Casos Clínicos
HALLAZGOS POR IMAGEN DE TUMOR CARCINOIDE BRONQUIAL EN HOSPITAL DE LA HABANA
IMAGING FINDINGS OF BRONCHIAL CARCINOID TUMOR IN HABAN-HOSPITAL
HALLAZGOS POR IMAGEN DE TUMOR CARCINOIDE BRONQUIAL EN HOSPITAL DE LA HABANA
Revista Científica Ciencia Médica, vol. 22, núm. 1, pp. 57-61, 2019
Universidad Mayor de San Simón

Recepción: 16 Mayo 2018
Aprobación: 31 Julio 2019
Resumen: Se presenta un caso de adolescente sin comorbilidades, quien cursó durante tres meses con infecciones respiratorias a repetición sin mejoría a pesar de manejo médico apropiado. En imagen de control posterior a la hospitalización, se documenta en estudios de imagen lesión del lóbulo inferior derecho con crecimiento endoluminal y mediante broncoscopía se confirma la presencia de una masa tumoral en la luz del bronquio para dicho lóbulo. Se realiza biopsia y el estudio anatomopatológico reporta tumor carcinoide variedad típica. A pesar que es una entidad poco frecuente, el tumor carcinoide es una neoplasia neuroendócrina que se puede presentar en el sistema respiratorio en este grupo poblacional y se debe considerar en el contexto de infecciones respiratorias a repetición. Los estudios de imagen deberían ser parte de la evaluación de todo paciente que cursa con complicaciones de infecciones respiratorias y en el diagnóstico diferencial de otras entidades respiratorias.
Palabras clave: Tumor carcinoide, Broncoscopía, Tumores neuroendocrinos.
Abstract: It is present a case of teenager without comorbidities, who had recurrent respiratory infections during three months without improving besides proper medical treatment. Imaging post-hospitalization control documented in imaging studies a right lower lobe lesion with endobronchial grow and bronchoscopy confirmed a growing into the lumen tumoral mass of such lobular bronchi. A biopsy was performed and an pathological study reported carcinoid tumor typical type. Even though it is a rare entity, carcinoids tumors are neuroendocrine neoplasms that can be found in the respiratory system among this population group and it should be considered in a repetitive respiratory infections scene. Imaging studies should be part of every patient evaluation that course with complications as well as a tool for other entities differential diagnosis.
Keywords: Typical carcinoid, Bronchoscopy, Neuroendocrine tumors.
INTRODUCCIÓN
Según la Organización Mundial de la Salud (OMS) en su cuarta edición de la clasificación de los tumores de pulmón, pleura, timo y corazón, los tumores carcinoides hacen parte del espectro de neoplasias neuroendócrinas que cursan con características histológicas y clínicas similares, pero con diferencias notables en cuanto a su pronóstico1. El tumor carcinoide (antes llamado adenoma bronquial) es una forma de neoplasia neuroendócrina de bajo grado de malignidad derivada de las Células bronquiales de Kulchitzky que son células pluripotenciales de la mucosa bronquial que hacen parte del sistema APUD (del inglés: Amine Precursor Uptake and Decarboxylation), capaces de sintetizar, almacenar y secretar hormonas peptídicas y neuroaminas2.
Este tipo de tumores corresponde solo al 1-2% de todas las neoplasias de pulmón en el adulto1,3; en el niño es la neoplasia pulmonar primaria más frecuente (80-85%)3. Sin embargo, corresponde solo al 0,2% de todas las neoplasias de la población pediátrica3.
A partir de su origen embriológico, los tumores carcinoides provienen de varios tejidos; el más común es el tracto gastrointestinal (70%) y solo el 25% son de origen pulmonar4. Los síntomas están dados por tos, fiebre, expectoración, sibilancias y dolor torácico3. La hemoptisis ocurre en el 75% de los casos reflejando la naturaleza vascularizada de los tumores carcinoides2.
De acuerdo a la localización y el patrón de crecimiento del tumor, el cuadro clínico se suele manifestar en niños como atelectasias o neumonías recurrentes cuando se produce invasión de la luz bronquial, bien sea en la pared o por fuera de esta4.
Esto denota un gran reto al médico en el diagnóstico diferencial al momento de abordar a un paciente quien presenta recurrencia de estos cuadros respiratorios, por lo que un adecuado análisis permite mejorar la calidad de vida y el pronóstico del quien padece la enfermedad. No obstante, es infrecuente la presentación neuroendocrina (síndrome carcinoide)3.
