Casos Clínicos
MASA ANEXIAL COMPLICADA EN MUJER POSTMENOPÁUSICA: TUMOR DE BRENNER DE OVARIO IZQUIERDO TORCIDO
Dough adnexal complicated in woman postmenopausal: ovarian Tumor Brenner left twisted Case Report And Review
MASA ANEXIAL COMPLICADA EN MUJER POSTMENOPÁUSICA: TUMOR DE BRENNER DE OVARIO IZQUIERDO TORCIDO
Revista Científica Ciencia Médica, vol. 20, núm. 1, pp. 38-43, 2017
Universidad Mayor de San Simón

Recepción: 15 Abril 2017
Aprobación: 20 Junio 2017
Resumen:
Los tumores anexiales representan una patología ginecológica frecuente e importante. El tumor de Brenner es una neoplasia poco frecuente que constituye 1.5-2.5% del total de neoplasias ováricas. Se presenta una paciente de sexo femenino de 62 años que acude por dolor intenso en flanco izquierdo, indicándose estudios complementarios, entre ellos, ecografía abdominal que informa masa de contenido mixto. Se realiza laparotomía exploradora, se constata tumor de ovario izquierdo, torcido, procediéndose a anexo ooforectomía izquierda. Posteriormente, estudio de biopsia informa diagnóstico de tumor de Brenner. Los tumores anexiales pueden representar un verdadero desafío, y requieren un diagnóstico certero y manejo adecuado. Es fundamental sospechar malignidad. El presente caso manifestó numerosos rasgos de malignidad, resultando fortuitamente ser benigno. Se optó por cirugía de laparotomía exploradora más anexo ooforectomia izquierda, decisión bastante controversial debido a la falta de un diagnóstico anatomopatólogico, pero necesaria por la presentación complicada del cuadro.
Palabras clave: Masa anexial, tumor de brenner, mujer post-menopausica.
Abstract:
The adnexal tumors represent a frequent and important gynecological pathology. The Brenner tumor is a rare neoplasm constituting 1.5-2.5% of all ovarian neoplasms. A 62-year-old female patient is presents intense pain in the left flank, and complementary studies are indicated, including abdominal ultrasound that reports mass of mixed content. Exploratory laparotomy is performed, left ovary tumor is twisted, and left oophorectomy is performed. Subsequently, biopsy study reports diagnosis of Brenner's tumor. Adnexal tumors can be a real challenge, requiring accurate diagnosis and proper management. It is fundamental to suspect malignancy.The present case manifested numerous traits of malignancy, being fortuitously benign.We opted for exploratory laparotomy surgery plus left oophorectomy, a rather controversial decision due to the lack of an anatomopathological diagnosis, but necessary due to the complicated presentation of the picture.
Keywords: Adnexal mass, brenner tumor, postmenopausal woman.
INTRODUCCIÓN
Entre los diversos entes patológicos en ginecología, existe una frecuencia elevada en lo que corresponden tumores de anexo, siendo ellos sumamente importantes. Este tipo de patologías presentan un complejo diagnóstico a causa de la anatomía misma que presentan los anexos, conformado por los ovarios, ligamento redondo, trompa de Falopio, entre otros. Estos tumores se desarrollan a partir de dichos órganos. Clavijo T. y Cols. refieren, a través de su trabajo "Aspectos clínicos y epidemiológicos de los tumores anexiales", que el diagnóstico oportuno de los tumores anexiales se encuentra ligado a necesidad imperiosa de descubrir o descartar procesos de potencial maligno, sabiendo que, el diagnostico precoz y el tratamiento adecuado de dichos procesos reducen la morbimortalidad de los pacientes. Se ha referido una considerable variación de causas de tumor anexial según la edad, siendo las de mayor frecuencia los tumores del ovario. Se menciona, en sentido amplio, que los tumores de anexo en niñas y mujeres posmenopáusicas tienen alto pronóstico de malignidad, mientras que, los aparecidos en edad reproductiva presentan riesgo altamente bajo de malignidad, referidos más comúnmente como "quistes funcionales", cuyo manejo en general no requiere intervención, desapareciendo de manera espontánea.1
