidad e incapacidad para colocar la sonda transpilórica se decidió no alimentar por el tubo digestivo y se inició el protocolo de nutrición parenteral total.
Durante la tercera semana de estancia hospitalaria continuó sin diagnóstico histopatológico y con los antecedentes epidemiológicos se sospechó un tumor maligno de origen mesenquimal (probable tumor rabdoide extrarrenal).
Debido a los efectos secundarios de la quimioterapia tuvo toxicidad hematológica, neutropenia y fiebre sin foco infeccioso evidente, por lo que recibió tratamiento empírico con antibióticos y factor estimulante de colonias de granulocitos.
En la cuarta semana de estancia hospitalaria se resecó la masa tumoral; se evidenciaron bordes irregulares, de consistencia sólida y apariencia violácea; la tráquea se encontraba completa- mente colapsada, de la región posterior a la anterior, con la pared infiltrada por el tumor y al momento de la disección se produjo una perforación de 4 mm, que se reparó de inmediato, logrando la resección total del tumor, aunque con bordes quirúrgicos no valorables. Durante la resección sobrevino un nuevo episodio de hipoxia, secundario a broncoespasmo y paro cardiorrespiratorio de dos minutos.
A los 30 días de hospitalización y 5 días posteriores a la resección de la masa mediastinal se extubó de forma programada sin complicaciones. Salió de terapia intensiva aún sin reporte histopatológico de la lesión tumoral.
COMENTARIO CLÍNICO
De acuerdo con los datos del INEGI, los tumores sólidos representan la segunda causa de muerte en pacientes menores de 15 años en México (sólo por debajo de la tasa de mortalidad causada por accidentes).1
Los tumores de mediastino pueden ser primarios o secundarios, la mayor parte son malignos, sus complicaciones ponen en riesgo la vida de los pacientes y el diagnóstico y tratamiento definitivo se establecen mediante resección quirúrgica.
La paciente de este estudio tuvo afección respiratoria de 3 meses de evolución, manifestada por tos, odinofagia, estridor y disnea.
Los pacientes con algún cuadro de vías respiratorias sin reacción favorable al tratamiento deben evaluarse con protocolos complementarios, en búsqueda de opciones diagnósticas adicionales. Es probable que en una radiografía de tórax previa se hubiera podido identificar tempranamente la masa mediastinal de nuestra paciente.
Los tumores mediastinales, de acuerdo con el tamaño y localización en los compartimentos del mediastino, se asocian con diversas manifestaciones. Algunos autores reportan pacientes asintomáticos; sin embargo, otros expresan signos y síntomas evidentes, con franca dificultad respiratoria y datos de afección vascular.2Cuadro 1
En el caso que nos ocupa, después de dos meses de iniciar con los síntomas se efectuó el primer ultrasonido, que evidenció una masa en el cuello y, a pesar de ello, se prescribió, nuevamente, tratamiento con antibiótico durante una semana. Con las manifestaciones clínicas y evidencia del tumor, el médico de primer contacto tenía los elementos suficientes para enviar a la paciente a un centro de tercer nivel, con la finalidad de descartar algún proceso maligno y no retrasar el diagnóstico. El 90% de

Tomado de la referencia de Takeda S, y col.2 las masas mediastinales pueden identificarse en la radiografía simple de tórax.
Después de ingresar al INP, la radiografía de tórax y la tomografía lograron delimitar la ubicación de la neoplasia en el segmento posterior del mediastino, de acuerdo con la taxonomía de Carter y sus colaboradores.3Figura 4
Por orden de frecuencia, los tumores de mediastino suelen aparecer en el segmento posterior en pacientes pediátricos y son los tumores neurogénicos más comunes.2,4
Gun y su grupo4 realizaron un estudio en niños de 6 a 10 años y observaron que los tumores más frecuentes fueron: linfomas, tumores neurogénicos y sarcomas indiferenciados. En ese mismo estudio obtuvieron biopsias con la finalidad de decidir el tratamiento y establecer el pronóstico. Durante el procedimiento y posterior a la administración de anestesia inhalada ocurrieron complicaciones que pusieron en peligro la vida de los pacientes, impidiendo la ventilación, con hipoxia, y paro cardiorrespiratorio, que se revirtió con maniobras de reanimación durante dos minutos.
Diversos estudios han tratado de identificar los factores de riesgo en niños con tumores mediastinales.5,6 Incluso, algunos autores señalan que los pacientes con tres o más signos respiratorios de obstrucción de la vía aérea no deben recibir anestesia general.5
Aunque muchos estudios reportan una tasa de complicaciones por compresión de la vía aérea de 5-18%, se ha estimado un escaso índice de mortalidad en pacientes pediátricos por imposibilidad para ventilar o mantener el gasto cardiaco por compresión de las estructuras vasculares tras recibir anestesia general, incluso por la administración de relajantes musculares durante los procedimientos quirúrgicos; estas complicaciones se describen, principalmente, en pacientes con masas ubicadas en el compartimento anterior; por tanto, la primera opción supone administrar sedación con dosis bajas y anestesia local.5,6,7 Sin embargo, en el caso aquí expuesto, la masa se localizaba en el compartimento posterior. Luego de los dos eventos de paro cardiorrespiratorio reaccionó favorablemente a las maniobras de reanimación. Ciertos algoritmos asociados con tumores mediastinales proponen la toracotomía urgente y la resección de la masa cuando haya imposibilidad de ventilación.7