PRESENTACIÓN DEL CASO
Paciente masculino de 13 años natural y procedente de la Ciudad de La Habana (Cuba) producto de segunda gestación a término sin complicaciones, hijo de padres sanos, esquema de vacunación completo; cursó durante una semana con síntomas respiratorios dados por tos sibilante, no cianosante ni emetizante, concomitante a fiebre no cuantificada y dolor en hemitórax derecho. Es valorado y tratado en el Hospital de Centro Habana como cuadro neumónico para lo cual llevó tratamiento con antibioticoterapia. A los tres meses del primer episodio consultó de nuevo, por presentar síntomas similares por lo que ingresó al Hospital Clínico Quirúrgico Docente: "Hermanos Ameijeiras". En su valoración, se encontró en aceptables condiciones generales: alerta, febril, hidratado sin ángor con disnea grado II del MRC (Medical Reseach Counsil); con signos vitales: Frecuencia cardiaca de 98 latidos/minuto; Frecuencia respiratoria de 22 respiraciones/minuto; Temperatura de 38,3 °C, Sat. de O2: 88%, Fracción de Oxígeno Inspirado (FIO2): 21%. A la auscultación se constatan crépitos en base derecha con ligero tiraje subcostal, resto del examen físico sin evidencias de alteraciones.
Se realizó radiografía de tórax en la cual reportó una radioopacidad heterogénea parahiliar derecha compatible con proceso respiratorio agudo.
El resultado del Hemograma reportó: Leucocitosis de 15 000/ml con Neutrofilia de 9 500/ml. Tinción de Gram de esputo: positivo para bacilos Gram negativos y Baciloscopía: Negativa.
Se instauró tratamiento protocolizado para cobertura de gérmenes grampositivos y gramnegativos por lo que se decidió iniciar con amoxicilina más sulbactam 500/250 mg Intravenoso (IV) cada 8 horas por 7 días, dipirona 300 mg VO cada 6 horas si hay fiebre, loratadina 10 mg Vía Oral (VO) por día e inhaloterapia con salbutamol y oxigenoterapia para una SO2 >90%, al cumplir con el esquema instaurado, se observó resolución del cuadro respiratorio con suspensión del oxígeno medicinal a partir del quinto día de antibioticoterapia, al cabo de octavo día, se da salida con loratadina 10 mg VO/día por 7 días y salbutamol según esquema de crisis, por último se dan recomendaciones y signos de alarma, asistiendo al terminar tratamiento con radiografía de tórax de control.
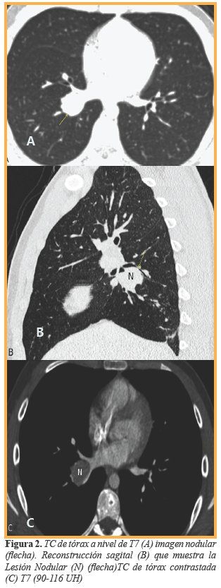
Al cabo de 4 semanas, en el seguimiento clínico-radiológico, los padres refieren accesos de tos a predominio nocturno que cede con el broncodilatador, pero se observó una imagen nodular en proyección del cuerno inferior del hilio derecho que medía 23x25x25 mm en sus diámetros (anteroposterior, transversal, longitudinal), la cual no se visualizaba debido al proceso de condensación en la fase neumónica (Figura 1). Se decidió realizar Tomografía Computarizada (TC) de tórax a nivel de T-7 Ventana de pulmón (A) para su caracterización la que constató que hacia la luz del bronquio para el lóbulo inferior derecho crecía una lesión nodular tumoral de 29x24x25 mm (Anteroposterior, Transversal, longitudinal) con densidad de 40 UH (Unidades Hounsfield) la cual oblitera parcialmente la luz del bronquio en el estudio simple (Figura 2) y 90-116 UH en el estudio contrastado (C) mostrando lesión nodular que capta intensamente el contraste (Figura 2). En el postprocesamiento, se obtuvo broncoscopía virtual la cual validó la presencia de una lesión endoluminal nacarada que obstruye parcialmente la luz del bronquio para el lóbulo inferior derecho (Figura 3) adyacente a la misma, se observa la emergencia del bronquio para el lóbulo medio.