Los tumores a nivel de los anexos pueden resultar, en varias ocasiones, un gran problema ginecológico por el diagnóstico preciso y manejo pertinente que requieren, debido precisamente al amplio espectro de órganos coexistentes e interrelacionados en la región anexial de la mujer, y que al mismo tiempo pueden expresar desde simples alteraciones, representadas por variaciones fisiológicas de menor gravedad, hasta alteraciones serias de pronóstico desfavorable, como lo es el cáncer de ovario, actualmente frecuente, que representa una importante causa de muerte por cáncer en mujeres de EEUU ( cuarta causa de muerte por cáncer), y la primera causa de mortalidad por cáncer ginecológico en occidente. Por todo lo mencionado, esta patología puede resultar un verdadero desafío médico. El método de certeza para el diagnóstico es la evaluación por anatomía patológica. En la labor médica diaria, la intromisión innecesaria sobre muchas pacientes suele ser frecuente, pero sobre ello nace siempre la discusión de que, al no hacerlo, existe la posibilidad de dejar avanzar un proceso cancerígeno.2
Es importante mencionar los tumores de ovario, que, de hecho, existen muchos tipos diferentes. Cerca del 80% son benignos y estos aparecen principalmente en mujeres jóvenes entre 20 y 45 años de edad. Los tumores de grado intermedio (bordeline) se producen en edades ligeramente mayores. Los tumores malignos son más frecuentes en mujeres de más edad, de entre 45 y 65 años. El cáncer de ovario representa el 3% de todos los cánceres femeninos y es la quinta causa de muerte por cáncer en mujeres de los Estados Unidos. Actualmente se cree que la mayoría de los tumores de ovario se originan, en último término, en uno de tres componentes ováricos:
Epitelio de superficie/trompa de Falopio y endometriosis; células germinales, que migran al ovario desde el saco vitelino y son pluripotentes; células del estroma, cordones sexuales incluidos, que son los precursores del aparato endocrino del ovario posnatal.3
El tumor de Brenner es una neoplasia ovárica, de estirpe epitelial, que por la morfología asemeja al epitelio transicional de la vejiga. Entre todos los tumores de ovario, es una de las más raras, presentando una frecuencia de sólo el 1.5 a 2.5% del total, siendo mayoritariamente unilaterales, preferentemente manifiestos de lado izquierdo, observándose poca frecuencia de tumores bilaterales (3.7-8%). Las más afectadas por este tumor suelen ser mujeres en la quinta década de vida, presentándose sin sintomatología. Sobre su histopatología, se considera al tumor de Brenner como un tumor epitelial mixto, por su consistencia sólida asociada al mismo tiempo con quistes (mucosos, serosos o endometrioides).4
La gran mayoría de los casos son de naturaleza benigna (95%), pero en la clasificación de la OMS, dentro de los tumores de células transicionales, se incluye además el borderline (3-4%), el maligno (1%) y el carcinoma de células transicionales tipo no Brenner.5
PRESENTACIÓN DEL CASO
Paciente femenina de 62 años, soltera, ama de casa y procedente de la ciudad de Encarnación, departamento de Itapúa, Paraguay, acude el día 3 de junio de 2016 al servicio de urgencias del Hospital Regional de Encarnación (HRE) por dolor abdominal intenso, siendo trasladada inmediatamente al servicio de Ginecoobstetricia del HRE, para evaluación y manejo. La Paciente refiere haber despertado en horas de la madrugada por intenso dolor en flanco izquierdo tipo punzante que cedía con cambio de posición, acompañando a dicho cuadro vómito tipo bilioso en moderada cantidad, niega sensación febril, niega diarrea, niega dificultad para orinar.
Entre los antecedentes patológicos personales refiere internación anterior por cuadro dispéptico hace 1 año atrás, además de la presencia de masa tumoral en abdomen que fue aumentando de tamaño con el paso del tiempo. Supone posible diabetes tipo 2, y niega hipertensión arterial, asma bronquial, alergias, dislipidemias y otras patologías de interés.
Los antecedentes ginecoobstétricos indican una menarca de 15 años, vida sexual inactiva, primer contacto sexual a los 18 años, fecha de última menstruación a los 50 años, que fuera en su momento una menstruación con un ciclo de 3 días de duración cada 28 días. Gestante de 9 hijos, todos ellos por parto vaginal, siendo la fecha de último parto a sus 40 años de edad, sin haber presentado ningún aborto. Entre sus estudios ginecológicos se encuentra prueba de Papanicolaou realizado en el corriente año que informa datos negativos sobre posible lesión intraepitelial.