En este caso, la posición del paciente y el aseguramiento de la vía aérea con la colocación de una cánula traqueal permitió la ventilación en el quirófano y durante su estancia en terapia intensiva.
La valoración previa al procedimiento anestésico permite identificar a los pacientes con riesgo elevado de complicaciones ventilatorias y hemodinámicas. Es importante practicar procedimientos menos invasivos; sin embargo, la anestesia general planificada parece ser segura,como se demostró en el paciente de este estudio.
COMENTARIO ANATOMOPATOLÓGICO
El Departamento de Anatomía patológica llevó a cabo cuatro estudios de tejido recibidos en tiempos diferentes.
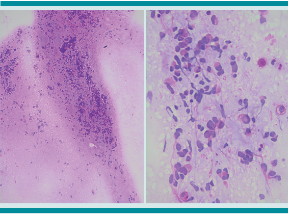
En el primero se recibió la biopsia del tumor, referido como cérvico-torácico, donde se observó una neoplasia de aspecto fusocelular, compuesta por células con atipia moderada y citoplasma amplio (Figura 5); sin embargo, el tejido fue insuficiente para inmuno-marcaje y determinación de la estirpe histológica, por lo que se estableció el diagnóstico de neoplasia maligna de origen a determinar.

En el segundo estudio se recibió mayor cantidad de tejido; esta vez se estableció el diagnóstico de “compatible con tumor rabdoide extrarrenal”, añadiendo el comentario que el tejido era muy pequeño y podía corresponder a una neoplasia heterogénea, por lo que se sugirió la correlación con los hallazgos clínicos, estudios de imagen y, de ser posible, obtener una nueva biopsia.
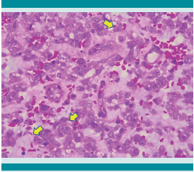
Además, se obtuvo una biopsia de médula ósea (que también fue insuficiente para establecer el diagnóstico) y resección del tumor torácico, que coincidió con una neoplasia con áreas extensas de necrosis, con células semejantes a las anteriormente descritas. Figura 6

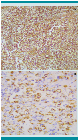
El estudio de inmunohistoquímica reportó positividad para vimentina, CK-7, focalmente positivas para miogenina y negativas para INI-1. Figura 7

El tumor rabdoide extrarrenal contiene células de aspecto rabdoide, que pueden aparecer en otro tipo de neoplasias como: sarcoma sino vial, condrosarcoma mixoide extraesquelético, leiomiosarcoma, sarcoma epitelioide y en el componente mesenquimatoso de los teratomas.
El diagnóstico de tumor rabdoide extrarrenal representa un reto clínico y anatomopatológico; sin embargo, este último es de exclusión, debido a su baja frecuencia.8
En la actualidad, la paciente ha finalizado la radioterapia y continúa con quimioterapia a base de ciclofosfamida, carboplatino y etopósido; no obstante, ha reportado complicaciones menores (procesos infecciosos), sin requerimiento de hospitalización en terapia intensiva. Se planea realizar estudios de imagen, con la finalidad de determinar la extensión de la enfermedad.
REFERENCIAS
1. México - Estadísticas Vitales. Defunciones Generales y Fetales 2015. - Información general. Dirección URL: http:// www3.inegi.org.mx/rnm/index.php/catalog/231
2. Takeda S, et al. Clinical spectrum of primary mediastinal tumors: A comparison of adult and pediatric populations at a single Japanese institution. J Surg Oncol 2003;83(1):24- 30. https://doi.org/10.1002/jso.10231
3. Carter BW, et al. A modern definition of mediastinal com- partments. J Thorac Oncol 2014;9(Suppl 2):S97-101. DOI: 10.1097/JTO.0000000000000292.
4. Gun F, et al. Mediastinal masses in children: Experience with 120 cases. Pediatr Hematol Oncol 2012;29(2):141-7. DOI: 10.3109/08880018.2011.646385.
5. Ng A, et al. Anaesthetic outcome and predictive risk factors in children with mediastinal tumours. Pediatr Blood Cancer 2007;48(2):160-4. DOI: https://doi.org/10.1002/pbc.20702
6. Aguilera-Pujabet M, et al. Current anesthesia risk of anterior mediastinal masses. Cir Pediatr. 2016;29(4):142-148.
7. Hammer GB. Anaesthetic management for the child with a mediastinal mass. Paediatr Anaesth 2004;14:95-7. DOI: https://doi.org/10.1046/j.1460-9592.2003.01196.x
8. Oda Y, et al. Extrarenal rhabdoid tumors of soft tissue: clinicopathological and molecular genetic review and distinction from other soft-tissue sarcomas with rhabdoid features. Pathol Int 2006;56:287-295. DOI: https://doi. org/10.1111/j.1440-1827.2006.01962.x
Notas de autor
dr_alfredo_gutierrez@live.com
Información adicional
Este artículo debe citarse como: Gutiérrez-Hernández A, Rojas-Maruri M, Beristain-Gallegos I, Aguilar-Ortiz MR. Tumor rabdoide extrarrenal de mediastino. Acta Pediatr Mex. 2109;40(5):282-89.