Casos clínicos
BOCIO INTRATORÁCICO
INTRATHORACIC GOITER
BOCIO INTRATORÁCICO
Revista Científica Ciencia Médica, vol. 21, núm. 1, pp. 94-95, 2018
Universidad Mayor de San Simón

Recepción: 21 Abril 2018
Aprobación: 14 Julio 2018
Palabras clave: Bocio, Glándula tiroides, Cirugía
Keywords: Goiter, Thyroid gland, Surgery
PRESENTACIÓN DEL CASO
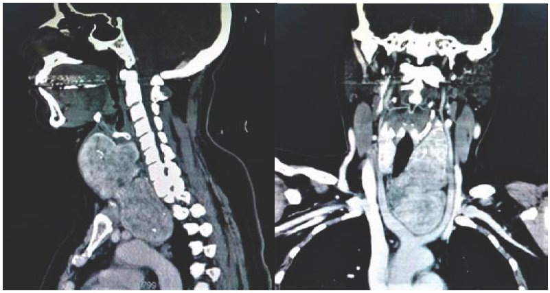
Masculino de 45 años de edad, con hipertensión arterial como único antecedente relevante. Presentó disfagia alta, disfonía y disnea leve, de aproximadamente 6 meses de evolución, de inicio insidioso y empeoramiento progresivo, por lo que acudió a consulta. A la exploración física destacó aumento de volumen en cara anterior del cuello, de consistencia blanda y de gran tamaño, adherido a planos profundos, así como signo de Pemberton positivo (sugiriendo síndrome de vena cava superior). Se solicitó ultrasonido de cuello a la brevedad, detectándose bocio, eventualmente realizándose además tomografía de cuello y tórax donde se corroboró el diagnóstico de bocio con extensión intratorácica a mediastino superior, complicado con compresión faríngea, esofágica, laríngea, traqueal y de arterias y venas cérvico-mediastínicas. Contó con perfil tiroideo normal. Fué referido a tercer nivel de atención médica, donde se decidió su resección quirúrgica (tiroidectomía total con resección de la sección mediastínica), con mejoría clínica considerable. Se reportó bocio multinodular en estudio histopatológico.
DESARROLLO
El bocio intratorácico fue descrito por Haller en 17491 y desde entonces ha recibido diversas denominaciones: retroesternal, subesternal, subclavicular, mediastínico, entre otras,1 considerándose sinónimos2. Existen al menos 10 definiciones2. Pueden ser primarios (sin conexión con la glándula cervical, originándose de restos tiroideos mediastínicos) o secundarios (prolongación tiroidea hacia el tórax),3 estos últimos representan la gran mayoría2. Habitualmente los pacientes son eutiroideos2.
La prevalencia en Estados Unidos es del 0.02 - 0.5%1. Su principal variedad histológica es el bocio multinodular3. Hasta 8% son malignos2. El tipo cérvico-mediastínico es el más común (como el caso que se muestra). Tiene predominio femenino (de 3:1 a 5:1.3), surgiendo generalmente después de los 20 años de edad, siendo más frecuente entre la cuarta y quinta décadas de la vida3. El 70 - 80% son sintomáticos (masa cervical, disnea, estridor, disfagia, disfonía, hemorragia digestiva por várices esofágicas, síndrome de vena cava superior, ataques isquémicos transitorios y edema cerebral).1
El tratamiento de elección es el quirúrgico.3 Se han reportado complicaciones en el 1 % de los procedimientos1, como hipoparatiroidismo, paresia de las cuerdas vocales, hematomas,3 infecciones, colapso traqueal, traqueomalacia, entre otros.1

REFERENCIAS
1. De Aguiar-Quevedo K, Cerón-Navarro J, Jordá-Aragón C, Pastor-Martínez E, Sales-Badia JG, García-Zarza A, et al. Bocio intratorácico. Revisión de la literatura médica. Cir. Esp. 2010; 88 (3): 142 – 145.
2. Al-Hashemy A, Gallo R, Shah MT, Al-Faifi A, Al-Amir A, Al-Shraim M, et al. Giant intrathoracic goitre: The challenges. International Journal of Surgery Open 2016; 2: 6 – 10.
3. Puerto-Lorenzo JA, Torres-Ajá L. Bocio endotorácico. Presentación de un caso. Revista Finlay 2013; 3 (2): 126 – 130.
Notas
Notas de autor
Enlace alternativo
http://www.scielo.org.bo/scielo.php?script=sci_arttext&pid=S1817-74332018000100013&lng=es&nrm=iso (html)