Al examen físico se constata abdomen globuloso a expensas de tumoración que ocupa hemiabdomen inferior de aprox. 25cm de diámetro de bordes irregulares, consistencia dura, doloroso a la palpación profunda, con reacción peritoneal, leve defensa muscular, ruidos hidroaéreos positivos. A la especuloscopía se observa cérvix central, coloración normal, atrófica, orificio cervical externo cerrado, sin sangrado a su través, sin leucorrea. El tacto bimanual resultó dificultoso, palpándose tumoración en hipogastrio de aprox. 25 cm de diámetro, de origen a determinar, fondo de saco libre, Frenkel (negativo).
Al mismo día de ingreso, se indica estudio ecográfico que informa observación de una imagen tumoral, cuya masa es de contenido mixto, a nivel de hipogastrio y periumbilical, de 20 cm de diámetro aproximadamente, eco doppler de baja resistencia. Fueron realizados a su vez estudios laboratoriales (ver tabla 1) en el que llama la atención una elevación del marcador tumoral CA19-9, ligera disminución del nivel de hemoglobina, leucocitosis con neutrofilia y al mismo tiempo nivel disminuido de linfocitos, ciertos índices hematimétricos alterados y ligera hipercloremia e hiperglicemia.

A partir de los datos mencionados, la paciente es catalogada con cuadro de abdomen agudo quirúrgico, con diagnóstico presuntivo de tumoración gigante en hipogastrio, con sospecha de tumor de ovario izquierdo. Se indica internación al servicio y preparación para laparotomía exploradora.
Se procede a laparotomía exploradora, en cuya técnica se realiza incisión mediana infraumbilical, con apertura y sección por planos celulares. En el abordaje se halla 450cc de líquido serohemático, además de tumoración solido-líquido (mixto) de 20x17 cm de diámetro, de origen anexial lado izquierdo con torsión sobre su eje de una vuelta. Se procede a una anexo ooforectomia izquierda, y posterior lavado de campo con 1000cc de solución de suero fisiológico, toillete de cavidad y cierre de pared por plano.
El material quirúrgico es remitido al servicio de Anatomía Patológica del HRE, cuyo estudio informa características macroscópicas de masa tumoral que mide en total 23x13x8.9cm, de superficie grisácea pardusca, lobulada (ver Figura 1). Al corte, se observa una tumoración solida quística, con superficie grisácea pardusca difusa, con zonas blanquecinas grisáceas irregulares y quistes conteniendo material gelatinoso (ver Figura 2). Consistencia solida firme. Inclusión parcial.


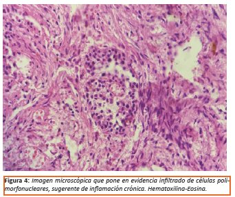
Los cortes histológicos muestran un proceso tumoral ovárico con infarto rojo (hemorrágico) masivo. Tras cortes seriados del material se observan zonas viables con cúmulos de células epiteliales, separadas por un denso estroma fibrótico, con zonas de calcificación, en inflamación crónica (ver Figuras 3, 4). Con dichos hallazgos se sugiere diagnóstico de tumor ovárico epitelial tipo Tumor de Brenner (células transicionales) benigno.


La paciente permaneció internada en el servicio por 4 días, con indicaciones postquirúrgicas de rutina: Nada via oral, control de signos vitales c/2hs, sonda vesical en permanencia, hidratación parenteral con solución Ringer Lactato 1000cc, medicación con diclofenac, cefazolina, dolofenal, omeprazol y ondansetrón. Fue dada de alta el 07 de junio del 2016 con indicación de control por consultorio en 7 días.
DISCUSIÓN
El valor de la clínica y los datos epidemiológicos en los tumores anexiales es sumamente relevante, ya que ello nos orienta a diagnosticar oportunamente, determinar conductas, evaluar complicaciones y predecir la posible evolución que pueda presentar. Entre los signos y síntomas de mayor trascendencia se menciona el dolor abdominal y la presencia de masa palpable1, como se constató en este caso, ya que la paciente presento fundamentalmente dolor, siendo el motivo que la llevo a consultar de urgencia.
Ante el descubrimiento de una masa anexial, es pertinente un razonable diagnóstico diferencial, teniendo siempre en vista la clínica del paciente. El hecho de solicitar pruebas auxiliares excesivas y superfluas, puede llevar no solo a gastos masivos e innecesarios, sino que además puede oscurecer el diagnostico llevando a errores en la presunción de la causa y a graves iatrogenias6.