Todos estos hallazgos se confirman con la realización de videobroncoscopía en la cual se puede observar la lesión de apariencia polilobulada de superficie lisa, rojiza y con crecimiento endobronquial, de la cual se tomó muestra y el estudio anatomopatológico reportó lesión con proliferación celular organoide y material eosinófilo, citoplasma granular y núcleo de aspecto ovoide con cromatina abierta sin mitosis, separados por septos fibrosos y marcada proliferación vascular compatibles con tumor carcinoide variedad típica. No se evidenció diseminación local o a distancia. Se realizó como manejo definitivo, lobectomía del lóbulo medio e inferior derechos con evolución favorable y egreso a los 15 días de su intervención. En el seguimiento trimestral el paciente tiene una evolución favorable con buena dase funcional y no presentó complicaciones posquirúrgicas mediatas.
DISCUSIÓN
La recurrencia de infecciones respiratorias en la infancia y la adolescencia es un problema frecuente en la práctica clínica y sus causas incluyen en este espectro las etiologías congénitas, inflamatorias, inmunológicas y en menor frecuencia, pero no menos importante las de origen neoplásico5. Los tumores neuroendocrinos pueden simular cuadros respiratorios a repetición, pueden sesgar a menudo al médico tratante, por lo que un diagnóstico oportuno mejora la calidad de vida en estos pacientes. Se puede constatar que la anamnesis, el examen físico y el hallazgo radiológico inicial permitió sospechar la presencia de una masa bronquial, la cual se confirmó mediante broncoscopía virtual y convencional para así llegar a un diagnóstico histopatológico definitivo.
Los tumores carcinoides abarcan una amplia variedad de tumores que incluyen el carcinoide típico y atípico, carcinoma neuroendocrino de células grandes y el carcinoma de células no pequeñas5,6. Aunque ninguna variedad puede considerarse benigna los carcinoides típicos y atípicos tienen un potencial metastásico mucho menor; debido a la presencia de síntomas en los estadios iniciales el diagnóstico se realiza en estadios tempranos mejorando la supervivencia en estos pacientes7,8. El tumor carcinoide de pulmón, como ocurre con otras neoplasias pulmonares, requiere de estudios escalonados a partir de la detección de una imagen como: la radiografía convencional, seguidos de la TC que ofrece mayor detalle anatómico y evalúa la diseminación local o a distancia9. La obtención de muestra se consigue generalmente a través de videobroncoscopía ya que la mayoría de los tumores son de localización central8,9.
Por videobroncoscopía, los tumores carcinoides tienen una apariencia polipoidea, lisa, rojiza y con crecimiento endobronquial3. Las características radiológicas de los carcinoides típicos y atípicos son indistinguibles, pero la gran mayoría (80%) se localizan a nivel del bronquio fuente, lobar o segmentario y los restantes tendrán una localización más periférica4. Los carcinoides centrales en radiografías convencionales y TC se observan como masas hiliares o parahiliares bien definidas, lobuladas, redondeadas u ovaladas de 2-5 cm de diámetro6. Pueden tener calcificaciones excéntricas o difusas que recuerdan a la broncolitiasis y rara vez se cavitan6-9. Debido a su naturaleza vascular captan el contraste de forma ávida y homogénea10. Se pueden asociar a adenopatías hiliares o mediastinales bien sea por procesos infecciosos o metastásicos7. A pesar de que todos los carcinoides son endobronquiales, algunos pueden tener un componente extraluminal mucho mayor, dando a la lesión la apariencia en "iceberg"7. Cuando producen una obstrucción bronquial parcial, pueden ocasionar signos de hiperinsuflación por un mecanismo de válvula unidireccional3. Sin embargo, si la obstrucción es completa, se producen atelectasias y neumonías recurrentes que con el tiempo pueden llevar a bronquiectasias y abscesos3. Cuando son periféricos se comportan como lesiones redondeadas u ovaladas de contornos lisos o lobulados y aunque tienen un lento crecimiento en su mayoría son carcinoides atípicos de grado intermedio con mayor probabilidad de metastatizar7-10.
La TC con contraste endovenoso es la "prueba de oro" para el estudio radiológico de los tumores carcinoides, ya que este permite identificar los diferentes componentes de la lesión, bien sea intraluminares, murales y extrabronquiales, además de la presencia de adenopatías y el realce tumoral para una adecuada estadificación8,10. No obstante, la broncoscopía convencional tiene participación en el diagnóstico, su utilidad radica en la resolución de los síntomas obstructivos así como alternativa terapéutica a la cirugía9,10.