Se estima que, aproximadamente un 10% de mujeres serán sometidas alguna vez en su vida a intervención quirúrgica por alguna masa anexial o sospecha de neoplasia ovárica. En cierto modo, la mayor parte de estos tumores son benignos, pero ello no desestima la meta fundamental de la evaluación quirúrgica de dichas masas tumorales, el cual es descartar cualquier proceso maligno. Existe un 4 a 6% de riesgo de que, un tumor anexial de aspecto aparentemente benigno resulte ser realmente maligno. Se evalúan criterios para estimar el riesgo de malignidad en pacientes con elevada probabilidad de cáncer ovárico, dichos criterios se basan en: las características ultra-sonográficas, el estado menopaúsico, y los valores pre-operatorios de Ca 125 utilizándose como valor normal hasta 35U/ml.7 En alusión a lo mencionado, y teniendo en cuenta los factores de riesgo de malignidad mencionados en la introducción de este trabajo (como ser la edad, estado menopaúsico, antecedentes familiares), se rescata que en este caso clínico hubieron factores que pudieran hacer sospechar malignidad, como la edad avanzada, pero, que se contrarresta con el hecho de no haber elevación de marcador tumoral Ca 125.
De los tumores epiteliales benignos, el tumor de Brenner constituye un 5%. Su pico de frecuencia se observa en mujeres de la tercera a sexta década de vida, presentándose sin sintomatologíay menora los 2 cm, diagnosticadas después de la resección ovárica debida a otras causas. La bilateralidad y el tamaño mayor a 10 cm se observa en menos del 10% de los casos. Suelen ser lobulados, con limites netos, firmes y de aspecto fibroso, pudiendo observarse calcificación en su estructura, además de la coexistencia de quistes diminutos en su interior. Su asociación con otros tumores en el mismo ovario, generalmente el cistadenoma mucoso, suele referirse en un 25% de los casos.8 En contraste, el tumor hallado en este caso presenta un tamaño mucho mayor a los hallazgos habituales, considerando un caso excepcional de tumor benigno de ovario.
En la histología del tumor de Brenner benigno, pueden observarse agrupación de células epiteliales en forma de nidos e islotes, siendo dicho epitelio de tipo transicional, cuyas células presentan gran citoplasma de aspecto claro, siendo referidos sus núcleos como núcleos en "grano de café" La consistencia de los nidos puede ser sólida o presentar material mucoide eosinófilo dentro de una luz central. Alrededor de dichos nidos, en su contorno, puede observarse un estroma de aspecto fibrotecomatoso, rasgo característico del tumor de Brenner benigno.9
Entre los diagnósticos diferenciales a tener en cuenta, el adenofibroma endometrioide con metaplasia escamosa es el de mayor trascendencia. En la histología, la diferenciación entre ambos entes neoplásicos nos lo dan las características nucleares y el revestimiento mucoso frecuente de las glándulas del tumor de Brenner benigno.8
El estudio fundamental y de elección para el diagnóstico de los tumores de ovario es la ecografía. Se manejan como criterios ecográficos de malignidad a ciertos signos como ser el tamaño tumoral mayor a 10 cm, la concomitancia entre zonas sólidas y liquidas dentro del tumor, mala definición de los bordes, presencia de papilas dentro del tumor, los tabiques de más de 3 mm y la presencia de ascitis. Además de todo lo mencionado, el estudio doppler del tumor puede ser un excelente complemento que mejora los resultados del diagnóstico, a través del hallazgo de una mayor vascularización y el cálculo de índices de resistencia (siendo signo de malignidad la vascularización de baja resistencia).5 Se resalta la constatación de casi todos estos parámetros en el estudio ecográfico de la paciente.
CONCLUSIÓN
Este caso clínico presenta grandes puntos de dificultad diagnóstica a la hora de catalogar el tumor en maligno o benigno, debido a los numerosos rasgos y factores tanto de la clínica, de los antecedentes de la paciente y de las características del tumor, que sugieren en cierto modo, un proceso maligno antes que benigno. En contexto a lo mencionado, resultó indispensable el estudio anatomopatológico de la pieza tumoral. Otro punto en discusión se refiere al manejo que tuvo esta paciente, que, al presentarse como cuadro de abdomen agudo y por la complicación que presentaba, fue intervenida quirúrgicamente de manera urgente, sin tomar recaudos necesarios y cuya técnica no fue acorde al no haberse tomado muestras y biopsias de tejidos adyacentes, acción que es imprescindible en cualquier tumor cuya malignidad o benignidad es desconocida.
REFERENCIAS
1. Clavijo T, Lugones M, Guevara Alfayate L, Berlán N. Aspectos clínicos y epidemiológicos de los tumores anexiales. Revista Cubana de Obstetricia y Ginecología [Internet]. 2012; 38(2):221-228. Disponible en: http://scielo.sld.cu/pdf/gin/v38n2/gin11212.pdf
2. Clavijo T, Lugones M, Guevara L, Berlán N. Valor del ultrasonido en el diagnóstico de las masas anexiales. Revista Cubana de Obstetricia y Ginecología [Internet]. 2012; 38(3):343-352. Disponible en: http://scielo.sld.cu/scielo.php?script=sci_arttext&pid=S0138-600X2012000300007
3. Vinay Kumar, Abul K. Abbas, Jon C. Aster. Robbins y Contran: Patología estructural y funcional [Libro]. Novena Edición. Barcelona, España: Elsevier. 2015.
4. Guerrero-Martínez E, Mateos-Vizcayno J, Huerta-Hentschel J. Tumor de Brenner: reporte de un caso y revisión de la bibliografía. Ginecol Obstet Mex [Internet]. 2014; 82:415-419. Disponible en: http://www.medigraphic.com/pdfs/ginobsmex/gom-2014/gom146j.pdf
5. Sosa E, Melgar L, Suárez Y, Troyano J, Alberto J, De la Torre J. Tumor de Brenner maligno: caso clínico. Rev. Chil. Obstet. Ginecol [Internet]. 2012; 77(3): 221 – 224. Disponible en: https://www.google.com/url?sa=t&rct=j&q=&esrc=s&source=web&cd=1&cad=rja&uact=8&ved=0ahUKEwi59Nrr_uXUAhXNdSYKHeyUCp4QFggrMAA&url=http%3A%2F%2Fwww.scielo.cl%2Fscielo.php%3Fscript%3Dsci_arttext%26pid%3DS0717-75262012000300009&usg=AFQjCNEq6wC-7hi71kiEenGdqIZxcPahUg
6. Bernal T, Iannuzzelli C, Colechá M. Factores de confusión ante masa anexial. Revista Atalaya Médica [Internet]. 2016; 1(9):91-92. Disponible en: http://atalayamedica.comteruel.org/index.php/revista/article/view/138/130
7. Treviño-Báez J, Cantú-Cruz J, Medina-Mercado J, Abundis A. Exactitud diagnóstica del índice de riesgo de malignidad II en mujeres posmenopáusicas con tumor anexial. Cirugía y Cirujanos [Internet]. 2016; 84(2):109-114. Disponible en: https://www.google.com/url?sa=t&rct=j&q=&esrc=s&source=web&cd=1&cad=rja&uact=8&ved=0ahUKEwji5sac_-XUAhUBRSYKHbOJBPsQFggmMAA&url=http%3A%2F%2Fwww.sciencedirect.com%2Fscience%2Farticle%2Fpii%2FS000974111500225X&usg=AFQjCNFwpXGcPvDZsMAErbI4v4SoTbdQ7g
8. Morales-Palacios E, Villarreal-Portillo D, Quintero-Cabrera J. Tumor de Brenner fronterizo. Revista Cubana de Obstetricia y Ginecología [Internet]. 2016; 42(4), 530-536. Disponible en: http://revginecobstetricia.sld.cu/index.php/gin/article/view/121
9. Martínez A, Raga F, Giner F, Ferrandez A, Bonilla F. Tumor de Brenner Bilateral Benigno. Rev. chil. obstet. Ginecol [Internet]. 2009; 74(6): 379-381. Disponible en: http://www.scielo.cl/scielo.php?script=sci_arttext&pid=S0717-75262009000600010
10. Catro B, Ramirez M, Tumor de Brenner Unilateral Benigno. Rev. chil. obstet. Ginecol. Disponible en: http://www.scielo.cl/scielo.php?script=sci_arttext&pid=S0717-75262009000600010
Notas
Notas de autor
Enlace alternativo
http://www.scielo.org.bo/scielo.php?script=sci_arttext&pid=S1817-74332017000100008&lng=es&nrm=iso (html)