La resección quirúrgica es el manejo de elección en la enfermedad localizada y los tratamientos sistémicos son la opción terapéutica en el control de la enfermedad avanzada o metastásica. El pronóstico depende de las características histológicas de la lesión siendo los carcinoides típicos los que mejor sobrevida muestran, no asilos carcinoides atípicos9.
CONCLUSIONES
A pesar que la infección respiratoria aguda es uno de los motivos de consulta más frecuentes en la edad pediátrica, no se debe excluir al carcinoide bronquial como entidad que afecta a este grupo poblacional.
Para pacientes que no presentan una mejoría clínico radiológica, se deben escalonar otros estudios que permitan realizar un diagnóstico diferencial y de manera oportuna una adecuada intervención terapéutica en los casos en que se reconocen como causa de origen neoplásico.
Existe una correlación muy estrecha entre las imágenes de broncoscopía virtual respecto a la real.
Los estudios de imagen permiten establecer múltiples diagnósticos diferenciales y facilitan al clínico la toma de decisiones. Por tanto, la broncoscopía virtual es una alternativa no invasiva, rápida y segura para la detección de este tipo de tumores en la población pediátrica.
REFERENCIAS
1. Schnabel PA, Junker K. Pulmonary neuroendocrine tumors in the new WHO 2015 classification: start of breaking new grounds. Pathologe. 2015; 36(3): 283-92. DOI: http://doi.org/10.1007/s00292-015-0030-2.
2. Dincer H, Podgaetze E, Andrade R. Pulmonary Neuroendrocrine Tumors. Part I. spectrum and characteristics of tumors. J Bronchol Intervent Pulmonol. 2015, 22: 267-73. DOI: http://doi.org/10.1097/LBR.0000000000000157.
3. Sánchez de CE J. Diagnóstico y tratamiento de los tumores pulmonares neuroendocrinos. Arch. Bronconeumol. 2014; 50(9): 392-96. DOI: http://doi.org/10.1016/j.arbres.2014.02.004.
4. Villa M, Ronquillo C, Morán A, Dip A. Tumores Neuroendocrinos: experiencia de 6 años en un centro de tercer nivel. Gac Mex Oncol 2015; 14: 141-9. DOI: http://doi.org/10.24875/j.gamo.17000035.
5. Pelosi J, Sonzogni A, Harari S, Albini A, Bresaola E, Marchio C, et al. Classification of pulmonary neuroendocrine tumors: new insights. Transl. Lung Cancer Res. 2017; 6(5): 513-29. DOI: http://doi.org/10.21037/tlcr.2017.09.04.
6. Pusceddu S, Lo Russo G, Macerelli M, Proto C, Vitali M, Signorelli D, et al. Diagnosis and management of typical and atypical lung carcinoids. Crit Rev Oncol/Hematol. 2016; 100:167-76. DOI: http://doi.org/10.1016/j.critrevonc.2016.02.009.
7. Eyssartier E, Ang P, Bonnemaison E, Gibertini I, Diot P, Carpentier E, et al. Characteristics of endobronchial primitive tumors in children. PedPulmonol. 2014;49(6): 121-25. DOI: http://doi.org/10.1002/ppul.22987.
8. Hendifar AE, Marchevsky AM, Tuli R, Neuroendocrine Tumors of the Lung: Current Challenges and Advances in the Diagnosis and Management of Well-Differentiated Disease. J Thor Onc. 2017; 12(3): 425-36. DOI: http://doi.org/10.1016/j.jtho.2016.11.2222.
9. Caplin ME, Baudin E, Ferolla P, Filosso P, García-Yuste M, Lim E, et al. ENETS Consensus conference participants. Pulmonary neuroendocrine (carcinoid) tumors: European neuroendocrine tumor society expert consensus and recommendations for best practice for typical and atypical pulmonary carcinoids. Ann. Oncol. 2015 mdv 041. https://www.mcbi.nlm.mih.gov/m/pubmed/25646366/.
10. Tabaksblat EM, Langer SW, Knigge U, Grønbk H, Mortensen J, Petersen RH, et al. Diagnosis and treatment of bronchopulmonary neuroendocrine tumours: State of the Art. Acta Oncol. 2016;55: 3-14. DOI: http://doi.org/10.3109/0284186X.2015.1067715.
Notas
Enlace alternativo
http://www.scielo.org.bo/scielo.php?script=sci_arttext&pid=S1817-74332019000100010&lng=es&nrm=iso (html)